JavaScript is disabled in your browser. Please enable JavaScript to view this website.
AB75991

重组Anti-PKA alpha/beta/gamma (catalytic subunit) (phospho T197)抗体[EP2606Y]

Anti-PKA alpha/beta/gamma (catalytic subunit) (phospho T197) antibody [EP2606Y]

  • BOND RX™ Validated
  • RabMAb
  • Recombinant
  • 20ul selling size
  • 了解详情

5

(3 Reviews)

|

(76 Publications)

Anti-PKA alpha/beta/gamma (catalytic subunit) (phospho T197) antibody [EP2606Y] (ab75991) is a rabbit monoclonal antibody detecting PKA alpha/beta/gamma (catalytic subunit) in Western Blot, IHC-P, Dot Blot. Suitable for Human, Mouse, Rat.

- Biophysical QC for unrivalled batch-batch consistency
- Over 50 publications
- Trusted since 2009

查看别名

PKACA, PRKACA, cAMP-dependent protein kinase catalytic subunit alpha, PKA C-alpha

7 Images
Immunohistochemistry (Formalin/PFA-fixed paraffin-embedded sections) - Anti-PKA alpha/beta/gamma (catalytic subunit) (phospho T197) antibody [EP2606Y] (AB75991)
  • IHC-P

Lab

Immunohistochemistry (Formalin/PFA-fixed paraffin-embedded sections) - Anti-PKA alpha/beta/gamma (catalytic subunit) (phospho T197) antibody [EP2606Y] (AB75991)

Immunohistochemistry (Formalin/PFA-fixed paraffin-embedded sections) analysis of human liver carcinoma tissue sections labeling PKA alpha/beta/gamma (catalytic subunit) with Purified ab75991 at 1/5000 dilution (0.05 µg/mL). Heat mediated antigen retrieval was performed using Heat mediated antigen retrieval using Bond™ Epitope Retrieval Solution 2 (pH 9.0) . Tissue was counterstained with Hematoxylin. Rabbit specific IHC polymer detection kit HRP/DAB (ab209101) secondary antibody was used. PBS instead of the primary antibody was used as the negative control. M3

Immunohistochemistry (Formalin/PFA-fixed paraffin-embedded sections) - Anti-PKA alpha/beta/gamma (catalytic subunit) (phospho T197) antibody [EP2606Y] (AB75991)
  • IHC-P

Lab

Immunohistochemistry (Formalin/PFA-fixed paraffin-embedded sections) - Anti-PKA alpha/beta/gamma (catalytic subunit) (phospho T197) antibody [EP2606Y] (AB75991)

Immunohistochemistry (Formalin/PFA-fixed paraffin-embedded sections) analysis of rat kidney tissue sections labeling PKA alpha/beta/gamma (catalytic subunit) with Purified ab75991 at 1/5000 dilution (0.05 µg/mL). Heat mediated antigen retrieval was performed using Heat mediated antigen retrieval using Bond™ Epitope Retrieval Solution 2 (pH 9.0) . Tissue was counterstained with Hematoxylin. Rabbit specific IHC polymer detection kit HRP/DAB (ab209101) secondary antibody was used. PBS instead of the primary antibody was used as the negative control. M3

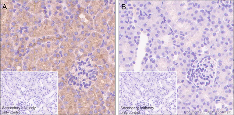
Immunohistochemistry (Formalin/PFA-fixed paraffin-embedded sections) - Anti-PKA alpha/beta/gamma (catalytic subunit) (phospho T197) antibody [EP2606Y] (AB75991)
  • IHC-P

Lab

Immunohistochemistry (Formalin/PFA-fixed paraffin-embedded sections) - Anti-PKA alpha/beta/gamma (catalytic subunit) (phospho T197) antibody [EP2606Y] (AB75991)

Immunohistochemistry (Formalin/PFA-fixed paraffin-embedded sections) analysis of mouse kidney tissue sections labeling PKA alpha/beta/gamma (catalytic subunit) with Purified ab75991 at 1/5000 dilution (0.05 µg/mL). Heat mediated antigen retrieval was performed using Heat mediated antigen retrieval using Bond™ Epitope Retrieval Solution 2 (pH 9.0) . Tissue was counterstained with Hematoxylin. Rabbit specific IHC polymer detection kit HRP/DAB (ab209101) secondary antibody was used. PBS instead of the primary antibody was used as the negative control. M3

Western blot - Anti-PKA alpha/beta/gamma (catalytic subunit) (phospho T197) antibody [EP2606Y] (AB75991)
  • WB

Unknown

Western blot - Anti-PKA alpha/beta/gamma (catalytic subunit) (phospho T197) antibody [EP2606Y] (AB75991)

All lanes:

Western blot - Anti-PKA alpha/beta/gamma (catalytic subunit) (phospho T197) antibody [EP2606Y] (ab75991) at 1/1000 dilution

Lane 1:

HeLa (Human cervix adenocarcinoma epithelial cell) whole cell lysate at 15 µg

Lane 2:

HeLa (Human cervix adenocarcinoma epithelial cell) whole cell lysate, then the membrane treated with Lambda Phosphatase for 1 hour at 15 µg

Lane 3:

NIH/3T3 (Mouse embryonic fibroblast) whole cell lysate at 15 µg

Lane 4:

NIH/3T3 (Mouse embryonic fibroblast) whole cell lysate, then the membrane treated with Lambda Phosphatase for 1 hour at 15 µg

Lane 5:

C6 (Rat glial tumor glial cell) whole cell lysate at 15 µg

Lane 6:

C6 (Rat glial tumor glial cell) whole cell lysate, then the membrane treated with Lambda Phosphatase for 1 hour at 15 µg

Secondary

All lanes:

Western blot - Goat Anti-Rabbit IgG H&L (HRP) (<a href='/products/secondary-antibodies/goat-rabbit-igg-h-l-hrp-ab97051'>ab97051</a>) at 1/20000 dilution

Predicted band size: 40 kDa

Observed band size: 40 kDa

false

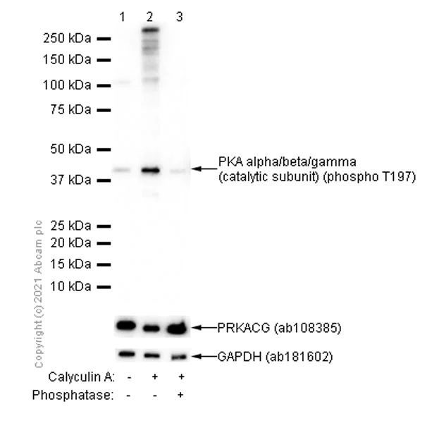
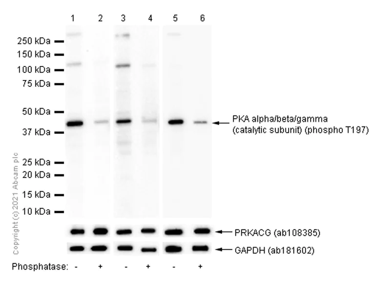
Western blot - Anti-PKA alpha/beta/gamma (catalytic subunit) (phospho T197) antibody [EP2606Y] (AB75991)
  • WB

Unknown

Western blot - Anti-PKA alpha/beta/gamma (catalytic subunit) (phospho T197) antibody [EP2606Y] (AB75991)

All lanes:

Western blot - Anti-PKA alpha/beta/gamma (catalytic subunit) (phospho T197) antibody [EP2606Y] (ab75991) at 1/1000 dilution

Lane 1:

Untreated HeLa (Human cervix adenocarcinoma epithelial cell) whole cell lysate at 15 µg

Lane 2:

HeLa (Human cervix adenocarcinoma epithelial cell) starved overnight, then treated with 100nM Calyculin A for 30 minutes, whole cell lysate at 15 µg

Lane 3:

HeLa (Human cervix adenocarcinoma epithelial cell) starved overnight, then treated with 100nM Calyculin A for 30 minutes whole cell lysate, then the membrane treated with Lambda Phosphatase for 1 hour at 15 µg

Secondary

All lanes:

Western blot - Goat Anti-Rabbit IgG H&L (HRP) (<a href='/products/secondary-antibodies/goat-rabbit-igg-h-l-hrp-ab97051'>ab97051</a>) at 1/20000 dilution

Predicted band size: 40 kDa

Observed band size: 40 kDa

false

Western blot - Anti-PKA alpha/beta/gamma (catalytic subunit) (phospho T197) antibody [EP2606Y] (AB75991)
  • WB

Lab

Western blot - Anti-PKA alpha/beta/gamma (catalytic subunit) (phospho T197) antibody [EP2606Y] (AB75991)

Blocking and diluting buffer and concentration : 5% NFDM/TBST.

All lanes:

Western blot - Anti-PKA alpha/beta/gamma (catalytic subunit) (phospho T197) antibody [EP2606Y] (ab75991) at 1/1000 dilution

Lane 1:

Jurkat (Human T cell leukemia T lymphocyte) 10% FBS all the time. Whole cell lysates at 15 µg

Lane 2:

Jurkat (Human T cell leukemia T lymphocyte) serum starve for 24h then 20% FBS 20h. Whole cell lysates at 15 µg

Lane 3:

Jurkat (Human T cell leukemia T lymphocyte) serum starve for 24h then 20% FBS 20h.Whole cell lysates. Then the membrane was incubated with phosphatase. at 15 µg

Secondary

All lanes:

Western blot - Goat Anti-Rabbit IgG H&L (HRP) (<a href='/products/secondary-antibodies/goat-rabbit-igg-h-l-hrp-ab97051'>ab97051</a>) at 1/20000 dilution

Predicted band size: 40 kDa

Observed band size: 40 kDa

false

Exposure time: 1s

Dot Blot - Anti-PKA alpha/beta/gamma (catalytic subunit) (phospho T197) antibody [EP2606Y] (AB75991)
  • Dot

Unknown

Dot Blot - Anti-PKA alpha/beta/gamma (catalytic subunit) (phospho T197) antibody [EP2606Y] (AB75991)

Dot blot analysis of various peptides labelling PKA gamma (catalytic subunit) (phospho T197) with unpurified ab75991 at a dilution of 1/1000. ab97051, a peroxidase-conjugated goat anti-rabbit IgG (H+L) was used as the secondary antibody (1/100000).

Lane 1 - PKA alpha/beta/gamma (catalytic subunit) (pT197) phospho peptide.

Lane 2 - PKA alpha/beta/gamma (catalytic subunit) non-phospho peptide.

Lane 3 - PRKX/Y (pT203) phospho peptide.

Lane 4 - PRKX/Y non-phospho peptide.

Blocking and dilution buffer : 5% NFDM/TBST.

Exposure time : 3 minutes.

不同偶联物与剂型 (1)

  • Carrier free

    Anti-PKA alpha/beta/gamma (catalytic subunit) (phospho T197) antibody [EP2606Y] - BSA and Azide free

关键信息

宿主种属

Rabbit

克隆

Monoclonal

克隆号

EP2606Y

亚型

IgG

不含载体蛋白

No

反应种属

Human, Rat, Mouse

应用

WB, Dot, IHC-P

applications

免疫原

The exact immunogen used to generate this antibody is proprietary information.

特异性

This antibody recognizes the T197 phospho-site, which is the same site as the T198 on Uniprot P22612.

Detects PKA alpha/beta/gamma (catalytic subunit) phosphorylated on threonine 197. Moreover, the antibody will cross-react with PRKX/Y (pT203).

反应性数据

{ "title": "Reactivity Data", "filters": { "stats": ["", "Species", "Dilution Info", "Notes"], "tabs": { "all-applications": {"fullname" : "All Applications", "shortname": "All Applications"}, "IHCP" : {"fullname" : "Immunohistochemistry (Formalin/PFA-fixed paraffin-embedded sections)", "shortname":"IHC-P"}, "Dot" : {"fullname" : "Dot Blot", "shortname":"Dot"}, "WB" : {"fullname" : "Western blot", "shortname":"WB"} }, "product-promise": { "all": "all", "testedAndGuaranteed": "tested", "guaranteed": "expected", "predicted": "predicted", "notRecommended": "not-recommended" } }, "values": { "Human": { "IHCP-species-checked": "testedAndGuaranteed", "IHCP-species-dilution-info": "1/5000", "IHCP-species-notes": "<p>Use of HRP-conjugated or polymerized HRP secondary antibodies recommended, stronger signals have been found using the polymerized HRP secondary.</p> Perform heat-mediated antigen retrieval before commencing with IHC staining protocol.", "Dot-species-checked": "guaranteed", "Dot-species-dilution-info": "", "Dot-species-notes": "", "WB-species-checked": "testedAndGuaranteed", "WB-species-dilution-info": "1/1000", "WB-species-notes": "<p></p>" }, "Mouse": { "IHCP-species-checked": "testedAndGuaranteed", "IHCP-species-dilution-info": "1/5000", "IHCP-species-notes": "<p>Use of HRP-conjugated or polymerized HRP secondary antibodies recommended, stronger signals have been found using the polymerized HRP secondary.</p> Perform heat-mediated antigen retrieval before commencing with IHC staining protocol.", "Dot-species-checked": "guaranteed", "Dot-species-dilution-info": "", "Dot-species-notes": "", "WB-species-checked": "testedAndGuaranteed", "WB-species-dilution-info": "1/1000", "WB-species-notes": "<p></p>" }, "Rat": { "IHCP-species-checked": "testedAndGuaranteed", "IHCP-species-dilution-info": "1/5000", "IHCP-species-notes": "<p>Use of HRP-conjugated or polymerized HRP secondary antibodies recommended, stronger signals have been found using the polymerized HRP secondary.</p> Perform heat-mediated antigen retrieval before commencing with IHC staining protocol.", "Dot-species-checked": "guaranteed", "Dot-species-dilution-info": "", "Dot-species-notes": "", "WB-species-checked": "testedAndGuaranteed", "WB-species-dilution-info": "1/1000", "WB-species-notes": "<p></p>" }, "Synthetic peptide": { "IHCP-species-checked": "notRecommended", "IHCP-species-dilution-info": "", "IHCP-species-notes": "", "Dot-species-checked": "testedAndGuaranteed", "Dot-species-dilution-info": "", "Dot-species-notes": "<p></p>", "WB-species-checked": "notRecommended", "WB-species-dilution-info": "", "WB-species-notes": "" } } }

产品详情

What is this antibody validated in?
Anti-PKA alpha/beta/gamma (catalytic subunit) (phospho T197) antibody [EP2606Y] (ab75991) is a rabbit recombinant monoclonal antibody and is validated for use in Western Blot (WB), Immunohistochemistry (IHC-P), Dot Blot in Human, Mouse, Rat samples.

What is the molecular weight of PKA alpha/beta/gamma (catalytic subunit)?
Anti-PKA alpha/beta/gamma (catalytic subunit) (phospho T197) [EP2606Y] (ab75991) specifically detects a band for PKA alpha/beta/gamma (catalytic subunit) (UniProt: P17612) at a molecular weight of 40kDa.

Trusted by the scientific community
Anti-PKA alpha/beta/gamma (catalytic subunit) (phospho T197) [EP2606Y] (ab75991) was first used in a scientific publication in 2009 and has been cited over 50 times in peer-reviewed journals.

Trial sizes available!
Test your antibody or perform pre-screening before committing to a larger quantity. Sold in 10µl. Discover our selection of trial-size antibodies.

Other related products
We have a range of other formats of antibody clone [EP2606Y] also available for your convenience: ab75991, Carrier free - ab227848

Patented technology
Our RabMAb® technology is a patented hybridoma-based technology for making rabbit monoclonal antibodies. For details on our patents, please refer to RabMAb® patents.

What are the advantages of a recombinant monoclonal antibody?
This product is a recombinant monoclonal antibody, which offers several advantages including:

  • - High batch-to-batch consistency and reproducibility
  • - Improved sensitivity and specificity
  • - Long-term security of supply
  • - Animal-free batch production

For more information, read more on recombinant antibodies.

性能和储存信息

形式
Liquid
纯化工艺
Affinity purification Protein A
存储溶液
pH: 7.2 - 7.4 Preservative: 0.01% Sodium azide Constituents: PBS, 40% Glycerol (glycerin, glycerine), 0.05% BSA
运输条件
Blue Ice
推荐的短期储存条件
+4°C
推荐的长期储存条件
-20°C
分装信息
Upon delivery aliquot
储存信息
Avoid freeze / thaw cycle

补充信息

This supplementary information is collated from multiple sources and compiled automatically.

The protein kinase A (PKA) alpha/beta/gamma also known as the PKA catalytic subunit plays a significant role in the regulation of cellular functions through phosphorylation. It has alternate names including phospho PKA and PKA C alpha with an approximate molecular weight of 40 kDa. The PKA catalytic subunit is expressed in various tissues throughout the body. This distribution highlights its broad physiological impact given PKA's involvement in numerous cellular processes.
Biological function summary

PKA alpha/beta/gamma acts as an important regulatory molecule in signal transduction pathways. It functions by phosphorylating serine and threonine residues on target proteins which alters the activity protein interactions or localization of these substrates. PKA functions as part of the cAMP-dependent PKA holoenzyme complex which includes two regulatory (R) and two catalytic (C) subunits. Activation requires the binding of cAMP to the R subunits causing dissociation and releasing the active C subunits to exert their effects.

Pathways

PKA alpha/beta/gamma integrates into the cAMP signaling pathway which modulates numerous physiological processes such as metabolism gene expression and cell growth. In the cAMP pathway PKA interacts closely with proteins like adenylyl cyclase and phosphodiesterases which respectively increase and decrease cAMP levels affecting PKA activation state and subsequent cellular responses. PKA also plays roles within the MAPK/ERK pathway where it intersects with other kinases to influence cell cycle progression and differentiation.

PKA alpha/beta/gamma has connections to cancer and cardiovascular diseases. Mutations or dysregulation of PKA activity can lead to abnormal cell proliferation and survival contributing to tumorigenesis. The catalytic subunit is also linked to cardiovascular disorders through its impact on heart rate and contractility. Interaction with proteins such as AKAPs (A-kinase anchoring proteins) can localize PKA activity affecting local signaling cascades that influence disease pathology.

产品实验方案

For this product, it's our understanding that no specific protocols are required. You can visit:

靶点信息

Phosphorylates a large number of substrates in the cytoplasm and the nucleus (PubMed : 15642694, PubMed : 15905176, PubMed : 16387847, PubMed : 17333334, PubMed : 17565987, PubMed : 17693412, PubMed : 18836454, PubMed : 19949837, PubMed : 20356841, PubMed : 21085490, PubMed : 21514275, PubMed : 21812984, PubMed : 31112131). Phosphorylates CDC25B, ABL1, NFKB1, CLDN3, PSMC5/RPT6, PJA2, RYR2, RORA, SOX9 and VASP (PubMed : 15642694, PubMed : 15905176, PubMed : 16387847, PubMed : 17333334, PubMed : 17565987, PubMed : 17693412, PubMed : 18836454, PubMed : 19949837, PubMed : 20356841, PubMed : 21085490, PubMed : 21514275, PubMed : 21812984). Regulates the abundance of compartmentalized pools of its regulatory subunits through phosphorylation of PJA2 which binds and ubiquitinates these subunits, leading to their subsequent proteolysis (PubMed : 21423175). RORA is activated by phosphorylation (PubMed : 21514275). Required for glucose-mediated adipogenic differentiation increase and osteogenic differentiation inhibition from osteoblasts (PubMed : 19949837). Involved in chondrogenesis by mediating phosphorylation of SOX9 (By similarity). Involved in the regulation of platelets in response to thrombin and collagen; maintains circulating platelets in a resting state by phosphorylating proteins in numerous platelet inhibitory pathways when in complex with NF-kappa-B (NFKB1 and NFKB2) and I-kappa-B-alpha (NFKBIA), but thrombin and collagen disrupt these complexes and free active PRKACA stimulates platelets and leads to platelet aggregation by phosphorylating VASP (PubMed : 15642694, PubMed : 20356841). Prevents the antiproliferative and anti-invasive effects of alpha-difluoromethylornithine in breast cancer cells when activated (PubMed : 17333334). RYR2 channel activity is potentiated by phosphorylation in presence of luminal Ca(2+), leading to reduced amplitude and increased frequency of store overload-induced Ca(2+) release (SOICR) characterized by an increased rate of Ca(2+) release and propagation velocity of spontaneous Ca(2+) waves, despite reduced wave amplitude and resting cytosolic Ca(2+) (PubMed : 17693412). PSMC5/RPT6 activation by phosphorylation stimulates proteasome (PubMed : 17565987). Negatively regulates tight junctions (TJs) in ovarian cancer cells via CLDN3 phosphorylation (PubMed : 15905176). NFKB1 phosphorylation promotes NF-kappa-B p50-p50 DNA binding (PubMed : 15642694). Required for phosphorylation of GLI transcription factors which inhibits them and prevents transcriptional activation of Hedgehog signaling pathway target genes (By similarity). GLI transcription factor phosphorylation is inhibited by interaction of PRKACA with SMO which sequesters PRKACA at the cell membrane (By similarity). Involved in embryonic development by down-regulating the Hedgehog (Hh) signaling pathway that determines embryo pattern formation and morphogenesis most probably through the regulation of OFD1 in ciliogenesis (PubMed : 33934390). Prevents meiosis resumption in prophase-arrested oocytes via CDC25B inactivation by phosphorylation (By similarity). May also regulate rapid eye movement (REM) sleep in the pedunculopontine tegmental (PPT) (By similarity). Phosphorylates APOBEC3G and AICDA (PubMed : 16387847, PubMed : 18836454). Phosphorylates HSF1; this phosphorylation promotes HSF1 nuclear localization and transcriptional activity upon heat shock (PubMed : 21085490). Acts as a negative regulator of mTORC1 by mediating phosphorylation of RPTOR (PubMed : 31112131).. Isoform 2. Phosphorylates and activates ABL1 in sperm flagellum to promote spermatozoa capacitation.
See full target information PRKACA phospho T197

其他靶点

cAMP-dependent protein kinase catalytic subunit gamma,PRKACB

文献 (76)

Recent publications for all applications. Explore the full list and refine your search

Translational neurodegeneration 14:43 PubMed40847374

2025

Cyclooxygenase-1 deletion in 5 × FAD mice protects against microglia-induced neuroinflammation and mitigates cognitive impairment.

Applications

Unspecified application

Species

Unspecified reactive species

Jie Wang,Hong Ni,Yu Wang,Luyao Wei,Hanqing Ding,Zhongzhao Guo,Hao Pan,Ying Yu,Jia Luo,Weidong Pan,Deheng Wang,Zun-Ji Ke

International journal of molecular sciences 26: PubMed40565036

2025

PKA-Mediated Phosphorylation of SFRP4 Promotes Wnt/β-Catenin Activation and Cancer Stemness in Gastric Cancer.

Applications

Unspecified application

Species

Unspecified reactive species

Yoo-Lim Jhe,Suji Lee,Youjin Jung,Jae-Ho Cheong

Cardiovascular therapeutics 2024:7053116 PubMed39742020

2025

Overexpression of TRPV6 Inhibits Coronary Atherosclerosis-Related Inflammatory Response and Cell Apoptosis via the PKA/UCP2 Pathway.

Applications

Unspecified application

Species

Unspecified reactive species

Lei Zheng,Huiying Zhang,Xuewen Li

Acupuncture in medicine : journal of the British Medical Acupuncture Society 42:342-355 PubMed39579035

2024

Electroacupuncture alleviates acute myocardial ischemic injury in mice by regulating the β adrenergic receptor and post-receptor protein kinase A signaling pathway.

Applications

Unspecified application

Species

Unspecified reactive species

Haiyan Zuo,Qiaoyu Qu,Yan Tong,Lei Wang,Xiaoxiao Wang,Shengbing Wu,Meiqi Zhou

Research (Washington, D.C.) 7:0493 PubMed39381792

2024

Melatonin Induces Analgesic Effects through MT Receptor-Mediated Neuroimmune Modulation in the Mice Anterior Cingulate Cortex.

Applications

Unspecified application

Species

Unspecified reactive species

Jian Wang,Junxiang Gu,Fujuan Ma,Yi Wei,Pan Wang,Shanming Yang,Xianxia Yan,Yifan Xiao,Keke Xing,Anxin Lou,Liru Zheng,Tingting Cao,Dayu Zhu,Jinlian Li,Luoying Zhang,Yunqing Li,Tao Chen

Molecular psychiatry 30:435-449 PubMed39097664

2024

Rasd2 regulates depression-like behaviors via DRD2 neurons in the prelimbic cortex afferent to nucleus accumbens core circuit.

Applications

Unspecified application

Species

Unspecified reactive species

Ziqian Cheng,Fangyi Zhao,Jingjing Piao,Wei Yang,Ranji Cui,Bingjin Li

Journal of neuroimmune pharmacology : the official journal of the Society on NeuroImmune Pharmacology 19:36 PubMed39042202

2024

Semaglutide Attenuates Anxious and Depressive-Like Behaviors and Reverses the Cognitive Impairment in a Type 2 Diabetes Mellitus Mouse Model Via the Microbiota-Gut-Brain Axis.

Applications

Unspecified application

Species

Unspecified reactive species

Igor Henrique Rodrigues de Paiva,Rodrigo Soares da Silva,Ingrid Prata Mendonça,José Roberto Botelho de Souza,Christina Alves Peixoto

Heliyon 10:e32526 PubMed38961903

2024

Study on the molecular mechanisms of Liuwei Dihuang decoction against aging-related cognitive impairment based on network pharmacology and experimental verification.

Applications

Unspecified application

Species

Unspecified reactive species

Yin OuYang,Bowei Chen,Jian Yi,Siqian Zhou,Yingfei Liu,Fengming Tian,Fanzuo Zeng,Lan Xiao,Baiyan Liu

Cell communication and signaling : CCS 22:307 PubMed38831315

2024

Interleukin-22 receptor 1-mediated stimulation of T-type Ca channels enhances sensory neuronal excitability through the tyrosine-protein kinase Lyn-dependent PKA pathway.

Applications

Unspecified application

Species

Unspecified reactive species

Hua Cai,Siyu Chen,Yufang Sun,Tingting Zheng,Yulu Liu,Jin Tao,Yuan Zhang

Acta pharmaceutica Sinica. B 14:2657-2668 PubMed38828137

2024

(+)/(-)-Gerbeloid A, a pair of unprecedented coumarin-based polycyclic meroterpenoid enantiomers from : Structural elucidation, semi-synthesis, and lipid-lowering activity.

Applications

Unspecified application

Species

Unspecified reactive species

Chenxu Zhao,Jingrong Li,Yue Hu,Lingyu Li,Meng Yu,Yunfeng Huang,Tao Zhang,Hai Shang,Zhongmei Zou
View all publications

Abcam Product Promise

我们致力于为您的研究提供高质量的试剂,为您科研的每一步提供支持。若我们的产品未能达到预期性能,我们向您提供 Abcam Product Promise 保障。
详情请参阅我们的条款与条件。

Please note: All products are 'FOR RESEARCH USE ONLY. NOT FOR USE IN DIAGNOSTIC OR THERAPEUTIC PROCEDURES'.

For licensing inquiries, please contact partnerships@abcam.com