JavaScript is disabled in your browser. Please enable JavaScript to view this website.
AB108974

重组Anti-Rab4抗体[EPR3042] - Early Endosome Marker

Anti-Rab4 antibody [EPR3042] - Early Endosome Marker

  • RabMAb
  • Recombinant
  • KO Validated
  • Lab Essentials
  • 了解详情

Be the first to review this product! Submit a review

|

(6 Publications)

Rabbit Recombinant Monoclonal Rab4 antibody. Early Endosome marker. Suitable for WB, ICC/IF and reacts with Mouse, Rat, Human samples. Cited in 6 publications.

查看别名

RAB4, RAB4A, Ras-related protein Rab-4A

6 Images
Immunocytochemistry/ Immunofluorescence - Anti-Rab4 antibody [EPR3042] - Early Endosome Marker (AB108974)
  • ICC/IF

Unknown

Immunocytochemistry/ Immunofluorescence - Anti-Rab4 antibody [EPR3042] - Early Endosome Marker (AB108974)

Immunofluorescent staining of Rab4 in HeLa cells, using unpurified ab108974 at a 1/100 dilution.

Immunocytochemistry/ Immunofluorescence - Anti-Rab4 antibody [EPR3042] - Early Endosome Marker (AB108974)
  • ICC/IF

Lab

Immunocytochemistry/ Immunofluorescence - Anti-Rab4 antibody [EPR3042] - Early Endosome Marker (AB108974)

Immunocytochemistry/ Immunofluorescence analysis of MCF7 (Human breast adenocarcinoma epithelial cell) cells labeling Rab4 with purified ab108974 at 1 : 100 dilution (8.8μg/ml). Cells were fixed in 4% Paraformaldehyde and permeabilized with 0.1% tritonX-100. Cells were counterstained with ab195889 Anti-alpha Tubulin antibody [DM1A] - Microtubule Marker (Alexa Fluor® 594) 1 : 200 (2.5 μg/ml). ab150077 Goat anti rabbit IgG(Alexa Fluor® 488) was used as the secondary antibody at 1 : 1000 dilution. DAPI nuclear counterstain. PBS instead of the primary antibody was used as the secondary antibody only control.

Western blot - Anti-Rab4 antibody [EPR3042] - Early Endosome Marker (AB108974)
  • WB

Lab

Western blot - Anti-Rab4 antibody [EPR3042] - Early Endosome Marker (AB108974)

Lane 1 : Wild-type HAP1 cell lysate (20 μg)
Lane 2 : Rab4 knockout HAP1 cell lysate (20 μg)
Lane 3 : HeLa cell lysate (20 μg)
Lane 4 : Human fetal brain cell lysate (20 μg)
Lanes 1 - 4 : Merged signal (red and green). Green - ab108974 observed at 24 kDa. Red - loading control, ab8245, observed at 37 kDa.

Unpurified ab108974 was shown to recognize Rab4 when Rab4 knockout samples were used, along with additional cross-reactive bands. Wild-type and Rab4 knockout samples were subjected to SDS-PAGE. Unpurified ab108974 and ab8245 (loading control to GAPDH) were both diluted 1/2000 and incubated overnight at 4°C. Blots were developed with Goat anti-Rabbit IgG H&L (IRDye® 800CW) preadsorbed (ab216773) and Goat anti-Mouse IgG H&L (IRDye® 680RD) preadsorbed (ab216776) secondary antibodies at 1/10 000 dilution for 1 h at room temperature before imaging.

All lanes:

Western blot - Anti-Rab4 antibody [EPR3042] - Early Endosome Marker (ab108974)

Predicted band size: 24 kDa

false

Western blot - Anti-Rab4 antibody [EPR3042] - Early Endosome Marker (AB108974)
  • WB

Lab

Western blot - Anti-Rab4 antibody [EPR3042] - Early Endosome Marker (AB108974)

Lanes 1- 2 : Merged signal (red and green). Green - ab108974 observed at 24 kDa. Red - Anti-GAPDH antibody [6C5] - Loading Control (ab8245) observed at 37 kDa.

ab108974 was shown to react with Rab4 in wild-type HeLa cells in western blot. Loss of signal was observed when knockout cell line ab264781 (knockout cell lysate ab257624) was used. Wild-type HeLa and RAB4A knockout HeLa cell lysates were subjected to SDS-PAGE. ab108974 and Anti-GAPDH antibody [6C5] - Loading Control (ab8245) overnight at 4°C at a 1 in 1000 Dilution and a 1 in 20000 dilution respectively. Blots were developed with Goat anti-Rabbit IgG H&L (IRDye®800CW) preadsorbed (ab216773) and Goat anti-Mouse IgG H&L (IRDye®680RD) preadsorbed (ab216776) secondary antibodies at 1 in 20000 dilution for 1 hour at room temperature before imaging.

All lanes:

Western blot - Anti-Rab4 antibody [EPR3042] - Early Endosome Marker (ab108974) at 1/1000 dilution

Lane 1:

Wild-type HeLa cell lysate at 40 µg

Lane 2:

RAB4A knockout HeLa cell lysate at 40 µg

Predicted band size: 152 kDa,24 kDa,41 kDa

Observed band size: 24 kDa,44 kDa,80 kDa

false

Western blot - Anti-Rab4 antibody [EPR3042] - Early Endosome Marker (AB108974)
  • WB

Lab

Western blot - Anti-Rab4 antibody [EPR3042] - Early Endosome Marker (AB108974)

Blocking and diluting buffer : 5% NFDM/TBST

All lanes:

Western blot - Anti-Rab4 antibody [EPR3042] - Early Endosome Marker (ab108974) at 1/2000 dilution

Lane 1:

MCF7 (Human breast adenocarcinoma epithelial cell) whole cell lysates at 20 µg

Lane 2:

PC-12 (Rat adrenal gland pheochromocytoma) whole cell lysates at 20 µg

Lane 3:

Neuro-2a (Mouse neuroblastoma neuroblast) whole cell lysates at 20 µg

Lane 4:

Mouse brain lysates at 20 µg

Lane 5:

Rat brain lysates at 20 µg

Secondary

All lanes:

Western blot - Goat Anti-Rabbit IgG H&L (HRP) (<a href='/products/secondary-antibodies/goat-rabbit-igg-h-l-hrp-ab97051'>ab97051</a>) at 1/20000 dilution

Predicted band size: 24 kDa

Observed band size: 25 kDa

false

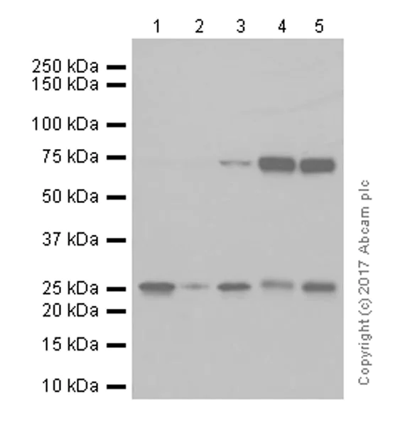
Western blot - Anti-Rab4 antibody [EPR3042] - Early Endosome Marker (AB108974)
  • WB

Unknown

Western blot - Anti-Rab4 antibody [EPR3042] - Early Endosome Marker (AB108974)

All lanes:

Western blot - Anti-Rab4 antibody [EPR3042] - Early Endosome Marker (ab108974) at 1/2000 dilution

Lane 1:

MCF7 cell lysates at 10 µg

Lane 2:

PC12 cell lysates at 10 µg

Lane 3:

Fetal brain cell lysates at 10 µg

Secondary

All lanes:

HRP labelled goat anti-rabbit at 1/2000 dilution

Predicted band size: 24 kDa

Observed band size: 25 kDa

false

不同偶联物与剂型 (2)

  • HRP

    HRP Anti-Rab4 antibody [EPR3042] - Early Endosome Marker

  • Carrier free

    Anti-Rab4 antibody [EPR3042] - BSA and Azide free

关键信息

宿主种属

Rabbit

克隆

Monoclonal

克隆号

EPR3042

亚型

IgG

不含载体蛋白

No

反应种属

Mouse, Rat, Human

应用

WB, ICC/IF

applications

免疫原

The exact immunogen used to generate this antibody is proprietary information.

反应性数据

{ "title": "Reactivity Data", "filters": { "stats": ["", "Species", "Dilution Info", "Notes"], "tabs": { "all-applications": {"fullname" : "All Applications", "shortname": "All Applications"}, "FlowCyt" : {"fullname" : "Flow Cytometry", "shortname":"Flow Cyt"}, "WB" : {"fullname" : "Western blot", "shortname":"WB"}, "IHCP" : {"fullname" : "Immunohistochemistry (Formalin/PFA-fixed paraffin-embedded sections)", "shortname":"IHC-P"}, "ICCIF" : {"fullname" : "Immunocytochemistry/ Immunofluorescence", "shortname":"ICC/IF"} }, "product-promise": { "all": "all", "testedAndGuaranteed": "tested", "guaranteed": "expected", "predicted": "predicted", "notRecommended": "not-recommended" } }, "values": { "Human": { "FlowCyt-species-checked": "notRecommended", "FlowCyt-species-dilution-info": "", "FlowCyt-species-notes": "<p></p>", "WB-species-checked": "testedAndGuaranteed", "WB-species-dilution-info": "1/2000 - 1/10000", "WB-species-notes": "<p></p>", "IHCP-species-checked": "notRecommended", "IHCP-species-dilution-info": "", "IHCP-species-notes": "<p></p>", "ICCIF-species-checked": "testedAndGuaranteed", "ICCIF-species-dilution-info": "1/100 - 1/250", "ICCIF-species-notes": "<p></p>" }, "Mouse": { "FlowCyt-species-checked": "notRecommended", "FlowCyt-species-dilution-info": "", "FlowCyt-species-notes": "<p></p>", "WB-species-checked": "testedAndGuaranteed", "WB-species-dilution-info": "1/2000 - 1/10000", "WB-species-notes": "<p></p>", "IHCP-species-checked": "notRecommended", "IHCP-species-dilution-info": "", "IHCP-species-notes": "<p></p>", "ICCIF-species-checked": "guaranteed", "ICCIF-species-dilution-info": "", "ICCIF-species-notes": "" }, "Rat": { "FlowCyt-species-checked": "notRecommended", "FlowCyt-species-dilution-info": "", "FlowCyt-species-notes": "<p></p>", "WB-species-checked": "testedAndGuaranteed", "WB-species-dilution-info": "1/2000 - 1/10000", "WB-species-notes": "<p></p>", "IHCP-species-checked": "notRecommended", "IHCP-species-dilution-info": "", "IHCP-species-notes": "<p></p>", "ICCIF-species-checked": "guaranteed", "ICCIF-species-dilution-info": "", "ICCIF-species-notes": "" } } }

产品详情

Patented technology
Our RabMAb® technology is a patented hybridoma-based technology for making rabbit monoclonal antibodies. For details on our patents, please refer to RabMAb® patents.

What are the advantages of a recombinant monoclonal antibody?
This product is a recombinant monoclonal antibody, which offers several advantages including:

  • - High batch-to-batch consistency and reproducibility
  • - Improved sensitivity and specificity
  • - Long-term security of supply
  • - Animal-free batch production

For more information, read more on recombinant antibodies.

性能和储存信息

形式
Liquid
纯化工艺
Affinity purification Protein A
存储溶液
pH: 7.2 - 7.4 Preservative: 0.01% Sodium azide Constituents: PBS, 40% Glycerol (glycerin, glycerine), 0.05% BSA
运输条件
Blue Ice
推荐的短期储存时间
1-2 weeks
推荐的短期储存条件
+4°C
推荐的长期储存条件
-20°C
分装信息
Upon delivery aliquot
储存信息
Avoid freeze / thaw cycle|Stable for 12 months at -20°C

补充信息

This supplementary information is collated from multiple sources and compiled automatically.

Rab4 also known as Ras-related protein Rab-4A is a small GTPase with a molecular mass of approximately 24 kDa. This protein is expressed in various cell types predominantly in tissues with high endocytic activity. Rab4 primarily functions as an endosome marker cooperating with the endocytic machinery to regulate sorting and recycling of endosomes. It occupies key positions on early endosomes relevant to its role in vesicular trafficking and membrane transportation. Endosome staining typically identifies Rab4 as an essential component in understanding endocytosis dynamics.
Biological function summary

Rab4 coordinates the trafficking of cargo between endosomes and the plasma membrane. It usually forms part of a protein complex that governs the recycling pathway of internalized membrane proteins and lipids. Rab4 modulates various cellular processes by impacting the rapid recycling of receptors receptors often return to the cell surface in response to Rab4 regulation. This action is important for maintaining cellular homeostasis and efficient signal transduction serving as a checkpoint for receptor-mediated events.

Pathways

The protein plays significant roles in the endocytic recycling pathway and the insulin signaling pathway. Rab4's activity influences the trafficking cycle often interacting with other proteins such as Rab11 and Rab5 to ensure efficient cargo movement within cells. By facilitating swift endosome recycling Rab4 has a direct impact on intracellular signaling and trafficking pathways supporting a range of cellular activities. This concerted interaction accentuates its importance in managing endosomal traffic and maintaining cellular connectivity.

Rab4 has implications in neurodegenerative disease and cancer. Abnormal Rab4 function disrupts endosomal signaling contributing to the pathogenesis of conditions like Alzheimer’s disease where it interacts with proteins such as amyloid precursor protein (APP). In cancer the dysregulation of Rab4-associated pathways affects tumor progression and metastasis. Rab4's connection with proteins like EGFR (Epidermal Growth Factor Receptor) indicates its potential role in altering cancer cell behaviors and resistance mechanisms making it a focus of interest in therapeutic approaches.

产品实验方案

For this product, it's our understanding that no specific protocols are required. You can visit:

靶点信息

Small GTPase which cycles between an active GTP-bound and an inactive GDP-bound state (PubMed : 15907487, PubMed : 16034420). Involved in protein transport (PubMed : 29425100). Plays a role in vesicular traffic. Mediates VEGFR2 endosomal trafficking to enhance VEGFR2 signaling (PubMed : 29425100). Acts as a regulator of platelet alpha-granule release during activation and aggregation of platelets (By similarity).
See full target information RAB4A

文献 (6)

Recent publications for all applications. Explore the full list and refine your search

Nature communications 15:2598 PubMed38519468

2024

Rab4A-directed endosome traffic shapes pro-inflammatory mitochondrial metabolism in T cells via mitophagy, CD98 expression, and kynurenine-sensitive mTOR activation.

Applications

Unspecified application

Species

Unspecified reactive species

Nick Huang,Thomas Winans,Brandon Wyman,Zachary Oaks,Tamas Faludi,Gourav Choudhary,Zhi-Wei Lai,Joshua Lewis,Miguel Beckford,Manuel Duarte,Daniel Krakko,Akshay Patel,Joy Park,Tiffany Caza,Mahsa Sadeghzadeh,Laurence Morel,Mark Haas,Frank Middleton,Katalin Banki,Andras Perl

EMBO reports 23:e53373 PubMed34994492

2022

Amino acid starvation-induced LDLR trafficking accelerates lipoprotein endocytosis and LDL clearance.

Applications

Unspecified application

Species

Unspecified reactive species

Ye Chen,Xiao Wu,Jing Zhang,Guopin Pan,Xiaoyun Wang,Xiaosun Guo,Jianli Wang,Xiaopei Cui,Haiqing Gao,Mei Cheng,Jingwen Yang,Cheng Zhang,Fan Jiang

Biochemistry 58:2628-2641 PubMed30896156

2019

Exploring Endocytosis and Intracellular Trafficking of the Human Serotonin Receptor.

Applications

Unspecified application

Species

Unspecified reactive species

G Aditya Kumar,Parijat Sarkar,Md Jafurulla,Shishu Pal Singh,Gunda Srinivas,Gopal Pande,Amitabha Chattopadhyay

Nature methods 15:909-912 PubMed30377371

2018

A high-throughput pipeline for validation of antibodies.

Applications

Unspecified application

Species

Unspecified reactive species

Krzysztof Sikorski,Adi Mehta,Marit Inngjerdingen,Flourina Thakor,Simon Kling,Tomas Kalina,Tuula A Nyman,Maria Ekman Stensland,Wei Zhou,Gustavo A de Souza,Lars Holden,Jan Stuchly,Markus Templin,Fridtjof Lund-Johansen

The Journal of biological chemistry 293:3421-3435 PubMed29317492

2018

A protein interaction network centered on leucine-rich repeats and immunoglobulin-like domains 1 (LRIG1) regulates growth factor receptors.

Applications

Unspecified application

Species

Unspecified reactive species

Mahmood Faraz,Carl Herdenberg,Camilla Holmlund,Roger Henriksson,Håkan Hedman

Neuroscience 361:93-107 PubMed28818525

2017

Whole-transcriptome microarray analysis reveals regulation of Rab4 by RBM5 in neurons.

Applications

Unspecified application

Species

Unspecified reactive species

Travis C Jackson,Shawn E Kotermanski,Patrick M Kochanek
View all publications

Abcam Product Promise

我们致力于为您的研究提供高质量的试剂,为您科研的每一步提供支持。若我们的产品未能达到预期性能,我们向您提供 Abcam Product Promise 保障。
详情请参阅我们的条款与条件。

Please note: All products are 'FOR RESEARCH USE ONLY. NOT FOR USE IN DIAGNOSTIC OR THERAPEUTIC PROCEDURES'.

For licensing inquiries, please contact partnerships@abcam.com