JavaScript is disabled in your browser. Please enable JavaScript to view this website.
AB232773

Anti-PIDD1抗体

Anti-PIDD1 antibody

Be the first to review this product! Submit a review

|

(2 Publications)

Rabbit Polyclonal PIDD1 antibody. Suitable for WB, IHC-P and reacts with Rat, Human samples. Cited in 2 publications. Immunogen corresponding to Recombinant Fragment Protein within Human PIDD1 aa 650-900.

查看别名

LRDD, PIDD, PIDD1, p53-induced death domain-containing protein 1, Leucine-rich repeat and death domain-containing protein

4 Images
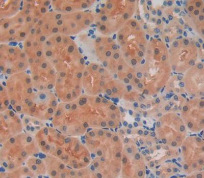
Immunohistochemistry (Formalin/PFA-fixed paraffin-embedded sections) - Anti-PIDD1 antibody (AB232773)
  • IHC-P

Supplier Data

Immunohistochemistry (Formalin/PFA-fixed paraffin-embedded sections) - Anti-PIDD1 antibody (AB232773)

Formalin-fixed, paraffin-embedded human kidney tissue stained for PIDD1 using ab232773 at 20 μg/ml in immunohistochemical analysis. DAB staining.

Western blot - Anti-PIDD1 antibody (AB232773)
  • WB

Supplier Data

Western blot - Anti-PIDD1 antibody (AB232773)

All lanes:

Western blot - Anti-PIDD1 antibody (ab232773) at 1 µg/mL

All lanes:

Rat liver tissue lysate

Predicted band size: 83 kDa

true

Western blot - Anti-PIDD1 antibody (AB232773)
  • WB

Supplier Data

Western blot - Anti-PIDD1 antibody (AB232773)

All lanes:

Western blot - Anti-PIDD1 antibody (ab232773) at 1 µg/mL

All lanes:

Recombinant human PIDD1 protein

Predicted band size: 83 kDa

true

Western blot - Anti-PIDD1 antibody (AB232773)
  • WB

Supplier Data

Western blot - Anti-PIDD1 antibody (AB232773)

All lanes:

Western blot - Anti-PIDD1 antibody (ab232773) at 1 µg/mL

All lanes:

HEK-293T (human epithelial cell line from embryonic kidney transformed with large T antigen) whole cell lysate

Predicted band size: 83 kDa

true

关键信息

宿主种属

Rabbit

克隆

Polyclonal

亚型

IgG

不含载体蛋白

No

反应种属

Rat, Human

应用

IHC-P, WB

applications

免疫原

Recombinant Fragment Protein within Human PIDD1 aa 650-900. The exact immunogen used to generate this antibody is proprietary information.

Q9HB75

反应性数据

{ "title": "Reactivity Data", "filters": { "stats": ["", "Species", "Dilution Info", "Notes"], "tabs": { "all-applications": {"fullname" : "All Applications", "shortname": "All Applications"}, "WB" : {"fullname" : "Western blot", "shortname":"WB"}, "IHCP" : {"fullname" : "Immunohistochemistry (Formalin/PFA-fixed paraffin-embedded sections)", "shortname":"IHC-P"} }, "product-promise": { "all": "all", "testedAndGuaranteed": "tested", "guaranteed": "expected", "predicted": "predicted", "notRecommended": "not-recommended" } }, "values": { "Human": { "WB-species-checked": "testedAndGuaranteed", "WB-species-dilution-info": "0.2-2 µg/mL", "WB-species-notes": "<p></p>", "IHCP-species-checked": "testedAndGuaranteed", "IHCP-species-dilution-info": "5-20 µg/mL", "IHCP-species-notes": "<p></p>" }, "Rat": { "WB-species-checked": "testedAndGuaranteed", "WB-species-dilution-info": "0.2-2 µg/mL", "WB-species-notes": "<p></p>", "IHCP-species-checked": "guaranteed", "IHCP-species-dilution-info": "", "IHCP-species-notes": "" } } }

性能和储存信息

形式
Liquid
纯化工艺
Affinity purification Immunogen
纯化说明
Antigen-specific affinity chromatography followed by Protein A affinity chromatography.
存储溶液
pH: 7.4 Preservative: 0.02% Sodium azide Constituents: PBS, 55.77% Glycerol (glycerin, glycerine)
运输条件
Blue Ice
推荐的短期储存时间
1-2 weeks
推荐的短期储存条件
+4°C
推荐的长期储存条件
-20°C
分装信息
Upon delivery aliquot
储存信息
Avoid freeze / thaw cycle

补充信息

This supplementary information is collated from multiple sources and compiled automatically.

PIDD1 also known as p53-induced protein with a death domain has a significant role in the cellular response to damage. It is a 101 kDa protein that contains a leucine-rich repeat and a death domain. PIDD1 expresses in a variety of tissues but researchers detect it more in places like the liver and kidney. Its expression often increases in response to stress signals particularly those leading to DNA damage. PIDD1's structure enables it to interact with other proteins to execute its functions.
Biological function summary

PIDD1 plays a role in regulating apoptosis and cell survival. It can exist as part of a multiprotein complex called the PIDDosome where it partners with RAIDD and pro-caspase-2 to mediate apoptosis. In this context PIDD1 can trigger caspase-dependent apoptotic pathways highlighting its influence on cell fate decisions. Additionally it participates in the DNA damage response linking stress signals to apoptotic outcomes an essential function for maintaining cellular integrity.

Pathways

The protein interacts within the p53 signaling and apoptosis pathways. These pathways integrate cellular responses to stress and PIDD1 functions within these processes by facilitating connections between upstream DNA damage sensors and downstream effector proteins like caspase-2. PIDD1's involvement in signaling cascades helps synchronize responses critical for cell cycle regulation and repair operating alongside proteins such as p53 and RAIDD.

PIDD1 is linked to cancer and neurodegenerative diseases. The protein's role in apoptosis and the cell cycle establishes a connection with tumorigenesis particularly where altered apoptosis contributes to cancer development. Mutations or dysregulation of PIDD1 may impact its interaction with p53 a critical player in many cancers. Furthermore in neurodegenerative diseases the dysregulation of apoptotic processes involving PIDD1 could contribute to neuronal loss. These associations highlight the importance of PIDD1 in both promoting cellular homeostasis and contributing to disease pathology.

产品实验方案

For this product, it's our understanding that no specific protocols are required. You can visit:

靶点信息

Component of the DNA damage/stress response pathway that functions downstream of p53/TP53 and can either promote cell survival or apoptosis (PubMed : 10973264, PubMed : 15073321, PubMed : 16360037, PubMed : 17159900). Associated with CRADD and the CASP2 caspase, it forms the PIDDosome a complex that activates CASP2 and triggers apoptosis (PubMed : 15073321, PubMed : 17159900). Associated with IKBKG and RIPK1, it enhances sumoylation and ubiquitination of IKBKG which is important for activation of the transcription factor NF-kappa-B (PubMed : 16360037, PubMed : 17159900).
See full target information PIDD1

文献 (2)

Recent publications for all applications. Explore the full list and refine your search

Fundamental & clinical pharmacology 39:e13048 PubMed39777430

2025

Fluoxetine-induced downregulation of circMap2k1 signaling cascade to improve neurological function after ischemic stroke.

Applications

Unspecified application

Species

Unspecified reactive species

Langtao He,Hui Zhang,Jian Deng,Yibo He,Zhili Cai,Yitao He

Aging 13:23603-23619 PubMed34647904

2021

Resveratrol promotes axonal regeneration after spinal cord injury through activating Wnt/β-catenin signaling pathway.

Applications

Unspecified application

Species

Unspecified reactive species

Zimin Xiang,Shuai Zhang,Xiaodong Yao,Libin Xu,Jianwei Hu,Chenghui Yin,Jianmei Chen,Hao Xu
View all publications

Abcam Product Promise

我们致力于为您的研究提供高质量的试剂,为您科研的每一步提供支持。若我们的产品未能达到预期性能,我们向您提供 Abcam Product Promise 保障。
详情请参阅我们的条款与条件。

Please note: All products are 'FOR RESEARCH USE ONLY. NOT FOR USE IN DIAGNOSTIC OR THERAPEUTIC PROCEDURES'.

For licensing inquiries, please contact partnerships@abcam.com