JavaScript is disabled in your browser. Please enable JavaScript to view this website.
AB89071

Anti-PKLR抗体

Anti-PKLR antibody

Be the first to review this product! Submit a review

|

(1 Publication)

Mouse Polyclonal PKLR antibody. Carrier free. Suitable for WB, IHC-P and reacts with Human samples. Cited in 1 publication. Immunogen corresponding to Recombinant Full Length Protein corresponding to Human PKLR.

查看别名

PK1, PKL, PKLR, Pyruvate kinase PKLR, Pyruvate kinase 1, Pyruvate kinase isozymes L/R, R-type/L-type pyruvate kinase, Red cell/liver pyruvate kinase

3 Images
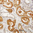
Immunohistochemistry (Formalin/PFA-fixed paraffin-embedded sections) - Anti-PKLR antibody (AB89071)
  • IHC-P

Unknown

Immunohistochemistry (Formalin/PFA-fixed paraffin-embedded sections) - Anti-PKLR antibody (AB89071)

ab89071 at 3µg/ml staining PKLR in Human kidney by Immunohistochemistry, Formalin-fixed, Paraffin-embedded tissue.

Western blot - Anti-PKLR antibody (AB89071)
  • WB

Unknown

Western blot - Anti-PKLR antibody (AB89071)

All lanes:

Western blot - Anti-PKLR antibody (ab89071) at 1 µg/mL

All lanes:

Human liver tissue lysate at 50 µg

Predicted band size: 62 kDa

Observed band size: 62 kDa

false

Western blot - Anti-PKLR antibody (AB89071)
  • WB

Unknown

Western blot - Anti-PKLR antibody (AB89071)

All lanes:

Western blot - Anti-PKLR antibody (ab89071) at 1 µg/mL

Lane 1:

PKLR transfected 293T cell lysate at 25 µg

Lane 2:

Non-transfected lysate at 25 µg

Predicted band size: 62 kDa

Observed band size: 48 kDa,60 kDa

false

关键信息

宿主种属

Mouse

克隆

Polyclonal

亚型

IgG

不含载体蛋白

Yes

反应种属

Human

应用

WB, IHC-P

applications

免疫原

Recombinant Full Length Protein corresponding to Human PKLR.

P30613

反应性数据

{ "title": "Reactivity Data", "filters": { "stats": ["", "Species", "Dilution Info", "Notes"], "tabs": { "all-applications": {"fullname" : "All Applications", "shortname": "All Applications"}, "WB" : {"fullname" : "Western blot", "shortname":"WB"}, "IHCP" : {"fullname" : "Immunohistochemistry (Formalin/PFA-fixed paraffin-embedded sections)", "shortname":"IHC-P"} }, "product-promise": { "all": "all", "testedAndGuaranteed": "tested", "guaranteed": "expected", "predicted": "predicted", "notRecommended": "not-recommended" } }, "values": { "Human": { "WB-species-checked": "testedAndGuaranteed", "WB-species-dilution-info": "1 µg/mL", "WB-species-notes": "<p></p>", "IHCP-species-checked": "testedAndGuaranteed", "IHCP-species-dilution-info": "3 µg/mL", "IHCP-species-notes": "<p></p>" } } }

性能和储存信息

形式
Liquid
纯化工艺
Affinity purification Protein A
存储溶液
pH: 7.4 Constituents: PBS
运输条件
Blue Ice
推荐的短期储存条件
+4°C
推荐的长期储存条件
-20°C
分装信息
Upon delivery aliquot
储存信息
Avoid freeze / thaw cycle

补充信息

This supplementary information is collated from multiple sources and compiled automatically.

The PKLR gene encodes the pyruvate kinase liver and red blood cell enzyme also known as PK-LR. This enzyme catalyzes the last step in the glycolytic pathway converting phosphoenolpyruvate (PEP) into pyruvate with the production of ATP. The alternative names for PKLR include R-type pyruvate kinase and L-type pyruvate kinase. The enzyme has a molecular mass of approximately 57 kDa. It is primarily expressed in the liver and red blood cells with some presence in the pancreatic islets supporting its physiological roles in these tissues.
Biological function summary

Pyruvate kinase is important for energy production by regulating glycolysis. It exists as a homo-tetramer forming a complex to execute its enzymatic activity. This complex ensures the efficient conversion of PEP facilitating the flow of carbon through the glycolytic pathway. In the liver PKLR plays a role in gluconeogenesis and lipogenesis while in red blood cells it contributes directly to ATP production essential for maintaining cellular energy and function.

Pathways

The pyruvate kinase enzyme is a significant participant in glycolysis and gluconeogenesis. These pathways are central to energy metabolism linking glucose breakdown with ATP generation. Pyruvate kinase interacts with enzymes like hexokinase and phosphofructokinase within the glycolytic pathway coordinating with these enzymes to regulate energy metabolism. In gluconeogenesis PKLR integrates into the mechanism ensuring the balance between energy production and storage.

PKLR mutations can lead to pyruvate kinase deficiency a condition that causes hemolytic anemia. This disorder results from impaired ATP production in red blood cells causing them to break down prematurely. In liver tissues dysregulation of PKLR activity associates with cancers like hepatocellular carcinoma. This enzyme connects with proteins such as lactate dehydrogenase in cancer metabolism affecting the Warburg effect which is tangled with cancer cell survival and proliferation.

产品实验方案

For this product, it's our understanding that no specific protocols are required. You can visit:

靶点信息

Pyruvate kinase that catalyzes the conversion of phosphoenolpyruvate to pyruvate with the synthesis of ATP, and which plays a key role in glycolysis.
See full target information PKLR

文献 (1)

Recent publications for all applications. Explore the full list and refine your search

Blood 130:1347-1356 PubMed28760888

2017

AG-348 enhances pyruvate kinase activity in red blood cells from patients with pyruvate kinase deficiency.

Applications

Unspecified application

Species

Unspecified reactive species

Charles Kung,Jeff Hixon,Penelope A Kosinski,Giovanni Cianchetta,Gavin Histen,Yue Chen,Collin Hill,Stefan Gross,Yaguang Si,Kendall Johnson,Byron DeLaBarre,Zhiyong Luo,Zhiwei Gu,Gui Yao,Huachun Tang,Cheng Fang,Yingxia Xu,Xiaobing Lv,Scott Biller,Shin-San Michael Su,Hua Yang,Janeta Popovici-Muller,Francesco Salituro,Lee Silverman,Lenny Dang
View all publications

Abcam Product Promise

我们致力于为您的研究提供高质量的试剂,为您科研的每一步提供支持。若我们的产品未能达到预期性能,我们向您提供 Abcam Product Promise 保障。
详情请参阅我们的条款与条件。

Please note: All products are 'FOR RESEARCH USE ONLY. NOT FOR USE IN DIAGNOSTIC OR THERAPEUTIC PROCEDURES'.

For licensing inquiries, please contact partnerships@abcam.com