JavaScript is disabled in your browser. Please enable JavaScript to view this website.
AB198500

重组Anti-PPP2R5E抗体[EPR17147] - C-terminal

Anti-PPP2R5E antibody [EPR17147] - C-terminal

Be the first to review this product! Submit a review

|

(1 Publication)

Rabbit Recombinant Monoclonal 2A5E antibody. C-terminal. Suitable for IP, WB, ICC/IF, Flow Cyt (Intra), IHC-P and reacts with Human samples. Cited in 1 publication.

查看别名

Serine/threonine-protein phosphatase 2A 56 kDa regulatory subunit epsilon isoform, PP2A B subunit isoform B'-epsilon, PP2A B subunit isoform B56-epsilon, PP2A B subunit isoform PR61-epsilon, PP2A B subunit isoform R5-epsilon, PPP2R5E

8 Images
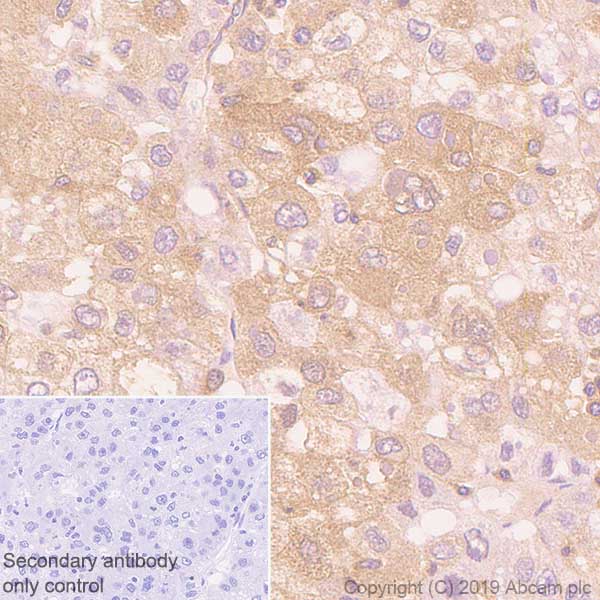
Immunohistochemistry (Formalin/PFA-fixed paraffin-embedded sections) - Anti-PPP2R5E antibody [EPR17147] - C-terminal (AB198500)
  • IHC-P

Supplier Data

Immunohistochemistry (Formalin/PFA-fixed paraffin-embedded sections) - Anti-PPP2R5E antibody [EPR17147] - C-terminal (AB198500)

Immunohistochemical analysis of paraffin-embedded Human cervix carcinoma tissue labeling PPP2R5E with ab198500 at 1/500 dilution followed by Goat Anti-Rabbit IgG H&L (HRP) (ab97051) at 1/500 dilution. Cytoplasm staining on Human cervix carcinoma tissue isobserved. Counter-stained with Hematoxylin.

Negative control : Using PBS instead of primary antibody.

Perform heat mediated antigen retrieval with Tris/EDTA buffer pH 9.0 before commencing with IHC staining protocol.

Flow Cytometry (Intracellular) - Anti-PPP2R5E antibody [EPR17147] - C-terminal (AB198500)
  • Flow Cyt (Intra)

Unknown

Flow Cytometry (Intracellular) - Anti-PPP2R5E antibody [EPR17147] - C-terminal (AB198500)

Intracellular Flow Cytometry analysis of HeLa (Human cervix adenocarcinoma epithelial cell) cells labeling PPP2R5E (red) with purified ab198500 at a 1/2500 dilution (1ug/mL). Cells were fixed with 4% paraformaldehyde and permeabilized with 90% methanol. A goat anti rabbit IgG (Alexa Fluorr® 488) (ab150077) was used as the secondary antibody at a 1/2000 dilution. Black - Rabbit monoclonal IgG (Black) (ab172730). Blue (unlabeled control) - Cell without incubation with primary antibody and secondary antibody (Blue).

Immunocytochemistry/ Immunofluorescence - Anti-PPP2R5E antibody [EPR17147] - C-terminal (AB198500)
  • ICC/IF

Lab

Immunocytochemistry/ Immunofluorescence - Anti-PPP2R5E antibody [EPR17147] - C-terminal (AB198500)

Immunofluorescent analysis of 4% paraformaldehyde-fixed, 0.1% Triton X-100 permeabilized MCF-7 (Human breast carcinoma) cells labeling PPP2R5E with ab198500 at 1/500 dilution, followed by Goat anti-rabbit IgG (Alexa Fluor® 488) (ab150077) secondary antibody at 1/500 dilution (green). Cytoplasm staining on MCF7 cell line is observed. The nuclear counter stain is DAPI (blue). Tubulin is detected with ab7291 (anti-Tubulin mouse mAb) at 1/1000 dilution and ab150120 (AlexaFluor®594 Goat anti-Mouse secondary) at 1/500 dilution (red).
The negative controls are as follows;
1. ab198500 at 1/500 dilution followed by ab150120 (AlexaFluor®594 Goat anti-Mouse secondary) at 1/500 dilution.
2. ab7291 (anti-Tubulin mouse mAb) at 1/1000 dilution followed by ab150077 (Alexa Fluor®488 Goat Anti-Rabbit IgG H&L) at 1/500 dilution.

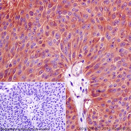
Immunohistochemistry (Formalin/PFA-fixed paraffin-embedded sections) - Anti-PPP2R5E antibody [EPR17147] - C-terminal (AB198500)
  • IHC-P

Supplier Data

Immunohistochemistry (Formalin/PFA-fixed paraffin-embedded sections) - Anti-PPP2R5E antibody [EPR17147] - C-terminal (AB198500)

Immunohistochemical analysis of paraffin-embedded Human transitional cell carcinoma of bladder tissue labeling PPP2R5E with ab198500 at 1/500 dilution followed by Goat Anti-Rabbit IgG H&L (HRP) (ab97051) at 1/500 dilution. Cytoplasm staining on Human transitional cell carcinoma of bladder tissue isobserved. Counter-stained with Hematoxylin.

Negative control : Using PBS instead of primary antibody.

Perform heat mediated antigen retrieval with Tris/EDTA buffer pH 9.0 before commencing with IHC staining protocol.

Immunocytochemistry/ Immunofluorescence - Anti-PPP2R5E antibody [EPR17147] - C-terminal (AB198500)
  • ICC/IF

Lab

Immunocytochemistry/ Immunofluorescence - Anti-PPP2R5E antibody [EPR17147] - C-terminal (AB198500)

Immunofluorescent analysis of 4% paraformaldehyde-fixed, 0.1% Triton X-100 permeabilized HeLa (Human cervix adenocarcinoma) cells labeling PPP2R5E with ab198500 at 1/500 dilution, followed by Goat anti-rabbit IgG (Alexa Fluor® 488) (ab150077) secondary antibody at 1/500 dilution (green). Cytoplasm staining on HeLa cell line is observed. The nuclear counter stain is DAPI (blue). Tubulin is detected with ab7291 (anti-Tubulin mouse mAb) at 1/1000 dilution and ab150120 (AlexaFluor®594 Goat anti-Mouse secondary) at 1/500 dilution (red).
The negative controls are as follows;
1. ab198500 at 1/500 dilution followed by ab150120 (AlexaFluor®594 Goat anti-Mouse secondary) at 1/500 dilution.
2. ab7291 (anti-Tubulin mouse mAb) at 1/1000 dilution followed by ab150077 (Alexa Fluor®488 Goat Anti-Rabbit IgG H&L) at 1/500 dilution.

Immunoprecipitation - Anti-PPP2R5E antibody [EPR17147] - C-terminal (AB198500)
  • IP

Supplier Data

Immunoprecipitation - Anti-PPP2R5E antibody [EPR17147] - C-terminal (AB198500)

PPP2R5E was immunoprecipitated from 1mg of HeLa (Human cervix adenocarcinoma) whole cell extract with ab198500 at 1/175 dilution. Western blot was performed from the immunoprecipitate using ab198500 at 1/1000 dilution. Anti-Rabbit IgG (HRP), specific to the non-reduced form of IgG, was used as secondary antibody at 1/1500 dilution.

Lane 1 : HeLa whole cell extract 10μg (Input).

Lane 2 : HeLa whole cell extract

Lane 3 : Rabbit monoclonal IgG (ab172730) instead of ab198500 in HeLa whole cell extract.
Blocking and dilution buffer and concentration : 5% NFDM/TBST.

All lanes:

Immunoprecipitation - Anti-PPP2R5E antibody [EPR17147] - C-terminal (ab198500)

Predicted band size: 55 kDa

false

Western blot - Anti-PPP2R5E antibody [EPR17147] - C-terminal (AB198500)
  • WB

Lab

Western blot - Anti-PPP2R5E antibody [EPR17147] - C-terminal (AB198500)

Lanes 1-4 : Merged signal (red and green). Green - ab198500 observed at 55 kDa. Red - loading control ab8245 observed at 37 kDa.

ab198500 Recombinant Anti-PPP2R5E antibody [EPR17147] - C-terminal was shown to specifically react with PPP2R5E in wild-type HeLa cells. Loss of signal was observed when knockout cell line ab265637 (knockout cell lysate ab258135) was used. Wild-type and PPP2R5E knockout samples were subjected to SDS-PAGE. ab198500 and Anti-GAPDH antibody [6C5] - Loading Control (ab8245) were incubated overnight at 4°C at 1 in 5000 dilution and 1 in 20000 dilution respectively. Blots were developed with Goat anti-Rabbit IgG H&L (IRDye® 800CW) preadsorbed (ab216773) and Goat anti-Mouse IgG H&L (IRDye® 680RD) preadsorbed (ab216776) secondary antibodies at 1 in 20000 dilution for 1 hour at room temperature before imaging.

All lanes:

Western blot - Anti-PPP2R5E antibody [EPR17147] - C-terminal (ab198500) at 1/5000 dilution

Lane 1:

Wild-type HeLa cell lysate at 20 µg

Lane 2:

PPP2R5E knockout HeLa cell lysate at 20 µg

Lane 2:

Western blot - Human PPP2R5E knockout HeLa cell line (<a href='/products/cell-lines/human-ppp2r5e-knockout-hela-cell-line-ab265637'>ab265637</a>)

Lane 3:

HEK-293T cell lysate at 20 µg

Lane 4:

Daudi cell lysate at 20 µg

Secondary

All lanes:

Western blot - Goat anti-Rabbit IgG H&L (IRDye® 800CW) preadsorbed (<a href='/products/secondary-antibodies/goat-rabbit-igg-h-l-irdye-800cw-preadsorbed-ab216773'>ab216773</a>) at 1/20000 dilution

Predicted band size: 55 kDa

Observed band size: 55 kDa

false

Western blot - Anti-PPP2R5E antibody [EPR17147] - C-terminal (AB198500)
  • WB

Supplier Data

Western blot - Anti-PPP2R5E antibody [EPR17147] - C-terminal (AB198500)

Blocking/Dilution buffer : 5% NFDM/TBST.

All lanes:

Western blot - Anti-PPP2R5E antibody [EPR17147] - C-terminal (ab198500) at 1/5000 dilution

Lane 1:

HeLa cell lysate at 10 µg

Lane 2:

293 cell lysate at 10 µg

Lane 3:

Human skeletal muscle lysate at 20 µg

Secondary

All lanes:

Goat Anti-Rabbit IgG, (H+L), Peroxidase conjugate at 1/1000 dilution

Predicted band size: 55 kDa

Observed band size: 55 kDa

true

Exposure time: 3min

关键信息

宿主种属

Rabbit

克隆

Monoclonal

克隆号

EPR17147

亚型

IgG

不含载体蛋白

No

反应种属

Human

应用

IHC-P, ICC/IF, WB, IP, Flow Cyt (Intra)

applications

免疫原

The exact immunogen used to generate this antibody is proprietary information.

反应性数据

{ "title": "Reactivity Data", "filters": { "stats": ["", "Species", "Dilution Info", "Notes"], "tabs": { "all-applications": {"fullname" : "All Applications", "shortname": "All Applications"}, "IP" : {"fullname" : "Immunoprecipitation", "shortname":"IP"}, "WB" : {"fullname" : "Western blot", "shortname":"WB"}, "ICCIF" : {"fullname" : "Immunocytochemistry/ Immunofluorescence", "shortname":"ICC/IF"}, "FlowCytIntra" : {"fullname" : "Flow Cytometry (Intracellular)", "shortname":"Flow Cyt (Intra)"}, "IHCP" : {"fullname" : "Immunohistochemistry (Formalin/PFA-fixed paraffin-embedded sections)", "shortname":"IHC-P"} }, "product-promise": { "all": "all", "testedAndGuaranteed": "tested", "guaranteed": "expected", "predicted": "predicted", "notRecommended": "not-recommended" } }, "values": { "Human": { "IP-species-checked": "testedAndGuaranteed", "IP-species-dilution-info": "1/75", "IP-species-notes": "<p></p>", "WB-species-checked": "testedAndGuaranteed", "WB-species-dilution-info": "1/5000", "WB-species-notes": "<p></p>", "ICCIF-species-checked": "testedAndGuaranteed", "ICCIF-species-dilution-info": "1/500", "ICCIF-species-notes": "<p></p>", "FlowCytIntra-species-checked": "testedAndGuaranteed", "FlowCytIntra-species-dilution-info": "1/2500", "FlowCytIntra-species-notes": "<p></p>", "IHCP-species-checked": "testedAndGuaranteed", "IHCP-species-dilution-info": "1/500", "IHCP-species-notes": "<p></p> Perform heat-mediated antigen retrieval with Tris/EDTA buffer pH 9.0 before commencing with IHC staining protocol." }, "Mouse": { "IP-species-checked": "predicted", "IP-species-dilution-info": "", "IP-species-notes": "", "WB-species-checked": "predicted", "WB-species-dilution-info": "", "WB-species-notes": "", "ICCIF-species-checked": "predicted", "ICCIF-species-dilution-info": "", "ICCIF-species-notes": "", "FlowCytIntra-species-checked": "predicted", "FlowCytIntra-species-dilution-info": "", "FlowCytIntra-species-notes": "", "IHCP-species-checked": "predicted", "IHCP-species-dilution-info": "", "IHCP-species-notes": "" }, "Rat": { "IP-species-checked": "predicted", "IP-species-dilution-info": "", "IP-species-notes": "", "WB-species-checked": "predicted", "WB-species-dilution-info": "", "WB-species-notes": "", "ICCIF-species-checked": "predicted", "ICCIF-species-dilution-info": "", "ICCIF-species-notes": "", "FlowCytIntra-species-checked": "predicted", "FlowCytIntra-species-dilution-info": "", "FlowCytIntra-species-notes": "", "IHCP-species-checked": "predicted", "IHCP-species-dilution-info": "", "IHCP-species-notes": "" } } }

产品详情

Patented technology
Our RabMAb® technology is a patented hybridoma-based technology for making rabbit monoclonal antibodies. For details on our patents, please refer to RabMAb® patents.

What are the advantages of a recombinant monoclonal antibody?
This product is a recombinant monoclonal antibody, which offers several advantages including:

  • - High batch-to-batch consistency and reproducibility
  • - Improved sensitivity and specificity
  • - Long-term security of supply
  • - Animal-free batch production

For more information, read more on recombinant antibodies.

性能和储存信息

形式
Liquid
纯化工艺
Affinity purification Protein A
存储溶液
pH: 7.2 - 7.4 Preservative: 0.01% Sodium azide Constituents: PBS, 40% Glycerol (glycerin, glycerine), 0.05% BSA
运输条件
Blue Ice
推荐的短期储存时间
1-2 weeks
推荐的短期储存条件
+4°C
推荐的长期储存条件
-20°C
分装信息
Upon delivery aliquot
储存信息
Avoid freeze / thaw cycle

补充信息

This supplementary information is collated from multiple sources and compiled automatically.

The protein PPP2R5E also known as B56 epsilon is a regulatory subunit of protein phosphatase 2A (PP2A). It has an approximate mass of 72 kDa. PPP2R5E expresses across various tissues including the brain heart and skeletal muscle. The subunit associates with the core PP2A enzyme influencing substrate specificity and activity of PP2A holoenzyme.
Biological function summary

PPP2R5E plays a role in regulating cell growth and division. It is a part of the PP2A holoenzyme complex acting as a critical modulatory component. By associating with the PP2A core enzyme PPP2R5E contributes to the dephosphorylation process of many substrates. These substrates are vital for maintaining cellular functions such as signal transduction and cell cycle progression.

Pathways

PPP2R5E takes part in cell signaling and apoptotic pathways. It has substantial involvement in the MAPK signaling pathway where it modulates the activity of related kinases. PPP2R5E interacts with proteins like RAF1 influencing the pathway's function. Additionally it also participates in the Wnt signaling pathway where its regulatory role impacts cellular differentiation and proliferation.

PPP2R5E shows links to cancer and neurodegenerative diseases. Alterations in its expression or function may lead to oncogenesis due to its role in controlling cell proliferation signals. The dysregulation of PP2A activity potentially through PPP2R5E has associations with Alzheimer’s disease. In cancer PPP2R5E interacts with proteins such as c-Myc which contributes to tumorigenesis and progression.

产品实验方案

For this product, it's our understanding that no specific protocols are required. You can visit:

靶点信息

The B regulatory subunit might modulate substrate selectivity and catalytic activity, and also might direct the localization of the catalytic enzyme to a particular subcellular compartment.
See full target information Serine/threonine-protein phosphatase 2A 56 kDa regulatory subunit epsilon isoform

文献 (1)

Recent publications for all applications. Explore the full list and refine your search

Neuron 112:362-383.e15 PubMed38016472

2023

Longitudinal single-cell transcriptional dynamics throughout neurodegeneration in SCA1.

Applications

Unspecified application

Species

Unspecified reactive species

Leon Tejwani,Neal G Ravindra,Changwoo Lee,Yubao Cheng,Billy Nguyen,Kimberly Luttik,Luhan Ni,Shupei Zhang,Logan M Morrison,John Gionco,Yangfei Xiang,Jennifer Yoon,Hannah Ro,Fatema Haidery,Rosalie M Grijalva,Eunwoo Bae,Kristen Kim,Regina T Martuscello,Harry T Orr,Huda Y Zoghbi,Hayley S McLoughlin,Laura P W Ranum,Vikram G Shakkottai,Phyllis L Faust,Siyuan Wang,David van Dijk,Janghoo Lim
View all publications

Abcam Product Promise

我们致力于为您的研究提供高质量的试剂,为您科研的每一步提供支持。若我们的产品未能达到预期性能,我们向您提供 Abcam Product Promise 保障。
详情请参阅我们的条款与条件。

Please note: All products are 'FOR RESEARCH USE ONLY. NOT FOR USE IN DIAGNOSTIC OR THERAPEUTIC PROCEDURES'.

For licensing inquiries, please contact partnerships@abcam.com