JavaScript is disabled in your browser. Please enable JavaScript to view this website.
AB155095

重组Anti-PLK1 (phospho T210)抗体[EPNCIR167]

Anti-PLK1 (phospho T210) antibody [EPNCIR167]

Be the first to review this product! Submit a review

|

(24 Publications)

Rabbit Recombinant Monoclonal PLK1 phospho T210 antibody. Suitable for Dot, WB, IHC-P and reacts with Human, Mouse samples. Cited in 24 publications.

查看别名

PLK, PLK1, Serine/threonine-protein kinase PLK1, Polo-like kinase 1, Serine/threonine-protein kinase 13, PLK-1, STPK13

12 Images
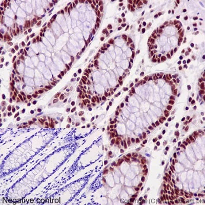
Immunohistochemistry (Formalin/PFA-fixed paraffin-embedded sections) - Anti-PLK1 (phospho T210) antibody [EPNCIR167] (AB155095)
  • IHC-P

Unknown

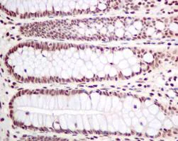
Immunohistochemistry (Formalin/PFA-fixed paraffin-embedded sections) - Anti-PLK1 (phospho T210) antibody [EPNCIR167] (AB155095)

Immunohistochemical analysis of paraffin-embedded Human colon tissue labeling PLK1 with ab155095, unpurified, at 1/100 dilution.

Perform heat mediated antigen retrieval with Tris/EDTA buffer pH 9.0 before commencing with IHC staining protocol.

Immunohistochemistry (Formalin/PFA-fixed paraffin-embedded sections) - Anti-PLK1 (phospho T210) antibody [EPNCIR167] (AB155095)
  • IHC-P

Unknown

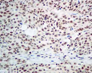
Immunohistochemistry (Formalin/PFA-fixed paraffin-embedded sections) - Anti-PLK1 (phospho T210) antibody [EPNCIR167] (AB155095)

Immunohistochemical analysis of paraffin embedded Human placenta tissue using ab155095, unpurified, showing +ve staining.

Perform heat mediated antigen retrieval with Tris/EDTA buffer pH 9.0 before commencing with IHC staining protocol.

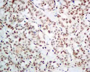
Immunohistochemistry (Formalin/PFA-fixed paraffin-embedded sections) - Anti-PLK1 (phospho T210) antibody [EPNCIR167] (AB155095)
  • IHC-P

Unknown

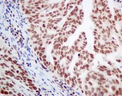
Immunohistochemistry (Formalin/PFA-fixed paraffin-embedded sections) - Anti-PLK1 (phospho T210) antibody [EPNCIR167] (AB155095)

Immunohistochemical analysis of paraffin embedded Human thyroid gland carcinoma tissue using ab155095, unpurified, showing +ve staining.

Perform heat mediated antigen retrieval with Tris/EDTA buffer pH 9.0 before commencing with IHC staining protocol.

Immunohistochemistry (Formalin/PFA-fixed paraffin-embedded sections) - Anti-PLK1 (phospho T210) antibody [EPNCIR167] (AB155095)
  • IHC-P

Supplier Data

Immunohistochemistry (Formalin/PFA-fixed paraffin-embedded sections) - Anti-PLK1 (phospho T210) antibody [EPNCIR167] (AB155095)

ab155095 staining PLK1 (phospho T210) in Human colon tissue sections by Immunohistochemistry (IHC-P - paraformaldehyde-fixed, paraffin-embedded sections). Tissue was fixed and paraffin-embedded, antigen retrieval was by heat mediation in Tris/EDTA buffer pH9. Samples were incubated with primary antibody (1/500). An undiluted HRP-conjugated anti-rabbit IgG was used as the secondary antibody. Tissue counterstained with Hematoxylin. PBS was used in the negative control rather than the Primary antibody.

Immunohistochemistry (Formalin/PFA-fixed paraffin-embedded sections) - Anti-PLK1 (phospho T210) antibody [EPNCIR167] (AB155095)
  • IHC-P

Unknown

Immunohistochemistry (Formalin/PFA-fixed paraffin-embedded sections) - Anti-PLK1 (phospho T210) antibody [EPNCIR167] (AB155095)

Immunohistochemical analysis of paraffin-embedded Human gastroic carcinoma tissue labeling PLK1 with ab155095, unpurified, at 1/100 dilution.

Perform heat mediated antigen retrieval with Tris/EDTA buffer pH 9.0 before commencing with IHC staining protocol.

Immunohistochemistry (Formalin/PFA-fixed paraffin-embedded sections) - Anti-PLK1 (phospho T210) antibody [EPNCIR167] (AB155095)
  • IHC-P

Unknown

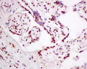
Immunohistochemistry (Formalin/PFA-fixed paraffin-embedded sections) - Anti-PLK1 (phospho T210) antibody [EPNCIR167] (AB155095)

Immunohistochemical analysis of paraffin embedded Human cervical carcinoma tissue using ab155095, unpurified, showing +ve staining.

Perform heat mediated antigen retrieval with Tris/EDTA buffer pH 9.0 before commencing with IHC staining protocol.

Western blot - Anti-PLK1 (phospho T210) antibody [EPNCIR167] (AB155095)
  • WB

Unknown

Western blot - Anti-PLK1 (phospho T210) antibody [EPNCIR167] (AB155095)

All lanes:

Western blot - Anti-PLK1 (phospho T210) antibody [EPNCIR167] (ab155095) at 1/1000 dilution

Lane 1:

HeLa cell lysate, untreated at 10 µg

Lane 2:

HeLa cell lysate, treated with calyculin A at 10 µg

Secondary

All lanes:

Goat anti-rabbit HRP at 1/2000 dilution

Predicted band size: 68 kDa

false

Western blot - Anti-PLK1 (phospho T210) antibody [EPNCIR167] (AB155095)
  • WB

Lab

Western blot - Anti-PLK1 (phospho T210) antibody [EPNCIR167] (AB155095)

antibody used for ab155095 is purified batch.

Blocking and diluting buffer and concentration : 5% NFDM/TBST.

All lanes:

Western blot - Anti-PLK1 (phospho T210) antibody [EPNCIR167] (ab155095) at 1/1000 dilution

Lane 1:

Hela (Human cervix adenocarcinoma epithelial cell) whole cell lysates at 15 µg

Lane 2:

Hela (Human cervix adenocarcinoma epithelial cell) treated with thymidine (2mM, 16 h) then with nocodazole (10nM, 24h) Whole cell lysates at 15 µg

Lane 3:

Hela (Human cervix adenocarcinoma epithelial cell) treated with thymidine (2mM, 16 h) then with nocodazole (10nM, 24h) Whole cell lysates, then the membrane was incubated with phosphatase at 15 µg

Secondary

All lanes:

Western blot - Goat Anti-Rabbit IgG H&L (HRP) (<a href='/products/secondary-antibodies/goat-rabbit-igg-h-l-hrp-ab97051'>ab97051</a>) at 1/20000 dilution

Predicted band size: 68 kDa

Observed band size: 68 kDa

false

Exposure time: 10s

Western blot - Anti-PLK1 (phospho T210) antibody [EPNCIR167] (AB155095)
  • WB

Lab

Western blot - Anti-PLK1 (phospho T210) antibody [EPNCIR167] (AB155095)

Blocking buffer and concentration : 5% NFDM/TBST. Diluting buffer and concentration : 5% NFDM/TBST. Exposure Time : Lane 1-2 : 40 seconds, Lane 3 : 3 seconds and Lane 4 : 180 seconds. ab181602 was used as a loading control.

All lanes:

Western blot - Anti-PLK1 (phospho T210) antibody [EPNCIR167] (ab155095) at 1/1000 dilution

Lane 1:

HeLa (Human cervix adenocarcinoma epithelial cell) (RIPA) whole cell lysate at 20 µg

Lane 2:

NIH/3T3 (Mouse embryonic fibroblast) (RIPA) whole cell lysate at 20 µg

Lane 3:

Mouse testis (RIPA) lysate at 20 µg

Lane 4:

Mouse colon (RIPA) lysate at 20 µg

Secondary

All lanes:

Western blot - Goat Anti-Rabbit IgG H&L (HRP) (<a href='/products/secondary-antibodies/goat-rabbit-igg-h-l-hrp-ab97051'>ab97051</a>) at 1/20000 dilution

Predicted band size: 68 kDa

Observed band size: 68 kDa

false

Western blot - Anti-PLK1 (phospho T210) antibody [EPNCIR167] (AB155095)
  • WB

Supplier Data

Western blot - Anti-PLK1 (phospho T210) antibody [EPNCIR167] (AB155095)

All lanes:

Western blot - Anti-PLK1 (phospho T210) antibody [EPNCIR167] (ab155095) at 1/1000 dilution

Lane 1:

HeLa cell lysate at 10 µg

Lane 2:

HeLa cell lysate post treatment with Nocodazole at 10 µg

Secondary

All lanes:

Goat Anti-Rabbit IgG, (H+L), HRP-conjugated at 1/1000 dilution

Predicted band size: 68 kDa

false

Dot Blot - Anti-PLK1 (phospho T210) antibody [EPNCIR167] (AB155095)
  • Dot

Lab

Dot Blot - Anti-PLK1 (phospho T210) antibody [EPNCIR167] (AB155095)

Anti-PLK1 (phospho T210) antibody [EPNCIR167] (ab155095) Dot Blot. Primary ab dilution 1 : 1000, Secondary ab description and code (ab id)Goat Anti-Rabbit IgG, (H+L), Peroxidase conjugated (ab97051), Secondary ab dilution 1 : 100,000. Blocking buffer and concentration 5% NFDM/TBST, Diluting buffer and concentration 5% NFDM /TBST. Lane 1 : PLK1 (pT210) phospho peptide, Lane 2 : PLK1 non-phospho peptide, Exposure time 10 seconds. Note : antibody used for ab155095 is purified batch.

Western blot - Anti-PLK1 (phospho T210) antibody [EPNCIR167] (AB155095)
  • WB

CiteAb

Western blot - Anti-PLK1 (phospho T210) antibody [EPNCIR167] (AB155095)

PLK1 (phospho T210) western blot using anti-PLK1 (phospho T210) antibody [EPNCIR167] ab155095. Publication image and figure legend from Liccardi, G., Ramos Garcia, L., et al., 2019, Mol Cell, PubMed 30598363.

ab155095 was used in this publication in western blot. This may not be the same as the application(s) guaranteed by Abcam. For a full list of applications guaranteed by Abcam for ab155095 please see the product overview.

RIPK1 Negatively Regulates PLK1(A) Schematic representation of RIPK1- and Casp8-mediated regulation of PLK1.(B) Immunoblots of primary intestinal organoids from two Ripk1fl/fl,IEC-creERTM animals. Organoids were treated with ETOH (vehicle control) or 4-OHT, synchronized with CDK1i, and released into media. Cells were lysed and analyzed by immunoblot with the indicated antibodies.(C) In situ PLA detection of PLK1 and RIPK1 in HT1080 cells, following Casp8 or Plk1 siRNA. Green dots indicate PLA signals between PLK1 and RIPK1. Graph shows quantifications of RIPK1/PLK1 PLA speckles (mean ± SD). 15 cells were counted for each condition. Scale bars : 10 μm.(D and E) In vitro cleavage assay. Purified HA-tagged PLK1 construct and recombinant Casp8 were incubated for 1 h. Immunoblots analysis using the indicated antibodies is shown.(F) HT1080 cells were synchronized with CDK1i and released in media containing the indicated drugs. Lysates from asynchronous or synchronized HT1080 cells were immunoprecipitated with anti-Casp8 antibody. Immunoblot analysis using the indicated antibodies is shown.(G) In situ PLA detection of Casp8/RIPK1 in CDK1i-synchronized and released HT1080 cells treated with the indicated agents. Green dots indicate PLA speckles. Scale bars : 10 μm.

false

不同偶联物与剂型 (8)

  • Carrier free

    Anti-PLK1 (phospho T210) antibody [EPNCIR167] - BSA and Azide free

  • 617 Alexa Fluor® 594

    Alexa Fluor® 594 Anti-PLK1 (phospho T210) antibody [EPNCIR167]

  • 578 PE

    PE Anti-PLK1 (phospho T210) antibody [EPNCIR167]

  • 565 Alexa Fluor® 555

    Alexa Fluor® 555 Anti-PLK1 (phospho T210) antibody [EPNCIR167]

  • 660 APC

    APC Anti-PLK1 (phospho T210) antibody [EPNCIR167]

  • 519 Alexa Fluor® 488

    Alexa Fluor® 488 Anti-PLK1 (phospho T210) antibody [EPNCIR167]

  • 665 Alexa Fluor® 647

    Alexa Fluor® 647 Anti-PLK1 (phospho T210) antibody [EPNCIR167]

  • 775 Alexa Fluor® 750

    Alexa Fluor® 750 Anti-PLK1 (phospho T210) antibody [EPNCIR167]

关键信息

宿主种属

Rabbit

克隆

Monoclonal

克隆号

EPNCIR167

亚型

IgG

不含载体蛋白

No

反应种属

Mouse, Human

应用

Dot, WB, IHC-P

applications

免疫原

The exact immunogen used to generate this antibody is proprietary information.

反应性数据

{ "title": "Reactivity Data", "filters": { "stats": ["", "Species", "Dilution Info", "Notes"], "tabs": { "all-applications": {"fullname" : "All Applications", "shortname": "All Applications"}, "Dot" : {"fullname" : "Dot Blot", "shortname":"Dot"}, "WB" : {"fullname" : "Western blot", "shortname":"WB"}, "IHCP" : {"fullname" : "Immunohistochemistry (Formalin/PFA-fixed paraffin-embedded sections)", "shortname":"IHC-P"} }, "product-promise": { "all": "all", "testedAndGuaranteed": "tested", "guaranteed": "expected", "predicted": "predicted", "notRecommended": "not-recommended" } }, "values": { "Human": { "Dot-species-checked": "testedAndGuaranteed", "Dot-species-dilution-info": "", "Dot-species-notes": "<p></p>", "WB-species-checked": "testedAndGuaranteed", "WB-species-dilution-info": "1/1000", "WB-species-notes": "<p><strong>For unpurified use at 1/1000 - 1/10000.</strong></p>", "IHCP-species-checked": "testedAndGuaranteed", "IHCP-species-dilution-info": "1/500", "IHCP-species-notes": "<p><strong>For unpurified use at 1/100 - 1/250.</strong></p>" }, "Mouse": { "Dot-species-checked": "guaranteed", "Dot-species-dilution-info": "", "Dot-species-notes": "", "WB-species-checked": "testedAndGuaranteed", "WB-species-dilution-info": "1/1000", "WB-species-notes": "<p><strong>For unpurified use at 1/1000 - 1/10000.</strong></p>", "IHCP-species-checked": "guaranteed", "IHCP-species-dilution-info": "", "IHCP-species-notes": "" } } }

产品详情

This antibody was developed as part of a collaboration between the National Cancer Institute's Center for Cancer Research and the lab of Kyung Lee. View antibodies from NCI Center for Cancer Research Collaboration.

Patented technology
Our RabMAb® technology is a patented hybridoma-based technology for making rabbit monoclonal antibodies. For details on our patents, please refer to RabMAb® patents.

What are the advantages of a recombinant monoclonal antibody?
This product is a recombinant monoclonal antibody, which offers several advantages including:

  • - High batch-to-batch consistency and reproducibility
  • - Improved sensitivity and specificity
  • - Long-term security of supply
  • - Animal-free batch production

For more information, read more on recombinant antibodies.

Species reactivity
Rat: We have preliminary internal testing data to indicate this antibody may not react with this species.
Please contact us for more information.

性能和储存信息

形式
Liquid
纯化工艺
Affinity purification Protein A
存储溶液
Preservative: 0.01% Sodium azide Constituents: PBS, 40% Glycerol (glycerin, glycerine), 0.05% BSA
运输条件
Blue Ice
推荐的短期储存条件
+4°C
推荐的长期储存条件
-20°C

产品实验方案

For this product, it's our understanding that no specific protocols are required. You can visit:

靶点信息

Serine/threonine-protein kinase that performs several important functions throughout M phase of the cell cycle, including the regulation of centrosome maturation and spindle assembly, the removal of cohesins from chromosome arms, the inactivation of anaphase-promoting complex/cyclosome (APC/C) inhibitors, and the regulation of mitotic exit and cytokinesis (PubMed : 11202906, PubMed : 12207013, PubMed : 12447691, PubMed : 12524548, PubMed : 12738781, PubMed : 12852856, PubMed : 12939256, PubMed : 14532005, PubMed : 14734534, PubMed : 15070733, PubMed : 15148369, PubMed : 15469984, PubMed : 16198290, PubMed : 16247472, PubMed : 16980960, PubMed : 17081991, PubMed : 17351640, PubMed : 17376779, PubMed : 17617734, PubMed : 18174154, PubMed : 18331714, PubMed : 18418051, PubMed : 18477460, PubMed : 18521620, PubMed : 18615013, PubMed : 19160488, PubMed : 19351716, PubMed : 19468300, PubMed : 19468302, PubMed : 19473992, PubMed : 19509060, PubMed : 19597481, PubMed : 23455478, PubMed : 23509069, PubMed : 28512243, PubMed : 8991084). Polo-like kinase proteins act by binding and phosphorylating proteins that are already phosphorylated on a specific motif recognized by the POLO box domains (PubMed : 11202906, PubMed : 12207013, PubMed : 12447691, PubMed : 12524548, PubMed : 12738781, PubMed : 12852856, PubMed : 12939256, PubMed : 14532005, PubMed : 14734534, PubMed : 15070733, PubMed : 15148369, PubMed : 15469984, PubMed : 16198290, PubMed : 16247472, PubMed : 16980960, PubMed : 17081991, PubMed : 17351640, PubMed : 17376779, PubMed : 17617734, PubMed : 18174154, PubMed : 18331714, PubMed : 18418051, PubMed : 18477460, PubMed : 18521620, PubMed : 18615013, PubMed : 19160488, PubMed : 19351716, PubMed : 19468300, PubMed : 19468302, PubMed : 19473992, PubMed : 19509060, PubMed : 19597481, PubMed : 23455478, PubMed : 23509069, PubMed : 28512243, PubMed : 8991084). Phosphorylates BORA, BUB1B/BUBR1, CCNB1, CDC25C, CEP55, ECT2, ERCC6L, FBXO5/EMI1, FOXM1, KIF20A/MKLP2, CENPU, NEDD1, NINL, NPM1, NUDC, PKMYT1/MYT1, KIZ, MRE11, PPP1R12A/MYPT1, POLQ, PRC1, RACGAP1/CYK4, RAD51, RHNO1, SGO1, STAG2/SA2, TEX14, TOPORS, p73/TP73, TPT1, WEE1 and HNRNPU (PubMed : 11202906, PubMed : 12207013, PubMed : 12447691, PubMed : 12524548, PubMed : 12738781, PubMed : 12852856, PubMed : 12939256, PubMed : 14532005, PubMed : 14734534, PubMed : 15070733, PubMed : 15148369, PubMed : 15469984, PubMed : 16198290, PubMed : 16247472, PubMed : 16980960, PubMed : 17081991, PubMed : 17218258, PubMed : 17351640, PubMed : 17376779, PubMed : 17617734, PubMed : 18174154, PubMed : 18331714, PubMed : 18418051, PubMed : 18477460, PubMed : 18521620, PubMed : 18615013, PubMed : 19160488, PubMed : 19351716, PubMed : 19468300, PubMed : 19468302, PubMed : 19473992, PubMed : 19509060, PubMed : 19597481, PubMed : 22325354, PubMed : 23455478, PubMed : 23509069, PubMed : 25986610, PubMed : 26811421, PubMed : 28512243, PubMed : 37440612, PubMed : 37674080, PubMed : 8991084). Plays a key role in centrosome functions and the assembly of bipolar spindles by phosphorylating KIZ, NEDD1 and NINL (PubMed : 16980960, PubMed : 19509060). NEDD1 phosphorylation promotes subsequent targeting of the gamma-tubulin ring complex (gTuRC) to the centrosome, an important step for spindle formation (PubMed : 19509060). Phosphorylation of NINL component of the centrosome leads to NINL dissociation from other centrosomal proteins (PubMed : 12852856). Involved in mitosis exit and cytokinesis by phosphorylating CEP55, ECT2, KIF20A/MKLP2, CENPU, PRC1 and RACGAP1 (PubMed : 12939256, PubMed : 16247472, PubMed : 17351640, PubMed : 19468300, PubMed : 19468302). Recruited at the central spindle by phosphorylating and docking PRC1 and KIF20A/MKLP2; creates its own docking sites on PRC1 and KIF20A/MKLP2 by mediating phosphorylation of sites subsequently recognized by the POLO box domains (PubMed : 12939256, PubMed : 17351640). Phosphorylates RACGAP1, thereby creating a docking site for the Rho GTP exchange factor ECT2 that is essential for the cleavage furrow formation (PubMed : 19468300, PubMed : 19468302). Promotes the central spindle recruitment of ECT2 (PubMed : 16247472). Plays a central role in G2/M transition of mitotic cell cycle by phosphorylating CCNB1, CDC25C, FOXM1, CENPU, PKMYT1/MYT1, PPP1R12A/MYPT1 and WEE1 (PubMed : 11202906, PubMed : 12447691, PubMed : 12524548, PubMed : 19160488). Part of a regulatory circuit that promotes the activation of CDK1 by phosphorylating the positive regulator CDC25C and inhibiting the negative regulators WEE1 and PKMYT1/MYT1 (PubMed : 11202906). Also acts by mediating phosphorylation of cyclin-B1 (CCNB1) on centrosomes in prophase (PubMed : 12447691, PubMed : 12524548). Phosphorylates FOXM1, a key mitotic transcription regulator, leading to enhance FOXM1 transcriptional activity (PubMed : 19160488). Involved in kinetochore functions and sister chromatid cohesion by phosphorylating BUB1B/BUBR1, FBXO5/EMI1 and STAG2/SA2 (PubMed : 15148369, PubMed : 15469984, PubMed : 17376779, PubMed : 18331714). PLK1 is high on non-attached kinetochores suggesting a role of PLK1 in kinetochore attachment or in spindle assembly checkpoint (SAC) regulation (PubMed : 17617734). Required for kinetochore localization of BUB1B (PubMed : 17376779). Regulates the dissociation of cohesin from chromosomes by phosphorylating cohesin subunits such as STAG2/SA2 (By similarity). Phosphorylates SGO1 : required for spindle pole localization of isoform 3 of SGO1 and plays a role in regulating its centriole cohesion function (PubMed : 18331714). Mediates phosphorylation of FBXO5/EMI1, a negative regulator of the APC/C complex during prophase, leading to FBXO5/EMI1 ubiquitination and degradation by the proteasome (PubMed : 15148369, PubMed : 15469984). Acts as a negative regulator of p53 family members : phosphorylates TOPORS, leading to inhibit the sumoylation of p53/TP53 and simultaneously enhance the ubiquitination and subsequent degradation of p53/TP53 (PubMed : 19473992). Phosphorylates the transactivation domain of the transcription factor p73/TP73, leading to inhibit p73/TP73-mediated transcriptional activation and pro-apoptotic functions. Phosphorylates BORA, and thereby promotes the degradation of BORA (PubMed : 18521620). Contributes to the regulation of AURKA function (PubMed : 18615013, PubMed : 18662541). Also required for recovery after DNA damage checkpoint and entry into mitosis (PubMed : 18615013, PubMed : 18662541). Phosphorylates MISP, leading to stabilization of cortical and astral microtubule attachments required for proper spindle positioning (PubMed : 23509069). Together with MEIKIN, acts as a regulator of kinetochore function during meiosis I : required both for mono-orientation of kinetochores on sister chromosomes and protection of centromeric cohesin from separase-mediated cleavage (By similarity). Phosphorylates CEP68 and is required for its degradation (PubMed : 25503564). Regulates nuclear envelope breakdown during prophase by phosphorylating DCTN1 resulting in its localization in the nuclear envelope (PubMed : 20679239). Phosphorylates the heat shock transcription factor HSF1, promoting HSF1 nuclear translocation upon heat shock (PubMed : 15661742). Phosphorylates HSF1 also in the early mitotic period; this phosphorylation regulates HSF1 localization to the spindle pole, the recruitment of the SCF(BTRC) ubiquitin ligase complex induicing HSF1 degradation, and hence mitotic progression (PubMed : 18794143). Regulates mitotic progression by phosphorylating RIOK2 (PubMed : 21880710). Through the phosphorylation of DZIP1 regulates the localization during mitosis of the BBSome, a ciliary protein complex involved in cilium biogenesis (PubMed : 27979967). Regulates DNA repair during mitosis by mediating phosphorylation of POLQ and RHNO1, thereby promoting POLQ recruitment to DNA damage sites (PubMed : 37440612, PubMed : 37674080). Phosphorylates ATXN10 which may play a role in the regulation of cytokinesis and may stimulate the proteasome-mediated degradation of ATXN10 (PubMed : 21857149).
See full target information PLK1 phospho T210

文献 (24)

Recent publications for all applications. Explore the full list and refine your search

Cell death & disease 16:673 PubMed41022752

2025

TUFT1 regulates cancer progression by suppressing centrosome amplification and mitotic spindle multipolarity.

Applications

Unspecified application

Species

Unspecified reactive species

Shaojie Feng,Mengmeng Zhao,Donghui Zhang,Yan Zhang,Lingyuan Min,Xianqiang Liu,Huan Shi,Tianning Wang

Cell death & disease 16:374 PubMed40355412

2025

Pharmacological inhibition of PLK1/PRC1 triggers mitotic catastrophe and sensitizes lung cancers to chemotherapy.

Applications

Unspecified application

Species

Unspecified reactive species

Pingping Li,Yufei Zhao,Minghan Lu,Chengfei Chen,Yongkun Li,Lingling Wang,Shulan Zeng,Yan Peng,Hong Liang,Guohai Zhang

Biomedicines 13: PubMed39857637

2025

Polo-like Kinase 1 Expression as a Biomarker in Colorectal Cancer: A Retrospective Two-Center Study.

Applications

Unspecified application

Species

Unspecified reactive species

Lana Jajac Brucic,Vesna Bisof,Majana Soce,Marko Skelin,Ivan Krecak,Andjela Nadinic,Branka Vrbicic,Zivana Puljiz,Suzana Hancic,Slavko Gasparov

Cancer research communications 5:253-266 PubMed39831777

2025

MYC and HSF1 Cooperate to Drive Sensitivity to Polo-like Kinase 1 Inhibitor Volasertib in High-grade Serous Ovarian Cancer.

Applications

Unspecified application

Species

Unspecified reactive species

Imade Williams,Matthew O'Malley,Haddie DeHart,Bobby Walker,Vrushabh Ulhaskumar,Pranav Jothirajah,Haimanti Ray,Lisa M Landrum,Joe R Delaney,Kenneth P Nephew,Richard L Carpenter

Cell proliferation 57:e13590 PubMed38084791

2023

METTL16-mediated N6-methyladenosine modification of Soga1 enables proper chromosome segregation and chromosomal stability in colorectal cancer.

Applications

Unspecified application

Species

Unspecified reactive species

Jimin Li,Fang Yang,Zeyu Wang,Siqing Zheng,Shuang Zhang,Chen Wang,Bing He,Jia-Bei Wang,Hao Wang

Journal of biochemical and molecular toxicology 38:e23590 PubMed38037286

2023

Polo-like kinase 1 inhibitor NMS-P937 represses nasopharyngeal carcinoma progression via induction of mitotic abnormalities.

Applications

Unspecified application

Species

Unspecified reactive species

Jing Gao,Weirong Huang,Senxia Zhao,Rong Wang,Zhilin Wang,Juanping Ye,Lie Lin,Weifeng Cai,Yanjun Mi

Nature chemical biology 20:566-576 PubMed37945898

2023

Checkpoint kinase 2 controls insulin secretion and glucose homeostasis.

Applications

Unspecified application

Species

Unspecified reactive species

Angie Chi Nok Chong,J Jeya Vandana,Ginnie Jeng,Ge Li,Zihe Meng,Xiaohua Duan,Tuo Zhang,Yunping Qiu,Raimon Duran-Struuck,Kimberly Coker,Wei Wang,Yanjing Li,Zaw Min,Xi Zuo,Neranjan de Silva,Zhengming Chen,Ali Naji,Mingming Hao,Chengyang Liu,Shuibing Chen

American journal of reproductive immunology (New York, N.Y. : 1989) 90:e13793 PubMed37881124

2023

Effect of Aurora kinase B on polyploidy and decidualization in mouse uterus.

Applications

Unspecified application

Species

Unspecified reactive species

Peng-Chao Wang,Zhen-Shan Yang,Xiao-Wei Gu

Cell death & disease 14:695 PubMed37872147

2023

The E3 ligase TRIM26 suppresses ferroptosis through catalyzing K63-linked ubiquitination of GPX4 in glioma.

Applications

Unspecified application

Species

Unspecified reactive species

Zhangjie Wang,Yuan Xia,Yang Wang,Ruiqiu Zhu,Hongbo Li,Yu Liu,Na Shen

The Journal of cell biology 222: PubMed36897279

2023

PP6 regulation of Aurora A-TPX2 limits NDC80 phosphorylation and mitotic spindle size.

Applications

Unspecified application

Species

Unspecified reactive species

Tomoaki Sobajima,Katarzyna M Kowalczyk,Stefanos Skylakakis,Daniel Hayward,Luke J Fulcher,Colette Neary,Caleb Batley,Samvid Kurlekar,Emile Roberts,Ulrike Gruneberg,Francis A Barr
View all publications

Abcam Product Promise

我们致力于为您的研究提供高质量的试剂,为您科研的每一步提供支持。若我们的产品未能达到预期性能,我们向您提供 Abcam Product Promise 保障。
详情请参阅我们的条款与条件。

Please note: All products are 'FOR RESEARCH USE ONLY. NOT FOR USE IN DIAGNOSTIC OR THERAPEUTIC PROCEDURES'.

For licensing inquiries, please contact partnerships@abcam.com