JavaScript is disabled in your browser. Please enable JavaScript to view this website.
AB129084

重组Anti-RACK1抗体[EPR7388]

Anti-RACK1 antibody [EPR7388]

Be the first to review this product! Submit a review

|

(8 Publications)

Rabbit Recombinant Monoclonal RACK1 antibody. Suitable for IHC-P, WB and reacts with Mouse, Rat, Human samples. Cited in 8 publications.

查看别名

GNB2L1, HLC7, PIG21, RACK1, Small ribosomal subunit protein RACK1, Cell proliferation-inducing gene 21 protein, Guanine nucleotide-binding protein subunit beta-2-like 1, Guanine nucleotide-binding protein subunit beta-like protein 12.3, Human lung cancer oncogene 7 protein, Receptor for activated C kinase, Receptor of activated protein C kinase 1, HLC-7

7 Images
Immunohistochemistry (Formalin/PFA-fixed paraffin-embedded sections) - Anti-RACK1 antibody [EPR7388] (AB129084)
  • IHC-P

Unknown

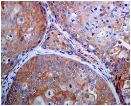
Immunohistochemistry (Formalin/PFA-fixed paraffin-embedded sections) - Anti-RACK1 antibody [EPR7388] (AB129084)

ab129084, at a dilution of 1/50, staining RACK1 in paraffin-embedded Human cervical carcinoma tissue by Immunohistochemistry.

Perform heat mediated antigen retrieval with citrate buffer pH 6 before commencing with IHC staining protocol.

Immunohistochemistry (Formalin/PFA-fixed paraffin-embedded sections) - Anti-RACK1 antibody [EPR7388] (AB129084)
  • IHC-P

Unknown

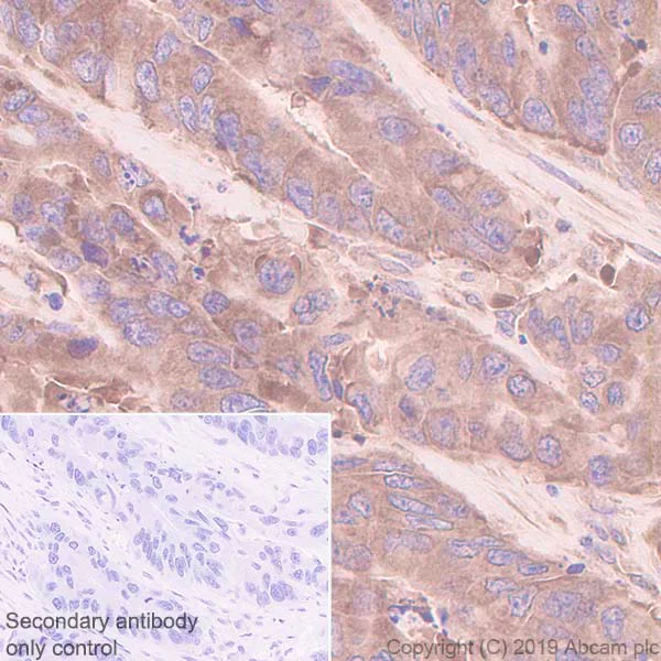
Immunohistochemistry (Formalin/PFA-fixed paraffin-embedded sections) - Anti-RACK1 antibody [EPR7388] (AB129084)

Immunohistochemistry (Formalin/PFA-fixed paraffin-embedded sections) analysis of human colon carcinoma tissue sections labeling RACK1 with Purified ab129084 at 1 : 1000 dilution (0.201 µg/ml). Perform heat mediated antigen retrieval using ab93684 (Tris/EDTA buffer, pH 9.0). Purified)ImmunoHistoProbe one step HRP Polymer (ready to use) was used for detection. Negative control : PBS instead of the primary antibody. Hematoxylin was used as a counterstain.

Immunohistochemistry (Formalin/PFA-fixed paraffin-embedded sections) - Anti-RACK1 antibody [EPR7388] (AB129084)
  • IHC-P

Unknown

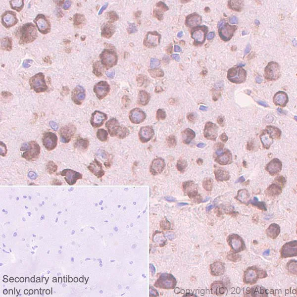
Immunohistochemistry (Formalin/PFA-fixed paraffin-embedded sections) - Anti-RACK1 antibody [EPR7388] (AB129084)

Immunohistochemistry (Formalin/PFA-fixed paraffin-embedded sections) analysis of mouse cerebrum tissue sections labeling RACK1 with Purified ab129084 at 1 : 1000 dilution (0.201 µg/ml). Perform heat mediated antigen retrieval using ab93684 (Tris/EDTA buffer, pH 9.0). Purified)ImmunoHistoProbe one step HRP Polymer (ready to use) was used for detection. Negative control : PBS instead of the primary antibody. Hematoxylin was used as a counterstain.

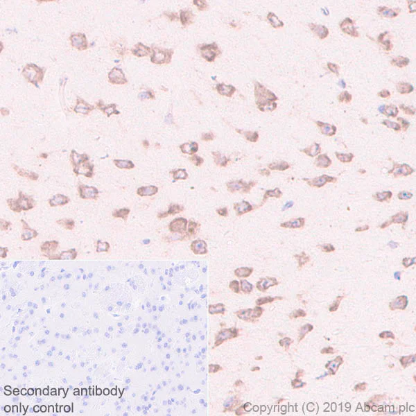
Immunohistochemistry (Formalin/PFA-fixed paraffin-embedded sections) - Anti-RACK1 antibody [EPR7388] (AB129084)
  • IHC-P

Unknown

Immunohistochemistry (Formalin/PFA-fixed paraffin-embedded sections) - Anti-RACK1 antibody [EPR7388] (AB129084)

Immunohistochemistry (Formalin/PFA-fixed paraffin-embedded sections) analysis of rat cerebrum tissue sections labeling RACK1 with Purified ab129084 at 1 : 1000 dilution (0.201 µg/ml). Perform heat mediated antigen retrieval using ab93684 (Tris/EDTA buffer, pH 9.0). Purified)ImmunoHistoProbe one step HRP Polymer (ready to use) was used for detection. Negative control : PBS instead of the primary antibody. Hematoxylin was used as a counterstain.

Western blot - Anti-RACK1 antibody [EPR7388] (AB129084)
  • WB

Lab

Western blot - Anti-RACK1 antibody [EPR7388] (AB129084)

All lanes:

Western blot - Anti-RACK1 antibody [EPR7388] (ab129084) at 1/1000 dilution

Lane 1:

HeLa (Human cervix adenocarcinoma epithelial cell) whole cell lysates at 20 µg

Lane 2:

HepG2 (Human hepatocellular carcinoma epithelial cell) whole cell lysates at 20 µg

Lane 3:

MCF7 (Human breast adenocarcinoma epithelial cell) whole cell lysates at 20 µg

Lane 4:

C6 (Rat glial tumor glial cell) whole cell lysates at 20 µg

Lane 5:

PC-12 (Rat adrenal gland pheochromocytoma) whole cell lysates at 20 µg

Lane 6:

Mouse brain lysates at 20 µg

Lane 7:

Mouse spleen lysates at 20 µg

Secondary

All lanes:

Western blot - Goat Anti-Rabbit IgG H&L (HRP) (<a href='/products/secondary-antibodies/goat-rabbit-igg-h-l-hrp-ab97051'>ab97051</a>) at 1/20000 dilution

Predicted band size: 35 kDa

Observed band size: 32 kDa

false

Western blot - Anti-RACK1 antibody [EPR7388] (AB129084)
  • WB

Unknown

Western blot - Anti-RACK1 antibody [EPR7388] (AB129084)

All lanes:

Western blot - Anti-RACK1 antibody [EPR7388] (ab129084) at 1/1000 dilution

Lane 1:

MCF7 cell lysate at 10 µg

Lane 2:

SH-SY5Y cell lysate at 10 µg

Lane 3:

HeLa cell lysate at 10 µg

Lane 4:

PC12 cell lysate at 10 µg

Lane 5:

C6 cell lysate at 10 µg

Secondary

All lanes:

HRP labelled goat anti-rabbit at 1/2000 dilution

Predicted band size: 35 kDa

false

Western blot - Anti-RACK1 antibody [EPR7388] (AB129084)
  • WB

CiteAb

Western blot - Anti-RACK1 antibody [EPR7388] (AB129084)

RACK1 western blot using anti-RACK1 antibody [EPR7388] ab129084. Publication image and figure legend from Dan, H., Liu, S., et al., 2020, Mol Oncol, PubMed 31997535.

ab129084 was used in this publication in western blot. This may not be the same as the application(s) guaranteed by Abcam. For a full list of applications guaranteed by Abcam for ab129084 please see the product overview.

RACK1 increases the M2/M1 ratio in an NF-κB axis-dependent manner. (A) Human cytokine array analysis of the conditioned medium from HSC-3 control cells and HSC-3 cells with RACK1 silencing for 36 h. (B) Unsupervised hierarchical clustering analysis by complete linkage between si-NC- and si-RACK1-transfected HSC-3 cells for 36 h. (C) Analysis of CCL5, CSF2, CXCL10, IL-8 and CXCL2 mRNA levels in HSC-3 cells transfected with si-NC- or si-RACK1 for 36 h (p < 0.05). (D) Western blots for p-NF-κB and RACK1 in two infected OSCC cell lines. (E) Macrophages were induced from THP-1 cells by PMA and cocultured with sh-NC HSC-3 cell supernatant (with DMSO or BAY 11-7082 included) for 8 h. After centrifugation, the macrophages were stained with CD206 and CCR7 antibodies. The percentages and cell numbers of macrophages were analyzed using flow cytometry. (F) Analysis of the M2/M1 ratio in different induction groups (DMSO or BAY 11-7082) (mean ± SD; *p < 0.05).

false

不同偶联物与剂型 (1)

  • Carrier free

    Anti-RACK1 antibody [EPR7388] - BSA and Azide free

关键信息

宿主种属

Rabbit

克隆

Monoclonal

克隆号

EPR7388

亚型

IgG

不含载体蛋白

No

反应种属

Mouse, Rat, Human

应用

IHC-P, WB

applications

免疫原

The exact immunogen used to generate this antibody is proprietary information.

反应性数据

{ "title": "Reactivity Data", "filters": { "stats": ["", "Species", "Dilution Info", "Notes"], "tabs": { "all-applications": {"fullname" : "All Applications", "shortname": "All Applications"}, "IHCP" : {"fullname" : "Immunohistochemistry (Formalin/PFA-fixed paraffin-embedded sections)", "shortname":"IHC-P"}, "ICCIF" : {"fullname" : "Immunocytochemistry/ Immunofluorescence", "shortname":"ICC/IF"}, "IP" : {"fullname" : "Immunoprecipitation", "shortname":"IP"}, "WB" : {"fullname" : "Western blot", "shortname":"WB"} }, "product-promise": { "all": "all", "testedAndGuaranteed": "tested", "guaranteed": "expected", "predicted": "predicted", "notRecommended": "not-recommended" } }, "values": { "Human": { "IHCP-species-checked": "testedAndGuaranteed", "IHCP-species-dilution-info": "1/1000", "IHCP-species-notes": "<p>For unpurified use at 1/50 -1/100</p>", "ICCIF-species-checked": "notRecommended", "ICCIF-species-dilution-info": "", "ICCIF-species-notes": "<p></p>", "IP-species-checked": "notRecommended", "IP-species-dilution-info": "", "IP-species-notes": "<p></p>", "WB-species-checked": "testedAndGuaranteed", "WB-species-dilution-info": "1/1000 - 1/10000", "WB-species-notes": "<p></p>" }, "Mouse": { "IHCP-species-checked": "testedAndGuaranteed", "IHCP-species-dilution-info": "1/1000", "IHCP-species-notes": "<p>For unpurified use at 1/50 -1/100</p>", "ICCIF-species-checked": "notRecommended", "ICCIF-species-dilution-info": "", "ICCIF-species-notes": "<p></p>", "IP-species-checked": "notRecommended", "IP-species-dilution-info": "", "IP-species-notes": "<p></p>", "WB-species-checked": "guaranteed", "WB-species-dilution-info": "", "WB-species-notes": "" }, "Rat": { "IHCP-species-checked": "testedAndGuaranteed", "IHCP-species-dilution-info": "1/1000", "IHCP-species-notes": "<p>For unpurified use at 1/50 -1/100</p>", "ICCIF-species-checked": "notRecommended", "ICCIF-species-dilution-info": "", "ICCIF-species-notes": "<p></p>", "IP-species-checked": "notRecommended", "IP-species-dilution-info": "", "IP-species-notes": "<p></p>", "WB-species-checked": "guaranteed", "WB-species-dilution-info": "", "WB-species-notes": "" } } }

产品详情

Patented technology
Our RabMAb® technology is a patented hybridoma-based technology for making rabbit monoclonal antibodies. For details on our patents, please refer to RabMAb® patents.

What are the advantages of a recombinant monoclonal antibody?
This product is a recombinant monoclonal antibody, which offers several advantages including:

  • - High batch-to-batch consistency and reproducibility
  • - Improved sensitivity and specificity
  • - Long-term security of supply
  • - Animal-free batch production

For more information, read more on recombinant antibodies.

性能和储存信息

形式
Liquid
纯化工艺
Affinity purification Protein A
存储溶液
pH: 7.2 - 7.4 Preservative: 0.01% Sodium azide Constituents: PBS, 40% Glycerol (glycerin, glycerine), 0.05% BSA
运输条件
Blue Ice
推荐的短期储存条件
+4°C
推荐的长期储存条件
-20°C
储存信息
Stable for 12 months at -20°C

补充信息

This supplementary information is collated from multiple sources and compiled automatically.

RACK1 or Receptor for Activated C Kinase 1 is an approximately 36 kDa protein that acts as scaffolding facilitating protein-protein interactions. It has a conserved WD40 repeat domain structure essential for its functions. RACK1 is ubiquitously expressed in various tissues including brain liver and lungs. It aids in assembling signaling complexes by anchoring signaling proteins contributing to various cellular responses.
Biological function summary

The function of RACK1 influences numerous cellular processes such as cell growth migration and apoptosis. It forms part of the ribosome serving a function in translation regulation. RACK1 participates in G-protein mediated signaling as well and binds to activated PKC (protein kinase C) isoforms promoting effective signaling pathways that affect cell behavior.

Pathways

Studies identify RACK1 within the MAPK and JAK/STAT pathways. In the MAPK pathway RACK1 works alongside proteins like ERK1/2 to mediate cellular responses to external stimuli. Within the JAK/STAT pathway its interaction with kinases influences the transcriptional activation of genes involved in immune responses and cell growth signaling emphasizing its role in regulating important cellular activities.

Researchers have linked RACK1 to certain cancers and neurodegenerative diseases. In cancer RACK1's interaction with PKC and other signaling proteins like Src can affect cell proliferation and angiogenesis features significant in tumor progression. Regarding neurodegenerative diseases RACK1's involvement in amyloid precursor protein processing connects it to Alzheimer's disease progression with potential interactions with proteins like presenilin highlighting its role in pathophysiology.

产品实验方案

For this product, it's our understanding that no specific protocols are required. You can visit:

靶点信息

Scaffolding protein involved in the recruitment, assembly and/or regulation of a variety of signaling molecules. Interacts with a wide variety of proteins and plays a role in many cellular processes. Component of the 40S ribosomal subunit involved in translational repression (PubMed : 23636399). Involved in the initiation of the ribosome quality control (RQC), a pathway that takes place when a ribosome has stalled during translation, by promoting ubiquitination of a subset of 40S ribosomal subunits (PubMed : 28132843). Binds to and stabilizes activated protein kinase C (PKC), increasing PKC-mediated phosphorylation. May recruit activated PKC to the ribosome, leading to phosphorylation of EIF6. Inhibits the activity of SRC kinases including SRC, LCK and YES1. Inhibits cell growth by prolonging the G0/G1 phase of the cell cycle. Enhances phosphorylation of BMAL1 by PRKCA and inhibits transcriptional activity of the BMAL1-CLOCK heterodimer. Facilitates ligand-independent nuclear translocation of AR following PKC activation, represses AR transactivation activity and is required for phosphorylation of AR by SRC. Modulates IGF1R-dependent integrin signaling and promotes cell spreading and contact with the extracellular matrix. Involved in PKC-dependent translocation of ADAM12 to the cell membrane. Promotes the ubiquitination and proteasome-mediated degradation of proteins such as CLEC1B and HIF1A. Required for VANGL2 membrane localization, inhibits Wnt signaling, and regulates cellular polarization and oriented cell division during gastrulation. Required for PTK2/FAK1 phosphorylation and dephosphorylation. Regulates internalization of the muscarinic receptor CHRM2. Promotes apoptosis by increasing oligomerization of BAX and disrupting the interaction of BAX with the anti-apoptotic factor BCL2L. Inhibits TRPM6 channel activity. Regulates cell surface expression of some GPCRs such as TBXA2R. Plays a role in regulation of FLT1-mediated cell migration. Involved in the transport of ABCB4 from the Golgi to the apical bile canalicular membrane (PubMed : 19674157). Promotes migration of breast carcinoma cells by binding to and activating RHOA (PubMed : 20499158). Acts as an adapter for the dephosphorylation and inactivation of AKT1 by promoting recruitment of PP2A phosphatase to AKT1 (By similarity).. (Microbial infection) Binds to Y.pseudotuberculosis yopK which leads to inhibition of phagocytosis and survival of bacteria following infection of host cells.. (Microbial infection) Enhances phosphorylation of HIV-1 Nef by PKCs.. (Microbial infection) In case of poxvirus infection, remodels the ribosomes so that they become optimal for the viral mRNAs (containing poly-A leaders) translation but not for host mRNAs.. (Microbial infection) Contributes to the cap-independent internal ribosome entry site (IRES)-mediated translation by some RNA viruses.
See full target information RACK1

文献 (8)

Recent publications for all applications. Explore the full list and refine your search

Cell & bioscience 12:203 PubMed36536448

2022

VHL-recruiting PROTAC attenuates renal fibrosis and preserves renal function via simultaneous degradation of Smad3 and stabilization of HIF-2α.

Applications

Unspecified application

Species

Unspecified reactive species

Jiayi Yang,Yuyi Ruan,Dan Wang,Jinjin Fan,Ning Luo,Huiting Chen,Xiaoyan Li,Wei Chen,Xin Wang

Frontiers in immunology 13:943174 PubMed36003390

2022

EST12 regulates Myc expression and enhances anti-mycobacterial inflammatory response RACK1-JNK-AP1-Myc immune pathway.

Applications

Unspecified application

Species

Unspecified reactive species

Jian Wu,Feng-Ling Luo,Yan Xie,Huan Xiong,Yadong Gao,Guanghui Liu,Xiao-Lian Zhang

Experimental and therapeutic medicine 23:128 PubMed34970351

2022

CPNE3 interaction with RACK1 protects against myocardial ischemia/reperfusion injury.

Applications

Unspecified application

Species

Unspecified reactive species

Xiaoqun Zhang,Xue Han,Yanan Zhang

Journal of cell science 134: PubMed34550354

2021

RACK1 plays a critical role in mast cell secretion and Ca2+ mobilization by modulating F-actin dynamics.

Applications

Unspecified application

Species

Unspecified reactive species

Edismauro G Freitas Filho,Elaine Z M da Silva,Hwei Ling Ong,William D Swaim,Indu S Ambudkar,Constance Oliver,Maria Célia Jamur

Molecular oncology 14:795-807 PubMed31997535

2020

RACK1 promotes cancer progression by increasing the M2/M1 macrophage ratio via the NF-κB pathway in oral squamous cell carcinoma.

Applications

Unspecified application

Species

Unspecified reactive species

Hongxia Dan,Sai Liu,Jiajia Liu,Dongjuan Liu,Fengying Yin,Zihao Wei,Jiongke Wang,Yu Zhou,Lu Jiang,Ning Ji,Xin Zeng,Jing Li,Qianming Chen

Gastroenterology research and practice 2019:5625026 PubMed30962803

2019

RACK1 Acts as a Potential Tumor Promoter in Colorectal Cancer.

Applications

Unspecified application

Species

Unspecified reactive species

Xue-Yang Li,Yi Hu,Nian-Shuang Li,Jian-Hua Wan,Yin Zhu,Nong-Hua Lu

Endocrinology 158:2367-2375 PubMed28472300

2017

Interaction of the Mineralocorticoid Receptor With RACK1 and Its Role in Aldosterone Signaling.

Applications

Unspecified application

Species

Unspecified reactive species

Maniselvan Kuppusamy,Elise P Gomez-Sanchez,Lauren N Beloate,Maria Plonczynski,Aniko Naray-Fejes-Toth,Geza Fejes-Toth,Celso E Gomez-Sanchez

Translational psychiatry 5:e657 PubMed26460481

2015

Regulation of fear extinction versus other affective behaviors by discrete cortical scaffolding complexes associated with NR2B and PKA signaling.

Applications

Unspecified application

Species

Unspecified reactive species

K A Corcoran,K Leaderbrand,V Jovasevic,A L Guedea,F Kassam,J Radulovic
View all publications

Abcam Product Promise

我们致力于为您的研究提供高质量的试剂,为您科研的每一步提供支持。若我们的产品未能达到预期性能,我们向您提供 Abcam Product Promise 保障。
详情请参阅我们的条款与条件。

Please note: All products are 'FOR RESEARCH USE ONLY. NOT FOR USE IN DIAGNOSTIC OR THERAPEUTIC PROCEDURES'.

For licensing inquiries, please contact partnerships@abcam.com