JavaScript is disabled in your browser. Please enable JavaScript to view this website.
AB126712

重组Anti-RAB7抗体[EPR7588(B)] - Late Endosome Marker

Anti-RAB7 antibody [EPR7588(B)] - Late Endosome Marker

5

(1 Review)

|

(17 Publications)

Anti-RAB7 antibody [EPR7588(B)] - Late Endosome Marker (ab126712) is a rabbit monoclonal antibody detecting RAB7 in Western Blot, IHC-P. Suitable for Human, Mouse, Rat.

- KO validated for confirmed specificity
- Biophysical QC for unrivalled batch-batch consistency

查看别名

RAB7, RAB7A, Ras-related protein Rab-7a

9 Images
Immunohistochemistry (Formalin/PFA-fixed paraffin-embedded sections) - Anti-RAB7 antibody [EPR7588(B)] - Late Endosome Marker (AB126712)
  • IHC-P

Unknown

Immunohistochemistry (Formalin/PFA-fixed paraffin-embedded sections) - Anti-RAB7 antibody [EPR7588(B)] - Late Endosome Marker (AB126712)

Immunohistochemical analysis of paraffin-embedded Human colon adenocarcinoma tissue labelling Rab7A with unpurified ab126712 at dilution of 1/50.

Perform heat mediated antigen retrieval before commencing with IHC staining protocol.

Western blot - Anti-RAB7 antibody [EPR7588(B)] - Late Endosome Marker (AB126712)
  • WB

Unknown

Western blot - Anti-RAB7 antibody [EPR7588(B)] - Late Endosome Marker (AB126712)

All lanes:

Western blot - Anti-RAB7 antibody [EPR7588(B)] - Late Endosome Marker (ab126712) at 1/1000 dilution

Lane 1:

A375 cell lysate at 10 µg

Lane 2:

A431 cell lysate at 10 µg

Lane 3:

HACAT cell lysate at 10 µg

Lane 4:

Human fetal brain lysate at 10 µg

Lane 5:

B16F0 cell lysate at 10 µg

Lane 6:

C6 cell lysate at 10 µg

Secondary

All lanes:

Goat anti-Rabbit HRP at 1/2000 dilution

false

Western blot - Anti-RAB7 antibody [EPR7588(B)] - Late Endosome Marker (AB126712)
  • WB

Unknown

Western blot - Anti-RAB7 antibody [EPR7588(B)] - Late Endosome Marker (AB126712)

Blocking and diluting buffer 5% NFDM/TBST

All lanes:

Western blot - Anti-RAB7 antibody [EPR7588(B)] - Late Endosome Marker (ab126712) at 1/1000 dilution

Lane 1:

A375 whole cell lysate at 20 µg

Lane 2:

A431 whole cell lysate at 20 µg

Secondary

All lanes:

Western blot - Goat Anti-Rabbit IgG H&L (HRP) (<a href='/products/secondary-antibodies/goat-rabbit-igg-h-l-hrp-ab97051'>ab97051</a>) at 1/20000 dilution

Observed band size: 23 kDa

false

Western blot - Anti-RAB7 antibody [EPR7588(B)] - Late Endosome Marker (AB126712)
  • WB

Unknown

Western blot - Anti-RAB7 antibody [EPR7588(B)] - Late Endosome Marker (AB126712)

Blocking and diluting buffer 5% NFDM/TBST

All lanes:

Western blot - Anti-RAB7 antibody [EPR7588(B)] - Late Endosome Marker (ab126712) at 1/1000 dilution

Lane 1:

C6 (rat glioma) whole cell lysate at 20 µg

Lane 2:

Raw264.7 (mouse abelson murine leukemia virus-induced tumor) whole cell lysate at 20 µg

Lane 3:

NIH/3T3 (mouse embryo) whole cell lysate at 20 µg

Secondary

All lanes:

Western blot - Goat Anti-Rabbit IgG H&L (HRP) (<a href='/products/secondary-antibodies/goat-rabbit-igg-h-l-hrp-ab97051'>ab97051</a>) at 1/20000 dilution

Predicted band size: 35 kDa,36 kDa

Observed band size: 23 kDa

false

Immunohistochemistry (Formalin/PFA-fixed paraffin-embedded sections) - Anti-RAB7 antibody [EPR7588(B)] - Late Endosome Marker (AB126712)
  • IHC-P

Unknown

Immunohistochemistry (Formalin/PFA-fixed paraffin-embedded sections) - Anti-RAB7 antibody [EPR7588(B)] - Late Endosome Marker (AB126712)

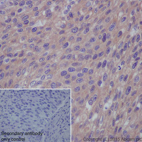
Immunohistochemical staining of paraffin-embedded human bladder carcinoma sections labelling RAB7 with purified ab126712 at dilution of 1/70. The secondary antibody used was ab97051; a goat anti-rabbit IgG H&L (HRP) at dilution of 1/500. The sample was counter-stained with hematoxylin. Antigen retrieval was performed using EDTA Buffer; pH 9.0. PBS was used instead of the primary antibody as the negative control and is shown in the inset.

Western blot - Anti-RAB7 antibody [EPR7588(B)] - Late Endosome Marker (AB126712)
  • WB

Lab

Western blot - Anti-RAB7 antibody [EPR7588(B)] - Late Endosome Marker (AB126712)

Lanes 1 - 2 : Merged signal (red and green). Green - ab126712 observed at 23 kDa. Red - loading control ab7291 (Mouse anti-Alpha Tubulin [DM1A]) observed at 55 kDa.

ab126712 was shown to react with RAB7 in wild-type HeLa cells in Western blot with loss of signal observed in RAB7A knockout cell line ab255423 (RAB7A knockout cell lysate ab263831). Wild-type HeLa and RAB7A knockout cell lysates were subjected to SDS-PAGE. Membranes were blocked in 3 % milk in TBS-T (0.1 % Tween®) before incubation with ab126712 and ab7291 (Mouse anti-Alpha Tubulin [DM1A]) overnight at 4 °C at a 1 in 1000 dilution and a 1 in 20000 dilution respectively. Blots were incubated with Goat anti-Rabbit IgG H&L (IRDye® 800CW) preabsorbed (ab216773) and Goat anti-Mouse IgG H&L (IRDye® 680RD) preabsorbed (ab216776) secondary antibodies at 1 in 20000 dilution for 1 h at room temperature before imaging.

All lanes:

Western blot - Anti-RAB7 antibody [EPR7588(B)] - Late Endosome Marker (ab126712) at 1/1000 dilution

Lane 1:

Wild-type HeLa cell lysate at 20 µg

Lane 2:

RAB7A knockout HeLa cell lysate at 20 µg

Lane 2:

Western blot - Human RAB7A (RAB7) knockout HeLa cell line (<a href='/products/cell-lines/human-rab7a-rab7-knockout-hela-cell-line-ab255423'>ab255423</a>)

Observed band size: 23 kDa

false

Western blot - Anti-RAB7 antibody [EPR7588(B)] - Late Endosome Marker (AB126712)
  • WB

Lab

Western blot - Anti-RAB7 antibody [EPR7588(B)] - Late Endosome Marker (AB126712)

Lane 1 : Wild-type HAP1 cell lysate (20 μg)
Lane 2 : RAB7 knockout HAP1 cell lysate (20 μg)
Lane 3 : A431 cell lysate (20 μg)
Lane 4 : Human fetal brain tissue lysate (20 μg)
Lanes 1 - 4 : Merged signal (red and green). Green - ab126712 observed at 24 kDa. Red - loading control, ab8245, observed at 37 kDa.

ab126712 was shown to recognize RAB7 when RAB7 knockout samples were used, along with additional cross-reactive bands. Wild-type and RAB7 knockout samples were subjected to SDS-PAGE. ab126712 and ab8245 (loading control to GAPDH) were diluted 1/1000 and 1/10000 and incubated overnight at 4°C. Blots were developed withGoat anti-Rabbit IgG H&L (IRDye® 800CW) preadsorbed (ab216773) and Goat anti-Mouse IgG H&L (IRDye® 680RD) preadsorbed (ab216776) secondary antibodies at 1/10000 dilution for 1 h at room temperature before imaging.

All lanes:

Western blot - Anti-RAB7 antibody [EPR7588(B)] - Late Endosome Marker (ab126712)

false

OI-RD Scanning - Anti-RAB7 antibody [EPR7588(B)] - Late Endosome Marker (AB126712)
  • OI-RD Scanning

Unknown

OI-RD Scanning - Anti-RAB7 antibody [EPR7588(B)] - Late Endosome Marker (AB126712)

We have systematically measured KD (the equilibrium dissociation constant between the antibody and its antigen), of more than 840 recombinant antibodies to assess not only their individual KD values but also to see the average affinity of antibody. Based on the comparison with published literature values for mouse monoclonal antibodies, Recombinant antibodies appear to be on average 1-2 order of magnitude higher affinity.

Western blot - Anti-RAB7 antibody [EPR7588(B)] - Late Endosome Marker (AB126712)
  • WB

CiteAb

Western blot - Anti-RAB7 antibody [EPR7588(B)] - Late Endosome Marker (AB126712)

RAB7 western blot using anti-RAB7 antibody [EPR7588(B)] - Late Endosome Marker ab126712. Publication image and figure legend from Li, M., Zhang, D., et al., 2020, Front Microbiol, PubMed 32210929.

ab126712 was used in this publication in western blot. This may not be the same as the application(s) guaranteed by Abcam. For a full list of applications guaranteed by Abcam for ab126712 please see the product overview.

Effects of Rab5 and Rab7 knockdown on Zika virus (ZIKV) infection. (A) The knockdown efficiency of Rab5 or Rab7 was determined by Western blot. T98G cells were transfected with either siControl, siRab5, or siRab7 for 48 h. Cell lysates were reacted with an anti-Rab5 antibody or an anti-Rab7 antibody specific for the indicated proteins. β-actin was used as an internal loading control. One representative experiment out of three is shown. (B) Rab5 or Rab7 depletion reduced ZIKV propagation. T98G cells transfected with the indicated siRNAs were infected with ZIKV at a multiplicity of infection (MOI) of 0.5 and incubated for 48 h to allow virus propagation. The infected cells were lysed to quantitate viral RNA copy numbers by RT-qPCR. (C) At 48 h post-infection, the titers of supernatant viruses were determined by plaque assay. (D) ZIKV localized in Rab5- and Rab7-postitive endosomes. T98G cells were transfected with EGFP-tagged Rab5 or Rab7 for 24 h, followed by infection with ZIKV at an MOI of 10 at 4°C for 1 h and then shifted to 37°C. At 24 h post-infection, the cells were fixed and stained with an anti-ZIKV envelop antibody (red). Nuclei were stained with DAPI (blue). One representative experiment out of three is shown (A). The immunofluorescence was examined under a confocal microscope. Representative confocal images from three independent experiments are shown. Scale bars in all panels represent 10 μm (D). The data shown are the mean ± SD of three independent experiments (B,C). *p < 0.05; **p < 0.01; ***p < 0.001.

false

不同偶联物与剂型 (10)

  • Carrier free

    Anti-RAB7 antibody [EPR7588(B)] - BSA and Azide free

  • 660 APC

    APC Anti-RAB7 antibody [EPR7588(B)] (Late Endosome Marker)

  • HRP

    HRP Anti-RAB7 antibody [EPR7588(B)] (Late Endosome Marker)

  • 617 Alexa Fluor® 594

    Alexa Fluor® 594 Anti-RAB7 antibody [EPR7588(B)] - Late Endosome Marker

  • 519 Alexa Fluor® 488

    Alexa Fluor® 488 Anti-RAB7 antibody [EPR7588(B)] - Late Endosome Marker

  • 665 Alexa Fluor® 647

    Alexa Fluor® 647 Anti-RAB7 antibody [EPR7588(B)] - Late Endosome Marker

  • 603 Alexa Fluor® 568

    Alexa Fluor® 568 Anti-RAB7 antibody [EPR7588(B)] - Late Endosome Marker

  • 578 PE

    PE Anti-RAB7 antibody [EPR7588(B)] (Late Endosome Marker)

  • 565 Alexa Fluor® 555

    Alexa Fluor® 555 Anti-RAB7 antibody [EPR7588(B)] - Late Endosome Marker

  • 775 Alexa Fluor® 750

    Alexa Fluor® 750 Anti-RAB7 antibody [EPR7588(B)] - Late Endosome Marker

关键信息

宿主种属

Rabbit

克隆

Monoclonal

克隆号

EPR7588(B)

亚型

IgG

不含载体蛋白

No

反应种属

Mouse, Rat, Human

应用

WB, IHC-P

applications

免疫原

The exact immunogen used to generate this antibody is proprietary information.

反应性数据

{ "title": "Reactivity Data", "filters": { "stats": ["", "Species", "Dilution Info", "Notes"], "tabs": { "all-applications": {"fullname" : "All Applications", "shortname": "All Applications"}, "IHCP" : {"fullname" : "Immunohistochemistry (Formalin/PFA-fixed paraffin-embedded sections)", "shortname":"IHC-P"}, "WB" : {"fullname" : "Western blot", "shortname":"WB"}, "ICCIF" : {"fullname" : "Immunocytochemistry/ Immunofluorescence", "shortname":"ICC/IF"}, "FlowCytIntra" : {"fullname" : "Flow Cytometry (Intracellular)", "shortname":"Flow Cyt (Intra)"} }, "product-promise": { "all": "all", "testedAndGuaranteed": "tested", "guaranteed": "expected", "predicted": "predicted", "notRecommended": "not-recommended" } }, "values": { "Human": { "IHCP-species-checked": "testedAndGuaranteed", "IHCP-species-dilution-info": "1/50 - 1/100", "IHCP-species-notes": "<p></p>", "WB-species-checked": "testedAndGuaranteed", "WB-species-dilution-info": "1/1000 - 1/10000", "WB-species-notes": "<p></p>", "ICCIF-species-checked": "notRecommended", "ICCIF-species-dilution-info": "", "ICCIF-species-notes": "<p></p>", "FlowCytIntra-species-checked": "notRecommended", "FlowCytIntra-species-dilution-info": "", "FlowCytIntra-species-notes": "<p></p>" }, "Mouse": { "IHCP-species-checked": "guaranteed", "IHCP-species-dilution-info": "", "IHCP-species-notes": "", "WB-species-checked": "testedAndGuaranteed", "WB-species-dilution-info": "1/1000 - 1/10000", "WB-species-notes": "<p></p>", "ICCIF-species-checked": "notRecommended", "ICCIF-species-dilution-info": "", "ICCIF-species-notes": "", "FlowCytIntra-species-checked": "notRecommended", "FlowCytIntra-species-dilution-info": "", "FlowCytIntra-species-notes": "" }, "Rat": { "IHCP-species-checked": "guaranteed", "IHCP-species-dilution-info": "", "IHCP-species-notes": "", "WB-species-checked": "testedAndGuaranteed", "WB-species-dilution-info": "1/1000 - 1/10000", "WB-species-notes": "<p></p>", "ICCIF-species-checked": "notRecommended", "ICCIF-species-dilution-info": "", "ICCIF-species-notes": "", "FlowCytIntra-species-checked": "notRecommended", "FlowCytIntra-species-dilution-info": "", "FlowCytIntra-species-notes": "" } } }

产品详情

What is this antibody validated in?
Anti-RAB7 antibody [EPR7588(B)] - Late Endosome Marker (ab126712) is a rabbit recombinant monoclonal antibody and is validated for use in Western Blot (WB), Flow Cytometry (Intra), Flow Cytometry (Flow Cyt), Immunohistochemistry (IHC-P), Immunocytochemistry/immunofluorescence (ICC/IF) in Human, Mouse, Rat samples.

What is the molecular weight of RAB7?
Anti-RAB7 [EPR7588(B)] - Late Endosome Marker (ab126712) specifically detects a band for RAB7 (UniProt: P51149) at a molecular weight of 23kDa.

Trial sizes available!
Test your antibody or perform pre-screening before committing to a larger quantity. Sold in 10µl. Discover our selection of trial-size antibodies.

Specificity confirmed
The specificity of Anti-RAB7 antibody [EPR7588(B)] - Late Endosome Marker (ab126712) has been confirmed by Western blot testing in RAB7A Knockout HAP1 cell line, ab255423.

Other related products
We have a range of other formats of antibody clone [EPR7588(B)] also available for your convenience: ab126712, Carrier free - ab238990, PE - ab305749, APC - ab305750, HRP - ab305751, Alkaline Phosphatase - ab308821, Alexa Fluor® 488 - ab309763, Alexa Fluor® 647 - ab310133, Alexa Fluor® 594 - ab310554, Alexa Fluor® 555 - ab312083, Alexa Fluor® 568 - ab312561, Alexa Fluor® 750 - ab321009

Patented technology
Our RabMAb® technology is a patented hybridoma-based technology for making rabbit monoclonal antibodies. For details on our patents, please refer to RabMAb® patents.

What are the advantages of a recombinant monoclonal antibody?
This product is a recombinant monoclonal antibody, which offers several advantages including:

  • - High batch-to-batch consistency and reproducibility
  • - Improved sensitivity and specificity
  • - Long-term security of supply
  • - Animal-free batch production

For more information, read more on recombinant antibodies.

性能和储存信息

形式
Liquid
纯化工艺
Affinity purification Protein A
存储溶液
pH: 7.2 - 7.4 Preservative: 0.01% Sodium azide Constituents: PBS, 40% Glycerol (glycerin, glycerine), 0.16% BSA
运输条件
Blue Ice
推荐的短期储存时间
1-2 weeks
推荐的短期储存条件
+4°C
推荐的长期储存条件
-20°C
分装信息
Upon delivery aliquot
储存信息
Stable for 12 months at -20°C

补充信息

This supplementary information is collated from multiple sources and compiled automatically.

RAB7 also known as RAB7A is a small GTPase belonging to the RAS oncogene family. It has a molecular mass of approximately 23 kDa. This protein plays an important role in the regulation of late endocytic trafficking. It is prominently expressed in the cytoplasmic compartments of various cell types and serves as an important late endosome marker. RAB7 controls the maturation of early endosomes into late endosomes and their subsequent fusion with lysosomes therefore influencing degradation pathways.
Biological function summary

RAB7 affects various processes including autophagy cell signaling and pathogen infection response. It often functions as part of the endosomal machinery and forms complexes with other proteins like RAB3GAP1 and RILP. These complexes help mediate vesicle transport and membrane trafficking processes which are essential for the maintenance of cellular homeostasis. RAB7 is significant in ensuring proper lysosomal positioning and function which is critical for cellular metabolism and degradation.

Pathways

RAB7 integrates into the endocytic and autophagic pathways by facilitating the transport between endosomes and lysosomes. It connects with the PI3K/AKT pathway impacting cell proliferation and survival. RAB7 also interacts with the retromer complex influencing the retrieval of receptors from endosomes. Proteins like FYCO1 and Prostaglandin E2 synthase can also cooperate with RAB7 in these pathways further establishing its role in cellular dynamics and signaling.

RAB7 has associations with Charcot-Marie-Tooth disease type 2B and cancer progression. Mutations in the RAB7 gene have been linked to neuropathic conditions leading to impaired motor and sensory function. In the context of cancer dysregulation of RAB7 expression can contribute to increased tumor growth and metastasis. RAB7 interacts with proteins such as MAPK and ARL8B which are involved in these diseases highlighting its importance in pathological conditions.

产品实验方案

For this product, it's our understanding that no specific protocols are required. You can visit:

靶点信息

Small GTPase which cycles between active GTP-bound and inactive GDP-bound states. In its active state, binds to a variety of effector proteins playing a key role in the regulation of endo-lysosomal trafficking. Governs early-to-late endosomal maturation, microtubule minus-end as well as plus-end directed endosomal migration and positioning, and endosome-lysosome transport through different protein-protein interaction cascades. Plays a central role, not only in endosomal traffic, but also in many other cellular and physiological events, such as growth-factor-mediated cell signaling, nutrient-transportor mediated nutrient uptake, neurotrophin transport in the axons of neurons and lipid metabolism. Also involved in regulation of some specialized endosomal membrane trafficking, such as maturation of melanosomes, pathogen-induced phagosomes (or vacuoles) and autophagosomes. Plays a role in the maturation and acidification of phagosomes that engulf pathogens, such as S.aureus and M.tuberculosis. Plays a role in the fusion of phagosomes with lysosomes. Plays important roles in microbial pathogen infection and survival, as well as in participating in the life cycle of viruses. Microbial pathogens possess survival strategies governed by RAB7A, sometimes by employing RAB7A function (e.g. Salmonella) and sometimes by excluding RAB7A function (e.g. Mycobacterium). In concert with RAC1, plays a role in regulating the formation of RBs (ruffled borders) in osteoclasts. Controls the endosomal trafficking and neurite outgrowth signaling of NTRK1/TRKA (PubMed : 11179213, PubMed : 12944476, PubMed : 14617358, PubMed : 20028791, PubMed : 21255211). Regulates the endocytic trafficking of the EGF-EGFR complex by regulating its lysosomal degradation. Involved in the ADRB2-stimulated lipolysis through lipophagy, a cytosolic lipase-independent autophagic pathway (By similarity). Required for the exosomal release of SDCBP, CD63 and syndecan (PubMed : 22660413). Required for vesicular trafficking and cell surface expression of ACE2 (PubMed : 33147445). May play a role in PRPH neuronal intermediate filament assembly (By similarity).
See full target information RAB7A

文献 (17)

Recent publications for all applications. Explore the full list and refine your search

Science advances 11:eady6386 PubMed40991712

2025

Site-specific adaptive nanovesicles for oral insulin delivery.

Applications

Unspecified application

Species

Unspecified reactive species

Bozhang Xia,Fengfei Xu,Junge Chen,Shaobo Shan,Jiuheng Shen,Yuxuan Zhang,Jinjin Wang,Ziran Zhou,Weilun Sun,Yaru Jia,Ya-Li Zhang,Jie Zhong,Gang Zhang,Yichen Wan,Zhongbo Hu,Wenlin An,Yubo Fan,Massimo Bottini,Jinqiang Wang,Xing-Jie Liang

Translational neurodegeneration 13:54 PubMed39497162

2024

Critical role of ROCK1 in AD pathogenesis via controlling lysosomal biogenesis and acidification.

Applications

Unspecified application

Species

Unspecified reactive species

Chenghuan Song,Wanying Huang,Pingao Zhang,Jiyun Shi,Ting Yu,Jing Wang,Yongbo Hu,Lanxue Zhao,Rui Zhang,Gang Wang,Yongfang Zhang,Hongzhuan Chen,Hao Wang

Journal of medical virology 96:e29730 PubMed38860570

2024

Guanylate-binding protein 1 inhibits Hantaan virus infection by restricting virus entry.

Applications

Unspecified application

Species

Unspecified reactive species

Tianle Gu,Sirui Qu,Junmei Zhang,Qikang Ying,Xiaoxiao Zhang,Yunhua Lv,Rongrong Liu,Yunan Feng,Fang Wang,Xingan Wu

Science advances 10:eadh3409 PubMed38277448

2024

Ku70 senses cytosolic DNA and assembles a tumor-suppressive signalosome.

Applications

Unspecified application

Species

Unspecified reactive species

Abhimanu Pandey,Cheng Shen,Shouya Feng,Daniel Enosi Tuipulotu,Chinh Ngo,Cheng Liu,Melan Kurera,Anukriti Mathur,Shweta Venkataraman,Jing Zhang,Dipti Talaulikar,Renhua Song,Justin J-L Wong,Narci Teoh,Nadeem O Kaakoush,Si Ming Man

Small (Weinheim an der Bergstrasse, Germany) 19:e2204293 PubMed36965074

2023

Physicochemical Properties and Route of Systemic Delivery Control the In Vivo Dynamics and Breakdown of Radiolabeled Gold Nanostars.

Applications

Unspecified application

Species

Unspecified reactive species

Xiaona Wen,Luping Ou,Gabriel Cutshaw,Saji Uthaman,Yu-Chuan Ou,Tian Zhu,Sarah Szakas,Brandon Carney,Jacob Houghton,Alexander Gundlach-Graham,Marjan Rafat,Kai Yang,Rizia Bardhan

Biomaterials science 11:263-277 PubMed36440740

2022

Single-component lipid nanoparticles for engineering SOCS1 gene-silenced dendritic cells to boost tumor immunotherapy.

Applications

Unspecified application

Species

Unspecified reactive species

Zexuan Yu,Mengtong Wu,Yingshuang Huang,Yishu Wang,Yijun Chen,Qiulin Long,Ziming Lin,Lingjing Xue,Caoyun Ju,Can Zhang

iScience 25:105444 PubMed36310646

2022

Impairment of antiviral immune response and disruption of cellular functions by SARS-CoV-2 ORF7a and ORF7b.

Applications

Unspecified application

Species

Unspecified reactive species

Tránsito García-García,Raúl Fernández-Rodríguez,Natalia Redondo,Ana de Lucas-Rius,Sara Zaldívar-López,Blanca Dies López-Ayllón,José M Suárez-Cárdenas,Ángeles Jiménez-Marín,María Montoya,Juan J Garrido

Anesthesia and analgesia 136:779-788 PubMed35880774

2022

Ketamine Induces Delirium-Like Behavior and Interferes With Endosomal Tau Trafficking.

Applications

Unspecified application

Species

Unspecified reactive species

Xinghua Ren,Siyi Zhang,Yongyan Yang,Annie Song,Feng Liang,Yiying Zhang,Yuanlin Dong,Xu Wu,Zhongcong Xie

Biomacromolecules 23:2586-2594 PubMed35641881

2022

Strategic Insights into Engineering Parameters Affecting Cell Type-Specific Uptake of DNA-Based Nanomaterials.

Applications

Unspecified application

Species

Unspecified reactive species

Marianna M Koga,Alice Comberlato,Hugo J Rodríguez-Franco,Maartje M C Bastings

Scientific reports 12:4980 PubMed35322139

2022

Neuron-recognizable characteristics of peptides recombined using a neuronal binding domain of botulinum neurotoxin.

Applications

Unspecified application

Species

Unspecified reactive species

Hye Rin Kim,Younghun Jung,Jonghyeok Shin,Myungseo Park,Dae-Hyuk Kweon,Choongjin Ban
View all publications

Abcam Product Promise

我们致力于为您的研究提供高质量的试剂,为您科研的每一步提供支持。若我们的产品未能达到预期性能,我们向您提供 Abcam Product Promise 保障。
详情请参阅我们的条款与条件。

Please note: All products are 'FOR RESEARCH USE ONLY. NOT FOR USE IN DIAGNOSTIC OR THERAPEUTIC PROCEDURES'.

For licensing inquiries, please contact partnerships@abcam.com