JavaScript is disabled in your browser. Please enable JavaScript to view this website.
AB198998

重组Anti-PRPF4抗体[EPR17207] - C-terminal

Anti-PRPF4 antibody [EPR17207] - C-terminal

Be the first to review this product! Submit a review

|

(1 Publication)

Rabbit Recombinant Monoclonal PRPF4 antibody. C-terminal. Suitable for WB, Flow Cyt (Intra), IHC-P and reacts with Mouse, Rat, Human samples. Cited in 1 publication.

查看别名

PRP4, PRPF4, U4/U6 small nuclear ribonucleoprotein Prp4, PRP4 homolog, U4/U6 snRNP 60 kDa protein, WD splicing factor Prp4, hPrp4

8 Images
Immunohistochemistry (Formalin/PFA-fixed paraffin-embedded sections) - Anti-PRPF4 antibody [EPR17207] - C-terminal (AB198998)
  • IHC-P

Supplier Data

Immunohistochemistry (Formalin/PFA-fixed paraffin-embedded sections) - Anti-PRPF4 antibody [EPR17207] - C-terminal (AB198998)

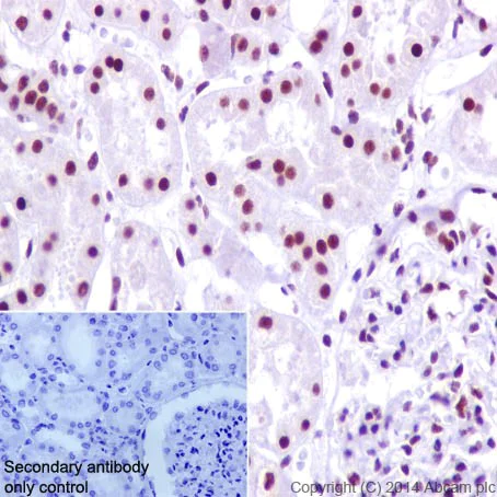
Immunohistochemical analysis of paraffin-embedded Human kidney tissue labeling PRPF4 with ab198998 at 1/500 followed by Goat Anti-Rabbit IgG H&L (HRP) (ab97051) at 1/500. Counter stained with Hematoxylin. Nuclear staining on Human kidney tissue was observed (Subcellular location - Nucleus speckle [UniProt]).
Negative control : Used PBS instead of primary antibody secondary antibody is Goat Anti-Rabbit IgG H&L (HRP) (ab97051) at 1/500 dilution.

Perform heat mediated antigen retrieval with Tris/EDTA buffer pH 9.0 before commencing with IHC staining protocol.

Immunohistochemistry (Formalin/PFA-fixed paraffin-embedded sections) - Anti-PRPF4 antibody [EPR17207] - C-terminal (AB198998)
  • IHC-P

Supplier Data

Immunohistochemistry (Formalin/PFA-fixed paraffin-embedded sections) - Anti-PRPF4 antibody [EPR17207] - C-terminal (AB198998)

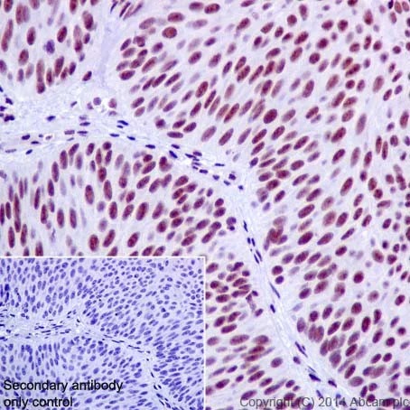
Immunohistochemical analysis of paraffin-embedded Human transitional cell carcinoma of bladder tissue labeling PRPF4 with ab198998 at 1/500 followed by Goat Anti-Rabbit IgG H&L (HRP) (ab97051) at 1/500. Counter stained with Hematoxylin. Nuclear staining on Human transitional cell carcinoma of bladder tissue was observed (Subcellular location - Nucleus speckle [UniProt]).

Negative control : Used PBS instead of primary antibody secondary antibody is Goat Anti-Rabbit IgG H&L (HRP) (ab97051) at 1/500 dilution.

Perform heat mediated antigen retrieval with Tris/EDTA buffer pH 9.0 before commencing with IHC staining protocol.

Flow Cytometry (Intracellular) - Anti-PRPF4 antibody [EPR17207] - C-terminal (AB198998)
  • Flow Cyt (Intra)

Lab

Flow Cytometry (Intracellular) - Anti-PRPF4 antibody [EPR17207] - C-terminal (AB198998)

Intracellular Flow Cytometry analysis of HeLa cells labelling PRPF4 (red) with purified ab198998 at dilution of 1/70. The secondary antibody used was Alexa Fluorr® 488 goat-anti-rabbit IgG (1/2000). Cells were fixed with 4% paraformaldehyde and permeabilised with 90% methanol. Isotype control antibody was Rabbit monoclonal IgG (black). The blue line shows cells without incubation with primary antibody and secondary antibody.

Immunohistochemistry (Formalin/PFA-fixed paraffin-embedded sections) - Anti-PRPF4 antibody [EPR17207] - C-terminal (AB198998)
  • IHC-P

Supplier Data

Immunohistochemistry (Formalin/PFA-fixed paraffin-embedded sections) - Anti-PRPF4 antibody [EPR17207] - C-terminal (AB198998)

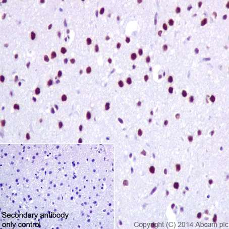
Immunohistochemical analysis of paraffin-embedded Rat cerebral cortex tissue labeling PRPF4 with ab198998 at 1/500 followed by Goat Anti-Rabbit IgG H&L (HRP) (ab97051) at 1/500. Counter stained with Hematoxylin. Nuclear staining on Rat cerebral cortex tissue was observed (Subcellular location - Nucleus speckle [UniProt]).
Negative control : Used PBS instead of primary antibody secondary antibody is Goat Anti-Rabbit IgG H&L (HRP) (ab97051) at 1/500 dilution.

Perform heat mediated antigen retrieval with Tris/EDTA buffer pH 9.0 before commencing with IHC staining protocol.

Immunohistochemistry (Formalin/PFA-fixed paraffin-embedded sections) - Anti-PRPF4 antibody [EPR17207] - C-terminal (AB198998)
  • IHC-P

Supplier Data

Immunohistochemistry (Formalin/PFA-fixed paraffin-embedded sections) - Anti-PRPF4 antibody [EPR17207] - C-terminal (AB198998)

Immunohistochemical analysis of paraffin-embedded Mouse cardiac muscle tissue labeling PRPF4 with ab198998 at 1/500 followed by Goat Anti-Rabbit IgG H&L (HRP) (ab97051) at 1/500. Counter stained with Hematoxylin. Nuclear staining on Mouse cardiac muscle tissuewas observed (Subcellular location - Nucleus speckle [UniProt]).
Negative control : Used PBS instead of primary antibody secondary antibody is Goat Anti-Rabbit IgG H&L (HRP) (ab97051) at 1/500 dilution.

Perform heat mediated antigen retrieval with Tris/EDTA buffer pH 9.0 before commencing with IHC staining protocol.

Western blot - Anti-PRPF4 antibody [EPR17207] - C-terminal (AB198998)
  • WB

Supplier Data

Western blot - Anti-PRPF4 antibody [EPR17207] - C-terminal (AB198998)

Blocking and diluting buffer was 5% NFDM/TBST

All lanes:

Western blot - Anti-PRPF4 antibody [EPR17207] - C-terminal (ab198998) at 1/20000 dilution

Lane 1:

Raji (Human Burkitt's lymphoma) whole cell lysate at 10 µg

Lane 2:

HepG2 (Human liver hepatocellular carcinoma) whole cell lysate at 10 µg

Lane 3:

293 (Human epithelial cells from embryonic kidney) whole cell lysate at 10 µg

Lane 4:

HeLa (Human epithelial cells from cervix adenocarcinoma ) whole cell lysate at 10 µg

Secondary

All lanes:

Goat Anti-Rabbit IgG, (H+L), Peroxidase conjugated at 1/1000 dilution

Predicted band size: 58 kDa

Observed band size: 58 kDa

true

Exposure time: 3min

Western blot - Anti-PRPF4 antibody [EPR17207] - C-terminal (AB198998)
  • WB

Supplier Data

Western blot - Anti-PRPF4 antibody [EPR17207] - C-terminal (AB198998)

Blocking and diluting buffer was 5% NFDM/TBST

All lanes:

Western blot - Anti-PRPF4 antibody [EPR17207] - C-terminal (ab198998) at 1/1000 dilution

Lane 1:

C6 (Rat glial tumor) whole cell lysate at 10 µg

Lane 2:

Raw264.7 (Mouse macrophages transformed with Abelson murine leukemia virus) whole cell lysate at 10 µg

Lane 3:

NIH/3T3 (Mouse embryo fibroblast) whole cell lysate at 10 µg

Secondary

All lanes:

Goat Anti-Rabbit IgG, (H+L), Peroxidase conjugated at 1/1000 dilution

Predicted band size: 58 kDa

Observed band size: 58 kDa

true

Exposure time: 15s

Western blot - Anti-PRPF4 antibody [EPR17207] - C-terminal (AB198998)
  • WB

Supplier Data

Western blot - Anti-PRPF4 antibody [EPR17207] - C-terminal (AB198998)

Blocking and diluting buffer was 5% NFDM/TBST

All lanes:

Western blot - Anti-PRPF4 antibody [EPR17207] - C-terminal (ab198998) at 1/1000 dilution

Lane 1:

Mouse brain tissue lysate at 10 µg

Lane 2:

Mouse kidney tissue lysate at 10 µg

Lane 3:

Mouse spleen tissue lysate at 10 µg

Secondary

All lanes:

Goat Anti-Rabbit IgG, (H+L), Peroxidase conjugated at 1/1000 dilution

Predicted band size: 58 kDa

Observed band size: 58 kDa

true

Exposure time: 3min

不同偶联物与剂型 (1)

  • Carrier free

    Anti-PRPF4 antibody [EPR17207] - BSA and Azide free

关键信息

宿主种属

Rabbit

克隆

Monoclonal

克隆号

EPR17207

亚型

IgG

不含载体蛋白

No

反应种属

Mouse, Rat, Human

应用

Flow Cyt (Intra), IHC-P, WB

applications

免疫原

The exact immunogen used to generate this antibody is proprietary information.

反应性数据

{ "title": "Reactivity Data", "filters": { "stats": ["", "Species", "Dilution Info", "Notes"], "tabs": { "all-applications": {"fullname" : "All Applications", "shortname": "All Applications"}, "WB" : {"fullname" : "Western blot", "shortname":"WB"}, "FlowCytIntra" : {"fullname" : "Flow Cytometry (Intracellular)", "shortname":"Flow Cyt (Intra)"}, "IHCP" : {"fullname" : "Immunohistochemistry (Formalin/PFA-fixed paraffin-embedded sections)", "shortname":"IHC-P"} }, "product-promise": { "all": "all", "testedAndGuaranteed": "tested", "guaranteed": "expected", "predicted": "predicted", "notRecommended": "not-recommended" } }, "values": { "Human": { "WB-species-checked": "testedAndGuaranteed", "WB-species-dilution-info": "1/1000", "WB-species-notes": "<p></p>", "FlowCytIntra-species-checked": "testedAndGuaranteed", "FlowCytIntra-species-dilution-info": "1/70", "FlowCytIntra-species-notes": "<p></p>", "IHCP-species-checked": "testedAndGuaranteed", "IHCP-species-dilution-info": "1/250", "IHCP-species-notes": "<p></p>" }, "Mouse": { "WB-species-checked": "testedAndGuaranteed", "WB-species-dilution-info": "1/1000", "WB-species-notes": "<p></p>", "FlowCytIntra-species-checked": "guaranteed", "FlowCytIntra-species-dilution-info": "", "FlowCytIntra-species-notes": "", "IHCP-species-checked": "testedAndGuaranteed", "IHCP-species-dilution-info": "1/250", "IHCP-species-notes": "<p></p>" }, "Rat": { "WB-species-checked": "testedAndGuaranteed", "WB-species-dilution-info": "1/1000", "WB-species-notes": "<p></p>", "FlowCytIntra-species-checked": "guaranteed", "FlowCytIntra-species-dilution-info": "", "FlowCytIntra-species-notes": "", "IHCP-species-checked": "testedAndGuaranteed", "IHCP-species-dilution-info": "1/250", "IHCP-species-notes": "<p></p>" } } }

产品详情

Patented technology
Our RabMAb® technology is a patented hybridoma-based technology for making rabbit monoclonal antibodies. For details on our patents, please refer to RabMAb® patents.

What are the advantages of a recombinant monoclonal antibody?
This product is a recombinant monoclonal antibody, which offers several advantages including:

  • - High batch-to-batch consistency and reproducibility
  • - Improved sensitivity and specificity
  • - Long-term security of supply
  • - Animal-free batch production

For more information, read more on recombinant antibodies.

性能和储存信息

形式
Liquid
纯化工艺
Affinity purification Protein A
存储溶液
pH: 7.2 - 7.4 Preservative: 0.01% Sodium azide Constituents: PBS, 40% Glycerol (glycerin, glycerine), 0.05% BSA
运输条件
Blue Ice
推荐的短期储存时间
1-2 weeks
推荐的短期储存条件
+4°C
推荐的长期储存条件
-20°C
分装信息
Upon delivery aliquot
储存信息
Avoid freeze / thaw cycle

产品实验方案

For this product, it's our understanding that no specific protocols are required. You can visit:

靶点信息

Plays a role in pre-mRNA splicing as component of the U4/U6-U5 tri-snRNP complex that is involved in spliceosome assembly, and as component of the precatalytic spliceosome (spliceosome B complex).
See full target information PRPF4

文献 (1)

Recent publications for all applications. Explore the full list and refine your search

Cell stress & chaperones 30:100084 PubMed40412548

2025

Heat shock induces alternative polyadenylation through dynamic DNA methylation and chromatin looping.

Applications

Unspecified application

Species

Unspecified reactive species

Emily E Fink,Yi Zhang,Briana Santo,Anwita Siddavatam,Rosie Ou,Vishal Nanavaty,Byron H Lee,Angela H Ting
View all publications

Abcam Product Promise

我们致力于为您的研究提供高质量的试剂,为您科研的每一步提供支持。若我们的产品未能达到预期性能,我们向您提供 Abcam Product Promise 保障。
详情请参阅我们的条款与条件。

Please note: All products are 'FOR RESEARCH USE ONLY. NOT FOR USE IN DIAGNOSTIC OR THERAPEUTIC PROCEDURES'.

For licensing inquiries, please contact partnerships@abcam.com