JavaScript is disabled in your browser. Please enable JavaScript to view this website.
AB269863

重组Anti-PSD95抗体[EPR23124-118] - BSA and Azide free

Anti-PSD95 antibody [EPR23124-118] - BSA and Azide free

  • BOND RX™ Validated
  • KO Validated
  • RabMAb
  • Recombinant
  • 了解详情

Be the first to review this product! Submit a review

|

(1 Publication)

Rabbit Recombinant Monoclonal PSD95 antibody. Carrier free. Suitable for IHC-P, IP, WB, IHC-Fr and reacts with Mouse, Rat, Human samples. Cited in 1 publication.

查看别名

PSD95, DLG4, Disks large homolog 4, Postsynaptic density protein 95, Synapse-associated protein 90, PSD-95, SAP-90, SAP90

10 Images
Immunohistochemistry (Formalin/PFA-fixed paraffin-embedded sections) - Anti-PSD95 antibody [EPR23124-118] - BSA and Azide free (AB269863)
  • IHC-P

Lab

Immunohistochemistry (Formalin/PFA-fixed paraffin-embedded sections) - Anti-PSD95 antibody [EPR23124-118] - BSA and Azide free (AB269863)

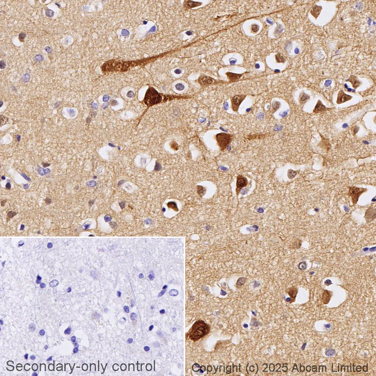
This data was developed using ab238135, the same antibody clone in a different buffer formulation.

Immunohistochemical analysis of paraffin-embedded human Alzheimer's brain tissue* labelling PSD95 with ab238135 at 1ug/ml followed by a ready to use LeicaDS9800 (Bond Polymer Refine Detection).

Positive staining in human Alzheimer's brain.

The section was incubated with ab238135 for 30 mins at room temperature. The immunostaining was performed on a Leica Biosystems BOND® RX instrument. Counterstained with Hematoxylin.

Secondary antibody only control : Secondary antibody is a ready to use LeicaDS9800 (Bond Polymer Refine Detection).

Heat mediated antigen retrieval with sodium citrate buffer (pH 6.0 epitope retrieval solution1) for 20 mins.

*Tissue obtained from the Human Research Tissue Bank, supported by the NIHR Cambridge Biomedical Research Centre.

Immunohistochemistry (Formalin/PFA-fixed paraffin-embedded sections) - Anti-PSD95 antibody [EPR23124-118] - BSA and Azide free (AB269863)
  • IHC-P

Unknown

Immunohistochemistry (Formalin/PFA-fixed paraffin-embedded sections) - Anti-PSD95 antibody [EPR23124-118] - BSA and Azide free (AB269863)

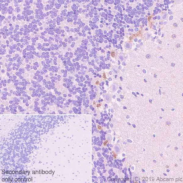
Immunohistochemical analysis of paraffin-embedded Mouse cerebellum tissue labeling PSD95 with ab238135 at 1/100 dilution followed by a ready to use Rabbit specific IHC polymer detection kit HRP/DAB (ab209101). Positive staining on basket cells of mouse cerebellum. The section was incubated with ab238135 for 30 mins at room temperature. The immunostaining was performed on a Leica Biosystems BOND® RX instrument. Counterstained with Hematoxylin.

Secondary antibody only control : Secondary antibody is a ready to use Rabbit specific IHC polymer detection kit HRP/DAB (ab209101).

Heat mediated antigen retrieval with citrate buffer (pH 6.0, epitope retrieval solution 1) for 20mins.

This data was developed using the same antibody clone in a different buffer formulation containing PBS, BSA, glycerol, and sodium azide (ab238135).

Immunohistochemistry (Formalin/PFA-fixed paraffin-embedded sections) - Anti-PSD95 antibody [EPR23124-118] - BSA and Azide free (AB269863)
  • IHC-P

Unknown

Immunohistochemistry (Formalin/PFA-fixed paraffin-embedded sections) - Anti-PSD95 antibody [EPR23124-118] - BSA and Azide free (AB269863)

Immunohistochemical analysis of paraffin-embedded Rat retina tissue labeling PSD95 with ab238135 at 1/500 dilution followed by a ready to use Rabbit specific IHC polymer detection kit HRP/DAB (ab209101). Positive staining on outer plexiform layer of rat retina. The section was incubated with ab238135 for 30 mins at room temperature. The immunostaining was performed on a Leica Biosystems BOND® RX instrument. Counterstained with Hematoxylin.

Secondary antibody only control : Secondary antibody is a ready to use Rabbit specific IHC polymer detection kit HRP/DAB (ab209101).

Heat mediated antigen retrieval with citrate buffer (pH 6.0, epitope retrieval solution 1) for 20mins.

This data was developed using the same antibody clone in a different buffer formulation containing PBS, BSA, glycerol, and sodium azide (ab238135).

Immunohistochemistry (Frozen sections) - Anti-PSD95 antibody [EPR23124-118] - BSA and Azide free (AB269863)
  • IHC-Fr

Unknown

Immunohistochemistry (Frozen sections) - Anti-PSD95 antibody [EPR23124-118] - BSA and Azide free (AB269863)

Immunohistochemical analysis of 4% PFA fixed 0.2% Triton X-100 permeabilized frozen Rat retina tissue labeling VSIG4 with ab238135 at 1/100 (5.76 μg/ml) dilution followed by ab150077 AlexaFluor®488 Goat anti-Rabbit secondary at 1/000 (2 μg/ml) dilution. The nuclear counterstain was DAPI (Blue). Heat mediated antigen retrieval using sodium citrate buffer (10mM citrate pH 6.0 + 0.05% Tween-20).

Secondary antibody only control : Used PBS instead of primary antibody, secondary antibody was ab150077 AlexaFluor®488 Goat anti-Rabbit secondary at 1/1000 (2 μg/ml) dilution.

This data was developed using the same antibody clone in a different buffer formulation containing PBS, BSA, glycerol, and sodium azide (ab238135).

Immunohistochemistry (Frozen sections) - Anti-PSD95 antibody [EPR23124-118] - BSA and Azide free (AB269863)
  • IHC-Fr

Unknown

Immunohistochemistry (Frozen sections) - Anti-PSD95 antibody [EPR23124-118] - BSA and Azide free (AB269863)

Immunohistochemical analysis of 4% PFA fixed 0.2% Triton X-100 permeabilized frozen Mouse retina tissue labeling VSIG4 with ab238135 at 1/100 (5.76 μg/ml) dilution followed by ab150077 AlexaFluor®488 Goat anti-Rabbit secondary at 1/1000 (2 μg/ml) dilution. The nuclear counterstain was DAPI (Blue). Heat mediated antigen retrieval using sodium citrate buffer (10mM citrate pH 6.0 + 0.05% Tween-20).

Secondary antibody only control : Used PBS instead of primary antibody, secondary antibody was ab150077 AlexaFluor®488 Goat anti-Rabbit secondary at 1/1000 (2 μg/ml) dilution.

This data was developed using the same antibody clone in a different buffer formulation containing PBS, BSA, glycerol, and sodium azide (ab238135).

Immunoprecipitation - Anti-PSD95 antibody [EPR23124-118] - BSA and Azide free (AB269863)
  • IP

Unknown

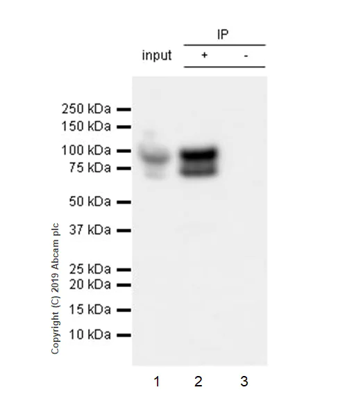
Immunoprecipitation - Anti-PSD95 antibody [EPR23124-118] - BSA and Azide free (AB269863)

PSD95 was immunoprecipitated from 0.35 mg Mouse brain lysate with ab238135 at 1/30 dilution (2ug in 0.35mg lysates). Western blot was performed on the immunoprecipitate using ab238135 at 1/1000 dilution. VeriBlot for IP Detection Reagent (HRP) (ab131366) was used at 1/5000 dilution.

Lane 1 : Mouse brain lysate 10μg
Lane 2 : ab238135 IP in Mouse brain lysate
Lane 3 : Rabbit monoclonal IgG (ab172730) instead of ab238135 in Mouse brain lysate

Blocking and dilution buffer and concentration : 5% NFDM/TBST.

Exposure time : 3 seconds.

This data was developed using the same antibody clone in a different buffer formulation containing PBS, BSA, glycerol, and sodium azide (ab238135).

All lanes:

Immunoprecipitation - Anti-PSD95 antibody [EPR23124-118] - Synaptic Marker (<a href='/products/primary-antibodies/psd95-antibody-epr23124-118-synaptic-marker-ab238135'>ab238135</a>)

Predicted band size: 47 kDa,80 kDa

false

Western blot - Anti-PSD95 antibody [EPR23124-118] - BSA and Azide free (AB269863)
  • WB

Lab

Western blot - Anti-PSD95 antibody [EPR23124-118] - BSA and Azide free (AB269863)

This data was developed using ab238135, the same antibody clone in a different buffer formulation.

Western blot : Anti-DLG4 antibody [EPR23124-118] (ab238135) staining at 1/2000 dilution, shown in green; Mouse anti-GAPDH antibody [6C5] (ab8245) loading control staining at 1/20000 dilution, shown in magenta. In Western blot, ab238135 was shown to bind specifically to DLG4. A band was observed at 80 kDa in wild-type U-87 MG cell lysates with no signal observed at this size in DLG4 knockout cell line. To generate this image, wild-type and DLG4 knockout U-87 MG cell lysates were analysed. First, samples were run on an SDS-PAGE gel then transferred onto a nitrocellulose membrane. Membranes were blocked in 3 % milk in TBS-0.1 % Tween® 20 (TBS-T) before incubation with primary antibodies overnight at 4 °C. Blots were washed four times in TBS-T, incubated with secondary antibodies for 1 h at room temperature, washed again four times then imaged. Secondary antibodies used were Goat anti-Rabbit IgG H&L 800CW and Goat anti-Mouse IgG H&L 680RD at 1/20000 dilution.

All lanes:

Western blot - Anti-PSD95 antibody [EPR23124-118] - Synaptic Marker (<a href='/products/primary-antibodies/psd95-antibody-epr23124-118-synaptic-marker-ab238135'>ab238135</a>) at 1/2000 dilution

Lane 1:

Wild-type U-87 MG cell lysate at 20 µg

Lane 2:

Western blot - Human DLG4 knockout U-87 MG cell line (<a href='/products/cell-lines/human-dlg4-knockout-u-87-mg-cell-line-ab306652'>ab306652</a>)

Lane 2:

DLG4 knockout U-87 MG cell lysate at 20 µg

Lane 3:

Wild-type SH-SY5Y cell lysate at 20 µg

Lane 4:

DLG4 knockout SH-SY5Y <a href='/products/cell-lines/human-psd95-knockout-sh-sy5y-cell-line-ab280043'>ab280043</a> cell lysate at 20 µg

Secondary

Lanes 1 - 4:

Goat anti-Rabbit IgG H&L 800CW at 1/20000 dilution

Lanes 1 - 4:

Goat anti-Mouse IgG H&L 680RD at 1/20000 dilution

false

Western blot - Anti-PSD95 antibody [EPR23124-118] - BSA and Azide free (AB269863)
  • WB

Unknown

Western blot - Anti-PSD95 antibody [EPR23124-118] - BSA and Azide free (AB269863)

This data was developed using the same antibody clone in a different buffer formulation containing PBS, BSA, glycerol, and sodium azide (ab238135).

Blocking and diluting buffer and concentration : 5% NFDM/TBST

The molecular weight observed is consistent with what has been described in the literature (PMID : 20118925)

Exposure time : 48 seconds

All lanes:

Western blot - Anti-PSD95 antibody [EPR23124-118] - BSA and Azide free (ab269863) at 1/2000 dilution

Lane 1:

Human cerebellum lysate at 20 µg

Lane 2:

Human brain lysate at 20 µg

Secondary

All lanes:

Western blot - VeriBlot for IP Detection Reagent (HRP) (<a href='/products/reagents/veriblot-for-ip-detection-reagent-hrp-ab131366'>ab131366</a>) at 1/1000 dilution

Predicted band size: 80 kDa

Observed band size: 100 kDa,75 kDa

false

Western blot - Anti-PSD95 antibody [EPR23124-118] - BSA and Azide free (AB269863)
  • WB

Lab

Western blot - Anti-PSD95 antibody [EPR23124-118] - BSA and Azide free (AB269863)

This data was developed using the same antibody clone in a different buffer formulation (ab238135).

Lanes 1 - 4 : Merged signal (red and green). Green - ab238135 observed at 75 kDa. Red - loading control ab8245 (Mouse anti-GAPDH antibody [6C5]) observed at 37 kDa.

ab238135 was shown to react with PSD95 in wild-type SH-SY5Y cells in Western blot with loss of signal observed in DLG4 knockout cell line ab280043 (DLG4 knockout cell lysate ab280102). Wild-type SH-SY5Y and DLG4 knockout cell lysates were subjected to SDS-PAGE. Membranes were blocked in 3 % milk in TBS-T (0.1 % Tween®) before incubation with ab238135 and ab8245 (Mouse anti-GAPDH antibody [6C5]) overnight at 4 °C at a 1 in 2000 dilution and a 1 in 20000 dilution respectively. Blots were incubated with Goat anti-Rabbit IgG H&L (IRDye® 800CW) preabsorbed (ab216773) and Goat anti-Mouse IgG H&L (IRDye® 680RD) preabsorbed (ab216776) secondary antibodies at 1 in 20000 dilution for 1 h at room temperature before imaging.

All lanes:

Western blot - Anti-PSD95 antibody [EPR23124-118] - Synaptic Marker (<a href='/products/primary-antibodies/psd95-antibody-epr23124-118-synaptic-marker-ab238135'>ab238135</a>) at 1/2000 dilution

Lane 1:

Wild-type SH-SY5Y cell lysate at 20 µg

Lane 2:

DLG4 knockout SH-SY5Y cell lysate at 20 µg

Lane 2:

Western blot - Human PSD95 knockout SH-SY5Y cell line (<a href='/products/cell-lines/human-psd95-knockout-sh-sy5y-cell-line-ab280043'>ab280043</a>)

Lane 3:

HeLa cell lysate at 20 µg

Lane 4:

HL-60 cell lysate at 20 µg

Secondary

All lanes:

Goat anti-Rabbit IgG H&L (IRDye® 800CW) preabsorbed (<a href='/products/secondary-antibodies/goat-rabbit-igg-h-l-irdye-800cw-preadsorbed-ab216773'>ab216773</a>) and Goat anti-Mouse IgG H&L (IRDye® 680RD) preabsorbed (<a href='/products/secondary-antibodies/goat-mouse-igg-h-l-irdye-680rd-preadsorbed-ab216776'>ab216776</a>) at 1/20000 dilution

Predicted band size: 80 kDa

Observed band size: 75 kDa

false

Western blot - Anti-PSD95 antibody [EPR23124-118] - BSA and Azide free (AB269863)
  • WB

Lab

Western blot - Anti-PSD95 antibody [EPR23124-118] - BSA and Azide free (AB269863)

This data was developed using the same antibody clone in a different buffer formulation containing PBS, BSA, glycerol, and sodium azide (ab238135).

Blocking and diluting buffer and concentration : 5% NFDM/TBST

The molecular weight observed is consistent with what has been described in the literature (PMID : 20118925).

Exposure time : 15 seconds

Lane 1:

Mouse brain lysate at 20 µg

Lane 2:

Mouse cerebellum lysate at 20 µg

Lane 3:

Rat brain lysate at 20 µg

Secondary

All lanes:

Western blot - Goat Anti-Rabbit IgG H&L (HRP) (<a href='/products/secondary-antibodies/goat-rabbit-igg-h-l-hrp-ab97051'>ab97051</a>) at 1/100000 dilution

false

不同偶联物与剂型 (5)

  • Unconjugated

    Anti-PSD95 antibody [EPR23124-118] - Synaptic Marker

  • Carrier free

    Anti-PSD95 antibody [EPR23124-118] – Goat IgG (Chimeric) – BSA and Azide Free

  • 665 Alexa Fluor® 647

    Alexa Fluor® 647 Anti-PSD95 antibody [EPR23124-118] - Synaptic Marker

  • 565 Alexa Fluor® 555

    Alexa Fluor® 555 Anti-PSD95 antibody [EPR23124-118] - Synaptic Marker

  • 603 Alexa Fluor® 568

    Alexa Fluor® 568 Anti-PSD95 antibody [EPR23124-118] - Synaptic Marker

关键信息

宿主种属

Rabbit

克隆

Monoclonal

克隆号

EPR23124-118

亚型

IgG

不含载体蛋白

Yes

反应种属

Mouse, Rat, Human

应用

IHC-Fr, WB, IHC-P, IP

applications

免疫原

The exact immunogen used to generate this antibody is proprietary information.

反应性数据

{ "title": "Reactivity Data", "filters": { "stats": ["", "Species", "Dilution Info", "Notes"], "tabs": { "all-applications": {"fullname" : "All Applications", "shortname": "All Applications"}, "IHCP" : {"fullname" : "Immunohistochemistry (Formalin/PFA-fixed paraffin-embedded sections)", "shortname":"IHC-P"}, "IP" : {"fullname" : "Immunoprecipitation", "shortname":"IP"}, "WB" : {"fullname" : "Western blot", "shortname":"WB"}, "ICCIF" : {"fullname" : "Immunocytochemistry/ Immunofluorescence", "shortname":"ICC/IF"}, "IHCFr" : {"fullname" : "Immunohistochemistry (Frozen sections)", "shortname":"IHC-Fr"} }, "product-promise": { "all": "all", "testedAndGuaranteed": "tested", "guaranteed": "expected", "predicted": "predicted", "notRecommended": "not-recommended" } }, "values": { "Human": { "IHCP-species-checked": "guaranteed", "IHCP-species-dilution-info": "", "IHCP-species-notes": "", "IP-species-checked": "guaranteed", "IP-species-dilution-info": "", "IP-species-notes": "", "WB-species-checked": "testedAndGuaranteed", "WB-species-dilution-info": "", "WB-species-notes": "<p></p>", "ICCIF-species-checked": "notRecommended", "ICCIF-species-dilution-info": "", "ICCIF-species-notes": "<p></p>", "IHCFr-species-checked": "guaranteed", "IHCFr-species-dilution-info": "", "IHCFr-species-notes": "" }, "Mouse": { "IHCP-species-checked": "testedAndGuaranteed", "IHCP-species-dilution-info": "", "IHCP-species-notes": "<p></p>", "IP-species-checked": "testedAndGuaranteed", "IP-species-dilution-info": "", "IP-species-notes": "<p></p>", "WB-species-checked": "testedAndGuaranteed", "WB-species-dilution-info": "", "WB-species-notes": "<p></p>", "ICCIF-species-checked": "notRecommended", "ICCIF-species-dilution-info": "", "ICCIF-species-notes": "<p></p>", "IHCFr-species-checked": "testedAndGuaranteed", "IHCFr-species-dilution-info": "", "IHCFr-species-notes": "<p></p>" }, "Rat": { "IHCP-species-checked": "testedAndGuaranteed", "IHCP-species-dilution-info": "", "IHCP-species-notes": "<p></p>", "IP-species-checked": "testedAndGuaranteed", "IP-species-dilution-info": "", "IP-species-notes": "<p></p>", "WB-species-checked": "testedAndGuaranteed", "WB-species-dilution-info": "", "WB-species-notes": "<p></p>", "ICCIF-species-checked": "notRecommended", "ICCIF-species-dilution-info": "", "ICCIF-species-notes": "<p></p>", "IHCFr-species-checked": "testedAndGuaranteed", "IHCFr-species-dilution-info": "", "IHCFr-species-notes": "<p></p>" } } }

产品详情

ab269863 is the carrier-free version of ab238135.

Patented technology
Our RabMAb® technology is a patented hybridoma-based technology for making rabbit monoclonal antibodies. For details on our patents, please refer to RabMAb® patents.

Conjugation ready
Our carrier-free antibodies are typically supplied in a PBS-only formulation, purified and free of BSA, sodium azide and glycerol. This conjugation-ready format is designed for use with fluorochromes, metal isotopes, oligonucleotides, and enzymes, which makes them ideal for antibody labelling, functional and cell-based assays, flow-based assays (e.g. mass cytometry) and Multiplex Imaging applications.

Use our conjugation kits for antibody conjugates that are ready-to-use in as little as 20 minutes with 1 minute hands-on-time and 100% antibody recovery: available for fluorescent dyes, HRP, biotin and gold.

Compatibility
This product is compatible with the Maxpar® Antibody Labeling Kit from Fluidigm, without the need for antibody preparation. Maxpar® is a trademark of Fluidigm Canada Inc.

性能和储存信息

形式
Liquid
纯化工艺
Affinity purification Protein A
存储溶液
pH: 7.2 - 7.4 Constituents: PBS
运输条件
Blue Ice
推荐的短期储存条件
+4°C
推荐的长期储存条件
+4°C
储存信息
Do Not Freeze

产品实验方案

For this product, it's our understanding that no specific protocols are required. You can visit:

靶点信息

Postsynaptic scaffolding protein that plays a critical role in synaptogenesis and synaptic plasticity by providing a platform for the postsynaptic clustering of crucial synaptic proteins. Interacts with the cytoplasmic tail of NMDA receptor subunits and shaker-type potassium channels. Required for synaptic plasticity associated with NMDA receptor signaling. Overexpression or depletion of DLG4 changes the ratio of excitatory to inhibitory synapses in hippocampal neurons. May reduce the amplitude of ASIC3 acid-evoked currents by retaining the channel intracellularly. May regulate the intracellular trafficking of ADR1B. Also regulates AMPA-type glutamate receptor (AMPAR) immobilization at postsynaptic density keeping the channels in an activated state in the presence of glutamate and preventing synaptic depression (By similarity). Under basal conditions, cooperates with FYN to stabilize palmitoyltransferase ZDHHC5 at the synaptic membrane through FYN-mediated phosphorylation of ZDHHC5 and its subsequent inhibition of association with endocytic proteins (PubMed : 26334723).
See full target information DLG4

文献 (1)

Recent publications for all applications. Explore the full list and refine your search

Cell 186:1930-1949.e31 PubMed37071993

2023

Pyramidal neurons form active, transient, multilayered circuits perturbed by autism-associated mutations at the inception of neocortex.

Applications

Unspecified application

Species

Unspecified reactive species

Martin Munz,Arjun Bharioke,Georg Kosche,Verónica Moreno-Juan,Alexandra Brignall,Tiago M Rodrigues,Alexandra Graff-Meyer,Talia Ulmer,Stephanie Haeuselmann,Dinko Pavlinic,Nicole Ledergerber,Brigitte Gross-Scherf,Balázs Rózsa,Jacek Krol,Simone Picelli,Cameron S Cowan,Botond Roska
View all publications

Abcam Product Promise

我们致力于为您的研究提供高质量的试剂,为您科研的每一步提供支持。若我们的产品未能达到预期性能,我们向您提供 Abcam Product Promise 保障。
详情请参阅我们的条款与条件。

Please note: All products are 'FOR RESEARCH USE ONLY. NOT FOR USE IN DIAGNOSTIC OR THERAPEUTIC PROCEDURES'.

For licensing inquiries, please contact partnerships@abcam.com