JavaScript is disabled in your browser. Please enable JavaScript to view this website.
AB137122

重组Anti-PPM1E抗体[EPR8721]

Anti-PPM1E antibody [EPR8721]

Be the first to review this product! Submit a review

|

(4 Publications)

Rabbit Recombinant Monoclonal PPM1E antibody. Suitable for IHC-P, WB and reacts with Human samples. Cited in 4 publications.

查看别名

CAMKN, KIAA1072, POPX1, PPM1E, Protein phosphatase 1E, Ca(2+)/calmodulin-dependent protein kinase phosphatase N, CaMKP-nucleus, Partner of PIX 1, Partner of PIX-alpha, CaMKP-N, CaMKN, Partner of PIXA

2 Images
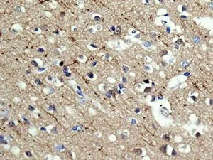
Immunohistochemistry (Formalin/PFA-fixed paraffin-embedded sections) - Anti-PPM1E antibody [EPR8721] (AB137122)
  • IHC-P

Unknown

Immunohistochemistry (Formalin/PFA-fixed paraffin-embedded sections) - Anti-PPM1E antibody [EPR8721] (AB137122)

Immunohistochemical analysis of paraffin embedded Human brain tissue labelling PPM1E with ab137122 antibody at a dilution of 1/50.

Perform heat mediated antigen retrieval before commencing with IHC staining protocol.

Western blot - Anti-PPM1E antibody [EPR8721] (AB137122)
  • WB

Unknown

Western blot - Anti-PPM1E antibody [EPR8721] (AB137122)

All lanes:

Western blot - Anti-PPM1E antibody [EPR8721] (ab137122) at 1/1000 dilution

Lane 1:

SH-SY5Y lysate at 10 µg

Lane 2:

Human hypothalamus lysate at 10 µg

Lane 3:

Human hippocampus lysate at 10 µg

Secondary

All lanes:

HRP labelled goat anti-rabbit at 1/2000 dilution

Predicted band size: 85 kDa

Observed band size: 84 kDa

false

关键信息

宿主种属

Rabbit

克隆

Monoclonal

克隆号

EPR8721

亚型

IgG

不含载体蛋白

No

反应种属

Human

应用

IHC-P, WB

applications

免疫原

The exact immunogen used to generate this antibody is proprietary information.

反应性数据

{ "title": "Reactivity Data", "filters": { "stats": ["", "Species", "Dilution Info", "Notes"], "tabs": { "all-applications": {"fullname" : "All Applications", "shortname": "All Applications"}, "IHCP" : {"fullname" : "Immunohistochemistry (Formalin/PFA-fixed paraffin-embedded sections)", "shortname":"IHC-P"}, "FlowCyt" : {"fullname" : "Flow Cytometry", "shortname":"Flow Cyt"}, "WB" : {"fullname" : "Western blot", "shortname":"WB"}, "ICCIF" : {"fullname" : "Immunocytochemistry/ Immunofluorescence", "shortname":"ICC/IF"} }, "product-promise": { "all": "all", "testedAndGuaranteed": "tested", "guaranteed": "expected", "predicted": "predicted", "notRecommended": "not-recommended" } }, "values": { "Human": { "IHCP-species-checked": "testedAndGuaranteed", "IHCP-species-dilution-info": "1/50 - 1/100", "IHCP-species-notes": "<p></p>", "FlowCyt-species-checked": "notRecommended", "FlowCyt-species-dilution-info": "", "FlowCyt-species-notes": "<p></p>", "WB-species-checked": "testedAndGuaranteed", "WB-species-dilution-info": "1/1000 - 1/10000", "WB-species-notes": "<p></p>", "ICCIF-species-checked": "notRecommended", "ICCIF-species-dilution-info": "", "ICCIF-species-notes": "<p></p>" } } }

产品详情

Species reactivity
Mouse, Rat: We have preliminary internal testing data to indicate this antibody may not react with these species.
Please contact us for more information.

Patented technology
Our RabMAb® technology is a patented hybridoma-based technology for making rabbit monoclonal antibodies. For details on our patents, please refer to RabMAb® patents.

What are the advantages of a recombinant monoclonal antibody?
This product is a recombinant monoclonal antibody, which offers several advantages including:

  • - High batch-to-batch consistency and reproducibility
  • - Improved sensitivity and specificity
  • - Long-term security of supply
  • - Animal-free batch production

For more information, read more on recombinant antibodies.

性能和储存信息

形式
Liquid
纯化工艺
Affinity purification Protein A
存储溶液
pH: 7.2 - 7.4 Preservative: 0.01% Sodium azide Constituents: PBS, 50% Tissue culture supernatant, 40% Glycerol (glycerin, glycerine), 0.05% BSA
运输条件
Blue Ice
推荐的短期储存条件
+4°C
推荐的长期储存条件
-20°C
分装信息
Upon delivery aliquot
储存信息
Avoid freeze / thaw cycle

补充信息

This supplementary information is collated from multiple sources and compiled automatically.

PPM1E also known as protein phosphatase M or POPX1 is a serine/threonine phosphatase with a molecular mass of approximately 82 kDa. It is expressed in various tissues including the brain muscle and heart. PPM1E dephosphorylates its substrates thereby regulating their activities. The enzyme negatively affects phosphorylation-dependent signaling pathways which impacts several biological processes. Its wide expression pattern indicates a broad role in cellular function.
Biological function summary

PPM1E associates with certain complexes that regulate cytoskeletal dynamics and cellular stress responses. It modulates proteins involved in actin cytoskeleton reorganization influencing cell motility and morphology. PPM1E interacts with and regulates targets like CaMKII and PAK which are essential for cell signaling and homeostasis. By acting on these targets PPM1E maintains balance in various cellular activities and processes.

Pathways

PPM1E regulates critical signaling pathways such as the MAPK and calcium/calmodulin-dependent protein kinase pathways. In the MAPK pathway PPM1E regulates signal transduction impacting cellular responses to proliferative signals. It also interacts with calcium/calmodulin-dependent protein kinase modulating calcium signaling which is important for maintaining cardiovascular and neuronal functions. These pathways highlight PPM1E's importance in cellular signaling networks and its interactions with other proteins like MEK and CaMKII.

PPM1E links to neurological disorders and cancer. Changes in PPM1E expression or activity are associated with Alzheimer's disease with its regulatory function influencing proteins like tau an important player in neurodegeneration. In cancer altered PPM1E expression affects cell proliferation and survival often interacting with oncogenic proteins such as RAS. These associations underline the potential of PPM1E as a target for therapeutic strategies in diverse disease contexts.

产品实验方案

For this product, it's our understanding that no specific protocols are required. You can visit:

靶点信息

Protein phosphatase that inactivates multifunctional CaM kinases such as CAMK4 and CAMK2 (By similarity). Dephosphorylates and inactivates PAK. May play a role in the inhibition of actin fiber stress breakdown and in morphological changes driven by TNK2/CDC42. Dephosphorylates PRKAA2 (By similarity).
See full target information PPM1E

文献 (4)

Recent publications for all applications. Explore the full list and refine your search

The Journal of biological chemistry 300:105695 PubMed38301894

2024

The BHLHE40‒PPM1F‒AMPK pathway regulates energy metabolism and is associated with the aggressiveness of endometrial cancer.

Applications

Unspecified application

Species

Unspecified reactive species

Kazuo Asanoma,Hiroshi Yagi,Ichiro Onoyama,Lin Cui,Emiko Hori,Minoru Kawakami,Shoji Maenohara,Kazuhisa Hachisuga,Hiroshi Tomonobe,Keisuke Kodama,Masafumi Yasunaga,Tatsuhiro Ohgami,Kaoru Okugawa,Hideaki Yahata,Hiroyuki Kitao,Kiyoko Kato

Viruses 15: PubMed37766305

2023

The Gene Transcriptional Activation and Protein Degradation Mediated by Transactivator Tas of Prototype Foamy Virus.

Applications

Unspecified application

Species

Unspecified reactive species

Yongping Ma,Jie Wei,Jing Song,Zhongxiang Hu,Ruifen Zhang,Zhi Li,Yan Sun

Virulence 13:342-354 PubMed35132916

2022

Inhibition of cell proliferation by Tas of foamy viruses through cell cycle arrest or apoptosis underlines the different mechanisms of virus-host interactions.

Applications

Unspecified application

Species

Unspecified reactive species

Wei Jie,Zhang Rui-Fen,Hu Zhong-Xiang,Wu Yan,Liu Wei-Na,Ma Yong-Ping,Song Jing,Chen Jing-Yi,Liu Wan-Hong,He Xiao-Hua,Li Zhi,Sun Yan

Cancer cell 32:624-638.e5 PubMed29056426

2017

mTORC1 Couples Nucleotide Synthesis to Nucleotide Demand Resulting in a Targetable Metabolic Vulnerability.

Applications

Unspecified application

Species

Unspecified reactive species

Alexander J Valvezan,Marc Turner,Amine Belaid,Hilaire C Lam,Spencer K Miller,Molly C McNamara,Christian Baglini,Benjamin E Housden,Norbert Perrimon,David J Kwiatkowski,John M Asara,Elizabeth P Henske,Brendan D Manning
View all publications

Abcam Product Promise

我们致力于为您的研究提供高质量的试剂,为您科研的每一步提供支持。若我们的产品未能达到预期性能,我们向您提供 Abcam Product Promise 保障。
详情请参阅我们的条款与条件。

Please note: All products are 'FOR RESEARCH USE ONLY. NOT FOR USE IN DIAGNOSTIC OR THERAPEUTIC PROCEDURES'.

For licensing inquiries, please contact partnerships@abcam.com