JavaScript is disabled in your browser. Please enable JavaScript to view this website.
AB240130

重组Anti-PLK1 (phospho T210)抗体[EPNCIR167] - BSA and Azide free

Anti-PLK1 (phospho T210) antibody [EPNCIR167] - BSA and Azide free

Be the first to review this product! Submit a review

|

(0 Publication)

Rabbit Recombinant Monoclonal PLK1 phospho T210 antibody. Carrier free. Suitable for Dot, WB, IHC-P and reacts with Human, Mouse samples.

查看别名

PLK, PLK1, Serine/threonine-protein kinase PLK1, Polo-like kinase 1, Serine/threonine-protein kinase 13, PLK-1, STPK13

8 Images
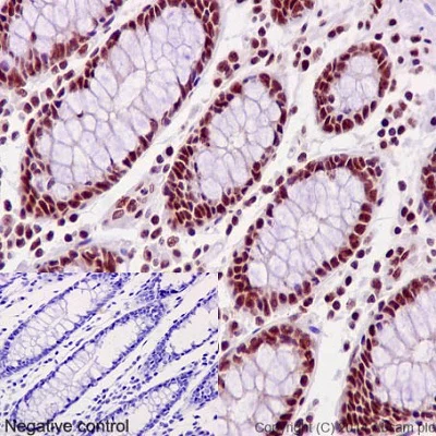
Immunohistochemistry (Formalin/PFA-fixed paraffin-embedded sections) - Anti-PLK1 (phospho T210) antibody [EPNCIR167] - BSA and Azide free (AB240130)
  • IHC-P

Unknown

Immunohistochemistry (Formalin/PFA-fixed paraffin-embedded sections) - Anti-PLK1 (phospho T210) antibody [EPNCIR167] - BSA and Azide free (AB240130)

Immunohistochemical analysis of paraffin-embedded Human colon tissue labeling PLK1 with ab155095, unpurified, at 1/100 dilution.

This data was developed using the same antibody clone in a different buffer formulation containing PBS, BSA, glycerol, and sodium azide (ab155095).

Heat mediated antigen retrieval was performed with Tris/EDTA buffer pH 9.0 before commencing with IHC staining protocol.

Immunohistochemistry (Formalin/PFA-fixed paraffin-embedded sections) - Anti-PLK1 (phospho T210) antibody [EPNCIR167] - BSA and Azide free (AB240130)
  • IHC-P

Unknown

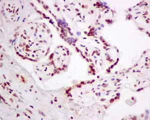
Immunohistochemistry (Formalin/PFA-fixed paraffin-embedded sections) - Anti-PLK1 (phospho T210) antibody [EPNCIR167] - BSA and Azide free (AB240130)

Immunohistochemical analysis of paraffin embedded Human placenta tissue using ab155095, unpurified, showing +ve staining.

This data was developed using the same antibody clone in a different buffer formulation containing PBS, BSA, glycerol, and sodium azide (ab155095).

Heat mediated antigen retrieval was performed with Tris/EDTA buffer pH 9.0 before commencing with IHC staining protocol.

Immunohistochemistry (Formalin/PFA-fixed paraffin-embedded sections) - Anti-PLK1 (phospho T210) antibody [EPNCIR167] - BSA and Azide free (AB240130)
  • IHC-P

Unknown

Immunohistochemistry (Formalin/PFA-fixed paraffin-embedded sections) - Anti-PLK1 (phospho T210) antibody [EPNCIR167] - BSA and Azide free (AB240130)

Immunohistochemical analysis of paraffin embedded Human thyroid gland carcinoma tissue using ab155095, unpurified, showing +ve staining.

This data was developed using the same antibody clone in a different buffer formulation containing PBS, BSA, glycerol, and sodium azide (ab155095).

Heat mediated antigen retrieval was performed with Tris/EDTA buffer pH 9.0 before commencing with IHC staining protocol.

Immunohistochemistry (Formalin/PFA-fixed paraffin-embedded sections) - Anti-PLK1 (phospho T210) antibody [EPNCIR167] - BSA and Azide free (AB240130)
  • IHC-P

Supplier Data

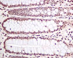
Immunohistochemistry (Formalin/PFA-fixed paraffin-embedded sections) - Anti-PLK1 (phospho T210) antibody [EPNCIR167] - BSA and Azide free (AB240130)

ab155095 staining PLK1 (phospho T210) in Human colon tissue sections by Immunohistochemistry (IHC-P - paraformaldehyde-fixed, paraffin-embedded sections). Tissue was fixed and paraffin-embedded, antigen retrieval was by heat mediation in Tris/EDTA buffer pH9. Samples were incubated with primary antibody (1/500). An undiluted HRP-conjugated  anti-rabbit IgG was used as the secondary antibody. Tissue counterstained with Hematoxylin. PBS was used in the negative control rather than the Primary antibody.

This data was developed using the same antibody clone in a different buffer formulation containing PBS, BSA, glycerol, and sodium azide (ab155095).

Immunohistochemistry (Formalin/PFA-fixed paraffin-embedded sections) - Anti-PLK1 (phospho T210) antibody [EPNCIR167] - BSA and Azide free (AB240130)
  • IHC-P

Unknown

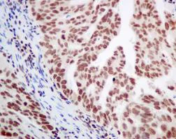
Immunohistochemistry (Formalin/PFA-fixed paraffin-embedded sections) - Anti-PLK1 (phospho T210) antibody [EPNCIR167] - BSA and Azide free (AB240130)

Immunohistochemical analysis of paraffin-embedded Human gastroic carcinoma tissue labeling PLK1 with ab155095, unpurified, at 1/100 dilution.

This data was developed using the same antibody clone in a different buffer formulation containing PBS, BSA, glycerol, and sodium azide (ab155095).

Heat mediated antigen retrieval was performed with Tris/EDTA buffer pH 9.0 before commencing with IHC staining protocol.

Immunohistochemistry (Formalin/PFA-fixed paraffin-embedded sections) - Anti-PLK1 (phospho T210) antibody [EPNCIR167] - BSA and Azide free (AB240130)
  • IHC-P

Unknown

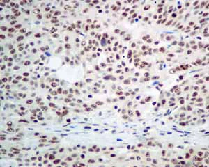
Immunohistochemistry (Formalin/PFA-fixed paraffin-embedded sections) - Anti-PLK1 (phospho T210) antibody [EPNCIR167] - BSA and Azide free (AB240130)

Immunohistochemical analysis of paraffin embedded Human cervical carcinoma tissue using ab155095, unpurified, showing +ve staining.

This data was developed using the same antibody clone in a different buffer formulation containing PBS, BSA, glycerol, and sodium azide (ab155095).

Heat mediated antigen retrieval was performed with Tris/EDTA buffer pH 9.0 before commencing with IHC staining protocol.

Western blot - Anti-PLK1 (phospho T210) antibody [EPNCIR167] - BSA and Azide free (AB240130)
  • WB

Lab

Western blot - Anti-PLK1 (phospho T210) antibody [EPNCIR167] - BSA and Azide free (AB240130)

Blocking buffer and concentration : 5% NFDM/TBST. Diluting buffer and concentration : 5% NFDM/TBST. Exposure Time : Lane 1-2 : 40 seconds, Lane 3 : 3 seconds and Lane 4 : 180 seconds. ab181602 was used as a loading control. This data was developed using the same antibody clone in a different buffer formulation containing PBS, BSA, glycerol, and sodium azide (ab155095).

All lanes:

Western blot - Anti-PLK1 (phospho T210) antibody [EPNCIR167] (<a href='/products/primary-antibodies/plk1-phospho-t210-antibody-epncir167-ab155095'>ab155095</a>) at 1/1000 dilution

Lane 1:

HeLa (Human cervix adenocarcinoma epithelial cell) (RIPA) whole cell lysate at 20 µg

Lane 2:

NIH/3T3 (Mouse embryonic fibroblast) (RIPA) whole cell lysate at 20 µg

Lane 3:

Mouse testis (RIPA) lysate at 20 µg

Lane 4:

Mouse colon (RIPA) lysate at 20 µg

Secondary

All lanes:

Western blot - Goat Anti-Rabbit IgG H&L (HRP) (<a href='/products/secondary-antibodies/goat-rabbit-igg-h-l-hrp-ab97051'>ab97051</a>) at 1/20000 dilution

Predicted band size: 68 kDa

Observed band size: 68 kDa

false

Dot Blot - Anti-PLK1 (phospho T210) antibody [EPNCIR167] - BSA and Azide free (AB240130)
  • Dot

Lab

Dot Blot - Anti-PLK1 (phospho T210) antibody [EPNCIR167] - BSA and Azide free (AB240130)

Anti-PLK1 (phospho T210) antibody [EPNCIR167] (ab155095) Dot Blot. Primary ab dilution 1 : 1000,  Secondary ab description and code (ab id)Goat Anti-Rabbit IgG, (H+L), Peroxidase conjugated (ab97051), Secondary ab dilution 1 : 100,000. Blocking buffer and concentration 5% NFDM/TBST, Diluting buffer and concentration 5% NFDM /TBST. Lane 1 : PLK1 (pT210) phospho peptide, Lane 2 : PLK1 non-phospho peptide, Exposure time 10 seconds. Note : antibody used for ab155095 is purified batch.

This data was developed using the same antibody clone in a different buffer formulation containing PBS, BSA, glycerol, and sodium azide (ab155095).

不同偶联物与剂型 (8)

  • Unconjugated

    Anti-PLK1 (phospho T210) antibody [EPNCIR167]

  • 565 Alexa Fluor® 555

    Alexa Fluor® 555 Anti-PLK1 (phospho T210) antibody [EPNCIR167]

  • 578 PE

    PE Anti-PLK1 (phospho T210) antibody [EPNCIR167]

  • 617 Alexa Fluor® 594

    Alexa Fluor® 594 Anti-PLK1 (phospho T210) antibody [EPNCIR167]

  • 665 Alexa Fluor® 647

    Alexa Fluor® 647 Anti-PLK1 (phospho T210) antibody [EPNCIR167]

  • 519 Alexa Fluor® 488

    Alexa Fluor® 488 Anti-PLK1 (phospho T210) antibody [EPNCIR167]

  • 660 APC

    APC Anti-PLK1 (phospho T210) antibody [EPNCIR167]

  • 775 Alexa Fluor® 750

    Alexa Fluor® 750 Anti-PLK1 (phospho T210) antibody [EPNCIR167]

关键信息

宿主种属

Rabbit

克隆

Monoclonal

克隆号

EPNCIR167

亚型

IgG

不含载体蛋白

Yes

反应种属

Mouse, Human

应用

WB, Dot, IHC-P

applications

免疫原

The exact immunogen used to generate this antibody is proprietary information.

反应性数据

{ "title": "Reactivity Data", "filters": { "stats": ["", "Species", "Dilution Info", "Notes"], "tabs": { "all-applications": {"fullname" : "All Applications", "shortname": "All Applications"}, "Dot" : {"fullname" : "Dot Blot", "shortname":"Dot"}, "WB" : {"fullname" : "Western blot", "shortname":"WB"}, "IHCP" : {"fullname" : "Immunohistochemistry (Formalin/PFA-fixed paraffin-embedded sections)", "shortname":"IHC-P"} }, "product-promise": { "all": "all", "testedAndGuaranteed": "tested", "guaranteed": "expected", "predicted": "predicted", "notRecommended": "not-recommended" } }, "values": { "Human": { "Dot-species-checked": "testedAndGuaranteed", "Dot-species-dilution-info": "", "Dot-species-notes": "<p></p>", "WB-species-checked": "testedAndGuaranteed", "WB-species-dilution-info": "", "WB-species-notes": "<p></p>", "IHCP-species-checked": "testedAndGuaranteed", "IHCP-species-dilution-info": "", "IHCP-species-notes": "<p></p>" }, "Mouse": { "Dot-species-checked": "guaranteed", "Dot-species-dilution-info": "", "Dot-species-notes": "", "WB-species-checked": "testedAndGuaranteed", "WB-species-dilution-info": "", "WB-species-notes": "<p></p>", "IHCP-species-checked": "guaranteed", "IHCP-species-dilution-info": "", "IHCP-species-notes": "" } } }

产品详情

ab240130 is the carrier-free version of ab155095.

This antibody was developed as part of a collaboration between the National Cancer Institute's Center for Cancer Research and the lab of Kyung Lee.

Patented technology
Our RabMAb® technology is a patented hybridoma-based technology for making rabbit monoclonal antibodies. For details on our patents, please refer to RabMAb® patents.

What are the advantages of a recombinant monoclonal antibody?
This product is a recombinant monoclonal antibody, which offers several advantages including:

  • - High batch-to-batch consistency and reproducibility
  • - Improved sensitivity and specificity
  • - Long-term security of supply
  • - Animal-free batch production

For more information, read more on recombinant antibodies.

Species reactivity
Rat: We have preliminary internal testing data to indicate this antibody may not react with this species.
Please contact us for more information.

Conjugation ready
Our carrier-free antibodies are typically supplied in a PBS-only formulation, purified and free of BSA, sodium azide and glycerol. This conjugation-ready format is designed for use with fluorochromes, metal isotopes, oligonucleotides, and enzymes, which makes them ideal for antibody labelling, functional and cell-based assays, flow-based assays (e.g. mass cytometry) and Multiplex Imaging applications.

Use our conjugation kits for antibody conjugates that are ready-to-use in as little as 20 minutes with 1 minute hands-on-time and 100% antibody recovery: available for fluorescent dyes, HRP, biotin and gold.

Compatibility
This product is compatible with the Maxpar® Antibody Labeling Kit from Fluidigm, without the need for antibody preparation. Maxpar® is a trademark of Fluidigm Canada Inc.

性能和储存信息

形式
Liquid
纯化工艺
Affinity purification Protein A
存储溶液
pH: 7.2 - 7.4 Constituents: PBS
运输条件
Blue Ice
推荐的短期储存条件
+4°C
推荐的长期储存条件
+4°C
储存信息
Do Not Freeze

产品实验方案

For this product, it's our understanding that no specific protocols are required. You can visit:

靶点信息

Serine/threonine-protein kinase that performs several important functions throughout M phase of the cell cycle, including the regulation of centrosome maturation and spindle assembly, the removal of cohesins from chromosome arms, the inactivation of anaphase-promoting complex/cyclosome (APC/C) inhibitors, and the regulation of mitotic exit and cytokinesis (PubMed : 11202906, PubMed : 12207013, PubMed : 12447691, PubMed : 12524548, PubMed : 12738781, PubMed : 12852856, PubMed : 12939256, PubMed : 14532005, PubMed : 14734534, PubMed : 15070733, PubMed : 15148369, PubMed : 15469984, PubMed : 16198290, PubMed : 16247472, PubMed : 16980960, PubMed : 17081991, PubMed : 17351640, PubMed : 17376779, PubMed : 17617734, PubMed : 18174154, PubMed : 18331714, PubMed : 18418051, PubMed : 18477460, PubMed : 18521620, PubMed : 18615013, PubMed : 19160488, PubMed : 19351716, PubMed : 19468300, PubMed : 19468302, PubMed : 19473992, PubMed : 19509060, PubMed : 19597481, PubMed : 23455478, PubMed : 23509069, PubMed : 28512243, PubMed : 8991084). Polo-like kinase proteins act by binding and phosphorylating proteins that are already phosphorylated on a specific motif recognized by the POLO box domains (PubMed : 11202906, PubMed : 12207013, PubMed : 12447691, PubMed : 12524548, PubMed : 12738781, PubMed : 12852856, PubMed : 12939256, PubMed : 14532005, PubMed : 14734534, PubMed : 15070733, PubMed : 15148369, PubMed : 15469984, PubMed : 16198290, PubMed : 16247472, PubMed : 16980960, PubMed : 17081991, PubMed : 17351640, PubMed : 17376779, PubMed : 17617734, PubMed : 18174154, PubMed : 18331714, PubMed : 18418051, PubMed : 18477460, PubMed : 18521620, PubMed : 18615013, PubMed : 19160488, PubMed : 19351716, PubMed : 19468300, PubMed : 19468302, PubMed : 19473992, PubMed : 19509060, PubMed : 19597481, PubMed : 23455478, PubMed : 23509069, PubMed : 28512243, PubMed : 8991084). Phosphorylates BORA, BUB1B/BUBR1, CCNB1, CDC25C, CEP55, ECT2, ERCC6L, FBXO5/EMI1, FOXM1, KIF20A/MKLP2, CENPU, NEDD1, NINL, NPM1, NUDC, PKMYT1/MYT1, KIZ, MRE11, PPP1R12A/MYPT1, POLQ, PRC1, RACGAP1/CYK4, RAD51, RHNO1, SGO1, STAG2/SA2, TEX14, TOPORS, p73/TP73, TPT1, WEE1 and HNRNPU (PubMed : 11202906, PubMed : 12207013, PubMed : 12447691, PubMed : 12524548, PubMed : 12738781, PubMed : 12852856, PubMed : 12939256, PubMed : 14532005, PubMed : 14734534, PubMed : 15070733, PubMed : 15148369, PubMed : 15469984, PubMed : 16198290, PubMed : 16247472, PubMed : 16980960, PubMed : 17081991, PubMed : 17218258, PubMed : 17351640, PubMed : 17376779, PubMed : 17617734, PubMed : 18174154, PubMed : 18331714, PubMed : 18418051, PubMed : 18477460, PubMed : 18521620, PubMed : 18615013, PubMed : 19160488, PubMed : 19351716, PubMed : 19468300, PubMed : 19468302, PubMed : 19473992, PubMed : 19509060, PubMed : 19597481, PubMed : 22325354, PubMed : 23455478, PubMed : 23509069, PubMed : 25986610, PubMed : 26811421, PubMed : 28512243, PubMed : 37440612, PubMed : 37674080, PubMed : 8991084). Plays a key role in centrosome functions and the assembly of bipolar spindles by phosphorylating KIZ, NEDD1 and NINL (PubMed : 16980960, PubMed : 19509060). NEDD1 phosphorylation promotes subsequent targeting of the gamma-tubulin ring complex (gTuRC) to the centrosome, an important step for spindle formation (PubMed : 19509060). Phosphorylation of NINL component of the centrosome leads to NINL dissociation from other centrosomal proteins (PubMed : 12852856). Involved in mitosis exit and cytokinesis by phosphorylating CEP55, ECT2, KIF20A/MKLP2, CENPU, PRC1 and RACGAP1 (PubMed : 12939256, PubMed : 16247472, PubMed : 17351640, PubMed : 19468300, PubMed : 19468302). Recruited at the central spindle by phosphorylating and docking PRC1 and KIF20A/MKLP2; creates its own docking sites on PRC1 and KIF20A/MKLP2 by mediating phosphorylation of sites subsequently recognized by the POLO box domains (PubMed : 12939256, PubMed : 17351640). Phosphorylates RACGAP1, thereby creating a docking site for the Rho GTP exchange factor ECT2 that is essential for the cleavage furrow formation (PubMed : 19468300, PubMed : 19468302). Promotes the central spindle recruitment of ECT2 (PubMed : 16247472). Plays a central role in G2/M transition of mitotic cell cycle by phosphorylating CCNB1, CDC25C, FOXM1, CENPU, PKMYT1/MYT1, PPP1R12A/MYPT1 and WEE1 (PubMed : 11202906, PubMed : 12447691, PubMed : 12524548, PubMed : 19160488). Part of a regulatory circuit that promotes the activation of CDK1 by phosphorylating the positive regulator CDC25C and inhibiting the negative regulators WEE1 and PKMYT1/MYT1 (PubMed : 11202906). Also acts by mediating phosphorylation of cyclin-B1 (CCNB1) on centrosomes in prophase (PubMed : 12447691, PubMed : 12524548). Phosphorylates FOXM1, a key mitotic transcription regulator, leading to enhance FOXM1 transcriptional activity (PubMed : 19160488). Involved in kinetochore functions and sister chromatid cohesion by phosphorylating BUB1B/BUBR1, FBXO5/EMI1 and STAG2/SA2 (PubMed : 15148369, PubMed : 15469984, PubMed : 17376779, PubMed : 18331714). PLK1 is high on non-attached kinetochores suggesting a role of PLK1 in kinetochore attachment or in spindle assembly checkpoint (SAC) regulation (PubMed : 17617734). Required for kinetochore localization of BUB1B (PubMed : 17376779). Regulates the dissociation of cohesin from chromosomes by phosphorylating cohesin subunits such as STAG2/SA2 (By similarity). Phosphorylates SGO1 : required for spindle pole localization of isoform 3 of SGO1 and plays a role in regulating its centriole cohesion function (PubMed : 18331714). Mediates phosphorylation of FBXO5/EMI1, a negative regulator of the APC/C complex during prophase, leading to FBXO5/EMI1 ubiquitination and degradation by the proteasome (PubMed : 15148369, PubMed : 15469984). Acts as a negative regulator of p53 family members : phosphorylates TOPORS, leading to inhibit the sumoylation of p53/TP53 and simultaneously enhance the ubiquitination and subsequent degradation of p53/TP53 (PubMed : 19473992). Phosphorylates the transactivation domain of the transcription factor p73/TP73, leading to inhibit p73/TP73-mediated transcriptional activation and pro-apoptotic functions. Phosphorylates BORA, and thereby promotes the degradation of BORA (PubMed : 18521620). Contributes to the regulation of AURKA function (PubMed : 18615013, PubMed : 18662541). Also required for recovery after DNA damage checkpoint and entry into mitosis (PubMed : 18615013, PubMed : 18662541). Phosphorylates MISP, leading to stabilization of cortical and astral microtubule attachments required for proper spindle positioning (PubMed : 23509069). Together with MEIKIN, acts as a regulator of kinetochore function during meiosis I : required both for mono-orientation of kinetochores on sister chromosomes and protection of centromeric cohesin from separase-mediated cleavage (By similarity). Phosphorylates CEP68 and is required for its degradation (PubMed : 25503564). Regulates nuclear envelope breakdown during prophase by phosphorylating DCTN1 resulting in its localization in the nuclear envelope (PubMed : 20679239). Phosphorylates the heat shock transcription factor HSF1, promoting HSF1 nuclear translocation upon heat shock (PubMed : 15661742). Phosphorylates HSF1 also in the early mitotic period; this phosphorylation regulates HSF1 localization to the spindle pole, the recruitment of the SCF(BTRC) ubiquitin ligase complex induicing HSF1 degradation, and hence mitotic progression (PubMed : 18794143). Regulates mitotic progression by phosphorylating RIOK2 (PubMed : 21880710). Through the phosphorylation of DZIP1 regulates the localization during mitosis of the BBSome, a ciliary protein complex involved in cilium biogenesis (PubMed : 27979967). Regulates DNA repair during mitosis by mediating phosphorylation of POLQ and RHNO1, thereby promoting POLQ recruitment to DNA damage sites (PubMed : 37440612, PubMed : 37674080). Phosphorylates ATXN10 which may play a role in the regulation of cytokinesis and may stimulate the proteasome-mediated degradation of ATXN10 (PubMed : 21857149).
See full target information PLK1 phospho T210

Abcam Product Promise

我们致力于为您的研究提供高质量的试剂,为您科研的每一步提供支持。若我们的产品未能达到预期性能,我们向您提供 Abcam Product Promise 保障。
详情请参阅我们的条款与条件。

Please note: All products are 'FOR RESEARCH USE ONLY. NOT FOR USE IN DIAGNOSTIC OR THERAPEUTIC PROCEDURES'.

For licensing inquiries, please contact partnerships@abcam.com