JavaScript is disabled in your browser. Please enable JavaScript to view this website.
AB109124

重组Anti-Plastin L抗体[EPR4277]

Anti-Plastin L antibody [EPR4277]

0

(1 Review)

|

(4 Publications)

Rabbit Recombinant Monoclonal Plastin L antibody. Suitable for IHC-P, WB and reacts with Human, Mouse, Rat samples. Cited in 4 publications.

查看别名

PLS2, LCP1, Plastin-2, L-plastin, LC64P, Lymphocyte cytosolic protein 1, LCP-1

11 Images
Immunohistochemistry (Formalin/PFA-fixed paraffin-embedded sections) - Anti-Plastin L antibody [EPR4277] (AB109124)
  • IHC-P

Unknown

Immunohistochemistry (Formalin/PFA-fixed paraffin-embedded sections) - Anti-Plastin L antibody [EPR4277] (AB109124)

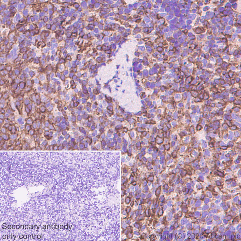
ab109124 at 1/100 dilution staining Plastin L in paraffin-embedded Human tonsil tissue by Immunohistochemistry.

Perform heat mediated antigen retrieval before commencing with IHC staining protocol.

Immunohistochemistry (Formalin/PFA-fixed paraffin-embedded sections) - Anti-Plastin L antibody [EPR4277] (AB109124)
  • IHC-P

Supplier Data

Immunohistochemistry (Formalin/PFA-fixed paraffin-embedded sections) - Anti-Plastin L antibody [EPR4277] (AB109124)

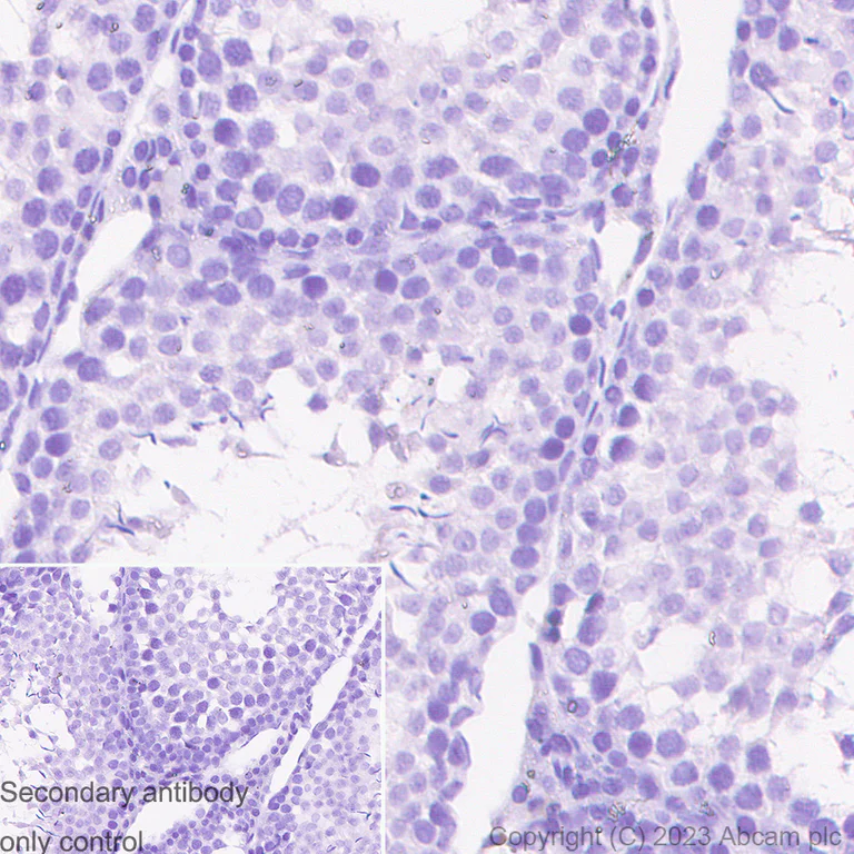
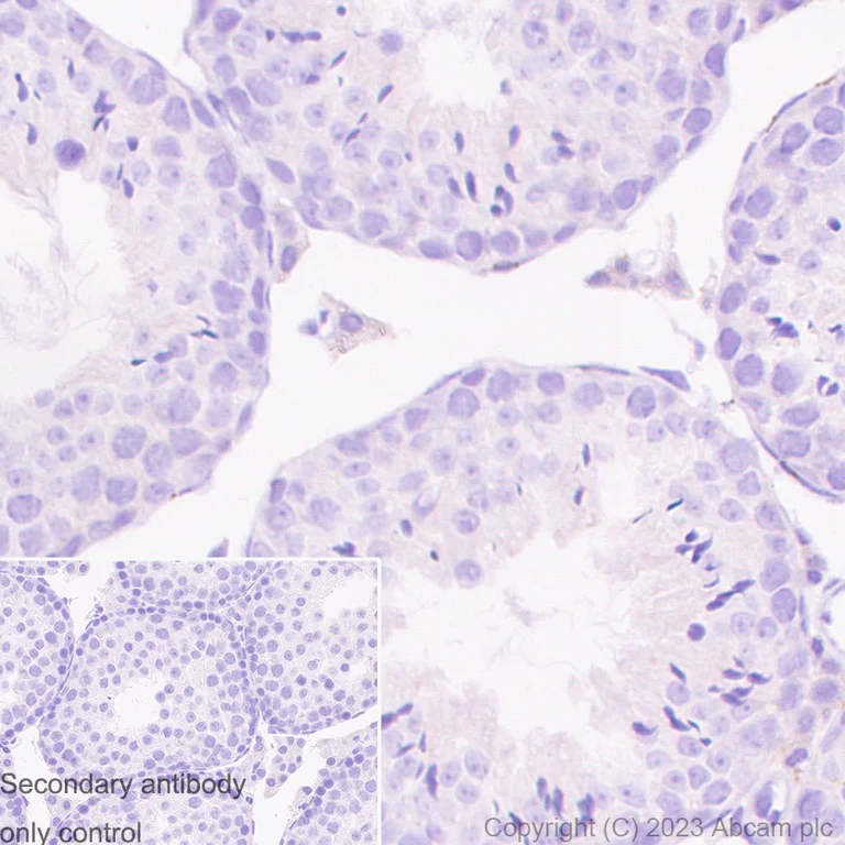
Immunohistochemical analysis of paraffin-embedded Rat testis labelling Plastin L with ab109124 at 1/400 dilution (0.35 ug/ml) followed by a ready to use Rabbit specific IHC polymer detection kit HRP/DAB (ab209101).

Low expression control : Negligible staining on Rat testis.

The section was incubated with ab109124 for 30 mins at room temperature. The immunostaining was performed on a Leica Biosystems BOND® RX instrument. Secondary antibody only control : Secondary antibody is a ready to use Rabbit specific IHC polymer detection kit HRP/DAB (ab209101). Counterstained with Hematoxylin. Heat mediated antigen retrieval was performed with Tris-EDTA buffer (pH 9.0, Epitope Retrieval Solution2) for 20 mins.

Immunohistochemistry (Formalin/PFA-fixed paraffin-embedded sections) - Anti-Plastin L antibody [EPR4277] (AB109124)
  • IHC-P

Supplier Data

Immunohistochemistry (Formalin/PFA-fixed paraffin-embedded sections) - Anti-Plastin L antibody [EPR4277] (AB109124)

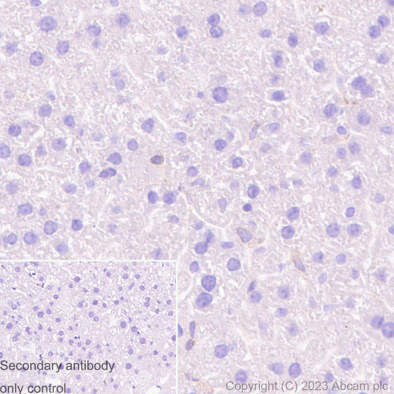
Immunohistochemical analysis of paraffin-embedded Mouse liver labelling Plastin L with ab109124 at 1/400 dilution (0.35 ug/ml) followed by a ready to use Rabbit specific IHC polymer detection kit HRP/DAB (ab209101).

Low expression control : Negligible staining on mouse liver.

The section was incubated with ab109124 for 30 mins at room temperature. The immunostaining was performed on a Leica Biosystems BOND® RX instrument. Secondary antibody only control : Secondary antibody is a ready to use Rabbit specific IHC polymer detection kit HRP/DAB (ab209101). Counterstained with Hematoxylin. Heat mediated antigen retrieval was performed with Tris-EDTA buffer (pH 9.0, Epitope Retrieval Solution2) for 20 mins.

Immunohistochemistry (Formalin/PFA-fixed paraffin-embedded sections) - Anti-Plastin L antibody [EPR4277] (AB109124)
  • IHC-P

Supplier Data

Immunohistochemistry (Formalin/PFA-fixed paraffin-embedded sections) - Anti-Plastin L antibody [EPR4277] (AB109124)

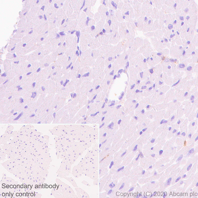
Immunohistochemical analysis of paraffin-embedded Mouse cardiac muscle labelling Plastin L with ab109124 at 1/400 dilution (0.35 ug/ml) followed by a ready to use Rabbit specific IHC polymer detection kit HRP/DAB (ab209101).

Low expression control : no staining on the cardiac muscle in mouse heart, but staining the stroma immune cells.

The section was incubated with ab109124 for 30 mins at room temperature. The immunostaining was performed on a Leica Biosystems BOND® RX instrument. Secondary antibody only control : Secondary antibody is a ready to use Rabbit specific IHC polymer detection kit HRP/DAB (ab209101). Counterstained with Hematoxylin. Heat mediated antigen retrieval was performed with Tris-EDTA buffer (pH 9.0, Epitope Retrieval Solution2) for 20 mins.

Immunohistochemistry (Formalin/PFA-fixed paraffin-embedded sections) - Anti-Plastin L antibody [EPR4277] (AB109124)
  • IHC-P

Supplier Data

Immunohistochemistry (Formalin/PFA-fixed paraffin-embedded sections) - Anti-Plastin L antibody [EPR4277] (AB109124)

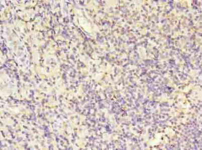
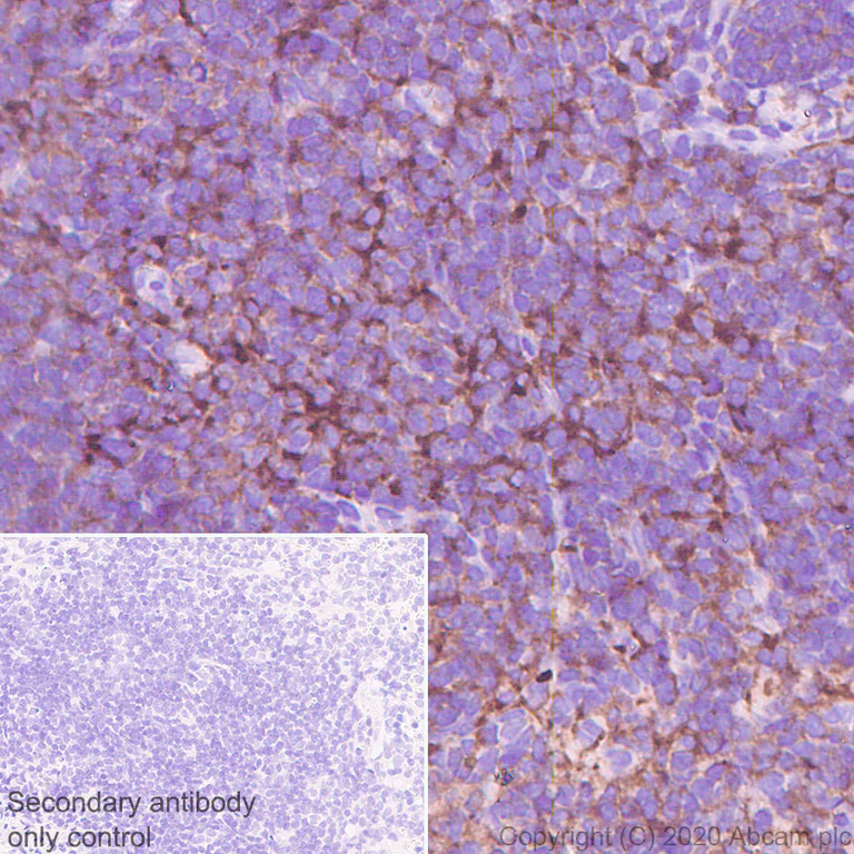
Immunohistochemical analysis of paraffin-embedded Mouse spleen labelling Plastin L with ab109124 at 1/400 dilution (0.35 ug/ml) followed by a ready to use Rabbit specific IHC polymer detection kit HRP/DAB (ab209101). Positive staining on the mouse spleen. The section was incubated with ab109124 for 30 mins at room temperature. The immunostaining was performed on a Leica Biosystems BOND® RX instrument. Secondary antibody only control : Rabbit specific IHC polymer detection kit HRP/DAB (ab209101). Counterstained with Hematoxylin. Heat mediated antigen retrieval was performed with Tris-EDTA buffer (pH 9.0, Epitope Retrieval Solution2) for 20 mins.

Immunohistochemistry (Formalin/PFA-fixed paraffin-embedded sections) - Anti-Plastin L antibody [EPR4277] (AB109124)
  • IHC-P

Supplier Data

Immunohistochemistry (Formalin/PFA-fixed paraffin-embedded sections) - Anti-Plastin L antibody [EPR4277] (AB109124)

Immunohistochemical analysis of paraffin-embedded Mouse testis labelling Plastin L with ab109124 at 1/400 dilution (0.35 ug/ml) followed by a ready to use Rabbit specific IHC polymer detection kit HRP/DAB (ab209101).

Low expression control : Negligible staining on mouse testis.

The section was incubated with ab109124 for 30 mins at room temperature. The immunostaining was performed on a Leica Biosystems BOND® RX instrument. Secondary antibody only control : Secondary antibody is a ready to use Rabbit specific IHC polymer detection kit HRP/DAB (ab209101). Counterstained with Hematoxylin. Heat mediated antigen retrieval was performed with Tris-EDTA buffer (pH 9.0, Epitope Retrieval Solution2) for 20 mins.

Immunohistochemistry (Formalin/PFA-fixed paraffin-embedded sections) - Anti-Plastin L antibody [EPR4277] (AB109124)
  • IHC-P

Supplier Data

Immunohistochemistry (Formalin/PFA-fixed paraffin-embedded sections) - Anti-Plastin L antibody [EPR4277] (AB109124)
Immunohistochemistry (Formalin/PFA-fixed paraffin-embedded sections) - Anti-Plastin L antibody [EPR4277] (AB109124)
  • IHC-P

Supplier Data

Immunohistochemistry (Formalin/PFA-fixed paraffin-embedded sections) - Anti-Plastin L antibody [EPR4277] (AB109124)

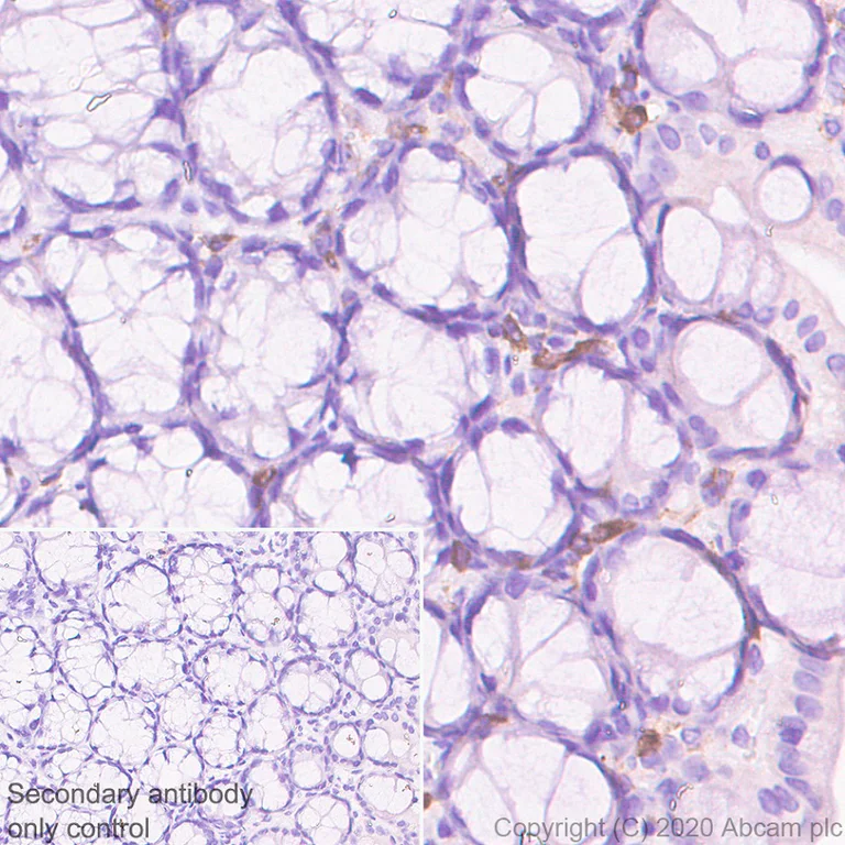
Immunohistochemical analysis of paraffin-embedded Mouse colon labelling Plastin L with ab109124 at 1/400 dilution (0.35 ug/ml) followed by a ready to use Rabbit specific IHC polymer detection kit HRP/DAB (ab209101). Positive staining on the immune cells in mouse colon. The section was incubated with ab109124 for 30 mins at room temperature. The immunostaining was performed on a Leica Biosystems BOND® RX instrument. Secondary antibody only control : Rabbit specific IHC polymer detection kit HRP/DAB (ab209101). Counterstained with Hematoxylin. Heat mediated antigen retrieval was performed with Tris-EDTA buffer (pH 9.0, Epitope Retrieval Solution2) for 20 mins.

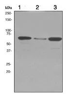
Western blot - Anti-Plastin L antibody [EPR4277] (AB109124)
  • WB

Unknown

Western blot - Anti-Plastin L antibody [EPR4277] (AB109124)

All lanes:

Western blot - Anti-Plastin L antibody [EPR4277] (ab109124) at 1/1000 dilution

Lane 1:

THP1 cell lysates at 10 µg

Lane 2:

K562 cell lysates at 10 µg

Lane 3:

Jurkat cell lysates at 10 µg

Secondary

All lanes:

HRP labelled Goat anti-Rabbit at 1/2000 dilution

Predicted band size: 70 kDa

false

Western blot - Anti-Plastin L antibody [EPR4277] (AB109124)
  • WB

Supplier Data

Western blot - Anti-Plastin L antibody [EPR4277] (AB109124)

Blocking and dilution buffer : 5% NFDM/TBST.

Low expression control : rat brain, rat liver, rat testis.

In Western blot, anti-GAPDH antibody (ab181602) loading control staining at 1/200000 dilution.

The lysates were freshly made and used for Western Blotting immediately to minimize protein degradation.

All lanes:

Western blot - Anti-Plastin L antibody [EPR4277] (ab109124) at 1/1000 dilution

Lane 1:

Low expression control: Rat brain tissue lysate at 20 µg

Lane 2:

Low expression control: Rat liver tissue lysate at 20 µg

Lane 3:

Low expression control: Rat testis tissue lysate at 20 µg

Lane 4:

Rat spleen tissue lysate at 20 µg

Secondary

All lanes:

Western blot - Goat Anti-Rabbit IgG H&L (HRP) (<a href='/products/secondary-antibodies/goat-rabbit-igg-h-l-hrp-ab97051'>ab97051</a>)

Observed band size: 80 kDa

false

Exposure time: 10s

Western blot - Anti-Plastin L antibody [EPR4277] (AB109124)
  • WB

Supplier Data

Western blot - Anti-Plastin L antibody [EPR4277] (AB109124)

Blocking and dilution buffer : 5% NFDM/TBST.

Low expression control : mouse brain, mouse liver, mouse testis.

In Western blot, anti-GAPDH antibody (ab181602) loading control staining at 1/200000 dilution.

The lysates were freshly made and used for Western Blotting immediately to minimize protein degradation.

All lanes:

Western blot - Anti-Plastin L antibody [EPR4277] (ab109124) at 1/1000 dilution

Secondary

All lanes:

Western blot - Goat Anti-Rabbit IgG H&L (HRP) (<a href='/products/secondary-antibodies/goat-rabbit-igg-h-l-hrp-ab97051'>ab97051</a>)

Observed band size: 70 kDa

false

Exposure time: 10s

关键信息

宿主种属

Rabbit

克隆

Monoclonal

克隆号

EPR4277

亚型

IgG

不含载体蛋白

No

反应种属

Mouse, Rat, Human

应用

WB, IHC-P

applications

免疫原

The exact immunogen used to generate this antibody is proprietary information.

反应性数据

{ "title": "Reactivity Data", "filters": { "stats": ["", "Species", "Dilution Info", "Notes"], "tabs": { "all-applications": {"fullname" : "All Applications", "shortname": "All Applications"}, "IHCP" : {"fullname" : "Immunohistochemistry (Formalin/PFA-fixed paraffin-embedded sections)", "shortname":"IHC-P"}, "IP" : {"fullname" : "Immunoprecipitation", "shortname":"IP"}, "FlowCyt" : {"fullname" : "Flow Cytometry", "shortname":"Flow Cyt"}, "WB" : {"fullname" : "Western blot", "shortname":"WB"} }, "product-promise": { "all": "all", "testedAndGuaranteed": "tested", "guaranteed": "expected", "predicted": "predicted", "notRecommended": "not-recommended" } }, "values": { "Human": { "IHCP-species-checked": "testedAndGuaranteed", "IHCP-species-dilution-info": "1/100 - 1/250", "IHCP-species-notes": "<p>(Heat to 98°C allow to cool for 10-20 min).</p>", "IP-species-checked": "notRecommended", "IP-species-dilution-info": "", "IP-species-notes": "<p></p>", "FlowCyt-species-checked": "notRecommended", "FlowCyt-species-dilution-info": "", "FlowCyt-species-notes": "<p></p>", "WB-species-checked": "testedAndGuaranteed", "WB-species-dilution-info": "1/1000 - 1/10000", "WB-species-notes": "<p></p>" }, "Mouse": { "IHCP-species-checked": "testedAndGuaranteed", "IHCP-species-dilution-info": "1/400", "IHCP-species-notes": "<p></p>", "IP-species-checked": "notRecommended", "IP-species-dilution-info": "", "IP-species-notes": "", "FlowCyt-species-checked": "notRecommended", "FlowCyt-species-dilution-info": "", "FlowCyt-species-notes": "", "WB-species-checked": "testedAndGuaranteed", "WB-species-dilution-info": "1/1000", "WB-species-notes": "<p></p>" }, "Rat": { "IHCP-species-checked": "testedAndGuaranteed", "IHCP-species-dilution-info": "1/400", "IHCP-species-notes": "<p></p>", "IP-species-checked": "notRecommended", "IP-species-dilution-info": "", "IP-species-notes": "", "FlowCyt-species-checked": "notRecommended", "FlowCyt-species-dilution-info": "", "FlowCyt-species-notes": "", "WB-species-checked": "testedAndGuaranteed", "WB-species-dilution-info": "1/1000", "WB-species-notes": "<p></p>" } } }

产品详情

Patented technology
Our RabMAb® technology is a patented hybridoma-based technology for making rabbit monoclonal antibodies. For details on our patents, please refer to RabMAb® patents.

What are the advantages of a recombinant monoclonal antibody?
This product is a recombinant monoclonal antibody, which offers several advantages including:

  • - High batch-to-batch consistency and reproducibility
  • - Improved sensitivity and specificity
  • - Long-term security of supply
  • - Animal-free batch production

For more information, read more on recombinant antibodies.

性能和储存信息

形式
Liquid
纯化工艺
Affinity purification Protein A
存储溶液
pH: 7.2 - 7.4 Preservative: 0.05% Sodium azide Constituents: 50% Tissue culture supernatant, 40% Glycerol (glycerin, glycerine), 9.85% Tris glycine, 0.1% BSA
运输条件
Blue Ice
推荐的短期储存条件
+4°C
推荐的长期储存条件
-20°C
储存信息
Stable for 12 months at -20°C

补充信息

This supplementary information is collated from multiple sources and compiled automatically.

Plastin L also known as L-Plastin or plastine is a type of actin-bundling protein involved in regulating cytoskeletal rearrangements. This protein has a mass of approximately 70 kDa and serves an essential role in maintaining cell structure and mobility by cross-linking actin filaments. It is predominantly found in hematopoietic cells such as leukocytes but also expressed in certain non-hematopoietic cells. In zebrafish studies plastin L has been important for understanding its conservation and function across species.
Biological function summary

Plastin L participates in cellular processes such as phagocytosis cell motility and immune responses by stabilizing actin filaments. It does not form part of a larger protein complex but interacts with actin to perform its functions. As an actin-binding protein it helps in the formation and maintenance of the cytoskeleton impacting the cell's mechanical properties and response to external stimuli.

Pathways

Plastin L plays significant roles in immune cell signaling and cytoskeletal rearrangements. It is involved in pathways such as the immune response and cell adhesion where it contributes to leukocyte emigration and inflammation. Plastin L is functionally related to proteins like talin and paxillin which are key in mediating signal transduction resulting in cytoskeletal remodeling.

Plastin L is associated with cancer and immune system disorders. Overexpression of plastin L correlates with various forms of cancer highlighting its role in tumor cell invasion and metastasis. Additionally it shows a connection with autoimmune conditions where deregulation of actin polymerization affects immune cell function. In these contexts proteins like cofilin interact with plastin L to modulate actin dynamics and cellular responses.

产品实验方案

For this product, it's our understanding that no specific protocols are required. You can visit:

靶点信息

Actin-binding protein (PubMed : 16636079, PubMed : 17294403, PubMed : 28493397). Plays a role in the activation of T-cells in response to costimulation through TCR/CD3 and CD2 or CD28 (PubMed : 17294403). Modulates the cell surface expression of IL2RA/CD25 and CD69 (PubMed : 17294403).
See full target information LCP1

文献 (4)

Recent publications for all applications. Explore the full list and refine your search

NPJ Regenerative medicine 10:4 PubMed39833274

2025

Systemic factors associated with antler growth promote complete wound healing.

Applications

Unspecified application

Species

Unspecified reactive species

Qianqian Guo,Guokun Zhang,Jing Ren,Jiping Li,Zhen Wang,Hengxing Ba,Zihao Ye,Ying Wang,Junjun Zheng,Chunyi Li

Science advances 6: PubMed33208358

2020

Targeting actin-bundling protein L-plastin as an anabolic therapy for bone loss.

Applications

Unspecified application

Species

Unspecified reactive species

Xiaoqun Li,Lipeng Wang,Biaotong Huang,Yanqiu Gu,Ying Luo,Xin Zhi,Yan Hu,Hao Zhang,Zhengrong Gu,Jin Cui,Liehu Cao,Jiawei Guo,Yajun Wang,Qirong Zhou,Hao Jiang,Chao Fang,Weizong Weng,Xiaofei Chen,Xiao Chen,Jiacan Su

Journal of cellular biochemistry 119:8897-8908 PubMed30105826

2018

Platelet-derived growth factor subunit B is required for tendon-bone healing using bone marrow-derived mesenchymal stem cells after rotator cuff repair in rats.

Applications

Unspecified application

Species

Unspecified reactive species

Lin-Liang Wang,Xue-Feng Yin,Xiu-Cheng Chu,Yong-Bing Zhang,Xiao-Nan Gong

Cell systems 6:579-592.e4 PubMed29778837

2018

Defining Host Responses during Systemic Bacterial Infection through Construction of a Murine Organ Proteome Atlas.

Applications

Unspecified application

Species

Unspecified reactive species

John D Lapek,Robert H Mills,Jacob M Wozniak,Anaamika Campeau,Ronnie H Fang,Xiaoli Wei,Kirsten van de Groep,Araceli Perez-Lopez,Nina M van Sorge,Manuela Raffatellu,Rob Knight,Liangfang Zhang,David J Gonzalez
View all publications

Abcam Product Promise

我们致力于为您的研究提供高质量的试剂,为您科研的每一步提供支持。若我们的产品未能达到预期性能,我们向您提供 Abcam Product Promise 保障。
详情请参阅我们的条款与条件。

Please note: All products are 'FOR RESEARCH USE ONLY. NOT FOR USE IN DIAGNOSTIC OR THERAPEUTIC PROCEDURES'.

For licensing inquiries, please contact partnerships@abcam.com