JavaScript is disabled in your browser. Please enable JavaScript to view this website.
AB219391

Anti-Prealbumin抗体

Anti-Prealbumin antibody

Be the first to review this product! Submit a review

|

(1 Publication)

Goat Polyclonal Prealbumin antibody. Suitable for IHC-P and reacts with Human samples. Cited in 1 publication. Immunogen corresponding to Native Full Length Protein corresponding to Human TTR.

查看别名

PALB, TTR, Transthyretin, ATTR, Prealbumin, TBPA

1 Images
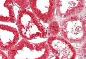
Immunohistochemistry (Formalin/PFA-fixed paraffin-embedded sections) - Anti-Prealbumin antibody (AB219391)
  • IHC-P

Supplier Data

Immunohistochemistry (Formalin/PFA-fixed paraffin-embedded sections) - Anti-Prealbumin antibody (AB219391)

Immunohistochemical analysis of paraffin embedded, formalin fixed Human kidney tissue labeling Prealbumin using ab219391 at 2.5 μg/ml.

关键信息

宿主种属

Goat

克隆

Polyclonal

亚型

IgG

不含载体蛋白

No

反应种属

Human

应用

IHC-P

applications

免疫原

Native Full Length Protein corresponding to Human TTR.

P02766

反应性数据

{ "title": "Reactivity Data", "filters": { "stats": ["", "Species", "Dilution Info", "Notes"], "tabs": { "all-applications": {"fullname" : "All Applications", "shortname": "All Applications"}, "IHCP" : {"fullname" : "Immunohistochemistry (Formalin/PFA-fixed paraffin-embedded sections)", "shortname":"IHC-P"} }, "product-promise": { "all": "all", "testedAndGuaranteed": "tested", "guaranteed": "expected", "predicted": "predicted", "notRecommended": "not-recommended" } }, "values": { "Human": { "IHCP-species-checked": "testedAndGuaranteed", "IHCP-species-dilution-info": "2.5 µg/mL", "IHCP-species-notes": "<p></p>" } } }

性能和储存信息

形式
Liquid
纯化工艺
Affinity purification Immunogen
存储溶液
pH: 7.2 Preservative: 0.05% Sodium azide Constituents: 0.87% Sodium chloride, 0.16% Sodium phosphate
运输条件
Blue Ice
推荐的短期储存时间
1-2 weeks
推荐的短期储存条件
+4°C
推荐的长期储存条件
-20°C
分装信息
Upon delivery aliquot
储存信息
Avoid freeze / thaw cycle

补充信息

This supplementary information is collated from multiple sources and compiled automatically.

Prealbumin also known as transthyretin is a protein with a molecular mass of approximately 55 kDa. The liver primarily synthesizes prealbumin and it is present in the bloodstream. Functionally prealbumin transports thyroxine and retinol-binding protein-retinol complex facilitating the distribution of these molecules to target tissues. As such it plays an integral role in maintaining retinol and thyroid hormone homeostasis.
Biological function summary

Prealbumin interacts with retinol-binding protein to form a complex essential for vitamin A transportation. This complex prevents renal filtration of retinol-binding protein thereby conserving vitamin A in circulation. The protein's role extends beyond transport as it influences neurophysiological processes due to its ability to bind thyroid hormones and affect gene expression related to metabolism. Prealbumin is primarily a part of the thyroxine-transferring complex reinforcing its critical position in hormonal and vitamin dynamics.

Pathways

Prealbumin's role in the thyroxine-binding globulin pathway highlights its importance in the endocrine system. Another pathway where prealbumin contributes significantly is the vitamin A metabolic pathway. In these pathways prealbumin maintains functional relationships with proteins like retinol-binding protein and thyroxine-binding globulin which jointly modulate thyroid hormone transport and vitamin A dynamics across cellular membranes.

Prealbumin directly associates with familial amyloid polyneuropathy and malnutrition. Familial amyloid polyneuropathy involves the deposition of prealbumin-derived amyloid fibrils in peripheral nerves impacting neuron function. In malnutrition decreased prealbumin levels serve as a biomarker reflecting poor nutritional status. Clinically prealbumin's relation to retinol-binding protein and thyroid hormone levels facilitates its use in diagnosing and monitoring these conditions.

产品实验方案

For this product, it's our understanding that no specific protocols are required. You can visit:

靶点信息

Thyroid hormone-binding protein. Probably transports thyroxine from the bloodstream to the brain.
See full target information TTR

文献 (1)

Recent publications for all applications. Explore the full list and refine your search

Cancer biology & medicine : PubMed33710810

2021

Analysis of the isoform-regulated transcriptome identifies as a downstream target in gastric carcinogenesis.

Applications

Unspecified application

Species

Unspecified reactive species

Zhen Ni,Wenquan Lu,Qi Li,Chuan Han,Ting Yuan,Nina Sun,Yongquan Shi
View all publications

Abcam Product Promise

我们致力于为您的研究提供高质量的试剂,为您科研的每一步提供支持。若我们的产品未能达到预期性能,我们向您提供 Abcam Product Promise 保障。
详情请参阅我们的条款与条件。

Please note: All products are 'FOR RESEARCH USE ONLY. NOT FOR USE IN DIAGNOSTIC OR THERAPEUTIC PROCEDURES'.

For licensing inquiries, please contact partnerships@abcam.com