JavaScript is disabled in your browser. Please enable JavaScript to view this website.
AB32199

Anti-PTEN 抗体 [Y184]

Anti-PTEN antibody [Y184]

  • 20ul selling size
  • RabMAb
  • Recombinant
  • KO Validated
  • 了解详情

5

(15 Reviews)

|

(295 Publications)

Anti-PTEN antibody [Y184] (ab32199) is a rabbit monoclonal antibody detecting PTEN in Western Blot. Suitable for Human, Mouse.

- KO validated for confirmed specificity
- Biophysical QC for unrivalled batch-batch consistency
- Over 260 publications
- Trusted since 2006

查看别名

MMAC1, TEP1, PTEN, Inositol polyphosphate 3-phosphatase, Mutated in multiple advanced cancers 1, Phosphatase and tensin homolog

7 Images
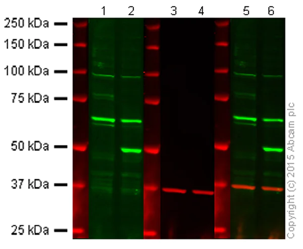
Western blot - Anti-PTEN antibody [Y184] (AB32199)
  • WB

Lab

Western blot - Anti-PTEN antibody [Y184] (AB32199)

Lanes 1 and 5 : PTEN knockout HAP1 cell lysate (20 μg)
Lanes 2 and 6 : Wild-type HAP1 cell lysate (20 μg)
Lane 2 : Green signal from target – ab32199 observed at 47 kDa
Lanes 3 and 4 : Red signal from loading control – ab8245 observed at 37 kDa
Lanes 5 and 6 : Merged (red and green) signal

ab32199 was shown to specifically recognize PTEN in wild-type HAP1 cells along with additional cross reactive bands. No band was observed when PTEN knockout samples were used. Wild-type and PTEN knockout samples were subjected to SDS-PAGE, ab32199 and ab8245 (loading control to GAPDH) were diluted to 1/500 and 1/2000 respectively and incubated overnight at 4°C. Blots were developed with Goat anti-Rabbit IgG H&L (IRDye® 800CW) preadsorbed (ab216773) and Goat anti-Mouse IgG H&L (IRDye® 680RD) preadsorbed (ab216776) secondary antibodies at 1/10,000 dilution for 1 h at room temperature before imaging.

All lanes:

Western blot - Anti-PTEN antibody [Y184] (ab32199)

Predicted band size: 47 kDa

false

Western blot - Anti-PTEN antibody [Y184] (AB32199)
  • WB

Unknown

Western blot - Anti-PTEN antibody [Y184] (AB32199)

All lanes:

Western blot - Anti-PTEN antibody [Y184] (ab32199) at 1/500 dilution

All lanes:

MCF7 cell lysate

Predicted band size: 47 kDa

Observed band size: 54 kDa

false

Western blot - Anti-PTEN antibody [Y184] (AB32199)
  • WB

Lab

Western blot - Anti-PTEN antibody [Y184] (AB32199)

Blocking buffer : 5% NFDM/TBST
Dilution buffer : 5% NFDM/TBST

All lanes:

Western blot - Anti-PTEN antibody [Y184] (ab32199) at 1/10000 dilution

Lane 1:

MCF7 whole cell lysate at 10 µg

Lane 2:

HEK293 whole cell lysate at 10 µg

Secondary

All lanes:

Anti-rabbit IgG (HRP), specific to the non-reduced form of IgG at 1/1000 dilution

Predicted band size: 47 kDa

Observed band size: 54 kDa

false

Western blot - Anti-PTEN antibody [Y184] (AB32199)
  • WB

Lab

Western blot - Anti-PTEN antibody [Y184] (AB32199)

Lanes 1 : PTEN knockout HAP1 cell lysate (20 μg)
Lanes 2 : Wild-type HAP1 cell lysate (20 μg)
Green signal from target
Red signal from loading control – ab8245 observed at 37 kDa

This western blot image is a comparison between ab32199 and a competitor's top cited mouse monoclonal antibody.

All lanes:

Western blot - Anti-PTEN antibody [Y184] (ab32199)

Predicted band size: 47 kDa

false

Western blot - Anti-PTEN antibody [Y184] (AB32199)
  • WB

AbReview43115****

Western blot - Anti-PTEN antibody [Y184] (AB32199)

Treatment :

Lane 1 - control siRNA 24 hours

Lane 2 - PTEN siRNA 24 hours

Lane 3 - control siRNA 48 hours

Lane 4 - PTEN siRNA 48 hours

All lanes:

Western blot - Anti-PTEN antibody [Y184] (ab32199) at 1/500 dilution

All lanes:

Mouse primary bone marrow derived macrophage whole cell lysate at 50 µg

Secondary

All lanes:

HRP-conjugated goat anti-rabbit IgG polyclonal

Predicted band size: 47 kDa

Observed band size: 50 kDa

true

Exposure time: 30s

This image is courtesy of an anonymous Abreview

Western blot - Anti-PTEN antibody [Y184] (AB32199)
  • WB

AbReview50495****

Western blot - Anti-PTEN antibody [Y184] (AB32199)

All lanes:

Western blot - Anti-PTEN antibody [Y184] (ab32199) at 1/500 dilution

All lanes:

RBL-2H3 whole cell lysate

Secondary

All lanes:

Goat Anti-rabbit HRP at 1/1000 dilution

Predicted band size: 47 kDa

true

This image is courtesy of an anonymous Abreview.

Western blot - Anti-PTEN antibody [Y184] (AB32199)
  • WB

Lab

Western blot - Anti-PTEN antibody [Y184] (AB32199)

Blocking buffer : 5% NFDM/TBST
Dilution buffer : 5% NFDM/TBST

All lanes:

Western blot - Anti-PTEN antibody [Y184] (ab32199) at 1/10000 dilution

All lanes:

Brain lysate at 10 µg

Secondary

All lanes:

Anti-rabbit IgG (HRP), specific to the non-reduced form of IgG at 1/1000 dilution

Predicted band size: 47 kDa

Observed band size: 54 kDa

false

不同偶联物与剂型 (1)

  • Carrier free

    Anti-PTEN antibody [Y184] - Low endotoxin, Azide free

关键信息

宿主种属

Rabbit

克隆

Monoclonal

克隆号

Y184

亚型

IgG

不含载体蛋白

No

反应种属

Mouse, Human

应用

WB

applications

免疫原

The exact immunogen used to generate this antibody is proprietary information.

特异性

A 42kDa band is seen for some samples in addition to 50-54kDa band- we do not know the specificity of this band. For example Rat kidney, heart, spleen have bands around 50kDa but rat PC-12 cells have single band at ~42kDa.

反应性数据

{ "title": "Reactivity Data", "filters": { "stats": ["", "Species", "Dilution Info", "Notes"], "tabs": { "all-applications": {"fullname" : "All Applications", "shortname": "All Applications"}, "WB" : {"fullname" : "Western blot", "shortname":"WB"} }, "product-promise": { "all": "all", "testedAndGuaranteed": "tested", "guaranteed": "expected", "predicted": "predicted", "notRecommended": "not-recommended" } }, "values": { "Human": { "WB-species-checked": "testedAndGuaranteed", "WB-species-dilution-info": "1/10000", "WB-species-notes": "<p><strong>For unpurified, use 1/500.</strong></p>" }, "Mouse": { "WB-species-checked": "testedAndGuaranteed", "WB-species-dilution-info": "1/10000", "WB-species-notes": "<p><strong>For unpurified, use 1/500.</strong></p>" }, "Rat": { "WB-species-checked": "predicted", "WB-species-dilution-info": "", "WB-species-notes": "" } } }

产品详情

What is this antibody validated in?
Anti-PTEN antibody [Y184] (ab32199) is a rabbit recombinant monoclonal antibody and is validated for use in Western Blot (WB) in Human, Mouse samples.

What is the molecular weight of PTEN?
Anti-PTEN [Y184] (ab32199) specifically detects a band for PTEN (UniProt: P60484) at a molecular weight of 47kDa.

Trusted by the scientific community
Anti-PTEN [Y184] (ab32199) was first used in a scientific publication in 2006 and has been cited over 260 times in peer-reviewed journals.

Reviewed by scientists
Anti-PTEN [Y184] (ab32199) has over 15 independent reviews from customers.

Trial sizes available!
Test your antibody or perform pre-screening before committing to a larger quantity. Sold in 10µl. Discover our selection of trial-size antibodies.

Specificity confirmed
The specificity of Anti-PTEN antibody [Y184] (ab32199) has been confirmed by Immunocytochemistry testing in PTEN Knockout Hap1 cells.

Other related products
We have a range of other formats of antibody clone [Y184] also available for your convenience: ab32199, HRP - ab199545, Carrier free - ab219361

Patented technology
Our RabMAb® technology is a patented hybridoma-based technology for making rabbit monoclonal antibodies. For details on our patents, please refer to RabMAb® patents.

What are the advantages of a recombinant monoclonal antibody?
This product is a recombinant monoclonal antibody, which offers several advantages including:

  • - High batch-to-batch consistency and reproducibility
  • - Improved sensitivity and specificity
  • - Long-term security of supply
  • - Animal-free batch production

For more information, read more on recombinant antibodies.

性能和储存信息

形式
Liquid
纯化工艺
Affinity purification Protein A
存储溶液
pH: 7.2 - 7.4 Preservative: 0.01% Sodium azide Constituents: PBS, 50% Glycerol (glycerin, glycerine), 0.05% BSA
运输条件
Blue Ice
推荐的短期储存时间
1-2 weeks
推荐的短期储存条件
+4°C
推荐的长期储存条件
-20°C
分装信息
Upon delivery aliquot
储存信息
Avoid freeze / thaw cycle

补充信息

This supplementary information is collated from multiple sources and compiled automatically.

The PTEN protein also known as phosphatase and tensin homolog is a phosphatase enzyme with a molecular mass of approximately 47 kDa. It acts mechanically by removing phosphate groups from phosphatidylinositol (345)-trisphosphate (PIP3) converting it to phosphatidylinositol (45)-bisphosphate. PTEN is ubiquitously expressed in various tissues with pronounced presence in the brain lung kidney and testis. This enzyme is an important regulator of cellular functions through its impact on signaling pathways.
Biological function summary

PTEN plays important roles in cellular processes like apoptosis cell proliferation and migration. It negatively regulates the PI3K/AKT signaling pathway critical for cell survival and growth. PTEN is not part of a larger protein complex but interacts with various other proteins modulating its activity. It maintains cellular homeostasis by balancing growth-promoting signals with cell cycle arrest and apoptotic pathways.

Pathways

PTEN is an important component in the PI3K/AKT and mTOR signaling pathways. These pathways regulate cell growth metabolism and survival and are interlinked with insulin signaling and cancer progression. PTEN's function directly interacts with proteins such as AKT and mTOR serving as a checkpoint that ensures controlled cellular proliferation. This positions PTEN as a tumor suppressor inhibiting uncontrolled cell growth via modulation of these pathways.

PTEN mutations or deletions are strongly associated with various types of cancers including breast and prostate cancer. PTEN interaction with the PI3K/AKT pathway influences cancer development often through loss-of-function mutations leading to unrestrained cellular growth. Beyond cancer PTEN mutations also relate to neurological disorders like Autism Spectrum Disorder where it affects signaling pathways involving proteins like mTOR. Understanding PTEN's role aids in unravelling the mechanistic underpinnings of these diseases paving the way for targeted therapeutic interventions.

产品实验方案

For this product, it's our understanding that no specific protocols are required. You can visit:

靶点信息

Dual-specificity protein phosphatase, dephosphorylating tyrosine-, serine- and threonine-phosphorylated proteins (PubMed : 9187108, PubMed : 9256433, PubMed : 9616126). Also functions as a lipid phosphatase, removing the phosphate in the D3 position of the inositol ring of PtdIns(3,4,5)P3/phosphatidylinositol 3,4,5-trisphosphate, PtdIns(3,4)P2/phosphatidylinositol 3,4-diphosphate and PtdIns3P/phosphatidylinositol 3-phosphate with a preference for PtdIns(3,4,5)P3 (PubMed : 16824732, PubMed : 26504226, PubMed : 9593664, PubMed : 9811831). Furthermore, this enzyme can also act as a cytosolic inositol 3-phosphatase acting on Ins(1,3,4,5,6)P5/inositol 1,3,4,5,6 pentakisphosphate and possibly Ins(1,3,4,5)P4/1D-myo-inositol 1,3,4,5-tetrakisphosphate (PubMed : 11418101, PubMed : 15979280). Antagonizes the PI3K-AKT/PKB signaling pathway by dephosphorylating phosphoinositides and thereby modulating cell cycle progression and cell survival (PubMed : 31492966, PubMed : 37279284). The unphosphorylated form cooperates with MAGI2 to suppress AKT1 activation (PubMed : 11707428). In motile cells, suppresses the formation of lateral pseudopods and thereby promotes cell polarization and directed movement (PubMed : 22279049). Dephosphorylates tyrosine-phosphorylated focal adhesion kinase and inhibits cell migration and integrin-mediated cell spreading and focal adhesion formation (PubMed : 22279049). Required for growth factor-induced epithelial cell migration; growth factor stimulation induces PTEN phosphorylation which changes its binding preference from the p85 regulatory subunit of the PI3K kinase complex to DLC1 and results in translocation of the PTEN-DLC1 complex to the posterior of migrating cells to promote RHOA activation (PubMed : 26166433). Meanwhile, TNS3 switches binding preference from DLC1 to p85 and the TNS3-p85 complex translocates to the leading edge of migrating cells to activate RAC1 activation (PubMed : 26166433). Plays a role as a key modulator of the AKT-mTOR signaling pathway controlling the tempo of the process of newborn neurons integration during adult neurogenesis, including correct neuron positioning, dendritic development and synapse formation (By similarity). Involved in the regulation of synaptic function in excitatory hippocampal synapses. Recruited to the postsynaptic membrane upon NMDA receptor activation, is required for the modulation of synaptic activity during plasticity. Enhancement of lipid phosphatase activity is able to drive depression of AMPA receptor-mediated synaptic responses, activity required for NMDA receptor-dependent long-term depression (LTD) (By similarity). May be a negative regulator of insulin signaling and glucose metabolism in adipose tissue. The nuclear monoubiquitinated form possesses greater apoptotic potential, whereas the cytoplasmic nonubiquitinated form induces less tumor suppressive ability (PubMed : 10468583, PubMed : 18716620).. Isoform alpha. Functional kinase, like isoform 1 it antagonizes the PI3K-AKT/PKB signaling pathway. Plays a role in mitochondrial energetic metabolism by promoting COX activity and ATP production, via collaboration with isoform 1 in increasing protein levels of PINK1.
See full target information PTEN

文献 (295)

Recent publications for all applications. Explore the full list and refine your search

American journal of translational research 17:4387-4398 PubMed40672635

2025

LncRNA SNHG5 promotes the invasion and proliferation of oropharyngeal squamous cell carcinoma by regulating the miR-21/PTEN signaling pathway.

Applications

Unspecified application

Species

Unspecified reactive species

Lili Zhong,Chenxi Liu,Zhanglong Huang,Shiwei Ding,Xiaofei Li,Dan He

ACS omega 10:9604-9612 PubMed40092804

2025

Danhong Injection Inhibits Apoptosis in Ischemia/Reperfusion Injury Based on Network Pharmacology Analysis, Molecular Docking, and Experimental Verification.

Applications

Unspecified application

Species

Unspecified reactive species

Shennan Shi,Yalan Lu,Qiwen Long,Yanqing Wu,Yan Guo,Nipi Chen,Haitong Wan,Bo Jin

Journal of orthopaedic surgery and research 20:283 PubMed40087681

2025

miR-374-5p inhibits osteogenesis by targeting PTEN/PI3K/AKT signaling pathway.

Applications

Unspecified application

Species

Unspecified reactive species

Guangning Long,Fen Liu,Hongmeng Cheng,Jun Guo,Pei Wang,Yunfei Luo,Zhihua Li,Fei Tong

Molecular therapy. Oncology 32:200898 PubMed39640863

2024

Newcastle disease virus harboring the PTEN gene inhibits pancreatic cancer growth by inhibiting PI3K/AKT/mTOR signaling and activating apoptosis.

Applications

Unspecified application

Species

Unspecified reactive species

Seonhee Kim,Bo-Kyoung Jung,Jinju Kim,Joo Hee Jeon,Sung Hoon Jang,Minsoo Kim,Cuk-Seong Kim,Hyun Jang

Scientific reports 14:29950 PubMed39622957

2024

WWP1 targeting PTEN for polyubiquitination to promote bone metastasis of luminal breast cancer.

Applications

Unspecified application

Species

Unspecified reactive species

Hao Jiang,Zhenxi Li,Wei Xu,Jianru Xiao

Scientific reports 14:24529 PubMed39424901

2024

Trophoblast cell-derived extracellular vesicles regulate the polarization of decidual macrophages by carrying miR-141-3p in the pathogenesis of preeclampsia.

Applications

Unspecified application

Species

Unspecified reactive species

Dongcai Wu,Bo Zhou,Lan Hong,Hui Cen,Ling Wang,Yanlin Ma,Humin Gong

Molecular carcinogenesis 63:2063-2077 PubMed38994801

2024

p110CUX1 promotes acute myeloid leukemia progression via regulating pyridoxal phosphatase expression and activating PI3K/AKT/mTOR signaling pathway.

Applications

Unspecified application

Species

Unspecified reactive species

Hongyan Zhang,Liang Zhong,Meng Wang,Peng Wan,Xuan Chu,Shuyu Chen,Ziwei Zhou,Xin Shao,Beizhong Liu

Medicina (Kaunas, Lithuania) 60: PubMed38256434

2024

PTEN, ERG, SPINK1, and TFF3 Status and Relationship in a Prostate Cancer Cohort from Jordanian Arab Population.

Applications

Unspecified application

Species

Unspecified reactive species

Samir Al Bashir,Mohammed S Alorjani,Khalid Kheirallah,Mohammad Al Hamad,Husam K Haddad,Ahmad Al-Dwairy,Baha A Bani-Fawwaz,Najla Aldaoud,Omar Halalsheh,Saddam Amawi,Ismail I Matalka

Folia neuropathologica 62:362-375 PubMed39963031

2024

Classification of gliomas based on genome-wide DNA methylation profiles and immunohistochemical analysis: a short study.

Applications

Unspecified application

Species

Unspecified reactive species

Olga Taryma-Leśniak,Kamil Buczkowski,Tomasz Klepinowski,Maciej Jankowski,Szymon Retfiński,Bartłomiej Sagan,Leszek Sagan,Ewa Szutowicz,Kacper Winiarski,Marta Masztalewicz,Przemysław Nowacki,Marta Sobalska-Kwapis,Dominik Strapagiel,Wojciech Kloc,Beata Lipska-Ziętkiewicz,Ewa Iżycka-Świeszewska,Tomasz K Wojdacz

Experimental and therapeutic medicine 26:448 PubMed37614420

2023

Triple‑negative breast cancer cells that survive ionizing radiation exhibit an Axl‑dependent aggressive radioresistant phenotype.

Applications

Unspecified application

Species

Unspecified reactive species

Jianfeng Ji,Yuqin Ding,Yue Kong,Min Fang,Xiaofu Yu,Xiaojing Lai,Qing Gu
View all publications

Abcam Product Promise

我们致力于为您的研究提供高质量的试剂,为您科研的每一步提供支持。若我们的产品未能达到预期性能,我们向您提供 Abcam Product Promise 保障。
详情请参阅我们的条款与条件。

Please note: All products are 'FOR RESEARCH USE ONLY. NOT FOR USE IN DIAGNOSTIC OR THERAPEUTIC PROCEDURES'.

For licensing inquiries, please contact partnerships@abcam.com