JavaScript is disabled in your browser. Please enable JavaScript to view this website.
AB198287

Anti-PRDM1/Blimp1 抗体 [EPR16655]

Anti-PRDM1/Blimp1 antibody [EPR16655]

Be the first to review this product! Submit a review

|

(5 Publications)

Rabbit Recombinant Monoclonal PRDM1/Blimp1 antibody. Suitable for ICC/IF, IHC-P and reacts with Human samples. Cited in 5 publications.

查看别名

BLIMP1, PRDM1, PR domain zinc finger protein 1, BLIMP-1, Beta-interferon gene positive regulatory domain I-binding factor, PR domain-containing protein 1, Positive regulatory domain I-binding factor 1, PRDI-BF1, PRDI-binding factor 1

4 Images
Immunohistochemistry (Formalin/PFA-fixed paraffin-embedded sections) - Anti-PRDM1/Blimp1 antibody [EPR16655] (AB198287)
  • IHC-P

Supplier Data

Immunohistochemistry (Formalin/PFA-fixed paraffin-embedded sections) - Anti-PRDM1/Blimp1 antibody [EPR16655] (AB198287)

Immunohistochemical analysis of paraffin-embedded Human tonsil tissue labeling PRDM1/Blimp1 using ab198287 at 1/500 dilution, followed by Goat Anti-Rabbit IgG H&L (HRP) (ab97051) at 1/500 dilution. Nuclear staining on Human tonsil tissue is observed. Counter stained with Hematoxylin.

Negative control : Used PBS instead of primary antibody, secondary antibody is Goat Anti-Rabbit IgG H&L (HRP) (ab97051) at 1/500 dilution.

Perform heat mediated antigen retrieval with Tris/EDTA buffer pH 9.0 before commencing with IHC staining protocol.

Immunohistochemistry (Formalin/PFA-fixed paraffin-embedded sections) - Anti-PRDM1/Blimp1 antibody [EPR16655] (AB198287)
  • IHC-P

Supplier Data

Immunohistochemistry (Formalin/PFA-fixed paraffin-embedded sections) - Anti-PRDM1/Blimp1 antibody [EPR16655] (AB198287)

Immunohistochemical analysis of paraffin-embedded Human cerebral cortex tissue labeling PRDM1/Blimp1 using ab198287 at 1/500 dilution, followed by Goat Anti-Rabbit IgG H&L (HRP) (ab97051) at 1/500 dilution. Nuclear staining on Human cerebral cortex tissue is observed. Counter stained with Hematoxylin.

Negative control : Used PBS instead of primary antibody, secondary antibody is Goat Anti-Rabbit IgG H&L (HRP) (ab97051) at 1/500 dilution.

Perform heat mediated antigen retrieval with Tris/EDTA buffer pH 9.0 before commencing with IHC staining protocol.

Immunohistochemistry (Formalin/PFA-fixed paraffin-embedded sections) - Anti-PRDM1/Blimp1 antibody [EPR16655] (AB198287)
  • IHC-P

Supplier Data

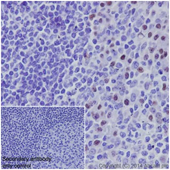
Immunohistochemistry (Formalin/PFA-fixed paraffin-embedded sections) - Anti-PRDM1/Blimp1 antibody [EPR16655] (AB198287)

Immunohistochemical analysis of paraffin-embedded Human diffuse large B cell lymphoma tissue labeling PRDM1/Blimp1 using ab198287 at 1/500 dilution, followed by Goat Anti-Rabbit IgG H&L (HRP) (ab97051) at 1/500 dilution. Nuclear staining on Human diffuse large B cell lymphoma tissue is observed. Counter stained with Hematoxylin.

Negative control : Used PBS instead of primary antibody, secondary antibody is Goat Anti-Rabbit IgG H&L (HRP) (ab97051) at 1/500 dilution.

Perform heat mediated antigen retrieval with Tris/EDTA buffer pH 9.0 before commencing with IHC staining protocol.

Immunocytochemistry/ Immunofluorescence - Anti-PRDM1/Blimp1 antibody [EPR16655] (AB198287)
  • ICC/IF

Supplier Data

Immunocytochemistry/ Immunofluorescence - Anti-PRDM1/Blimp1 antibody [EPR16655] (AB198287)

Immunofluorescent analysis of 4% paraformaldehyde-fixed, 0.1% Triton X-100 permeabilized RAMOS (Human Burkitt's lymphoma cell line) cells, labeling PRDM1/Blimp1 with ab198287 at 1/250 dilution, followed by Goat anti-rabbit IgG (Alexa Fluor® 488) (ab150077) secondary antibody at 1/500 dilution (green). Nuclear and weakly cytoplasm staining on RAMOS cell line was observed. The nuclear counter stain is DAPI (blue). Tubulin is detected with ab7291 (anti-Tubulin mouse mAb) at 1/1000 dilution and ab150120 (AlexaFluor®594 Goat anti-Mouse secondary) at 1/500 dilution (red).
The negative controls are as follows :
1. ab198287 at 1/250 dilution followed by ab150120 (AlexaFluor®594 Goat anti-Mouse secondary) at 1/500 dilution.
2. ab7291 (anti-Tubulin mouse mAb) at 1/1000 dilution followed by ab150077 (Alexa Fluor®488 Goat Anti-Rabbit IgG H&L) at 1/500 dilution.

不同偶联物与剂型 (1)

  • Carrier free

    Anti-PRDM1/Blimp1 antibody [EPR16655] - BSA and Azide free

关键信息

宿主种属

Rabbit

克隆

Monoclonal

克隆号

EPR16655

亚型

IgG

不含载体蛋白

No

反应种属

Human

应用

IHC-P, ICC/IF

applications

免疫原

The exact immunogen used to generate this antibody is proprietary information.

反应性数据

{ "title": "Reactivity Data", "filters": { "stats": ["", "Species", "Dilution Info", "Notes"], "tabs": { "all-applications": {"fullname" : "All Applications", "shortname": "All Applications"}, "ICCIF" : {"fullname" : "Immunocytochemistry/ Immunofluorescence", "shortname":"ICC/IF"}, "IHCP" : {"fullname" : "Immunohistochemistry (Formalin/PFA-fixed paraffin-embedded sections)", "shortname":"IHC-P"}, "WB" : {"fullname" : "Western blot", "shortname":"WB"}, "FlowCyt" : {"fullname" : "Flow Cytometry", "shortname":"Flow Cyt"} }, "product-promise": { "all": "all", "testedAndGuaranteed": "tested", "guaranteed": "expected", "predicted": "predicted", "notRecommended": "not-recommended" } }, "values": { "Human": { "ICCIF-species-checked": "testedAndGuaranteed", "ICCIF-species-dilution-info": "1/250", "ICCIF-species-notes": "<p></p>", "IHCP-species-checked": "testedAndGuaranteed", "IHCP-species-dilution-info": "1/500", "IHCP-species-notes": "<p></p> Perform heat-mediated antigen retrieval with Tris/EDTA buffer pH 9.0 before commencing with IHC staining protocol.", "WB-species-checked": "notRecommended", "WB-species-dilution-info": "", "WB-species-notes": "<p></p>", "FlowCyt-species-checked": "notRecommended", "FlowCyt-species-dilution-info": "", "FlowCyt-species-notes": "<p></p>" } } }

产品详情

Patented technology
Our RabMAb® technology is a patented hybridoma-based technology for making rabbit monoclonal antibodies. For details on our patents, please refer to RabMAb® patents.

What are the advantages of a recombinant monoclonal antibody?
This product is a recombinant monoclonal antibody, which offers several advantages including:

  • - High batch-to-batch consistency and reproducibility
  • - Improved sensitivity and specificity
  • - Long-term security of supply
  • - Animal-free batch production

For more information, read more on recombinant antibodies.

性能和储存信息

形式
Liquid
纯化工艺
Affinity purification Protein A
存储溶液
pH: 7.2 - 7.4 Preservative: 0.01% Sodium azide Constituents: PBS, 40% Glycerol (glycerin, glycerine), 0.05% BSA
运输条件
Blue Ice
推荐的短期储存时间
1-2 weeks
推荐的短期储存条件
+4°C
推荐的长期储存条件
-20°C
分装信息
Upon delivery aliquot
储存信息
Avoid freeze / thaw cycle

补充信息

This supplementary information is collated from multiple sources and compiled automatically.

PRDM1 also referred to as Blimp-1 is a transcription factor involved in the regulation of gene expression. It has a molecular mass of approximately 106 kDa. This protein is expressed in a variety of cell types including B lymphocytes T cells and in certain tissues such as the intestine. It plays an important role in controlling the transcriptional programs necessary for cellular differentiation and development. PRDM1 functions mainly by binding to specific DNA sequences to repress the transcription of target genes acting as a master regulator in the immune system.
Biological function summary

PRDM1/Blimp-1 influences important processes like plasma cell differentiation particularly in the immune response. It is not part of a larger protein complex but functions by recruiting chromatin-modifying enzymes to silence target gene expression. In B cells it promotes the transition to plasma cell formation by repressing genes that would otherwise inhibit this differentiation. Blimp1 also plays a role in maintaining the differentiation state by regulating genes involved in cell survival and function.

Pathways

PRDM1/Blimp1 is primarily associated with pathways such as the B cell maturation and immunoglobulin secretion pathways. It acts downstream of signaling cascades initiated by factors like CD40 and IL-21. PRDM1 works closely with other transcription factors like XBP-1 in the pathway to drive effective plasma cell differentiation. By repressing factors such as Pax5 and Bcl6 PRDM1 ensures the proper execution of the differentiation program within these pathways.

Malfunctions in PRDM1/Blimp1 are linked to autoimmune conditions like systemic lupus erythematosus and some types of lymphomas. Altered function or expression can disrupt immune homeostasis leading to the production of autoantibodies. Disorders may arise when PRDM1 fails to repress genes like those regulated by Bcl6 contributing to unregulated cell growth and abnormal immune activity. Additionally its dysfunction can be observed in certain gastrointestinal disorders where it is pivotal for maintaining gut immune homeostasis.

产品实验方案

For this product, it's our understanding that no specific protocols are required. You can visit:

靶点信息

Transcription factor that mediates a transcriptional program in various innate and adaptive immune tissue-resident lymphocyte T cell types such as tissue-resident memory T (Trm), natural killer (trNK) and natural killer T (NKT) cells and negatively regulates gene expression of proteins that promote the egress of tissue-resident T-cell populations from non-lymphoid organs. Plays a role in the development, retention and long-term establishment of adaptive and innate tissue-resident lymphocyte T cell types in non-lymphoid organs, such as the skin and gut, but also in other nonbarrier tissues like liver and kidney, and therefore may provide immediate immunological protection against reactivating infections or viral reinfection (By similarity). Binds specifically to the PRDI element in the promoter of the beta-interferon gene (PubMed : 1851123). Drives the maturation of B-lymphocytes into Ig secreting cells (PubMed : 12626569). Associates with the transcriptional repressor ZNF683 to chromatin at gene promoter regions (By similarity). Binds to the promoter and acts as a transcriptional repressor of IRF8, thereby promotes transcription of osteoclast differentiation factors such as NFATC1 and EEIG1 (By similarity).
See full target information PRDM1

文献 (5)

Recent publications for all applications. Explore the full list and refine your search

Advanced science (Weinheim, Baden-Wurttemberg, Germany) 12:e05340 PubMed40470686

2025

Large-Scale Bioprinting of Human Epiblast-Like Models Featuring Disc-Shaped Morphogenesis and Gastrulation Events.

Applications

Unspecified application

Species

Unspecified reactive species

Yixue Luo,Liheng Luo,Ling Wang,Shanshan Yang,Hongan Ren,Shaojun Liang,Xiaoyu Wang,Yijun Su,Leqian Yu,Xiaoyue Wang,Mingen Xu,Rui Yao

eLife 12: PubMed36719274

2023

Efficient generation of marmoset primordial germ cell-like cells using induced pluripotent stem cells.

Applications

Unspecified application

Species

Unspecified reactive species

Yasunari Seita,Keren Cheng,John R McCarrey,Nomesh Yadu,Ian H Cheeseman,Alec Bagwell,Corinna N Ross,Isamar Santana Toro,Li-Hua Yen,Sean Vargas,Christopher S Navara,Brian P Hermann,Kotaro Sasaki

Nature communications 13:7677 PubMed36509766

2022

PRDM1/BLIMP1 induces cancer immune evasion by modulating the USP22-SPI1-PD-L1 axis in hepatocellular carcinoma cells.

Applications

Unspecified application

Species

Unspecified reactive species

Qing Li,Liren Zhang,Wenhua You,Jiali Xu,Jingjing Dai,Dongxu Hua,Ruizhi Zhang,Feifan Yao,Suiqing Zhou,Wei Huang,Yongjiu Dai,Yu Zhang,Tasiken Baheti,Xiaofeng Qian,Liyong Pu,Jing Xu,Yongxiang Xia,Chuanyong Zhang,Jinhai Tang,Xuehao Wang

Nature communications 8:363 PubMed28842558

2017

HSP70-Hrd1 axis precludes the oncorepressor potential of N-terminal misfolded Blimp-1s in lymphoma cells.

Applications

Unspecified application

Species

Unspecified reactive species

Wen-Fang Wang,Li Yan,Zhao Liu,Lan-Xuan Liu,Jian Lin,Zhi-Yin Liu,Xiong-Ping Chen,Wu Zhang,Zi-Zhen Xu,Ting Shi,Jun-Min Li,Yi-Lei Zhao,Guoyu Meng,Yi Xia,Jian-Yong Li,Jiang Zhu

Leukemia 31:625-636 PubMed27568520

2016

Loss of PRDM1/BLIMP-1 function contributes to poor prognosis of activated B-cell-like diffuse large B-cell lymphoma.

Applications

Unspecified application

Species

Unspecified reactive species

Y Xia,Z Y Xu-Monette,A Tzankov,X Li,G C Manyam,V Murty,G Bhagat,S Zhang,L Pasqualucci,C Visco,K Dybkaer,A Chiu,A Orazi,Y Zu,K L Richards,E D Hsi,W W L Choi,J H van Krieken,J Huh,M Ponzoni,A J M Ferreri,M B Møller,B M Parsons,J N Winter,M A Piris,J Westin,N Fowler,R N Miranda,C Y Ok,Y Li,J Li,L J Medeiros,K H Young
View all publications

Abcam Product Promise

我们致力于为您的研究提供高质量的试剂,为您科研的每一步提供支持。若我们的产品未能达到预期性能,我们向您提供 Abcam Product Promise 保障。
详情请参阅我们的条款与条件。

Please note: All products are 'FOR RESEARCH USE ONLY. NOT FOR USE IN DIAGNOSTIC OR THERAPEUTIC PROCEDURES'.

For licensing inquiries, please contact partnerships@abcam.com