JavaScript is disabled in your browser. Please enable JavaScript to view this website.
AB32141

重组Anti-PP2A alpha + beta抗体[Y119]

Anti-PP2A alpha + beta antibody [Y119]

4

(5 Reviews)

|

(37 Publications)

Rabbit Recombinant Monoclonal PP2A-alpha antibody. Suitable for IHC-P, WB, Flow Cyt (Intra) and reacts with Human, Mouse, Rat samples. Cited in 37 publications.

查看别名

Serine/threonine-protein phosphatase 2A catalytic subunit alpha isoform, PP2A-alpha, Replication protein C, RP-C, PPP2CA

3 Images
Flow Cytometry (Intracellular) - Anti-PP2A alpha + beta antibody [Y119] (AB32141)
  • Flow Cyt (Intra)

Unknown

Flow Cytometry (Intracellular) - Anti-PP2A alpha + beta antibody [Y119] (AB32141)

Intracellular Flow Cytometry analysis of HeLa (human cervix adenocarcinoma) cells labelling PP2A alpha + beta (red) with unpurified ab32141 at dilution of 1/20. Goat anti rabbit IgG (Alexa Fluorr®488) at 1/2000 was used as the secondary antibody. Cells were fixed with 4% paraformaldehyde and permeabilised with 90% methanol. Isotype control antibody was Rabbit monoclonal IgG (black). The blue line shows cells without incubation with primary and secondary antibodies.

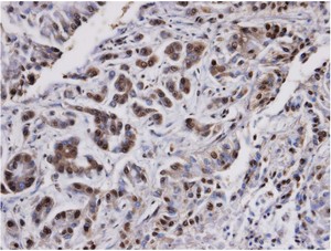
Immunohistochemistry (Formalin/PFA-fixed paraffin-embedded sections) - Anti-PP2A alpha + beta antibody [Y119] (AB32141)
  • IHC-P

Unknown

Immunohistochemistry (Formalin/PFA-fixed paraffin-embedded sections) - Anti-PP2A alpha + beta antibody [Y119] (AB32141)

ab32141at a 1/250 dilution staining human breast carcinoma by immunohistochemistry Paraffin embedded tissue

Perform heat mediated antigen retrieval with citrate buffer pH 6 before commencing with IHC staining protocol.

Western blot - Anti-PP2A alpha + beta antibody [Y119] (AB32141)
  • WB

Unknown

Western blot - Anti-PP2A alpha + beta antibody [Y119] (AB32141)

All lanes:

Western blot - Anti-PP2A alpha + beta antibody [Y119] (ab32141) at 1/10000 dilution

All lanes:

T47-D cell lysate

Predicted band size: 36 kDa

Observed band size: 36 kDa

false

不同偶联物与剂型 (3)

  • 665 Alexa Fluor® 647

    Alexa Fluor® 647 Anti-PP2A alpha + beta antibody [Y119]

  • 519 Alexa Fluor® 488

    Alexa Fluor® 488 Anti-PP2A alpha + beta antibody [Y119]

  • Carrier free

    Anti-PP2A alpha + beta antibody [Y119] - BSA and Azide free

关键信息

宿主种属

Rabbit

克隆

Monoclonal

克隆号

Y119

亚型

IgG

不含载体蛋白

No

反应种属

Human

应用

IHC-P, Flow Cyt (Intra), WB

applications

免疫原

The exact immunogen used to generate this antibody is proprietary information.

表位

ab32141 reacts with an epitope located in the C terminal region of PP2A alpha and beta

特异性

This antibody detects both alpha and beta isoforms of PP2A.

反应性数据

{ "title": "Reactivity Data", "filters": { "stats": ["", "Species", "Dilution Info", "Notes"], "tabs": { "all-applications": {"fullname" : "All Applications", "shortname": "All Applications"}, "IHCP" : {"fullname" : "Immunohistochemistry (Formalin/PFA-fixed paraffin-embedded sections)", "shortname":"IHC-P"}, "WB" : {"fullname" : "Western blot", "shortname":"WB"}, "FlowCytIntra" : {"fullname" : "Flow Cytometry (Intracellular)", "shortname":"Flow Cyt (Intra)"} }, "product-promise": { "all": "all", "testedAndGuaranteed": "tested", "guaranteed": "expected", "predicted": "predicted", "notRecommended": "not-recommended" } }, "values": { "Human": { "IHCP-species-checked": "testedAndGuaranteed", "IHCP-species-dilution-info": "1/250 - 1/500", "IHCP-species-notes": "<p></p>", "WB-species-checked": "testedAndGuaranteed", "WB-species-dilution-info": "1/5000 - 1/10000", "WB-species-notes": "<p></p>", "FlowCytIntra-species-checked": "testedAndGuaranteed", "FlowCytIntra-species-dilution-info": "1/20", "FlowCytIntra-species-notes": "<p></p>" }, "Mouse": { "IHCP-species-checked": "predicted", "IHCP-species-dilution-info": "", "IHCP-species-notes": "", "WB-species-checked": "guaranteed", "WB-species-dilution-info": "", "WB-species-notes": "<p></p>", "FlowCytIntra-species-checked": "predicted", "FlowCytIntra-species-dilution-info": "", "FlowCytIntra-species-notes": "" }, "Rat": { "IHCP-species-checked": "predicted", "IHCP-species-dilution-info": "", "IHCP-species-notes": "", "WB-species-checked": "guaranteed", "WB-species-dilution-info": "", "WB-species-notes": "<p></p>", "FlowCytIntra-species-checked": "predicted", "FlowCytIntra-species-dilution-info": "", "FlowCytIntra-species-notes": "" } } }

产品详情

Patented technology
Our RabMAb® technology is a patented hybridoma-based technology for making rabbit monoclonal antibodies. For details on our patents, please refer to RabMAb® patents.

What are the advantages of a recombinant monoclonal antibody?
This product is a recombinant monoclonal antibody, which offers several advantages including:

  • - High batch-to-batch consistency and reproducibility
  • - Improved sensitivity and specificity
  • - Long-term security of supply
  • - Animal-free batch production

For more information, read more on recombinant antibodies.

性能和储存信息

形式
Liquid
纯化工艺
Affinity purification Protein A
存储溶液
pH: 7.2 - 7.4 Preservative: 0.01% Sodium azide Constituents: PBS, 50% Glycerol (glycerin, glycerine), 0.05% BSA
运输条件
Blue Ice
推荐的短期储存时间
1-2 weeks
推荐的短期储存条件
+4°C
推荐的长期储存条件
-20°C
分装信息
Upon delivery aliquot
储存信息
Avoid freeze / thaw cycle

产品实验方案

For this product, it's our understanding that no specific protocols are required. You can visit:

靶点信息

Catalytic subunit of protein phosphatase 2A (PP2A), a serine/threonine phosphatase involved in the regulation of a wide variety of enzymes, signal transduction pathways, and cellular events. PP2A is the major phosphatase for microtubule-associated proteins (MAPs) (PubMed : 22613722). PP2A can modulate the activity of phosphorylase B kinase casein kinase 2, mitogen-stimulated S6 kinase, and MAP-2 kinase (PubMed : 22613722). Cooperates with SGO2 to protect centromeric cohesin from separase-mediated cleavage in oocytes specifically during meiosis I (By similarity). Can dephosphorylate SV40 large T antigen and p53/TP53 (PubMed : 17245430). Activates RAF1 by dephosphorylating it at 'Ser-259' (PubMed : 10801873). Mediates dephosphorylation of WEE1, preventing its ubiquitin-mediated proteolysis, increasing WEE1 protein levels, and promoting the G2/M checkpoint (PubMed : 33108758). Mediates dephosphorylation of MYC; promoting its ubiquitin-mediated proteolysis : interaction with AMBRA1 enhances interaction between PPP2CA and MYC (PubMed : 25438055). Mediates dephosphorylation of FOXO3; promoting its stabilization : interaction with AMBRA1 enhances interaction between PPP2CA and FOXO3 (PubMed : 30513302). Catalyzes dephosphorylation of the pyrin domain of NLRP3, promoting assembly of the NLRP3 inflammasome (By similarity). Part of the striatin-interacting phosphatase and kinase (STRIPAK) complexes. STRIPAK complexes have critical roles in protein (de)phosphorylation and are regulators of multiple signaling pathways including Hippo, MAPK, nuclear receptor and cytoskeleton remodeling. Different types of STRIPAK complexes are involved in a variety of biological processes such as cell growth, differentiation, apoptosis, metabolism and immune regulation (PubMed : 33633399).
See full target information PPP2CA

其他靶点

PPP2CB

文献 (37)

Recent publications for all applications. Explore the full list and refine your search

Function (Oxford, England) 6: PubMed39986267

2025

Phosphatases Control the Duration and Range of cAMP/PKA Microdomains.

Applications

Unspecified application

Species

Unspecified reactive species

Filippo Conca,Doruk Kaan Bayburtlu,Mauro Vismara,Nicoletta C Surdo,Alessandra Tavoni,Leonardo Nogara,Adamo Sarra,Stefano Ciciliot,Giulietta Di Benedetto,Liliana F Iannucci,Konstantinos Lefkimmiatis

Acta biochimica et biophysica Sinica 57:378-388 PubMed39327932

2024

HADHA promotes esophageal cancer progression by activating mTOR signaling and the SP1/MDM2 axis.

Applications

Unspecified application

Species

Unspecified reactive species

Xusheng Ding,Longlong Shao,Jie Wang,Yongwei Jin,Haiqing Chen,Bin Li

Journal of medicinal chemistry 67:5421-5436 PubMed38546708

2024

5-Aminothiazoles Reveal a New Ligand-Binding Site on Prolyl Oligopeptidase Which is Important for Modulation of Its Protein-Protein Interaction-Derived Functions.

Applications

Unspecified application

Species

Unspecified reactive species

Henri T Pätsi,Tommi P Kilpeläinen,Mikael Jumppanen,Johanna Uhari-Väänänen,Pieter Van Wielendaele,Francesca De Lorenzo,Hengjing Cui,Samuli Auno,Janne Saharinen,Erin Seppälä,Nina Sipari,Juha Savinainen,Ingrid De Meester,Anne-Marie Lambeir,Maija Lahtela-Kakkonen,Timo T Myöhänen,Erik A A Wallén

Journal of medicinal chemistry 66:7475-7496 PubMed37248563

2023

Nonpeptidic Oxazole-Based Prolyl Oligopeptidase Ligands with Disease-Modifying Effects on α-Synuclein Mouse Models of Parkinson's Disease.

Applications

Unspecified application

Species

Unspecified reactive species

Tommi P Kilpeläinen,Henri T Pätsi,Reinis Svarcbahs,Ulrika H Julku,Tony S Eteläinen,Hengjing Cui,Samuli Auno,Nina Sipari,Susanna Norrbacka,Teppo O Leino,Maria Jäntti,Timo T Myöhänen,Erik A A Wallén

Genes to cells : devoted to molecular & cellular mechanisms 28:5-14 PubMed36318474

2022

Absence of ULK1 decreases AMPK activity in the kidney, leading to chronic kidney disease progression.

Applications

Unspecified application

Species

Unspecified reactive species

Tomoki Yanagi,Hiroaki Kikuchi,Koichiro Susa,Naohiro Takahashi,Hiroki Bamba,Takefumi Suzuki,Yuta Nakano,Tamami Fujiki,Yutaro Mori,Fumiaki Ando,Shintaro Mandai,Takayasu Mori,Koh Takeuchi,Shinya Honda,Satoru Torii,Shigeomi Shimizu,Tatemitsu Rai,Shinichi Uchida,Eisei Sohara

International journal of molecular sciences 23: PubMed35563079

2022

Protein Phosphatase 2A Improves Cardiac Functional Response to Ischemia and Sepsis.

Applications

Unspecified application

Species

Unspecified reactive species

Ulrich Gergs,Tina Jahn,Nico Schulz,Claudia Großmann,Uwe Rueckschloss,Uta Demus,Igor B Buchwalow,Joachim Neumann

Genes 13: PubMed35052471

2022

Diane-35 and Metformin Induce Autophagy and Apoptosis in Polycystic Ovary Syndrome Women with Early-Stage Endometrial Carcinoma.

Applications

Unspecified application

Species

Unspecified reactive species

Yanjun Liu,Yang Wang,Dan Yao,Xing Chen,Feifei Zhang,Yi Feng,Xin Li

Journal of cellular and molecular medicine 25:9634-9646 PubMed34486218

2021

Prolyl oligopeptidase inhibition reduces alpha-synuclein aggregation in a cellular model of multiple system atrophy.

Applications

Unspecified application

Species

Unspecified reactive species

Hengjing Cui,Tommi Kilpeläinen,Lydia Zouzoula,Samuli Auno,Kalevi Trontti,Sampo Kurvonen,Susanna Norrbacka,Iiris Hovatta,Poul Henning Jensen,Timo T Myöhänen

International journal of molecular sciences 22: PubMed34502355

2021

Mechanisms of Systolic Cardiac Dysfunction in PP2A, PP5 and PP2AxPP5 Double Transgenic Mice.

Applications

Unspecified application

Species

Unspecified reactive species

Mara-Francine Dörner,Peter Boknik,Friedrich Köpp,Igor B Buchwalow,Joachim Neumann,Ulrich Gergs

Biomedicines 9: PubMed34070090

2021

Influence of Serotonin 5-HT Receptors on Responses to Cardiac Stressors in Transgenic Mouse Models.

Applications

Unspecified application

Species

Unspecified reactive species

Ulrich Gergs,Timo Gerigk,Jonas Wittschier,Constanze T Schmidbaur,Clara Röttger,Mareen Mahnkopf,Hanna Edler,Hartmut Wache,Joachim Neumann
View all publications

Abcam Product Promise

我们致力于为您的研究提供高质量的试剂,为您科研的每一步提供支持。若我们的产品未能达到预期性能,我们向您提供 Abcam Product Promise 保障。
详情请参阅我们的条款与条件。

Please note: All products are 'FOR RESEARCH USE ONLY. NOT FOR USE IN DIAGNOSTIC OR THERAPEUTIC PROCEDURES'.

For licensing inquiries, please contact partnerships@abcam.com