JavaScript is disabled in your browser. Please enable JavaScript to view this website.
AB5797

Anti-PKC gamma (phospho T674) 抗体

Anti-PKC gamma (phospho T674) antibody

3

(1 Review)

|

(5 Publications)

Rabbit Polyclonal KPCG phospho T674 antibody. Suitable for WB, IHC-P and reacts with Human, Mouse samples. Cited in 5 publications. Immunogen corresponding to Synthetic Peptide within Human PRKCG phospho T674.

查看别名

PKCG, PRKCG, Protein kinase C gamma type, PKC-gamma

4 Images
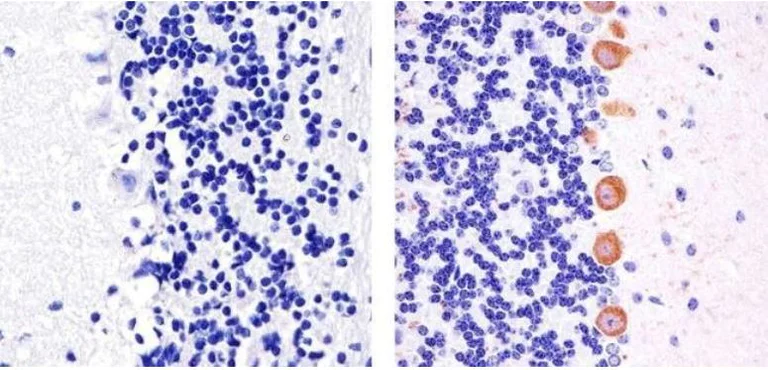
Immunohistochemistry (Formalin/PFA-fixed paraffin-embedded sections) - Anti-PKC gamma (phospho T674) antibody (AB5797)
  • IHC-P

Supplier Data

Immunohistochemistry (Formalin/PFA-fixed paraffin-embedded sections) - Anti-PKC gamma (phospho T674) antibody (AB5797)

Paraffin embedded Human cerebellum tissue (right) stained for PKC gamma using ab5797 at 1/20 dilution in immunohistochemical analysis. Negative control without primary antibody (left).

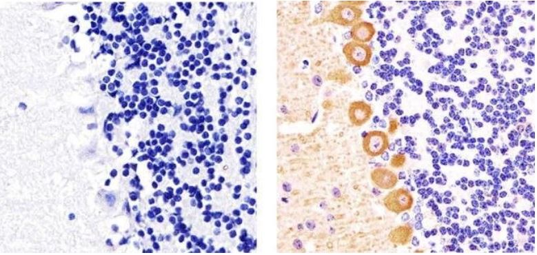
Immunohistochemistry (Formalin/PFA-fixed paraffin-embedded sections) - Anti-PKC gamma (phospho T674) antibody (AB5797)
  • IHC-P

Supplier Data

Immunohistochemistry (Formalin/PFA-fixed paraffin-embedded sections) - Anti-PKC gamma (phospho T674) antibody (AB5797)

Paraffin embedded Mouse cerebellum tissue (right) stained for PKC gamma using ab5797 at 1/100 dilution in immunohistochemical analysis. Negative control without primary antibody (left).

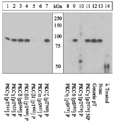
Western blot - Anti-PKC gamma (phospho T674) antibody (AB5797)
  • WB

Unknown

Western blot - Anti-PKC gamma (phospho T674) antibody (AB5797)

Peptide Competition and Phosphatase Treatment : Lysates prepared from HeLa cells stimulated with PMA were resolved by SDS-PAGE on a 10% polyacrylamide gel and transferred to PVDF. Membranes were either left untreated (1-13) or treated with lambda (ë) phosphatase (14), blocked with a 5% BSA-TBST buffer overnight at 4°C, and incubated with 0.50 μg/mL ab5797 antibody for two hours at room temperature in a 3% BSA TBST buffer, following prior incubation with : the phosphopeptide corresponding to the immunogen from other PKC isoforms (1-9), the phosphopeptide immunogen (10), the non-phosphopeptide corresponding to the immunogen (11), a generic phosphothreonine containing peptide (12) or, no peptide (13, 14). After washing, membranes were incubated with goat F(ab’)2 anti-rabbit IgG HRP-conjugate and bands were detected using the Pierce SuperSignalTM method. The data show that the peptide corresponding to PKC gamma [pT674] blocks the antibody signal. The pept

All lanes:

Western blot - Anti-PKC gamma (phospho T674) antibody (ab5797)

Predicted band size: 78 kDa

false

Western blot - Anti-PKC gamma (phospho T674) antibody (AB5797)
  • WB

Unknown

Western blot - Anti-PKC gamma (phospho T674) antibody (AB5797)

WB from review by Todd O'Buckley submitted 9 April 2004.

All lanes:

Western blot - Anti-PKC gamma (phospho T674) antibody (ab5797)

Predicted band size: 78 kDa

false

关键信息

宿主种属

Rabbit

克隆

Polyclonal

亚型

IgG

不含载体蛋白

No

反应种属

Human, Mouse

应用

IHC-P, WB

applications

免疫原

Synthetic Peptide within Human PRKCG phospho T674. The exact immunogen used to generate this antibody is proprietary information.

P05129

特异性

PKC alpha (69%) may cross-react in cells expressing a high level of this protein. The peptide competition data (see Figure) suggest that this antibody will cross-react with PKC alpha [pS657] (69% homologous), beta 1 [pS661] (54%) and PKC eta [pS674] (38%).

反应性数据

{ "title": "Reactivity Data", "filters": { "stats": ["", "Species", "Dilution Info", "Notes"], "tabs": { "all-applications": {"fullname" : "All Applications", "shortname": "All Applications"}, "WB" : {"fullname" : "Western blot", "shortname":"WB"}, "IHCP" : {"fullname" : "Immunohistochemistry (Formalin/PFA-fixed paraffin-embedded sections)", "shortname":"IHC-P"} }, "product-promise": { "all": "all", "testedAndGuaranteed": "tested", "guaranteed": "expected", "predicted": "predicted", "notRecommended": "not-recommended" } }, "values": { "Human": { "WB-species-checked": "testedAndGuaranteed", "WB-species-dilution-info": "1/1000", "WB-species-notes": "<p></p>", "IHCP-species-checked": "testedAndGuaranteed", "IHCP-species-dilution-info": "1/10 - 1/100", "IHCP-species-notes": "<p></p>" }, "Mouse": { "WB-species-checked": "guaranteed", "WB-species-dilution-info": "", "WB-species-notes": "", "IHCP-species-checked": "testedAndGuaranteed", "IHCP-species-dilution-info": "1/10 - 1/100", "IHCP-species-notes": "<p></p>" } } }

产品详情

Protein Kinase C gamma (PKC gamma) is an 80 kDa member of the conventional grou(cPKCs: sensitive to calcium, diacylglycerol, phosphotidylserine and phorbol esters) of the PKC family of serine/threonine kinases that are involved in a wide range of physiological processes including mitogenesis, cell survival and transcriptional regulation. PKC gamma plays a key role in neuronal signal transduction and in regulating intercellular communication. The activation loop threonine (threonine 514 in PKC gamma) of conventional PKCs is phosphorylated by phosphoinositide-dependent kinase-1 (PDK1), which is necessary for its autophosphorylation on threonine 655 in the turn loop, and threonine 674 in the hydrophobic loop of the carboxy terminus, a critical step in generating a catalytically mature enzyme. The phosphorylation of the hydrophobic loop in the carboxyl terminus of PKCs is believed to be a key determinant in regulating PKC interaction with PDK1.

性能和储存信息

形式
Liquid
纯化工艺
Affinity purification Immunogen
纯化说明
The antibody has been negatively preadsorbed using a non-phosphopeptide corresponding to the site of phosphorylation to remove antibody that is reactive with non-phosphorylated PKC gamma. The final product is generated by affinity chromatography using a PKC gamma-derived peptide that is phosphorylated at threonine 674.
存储溶液
pH: 7.3 Preservative: 0.05% Sodium azide Constituents: PBS, 50% Glycerol (glycerin, glycerine), 0.1% BSA
运输条件
Blue Ice
推荐的短期储存条件
+4°C
推荐的长期储存条件
-20°C
分装信息
Upon delivery aliquot
储存信息
Avoid freeze / thaw cycle

补充信息

This supplementary information is collated from multiple sources and compiled automatically.

Protein kinase C gamma (PKC gamma) also known as PKCγ is a member of the protein kinase C (PKC) family. This protein has a molecular weight of approximately 78 kDa. Expressed mainly in the central nervous system PKC gamma participates in various signaling pathways. It exists as a serine/threonine kinase and plays a fundamental role in modulating cellular functions in neurons.
Biological function summary

PKC gamma acts in the regulation of neuronal signaling processes and is a component of the synaptic transmission machinery. It associates with other proteins to form complex structures that influence physiological processes. PKC gamma contributes significantly to the functions of the central nervous system by modulating synaptic plasticity which is essential for learning and memory.

Pathways

PKC gamma participates in the MAPK and PI3K signaling pathways which are critical in cell growth and survival. The protein interacts with other PKC isozymes and signaling molecules within these pathways playing a role in phosphorylating specific target proteins. These interactions facilitate the regulation of cell cycle progression and apoptosis indicating its importance in cellular homeostasis.

Abnormal PKC gamma activity associates with spinocerebellar ataxia type 14 and addiction-related behavior. Spinocerebellar ataxia results from mutations affecting PKC gamma which disrupts its normal function and leads to neurodegeneration. Additionally PKC gamma’s interaction with other proteins such as GABAA receptors in addiction highlights potential therapeutic targets for treatment.

产品实验方案

For this product, it's our understanding that no specific protocols are required. You can visit:

靶点信息

Calcium-activated, phospholipid- and diacylglycerol (DAG)-dependent serine/threonine-protein kinase that plays diverse roles in neuronal cells and eye tissues, such as regulation of the neuronal receptors GRIA4/GLUR4 and GRIN1/NMDAR1, modulation of receptors and neuronal functions related to sensitivity to opiates, pain and alcohol, mediation of synaptic function and cell survival after ischemia, and inhibition of gap junction activity after oxidative stress. Binds and phosphorylates GRIA4/GLUR4 glutamate receptor and regulates its function by increasing plasma membrane-associated GRIA4 expression. In primary cerebellar neurons treated with the agonist 3,5-dihyidroxyphenylglycine, functions downstream of the metabotropic glutamate receptor GRM5/MGLUR5 and phosphorylates GRIN1/NMDAR1 receptor which plays a key role in synaptic plasticity, synaptogenesis, excitotoxicity, memory acquisition and learning. May be involved in the regulation of hippocampal long-term potentiation (LTP), but may be not necessary for the process of synaptic plasticity. May be involved in desensitization of mu-type opioid receptor-mediated G-protein activation in the spinal cord, and may be critical for the development and/or maintenance of morphine-induced reinforcing effects in the limbic forebrain. May modulate the functionality of mu-type-opioid receptors by participating in a signaling pathway which leads to the phosphorylation and degradation of opioid receptors. May also contributes to chronic morphine-induced changes in nociceptive processing. Plays a role in neuropathic pain mechanisms and contributes to the maintenance of the allodynia pain produced by peripheral inflammation. Plays an important role in initial sensitivity and tolerance to ethanol, by mediating the behavioral effects of ethanol as well as the effects of this drug on the GABA(A) receptors. During and after cerebral ischemia modulate neurotransmission and cell survival in synaptic membranes, and is involved in insulin-induced inhibition of necrosis, an important mechanism for minimizing ischemic injury. Required for the elimination of multiple climbing fibers during innervation of Purkinje cells in developing cerebellum. Is activated in lens epithelial cells upon hydrogen peroxide treatment, and phosphorylates connexin-43 (GJA1/CX43), resulting in disassembly of GJA1 gap junction plaques and inhibition of gap junction activity which could provide a protective effect against oxidative stress (By similarity). Phosphorylates p53/TP53 and promotes p53/TP53-dependent apoptosis in response to DNA damage. Involved in the phase resetting of the cerebral cortex circadian clock during temporally restricted feeding. Stabilizes the core clock component BMAL1 by interfering with its ubiquitination, thus suppressing its degradation, resulting in phase resetting of the cerebral cortex clock (By similarity). Phosphorylates and activates LRRK1, which phosphorylates RAB proteins involved in intracellular trafficking (PubMed : 36040231).
See full target information PRKCG phospho T674

文献 (5)

Recent publications for all applications. Explore the full list and refine your search

Neurotherapeutics : the journal of the American Society for Experimental NeuroTherapeutics 22:e00547 PubMed39955176

2025

Effects of chemogenetic virus injection and clozapine administration in spinal cord injury.

Applications

Unspecified application

Species

Unspecified reactive species

Ji Hyeon Kim,Sae Yeon Hwang,Hye-Lan Lee,Sol Lip Yoon,Yoon Ha,Hye Yeong Lee,Seungjun Ryu

Science signaling 15:eabk1147 PubMed36166510

2022

Mutations in protein kinase Cγ promote spinocerebellar ataxia type 14 by impairing kinase autoinhibition.

Applications

Unspecified application

Species

Unspecified reactive species

Caila A Pilo,Timothy R Baffi,Alexandr P Kornev,Maya T Kunkel,Mario Malfavon,Dong-Hui Chen,Leigh-Ana Rossitto,Daniel X Chen,Liang-Chin Huang,Cheryl Longman,Natarajan Kannan,Wendy H Raskind,David J Gonzalez,Susan S Taylor,George Gorrie,Alexandra C Newton

The Journal of experimental medicine 219: PubMed35587822

2022

Interleukin-4 receptor signaling modulates neuronal network activity.

Applications

Unspecified application

Species

Unspecified reactive species

Nicholas Hanuscheck,Carine Thalman,Micaela Domingues,Samantha Schmaul,Muthuraman Muthuraman,Florian Hetsch,Manuela Ecker,Heiko Endle,Mohammadsaleh Oshaghi,Gianvito Martino,Tanja Kuhlmann,Katarzyna Bozek,Tim van Beers,Stefan Bittner,Jakob von Engelhardt,Johannes Vogt,Christina Francisca Vogelaar,Frauke Zipp

Nature metabolism 2:1472-1481 PubMed33324011

2020

PKC downregulation upon rapamycin treatment attenuates mitochondrial disease.

Applications

Unspecified application

Species

Unspecified reactive species

Miguel Martin-Perez,Anthony S Grillo,Takashi K Ito,Anthony S Valente,Jeehae Han,Samuel W Entwisle,Heather Z Huang,Dayae Kim,Masanao Yajima,Matt Kaeberlein,Judit Villén

The Journal of neuroscience : the official journal of the Society for Neuroscience 33:14160-9 PubMed23986250

2013

Stimulation of mGluR5 in the accumbens shell promotes cocaine seeking by activating PKC gamma.

Applications

Unspecified application

Species

Unspecified reactive species

Heath D Schmidt,Rachel L Schassburger,Leonardo A Guercio,R Christopher Pierce
View all publications

Abcam Product Promise

我们致力于为您的研究提供高质量的试剂,为您科研的每一步提供支持。若我们的产品未能达到预期性能,我们向您提供 Abcam Product Promise 保障。
详情请参阅我们的条款与条件。

Please note: All products are 'FOR RESEARCH USE ONLY. NOT FOR USE IN DIAGNOSTIC OR THERAPEUTIC PROCEDURES'.

For licensing inquiries, please contact partnerships@abcam.com