JavaScript is disabled in your browser. Please enable JavaScript to view this website.
AB181203

Anti-Proteasome Activator Subunit 4/PSME4 抗体 [EPR13577(B)] - C-terminal

Anti-Proteasome Activator Subunit 4/PSME4 antibody [EPR13577(B)] - C-terminal

Be the first to review this product! Submit a review

|

(3 Publications)

Rabbit Recombinant Monoclonal Proteasome Activator Subunit 4/PSME4 antibody. C-terminal. Suitable for WB, IHC-P and reacts with Mouse, Rat, Human samples. Cited in 3 publications.

查看别名

BLM10, KIAA0077, PSME4, Proteasome activator complex subunit 4, Proteasome activator PA200, Protein BLM10 homolog, Blm10, hBlm10

5 Images
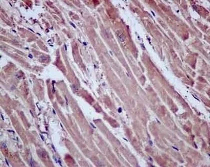
Immunohistochemistry (Formalin/PFA-fixed paraffin-embedded sections) - Anti-Proteasome Activator Subunit 4/PSME4 antibody [EPR13577(B)] - C-terminal (AB181203)
  • IHC-P

Supplier Data

Immunohistochemistry (Formalin/PFA-fixed paraffin-embedded sections) - Anti-Proteasome Activator Subunit 4/PSME4 antibody [EPR13577(B)] - C-terminal (AB181203)

Immunohistochemical analysis of paraffin-embedded Human cardiac muscle tissue labeling unpurified Proteasome Activator Subunit 4/PSME4 with ab181203 at 1/100 dilution followed by pre-diluted HRP-conjugated secondary antibody and counter-stained with Hematoxylin.

Immunohistochemistry (Formalin/PFA-fixed paraffin-embedded sections) - Anti-Proteasome Activator Subunit 4/PSME4 antibody [EPR13577(B)] - C-terminal (AB181203)
  • IHC-P

Supplier Data

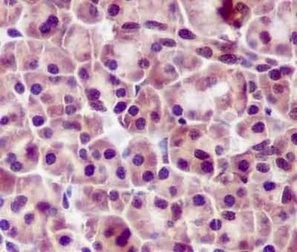
Immunohistochemistry (Formalin/PFA-fixed paraffin-embedded sections) - Anti-Proteasome Activator Subunit 4/PSME4 antibody [EPR13577(B)] - C-terminal (AB181203)

Immunohistochemical analysis of paraffin-embedded Human pancreas tissue labeling Proteasome Activator Subunit 4/PSME4 with unpurified ab181203 at 1/100 dilution followed by pre-diluted HRP-conjugated secondary antibody and counter-stained with Hematoxylin.

Immunohistochemistry (Formalin/PFA-fixed paraffin-embedded sections) - Anti-Proteasome Activator Subunit 4/PSME4 antibody [EPR13577(B)] - C-terminal (AB181203)
  • IHC-P

Unknown

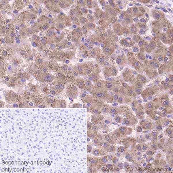
Immunohistochemistry (Formalin/PFA-fixed paraffin-embedded sections) - Anti-Proteasome Activator Subunit 4/PSME4 antibody [EPR13577(B)] - C-terminal (AB181203)

Immunohistochemistry (Formalin/PFA-fixed paraffin-embedded sections) analysis of human liver tissue sections labeling Proteasome Activator Subunit 4/PSME4 with purified ab181203 at 1 : 1000 dilution (0.59 μg/ml). Heat mediated antigen retrieval was performed using ab93684 (Tris/EDTA buffer, pH 9.0). ImmunoHistoProbe one step HRP Polymer (ready to use) was used as the secondary antibody.

Negative control : PBS instead of the primary antibody. Hematoxylin was used as a counterstain.

Western blot - Anti-Proteasome Activator Subunit 4/PSME4 antibody [EPR13577(B)] - C-terminal (AB181203)
  • WB

Supplier Data

Western blot - Anti-Proteasome Activator Subunit 4/PSME4 antibody [EPR13577(B)] - C-terminal (AB181203)

All lanes:

Western blot - Anti-Proteasome Activator Subunit 4/PSME4 antibody [EPR13577(B)] - C-terminal (ab181203) at 1/1000 dilution

Lane 1:

K562 cell line lysate at 20 µg

Lane 2:

HeLa cell line lysate at 20 µg

Lane 3:

HepG2 cell line lysate at 20 µg

Secondary

All lanes:

Goat Anti-Rabbit IgG, (H+L), Peroxidase conjugated antibody at 1/1000 dilution

Predicted band size: 211 kDa

false

Western blot - Anti-Proteasome Activator Subunit 4/PSME4 antibody [EPR13577(B)] - C-terminal (AB181203)
  • WB

Unknown

Western blot - Anti-Proteasome Activator Subunit 4/PSME4 antibody [EPR13577(B)] - C-terminal (AB181203)

Blocking and diluting buffer : 5% NFDM/TBST

All lanes:

Western blot - Anti-Proteasome Activator Subunit 4/PSME4 antibody [EPR13577(B)] - C-terminal (ab181203) at 0.6 µg/mL

Lane 1:

293T (Human embryonic kidney epithelial cell) whole cell lysates at 15 µg

Lane 2:

RAW264.7 (Mouse Abelson murine leukemia virus-induced tumor macrophage) whole cell lysates at 15 µg

Lane 3:

C6 (Rat glial tumor glial cell) whole cell lysates at 15 µg

Secondary

All lanes:

Western blot - Goat Anti-Rabbit IgG H&L (HRP) (<a href='/products/secondary-antibodies/goat-rabbit-igg-h-l-hrp-ab97051'>ab97051</a>) at 1/20000 dilution

Predicted band size: 211 kDa

false

不同偶联物与剂型 (1)

  • Carrier free

    Anti-Proteasome Activator Subunit 4/PSME4 antibody [EPR13577(B)] - BSA and Azide free

关键信息

宿主种属

Rabbit

克隆

Monoclonal

克隆号

EPR13577(B)

亚型

IgG

不含载体蛋白

No

反应种属

Mouse, Rat, Human

应用

WB, IHC-P

applications

免疫原

The exact immunogen used to generate this antibody is proprietary information.

特异性

The mouse and rat recommendation is based on the WB results. We do not guarantee IHC-P for mouse and rat.

反应性数据

{ "title": "Reactivity Data", "filters": { "stats": ["", "Species", "Dilution Info", "Notes"], "tabs": { "all-applications": {"fullname" : "All Applications", "shortname": "All Applications"}, "WB" : {"fullname" : "Western blot", "shortname":"WB"}, "IHCP" : {"fullname" : "Immunohistochemistry (Formalin/PFA-fixed paraffin-embedded sections)", "shortname":"IHC-P"} }, "product-promise": { "all": "all", "testedAndGuaranteed": "tested", "guaranteed": "expected", "predicted": "predicted", "notRecommended": "not-recommended" } }, "values": { "Human": { "WB-species-checked": "testedAndGuaranteed", "WB-species-dilution-info": "1/1000", "WB-species-notes": "<p></p>", "IHCP-species-checked": "testedAndGuaranteed", "IHCP-species-dilution-info": "1/1000", "IHCP-species-notes": "<p>The mouse and rat recommendation is based on the WB results. We do not guarantee IHC-P for mouse and rat.</p><p><strong>For unpurified use at 1/50 - 1/100.</strong></p>" }, "Mouse": { "WB-species-checked": "testedAndGuaranteed", "WB-species-dilution-info": "1/1000", "WB-species-notes": "<p></p>", "IHCP-species-checked": "guaranteed", "IHCP-species-dilution-info": "", "IHCP-species-notes": "" }, "Rat": { "WB-species-checked": "testedAndGuaranteed", "WB-species-dilution-info": "1/1000", "WB-species-notes": "<p></p>", "IHCP-species-checked": "guaranteed", "IHCP-species-dilution-info": "", "IHCP-species-notes": "" } } }

产品详情

Patented technology
Our RabMAb® technology is a patented hybridoma-based technology for making rabbit monoclonal antibodies. For details on our patents, please refer to RabMAb® patents.

What are the advantages of a recombinant monoclonal antibody?
This product is a recombinant monoclonal antibody, which offers several advantages including:

  • - High batch-to-batch consistency and reproducibility
  • - Improved sensitivity and specificity
  • - Long-term security of supply
  • - Animal-free batch production

For more information, read more on recombinant antibodies.

性能和储存信息

形式
Liquid
纯化工艺
Affinity purification Protein A
存储溶液
Preservative: 0.01% Sodium azide Constituents: PBS, 40% Glycerol (glycerin, glycerine), 0.05% BSA
运输条件
Blue Ice
推荐的短期储存时间
1-2 weeks
推荐的短期储存条件
+4°C
推荐的长期储存条件
-20°C
分装信息
Upon delivery aliquot
储存信息
Avoid freeze / thaw cycle

补充信息

This supplementary information is collated from multiple sources and compiled automatically.

Proteasome Activator Subunit 4 (PSME4) also known as PA200 is an important component in regulating protein degradation. It belongs to the family of proteasome activator subunits and has a molecular mass of approximately 230 kDa. PSME4 is mainly expressed in the nucleus of cells and modulates proteasome activity by binding to the proteasome core particle. Through facilitating protein breakdown PSME4 significantly influences various cellular processes including the elimination of oxidatively damaged proteins.
Biological function summary

PSME4 functions as part of a complex that enhances proteasome-mediated protein degradation. This complex formation improves the efficiency of protein processing by recruiting specific substrates for degradation. PSME4 is involved in DNA repair processes and plays a role in spermatogenesis contributing to proper cell cycle progression and genomic stability. The protein's activity in these biological functions demonstrates its importance in maintaining cellular homeostasis.

Pathways

PSME4 is intricately involved in the ubiquitin-proteasome pathway and the DNA damage response pathway which are essential for maintaining protein quality control and genomic integrity. PSME4 interacts with other proteins such as RAD23B facilitating the repair of damaged DNA. By integrating into these pathways PSME4 ensures the proper execution of critical cellular processes and responds to stress-related signals.

Alterations in PSME4 expression or function have connections to cancer progression and neurodegenerative diseases. In cancer PSME4 may influence tumor growth and resistance to therapy through its role in DNA repair and protein turnover. Additionally in neurodegenerative conditions like Alzheimer's disease PSME4-associated proteasome dysfunction contributes to the accumulation of toxic protein aggregates. Understanding PSME4 interactions with proteins like p53 in cancer or tau in neurodegeneration offers insights into potential therapeutic targets.

产品实验方案

For this product, it's our understanding that no specific protocols are required. You can visit:

靶点信息

Associated component of the proteasome that specifically recognizes acetylated histones and promotes ATP- and ubiquitin-independent degradation of core histones during spermatogenesis and DNA damage response. Recognizes and binds acetylated histones via its bromodomain-like (BRDL) region and activates the proteasome by opening the gated channel for substrate entry. Binds to the core proteasome via its C-terminus, which occupies the same binding sites as the proteasomal ATPases, opening the closed structure of the proteasome via an active gating mechanism. Component of the spermatoproteasome, a form of the proteasome specifically found in testis : binds to acetylated histones and promotes degradation of histones, thereby participating actively to the exchange of histones during spermatogenesis. Also involved in DNA damage response in somatic cells, by promoting degradation of histones following DNA double-strand breaks.
See full target information PSME4

文献 (3)

Recent publications for all applications. Explore the full list and refine your search

Frontiers in immunology 14:1202725 PubMed37465666

2023

Prognostic and immunological significance of an M1 macrophage-related gene signature in osteosarcoma.

Applications

Unspecified application

Species

Unspecified reactive species

Xiaoyu Mao,Fanglong Song,Ju Jin,Bin Zou,Peijun Dai,Mingjuan Sun,Weicheng Xu,Lianghua Wang,Yifan Kang

Cell reports 36:109361 PubMed34260942

2021

Site-specific O-GlcNAcylation of Psme3 maintains mouse stem cell pluripotency by impairing P-body homeostasis.

Applications

Unspecified application

Species

Unspecified reactive species

Federico Pecori,Nanako Kondo,Chika Ogura,Taichi Miura,Masahiko Kume,Youhei Minamijima,Kazuo Yamamoto,Shoko Nishihara

Asian journal of andrology 22:88-93 PubMed31006710

2019

Reduced semen quality in patients with testicular cancer seminoma is associated with alterations in the expression of sperm proteins.

Applications

Unspecified application

Species

Unspecified reactive species

Tânia R Dias,Ashok Agarwal,Peter N Pushparaj,Gulfam Ahmad,Rakesh Sharma
View all publications

Abcam Product Promise

我们致力于为您的研究提供高质量的试剂,为您科研的每一步提供支持。若我们的产品未能达到预期性能,我们向您提供 Abcam Product Promise 保障。
详情请参阅我们的条款与条件。

Please note: All products are 'FOR RESEARCH USE ONLY. NOT FOR USE IN DIAGNOSTIC OR THERAPEUTIC PROCEDURES'.

For licensing inquiries, please contact partnerships@abcam.com