JavaScript is disabled in your browser. Please enable JavaScript to view this website.
AB179466

重组Anti-PML蛋白抗体[EPR16792]

Anti-PML Protein antibody [EPR16792]

  • RabMAb
  • Recombinant
  • KO Validated
  • 20ul selling size
  • 了解详情

5

(5 Reviews)

|

(25 Publications)

Anti-PML Protein antibody [EPR16792] (ab179466) is a rabbit monoclonal antibody detecting PML Protein in Western Blot, IP, IHC-P, ICC/IF. Suitable for Human.

- KO validated for confirmed specificity
- Biophysical QC for unrivalled batch-batch consistency
- Over 10 publications

查看别名

MYL, PP8675, RNF71, TRIM19, PML, Protein PML, E3 SUMO-protein ligase PML, Promyelocytic leukemia protein, RING finger protein 71, RING-type E3 SUMO transferase PML, Tripartite motif-containing protein 19

11 Images
Immunocytochemistry/ Immunofluorescence - Anti-PML Protein antibody [EPR16792] (AB179466)
  • ICC/IF

Lab

Immunocytochemistry/ Immunofluorescence - Anti-PML Protein antibody [EPR16792] (AB179466)

ab179466 staining PML in wild-type Hap1 cells (top panel) and PML knockout Hap1 cells (bottom panel). The cells were fixed with 4% paraformaldehyde (10 min), permeabilized with 0.1% Triton X-100 for 5 minutes and then blocked with 1% BSA/10% normal goat serum/0.3M glycine in 0.1% PBS-Tween for 1h. The cells were then incubated with ab179466 at 1/500 dilution and ab7291 (Mouse monoclonal to alpha Tubulin) at 1/1000 dilution overnight at +4°C, followed by a further incubation at room temperature for 1h with a goat secondary antibody to rabbit IgG (Alexa Fluor® 488) (ab150081) at 2 μg/ml (shown in green) and a goat secondary antibody to mouse IgG (Alexa Fluor® 594) (ab150120) at 2 μg/ml (shown in red). Nuclear DNA was labelled in blue with DAPI.

Image was taken with a confocal microscope (Leica-Microsystems, TCS SP8).

Immunocytochemistry/ Immunofluorescence - Anti-PML Protein antibody [EPR16792] (AB179466)
  • ICC/IF

Supplier Data

Immunocytochemistry/ Immunofluorescence - Anti-PML Protein antibody [EPR16792] (AB179466)

Immunofluorescent analysis of 4% paraformaldehyde-fixed, 0.1% Triton X-100 permeabilized K562 (Human chronic myelogenous leukemia cells from bone marrow) cells labeling PML Protein with ab179466 at 1/500 dilution, followed by Goat anti-rabbit IgG (Alexa Fluor® 488) (ab150077) secondary antibody at 1/400 dilution (green). Cytoplasm and nuclear staining on K562 cell line is observed. The nuclear counterstain is DAPI (blue). Tubulin is detected with ab7291 (anti-Tubulin mouse mAb) at 1/500 dilution and ab150120 (AlexaFluor®594 Goat anti-Mouse secondary) at 1/500 dilution (red).

The negative controls are as follows : -
-ve control 1 - ab179466 at 1/500 dilution followed by ab150120 (AlexaFluor®594 Goat anti-Mouse secondary) at 1/500 dilution.
-ve control 2. - ab7291 (anti-Tubulin mouse mAb) at 1/500 dilution followed by ab150077 (Alexa Fluor®488 Goat Anti-Rabbit IgG H&L) at 1/400 dilution.

Immunohistochemistry (Formalin/PFA-fixed paraffin-embedded sections) - Anti-PML Protein antibody [EPR16792] (AB179466)
  • IHC-P

Supplier Data

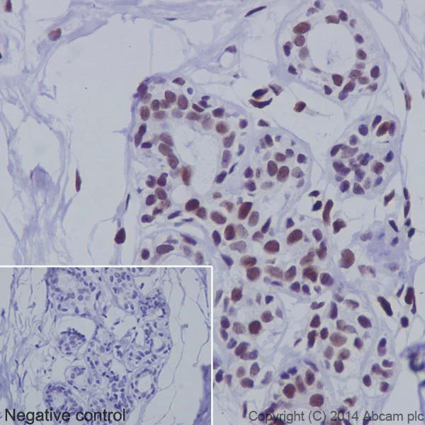
Immunohistochemistry (Formalin/PFA-fixed paraffin-embedded sections) - Anti-PML Protein antibody [EPR16792] (AB179466)

Immunohistochemical analysis of paraffin-embedded Human mammary gland tissue labeling PML Protein with ab179466 at 1/2000 dilution followed by prediluted HRP Polymer for Rabbit/Mouse IgG. Nucleus staining on epithelial cells of Human mammary gland tissue is observed. Counter stained with Hematoxylin.

Negative control : Used PBS instead of primary ab, secondary ab is prediluted HRP Polymer for Rabbit/Mouse IgG.

Perform heat mediated antigen retrieval with Tris/EDTA buffer pH 9.0 before commencing with IHC staining protocol.

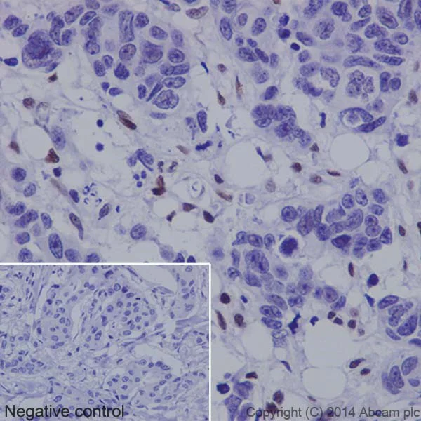
Immunohistochemistry (Formalin/PFA-fixed paraffin-embedded sections) - Anti-PML Protein antibody [EPR16792] (AB179466)
  • IHC-P

Supplier Data

Immunohistochemistry (Formalin/PFA-fixed paraffin-embedded sections) - Anti-PML Protein antibody [EPR16792] (AB179466)

Immunohistochemical analysis of paraffin-embedded Human breast carcinoma tissue labeling PML Protein with ab179466 at 1/2000 dilution followed by prediluted HRP Polymer for Rabbit/Mouse IgG. Counter stained with Hematoxylin. The breast cancer cells lost expression.

Reference : Gurrieri C et al. Loss of the Tumor Suppressor PML in Human Cancers of Multiple Histologic Origins. J Natl Cancer Inst 96 : 269 –279 (2004).

Negative control : Used PBS instead of primary ab, secondary ab is prediluted HRP Polymer for Rabbit/Mouse IgG.

Perform heat mediated antigen retrieval with Tris/EDTA buffer pH 9.0 before commencing with IHC staining protocol.

Immunoprecipitation - Anti-PML Protein antibody [EPR16792] (AB179466)
  • IP

Supplier Data

Immunoprecipitation - Anti-PML Protein antibody [EPR16792] (AB179466)

PML Protein was immunoprecipitated from 1mg of K562 (Human chronic myelogenous leukemia cells from bone marrow) whole cell extract with ab179466 at 1/70 diltuion. Western blot was performed from the immunoprecipitate using ab179466 at 1/1000 dilution. Anti-Rabbit IgG (HRP), specific to the non-reduced form of IgG, was used as secondary antibody at 1/1500 dilution. Lane 1 : K562 whole cell extract. Lane 2 : PBS instead of K562 whole cell extract.

Blocking and dilution buffer and concentration : 5% NFDM/TBST.

ab179466 recognizes 12 isoforms shown as multiple bands ranging from 50 kDa to 110 kDa.

All lanes:

Immunoprecipitation - Anti-PML Protein antibody [EPR16792] (ab179466)

Predicted band size: 98 kDa

Observed band size: 50-110 kDa

false

Western blot - Anti-PML Protein antibody [EPR16792] (AB179466)
  • WB

Lab

Western blot - Anti-PML Protein antibody [EPR16792] (AB179466)

Lanes 1-3 : Merged signal (red and green). Green - ab179466 observed at 50-110 kDa. Red - loading control, ab8245 observed at 37 kDa.

ab179466 Anti-PML Protein antibody [EPR16792] was shown to specifically react with PML Protein in wild-type HeLa cells. Loss of signal was observed when knockout cell line ab261811 (knockout cell lysate ab257081) was used. Wild-type and PML Protein knockout samples were subjected to SDS-PAGE. ab179466 and Anti-GAPDH antibody [6C5] - Loading Control (ab8245) were incubated overnight at 4°C at 1 in 1000 dilution and 1 in 20000 dilution respectively. Blots were developed with Goat anti-Rabbit IgG H&L (IRDye® 800CW) preadsorbed (ab216773) and Goat anti-Mouse IgG H&L (IRDye® 680RD) preadsorbed (ab216776) secondary antibodies at 1 in 10000 dilution for 1 hour at room temperature before imaging.

All lanes:

Western blot - Anti-PML Protein antibody [EPR16792] (ab179466) at 1/1000 dilution

Lane 1:

Wild-type HeLa cell lysate at 20 µg

Lane 2:

PML knockout HeLa cell lysate at 20 µg

Lane 2:

Western blot - Human PML (PML Protein) knockout HeLa cell line (<a href='/products/cell-lines/human-pml-pml-protein-knockout-hela-cell-line-ab261811'>ab261811</a>)

Lane 3:

293T cell lysate at 20 µg

Predicted band size: 98 kDa

Observed band size: 110 kDa

false

Western blot - Anti-PML Protein antibody [EPR16792] (AB179466)
  • WB

Lab

Western blot - Anti-PML Protein antibody [EPR16792] (AB179466)

Lanes 1 - 4 : Merged signal (red and green). Green - ab179466 observed at 50-110 kDa. Red - loading control, ab8245, observed at 37 kDa.

ab179466 was shown to recognize in wild-type HAP1 cells as signal was lost at the expected MW in PML knockout cells. Additional cross-reactive bands were observed in the wild-type and knockout cells. Wild-type and PML knockout samples were subjected to SDS-PAGE. ab179466 and ab8245 (Mouse anti GAPDH loading control) were incubated overnight at 4°C at 1/1000 dilution and 1/20000 dilution respectively. Blots were developed with Goat anti-Rabbit IgG H&L (IRDye® 800CW) preabsorbed ab216773 and Goat anti-Mouse IgG H&L (IRDye® 680RD) preabsorbed ab216776 secondary antibodies at 1/20000 dilution for 1 hour at room temperature before imaging.

All lanes:

Western blot - Anti-PML Protein antibody [EPR16792] (ab179466) at 1/1000 dilution

Lane 1:

Wild-type HAP1 whole cell lysate at 20 µg

Lane 2:

PML knockout HAP1 whole cell lysate at 20 µg

Lane 3:

HeLa whole cell lysate at 20 µg

Lane 4:

HEK293 whole cell lysate at 20 µg

Predicted band size: 98 kDa

Observed band size: 50-110 kDa

false

Western blot - Anti-PML Protein antibody [EPR16792] (AB179466)
  • WB

Supplier Data

Western blot - Anti-PML Protein antibody [EPR16792] (AB179466)

Blocking/Dilution buffer : 5% NFDM/TBST.

ab179466 recognizes 12 isoforms shown as multiple bands ranging from 50 kDa to 110 kDa.

All lanes:

Western blot - Anti-PML Protein antibody [EPR16792] (ab179466) at 1/2000 dilution

Lane 1:

Human fetal brain lysate at 10 µg

Lane 2:

Human fetal heart lysate at 10 µg

Lane 3:

Human fetal kidney lysate at 10 µg

Secondary

All lanes:

Anti-Rabbit IgG (HRP), specific to the non-reduced form of IgG at 1/1000 dilution

Predicted band size: 98 kDa

Observed band size: 50-110 kDa

false

Western blot - Anti-PML Protein antibody [EPR16792] (AB179466)
  • WB

Supplier Data

Western blot - Anti-PML Protein antibody [EPR16792] (AB179466)

Blocking/Dilution buffer : 5% NFDM/TBST.

ab179466 recognizes 12 isoforms shown as multiple bands ranging from 50 kDa to 110 kDa.

All lanes:

Western blot - Anti-PML Protein antibody [EPR16792] (ab179466) at 1/20000 dilution

Lane 1:

293T (Human epithelial cells from embryonic kidney) whole cell lysate at 20 µg

Lane 2:

K562 (Human chronic myelogenous leukemia cells from bone marrow) whole cell lysate at 20 µg

Lane 3:

HeLa (Human epithelial cells from cervix adenocarcinoma) whole cell lysate at 20 µg

Lane 4:

A549 (Human lung carcinoma) whole cell lysate at 20 µg

Secondary

All lanes:

Goat Anti-Rabbit IgG, (H+L),Peroxidase conjugated at 1/1000 dilution

Predicted band size: 98 kDa

Observed band size: 50-110 kDa

false

Western blot - Anti-PML Protein antibody [EPR16792] (AB179466)
  • WB

Unknown

Western blot - Anti-PML Protein antibody [EPR16792] (AB179466)

Lanes 1-3 : Merged signal (red and green). Green - ab179466 observed at 50-110 kDa. Red - loading control, ab8245 observed at 37 kDa.

ab179466 Anti-PML Protein antibody [EPR16792] was shown to specifically react with PML Protein in wild-type HeLa cells. Loss of signal was observed when knockout cell line ab261811 (knockout cell lysate ab257081) was used. Wild-type and PML Protein knockout samples were subjected to SDS-PAGE. ab179466 and Anti-GAPDH antibody [6C5] - Loading Control (ab8245) were incubated overnight at 4°C at 1 in 1000 dilution and 1 in 20000 dilution respectively. Blots were developed with Goat anti-Rabbit IgG H&L (IRDye® 800CW) preadsorbed (ab216773) and Goat anti-Mouse IgG H&L (IRDye® 680RD) preadsorbed (ab216776) secondary antibodies at 1 in 10000 dilution for 1 hour at room temperature before imaging.

All lanes:

Western blot - Anti-PML Protein antibody [EPR16792] (ab179466) at 1/1000 dilution

Lane 1:

Wild-type HeLa cell lysate at 20 µg

Lane 2:

PML knockout HeLa cell lysate at 20 µg

Lane 3:

293T cell lysate at 20 µg

Predicted band size: 98 kDa

Observed band size: 50-110 kDa

false

Western blot - Anti-PML Protein antibody [EPR16792] (AB179466)
  • WB

Lab

Western blot - Anti-PML Protein antibody [EPR16792] (AB179466)

Lanes 1 - 2 : Merged signal (red and green). Green - ab179466 observed at 110 kDa. Red - loading control ab7291 (Mouse anti-Alpha Tubulin [DM1A]) observed at 55kDa.

ab179466 was shown to react with PML in A549 wild-type cells in western blot with loss of signal observed in PML knockout cell line ab266980 (PML knockout cell lysate ab257082). Wild-type and PML knockout A549 cell lysates were subjected to SDS-PAGE. Membranes were blocked in 3% Milk before incubation with ab179466 and ab7291 (Mouse anti-Alpha Tubulin [DM1A]) overnight at 4 °C at a 1 in 1000 dilution and a 1 in 20000 dilution respectively. Blots were incubated with Goat anti-Rabbit IgG H&L (IRDye® 800CW) preabsorbed (ab216773) and Goat anti-Mouse IgG H&L (IRDye® 680RD) preabsorbed (ab216776) secondary antibodies at 1 in 20000 dilution for 1 h at room temperature before imaging.

All lanes:

Western blot - Anti-PML Protein antibody [EPR16792] (ab179466) at 1/1000 dilution

Lane 1:

Wild-type A549 cell lysate at 20 µg

Lane 2:

PML knockout A549 cell lysate at 20 µg

Lane 2:

Western blot - Human PML (PML Protein) knockout A549 cell line (<a href='/products/cell-lines/human-pml-pml-protein-knockout-a549-cell-line-ab266980'>ab266980</a>)

Secondary

All lanes:

Goat anti-Rabbit IgG H&L (IRDye® 800CW) preabsorbed (<a href='/products/secondary-antibodies/goat-rabbit-igg-h-l-irdye-800cw-preadsorbed-ab216773'>ab216773</a>) and Goat anti-Mouse IgG H&L (IRDye® 680RD) preabsorbed (<a href='/products/secondary-antibodies/goat-mouse-igg-h-l-irdye-680rd-preadsorbed-ab216776'>ab216776</a>) at 1/20000 dilution

Predicted band size: 98 kDa

Observed band size: 110 kDa

false

不同偶联物与剂型 (1)

  • Carrier free

    Anti-PML Protein antibody [EPR16792] - BSA and Azide free

关键信息

宿主种属

Rabbit

克隆

Monoclonal

克隆号

EPR16792

亚型

IgG

不含载体蛋白

No

反应种属

Human

应用

IHC-P, IP, WB, ICC/IF

applications

免疫原

The exact immunogen used to generate this antibody is proprietary information.

反应性数据

{ "title": "Reactivity Data", "filters": { "stats": ["", "Species", "Dilution Info", "Notes"], "tabs": { "all-applications": {"fullname" : "All Applications", "shortname": "All Applications"}, "IP" : {"fullname" : "Immunoprecipitation", "shortname":"IP"}, "WB" : {"fullname" : "Western blot", "shortname":"WB"}, "ICCIF" : {"fullname" : "Immunocytochemistry/ Immunofluorescence", "shortname":"ICC/IF"}, "IHCP" : {"fullname" : "Immunohistochemistry (Formalin/PFA-fixed paraffin-embedded sections)", "shortname":"IHC-P"} }, "product-promise": { "all": "all", "testedAndGuaranteed": "tested", "guaranteed": "expected", "predicted": "predicted", "notRecommended": "not-recommended" } }, "values": { "Human": { "IP-species-checked": "testedAndGuaranteed", "IP-species-dilution-info": "1/70", "IP-species-notes": "<p></p>", "WB-species-checked": "testedAndGuaranteed", "WB-species-dilution-info": "1/1000 - 1/2000", "WB-species-notes": "<p></p>", "ICCIF-species-checked": "testedAndGuaranteed", "ICCIF-species-dilution-info": "1/500", "ICCIF-species-notes": "<p></p>", "IHCP-species-checked": "testedAndGuaranteed", "IHCP-species-dilution-info": "1/2000", "IHCP-species-notes": "<p></p> Perform heat-mediated antigen retrieval with Tris/EDTA buffer pH 9.0 before commencing with IHC staining protocol." } } }

产品详情

What is this antibody validated in?
Anti-PML Protein antibody [EPR16792] (ab179466) is a rabbit recombinant monoclonal antibody and is validated for use in Western Blot (WB), Immunoprecipitation (IP), Immunohistochemistry (IHC-P), Immunocytochemistry/immunofluorescence (ICC/IF) in Human samples.

What is the molecular weight of PML Protein?
Anti-PML Protein [EPR16792] (ab179466) specifically detects a band for PML Protein (UniProt: P29590) at a molecular weight of 98kDa.

Trusted by the scientific community
Anti-PML Protein [EPR16792] (ab179466) was first used in a scientific publication in 2014 and has been cited over 10 times in peer-reviewed journals.

Reviewed by scientists
Anti-PML Protein [EPR16792] (ab179466) has over 5 independent reviews from customers.

Trial sizes available!
Test your antibody or perform pre-screening before committing to a larger quantity. Sold in 10µl. Discover our selection of trial-size antibodies.

Specificity confirmed
The specificity of Anti-PML Protein antibody [EPR16792] (ab179466) has been confirmed by Western blot testing in PML Knockout HAP1 cells.

Other related products
We have a range of other formats of antibody clone [EPR16792] also available for your convenience: ab179466, Carrier free - ab240213

Patented technology
Our RabMAb® technology is a patented hybridoma-based technology for making rabbit monoclonal antibodies. For details on our patents, please refer to RabMAb® patents.

What are the advantages of a recombinant monoclonal antibody?
This product is a recombinant monoclonal antibody, which offers several advantages including:

  • - High batch-to-batch consistency and reproducibility
  • - Improved sensitivity and specificity
  • - Long-term security of supply
  • - Animal-free batch production

For more information, read more on recombinant antibodies.

性能和储存信息

形式
Liquid
纯化工艺
Affinity purification Protein A
存储溶液
Preservative: 0.01% Sodium azide Constituents: PBS, 40% Glycerol (glycerin, glycerine), 0.05% BSA
运输条件
Blue Ice
推荐的短期储存时间
1-2 weeks
推荐的短期储存条件
+4°C
推荐的长期储存条件
-20°C
分装信息
Upon delivery aliquot
储存信息
Avoid freeze / thaw cycle

补充信息

This supplementary information is collated from multiple sources and compiled automatically.

The PML protein also known as promyelocytic leukemia protein has a mass of about 97 kilodaltons. PML is typically expressed in the nucleus in distinct structures called nuclear bodies. These nuclear bodies often referred to as PML-nuclear bodies or PML-NBs serve several functions within the cell. The PML protein is commonly identified in tissues such as the bone marrow and blood cells where it plays a significant role in various cellular processes. Numerous antibodies including anti-PML are used to study the distribution and function of PML protein in different cellular contexts.
Biological function summary

The PML protein interacts with various molecular partners and forms a part of multiprotein complexes within the PML-nuclear bodies. Its functions include the regulation of transcription induction of apoptosis DNA damage response and control of cell proliferation. PML can recruit other proteins such as p53 a tumor suppressor protein to influence these cellular activities. PML's ability to act as a scaffold within these complexes makes it essential for maintaining cellular homeostasis and response to stress. Various techniques such as PML protein ELISA are used to analyze PML-related biological activities.

Pathways

The PML protein plays a significant role in critical cellular pathways such as apoptosis and the interferon response pathway. PML's interaction with the p53 protein links it to the apoptosis pathway where it acts as an inducer of cell death in response to cellular stress and damage. In the interferon response pathway PML contributes to antiviral defense mechanisms. The involvement of PML in these pathways emphasizes its importance in cellular defense and programmed cell death. Related proteins like STATs (signal transducers and activators of transcription) are known to interact with PML in these pathways.

Abnormalities in PML protein expression and function are linked to specific diseases including acute promyelocytic leukemia (APL) and certain types of cancer. Acute promyelocytic leukemia is characterized by a translocation involving the PML gene resulting in the PML-RARα fusion protein which interferes with normal cell differentiation. PML also relates to neurodegenerative disorders where changes in PML expression impact cellular stress responses. In the context of these diseases the PML protein's interaction with oncogenic proteins like RARα in leukemia highlights its role in disease development and potential as a therapeutic target.

产品实验方案

For this product, it's our understanding that no specific protocols are required. You can visit:

靶点信息

Functions via its association with PML-nuclear bodies (PML-NBs) in a wide range of important cellular processes, including tumor suppression, transcriptional regulation, apoptosis, senescence, DNA damage response, and viral defense mechanisms. Acts as the scaffold of PML-NBs allowing other proteins to shuttle in and out, a process which is regulated by SUMO-mediated modifications and interactions. Inhibits EIF4E-mediated mRNA nuclear export by reducing EIF4E affinity for the 5' 7-methylguanosine (m7G) cap of target mRNAs (PubMed : 11500381, PubMed : 11575918, PubMed : 18391071). Isoform PML-4 has a multifaceted role in the regulation of apoptosis and growth suppression : activates RB1 and inhibits AKT1 via interactions with PP1 and PP2A phosphatases respectively, negatively affects the PI3K pathway by inhibiting MTOR and activating PTEN, and positively regulates p53/TP53 by acting at different levels (by promoting its acetylation and phosphorylation and by inhibiting its MDM2-dependent degradation). Isoform PML-4 also : acts as a transcriptional repressor of TBX2 during cellular senescence and the repression is dependent on a functional RBL2/E2F4 repressor complex, regulates double-strand break repair in gamma-irradiation-induced DNA damage responses via its interaction with WRN, acts as a negative regulator of telomerase by interacting with TERT, and regulates PER2 nuclear localization and circadian function. Isoform PML-6 inhibits specifically the activity of the tetrameric form of PKM. The nuclear isoforms (isoform PML-1, isoform PML-2, isoform PML-3, isoform PML-4 and isoform PML-5) in concert with SATB1 are involved in local chromatin-loop remodeling and gene expression regulation at the MHC-I locus. Isoform PML-2 is required for efficient IFN-gamma induced MHC II gene transcription via regulation of CIITA. Cytoplasmic PML is involved in the regulation of the TGF-beta signaling pathway. PML also regulates transcription activity of ELF4 and can act as an important mediator for TNF-alpha- and IFN-alpha-mediated inhibition of endothelial cell network formation and migration.. Exhibits antiviral activity against both DNA and RNA viruses. The antiviral activity can involve one or several isoform(s) and can be enhanced by the permanent PML-NB-associated protein DAXX or by the recruitment of p53/TP53 within these structures. Isoform PML-4 restricts varicella zoster virus (VZV) via sequestration of virion capsids in PML-NBs thereby preventing their nuclear egress and inhibiting formation of infectious virus particles. The sumoylated isoform PML-4 restricts rabies virus by inhibiting viral mRNA and protein synthesis. The cytoplasmic isoform PML-14 can restrict herpes simplex virus-1 (HHV-1) replication by sequestering the viral E3 ubiquitin-protein ligase ICP0 in the cytoplasm. Isoform PML-6 shows restriction activity towards human cytomegalovirus (HHV-5) and influenza A virus strains PR8(H1N1) and ST364(H3N2). Sumoylated isoform PML-4 and isoform PML-12 show antiviral activity against encephalomyocarditis virus (EMCV) by promoting nuclear sequestration of viral polymerase (P3D-POL) within PML NBs. Isoform PML-3 exhibits antiviral activity against poliovirus by inducing apoptosis in infected cells through the recruitment and the activation of p53/TP53 in the PML-NBs. Isoform PML-3 represses human foamy virus (HFV) transcription by complexing the HFV transactivator, bel1/tas, preventing its binding to viral DNA. PML may positively regulate infectious hepatitis C viral (HCV) production and isoform PML-2 may enhance adenovirus transcription. Functions as an E3 SUMO-protein ligase that sumoylates (HHV-5) immediate early protein IE1, thereby participating in the antiviral response (PubMed : 20972456, PubMed : 28250117). Isoforms PML-3 and PML-6 display the highest levels of sumoylation activity (PubMed : 20972456, PubMed : 28250117).
See full target information PML

文献 (25)

Recent publications for all applications. Explore the full list and refine your search

Immunity, inflammation and disease 13:e70170 PubMed40084946

2025

Ferroptosis-Related Genes Are Effective Markers for Diagnostic Targets of Crohn's Disease.

Applications

Unspecified application

Species

Unspecified reactive species

Pengfei Liu,Qing Liu,Ye Tian,Pengpeng Cai,Jianan Bai

International journal of stem cells 18:146-157 PubMed40059075

2025

PML Regulated HIF1AN Ubiquitination and Activated PI3K/AKT Pathway to Promote Bone Marrow Mesenchymal Stem Cells Osteogenic Differentiation.

Applications

Unspecified application

Species

Unspecified reactive species

Xian-Pei Zhou,Qi-Wei Li,Zi-Zhen Shu,Yang Liu

Nucleic acids research 52:5756-5773 PubMed38587189

2024

Disruption of G-quadruplex dynamicity by BRCA2 abrogation instigates phase separation and break-induced replication at telomeres.

Applications

Unspecified application

Species

Unspecified reactive species

Jennifer J Lee,Hyungmin Kim,Haemin Park,UkJin Lee,Chaelim Kim,Min Lee,Yongdae Shin,Ji-Jung Jung,Han-Byoel Lee,Wonshik Han,Hyunsook Lee

Nucleic acids research 52:2273-2289 PubMed38118002

2023

Histone lactylation-boosted ALKBH3 potentiates tumor progression and diminished promyelocytic leukemia protein nuclear condensates by m1A demethylation of SP100A.

Applications

Unspecified application

Species

Unspecified reactive species

Xiang Gu,Ai Zhuang,Jie Yu,Ludi Yang,Shengfang Ge,Jing Ruan,Renbing Jia,Xianqun Fan,Peiwei Chai

Cell proliferation 57:e13566 PubMed37864298

2023

PML-mediated nuclear loosening permits immunomodulation of mesenchymal stem/stromal cells under inflammatory conditions.

Applications

Unspecified application

Species

Unspecified reactive species

Yunpeng Chu,Zishan Jiang,Zheng Gong,Xiaocao Ji,Mengting Zhu,Qianwen Shang,Pixia Gong,Lijuan Cao,Yongjing Chen,Peishan Li,Changshun Shao,Yufang Shi

Journal of virology 97:e0072223 PubMed37754761

2023

Novel non-HAP class A HBV capsid assembly modulators have distinct and profiles.

Applications

Unspecified application

Species

Unspecified reactive species

Hannah Vanrusselt,Dieudonné Buh Kum,Valerio Taverniti,Cheng Liu,Abel Acosta Sanchez,Nikky Corthout,Sebastian Munck,Thomas F Baumert,Leonid Beigelman,Lawrence M Blatt,Julian A Symons,Jerome Deval,Pierre Raboisson,Eloi R Verrier,Andreas Jekle,Sandrine Vendeville,Yannick Debing

Cell death discovery 9:248 PubMed37454169

2023

Loss of PML nuclear bodies in familial amyotrophic lateral sclerosis-frontotemporal dementia.

Applications

Unspecified application

Species

Unspecified reactive species

Francesco Antoniani,Marco Cimino,Laura Mediani,Jonathan Vinet,Enza M Verde,Valentina Secco,Alfred Yamoah,Priyanka Tripathi,Eleonora Aronica,Maria E Cicardi,Davide Trotti,Jared Sterneckert,Anand Goswami,Serena Carra

Journal of virology 97:e0032823 PubMed37338350

2023

SLF2 Interacts with the SMC5/6 Complex to Direct Hepatitis B Virus Episomal DNA to Promyelocytic Leukemia Bodies for Transcriptional Repression.

Applications

Unspecified application

Species

Unspecified reactive species

Qiyan Yao,Bo Peng,Cong Li,Xuelei Li,Mingyi Chen,Zhongmin Zhou,Dingbin Tang,Jiabei He,Yumeng Wu,Yinyan Sun,Wenhui Li

Microbiology spectrum 11:e0037823 PubMed37022178

2023

SARS-CoV-2 Inhibits NRF2-Mediated Antioxidant Responses in Airway Epithelial Cells and in the Lung of a Murine Model of Infection.

Applications

Unspecified application

Species

Unspecified reactive species

Yue Qu,Aline Haas de Mello,Dorothea R Morris,Yava L Jones-Hall,Teodora Ivanciuc,Rachel A Sattler,Slobodan Paessler,Vineet D Menachery,Roberto P Garofalo,Antonella Casola

Cell death & disease 13:1042 PubMed36522328

2022

Filamentous nuclear actin regulation of PML NBs during the DNA damage response is deregulated by prelamin A.

Applications

Unspecified application

Species

Unspecified reactive species

Andrew M Cobb,Shanelle A De Silva,Robert Hayward,Karolina Sek,Svenja Ulferts,Robert Grosse,Catherine M Shanahan
View all publications

Abcam Product Promise

我们致力于为您的研究提供高质量的试剂,为您科研的每一步提供支持。若我们的产品未能达到预期性能,我们向您提供 Abcam Product Promise 保障。
详情请参阅我们的条款与条件。

Please note: All products are 'FOR RESEARCH USE ONLY. NOT FOR USE IN DIAGNOSTIC OR THERAPEUTIC PROCEDURES'.

For licensing inquiries, please contact partnerships@abcam.com