JavaScript is disabled in your browser. Please enable JavaScript to view this website.
AB270521

重组Anti-Prosurfactant蛋白C抗体[EPR19839-8]

Anti-Prosurfactant Protein C antibody [EPR19839-8]

Be the first to review this product! Submit a review

|

(1 Publication)

Rabbit Recombinant Monoclonal Prosurfactant Protein C antibody. Suitable for IHC-P, IP, WB, IHC-Fr, Flow Cyt (Intra), ICC/IF and reacts with Mouse samples. Cited in 1 publication.

查看别名

Sftp2, Sftpc, Surfactant protein C, SP-C, Pulmonary surfactant-associated protein C, Pulmonary surfactant-associated proteolipid SPL(Val), SP5

8 Images
Immunocytochemistry/ Immunofluorescence - Anti-Prosurfactant Protein C antibody [EPR19839-8] (AB270521)
  • ICC/IF

Lab

Immunocytochemistry/ Immunofluorescence - Anti-Prosurfactant Protein C antibody [EPR19839-8] (AB270521)

Immunofluorescent analysis of 4% Paraformaldehyde fixed 0.1% Triton X-100 permeabilized transfected HEK-293T cells labelling Prosurfactant Protein C with ab270521 at 1/5000 (0.1166μg/ml) followed by ab150081 Goat Anti-Rabbit IgG H&L (Alexa Fluor® 488) preadsorbed antibody as secondary at 1/1000 (2 μg/ml) dilution. ab223894 Anti-Myc tag mouse monoclonal antibody (Alexa Fluor® 594) was used as a counterstain at 1/100 (5μg/ml). Confocal image showing cytoplasmic staining in 293T cells (shown in green) transfected a mouse SFTPC expression vector containing a myc-His-tag®, showing no staining in 293T cells transfected a human SFTPC expression vector containing a myc-His-tag®. The counterstain was observed in magenta. Nuclear DNA was labelled with DAPI (shown in blue). Image was taken with a confocal microscope (Leica-Microsystems, TCS SP8).

Panel A : HEK-293T cells transfected with an empty expression vector containing a myc-His-tag®

Panel B : HEK-293T cells transfected with a mouse SFTPC expression vector containing a myc-His-tag®

Panel C : HEK-293T cells transfected with a human SFTPC expression vector containing a myc-His-tag®

Flow Cytometry (Intracellular) - Anti-Prosurfactant Protein C antibody [EPR19839-8] (AB270521)
  • Flow Cyt (Intra)

Lab

Flow Cytometry (Intracellular) - Anti-Prosurfactant Protein C antibody [EPR19839-8] (AB270521)

Flow cytometry (intracellular) analysis of transfected 293T cells. Cells were fixed with 4% PFA for 10 minutes and permeabilised with 90% methanol before staining for Prosurfactant Protein C in 293T cells transfected with a mouse SFTPC expression vector containing a myc-His-tag® using antibody ab270521 at 1/5000 dilution (0.01 ug) (middle panel). Staining was compared with 293T cells transfected with an empty expression vector containing a myc-His-tag® (right panel). and with an isotype control, rabbit monoclonal IgG (ab172730) (left panel). Goat anti‑rabbit IgG (Alexa Fluor® 488, ab150081) was used as the secondary antibody at a 1/5000 dilution. Cells were co-stained with anti-myc conjugated to Alexa Fluor®647.

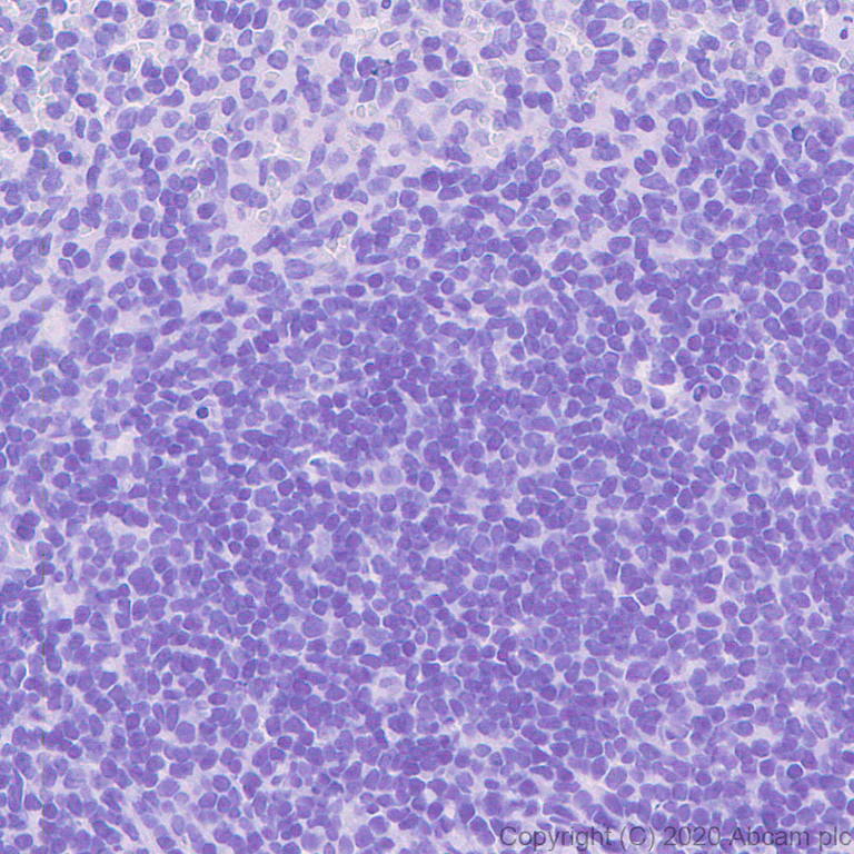
Immunohistochemistry (Formalin/PFA-fixed paraffin-embedded sections) - Anti-Prosurfactant Protein C antibody [EPR19839-8] (AB270521)
  • IHC-P

Unknown

Immunohistochemistry (Formalin/PFA-fixed paraffin-embedded sections) - Anti-Prosurfactant Protein C antibody [EPR19839-8] (AB270521)

Immunohistochemical analysis of paraffin-embedded Mouse spleen tissue labeling Prosurfactant Protein C with ab270521 at 1/2000 dilution followed by a ready to use Rabbit specific IHC polymer detection kit HRP/DAB (ab209101). The Pulmonary surfactant-associated protein C is a peptide secreted by the alveolar type II pneumocytes of the lung (PMID : 16769199). Negative control : No staining on mouse spleen. The section was incubated with ab270521 for 30 mins at room temperature. The immunostaining was performed on a Leica Biosystems BOND® RX instrument. Counterstained with Hematoxylin.

Secondary antibody only control : Secondary antibody is a ready to use Rabbit specific IHC polymer detection kit HRP/DAB (ab209101).

Heat mediated antigen retrieval with Citrate buffer (pH 6.0, epitope retrieval solution 1) for 20 mins.

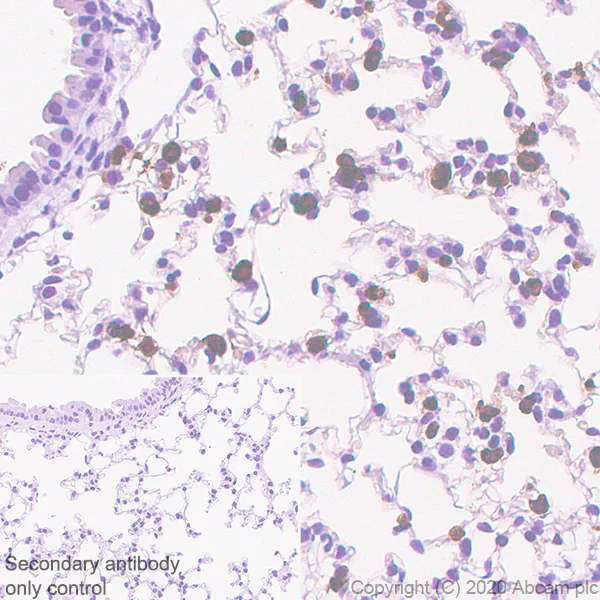
Immunohistochemistry (Frozen sections) - Anti-Prosurfactant Protein C antibody [EPR19839-8] (AB270521)
  • IHC-Fr

Unknown

Immunohistochemistry (Frozen sections) - Anti-Prosurfactant Protein C antibody [EPR19839-8] (AB270521)

Immunohistochemical analysis of 4% PFA-fixed, 0.2% Triton X-100 permeabilized frozen Mouse lung tissue labeling Prosurfactant Protein C with ab270521 at 1/100 dilution followed by ab150077 AlexaFluor®488 Goat anti-Rabbit secondary at 1/1000 dilution (Green). Positive staining on mouse lung is observed. The nuclear counterstain was DAPI (Blue).

Secondary antibody control : Secondary antibody is ab150077 AlexaFluor®488 Goat anti-Rabbit secondary at 1/1000 dilution.

Heat mediated antigen retrieval using sodium citrate buffer (10mM citrate pH 6.0 + 0.05% Tween-20).

Immunohistochemistry (Formalin/PFA-fixed paraffin-embedded sections) - Anti-Prosurfactant Protein C antibody [EPR19839-8] (AB270521)
  • IHC-P

Unknown

Immunohistochemistry (Formalin/PFA-fixed paraffin-embedded sections) - Anti-Prosurfactant Protein C antibody [EPR19839-8] (AB270521)

Immunohistochemical analysis of paraffin-embedded Mouse lung tissue labeling Prosurfactant Protein C with ab270521 at 1/2000 dilution followed by a ready to use Rabbit specific IHC polymer detection kit HRP/DAB (ab209101). Positive staining on Type II alveolar cells in mouse lung. The section was incubated with ab270521 for 30 mins at room temperature. The immunostaining was performed on a Leica Biosystems BOND® RX instrument. Counterstained with Hematoxylin.

Secondary antibody only control : Secondary antibody is a ready to use Rabbit specific IHC polymer detection kit HRP/DAB (ab209101).

Heat mediated antigen retrieval with Citrate buffer (pH 6.0, epitope retrieval solution 1) for 20 mins.

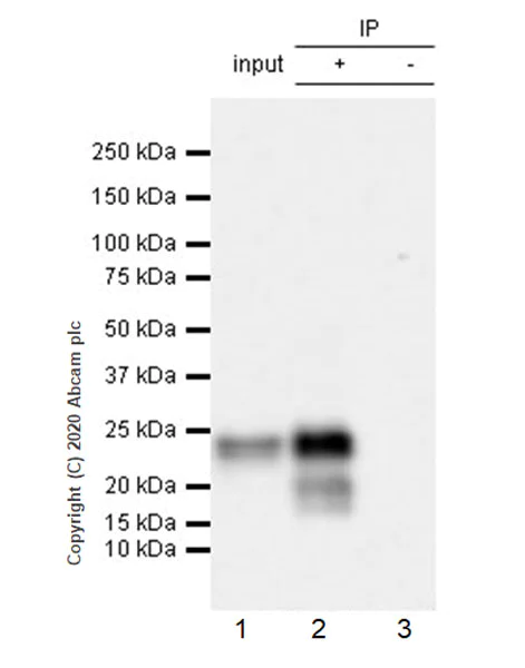
Immunoprecipitation - Anti-Prosurfactant Protein C antibody [EPR19839-8] (AB270521)
  • IP

Unknown

Immunoprecipitation - Anti-Prosurfactant Protein C antibody [EPR19839-8] (AB270521)

Prosurfactant Protein C was immunoprecipitated from 0.35 mg Mouse lung tissue lysate 1with ab270521 at 1/30 dilution. Western blot was performed on the immunoprecipitate using ab270521 at 1/1000 dilution. VeriBlot for IP Detection Reagent (HRP)(ab131366) was used at 1/5000 dilution.

Lane 1 : Mouse lung tissue lysate 10 ug.

Lane 2 : ab270521 IP in Mouse lung tissue lysate.

Lane 3 : Rabbit monoclonal IgG (ab172730) instead of ab270521 in mouse lung tissue lysate.

Blocking and dilution buffer and concentration : 5% NFDM/TBST.

Exposure time : 6 seconds.

All lanes:

Immunoprecipitation - Anti-Prosurfactant Protein C antibody [EPR19839-8] (ab270521)

Predicted band size: 21 kDa,67 kDa

Observed band size: 21 kDa

false

Western blot - Anti-Prosurfactant Protein C antibody [EPR19839-8] (AB270521)
  • WB

Lab

Western blot - Anti-Prosurfactant Protein C antibody [EPR19839-8] (AB270521)

Blocking and diluting buffer and concentration : This target has a precursor which contains an exceedingly hybrophobic region of 34 amino acids that comprises most of the mature Spftc, and a unique poly-valine domain. The staining pattern of our antibody is similar with published paper (PMID : 20378731 and PMID : 22461427). 15 seconds Exposure time :

All lanes:

Western blot - Anti-Prosurfactant Protein C antibody [EPR19839-8] (ab270521) at 1/1000 dilution

All lanes:

Mouse lung tissue lysate at 10 µg

Secondary

All lanes:

Goat Anti-Rabbit IgG, (H+L), Peroxidase conjugated (<a href='/products/secondary-antibodies/goat-rabbit-igg-h-l-hrp-ab97051'>ab97051</a>) at 1/100000 dilution

Predicted band size: 21 kDa

Observed band size: 21 kDa

false

Western blot - Anti-Prosurfactant Protein C antibody [EPR19839-8] (AB270521)
  • WB

Lab

Western blot - Anti-Prosurfactant Protein C antibody [EPR19839-8] (AB270521)

Blocking and diluting buffer and concentration : 5% NFDM/TBST.

In Western blot, Anti-GAPDH antibody [EPR16891] - Loading Control (ab181602) staining at 1/200000 dilution (36KDa).

In Western blot, Anti-6X His tag® antibody [AD1.1.10] total protein control (1/1000) (30KDa)

All lanes:

Western blot - Anti-Prosurfactant Protein C antibody [EPR19839-8] (ab270521) at 1/1000 dilution

Lane 1:

293T (human embryonic kidney epithelial cell) transfected with an empty vector containing a His-tag, whole cell lysate at 20 µg

Lane 2:

293T transfected with a human SFTPC expression vector containing a His-tag, whole cell lysate at 20 µg

Lane 3:

293T transfected with a mouse SFTPC expression vector containing a His-tag, whole cell lysate at 20 µg

Secondary

All lanes:

Western blot - Goat Anti-Rabbit IgG H&L (HRP) (<a href='/products/secondary-antibodies/goat-rabbit-igg-h-l-hrp-ab97051'>ab97051</a>) at 1/100000 dilution

Observed band size: 21 kDa

false

Exposure time: 4s

不同偶联物与剂型 (1)

  • Carrier free

    Anti-Prosurfactant Protein C antibody [EPR19839-8] - BSA and Azide free

关键信息

宿主种属

Rabbit

克隆

Monoclonal

克隆号

EPR19839-8

亚型

IgG

不含载体蛋白

No

反应种属

Mouse

应用

IHC-Fr, WB, IHC-P, ICC/IF, IP, Flow Cyt (Intra)

applications

免疫原

The exact immunogen used to generate this antibody is proprietary information.

特异性

This antibody has been tested with overexpressing Prosurfactant Protein C samples in Western blot, ICC/IF and Flow cytometry.

反应性数据

{ "title": "Reactivity Data", "filters": { "stats": ["", "Species", "Dilution Info", "Notes"], "tabs": { "all-applications": {"fullname" : "All Applications", "shortname": "All Applications"}, "IHCP" : {"fullname" : "Immunohistochemistry (Formalin/PFA-fixed paraffin-embedded sections)", "shortname":"IHC-P"}, "IP" : {"fullname" : "Immunoprecipitation", "shortname":"IP"}, "WB" : {"fullname" : "Western blot", "shortname":"WB"}, "IHCFr" : {"fullname" : "Immunohistochemistry (Frozen sections)", "shortname":"IHC-Fr"}, "FlowCytIntra" : {"fullname" : "Flow Cytometry (Intracellular)", "shortname":"Flow Cyt (Intra)"}, "ICCIF" : {"fullname" : "Immunocytochemistry/ Immunofluorescence", "shortname":"ICC/IF"} }, "product-promise": { "all": "all", "testedAndGuaranteed": "tested", "guaranteed": "expected", "predicted": "predicted", "notRecommended": "not-recommended" } }, "values": { "Human": { "IHCP-species-checked": "notRecommended", "IHCP-species-dilution-info": "1/2000", "IHCP-species-notes": "<p></p>", "IP-species-checked": "notRecommended", "IP-species-dilution-info": "", "IP-species-notes": "", "WB-species-checked": "notRecommended", "WB-species-dilution-info": "1/1000", "WB-species-notes": "<p></p>", "IHCFr-species-checked": "notRecommended", "IHCFr-species-dilution-info": "", "IHCFr-species-notes": "", "FlowCytIntra-species-checked": "notRecommended", "FlowCytIntra-species-dilution-info": "", "FlowCytIntra-species-notes": "<p></p>", "ICCIF-species-checked": "notRecommended", "ICCIF-species-dilution-info": "1/5000", "ICCIF-species-notes": "<p></p>" }, "Mouse": { "IHCP-species-checked": "testedAndGuaranteed", "IHCP-species-dilution-info": "1/2000", "IHCP-species-notes": "<p></p>", "IP-species-checked": "testedAndGuaranteed", "IP-species-dilution-info": "1/30", "IP-species-notes": "<p></p>", "WB-species-checked": "testedAndGuaranteed", "WB-species-dilution-info": "1/1000", "WB-species-notes": "<p></p>", "IHCFr-species-checked": "testedAndGuaranteed", "IHCFr-species-dilution-info": "1/100", "IHCFr-species-notes": "<p>Heat mediated antigen retrieval using sodium citrate buffer (10mM citrate pH 6.0 + 0.05% Tween-20).</p>", "FlowCytIntra-species-checked": "testedAndGuaranteed", "FlowCytIntra-species-dilution-info": "1/5000", "FlowCytIntra-species-notes": "<p></p>", "ICCIF-species-checked": "testedAndGuaranteed", "ICCIF-species-dilution-info": "1/5000", "ICCIF-species-notes": "<p></p>" }, "Rat": { "IHCP-species-checked": "notRecommended", "IHCP-species-dilution-info": "1/2000", "IHCP-species-notes": "<p></p>", "IP-species-checked": "notRecommended", "IP-species-dilution-info": "", "IP-species-notes": "", "WB-species-checked": "notRecommended", "WB-species-dilution-info": "1/1000", "WB-species-notes": "<p></p>", "IHCFr-species-checked": "notRecommended", "IHCFr-species-dilution-info": "", "IHCFr-species-notes": "", "FlowCytIntra-species-checked": "notRecommended", "FlowCytIntra-species-dilution-info": "", "FlowCytIntra-species-notes": "", "ICCIF-species-checked": "notRecommended", "ICCIF-species-dilution-info": "", "ICCIF-species-notes": "" } } }

产品详情

Patented technology
Our RabMAb® technology is a patented hybridoma-based technology for making rabbit monoclonal antibodies. For details on our patents, please refer to RabMAb® patents.

What are the advantages of a recombinant monoclonal antibody?
This product is a recombinant monoclonal antibody, which offers several advantages including:

  • - High batch-to-batch consistency and reproducibility
  • - Improved sensitivity and specificity
  • - Long-term security of supply
  • - Animal-free batch production

For more information, read more on recombinant antibodies.

性能和储存信息

形式
Liquid
纯化工艺
Affinity purification Protein A
存储溶液
pH: 7.2 - 7.4 Preservative: 0.01% Sodium azide Constituents: PBS, 40% Glycerol (glycerin, glycerine), 0.05% BSA
运输条件
Blue Ice
推荐的短期储存时间
1-2 weeks
推荐的短期储存条件
+4°C
推荐的长期储存条件
-20°C
分装信息
Upon delivery aliquot
储存信息
Avoid freeze / thaw cycle

补充信息

This supplementary information is collated from multiple sources and compiled automatically.

Prosurfactant Protein C (Pro-SP-C) often referred to as SPC or by its abbreviated form SP-C is a hydrophobic peptide critical for lung function. This protein has a mass of approximately 21 kDa and is expressed prominently in the alveolar type II cells of the lung tissue. Beyond its full-length variant various pro forms such as proSP-C are studied for their roles during protein maturation and trafficking. These pro forms are essential for producing the mature functional SP-C a critical component of lung surfactant which reduces surface tension in alveoli and prevents lung collapse.
Biological function summary

In surfactant homeostasis Prosurfactant Protein C associates with surfactant protein complexes where it interacts with phospholipids like phosphatidylcholine to stabilize the alveolar structures. As part of this complex it aids in reducing surface tension at the air-liquid interface in the alveoli and contributes to the host defense system by fostering pathogen clearance and modulating inflammation. The intricate processing of Pro-SP-C into its mature form involves fucosylation and other post-translational modifications which are key for functional surfactant activity.

Pathways

The role of Prosurfactant Protein C is integral to the surfactant metabolism pathway affecting lung function and homeostasis. This pathway is important for proper respiratory mechanics and is closely linked to other surfactant proteins like SP-B and SP-D. These proteins work together within the lipid-protein matrix of the surfactant to ensure proper alveolar deflation and reinflation during respiration. Disruption within these pathways can have significant impact on lung health and respiratory physiology.

Mutations or dysfunctions in Prosurfactant Protein C are linked to interstitial lung diseases including pulmonary alveolar proteinosis and idiopathic pulmonary fibrosis. These conditions often result from misfolded proteins or improper surfactant metabolism leading to compromised lung function. Connections with disorders like these highlight interactions between Prosurfactant Protein C and C-reactive protein uncovering underlying inflammatory processes. Therapy and research often target these protein interactions and modifications as understanding them holds potential for strategic intervention in surfactant-related pathologies.

产品实验方案

For this product, it's our understanding that no specific protocols are required. You can visit:

靶点信息

Pulmonary surfactant associated proteins promote alveolar stability by lowering the surface tension at the air-liquid interface in the peripheral air spaces.
See full target information Sftpc

文献 (1)

Recent publications for all applications. Explore the full list and refine your search

Cancer discovery : PubMed38241033

2024

EGFR-driven lung adenocarcinomas coopt alveolar macrophage metabolism and function to support EGFR signaling and growth.

Applications

Unspecified application

Species

Unspecified reactive species

Alexandra Kuhlmann-Hogan,Thekla Cordes,Ziyan Xu,Ramya S Kuna,Kacie A Traina,Camila Robles-Oteiza,Deborah Ayeni,Elizabeth M Kwong,Stellar Levy,Anna-Maria Globig,Matthew M Nobari,George Z Cheng,Sandra L Leibel,Robert J Homer,Reuben J Shaw,Christian M Metallo,Katerina Politi,Susan M Kaech
View all publications

Abcam Product Promise

我们致力于为您的研究提供高质量的试剂,为您科研的每一步提供支持。若我们的产品未能达到预期性能,我们向您提供 Abcam Product Promise 保障。
详情请参阅我们的条款与条件。

Please note: All products are 'FOR RESEARCH USE ONLY. NOT FOR USE IN DIAGNOSTIC OR THERAPEUTIC PROCEDURES'.

For licensing inquiries, please contact partnerships@abcam.com