JavaScript is disabled in your browser. Please enable JavaScript to view this website.
AB53774

Anti-Prostate Specific Antigen抗体

Anti-Prostate Specific Antigen antibody

5

(2 Reviews)

|

(17 Publications)

Rabbit Polyclonal Prostate Specific Antigen antibody. Suitable for ELISA, WB, IHC-P and reacts with Mouse, Human samples. Cited in 17 publications. Immunogen corresponding to Synthetic Peptide within Human KLK3.

查看别名

APS, KLK3, Prostate-specific antigen, PSA, Gamma-seminoprotein, Kallikrein-3, P-30 antigen, Semenogelase, Seminin

2 Images
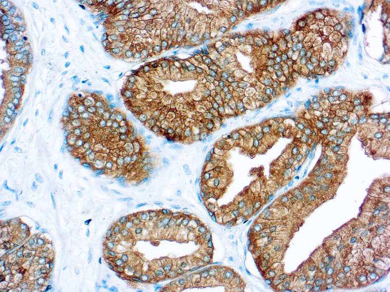
Immunohistochemistry (Formalin/PFA-fixed paraffin-embedded sections) - Anti-Prostate Specific Antigen antibody (AB53774)
  • IHC-P

Unknown

Immunohistochemistry (Formalin/PFA-fixed paraffin-embedded sections) - Anti-Prostate Specific Antigen antibody (AB53774)

ab53774 staining human normal prostate tissue. Staining is localised to cytoplasm and extracellular spaces.
Left panel : with primary antibody at 1 ug/ml. Right panel : isotype control.
Sections were stained using an automated system (DAKO Autostainer Plus ), at room temperature : sections were rehydrated and antigen retrieved with the Dako 3 in 1 AR buffer EDTA pH 9.0 in a DAKO PT Link. Slides were peroxidase blocked in 3% H2O2 in methanol for 10 mins. They were then blocked with Dako Protein block for 10 minutes (containing casein 0.25% in PBS) then incubated with primary antibody for 20 min and detected with Dako envision flex amplification kit for 30 minutes. Colorimetric detection was completed with Diaminobenzidine for 5 minutes. Slides were counterstained with Haematoxylin and coverslipped under DePeX. Please note that for manual staining we recommend to optimize the primary antibody concentration and incubation time (overnight incubation), and amplification may be requir

Western blot - Anti-Prostate Specific Antigen antibody (AB53774)
  • WB

Unknown

Western blot - Anti-Prostate Specific Antigen antibody (AB53774)

All lanes:

Western blot - Anti-Prostate Specific Antigen antibody (ab53774) at 1/500 dilution

Lane 1:

Extracts from mouse heart

Lane 2:

Extracts from mouse heart, plus immunising peptide

Predicted band size: 29 kDa

Observed band size: 34 kDa

false

关键信息

宿主种属

Rabbit

克隆

Polyclonal

亚型

IgG

不含载体蛋白

No

反应种属

Mouse, Human

应用

WB, IHC-P, ELISA

applications

免疫原

Synthetic Peptide within Human KLK3. The exact immunogen used to generate this antibody is proprietary information.

P07288

反应性数据

{ "title": "Reactivity Data", "filters": { "stats": ["", "Species", "Dilution Info", "Notes"], "tabs": { "all-applications": {"fullname" : "All Applications", "shortname": "All Applications"}, "ELISA" : {"fullname" : "ELISA", "shortname":"ELISA"}, "WB" : {"fullname" : "Western blot", "shortname":"WB"}, "IHCP" : {"fullname" : "Immunohistochemistry (Formalin/PFA-fixed paraffin-embedded sections)", "shortname":"IHC-P"} }, "product-promise": { "all": "all", "testedAndGuaranteed": "tested", "guaranteed": "expected", "predicted": "predicted", "notRecommended": "not-recommended" } }, "values": { "Human": { "ELISA-species-checked": "guaranteed", "ELISA-species-dilution-info": "", "ELISA-species-notes": "<p></p>", "WB-species-checked": "guaranteed", "WB-species-dilution-info": "", "WB-species-notes": "", "IHCP-species-checked": "testedAndGuaranteed", "IHCP-species-dilution-info": "", "IHCP-species-notes": "<p></p>" }, "Mouse": { "ELISA-species-checked": "guaranteed", "ELISA-species-dilution-info": "", "ELISA-species-notes": "<p></p>", "WB-species-checked": "testedAndGuaranteed", "WB-species-dilution-info": "1/500 - 1/1000", "WB-species-notes": "<p></p>", "IHCP-species-checked": "guaranteed", "IHCP-species-dilution-info": "", "IHCP-species-notes": "" } } }

性能和储存信息

形式
Liquid
纯化工艺
Affinity purification Immunogen
存储溶液
pH: 7.4 Preservative: 0.02% Sodium azide Constituents: PBS, 50% Glycerol (glycerin, glycerine), 0.87% Sodium chloride
运输条件
Blue Ice
推荐的短期储存条件
+4°C
推荐的长期储存条件
-20°C
分装信息
Upon delivery aliquot
储存信息
Avoid freeze / thaw cycle

补充信息

This supplementary information is collated from multiple sources and compiled automatically.

Prostate Specific Antigen (PSA) also known as kallikrein-related peptidase 3 (KLK3) is a serine protease with a mass of approximately 28.4 kDa. PSA is primarily expressed in the epithelial cells of the prostate gland. This glycoprotein is an important component in the seminal fluid where it performs its proteolytic activity that liquefies semen facilitating sperm motility.
Biological function summary

PSA functions by cleaving the gel-forming proteins present in seminal coagulum. It does not operate as part of a larger protein complex. PSA also interacts with substrates like fibronectin and semenogelin which play roles in seminal coagulation and liquefaction. The expression of PSA in prostate tissue has made it a valuable biomarker for prostate function and pathological conditions.

Pathways

PSA is involved in the kallikrein-kinin system which influences inflammation and blood pressure regulation. PSA is not directly a part of key metabolic or signaling pathways but it is co-expressed with key proteins like androgen receptor (AR) which modulates PSA's expression. The interplay between androgens and PSA highlights its role in hormone regulation within the male reproductive system.

PSA levels serve as an indicator for prostate cancer and benign prostatic hyperplasia (BPH). Elevated PSA levels often correlate with prostate cancer although other prostate conditions such as prostatitis can also increase PSA without cancer. Proteins like PCA3 and the AR are also connected in the context of prostate cancer providing a broader understanding of PSA's role in these diseases.

产品实验方案

For this product, it's our understanding that no specific protocols are required. You can visit:

靶点信息

Hydrolyzes semenogelin-1 thus leading to the liquefaction of the seminal coagulum.
See full target information KLK3

文献 (17)

Recent publications for all applications. Explore the full list and refine your search

Scientific reports 13:16663 PubMed37794090

2023

Pinostilbene inhibits full-length and splice variant of androgen receptor in prostate cancer.

Applications

Unspecified application

Species

Unspecified reactive species

Won Sik Shin,Seung Hyun Han,Kyung Won Jo,Yunje Cho,Kyong-Tai Kim

Molecular metabolism 71:101706 PubMed36931467

2023

Inceptor correlates with markers of prostate cancer progression and modulates insulin/IGF1 signaling and cancer cell migration.

Applications

Unspecified application

Species

Unspecified reactive species

Katharina Wissmiller,Sara Bilekova,Andras Franko,Stefan Z Lutz,Miriam Katsburg,Sebastian Gulde,Natalia S Pellegata,Arnulf Stenzl,Martin Heni,Lucia Berti,Hans-Ulrich Häring,Heiko Lickert

BMC molecular and cell biology 23:51 PubMed36443669

2022

Lncap-AI prostate cancer cell line establishment by Flutamide and androgen-free environment to promote cell adherent.

Applications

Unspecified application

Species

Unspecified reactive species

Huifeng Wang,Xihua Wei,Die Zhang,Weidong Li,Yanling Hu

Science advances 8:eabf9096 PubMed35213227

2022

Metabolic profiling of prostate cancer in skeletal microenvironments identifies G6PD as a key mediator of growth and survival.

Applications

Unspecified application

Species

Unspecified reactive species

Jessica Whitburn,Srinivasa R Rao,Emma V Morris,Sho Tabata,Akiyoshi Hirayama,Tomoyoshi Soga,James R Edwards,Zeynep Kaya,Charlotte Palmer,Freddie C Hamdy,Claire M Edwards

Genes 11: PubMed33036464

2020

Characterization of Hormone-Dependent Pathways in Six Human Prostate-Cancer Cell Lines: A Gene-Expression Study.

Applications

Unspecified application

Species

Unspecified reactive species

Andras Franko,Lucia Berti,Alke Guirguis,Jörg Hennenlotter,Robert Wagner,Marcus O Scharpf,Martin Hrabĕ de Angelis,Katharina Wißmiller,Heiko Lickert,Arnulf Stenzl,Andreas L Birkenfeld,Andreas Peter,Hans-Ulrich Häring,Stefan Z Lutz,Martin Heni

Journal of cellular biochemistry 120:14055-14064 PubMed30963631

2019

miR-103a-2-5p/miR-30c-1-3p inhibits the progression of prostate cancer resistance to androgen ablation therapy via targeting androgen receptor variant 7.

Applications

Unspecified application

Species

Unspecified reactive species

Wenjie Chen,Gan Yao,Keqin Zhou

Scientific reports 9:3823 PubMed30846826

2019

Maintenance of MYC expression promotes de novo resistance to BET bromodomain inhibition in castration-resistant prostate cancer.

Applications

Unspecified application

Species

Unspecified reactive species

Daniel J Coleman,Lina Gao,Jacob Schwartzman,James E Korkola,David Sampson,Daniel S Derrick,Joshua Urrutia,Ariel Balter,Julja Burchard,Carly J King,Kami E Chiotti,Laura M Heiser,Joshi J Alumkal

BMC veterinary research 14:327 PubMed30400793

2018

Comparison of hock- and footpad-injection as a prostate adenocarcinoma model in rats.

Applications

Unspecified application

Species

Unspecified reactive species

Henning Richter,Agnieszka Karol,Katja Nuss,Aymone Lenisa,Erika Bruellmann,Stella-Saphira Maudens,Heinrich Hoffmann,Brigitte von Rechenberg,Patrick R Kircher

Pharmacology research & perspectives 6:e00437 PubMed30410767

2018

Dual androgen receptor (AR) and STAT3 inhibition by a compound targeting the AR amino-terminal domain.

Applications

Unspecified application

Species

Unspecified reactive species

Yaping Hua,Waqas Azeem,Yunheng Shen,Shoude Zhang,Jan R Olsen,Anne M Øyan,Xisong Ke,Weidong Zhang,Karl-Henning Kalland

Oncology letters 15:2218-2226 PubMed29434928

2018

Oxibendazole inhibits prostate cancer cell growth.

Applications

Unspecified application

Species

Unspecified reactive species

Qiaoli Chen,Yuhua Li,Xiaoyu Zhou,Runsheng Li
View all publications

Abcam Product Promise

我们致力于为您的研究提供高质量的试剂,为您科研的每一步提供支持。若我们的产品未能达到预期性能,我们向您提供 Abcam Product Promise 保障。
详情请参阅我们的条款与条件。

Please note: All products are 'FOR RESEARCH USE ONLY. NOT FOR USE IN DIAGNOSTIC OR THERAPEUTIC PROCEDURES'.

For licensing inquiries, please contact partnerships@abcam.com