JavaScript is disabled in your browser. Please enable JavaScript to view this website.
AB302623

重组Anti-PU.1/Spi1抗体[EPR25123-110]

Anti-PU.1/Spi1 antibody [EPR25123-110]

  • BOND RX™ Validated
  • 20ul selling size
  • RabMAb
  • Advanced Validation
  • Recombinant
  • 了解详情

Be the first to review this product! Submit a review

|

(5 Publications)

Rabbit Recombinant Monoclonal PU.1/Spi1 antibody. Suitable for ChIP, IP, Flow Cyt (Intra), ICC/IF, IHC-P, WB, ChIC/CUT&RUN-seq and reacts with Human samples. Cited in 5 publications.

查看别名

Transcription factor PU.1, 31 kDa-transforming protein, SPI1

13 Images
Immunocytochemistry/ Immunofluorescence - Anti-PU.1/Spi1 antibody [EPR25123-110] (AB302623)
  • ICC/IF

Supplier Data

Immunocytochemistry/ Immunofluorescence - Anti-PU.1/Spi1 antibody [EPR25123-110] (AB302623)

Immunofluorescent analysis of 4% Paraformaldehyde-fixed, 0.1% TritonX-100 permeabilized THP-1 (human monocytic leukemia monocyte) cells labelling PU.1/Spi1 with ab302623 at 1/250 (1.868 ug/ml) dilution, followed by ab150081 Goat Anti-Rabbit IgG H&L (Alexa Fluor® 488) preadsorbed antibody at 1/1000 2ug/mL dilution (Green). Confocal image showing nuclear staining in THP-1 cell line.Negative control : Hela (PMID : 27010793) is observed. ab195889 Anti-alpha Tubulin mouse monoclonal antibody - Microtubule Marker (Alexa Fluor® 594) was used to counterstain tubulin at 1/200 2.5ug/ml dilution (Red). The Nuclear counterstain was DAPI (Blue). Secondary antibody only control : Secondary antibody is ab150081 Goat Anti-Rabbit IgG H&L (Alexa Fluor® 488) preadsorbed at 1/1000 2ug/mL dilution.

Flow Cytometry (Intracellular) - Anti-PU.1/Spi1 antibody [EPR25123-110] (AB302623)
  • Flow Cyt (Intra)

Supplier Data

Flow Cytometry (Intracellular) - Anti-PU.1/Spi1 antibody [EPR25123-110] (AB302623)

Flow cytometric analysis of 4% paraformaldehyde fixed 90% methanol permeabilized THP-1 (human monocytic leukemia monocyte) cells labelling PU.1/Spi1 with ab302623 at 1/500 dilution (0.1ug) (Red) (Red) compared with a Rabbit monoclonal IgG (ab172730) (Black) isotype control and an unlabelled control (cells without incubation with primary antibody and secondary antibody) (Blue). A Goat Anti-Rabbit IgG (Alexa Fluor® 488, ab150081) at 1/2000 dilution was used as the secondary antibody.

Flow Cytometry (Intracellular) - Anti-PU.1/Spi1 antibody [EPR25123-110] (AB302623)
  • Flow Cyt (Intra)

Supplier Data

Flow Cytometry (Intracellular) - Anti-PU.1/Spi1 antibody [EPR25123-110] (AB302623)

Flow cytometric analysis of 4% paraformaldehyde fixed 90% methanol permeabilized HeLa (human cervix adenocarcinoma epithelial cell, Left) / U937 (human histiocytic lymphoma monocyte, Right) cells labelling PU.1/Spi1 with ab302623 at 1/500 dilution (0.1ug) (Red) (Red) compared with a Rabbit monoclonal IgG (ab172730) (Black) isotype control and an unlabelled control (cells without incubation with primary antibody and secondary antibody) (Blue). A Goat Anti-Rabbit IgG (Alexa Fluor® 488, ab150081) at 1/2000 dilution was used as the secondary antibody. Negative control : HeLa (PMID : 27010793)

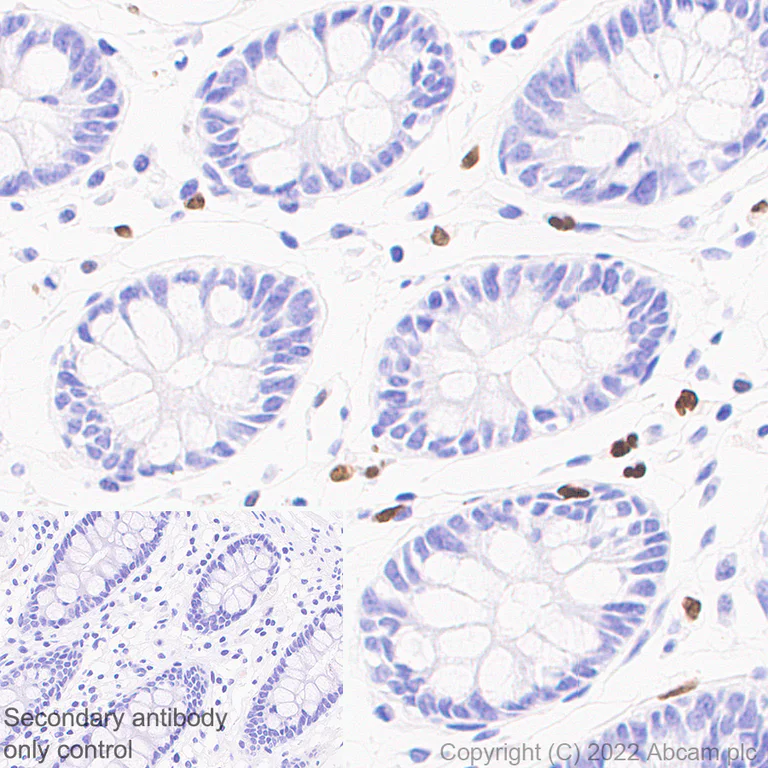
Immunohistochemistry (Formalin/PFA-fixed paraffin-embedded sections) - Anti-PU.1/Spi1 antibody [EPR25123-110] (AB302623)
  • IHC-P

Supplier Data

Immunohistochemistry (Formalin/PFA-fixed paraffin-embedded sections) - Anti-PU.1/Spi1 antibody [EPR25123-110] (AB302623)

Immunohistochemical analysis of paraffin-embedded Human colon tissue labeling PU.1/Spi1 with ab302623 at 1/1000 (0.467 ug/ml) followed by a ready to use LeicaDS9800 (Bond™ Polymer Refine Detection) was used. Positive staining in immune cells of human colon (PMID : 28681454). The section was incubated with ab302623 for 30 mins at room temperature. The immunostaining was performed on a Leica Biosystems BOND® RX instrument. Counterstained with Hematoxylin. Secondary antibody only control : Secondary antibody is a ready to use LeicaDS9800 (Bond™ Polymer Refine Detection) was used. Heat mediated antigen retrieval with Tris-EDTA buffer (pH 9.0, epitope retrieval solution2) for 20 mins

Immunocytochemistry/ Immunofluorescence - Anti-PU.1/Spi1 antibody [EPR25123-110] (AB302623)
  • ICC/IF

Supplier Data

Immunocytochemistry/ Immunofluorescence - Anti-PU.1/Spi1 antibody [EPR25123-110] (AB302623)

Immunofluorescent analysis of 4% Paraformaldehyde-fixed, 0.1% TritonX-100 permeabilized U-937 (human histiocytic lymphoma monocyte) cells labelling PU.1/Spi1 with ab302623 at 1/250 (1.868 ug/ml) dilution, followed by ab150081 Goat Anti-Rabbit IgG H&L (Alexa Fluor® 488) preadsorbed antibody at 1/1000 2ug/mL dilution (Green). Confocal image showing nuclear staining in U-937 cell line. is observed. ab195889 Anti-alpha Tubulin mouse monoclonal antibody - Microtubule Marker (Alexa Fluor® 594) was used to counterstain tubulin at 1/200 2.5ug/ml dilution (Red). The Nuclear counterstain was DAPI (Blue). Secondary antibody only control : Secondary antibody is ab150081 Goat Anti-Rabbit IgG H&L (Alexa Fluor® 488) preadsorbed at 1/1000 2ug/mL dilution.

Immunohistochemistry (Formalin/PFA-fixed paraffin-embedded sections) - Anti-PU.1/Spi1 antibody [EPR25123-110] (AB302623)
  • IHC-P

Supplier Data

Immunohistochemistry (Formalin/PFA-fixed paraffin-embedded sections) - Anti-PU.1/Spi1 antibody [EPR25123-110] (AB302623)

Immunohistochemical analysis of paraffin-embedded Human diffuse large tissue labeling PU.1/Spi1 with ab302623 at 1/1000 (0.467 ug/ml) followed by a ready to use LeicaDS9800 (Bond™ Polymer Refine Detection) was used. Positive staining in human diffuse large B-cell lymphoma (PMID : 16648862). The section was incubated with ab302623 for 30 mins at room temperature. The immunostaining was performed on a Leica Biosystems BOND® RX instrument. Counterstained with Hematoxylin. Secondary antibody only control : Secondary antibody is a ready to use LeicaDS9800 (Bond™ Polymer Refine Detection) was used. Heat mediated antigen retrieval with Tris-EDTA buffer (pH 9.0, epitope retrieval solution2) for 20 mins

ChIP - Anti-PU.1/Spi1 antibody [EPR25123-110] (AB302623)
  • ChIP

Lab

ChIP - Anti-PU.1/Spi1 antibody [EPR25123-110] (AB302623)

Chromatin was prepared from U-937 cells according to the Abcam Dual-X-ChIP protocol. Cells were fixed with 1.5 mM EGS for 30mins and then formaldehyde for 10min. The ChIP was performed with 25 µg of chromatin, 5 µg of ab302623 (red), or 5 µg of rabbit normal IgG ab172730 (gray) and 25 µl of Protein A/G Dynabeads. The immunoprecipitated DNA was quantified by real time PCR (Sybr green approach).

Primers and probes are from paper PMID : 21402070, 21094529, 26622774

Immunoprecipitation - Anti-PU.1/Spi1 antibody [EPR25123-110] (AB302623)
  • IP

Supplier Data

Immunoprecipitation - Anti-PU.1/Spi1 antibody [EPR25123-110] (AB302623)

PU.1/Spi1 was immunoprecipitated from 0.35 mg THP-1 (human monocytic leukemia monocyte), whole cell lysate 10 µg with ab302623 at 1/30 dilution (2µg in 0.35mg lysates). Western blot was performed on the immunoprecipitate using ab302623 at 1/1000 dilution. VeriBlot for IP secondary antibody(HRP)(ab131366) was used at 1/5000 dilution.

Lane 1 : THP-1 (human monocytic leukemia monocyte), whole cell lysate 10 µg
Lane 2 : ab302623 IP in THP-1 whole cell lysate
Lane 3 : Rabbit monoclonal IgG (ab172730) instead of ab302623 in THP-1 whole cell lysate

Blocking and dilution buffer and concentration : 5% NFDM/TBST.

All lanes:

Immunoprecipitation - Anti-PU.1/Spi1 antibody [EPR25123-110] (ab302623) at 1/30 dilution

All lanes:

THP-1 (human monocytic leukemia monocyte), whole cell lysate

Secondary

All lanes:

Immunoprecipitation - VeriBlot for IP Detection Reagent (HRP) (<a href='/products/reagents/veriblot-for-ip-detection-reagent-hrp-ab131366'>ab131366</a>) at 1/5000 dilution

Predicted band size: 31 kDa

Observed band size: 31 kDa

false

Exposure time: 3min

Western blot - Anti-PU.1/Spi1 antibody [EPR25123-110] (AB302623)
  • WB

Lab

Western blot - Anti-PU.1/Spi1 antibody [EPR25123-110] (AB302623)

Exposure time : Lane 1-2 : 180 seconds; Lane 3-4 : 20 seconds

In Western blot, Anti-GAPDH antibody [EPR16891] - Loading Control (ab181602) staining at 1/1000000 dilution.

ab76543 is more sensitive than ab302623 in WB testing.

Lanes 1 - 2:

Western blot - Anti-PU.1/Spi1 antibody [EPR25123-110] (ab302623) at 1/1000 dilution

Lanes 1 - 4:

Western blot - Anti-PU.1/Spi1 antibody [EPR25123-110] (BSA and Azide free) (<a href='/products/primary-antibodies/pu1-spi1-antibody-epr25123-110-bsa-and-azide-free-ab302624'>ab302624</a>) at 1/1000 dilution

Lanes 3 - 4:

Western blot - Anti-PU.1/Spi1 antibody [EPR3158Y] (<a href='/products/primary-antibodies/pu1-spi1-antibody-epr3158y-ab76543'>ab76543</a>) at 1/1000 dilution

Lanes 1 and 3:

Daudi whole cell lysate at 20 µg

Lanes 2 and 4:

Raji whole cell lysate at 20 µg

Secondary

All lanes:

Western blot - Goat Anti-Rabbit IgG H&L (HRP) (<a href='/products/secondary-antibodies/goat-rabbit-igg-h-l-hrp-ab97051'>ab97051</a>) at 1/20000 dilution

Predicted band size: 31 kDa

Observed band size: 37-42 kDa

false

Western blot - Anti-PU.1/Spi1 antibody [EPR25123-110] (AB302623)
  • WB

Supplier Data

Western blot - Anti-PU.1/Spi1 antibody [EPR25123-110] (AB302623)

Blocking and diluting buffer and concentration : 5% NFDM/TBST.

Negative control : HeLa (PMID : 27010793)

This blot was developed using a high sensitivity ECL substrate. The high-sensitivity ECL substrate used allows for the detection of proteins in the mid-femtogram range.

All lanes:

Western blot - Anti-PU.1/Spi1 antibody [EPR25123-110] (ab302623) at 1/1000 dilution

Lane 1:

THP-1 (human monocytic leukemia monocyte), whole cell lysate at 20 µg

Lane 2:

U937 (human histiocytic lymphoma monocyte), whole cell lysate at 20 µg

Lane 3:

Daudi (human Burkitts lymphoma lymphoblast), whole cell lysate at 20 µg

Lane 4:

HeLa (human cervix adenocarcinoma epithelial cell), whole cell lysate at 20 µg

Secondary

All lanes:

Western blot - Goat Anti-Rabbit IgG H&L (HRP) (<a href='/products/secondary-antibodies/goat-rabbit-igg-h-l-hrp-ab97051'>ab97051</a>) at 1/100000 dilution

Observed band size: 31 kDa

true

Exposure time: 3min

ChIC/CUT&RUN sequencing - Anti-PU.1/Spi1 antibody [EPR25123-110] (AB302623)
  • ChIC/CUT&RUN-seq

Lab

ChIC/CUT&RUN sequencing - Anti-PU.1/Spi1 antibody [EPR25123-110] (AB302623)

ChIC/CUT&RUN was performed using a pAG-MNase at a final concentration of 700 ng/mL, 2.5 x 10^5 THP-1 (Human monocytic leukemia monocyte) cells and 5 µg of ab302623 [EPR25123-110]. The resulting DNA was sequenced on the Illumina NovaSeq 6000 to a depth of 10 million reads. The negative IgG control ab172730 is also shown. The University of Geneva owns patents relevant to ChIC (Chromatin Immuno-Cleavage) methods."

ChIC/CUT&RUN sequencing - Anti-PU.1/Spi1 antibody [EPR25123-110] (AB302623)
  • ChIC/CUT&RUN-seq

Lab

ChIC/CUT&RUN sequencing - Anti-PU.1/Spi1 antibody [EPR25123-110] (AB302623)

ChIC/CUT&RUN was performed using a pAG-MNase at a final concentration of 700 ng/mL, 2.5 x 10^5 THP-1 (Human monocytic leukemia monocyte) cells and 5 µg of ab302623 [EPR25123-110]. The resulting DNA was sequenced on the Illumina NovaSeq 6000 to a depth of 10 million reads. The negative IgG control ab172730 is also shown. The University of Geneva owns patents relevant to ChIC (Chromatin Immuno-Cleavage) methods."

ChIC/CUT&RUN sequencing - Anti-PU.1/Spi1 antibody [EPR25123-110] (AB302623)
  • ChIC/CUT&RUN-seq

Lab

ChIC/CUT&RUN sequencing - Anti-PU.1/Spi1 antibody [EPR25123-110] (AB302623)

ChIC/CUT&RUN was performed using a pAG-MNase at a final concentration of 700 ng/mL, 2.5 x 10^5 THP-1 (Human monocytic leukemia monocyte) cells and 5 µg of ab302623 [EPR25123-110]. The resulting DNA was sequenced on the Illumina NovaSeq 6000 to a depth of 10 million reads. The negative IgG control ab172730 is also shown. The University of Geneva owns patents relevant to ChIC (Chromatin Immuno-Cleavage) methods."

关键信息

宿主种属

Rabbit

克隆

Monoclonal

克隆号

EPR25123-110

亚型

IgG

不含载体蛋白

No

反应种属

Human

应用

ICC/IF, ChIP, Flow Cyt (Intra), IP, ChIC/CUT&RUN-seq, IHC-P, WB

applications

免疫原

The exact immunogen used to generate this antibody is proprietary information.

反应性数据

{ "title": "Reactivity Data", "filters": { "stats": ["", "Species", "Dilution Info", "Notes"], "tabs": { "all-applications": {"fullname" : "All Applications", "shortname": "All Applications"}, "ChIP" : {"fullname" : "ChIP", "shortname":"ChIP"}, "IP" : {"fullname" : "Immunoprecipitation", "shortname":"IP"}, "FlowCytIntra" : {"fullname" : "Flow Cytometry (Intracellular)", "shortname":"Flow Cyt (Intra)"}, "ICCIF" : {"fullname" : "Immunocytochemistry/ Immunofluorescence", "shortname":"ICC/IF"}, "IHCP" : {"fullname" : "Immunohistochemistry (Formalin/PFA-fixed paraffin-embedded sections)", "shortname":"IHC-P"}, "WB" : {"fullname" : "Western blot", "shortname":"WB"}, "ChICCUTRUNseq" : {"fullname" : "ChIC/CUT&RUN sequencing", "shortname":"ChIC/CUT&RUN-seq"} }, "product-promise": { "all": "all", "testedAndGuaranteed": "tested", "guaranteed": "expected", "predicted": "predicted", "notRecommended": "not-recommended" } }, "values": { "Human": { "ChIP-species-checked": "testedAndGuaranteed", "ChIP-species-dilution-info": "5 µg/mL", "ChIP-species-notes": "<p></p>", "IP-species-checked": "testedAndGuaranteed", "IP-species-dilution-info": "1/30", "IP-species-notes": "<p></p>", "FlowCytIntra-species-checked": "testedAndGuaranteed", "FlowCytIntra-species-dilution-info": "1/500", "FlowCytIntra-species-notes": "<p></p>", "ICCIF-species-checked": "testedAndGuaranteed", "ICCIF-species-dilution-info": "1/250", "ICCIF-species-notes": "<p></p>", "IHCP-species-checked": "testedAndGuaranteed", "IHCP-species-dilution-info": "1/1000", "IHCP-species-notes": "<p></p> Perform heat-mediated antigen retrieval with Tris/EDTA buffer pH 9.0 before commencing with IHC staining protocol.", "WB-species-checked": "testedAndGuaranteed", "WB-species-dilution-info": "1/1000", "WB-species-notes": "<p></p>", "ChICCUTRUNseq-species-checked": "testedAndGuaranteed", "ChICCUTRUNseq-species-dilution-info": "", "ChICCUTRUNseq-species-notes": "<p></p>" }, "Mouse": { "ChIP-species-checked": "notRecommended", "ChIP-species-dilution-info": "", "ChIP-species-notes": "", "IP-species-checked": "notRecommended", "IP-species-dilution-info": "", "IP-species-notes": "", "FlowCytIntra-species-checked": "notRecommended", "FlowCytIntra-species-dilution-info": "1/500", "FlowCytIntra-species-notes": "<p></p>", "ICCIF-species-checked": "notRecommended", "ICCIF-species-dilution-info": "1/250", "ICCIF-species-notes": "<p></p>", "IHCP-species-checked": "notRecommended", "IHCP-species-dilution-info": "1/1000", "IHCP-species-notes": "<p></p> Perform heat-mediated antigen retrieval with Tris/EDTA buffer pH 9.0 before commencing with IHC staining protocol.", "WB-species-checked": "notRecommended", "WB-species-dilution-info": "1/1000", "WB-species-notes": "<p></p>", "ChICCUTRUNseq-species-checked": "notRecommended", "ChICCUTRUNseq-species-dilution-info": "", "ChICCUTRUNseq-species-notes": "" }, "Rat": { "ChIP-species-checked": "notRecommended", "ChIP-species-dilution-info": "", "ChIP-species-notes": "", "IP-species-checked": "notRecommended", "IP-species-dilution-info": "", "IP-species-notes": "", "FlowCytIntra-species-checked": "notRecommended", "FlowCytIntra-species-dilution-info": "", "FlowCytIntra-species-notes": "", "ICCIF-species-checked": "notRecommended", "ICCIF-species-dilution-info": "", "ICCIF-species-notes": "", "IHCP-species-checked": "notRecommended", "IHCP-species-dilution-info": "1/1000", "IHCP-species-notes": "<p></p> Perform heat-mediated antigen retrieval with Tris/EDTA buffer pH 9.0 before commencing with IHC staining protocol.", "WB-species-checked": "notRecommended", "WB-species-dilution-info": "1/1000", "WB-species-notes": "<p></p>", "ChICCUTRUNseq-species-checked": "notRecommended", "ChICCUTRUNseq-species-dilution-info": "", "ChICCUTRUNseq-species-notes": "" } } }

产品详情

Want a custom formulation?
This antibody clone is manufactured by Abcam. If you require a custom buffer formulation or conjugation for your experiments, please contact orders@abcam.com

Patented technology
Our RabMAb® technology is a patented hybridoma-based technology for making rabbit monoclonal antibodies. For details on our patents, please refer to RabMAb® patents.

What are the advantages of a recombinant monoclonal antibody?
This product is a recombinant monoclonal antibody, which offers several advantages including:

  • - High batch-to-batch consistency and reproducibility
  • - Improved sensitivity and specificity
  • - Long-term security of supply
  • - Animal-free batch production

For more information, read more on recombinant antibodies.

性能和储存信息

形式
Liquid
纯化工艺
Affinity purification Protein A
存储溶液
pH: 7.2 - 7.4 Preservative: 0.01% Sodium azide Constituents: PBS, 40% Glycerol (glycerin, glycerine), 0.05% BSA
运输条件
Blue Ice
推荐的短期储存时间
1-2 weeks
推荐的短期储存条件
+4°C
推荐的长期储存条件
-20°C
分装信息
Upon delivery aliquot
储存信息
Avoid freeze / thaw cycle

补充信息

This supplementary information is collated from multiple sources and compiled automatically.

PU.1 also known as Spi1 is a transcription factor that belongs to the ETS family of transcription factors. It plays a major role in gene regulation and is an important player in hematopoietic cell differentiation. PU.1 has a molecular mass of approximately 31 kDa and is predominantly expressed in hematopoietic cells such as myeloid and B-lymphoid cells. It actively interacts with specific DNA sequences to regulate the expression of target genes.
Biological function summary

PU.1 influences the development and function of various blood cells including macrophages neutrophils and B-cells. It is essential for the regulation of genes involved in immune responses cell proliferation and survival. PU.1 functions as part of a larger transcriptional regulatory complex and often partners with other transcription factors and coactivators to exert its effects. This cooperation allows precise gene expression control in specific cell lineages.

Pathways

Expression of PU.1 is critical in the hematopoietic development pathway and the immune response pathway. It closely interacts with other transcription factors like GATA-1 and C/EBPα forming a network that affects hematopoietic lineage commitment. Within these pathways PU.1 constantly coordinates signals that influence progenitor cell fate and differentiation ensuring a balanced proportion of cell types within the blood.

PU.1 has significant implications in leukemia and other hematological malignancies. Dysregulation or mutation of PU.1 can lead to improper hematopoietic cell development and contribute to acute myeloid leukemia (AML) and other blood disorders. Additionally its expression level is closely linked with immune system function associating PU.1 indirectly with autoimmune conditions. In these contexts the interaction with other proteins like AML1 and C/EBPγ can influence disease pathogenesis by modulating gene expression patterns critical for normal hematopoietic and immune function.

产品实验方案

For this product, it's our understanding that no specific protocols are required. You can visit:

靶点信息

Pioneer transcription factor, which controls hematopoietic cell fate by decompacting stem cell heterochromatin and allowing other transcription factors to enter otherwise inaccessible genomic sites. Once in open chromatin, can directly control gene expression by binding genetic regulatory elements and can also more broadly influence transcription by recruiting transcription factors, such as interferon regulatory factors (IRFs), to otherwise inaccessible genomic regions (PubMed : 23658224, PubMed : 33951726). Transcriptionally activates genes important for myeloid and lymphoid lineages, such as CSF1R (By similarity). Transcriptional activation from certain promoters, possibly containing low affinity binding sites, is achieved cooperatively with other transcription factors. FCER1A transactivation is achieved in cooperation with GATA1 (By similarity). May be particularly important for the pro- to pre-B cell transition (PubMed : 33951726). Binds (via the ETS domain) onto the purine-rich DNA core sequence 5'-GAGGAA-3', also known as the PU-box (PubMed : 33951726). In vitro can bind RNA and interfere with pre-mRNA splicing (By similarity).
See full target information SPI1

文献 (5)

Recent publications for all applications. Explore the full list and refine your search

Biology direct 20:73 PubMed40551156

2025

SPI1 upregulated LILRB2 to enhance the immunosuppressive phenotype of LPS-tolerant macrophages by inhibiting TLR8-mediated MyD88/NF-κB signaling.

Applications

Unspecified application

Species

Unspecified reactive species

Ruojing Bai,Jun Guo

Bone research 13:47 PubMed40229258

2025

SPI1 activates mitochondrial unfolded response signaling to inhibit chondrocyte senescence and relieves osteoarthritis.

Applications

Unspecified application

Species

Unspecified reactive species

Xiangyu Zu,Shenghong Chen,Zhengyuan Li,Lin Hao,Wenhan Fu,Hui Zhang,Zongsheng Yin,Yin Wang,Jun Wang

Journal for immunotherapy of cancer 12: PubMed39455096

2024

SPI1CD68 macrophages as a biomarker for gastric cancer metastasis: a rationale for combined antiangiogenic and immunotherapy strategies.

Applications

Unspecified application

Species

Unspecified reactive species

Guofei Deng,Pengliang Wang,Rishun Su,Xuezeng Sun,Zizhen Wu,Zhangsen Huang,Liang Gu,Hong Yu,Zhenzhen Zhao,Yulong He,Mingyu Huo,Changhua Zhang,Songcheng Yin

American journal of cancer research 14:1139-1156 PubMed38590399

2024

PU.1 induces tumor-associated macrophages promoting glioma progression through BTK-mediated Akt/mTOR pathway activation.

Applications

Unspecified application

Species

Unspecified reactive species

Gu Song,Zeyu Zhang,Yan Chen,Weiliang Hou,Weiwei Zhong,Yuhang Zhou,Anke Zhang,Yuanzhi Xu

Molecular carcinogenesis 63:448-460 PubMed38037991

2023

SPI1-mediated CXCL12 expression in bladder cancer affects the recruitment of tumor-associated macrophages.

Applications

Unspecified application

Species

Unspecified reactive species

Guimei Lu,Yue Qiu
View all publications

Abcam Product Promise

我们致力于为您的研究提供高质量的试剂,为您科研的每一步提供支持。若我们的产品未能达到预期性能,我们向您提供 Abcam Product Promise 保障。
详情请参阅我们的条款与条件。

Please note: All products are 'FOR RESEARCH USE ONLY. NOT FOR USE IN DIAGNOSTIC OR THERAPEUTIC PROCEDURES'.

For licensing inquiries, please contact partnerships@abcam.com