JavaScript is disabled in your browser. Please enable JavaScript to view this website.
AB270407

重组Anti-PMP22抗体[EPR23112-110] - BSA and Azide free

Anti-PMP22 antibody [EPR23112-110] - BSA and Azide free

Be the first to review this product! Submit a review

|

(0 Publication)

Rabbit Recombinant Monoclonal PMP22 antibody. Carrier free. Suitable for IP, Flow Cyt, WB, IHC-P, ICC/IF and reacts with Human samples.

查看别名

GAS3, PMP22, Peripheral myelin protein 22, PMP-22, Growth arrest-specific protein 3, GAS-3

5 Images
Immunohistochemistry (Formalin/PFA-fixed paraffin-embedded sections) - Anti-PMP22 antibody [EPR23112-110] - BSA and Azide free (AB270407)
  • IHC-P

Lab

Immunohistochemistry (Formalin/PFA-fixed paraffin-embedded sections) - Anti-PMP22 antibody [EPR23112-110] - BSA and Azide free (AB270407)

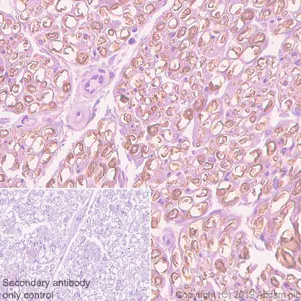
Immunohistochemical analysis of paraffin-embedded Human nerve tissue labeling PMP22 with ab270400 at 1/32000 dilution (0.018 μg/ml) followed by a ready to use Rabbit specific IHC polymer detection kit HRP/DAB (ab209101). Positive staining in Schwann cells of human nerve (PMID : 7691737) is observed. The section was incubated with ab270400 for 10 mins at room temperature. The immunostaining was performed on a Leica Biosystems BOND® RX instrument Counterstained with Hematoxylin. Heat mediated antigen retrieval with Tris-EDTA buffer (pH 9.0, epitope retrieval solution2) for 20 mins.

Secondary antibody only control : Used PBS instead of primary antibody, secondary antibody is a ready to use Rabbit specific IHC polymer detection kit HRP/DAB (ab209101).

This data was developed using the same antibody clone in a different buffer formulation containing PBS, BSA, glycerol, and sodium azide (ab270400).

Immunocytochemistry/ Immunofluorescence - Anti-PMP22 antibody [EPR23112-110] - BSA and Azide free (AB270407)
  • ICC/IF

Lab

Immunocytochemistry/ Immunofluorescence - Anti-PMP22 antibody [EPR23112-110] - BSA and Azide free (AB270407)

Immunofluorescent analysis of 4% Paraformaldehyde-fixed, 0.1% TritonX-100 permeabilized 293T cells transfected with a myc-tagged PMP22 expression construct. cells labelling PMP22 with ab270400 at 1/250 dilution, followed by ab150077 Goat Anti-Rabbit IgG H&L (Alexa Fluor® 488) antibody at 1/1000 dilution (Green). Confocal image showing cytoplasmic staining in 293T cells transfected with a myc-tagged PMP22 expression construct is observed. 2233S Myc-Tag (9B11) Mouse mAb (Alexa Fluor® 647 Conjugate) was used to counterstain tubulin at 1/100 dilution (Red). The Nuclear counterstain was DAPI (Blue).

Secondary antibody only control : Used PBS instead of primary antibody, secondary antibody is ab150077 Goat Anti-Rabbit IgG H&L (Alexa Fluor® 488) at 1/1000 dilution.

This data was developed using the same antibody clone in a different buffer formulation containing PBS, BSA, glycerol, and sodium azide (ab270400).

Immunohistochemistry (Formalin/PFA-fixed paraffin-embedded sections) - Anti-PMP22 antibody [EPR23112-110] - BSA and Azide free (AB270407)
  • IHC-P

Lab

Immunohistochemistry (Formalin/PFA-fixed paraffin-embedded sections) - Anti-PMP22 antibody [EPR23112-110] - BSA and Azide free (AB270407)

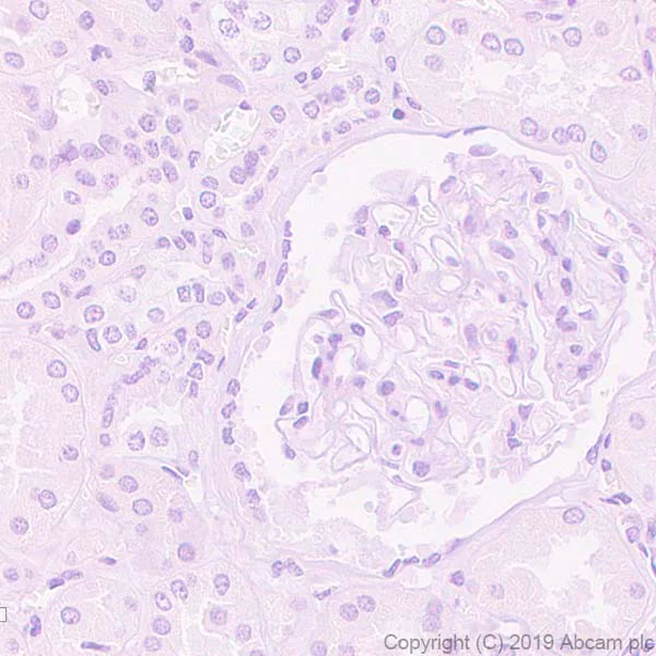
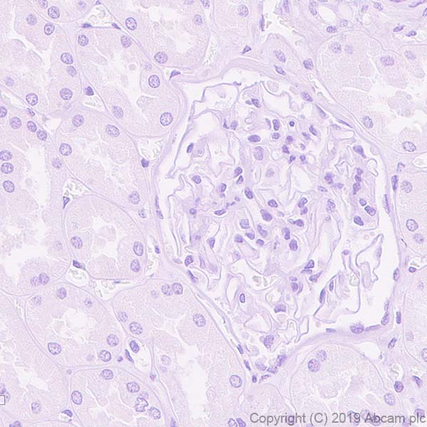
Immunohistochemical analysis of paraffin-embedded Human kidney tissue labeling PMP22 with ab270400 at 1/32000 dilution (0.018 μg/ml) followed by a ready to use Rabbit specific IHC polymer detection kit HRP/DAB (ab209101).

Negative control : negative staining in human kidney (PMID : 7649472).

The section was incubated with ab270400 for 10 mins at room temperature. The immunostaining was performed on a Leica Biosystems BOND® RX instrument Counterstained with Hematoxylin. Heat mediated antigen retrieval with Tris-EDTA buffer (pH 9.0, epitope retrieval solution2) for 20 mins. Secondary antibody is a ready to use Rabbit specific IHC polymer detection kit HRP/DAB (ab209101).

This data was developed using the same antibody clone in a different buffer formulation containing PBS, BSA, glycerol, and sodium azide (ab270400).

Flow Cytometry - Anti-PMP22 antibody [EPR23112-110] - BSA and Azide free (AB270407)
  • Flow Cyt

Lab

Flow Cytometry - Anti-PMP22 antibody [EPR23112-110] - BSA and Azide free (AB270407)

Flow cytometric analysis of 2% paraformaldehyde fixed 0.1% Tween-20 permeabilized 293T transfected with myc-his tagged PMP22 overexpression construct cells labelling PMP22 with ab270400 at 1/600 dilution (0.1 ug)/ Right compared with a Rabbit monoclonal IgG (ab172730) / Left isotype control. A Goat anti rabbit IgG (Alexa Fluor® 488, ab150077) at 1/2000 dilution was used as the secondary antibody. Cells were surface stained with isotype control or ab270400. Then fixed with 2% PFA for 10min followed by intracellularly stained with anti-myc tag conjugated to Alexa Fluor® 647.

This data was developed using the same antibody clone in a different buffer formulation containing PBS, BSA, glycerol, and sodium azide (ab270400).

Immunoprecipitation - Anti-PMP22 antibody [EPR23112-110] - BSA and Azide free (AB270407)
  • IP

Lab

Immunoprecipitation - Anti-PMP22 antibody [EPR23112-110] - BSA and Azide free (AB270407)

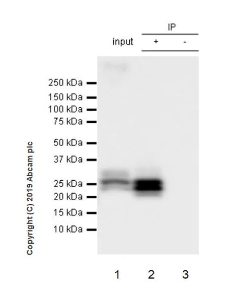
PMP22 was immunoprecipitated from 0.35 mg 293T (human embryonic kidney epithelial cell) transfected with PMP22 (WT) expression vector containing a myc-His-tag®, whole cell lysate with ab270400 at 1/30 dilution (2 μg in 0.35mg lysates). Western blot was performed on the immunoprecipitate using ab270400 1/1000 dilution (0.58 μg/ml). VeriBlot for IP Detection Reagent (HRP)(ab131366) was used at 1/5000 dilution.

Lane 1 : 293T cells transfected with PMP22 (WT) expression vector containing a myc-His-tag®, whole cell lysate 10 μg

Lane 2 : ab270400 IP in 293T transfected with PMP22 (WT) expression vector containing a myc-His-tag®, whole cell lysate

Lane 3 : Rabbit monoclonal IgG (ab172730) instead of ab270400 in 293T transfected with PMP22 (WT) expression vector containing a myc-His-tag®, whole cell lysate. Blocking and dilution buffer and concentration : 5% NFDM/TBST.

Exposure time : 3 seconds

This data was developed using the same antibody clone in a different buffer formulation containing PBS, BSA, glycerol, and sodium azide (ab270400).

All lanes:

Immunoprecipitation - Anti-PMP22 antibody [EPR23112-110] (<a href='/products/primary-antibodies/pmp22-antibody-epr23112-110-ab270400'>ab270400</a>)

Predicted band size: 18 kDa

Observed band size: 25-22 kDa

false

不同偶联物与剂型 (10)

  • Unconjugated

    Anti-PMP22 antibody [EPR23112-110]

  • 775 Alexa Fluor® 750

    Alexa Fluor® 750 Anti-PMP22 antibody [EPR23112-110]

  • 578 PE

    PE Anti-PMP22 antibody [EPR23112-110]

  • 660 APC

    APC Anti-PMP22 antibody [EPR23112-110]

  • HRP

    HRP Anti-PMP22 antibody [EPR23112-110]

  • 519 Alexa Fluor® 488

    Alexa Fluor® 488 Anti-PMP22 antibody [EPR23112-110]

  • 665 Alexa Fluor® 647

    Alexa Fluor® 647 Anti-PMP22 antibody [EPR23112-110]

  • 617 Alexa Fluor® 594

    Alexa Fluor® 594 Anti-PMP22 antibody [EPR23112-110]

  • 565 Alexa Fluor® 555

    Alexa Fluor® 555 Anti-PMP22 antibody [EPR23112-110]

  • 603 Alexa Fluor® 568

    Alexa Fluor® 568 Anti-PMP22 antibody [EPR23112-110]

关键信息

宿主种属

Rabbit

克隆

Monoclonal

克隆号

EPR23112-110

亚型

IgG

不含载体蛋白

Yes

反应种属

Human

应用

WB, ICC/IF, IHC-P, IP, Flow Cyt

applications

免疫原

The exact immunogen used to generate this antibody is proprietary information.

反应性数据

{ "title": "Reactivity Data", "filters": { "stats": ["", "Species", "Dilution Info", "Notes"], "tabs": { "all-applications": {"fullname" : "All Applications", "shortname": "All Applications"}, "IP" : {"fullname" : "Immunoprecipitation", "shortname":"IP"}, "FlowCyt" : {"fullname" : "Flow Cytometry", "shortname":"Flow Cyt"}, "WB" : {"fullname" : "Western blot", "shortname":"WB"}, "IHCP" : {"fullname" : "Immunohistochemistry (Formalin/PFA-fixed paraffin-embedded sections)", "shortname":"IHC-P"}, "ICCIF" : {"fullname" : "Immunocytochemistry/ Immunofluorescence", "shortname":"ICC/IF"} }, "product-promise": { "all": "all", "testedAndGuaranteed": "tested", "guaranteed": "expected", "predicted": "predicted", "notRecommended": "not-recommended" } }, "values": { "Human": { "IP-species-checked": "testedAndGuaranteed", "IP-species-dilution-info": "", "IP-species-notes": "<p></p>", "FlowCyt-species-checked": "testedAndGuaranteed", "FlowCyt-species-dilution-info": "", "FlowCyt-species-notes": "<p></p>", "WB-species-checked": "guaranteed", "WB-species-dilution-info": "", "WB-species-notes": "<p></p>", "IHCP-species-checked": "testedAndGuaranteed", "IHCP-species-dilution-info": "", "IHCP-species-notes": "<p></p>", "ICCIF-species-checked": "testedAndGuaranteed", "ICCIF-species-dilution-info": "", "ICCIF-species-notes": "<p></p>" }, "Mouse": { "IP-species-checked": "notRecommended", "IP-species-dilution-info": "", "IP-species-notes": "", "FlowCyt-species-checked": "notRecommended", "FlowCyt-species-dilution-info": "", "FlowCyt-species-notes": "", "WB-species-checked": "notRecommended", "WB-species-dilution-info": "", "WB-species-notes": "<p></p>", "IHCP-species-checked": "notRecommended", "IHCP-species-dilution-info": "", "IHCP-species-notes": "<p></p>", "ICCIF-species-checked": "notRecommended", "ICCIF-species-dilution-info": "", "ICCIF-species-notes": "" }, "Rat": { "IP-species-checked": "notRecommended", "IP-species-dilution-info": "", "IP-species-notes": "", "FlowCyt-species-checked": "notRecommended", "FlowCyt-species-dilution-info": "", "FlowCyt-species-notes": "", "WB-species-checked": "notRecommended", "WB-species-dilution-info": "", "WB-species-notes": "<p></p>", "IHCP-species-checked": "notRecommended", "IHCP-species-dilution-info": "", "IHCP-species-notes": "<p></p>", "ICCIF-species-checked": "notRecommended", "ICCIF-species-dilution-info": "", "ICCIF-species-notes": "" } } }

产品详情

ab270407 is the carrier-free version of ab270400.

Patented technology
Our RabMAb® technology is a patented hybridoma-based technology for making rabbit monoclonal antibodies. For details on our patents, please refer to RabMAb® patents.

What are the advantages of a recombinant monoclonal antibody?
This product is a recombinant monoclonal antibody, which offers several advantages including:

  • - High batch-to-batch consistency and reproducibility
  • - Improved sensitivity and specificity
  • - Long-term security of supply
  • - Animal-free batch production

For more information, read more on recombinant antibodies.

Conjugation ready
Our carrier-free antibodies are typically supplied in a PBS-only formulation, purified and free of BSA, sodium azide and glycerol. This conjugation-ready format is designed for use with fluorochromes, metal isotopes, oligonucleotides, and enzymes, which makes them ideal for antibody labelling, functional and cell-based assays, flow-based assays (e.g. mass cytometry) and Multiplex Imaging applications.

Use our conjugation kits for antibody conjugates that are ready-to-use in as little as 20 minutes with 1 minute hands-on-time and 100% antibody recovery: available for fluorescent dyes, HRP, biotin and gold.

Compatibility
This product is compatible with the Maxpar® Antibody Labeling Kit from Fluidigm, without the need for antibody preparation. Maxpar® is a trademark of Fluidigm Canada Inc.

性能和储存信息

形式
Liquid
纯化工艺
Affinity purification Protein A
存储溶液
pH: 7.2 - 7.4 Constituents: PBS
运输条件
Blue Ice
推荐的短期储存条件
+4°C
推荐的长期储存条件
+4°C
储存信息
Do Not Freeze

补充信息

This supplementary information is collated from multiple sources and compiled automatically.

The 'PMP22 protein' also known as Peripheral Myelin Protein 22 is an essential component of the myelin sheath in the peripheral nervous system. It has a molecular weight of approximately 22 kDa. The protein is highly expressed in Schwann cells which are responsible for forming myelin around peripheral nerves. PMP22 contains four transmembrane domains playing a role in its structural function in the membrane.
Biological function summary

The 'PMP22' serves an important role in maintaining the integrity and functionality of the myelin sheath contributing to efficient nerve conduction. It is not typically part of a complex but interacts with other myelin proteins to support myelin compaction and stability. The protein's presence affects the cell cycle and myelination process important for the normal functioning of the peripheral nervous system.

Pathways

'PMP22 protein' plays roles in the Schwann cell differentiation and myelination pathways. It maintains correct peripheral nerve structure and function with connections to proteins such as MPZ (Myelin Protein Zero) which are also integral for proper nerve insulation. There are specific pathways where PMP22 downregulation or overexpression impacts the normal myelination cycle significant for peripheral nerve health.

'PMP 22' mutations or overexpression relate to Charcot-Marie-Tooth disease type 1A and Hereditary Neuropathy with Liability to Pressure Palsies (HNPP). These conditions arise from gene dosage changes affecting nerve function where altered PMP22 protein levels lead to defective myelin formation. Interaction between PMP22 and proteins like connexin 32 shows further ties to demyelinating neuropathies emphasizing the gene-protein network involved in these disorders.

产品实验方案

For this product, it's our understanding that no specific protocols are required. You can visit:

靶点信息

Might be involved in growth regulation, and in myelinization in the peripheral nervous system.
See full target information PMP22

Abcam Product Promise

我们致力于为您的研究提供高质量的试剂,为您科研的每一步提供支持。若我们的产品未能达到预期性能,我们向您提供 Abcam Product Promise 保障。
详情请参阅我们的条款与条件。

Please note: All products are 'FOR RESEARCH USE ONLY. NOT FOR USE IN DIAGNOSTIC OR THERAPEUTIC PROCEDURES'.

For licensing inquiries, please contact partnerships@abcam.com