JavaScript is disabled in your browser. Please enable JavaScript to view this website.
AB189139

重组Anti-PLK1抗体[EPR19534]

Anti-PLK1 antibody [EPR19534]

Be the first to review this product! Submit a review

|

(18 Publications)

Rabbit Recombinant Monoclonal PLK1 antibody. Suitable for IP, WB, ICC/IF, Flow Cyt (Intra) and reacts with Human samples. Cited in 18 publications.

查看别名

PLK, PLK1, Serine/threonine-protein kinase PLK1, Polo-like kinase 1, Serine/threonine-protein kinase 13, PLK-1, STPK13

5 Images
Flow Cytometry (Intracellular) - Anti-PLK1 antibody [EPR19534] (AB189139)
  • Flow Cyt (Intra)

Unknown

Flow Cytometry (Intracellular) - Anti-PLK1 antibody [EPR19534] (AB189139)

Intracellular flow cytometric analysis of 4% paraformaldehyde-fixed HeLa (Human epithelial cell line from cervix adenocarcinoma) cells labeling PLK1with ab189139 at 1/60 dilution (red) compared with a Rabbit IgG,monoclonal [EPR25A]-Isotype control (ab172730) (black) and an unlabelled control (cells without incubation with primary antibody and secondary antibody) (blue). Goat anti Rabbit IgG (Alexa Fluorr® 488) at 1/2000 dilution was used as the secondary antibody.

Immunocytochemistry/ Immunofluorescence - Anti-PLK1 antibody [EPR19534] (AB189139)
  • ICC/IF

Supplier Data

Immunocytochemistry/ Immunofluorescence - Anti-PLK1 antibody [EPR19534] (AB189139)

Immunofluorescent analysis of 4% paraformaldehyde-fixed, 0.1% Triton X-100 permeabilized HeLa (Human epithelial cell line from cervix adenocarcinoma) cells labeling PLK1 with ab189139 at 1/500 dilution, followed by Goat anti-rabbit IgG (Alexa Fluor® 488) (ab150077) secondary antibody at 1/1000 dilution (green).

Confocal image showing strong signal staining on midbody and kinetochore of HeLa cell line.

The nuclear counterstain is DAPI (blue).

Tubulin is detected with ab195889 (Anti-alpha Tubulin antibody [DM1A] - Microtubule Marker (Alexa Fluor® 594)) at 1/200 dilution (red).

Secondary antibody only control : Used PBS instead of primary antibody, secondary antibody is Goat anti-rabbit IgG (Alexa Fluor® 488) (ab150077) at 1/1000 dilution.

Flow Cytometry (Intracellular) - Anti-PLK1 antibody [EPR19534] (AB189139)
  • Flow Cyt (Intra)

Supplier Data

Flow Cytometry (Intracellular) - Anti-PLK1 antibody [EPR19534] (AB189139)

Intracellular flow cytometric analysis of 4% paraformaldehyde-fixed K562 (Human chronic myelogenous leukemia cell line from bone marrow) cells labeling PLK1with ab189139 at 1/60 dilution (red) compared with a Rabbit IgG,monoclonal [EPR25A]-Isotype control (ab172730) (black) and an unlabelled control (cells without incubation with primary antibody and secondary antibody) (blue). Goat anti Rabbit IgG (Alexa Fluorr® 488) at 1/2000 dilution was used as the secondary antibody.

Immunoprecipitation - Anti-PLK1 antibody [EPR19534] (AB189139)
  • IP

Supplier Data

Immunoprecipitation - Anti-PLK1 antibody [EPR19534] (AB189139)

PLK1 was immunoprecipitated from 0.35 mg of K562 (Human chronic myelogenous leukemia cell line from bone marrow) whole cell lysate with ab189139 at 1/30 dilution.

Western blot was performed from the immunoprecipitate using ab189139 at 1/1000 dilution.

VeriBlot for IP Detection Reagent (HRP) (ab131366), was used for detection at 1/10000 dilution.

Lane 1 : K562 whole cell lysate, 10μg (Input).

Lane 2 : ab189139 IP in K562 whole cell lysate.

Lane 3 : Rabbit IgG,monoclonal [EPR25A]- Isotype Control (ab172730) instead of ab189139 in K562 whole cell lysate.

Blocking and dilution buffer and concentration : 5% NFDM/TBST.

Exposure time : 30 seconds.

All lanes:

Immunoprecipitation - Anti-PLK1 antibody [EPR19534] (ab189139)

Predicted band size: 68 kDa

false

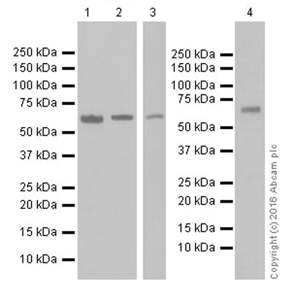
Western blot - Anti-PLK1 antibody [EPR19534] (AB189139)
  • WB

Supplier Data

Western blot - Anti-PLK1 antibody [EPR19534] (AB189139)

Blocking/Dilution buffer : 5% NFDM/TBST.

Exposure time : Lane 1 and 2 : 30 seconds; Lane 3 and 4 : 3 minutes.

The expression profile observed is consistent with what has been described in the literature (PMID : 21545375).

All lanes:

Western blot - Anti-PLK1 antibody [EPR19534] (ab189139) at 1/1000 dilution

Lane 1:

HeLa (Human epithelial cell line from cervix adenocarcinoma) whole cell lysate at 20 µg

Lane 2:

K562 (Human chronic myelogenous leukemia cell line from bone marrow) whole cell lysate at 20 µg

Lane 3:

PC-3 (Human prostate adenocarcinoma cell line) whole cell lysate at 20 µg

Lane 4:

HepG2 (Human liver hepatocellular carcinoma cell line) whole cell lysate at 20 µg

Secondary

All lanes:

Western blot - Goat Anti-Rabbit IgG H&L (HRP) (<a href='/products/secondary-antibodies/goat-rabbit-igg-h-l-hrp-ab97051'>ab97051</a>) at 1/100000 dilution

Predicted band size: 68 kDa

Observed band size: 68 kDa

false

不同偶联物与剂型 (7)

  • Carrier free

    Anti-PLK1 antibody [EPR19534] - BSA and Azide free

  • 665 Alexa Fluor® 647

    Alexa Fluor® 647 Anti-PLK1 antibody [EPR19534]

  • 578 PE

    PE Anti-PLK1 antibody [EPR19534]

  • 660 APC

    APC Anti-PLK1 antibody [EPR19534]

  • 519 Alexa Fluor® 488

    Alexa Fluor® 488 Anti-PLK1 antibody [EPR19534]

  • 617 Alexa Fluor® 594

    Alexa Fluor® 594 Anti-PLK1 antibody [EPR19534]

  • 565 Alexa Fluor® 555

    Alexa Fluor® 555 Anti-PLK1 antibody [EPR19534]

关键信息

宿主种属

Rabbit

克隆

Monoclonal

克隆号

EPR19534

亚型

IgG

不含载体蛋白

No

反应种属

Human

应用

ICC/IF, Flow Cyt (Intra), IP, WB

applications

免疫原

The exact immunogen used to generate this antibody is proprietary information.

反应性数据

{ "title": "Reactivity Data", "filters": { "stats": ["", "Species", "Dilution Info", "Notes"], "tabs": { "all-applications": {"fullname" : "All Applications", "shortname": "All Applications"}, "IP" : {"fullname" : "Immunoprecipitation", "shortname":"IP"}, "WB" : {"fullname" : "Western blot", "shortname":"WB"}, "ICCIF" : {"fullname" : "Immunocytochemistry/ Immunofluorescence", "shortname":"ICC/IF"}, "FlowCytIntra" : {"fullname" : "Flow Cytometry (Intracellular)", "shortname":"Flow Cyt (Intra)"} }, "product-promise": { "all": "all", "testedAndGuaranteed": "tested", "guaranteed": "expected", "predicted": "predicted", "notRecommended": "not-recommended" } }, "values": { "Human": { "IP-species-checked": "testedAndGuaranteed", "IP-species-dilution-info": "1/30", "IP-species-notes": "<p></p>", "WB-species-checked": "testedAndGuaranteed", "WB-species-dilution-info": "1/1000", "WB-species-notes": "<p></p>", "ICCIF-species-checked": "testedAndGuaranteed", "ICCIF-species-dilution-info": "1/500", "ICCIF-species-notes": "<p></p>", "FlowCytIntra-species-checked": "testedAndGuaranteed", "FlowCytIntra-species-dilution-info": "1/60", "FlowCytIntra-species-notes": "<p><a href='/products/primary-antibodies/rabbit-igg-monoclonal-epr25a-isotype-control-ab172730'>ab172730</a> - Rabbit monoclonal IgG, is suitable for use as an isotype control with this antibody.</p>" } } }

产品详情

Patented technology
Our RabMAb® technology is a patented hybridoma-based technology for making rabbit monoclonal antibodies. For details on our patents, please refer to RabMAb® patents.

What are the advantages of a recombinant monoclonal antibody?
This product is a recombinant monoclonal antibody, which offers several advantages including:

  • - High batch-to-batch consistency and reproducibility
  • - Improved sensitivity and specificity
  • - Long-term security of supply
  • - Animal-free batch production

For more information, read more on recombinant antibodies.

性能和储存信息

形式
Liquid
纯化工艺
Affinity purification Protein A
存储溶液
pH: 7.2 - 7.4 Preservative: 0.01% Sodium azide Constituents: PBS, 40% Glycerol (glycerin, glycerine), 0.05% BSA
运输条件
Blue Ice
推荐的短期储存时间
1-2 weeks
推荐的短期储存条件
+4°C
推荐的长期储存条件
-20°C
分装信息
Upon delivery aliquot
储存信息
Avoid freeze / thaw cycle

产品实验方案

For this product, it's our understanding that no specific protocols are required. You can visit:

靶点信息

Serine/threonine-protein kinase that performs several important functions throughout M phase of the cell cycle, including the regulation of centrosome maturation and spindle assembly, the removal of cohesins from chromosome arms, the inactivation of anaphase-promoting complex/cyclosome (APC/C) inhibitors, and the regulation of mitotic exit and cytokinesis (PubMed : 11202906, PubMed : 12207013, PubMed : 12447691, PubMed : 12524548, PubMed : 12738781, PubMed : 12852856, PubMed : 12939256, PubMed : 14532005, PubMed : 14734534, PubMed : 15070733, PubMed : 15148369, PubMed : 15469984, PubMed : 16198290, PubMed : 16247472, PubMed : 16980960, PubMed : 17081991, PubMed : 17351640, PubMed : 17376779, PubMed : 17617734, PubMed : 18174154, PubMed : 18331714, PubMed : 18418051, PubMed : 18477460, PubMed : 18521620, PubMed : 18615013, PubMed : 19160488, PubMed : 19351716, PubMed : 19468300, PubMed : 19468302, PubMed : 19473992, PubMed : 19509060, PubMed : 19597481, PubMed : 23455478, PubMed : 23509069, PubMed : 28512243, PubMed : 8991084). Polo-like kinase proteins act by binding and phosphorylating proteins that are already phosphorylated on a specific motif recognized by the POLO box domains (PubMed : 11202906, PubMed : 12207013, PubMed : 12447691, PubMed : 12524548, PubMed : 12738781, PubMed : 12852856, PubMed : 12939256, PubMed : 14532005, PubMed : 14734534, PubMed : 15070733, PubMed : 15148369, PubMed : 15469984, PubMed : 16198290, PubMed : 16247472, PubMed : 16980960, PubMed : 17081991, PubMed : 17351640, PubMed : 17376779, PubMed : 17617734, PubMed : 18174154, PubMed : 18331714, PubMed : 18418051, PubMed : 18477460, PubMed : 18521620, PubMed : 18615013, PubMed : 19160488, PubMed : 19351716, PubMed : 19468300, PubMed : 19468302, PubMed : 19473992, PubMed : 19509060, PubMed : 19597481, PubMed : 23455478, PubMed : 23509069, PubMed : 28512243, PubMed : 8991084). Phosphorylates BORA, BUB1B/BUBR1, CCNB1, CDC25C, CEP55, ECT2, ERCC6L, FBXO5/EMI1, FOXM1, KIF20A/MKLP2, CENPU, NEDD1, NINL, NPM1, NUDC, PKMYT1/MYT1, KIZ, MRE11, PPP1R12A/MYPT1, POLQ, PRC1, RACGAP1/CYK4, RAD51, RHNO1, SGO1, STAG2/SA2, TEX14, TOPORS, p73/TP73, TPT1, WEE1 and HNRNPU (PubMed : 11202906, PubMed : 12207013, PubMed : 12447691, PubMed : 12524548, PubMed : 12738781, PubMed : 12852856, PubMed : 12939256, PubMed : 14532005, PubMed : 14734534, PubMed : 15070733, PubMed : 15148369, PubMed : 15469984, PubMed : 16198290, PubMed : 16247472, PubMed : 16980960, PubMed : 17081991, PubMed : 17218258, PubMed : 17351640, PubMed : 17376779, PubMed : 17617734, PubMed : 18174154, PubMed : 18331714, PubMed : 18418051, PubMed : 18477460, PubMed : 18521620, PubMed : 18615013, PubMed : 19160488, PubMed : 19351716, PubMed : 19468300, PubMed : 19468302, PubMed : 19473992, PubMed : 19509060, PubMed : 19597481, PubMed : 22325354, PubMed : 23455478, PubMed : 23509069, PubMed : 25986610, PubMed : 26811421, PubMed : 28512243, PubMed : 37440612, PubMed : 37674080, PubMed : 8991084). Plays a key role in centrosome functions and the assembly of bipolar spindles by phosphorylating KIZ, NEDD1 and NINL (PubMed : 16980960, PubMed : 19509060). NEDD1 phosphorylation promotes subsequent targeting of the gamma-tubulin ring complex (gTuRC) to the centrosome, an important step for spindle formation (PubMed : 19509060). Phosphorylation of NINL component of the centrosome leads to NINL dissociation from other centrosomal proteins (PubMed : 12852856). Involved in mitosis exit and cytokinesis by phosphorylating CEP55, ECT2, KIF20A/MKLP2, CENPU, PRC1 and RACGAP1 (PubMed : 12939256, PubMed : 16247472, PubMed : 17351640, PubMed : 19468300, PubMed : 19468302). Recruited at the central spindle by phosphorylating and docking PRC1 and KIF20A/MKLP2; creates its own docking sites on PRC1 and KIF20A/MKLP2 by mediating phosphorylation of sites subsequently recognized by the POLO box domains (PubMed : 12939256, PubMed : 17351640). Phosphorylates RACGAP1, thereby creating a docking site for the Rho GTP exchange factor ECT2 that is essential for the cleavage furrow formation (PubMed : 19468300, PubMed : 19468302). Promotes the central spindle recruitment of ECT2 (PubMed : 16247472). Plays a central role in G2/M transition of mitotic cell cycle by phosphorylating CCNB1, CDC25C, FOXM1, CENPU, PKMYT1/MYT1, PPP1R12A/MYPT1 and WEE1 (PubMed : 11202906, PubMed : 12447691, PubMed : 12524548, PubMed : 19160488). Part of a regulatory circuit that promotes the activation of CDK1 by phosphorylating the positive regulator CDC25C and inhibiting the negative regulators WEE1 and PKMYT1/MYT1 (PubMed : 11202906). Also acts by mediating phosphorylation of cyclin-B1 (CCNB1) on centrosomes in prophase (PubMed : 12447691, PubMed : 12524548). Phosphorylates FOXM1, a key mitotic transcription regulator, leading to enhance FOXM1 transcriptional activity (PubMed : 19160488). Involved in kinetochore functions and sister chromatid cohesion by phosphorylating BUB1B/BUBR1, FBXO5/EMI1 and STAG2/SA2 (PubMed : 15148369, PubMed : 15469984, PubMed : 17376779, PubMed : 18331714). PLK1 is high on non-attached kinetochores suggesting a role of PLK1 in kinetochore attachment or in spindle assembly checkpoint (SAC) regulation (PubMed : 17617734). Required for kinetochore localization of BUB1B (PubMed : 17376779). Regulates the dissociation of cohesin from chromosomes by phosphorylating cohesin subunits such as STAG2/SA2 (By similarity). Phosphorylates SGO1 : required for spindle pole localization of isoform 3 of SGO1 and plays a role in regulating its centriole cohesion function (PubMed : 18331714). Mediates phosphorylation of FBXO5/EMI1, a negative regulator of the APC/C complex during prophase, leading to FBXO5/EMI1 ubiquitination and degradation by the proteasome (PubMed : 15148369, PubMed : 15469984). Acts as a negative regulator of p53 family members : phosphorylates TOPORS, leading to inhibit the sumoylation of p53/TP53 and simultaneously enhance the ubiquitination and subsequent degradation of p53/TP53 (PubMed : 19473992). Phosphorylates the transactivation domain of the transcription factor p73/TP73, leading to inhibit p73/TP73-mediated transcriptional activation and pro-apoptotic functions. Phosphorylates BORA, and thereby promotes the degradation of BORA (PubMed : 18521620). Contributes to the regulation of AURKA function (PubMed : 18615013, PubMed : 18662541). Also required for recovery after DNA damage checkpoint and entry into mitosis (PubMed : 18615013, PubMed : 18662541). Phosphorylates MISP, leading to stabilization of cortical and astral microtubule attachments required for proper spindle positioning (PubMed : 23509069). Together with MEIKIN, acts as a regulator of kinetochore function during meiosis I : required both for mono-orientation of kinetochores on sister chromosomes and protection of centromeric cohesin from separase-mediated cleavage (By similarity). Phosphorylates CEP68 and is required for its degradation (PubMed : 25503564). Regulates nuclear envelope breakdown during prophase by phosphorylating DCTN1 resulting in its localization in the nuclear envelope (PubMed : 20679239). Phosphorylates the heat shock transcription factor HSF1, promoting HSF1 nuclear translocation upon heat shock (PubMed : 15661742). Phosphorylates HSF1 also in the early mitotic period; this phosphorylation regulates HSF1 localization to the spindle pole, the recruitment of the SCF(BTRC) ubiquitin ligase complex induicing HSF1 degradation, and hence mitotic progression (PubMed : 18794143). Regulates mitotic progression by phosphorylating RIOK2 (PubMed : 21880710). Through the phosphorylation of DZIP1 regulates the localization during mitosis of the BBSome, a ciliary protein complex involved in cilium biogenesis (PubMed : 27979967). Regulates DNA repair during mitosis by mediating phosphorylation of POLQ and RHNO1, thereby promoting POLQ recruitment to DNA damage sites (PubMed : 37440612, PubMed : 37674080). Phosphorylates ATXN10 which may play a role in the regulation of cytokinesis and may stimulate the proteasome-mediated degradation of ATXN10 (PubMed : 21857149).
See full target information PLK1

文献 (18)

Recent publications for all applications. Explore the full list and refine your search

Discover oncology 16:1047 PubMed40493298

2025

TCF19 expression and significance analysis in breast cancer: integrated bioinformatics analysis and histological validation.

Applications

Unspecified application

Species

Unspecified reactive species

Haiyang Yu,Jingjing Wei,Qinhao Chen,Yueyin Pan,Xiaojun Qian,Jing Pan,Yubei Sun

Pharmaceutics 17: PubMed40430849

2025

The Molecular Chaperone TCP1 Affects Carcinogenicity and Is a Potential Therapeutic Target for Acute Myeloid Leukemia.

Applications

Unspecified application

Species

Unspecified reactive species

Yong Wu,Guihui Tu,Yuxia Yuan,Jingwen Liu,Qingna Jiang,Yang Liu,Qiurong Wu,Lixian Wu,Yuanzhong Chen

Open medicine (Warsaw, Poland) 19:20240971 PubMed38841177

2024

FBXO45 levels regulated ferroptosis renal tubular epithelial cells in a model of diabetic nephropathy by PLK1.

Applications

Unspecified application

Species

Unspecified reactive species

Bingming Zhu,Yongxuan Hu,Ruishan Wu,Quan Yu,Wangrong Wen

Pharmaceutics 15: PubMed38140096

2023

Silk Fibroin-Modified Liposome/Gene Editing System Knocks out the Gene to Suppress the Growth of Lung Cancer Cells.

Applications

Unspecified application

Species

Unspecified reactive species

Peng Pan,Xueping Liu,Mengqi Fang,Shanlong Yang,Yadong Zhang,Mingzhong Li,Yu Liu

Cell death & disease 14:695 PubMed37872147

2023

The E3 ligase TRIM26 suppresses ferroptosis through catalyzing K63-linked ubiquitination of GPX4 in glioma.

Applications

Unspecified application

Species

Unspecified reactive species

Zhangjie Wang,Yuan Xia,Yang Wang,Ruiqiu Zhu,Hongbo Li,Yu Liu,Na Shen

Nucleic acids research 51:10568-10589 PubMed37739411

2023

The TRIM69-MST2 signaling axis regulates centrosome dynamics and chromosome segregation.

Applications

Unspecified application

Species

Unspecified reactive species

Yilin Wang,Patrik Risteski,Yang Yang,Huan Chen,Gaith Droby,Andrea Walens,Deepika Jayaprakash,Melissa Troester,Laura Herring,Jonathan Chernoff,Iva M Tolić,Jessica Bowser,Cyrus Vaziri

BioMed research international 2022:7848771 PubMed35941968

2022

PLK1 Is a Potential Prognostic Factor Associated with the Tumor Microenvironment in Lung Adenocarcinoma.

Applications

Unspecified application

Species

Unspecified reactive species

Lina Wang,Man Gao,Dongjie Sun,Haitao Wu,Shuang Lv,Yulin Li,Lisha Li

BMC cancer 22:666 PubMed35715760

2022

CKAP2L, a crucial target of miR-326, promotes prostate cancer progression.

Applications

Unspecified application

Species

Unspecified reactive species

Qi Li,Mo Yan,Chunhui Wang,Kaibin Wang,Guochang Bao

Acta pharmaceutica Sinica. B 12:3861-3876 PubMed36213538

2022

Cucurbitacin B-induced G2/M cell cycle arrest of conjunctival melanoma cells mediated by GRP78-FOXM1-KIF20A pathway.

Applications

Unspecified application

Species

Unspecified reactive species

Jinlian Wei,Xin Chen,Yongyun Li,Ruoxi Li,Keting Bao,Liang Liao,Yuqing Xie,Tiannuo Yang,Jin Zhu,Fei Mao,Shuaishuai Ni,Renbing Jia,Xiaofang Xu,Jian Li

Journal of cell science 135: PubMed35044463

2022

PCTAIRE1 promotes mitotic progression and resistance against antimitotic and apoptotic signals.

Applications

Unspecified application

Species

Unspecified reactive species

Syed Qaaifah Gillani,Irfana Reshi,Nusrat Nabi,Misbah Un Nisa,Zarka Sarwar,Sameer Bhat,Thomas M Roberts,Jonathan M G Higgins,Shaida Andrabi
View all publications

Abcam Product Promise

我们致力于为您的研究提供高质量的试剂,为您科研的每一步提供支持。若我们的产品未能达到预期性能,我们向您提供 Abcam Product Promise 保障。
详情请参阅我们的条款与条件。

Please note: All products are 'FOR RESEARCH USE ONLY. NOT FOR USE IN DIAGNOSTIC OR THERAPEUTIC PROCEDURES'.

For licensing inquiries, please contact partnerships@abcam.com