JavaScript is disabled in your browser. Please enable JavaScript to view this website.
AB139695

重组Anti-PRKAR1A+PRKAR1B抗体[EPR8491]

Anti-PRKAR1A+PRKAR1B antibody [EPR8491]

Be the first to review this product! Submit a review

|

(5 Publications)

Rabbit Recombinant Monoclonal PRKAR1A antibody. Suitable for IHC-P, WB and reacts with Mouse, Rat, Human samples. Cited in 5 publications.

查看别名

PKR1, PRKAR1, TSE1, PRKAR1A, cAMP-dependent protein kinase type I-alpha regulatory subunit, Tissue-specific extinguisher 1

7 Images
Immunohistochemistry (Formalin/PFA-fixed paraffin-embedded sections) - Anti-PRKAR1A+PRKAR1B antibody [EPR8491] (AB139695)
  • IHC-P

Lab

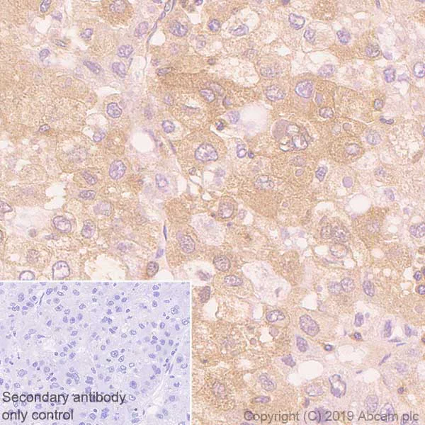
Immunohistochemistry (Formalin/PFA-fixed paraffin-embedded sections) - Anti-PRKAR1A+PRKAR1B antibody [EPR8491] (AB139695)

Immunohistochemistry (Formalin/PFA-fixed paraffin-embedded sections) analysis of human liver carcinoma tissue sections labeling PRKAR1A+PRKAR1B with Purified ab139695 at 1/300 dilution (1.29 µg/mL). Heat mediated antigen retrieval using Bond™ Epitope Retrieval Solution 1 (pH 6.0). Rabbit specific IHC polymer detection kit HRP/DAB (ab209101) was used as the secondary antibody. Negative control : PBS instead of the primary antibody. Hematoxylin was used as a counterstain.

Immunohistochemistry (Formalin/PFA-fixed paraffin-embedded sections) - Anti-PRKAR1A+PRKAR1B antibody [EPR8491] (AB139695)
  • IHC-P

Lab

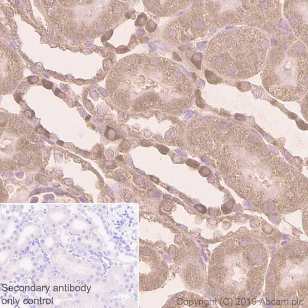
Immunohistochemistry (Formalin/PFA-fixed paraffin-embedded sections) - Anti-PRKAR1A+PRKAR1B antibody [EPR8491] (AB139695)

Immunohistochemistry (Formalin/PFA-fixed paraffin-embedded sections) analysis of rat kidney tissue sections labeling PRKAR1A+PRKAR1B with Purified ab139695 at 1/300 dilution (1.29 µg/mL). Heat mediated antigen retrieval using Bond™ Epitope Retrieval Solution 1 (pH 6.0). Rabbit specific IHC polymer detection kit HRP/DAB (ab209101) was used as the secondary antibody. Negative control : PBS instead of the primary antibody. Hematoxylin was used as a counterstain.

Immunohistochemistry (Formalin/PFA-fixed paraffin-embedded sections) - Anti-PRKAR1A+PRKAR1B antibody [EPR8491] (AB139695)
  • IHC-P

Lab

Immunohistochemistry (Formalin/PFA-fixed paraffin-embedded sections) - Anti-PRKAR1A+PRKAR1B antibody [EPR8491] (AB139695)

Immunohistochemistry (Formalin/PFA-fixed paraffin-embedded sections) analysis of mouse liver tissue sections labeling PRKAR1A+PRKAR1B with Purified ab139695 at 1/300 dilution (1.29 µg/mL). Heat mediated antigen retrieval using Bond™ Epitope Retrieval Solution 1 (pH 6.0). Rabbit specific IHC polymer detection kit HRP/DAB (ab209101) was used as the secondary antibody. Negative control : PBS instead of the primary antibody. Hematoxylin was used as a counterstain.

Western blot - Anti-PRKAR1A+PRKAR1B antibody [EPR8491] (AB139695)
  • WB

Unknown

Western blot - Anti-PRKAR1A+PRKAR1B antibody [EPR8491] (AB139695)

The doublets should be PRKAR1A isoforms.

All lanes:

Western blot - Anti-PRKAR1A+PRKAR1B antibody [EPR8491] (ab139695) at 1/10000 dilution

All lanes:

Human brain lysate at 15 µg

Secondary

All lanes:

Goat Anti-Rabbit IgG (HRP) with minimal cross-reactivity with human IgG at 1/2000 dilution

Predicted band size: 43 kDa

false

Western blot - Anti-PRKAR1A+PRKAR1B antibody [EPR8491] (AB139695)
  • WB

Unknown

Western blot - Anti-PRKAR1A+PRKAR1B antibody [EPR8491] (AB139695)

Buffer and concentration : 5% NFDM/TBST

Exposure time

Lane 1 : 10 seconds

Lande 2 : 40 seconds

Observed band

Lane 1 : 51KDa

Lane 2 : 52 KDa

All lanes:

Western blot - Anti-PRKAR1A+PRKAR1B antibody [EPR8491] (ab139695) at 1/10000 dilution

Lane 1:

Recombinant human full length PRKAR1A protein at 0.01 µg

Lane 2:

Recombinant human full length PRKAR1B protein at 0.01 µg

Secondary

All lanes:

Western blot - Goat Anti-Rabbit IgG H&L (HRP) (<a href='/products/secondary-antibodies/goat-rabbit-igg-h-l-hrp-ab97051'>ab97051</a>) at 1/20000 dilution

Predicted band size: 43 kDa

false

Western blot - Anti-PRKAR1A+PRKAR1B antibody [EPR8491] (AB139695)
  • WB

Unknown

Western blot - Anti-PRKAR1A+PRKAR1B antibody [EPR8491] (AB139695)

The doublets should be PRKAR1A isoforms.

All lanes:

Western blot - Anti-PRKAR1A+PRKAR1B antibody [EPR8491] (ab139695) at 1/10000 dilution

Lane 1:

U-87 MG (Human glioblastoma-astrocytoma epithelial cell) whole cell lysate

Lane 2:

Mouse brain lysate

Lane 3:

Rat brain lysate

Secondary

All lanes:

Western blot - Goat Anti-Rabbit IgG H&L (HRP) (<a href='/products/secondary-antibodies/goat-rabbit-igg-h-l-hrp-ab97051'>ab97051</a>) at 1/20000 dilution

Predicted band size: 43 kDa

false

Western blot - Anti-PRKAR1A+PRKAR1B antibody [EPR8491] (AB139695)
  • WB

CiteAb

Western blot - Anti-PRKAR1A+PRKAR1B antibody [EPR8491] (AB139695)

PRKAR1A+PRKAR1B western blot using anti-PRKAR1A+PRKAR1B antibody [EPR8491] ab139695. Publication image and figure legend from Wang, S., Cheng, Y., et al., 2016, Sci Rep, PubMed 27995993.

ab139695 was used in this publication in western blot. This may not be the same as the application(s) guaranteed by Abcam. For a full list of applications guaranteed by Abcam for ab139695 please see the product overview.

PRKAR1A regulated E-cadherin expression through ERK/Snail/E-cadherin signaling.(A–C) PRKAR1A inhibited the expression of Snail1. (A and B) The correlation between PRKAR1A and Snail1 or Snail2 was analyzed by Pearson’s correlation. The mRNA data was retrieved from TCGA by cBioPortal, n = 522. (C and D) qRT-PCR showed that PRKAR1A affected the expression of Snail1. n = 3, bar : SD. (D) Phospho-ERK1/2 detected in A549 and H1299 cells either downregulated or upregulated the PRKAR1A gene. The bands of p-ERK1/2 were normalized to ERK protein. (E) A549 cells with stable PRKAR1A knockdown were treated by ERK inhibitor U0126 for 24 h. WB was assessed detect the expression of E-cadherin, p-ERK1/2, and Snai1 (encoded by Snail). p–ERK1/2 band normalized by ERK, E-cadherin, and Snai1 bands normalized to GAPDH.

false

不同偶联物与剂型 (8)

  • Carrier free

    Anti-PRKAR1A+PRKAR1B antibody [EPR8491] - BSA and Azide free

  • 519 Alexa Fluor® 488

    Alexa Fluor® 488 Anti-PRKAR1A+PRKAR1B antibody [EPR8491]

  • 578 PE

    PE Anti-PRKAR1A+PRKAR1B antibody [EPR8491]

  • 660 APC

    APC Anti-PRKAR1A+PRKAR1B antibody [EPR8491]

  • 665 Alexa Fluor® 647

    Alexa Fluor® 647 Anti-PRKAR1A+PRKAR1B antibody [EPR8491]

  • 565 Alexa Fluor® 555

    Alexa Fluor® 555 Anti-PRKAR1A+PRKAR1B antibody [EPR8491]

  • 617 Alexa Fluor® 594

    Alexa Fluor® 594 Anti-PRKAR1A+PRKAR1B antibody [EPR8491]

  • 775 Alexa Fluor® 750

    Alexa Fluor® 750 Anti-PRKAR1A+PRKAR1B antibody [EPR8491]

关键信息

宿主种属

Rabbit

克隆

Monoclonal

克隆号

EPR8491

亚型

IgG

不含载体蛋白

No

反应种属

Mouse, Rat, Human

应用

IHC-P, WB

applications

免疫原

The exact immunogen used to generate this antibody is proprietary information.

反应性数据

{ "title": "Reactivity Data", "filters": { "stats": ["", "Species", "Dilution Info", "Notes"], "tabs": { "all-applications": {"fullname" : "All Applications", "shortname": "All Applications"}, "ICCIF" : {"fullname" : "Immunocytochemistry/ Immunofluorescence", "shortname":"ICC/IF"}, "FlowCyt" : {"fullname" : "Flow Cytometry", "shortname":"Flow Cyt"}, "IP" : {"fullname" : "Immunoprecipitation", "shortname":"IP"}, "IHCP" : {"fullname" : "Immunohistochemistry (Formalin/PFA-fixed paraffin-embedded sections)", "shortname":"IHC-P"}, "WB" : {"fullname" : "Western blot", "shortname":"WB"} }, "product-promise": { "all": "all", "testedAndGuaranteed": "tested", "guaranteed": "expected", "predicted": "predicted", "notRecommended": "not-recommended" } }, "values": { "Human": { "ICCIF-species-checked": "notRecommended", "ICCIF-species-dilution-info": "", "ICCIF-species-notes": "<p></p>", "FlowCyt-species-checked": "notRecommended", "FlowCyt-species-dilution-info": "", "FlowCyt-species-notes": "<p></p>", "IP-species-checked": "notRecommended", "IP-species-dilution-info": "", "IP-species-notes": "<p></p>", "IHCP-species-checked": "testedAndGuaranteed", "IHCP-species-dilution-info": "1/300", "IHCP-species-notes": "<p>The use of an HRP/AP polymerized secondary antibody is recommended.</p>", "WB-species-checked": "testedAndGuaranteed", "WB-species-dilution-info": "1/1000 - 1/10000", "WB-species-notes": "<p></p>" }, "Mouse": { "ICCIF-species-checked": "notRecommended", "ICCIF-species-dilution-info": "", "ICCIF-species-notes": "<p></p>", "FlowCyt-species-checked": "notRecommended", "FlowCyt-species-dilution-info": "", "FlowCyt-species-notes": "<p></p>", "IP-species-checked": "notRecommended", "IP-species-dilution-info": "", "IP-species-notes": "<p></p>", "IHCP-species-checked": "testedAndGuaranteed", "IHCP-species-dilution-info": "1/300", "IHCP-species-notes": "<p>The use of an HRP/AP polymerized secondary antibody is recommended.</p>", "WB-species-checked": "testedAndGuaranteed", "WB-species-dilution-info": "1/1000 - 1/10000", "WB-species-notes": "<p></p>" }, "Rat": { "ICCIF-species-checked": "notRecommended", "ICCIF-species-dilution-info": "", "ICCIF-species-notes": "<p></p>", "FlowCyt-species-checked": "notRecommended", "FlowCyt-species-dilution-info": "", "FlowCyt-species-notes": "<p></p>", "IP-species-checked": "notRecommended", "IP-species-dilution-info": "", "IP-species-notes": "<p></p>", "IHCP-species-checked": "testedAndGuaranteed", "IHCP-species-dilution-info": "1/300", "IHCP-species-notes": "<p>The use of an HRP/AP polymerized secondary antibody is recommended.</p>", "WB-species-checked": "testedAndGuaranteed", "WB-species-dilution-info": "1/1000 - 1/10000", "WB-species-notes": "<p></p>" } } }

产品详情

Patented technology
Our RabMAb® technology is a patented hybridoma-based technology for making rabbit monoclonal antibodies. For details on our patents, please refer to RabMAb® patents.

What are the advantages of a recombinant monoclonal antibody?
This product is a recombinant monoclonal antibody, which offers several advantages including:

  • - High batch-to-batch consistency and reproducibility
  • - Improved sensitivity and specificity
  • - Long-term security of supply
  • - Animal-free batch production

For more information, read more on recombinant antibodies.

性能和储存信息

形式
Liquid
纯化工艺
Affinity purification Protein A
存储溶液
pH: 7.2 - 7.4 Preservative: 0.01% Sodium azide Constituents: PBS, 40% Glycerol (glycerin, glycerine), 0.05% BSA
运输条件
Blue Ice
推荐的短期储存条件
+4°C
推荐的长期储存条件
-20°C

补充信息

This supplementary information is collated from multiple sources and compiled automatically.

PRKAR1A and PRKAR1B also known as protein kinase A regulatory subunit 1 alpha and beta are key components of the cAMP-dependent protein kinase (PKA) complex. PRKAR1A has a mass of approximately 43 kDa while PRKAR1B mass closely resembles it. Both PRKAR1A and PRKAR1B are expressed in various tissues with PRKAR1A having a significant presence in heart and adrenal tissues and PRKAR1B more prominent in the brain. Their role involves regulating the location and activity of the catalytic subunits of PKA by binding cAMP which causes the release and activation of catalytic subunits.
Biological function summary

PRKAR1A and PRKAR1B participate in the regulation of PKA's activity which is important for cAMP signaling pathways. These proteins are part of the PKA holoenzyme complex functioning as inhibitory subunits. Upon binding cAMP they undergo a conformational change that releases PKA catalytic subunits allowing them to phosphorylate different substrates. This process affects cellular responses such as metabolism cell cycle progression and gene expression.

Pathways

The PKA signaling pathway is among the major pathways involving PRKAR1A and PRKAR1B. The pathway is linked to G protein-coupled receptors (GPCR) and the subsequent release of cAMP. Another important pathway is the MAPK/ERK pathway where PKA modulates the activity of certain MAPK-related proteins affecting cell division and differentiation. PRKAR1A and PRKAR1B are involved with other proteins like PRKACB and PRKACA which are catalytic subunits of PKA.

PRKAR1A mutations associate with Carney complex a disorder characterized by multiple neoplasms. This connection results from PRKAR1A gene inactivation that leads to dysregulation of cAMP signaling. PRKAR1B on the other hand relates to neuropsychiatric disorders like schizophrenia where altered PKA signaling affects neurotransmitter pathways. Both PRKAR1A and PRKAR1B's involvement with regulatory proteins like PP1 which interacts with PKA highlights their significance in disease pathogenesis.

产品实验方案

For this product, it's our understanding that no specific protocols are required. You can visit:

靶点信息

Regulatory subunit of the cAMP-dependent protein kinases involved in cAMP signaling in cells.
See full target information PRKAR1A

其他靶点

cAMP-dependent protein kinase type I-beta regulatory subunit

文献 (5)

Recent publications for all applications. Explore the full list and refine your search

Cell reports 40:111203 PubMed35977512

2022

STK25 inhibits PKA signaling by phosphorylating PRKAR1A.

Applications

Unspecified application

Species

Unspecified reactive species

Xiaokan Zhang,Bryan Z Wang,Michael Kim,Trevor R Nash,Bohao Liu,Jenny Rao,Roberta Lock,Manuel Tamargo,Rajesh Kumar Soni,John Belov,Eric Li,Gordana Vunjak-Novakovic,Barry Fine

The Journal of biological chemistry 297:100850 PubMed34087234

2021

Loss of PKA regulatory subunit 1α aggravates cardiomyocyte necrosis and myocardial ischemia/reperfusion injury.

Applications

Unspecified application

Species

Unspecified reactive species

Yuening Liu,Jingrui Chen,Peng Xia,Constantine A Stratakis,Zhaokang Cheng

Physiological reports 8:e14405 PubMed32212257

2020

PRKAR1A deficiency impedes hypertrophy and reduces heart size.

Applications

Unspecified application

Species

Unspecified reactive species

Yuening Liu,Peng Xia,Jingrui Chen,W Patricia Bandettini,Lawrence S Kirschner,Constantine A Stratakis,Zhaokang Cheng

Oncotarget 8:103968-103974 PubMed29262613

2017

Recurrent somatic mutations of in isolated cardiac myxoma.

Applications

Unspecified application

Species

Unspecified reactive species

Jian He,Mingju Sun,Enyou Li,Yingyong Hou,Matthew J Shepard,Di Chen,Karel Pacak,Changsong Wang,Lei Guo,Zhengping Zhuang,Yang Liu

Scientific reports 6:39630 PubMed27995993

2016

PRKAR1A is a functional tumor suppressor inhibiting ERK/Snail/E-cadherin pathway in lung adenocarcinoma.

Applications

IHC-P

Species

Human

Shaoqiang Wang,Yuanda Cheng,Yingying Zheng,Zhiwei He,Wei Chen,Wolong Zhou,Chaojun Duan,Chunfang Zhang
View all publications

Abcam Product Promise

我们致力于为您的研究提供高质量的试剂,为您科研的每一步提供支持。若我们的产品未能达到预期性能,我们向您提供 Abcam Product Promise 保障。
详情请参阅我们的条款与条件。

Please note: All products are 'FOR RESEARCH USE ONLY. NOT FOR USE IN DIAGNOSTIC OR THERAPEUTIC PROCEDURES'.

For licensing inquiries, please contact partnerships@abcam.com