JavaScript is disabled in your browser. Please enable JavaScript to view this website.
AB305065

重组Anti-Plzf抗体[EPR24830-8] - BSA and Azide free

Anti-Plzf antibody [EPR24830-8] - BSA and Azide free

Be the first to review this product! Submit a review

|

(0 Publication)

Rabbit Recombinant Monoclonal Plzf antibody. Carrier free. Suitable for WB and reacts with Human, Mouse, Rat samples.

查看别名

PLZF, ZNF145, ZBTB16, Zinc finger and BTB domain-containing protein 16, Promyelocytic leukemia zinc finger protein, Zinc finger protein 145, Zinc finger protein PLZF

2 Images
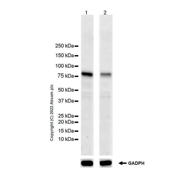
Western blot - Anti-Plzf antibody [EPR24830-8] - BSA and Azide free (AB305065)
  • WB

Supplier Data

Western blot - Anti-Plzf antibody [EPR24830-8] - BSA and Azide free (AB305065)

This data was developed using ab305064, the same antibody clone in a different buffer formulation. Blocking and diluting buffer and concentration : 5% NFDM/TBST

All lanes:

Western blot - Anti-Plzf antibody [EPR24830-8] (<a href='/products/primary-antibodies/plzf-antibody-epr24830-8-ab305064'>ab305064</a>) at 1/1000 dilution

Lane 1:

LNCaP (human prostate carcinoma epithelial cell) transfected with scrambled siRNA control, whole cell lysate at 20 µg

Lane 2:

LNCaP transfected with siRNA specifically targeti Zinc fier and BTB domain-containing protein 16, whole cell lysate at 20 µg

Secondary

All lanes:

Western blot - Goat Anti-Rabbit IgG H&L (HRP) (<a href='/products/secondary-antibodies/goat-rabbit-igg-h-l-hrp-ab97051'>ab97051</a>) at 1/20000 dilution

Predicted band size: 74 kDa

Observed band size: 75 kDa

false

Exposure time: 92s

Western blot - Anti-Plzf antibody [EPR24830-8] - BSA and Azide free (AB305065)
  • WB

Supplier Data

Western blot - Anti-Plzf antibody [EPR24830-8] - BSA and Azide free (AB305065)

This data was developed using ab305064, the same antibody clone in a different buffer formulation. Blocking and diluting buffer and concentration : 5% NFDM/TBST Lysates were freshly made and used immediately to minimize protein degradation. Samples are non-boiled as boiling may cause protein aggregation.

All lanes:

Western blot - Anti-Plzf antibody [EPR24830-8] (<a href='/products/primary-antibodies/plzf-antibody-epr24830-8-ab305064'>ab305064</a>) at 1/1000 dilution

Lane 1:

HeLa (human cervix adenocarcinoma epithelial cell), whole cell lysate at 20 µg

Lane 2:

293T (human embryonic kidney epithelial cell), whole cell lysate at 20 µg

Lane 3:

NIH/3T3 (mouse embryonic fibroblast), whole cell lysate at 20 µg

Lane 4:

PC-12 (rat adrenal gland pheochromocytoma), whole cell lysate at 20 µg

Secondary

All lanes:

Western blot - Goat Anti-Rabbit IgG H&L (HRP) (<a href='/products/secondary-antibodies/goat-rabbit-igg-h-l-hrp-ab97051'>ab97051</a>) at 1/20000 dilution

Predicted band size: 74 kDa

Observed band size: 75 kDa

false

Exposure time: 3min

不同偶联物与剂型 (1)

关键信息

宿主种属

Rabbit

克隆

Monoclonal

克隆号

EPR24830-8

亚型

IgG

不含载体蛋白

Yes

反应种属

Human, Mouse, Rat

应用

WB

applications

免疫原

The exact immunogen used to generate this antibody is proprietary information.

反应性数据

{ "title": "Reactivity Data", "filters": { "stats": ["", "Species", "Dilution Info", "Notes"], "tabs": { "all-applications": {"fullname" : "All Applications", "shortname": "All Applications"}, "WB" : {"fullname" : "Western blot", "shortname":"WB"}, "IHCP" : {"fullname" : "Immunohistochemistry (Formalin/PFA-fixed paraffin-embedded sections)", "shortname":"IHC-P"}, "ICCIF" : {"fullname" : "Immunocytochemistry/ Immunofluorescence", "shortname":"ICC/IF"}, "FlowCytIntra" : {"fullname" : "Flow Cytometry (Intracellular)", "shortname":"Flow Cyt (Intra)"}, "IP" : {"fullname" : "Immunoprecipitation", "shortname":"IP"}, "ChIP" : {"fullname" : "ChIP", "shortname":"ChIP"} }, "product-promise": { "all": "all", "testedAndGuaranteed": "tested", "guaranteed": "expected", "predicted": "predicted", "notRecommended": "not-recommended" } }, "values": { "Human": { "WB-species-checked": "testedAndGuaranteed", "WB-species-dilution-info": "", "WB-species-notes": "<p></p>", "IHCP-species-checked": "notRecommended", "IHCP-species-dilution-info": "", "IHCP-species-notes": "<p></p>", "ICCIF-species-checked": "notRecommended", "ICCIF-species-dilution-info": "", "ICCIF-species-notes": "<p></p>", "FlowCytIntra-species-checked": "notRecommended", "FlowCytIntra-species-dilution-info": "", "FlowCytIntra-species-notes": "<p></p>", "IP-species-checked": "notRecommended", "IP-species-dilution-info": "", "IP-species-notes": "<p></p>", "ChIP-species-checked": "notRecommended", "ChIP-species-dilution-info": "", "ChIP-species-notes": "<p></p>" }, "Mouse": { "WB-species-checked": "testedAndGuaranteed", "WB-species-dilution-info": "", "WB-species-notes": "<p></p>", "IHCP-species-checked": "notRecommended", "IHCP-species-dilution-info": "", "IHCP-species-notes": "<p></p>", "ICCIF-species-checked": "notRecommended", "ICCIF-species-dilution-info": "", "ICCIF-species-notes": "<p></p>", "FlowCytIntra-species-checked": "notRecommended", "FlowCytIntra-species-dilution-info": "", "FlowCytIntra-species-notes": "<p></p>", "IP-species-checked": "notRecommended", "IP-species-dilution-info": "", "IP-species-notes": "<p></p>", "ChIP-species-checked": "notRecommended", "ChIP-species-dilution-info": "", "ChIP-species-notes": "" }, "Rat": { "WB-species-checked": "testedAndGuaranteed", "WB-species-dilution-info": "", "WB-species-notes": "<p></p>", "IHCP-species-checked": "notRecommended", "IHCP-species-dilution-info": "", "IHCP-species-notes": "<p></p>", "ICCIF-species-checked": "notRecommended", "ICCIF-species-dilution-info": "", "ICCIF-species-notes": "", "FlowCytIntra-species-checked": "notRecommended", "FlowCytIntra-species-dilution-info": "", "FlowCytIntra-species-notes": "", "IP-species-checked": "notRecommended", "IP-species-dilution-info": "", "IP-species-notes": "", "ChIP-species-checked": "notRecommended", "ChIP-species-dilution-info": "", "ChIP-species-notes": "" } } }

产品详情

Patented technology
Our RabMAb® technology is a patented hybridoma-based technology for making rabbit monoclonal antibodies. For details on our patents, please refer to RabMAb® patents.

What are the advantages of a recombinant monoclonal antibody?
This product is a recombinant monoclonal antibody, which offers several advantages including:

  • - High batch-to-batch consistency and reproducibility
  • - Improved sensitivity and specificity
  • - Long-term security of supply
  • - Animal-free batch production

For more information, read more on recombinant antibodies.

Conjugation ready
Our carrier-free antibodies are typically supplied in a PBS-only formulation, purified and free of BSA, sodium azide and glycerol. This conjugation-ready format is designed for use with fluorochromes, metal isotopes, oligonucleotides, and enzymes, which makes them ideal for antibody labelling, functional and cell-based assays, flow-based assays (e.g. mass cytometry) and Multiplex Imaging applications.

Use our conjugation kits for antibody conjugates that are ready-to-use in as little as 20 minutes with 1 minute hands-on-time and 100% antibody recovery: available for fluorescent dyes, HRP, biotin and gold.

Compatibility
This product is compatible with the Maxpar® Antibody Labeling Kit from Fluidigm, without the need for antibody preparation. Maxpar® is a trademark of Fluidigm Canada Inc.

性能和储存信息

形式
Liquid
纯化工艺
Affinity purification Protein A
存储溶液
pH: 7.2 - 7.4 Constituents: PBS
运输条件
Blue Ice
推荐的短期储存条件
+4°C
推荐的长期储存条件
+4°C

补充信息

This supplementary information is collated from multiple sources and compiled automatically.

Plzf also known as promyelocytic leukemia zinc finger protein is a transcriptional repressor critical for its mechanical role in gene regulation. It has a mass of approximately 75 kDa. PLZF shows presence in various tissues notably in hematopoietic stem cells testis and certain neural tissues. It functions by binding to specific DNA sequences influencing transcriptional activity. This protein is part of the large BTB/POZ zinc finger family and it plays an engaged role in chromatin remodeling.
Biological function summary

Plzf helps regulate cell differentiation proliferation and self-renewal. Plzf works within several complexes to control gene expression in hematopoietic and germline stem cells. Through these activities it maintains stem cell quiescence and properly times cell differentiation. Plzf impacts neural crest cell fate during embryogenesis and participates in spermatogonia renewal. This involvement in various cellular processes makes it an important protein for development and stem cell biology.

Pathways

Plzf plays a role in pathways such as the Notch signaling and retinoic acid receptor pathways. Within these pathways Plzf interacts with proteins like RAR (retinoic acid receptor) and Hes-1. These interactions affect transcriptional responses that balance stem cell maintenance and differentiation. Plzf's presence in these pathways underlines its importance in controlling genetic programs associated with development and cellular growth.

Plzf associates closely with acute promyelocytic leukemia (APL) and spermatogenic failure. In APL a specific translocation involving the PLZF gene and the retinoic acid receptor alpha (RARA) gene leads to an oncogenic fusion protein disrupting normal myeloid differentiation. This disruption contributes directly to leukemia pathogenesis. In spermatogenic failure abnormal expression or mutation of Plzf impacts testicular function leading to infertility. Studies examine these connections to understand potential therapeutic targets and treatment strategies.

产品实验方案

For this product, it's our understanding that no specific protocols are required. You can visit:

靶点信息

Acts as a transcriptional repressor (PubMed : 10688654, PubMed : 24359566). Transcriptional repression may be mediated through recruitment of histone deacetylases to target promoters (PubMed : 10688654). May play a role in myeloid maturation and in the development and/or maintenance of other differentiated tissues. Probable substrate-recognition component of an E3 ubiquitin-protein ligase complex which mediates the ubiquitination and subsequent proteasomal degradation of target proteins (PubMed : 14528312).
See full target information ZBTB16

Abcam Product Promise

我们致力于为您的研究提供高质量的试剂,为您科研的每一步提供支持。若我们的产品未能达到预期性能,我们向您提供 Abcam Product Promise 保障。
详情请参阅我们的条款与条件。

Please note: All products are 'FOR RESEARCH USE ONLY. NOT FOR USE IN DIAGNOSTIC OR THERAPEUTIC PROCEDURES'.

For licensing inquiries, please contact partnerships@abcam.com