JavaScript is disabled in your browser. Please enable JavaScript to view this website.
AB240982

重组Anti-Prostate Specific Antigen抗体[SP317] - BSA and Azide free

Anti-Prostate Specific Antigen antibody [SP317] - BSA and Azide free

Be the first to review this product! Submit a review

|

(1 Publication)

Rabbit Recombinant Monoclonal Prostate Specific Antigen antibody. Carrier free. Suitable for WB, IHC-P and reacts with Human samples. Cited in 1 publication.

查看别名

APS, KLK3, Prostate-specific antigen, PSA, Gamma-seminoprotein, Kallikrein-3, P-30 antigen, Semenogelase, Seminin

2 Images
Immunohistochemistry (Formalin/PFA-fixed paraffin-embedded sections) - Anti-Prostate Specific Antigen antibody [SP317] - BSA and Azide free (AB240982)
  • IHC-P

Supplier Data

Immunohistochemistry (Formalin/PFA-fixed paraffin-embedded sections) - Anti-Prostate Specific Antigen antibody [SP317] - BSA and Azide free (AB240982)

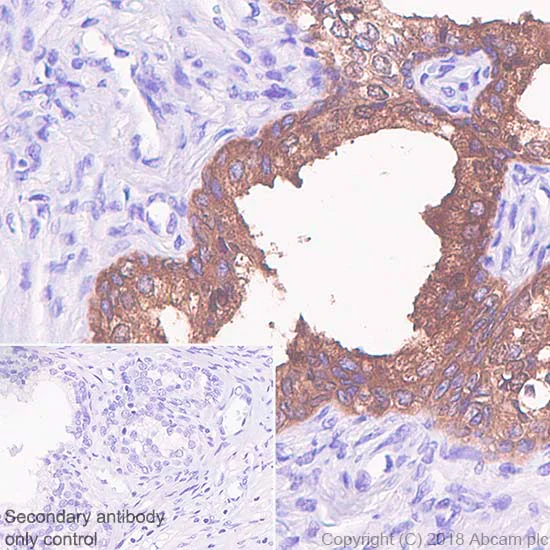
Formalin-fixed, paraffin-embedded human prostate tissue stained for Prostate Specific Antigen using ab224799 at 1/100 dilution in immunohistochemical analysis.

This data was developed using the same antibody clone in a different buffer formulation containing PBS, BSA and sodium azide (ab224799).

Immunohistochemistry (Formalin/PFA-fixed paraffin-embedded sections) - Anti-Prostate Specific Antigen antibody [SP317] - BSA and Azide free (AB240982)
  • IHC-P

Unknown

Immunohistochemistry (Formalin/PFA-fixed paraffin-embedded sections) - Anti-Prostate Specific Antigen antibody [SP317] - BSA and Azide free (AB240982)

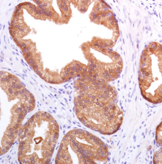
Immunohistochemistry (Formalin/PFA-fixed paraffin-embedded sections) analysis of Human prostate tissue sections labeling Prostate Specific Antigen with ab224799 at 1/100 dilution (3.83 μg/ml). Heat mediated antigen retrieval with Tris-EDTA buffer (pH 9.0, epitope retrieval solution 2) for 10 mins. Goat Anti-Rabbit & Mouse IgG (HRP) was used as the secondary antibody. Hematoxylin was used as a counterstain. Cytoplasmic staining on the human prostate, performed on a Leica Biosystems BOND™ RX instrument.
The section was incubated with ab224799 for 10 mins at room temperature.

This image was generated using ab224799, the same clone, but with a different buffer formulation.

不同偶联物与剂型 (1)

  • Unconjugated

    Anti-Prostate Specific Antigen antibody [SP317]

关键信息

宿主种属

Rabbit

克隆

Monoclonal

克隆号

SP317

亚型

IgG

不含载体蛋白

Yes

反应种属

Human

应用

IHC-P, WB

applications

免疫原

The exact immunogen used to generate this antibody is proprietary information.

反应性数据

{ "title": "Reactivity Data", "filters": { "stats": ["", "Species", "Dilution Info", "Notes"], "tabs": { "all-applications": {"fullname" : "All Applications", "shortname": "All Applications"}, "WB" : {"fullname" : "Western blot", "shortname":"WB"}, "IHCP" : {"fullname" : "Immunohistochemistry (Formalin/PFA-fixed paraffin-embedded sections)", "shortname":"IHC-P"} }, "product-promise": { "all": "all", "testedAndGuaranteed": "tested", "guaranteed": "expected", "predicted": "predicted", "notRecommended": "not-recommended" } }, "values": { "Human": { "WB-species-checked": "guaranteed", "WB-species-dilution-info": "", "WB-species-notes": "<p></p>", "IHCP-species-checked": "testedAndGuaranteed", "IHCP-species-dilution-info": "", "IHCP-species-notes": "<p>Perform heat mediated antigen retrieval with EDTA buffer pH 8.0 before commencing with IHC staining protocol.</p>" } } }

产品详情

ab240982 is the carrier-free version of ab224799.

What are the advantages of a recombinant monoclonal antibody?
This product is a recombinant monoclonal antibody, which offers several advantages including:

  • - High batch-to-batch consistency and reproducibility
  • - Improved sensitivity and specificity
  • - Long-term security of supply
  • - Animal-free batch production

For more information, read more on recombinant antibodies.

Conjugation ready
Our carrier-free antibodies are typically supplied in a PBS-only formulation, purified and free of BSA, sodium azide and glycerol. This conjugation-ready format is designed for use with fluorochromes, metal isotopes, oligonucleotides, and enzymes, which makes them ideal for antibody labelling, functional and cell-based assays, flow-based assays (e.g. mass cytometry) and Multiplex Imaging applications.

Use our conjugation kits for antibody conjugates that are ready-to-use in as little as 20 minutes with 1 minute hands-on-time and 100% antibody recovery: available for fluorescent dyes, HRP, biotin and gold.

Compatibility
This product is compatible with the Maxpar® Antibody Labeling Kit from Fluidigm, without the need for antibody preparation. Maxpar® is a trademark of Fluidigm Canada Inc.

性能和储存信息

形式
Liquid
纯化工艺
Affinity purification Protein A/G
纯化说明
Purified from TCS by protein A/G.
存储溶液
pH: 7.2 - 7.4 Constituents: PBS
运输条件
Blue Ice
推荐的短期储存条件
+4°C
推荐的长期储存条件
+4°C
储存信息
Do Not Freeze

补充信息

This supplementary information is collated from multiple sources and compiled automatically.

Prostate Specific Antigen (PSA) also known as kallikrein-related peptidase 3 (KLK3) is a serine protease with a mass of approximately 28.4 kDa. PSA is primarily expressed in the epithelial cells of the prostate gland. This glycoprotein is an important component in the seminal fluid where it performs its proteolytic activity that liquefies semen facilitating sperm motility.
Biological function summary

PSA functions by cleaving the gel-forming proteins present in seminal coagulum. It does not operate as part of a larger protein complex. PSA also interacts with substrates like fibronectin and semenogelin which play roles in seminal coagulation and liquefaction. The expression of PSA in prostate tissue has made it a valuable biomarker for prostate function and pathological conditions.

Pathways

PSA is involved in the kallikrein-kinin system which influences inflammation and blood pressure regulation. PSA is not directly a part of key metabolic or signaling pathways but it is co-expressed with key proteins like androgen receptor (AR) which modulates PSA's expression. The interplay between androgens and PSA highlights its role in hormone regulation within the male reproductive system.

PSA levels serve as an indicator for prostate cancer and benign prostatic hyperplasia (BPH). Elevated PSA levels often correlate with prostate cancer although other prostate conditions such as prostatitis can also increase PSA without cancer. Proteins like PCA3 and the AR are also connected in the context of prostate cancer providing a broader understanding of PSA's role in these diseases.

产品实验方案

For this product, it's our understanding that no specific protocols are required. You can visit:

靶点信息

Hydrolyzes semenogelin-1 thus leading to the liquefaction of the seminal coagulum.
See full target information KLK3

文献 (1)

Recent publications for all applications. Explore the full list and refine your search

American journal of nuclear medicine and molecular imaging 13:147-155 PubMed37736493

2023

Evaluation of enhanced permeability effect and different linear energy transfer of radionuclides in a prostate cancer xenograft model.

Applications

Unspecified application

Species

Unspecified reactive species

Oskar Vilhelmsson Timmermand,Marcella Safi,Bo Holmqvist,Joanna Strand
View all publications

Abcam Product Promise

我们致力于为您的研究提供高质量的试剂,为您科研的每一步提供支持。若我们的产品未能达到预期性能,我们向您提供 Abcam Product Promise 保障。
详情请参阅我们的条款与条件。

Please note: All products are 'FOR RESEARCH USE ONLY. NOT FOR USE IN DIAGNOSTIC OR THERAPEUTIC PROCEDURES'.

For licensing inquiries, please contact partnerships@abcam.com