JavaScript is disabled in your browser. Please enable JavaScript to view this website.
AB302891

重组Anti-PKC theta/PRKCQ抗体[27/PKC theta]

Anti-PKC theta/PRKCQ antibody [27/PKC theta]

Be the first to review this product! Submit a review

|

(1 Publication)

Mouse Recombinant Monoclonal PKC theta/PRKCQ antibody. Suitable for WB, IP and reacts with Human, Mouse samples. Cited in 1 publication.

查看别名

PRKCT, PRKCQ, Protein kinase C theta type, nPKC-theta

5 Images
Immunoprecipitation - Anti-PKC theta/PRKCQ antibody [27/PKC theta] (AB302891)
  • IP

Supplier Data

Immunoprecipitation - Anti-PKC theta/PRKCQ antibody [27/PKC theta] (AB302891)

PKC theta/PRKCQ was immunoprecipitated from 0.35 mg K-562 (human chronic myelogenous leukemia lymphoblast), whole cell lysate 10 µg with ab302891 at 1/30 dilution (2µg in 0.35mg lysates). Western blot was performed on the immunoprecipitate using ab302891 at 1/1000 dilution. Peroxidase-Conjµated Goat anti-Mouse IgG (H+L) was used at 1/10000 dilution. Lane 1 : K-562 whole cell lysate 10 µg Lane 2 : ab302891 IP in K-562 whole cell lysate Lane 3 : Mouse IgG2a, kappa monoclonal isotype control (ab18413) instead of ab302891 in K-562 whole cell lysate Blocking and dilution buffer and concentration : 5% NFDM/TBST. Exposure time : 3 seconds.

All lanes:

Immunoprecipitation - Anti-PKC theta/PRKCQ antibody [27/PKC theta] (ab302891) at 1/30 dilution

All lanes:

K-562 (human chronic myelogenous leukemia lymphoblast)

Secondary

All lanes:

Peroxidase-Conjugated Goat anti-Mouse IgG (H+L) at 1/10000 dilution

Observed band size: 82 kDa

false

Exposure time: 3s

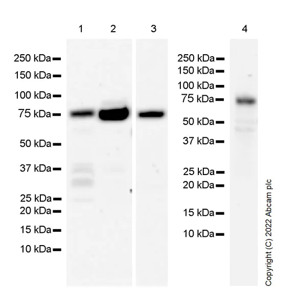
Western blot - Anti-PKC theta/PRKCQ antibody [27/PKC theta] (AB302891)
  • WB

Supplier Data

Western blot - Anti-PKC theta/PRKCQ antibody [27/PKC theta] (AB302891)

Blocking and diluting buffer and concentration : 5% NFDM/TBST. The blot of lane 4 was developed using a high sensitivity ECL substrate. Exposure time : Lane 1-3 : 92 seconds; Lane 4 : 59 seconds.

All lanes:

Western blot - Anti-PKC theta/PRKCQ antibody [27/PKC theta] (ab302891) at 1/1000 dilution

Lane 1:

Mouse spleen tissue lysate at 20 µg

Lane 2:

Mouse thymus tissue lysate at 20 µg

Lane 3:

K-562 (human chronic myelogenous leukemia lymphoblast), whole cell lysate at 20 µg

Lane 4:

Human cerebellum tissue lysate at 20 µg

Secondary

All lanes:

Peroxidase-Conjugated Goat anti-Mouse IgG (H+L) (ZB-2305) at 1/10000 dilution

Observed band size: 81 kDa

true

Western blot - Anti-PKC theta/PRKCQ antibody [27/PKC theta] (AB302891)
  • WB

Supplier Data

Western blot - Anti-PKC theta/PRKCQ antibody [27/PKC theta] (AB302891)

Blocking and diluting buffer and concentration : 5% NFDM/TBST. Exposure time : 26 seconds.

All lanes:

Western blot - Anti-PKC theta/PRKCQ antibody [27/PKC theta] (ab302891) at 1/1000 dilution

Lane 1:

Active human PKC beta 1 fl length protein 5 ng at 5 ng

Lane 2:

Active human PKC delta fl length protein 5 ng at 5 ng

Lane 3:

Active human PKC theta fl length protein 10 ng at 10 ng

Lane 4:

Active human PKC zeta fl length protein 10 ng at 10 ng

Secondary

All lanes:

Peroxidase-Conjugated Goat anti-Mouse IgG (H+L) (ZB-2305) at 1/10000 dilution

Observed band size: 100 kDa

false

Exposure time: 26s

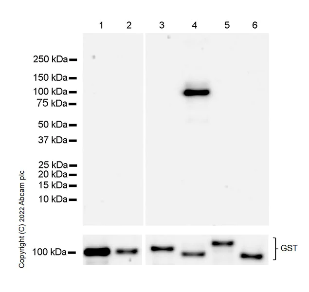
Western blot - Anti-PKC theta/PRKCQ antibody [27/PKC theta] (AB302891)
  • WB

Supplier Data

Western blot - Anti-PKC theta/PRKCQ antibody [27/PKC theta] (AB302891)

Blocking and diluting buffer and concentration : 5% NFDM/TBST Exposure time : 37 seconds

All lanes:

Western blot - Anti-PKC theta/PRKCQ antibody [27/PKC theta] (ab302891) at 1/1000 dilution

Lane 1:

Active human PKC alpha fl length protein 60 ng at 60 ng

Lane 2:

Active human PKC beta 2 fl length protein 5 ng at 5 ng

Lane 3:

Active human PKC epsilon fl length protein 50 ng at 50 ng

Lane 4:

Active human PKC theta fl length protein 5 ng at 5 ng

Lane 5:

Active human PKC mu fl length protein 50 ng at 50 EU/ng

Lane 6:

Active human PKC iota fl length protein 10 ng at 10 ng

Secondary

All lanes:

Peroxidase-Conjugated Goat anti-Mouse IgG (H+L) (ZB-2305) at 1/10000 dilution

Observed band size: 100 kDa

false

Exposure time: 37s

Western blot - Anti-PKC theta/PRKCQ antibody [27/PKC theta] (AB302891)
  • WB

Lab

Western blot - Anti-PKC theta/PRKCQ antibody [27/PKC theta] (AB302891)

Western blot : Mouse Monoclonal[27/PKC theta] to PKC theta/PRKCQ ab302891 staining at 1/1000 dilution, shown in green; Rabbit anti GAPDH (ab181602) loading control staining at 1/20,000 dilution, shown in magenta. A band was observed at 75 kDa in Wild-type A549 cell lysates with no signal observed at this size in PRKCQ knockout A549 cell line.

To generate this image, samples were run on an SDS-PAGE gel then transferred onto a nitrocellulose membrane. Membranes were blocked in 3pc Milk in TBS-0.1 % Tween® 20 (TBS-T) before incubation with primary antibodies overnight at 4 °C. Blots were washed four times in TBS-T, incubated with secondary antibodies for 1 h at room temperature, washed again four times then imaged. Secondary antibodies used were Goat anti-Mouse 800CW & Goat anti-Rabbit 680RD at 1/20,000 dilution.

Lanes 1 - 4:

Western blot - Anti-PKC theta/PRKCQ antibody [27/PKC theta] (ab302891) at 1/1000 dilution

Lanes 1 - 4:

Western blot - Anti-PKC theta/PRKCQ antibody [27/PKC theta] - BSA and Azide Free (<a href='/products/primary-antibodies/pkc-theta-prkcq-antibody-27-pkc-theta-bsa-and-azide-free-ab302892'>ab302892</a>) at 1/1000 dilution

Lane 1:

Wild-type A549 at 20 µg

Lane 2:

PRKCQ knockout A549 at 20 µg

Lane 3:

Jurkat at 20 µg

Lane 4:

Raji at 20 µg

Secondary

All lanes:

Goat anti-Mouse 800CW & Goat anti-Rabbit 680RD at 1/20000 dilution

Predicted band size: 82 kDa

Observed band size: 75 kDa

false

关键信息

宿主种属

Mouse

克隆

Monoclonal

克隆号

27-PKC theta

亚型

IgG2a

不含载体蛋白

No

反应种属

Human, Mouse

应用

IP, WB

applications

免疫原

The exact immunogen used to generate this antibody is proprietary information.

反应性数据

{ "title": "Reactivity Data", "filters": { "stats": ["", "Species", "Dilution Info", "Notes"], "tabs": { "all-applications": {"fullname" : "All Applications", "shortname": "All Applications"}, "WB" : {"fullname" : "Western blot", "shortname":"WB"}, "IHCP" : {"fullname" : "Immunohistochemistry (Formalin/PFA-fixed paraffin-embedded sections)", "shortname":"IHC-P"}, "ICCIF" : {"fullname" : "Immunocytochemistry/ Immunofluorescence", "shortname":"ICC/IF"}, "IP" : {"fullname" : "Immunoprecipitation", "shortname":"IP"} }, "product-promise": { "all": "all", "testedAndGuaranteed": "tested", "guaranteed": "expected", "predicted": "predicted", "notRecommended": "not-recommended" } }, "values": { "Human": { "WB-species-checked": "testedAndGuaranteed", "WB-species-dilution-info": "1/1000", "WB-species-notes": "<p></p>", "IHCP-species-checked": "notRecommended", "IHCP-species-dilution-info": "", "IHCP-species-notes": "<p></p> Perform heat-mediated antigen retrieval with Tris/EDTA buffer pH 9.0 before commencing with IHC staining protocol.", "ICCIF-species-checked": "notRecommended", "ICCIF-species-dilution-info": "", "ICCIF-species-notes": "<p></p>", "IP-species-checked": "testedAndGuaranteed", "IP-species-dilution-info": "1/30", "IP-species-notes": "<p></p>" }, "Mouse": { "WB-species-checked": "testedAndGuaranteed", "WB-species-dilution-info": "1/1000", "WB-species-notes": "<p></p>", "IHCP-species-checked": "notRecommended", "IHCP-species-dilution-info": "", "IHCP-species-notes": "<p></p> Perform heat-mediated antigen retrieval with Tris/EDTA buffer pH 9.0 before commencing with IHC staining protocol.", "ICCIF-species-checked": "notRecommended", "ICCIF-species-dilution-info": "", "ICCIF-species-notes": "", "IP-species-checked": "guaranteed", "IP-species-dilution-info": "", "IP-species-notes": "" }, "Rat": { "WB-species-checked": "notRecommended", "WB-species-dilution-info": "1/1000", "WB-species-notes": "<p></p>", "IHCP-species-checked": "notRecommended", "IHCP-species-dilution-info": "", "IHCP-species-notes": "<p></p> Perform heat-mediated antigen retrieval with Tris/EDTA buffer pH 9.0 before commencing with IHC staining protocol.", "ICCIF-species-checked": "notRecommended", "ICCIF-species-dilution-info": "", "ICCIF-species-notes": "", "IP-species-checked": "notRecommended", "IP-species-dilution-info": "", "IP-species-notes": "" } } }

产品详情

What are the advantages of a recombinant monoclonal antibody?
This product is a recombinant monoclonal antibody, which offers several advantages including:

  • - High batch-to-batch consistency and reproducibility
  • - Improved sensitivity and specificity
  • - Long-term security of supply
  • - Animal-free batch production

For more information, read more on recombinant antibodies.

Want a custom formulation?
This antibody clone is manufactured by Abcam. If you require a custom buffer formulation or conjugation for your experiments, please contact orders@abcam.com

性能和储存信息

形式
Liquid
纯化工艺
Affinity purification Protein A
存储溶液
pH: 7.2 - 7.4 Preservative: 0.01% Sodium azide Constituents: PBS, 40% Glycerol (glycerin, glycerine), 0.05% BSA
运输条件
Blue Ice
推荐的短期储存时间
1-2 weeks
推荐的短期储存条件
+4°C
推荐的长期储存条件
-20°C
分装信息
Upon delivery aliquot
储存信息
Avoid freeze / thaw cycle

补充信息

This supplementary information is collated from multiple sources and compiled automatically.

PKC theta also known as PRKCQ is a protein kinase involved in signal transduction. The mass of PKC theta is approximately 85 kDa. It is a member of the protein kinase C (PKC) family which has distinctive roles in cellular processes. PKC theta specifically localizes in T-cells and is an important player in immune system functions. It is expressed predominantly in lymphoid tissues such as the spleen and thymus where T-cell activation and differentiation are significant.
Biological function summary

PKC theta participates in T-cell receptor signaling involved in the formation of immune synapses. It is an essential component of the multiprotein complex that includes molecules like LAT SLP-76 and Lck. PKC theta's activation allows the transmission of activation signals leading to the production of cytokines like IL-2. This function is integral to ensuring an effective immune response and the maintenance of immune homeostasis.

Pathways

PKC theta is central in the NF-kB pathway which transmits signals from T-cell receptors to the nucleus promoting gene transcription. It also plays a role in the AP-1 pathway collaborating with proteins such as CARMA1 and BCL10. These pathways underpin the immune response coordinating T-cell activation proliferation and survival linking PKC theta function to several immunological processes.

PKC theta has connections with autoimmune conditions such as rheumatoid arthritis and type 1 diabetes. In these disorders its role in T-cell signaling becomes dysregulated. This can lead to the overactive immune response against the body's tissues. Additionally PKC theta may interact with proteins involved in inflammatory signaling like NF-kB exacerbating inflammation and tissue damage. Understanding these relationships is important for developing therapies targeting immune dysregulation.

产品实验方案

For this product, it's our understanding that no specific protocols are required. You can visit:

靶点信息

Calcium-independent, phospholipid- and diacylglycerol (DAG)-dependent serine/threonine-protein kinase that mediates non-redundant functions in T-cell receptor (TCR) signaling, including T-cells activation, proliferation, differentiation and survival, by mediating activation of multiple transcription factors such as NF-kappa-B, JUN, NFATC1 and NFATC2. In TCR-CD3/CD28-co-stimulated T-cells, is required for the activation of NF-kappa-B and JUN, which in turn are essential for IL2 production, and participates in the calcium-dependent NFATC1 and NFATC2 transactivation (PubMed : 21964608). Mediates the activation of the canonical NF-kappa-B pathway (NFKB1) by direct phosphorylation of CARD11 on several serine residues, inducing CARD11 association with lipid rafts and recruitment of the BCL10-MALT1 complex, which then activates IKK complex, resulting in nuclear translocation and activation of NFKB1. May also play an indirect role in activation of the non-canonical NF-kappa-B (NFKB2) pathway. In the signaling pathway leading to JUN activation, acts by phosphorylating the mediator STK39/SPAK and may not act through MAP kinases signaling. Plays a critical role in TCR/CD28-induced NFATC1 and NFATC2 transactivation by participating in the regulation of reduced inositol 1,4,5-trisphosphate generation and intracellular calcium mobilization. After costimulation of T-cells through CD28 can phosphorylate CBLB and is required for the ubiquitination and subsequent degradation of CBLB, which is a prerequisite for the activation of TCR. During T-cells differentiation, plays an important role in the development of T-helper 2 (Th2) cells following immune and inflammatory responses, and, in the development of inflammatory autoimmune diseases, is necessary for the activation of IL17-producing Th17 cells. May play a minor role in Th1 response. Upon TCR stimulation, mediates T-cell protective survival signal by phosphorylating BAD, thus protecting T-cells from BAD-induced apoptosis, and by up-regulating BCL-X(L)/BCL2L1 levels through NF-kappa-B and JUN pathways. In platelets, regulates signal transduction downstream of the ITGA2B, CD36/GP4, F2R/PAR1 and F2RL3/PAR4 receptors, playing a positive role in 'outside-in' signaling and granule secretion signal transduction. May relay signals from the activated ITGA2B receptor by regulating the uncoupling of WASP and WIPF1, thereby permitting the regulation of actin filament nucleation and branching activity of the Arp2/3 complex. May mediate inhibitory effects of free fatty acids on insulin signaling by phosphorylating IRS1, which in turn blocks IRS1 tyrosine phosphorylation and downstream activation of the PI3K/AKT pathway. Phosphorylates MSN (moesin) in the presence of phosphatidylglycerol or phosphatidylinositol. Phosphorylates PDPK1 at 'Ser-504' and 'Ser-532' and negatively regulates its ability to phosphorylate PKB/AKT1. Phosphorylates CCDC88A/GIV and inhibits its guanine nucleotide exchange factor activity (PubMed : 23509302). Phosphorylates and activates LRRK1, which phosphorylates RAB proteins involved in intracellular trafficking (PubMed : 36040231).
See full target information PRKCQ

文献 (1)

Recent publications for all applications. Explore the full list and refine your search

International journal of molecular sciences 25: PubMed38542067

2024

Unveiling the Role of Protein Kinase C θ in Porcine Epidemic Diarrhea Virus Replication: Insights from Genome-Wide CRISPR/Cas9 Library Screening.

Applications

Unspecified application

Species

Unspecified reactive species

Jinglin Zhou,Zhihua Feng,Deyang Lv,Duokai Wang,Kai Sang,Zhihao Liu,Dong Guo,Yangkun Shen,Qi Chen
View all publications

Abcam Product Promise

我们致力于为您的研究提供高质量的试剂,为您科研的每一步提供支持。若我们的产品未能达到预期性能,我们向您提供 Abcam Product Promise 保障。
详情请参阅我们的条款与条件。

Please note: All products are 'FOR RESEARCH USE ONLY. NOT FOR USE IN DIAGNOSTIC OR THERAPEUTIC PROCEDURES'.

For licensing inquiries, please contact partnerships@abcam.com