JavaScript is disabled in your browser. Please enable JavaScript to view this website.
AB200372

Anti-PI 3 Kinase p110 delta抗体

Anti-PI 3 Kinase p110 delta antibody

Be the first to review this product! Submit a review

|

(5 Publications)

Rabbit Polyclonal PI 3 Kinase p110 delta antibody. Suitable for IHC-P and reacts with Human samples. Cited in 5 publications. Immunogen corresponding to Synthetic Peptide within Human PIK3CD.

查看别名

PI3-kinase subunit delta, PI3K-delta, PI3Kdelta, PtdIns-3-kinase subunit delta, PtdIns-3-kinase subunit p110-delta, p110delta, PIK3CD

2 Images
Immunohistochemistry (Formalin/PFA-fixed paraffin-embedded sections) - Anti-PI 3 Kinase p110 delta antibody (AB200372)
  • IHC-P

Supplier Data

Immunohistochemistry (Formalin/PFA-fixed paraffin-embedded sections) - Anti-PI 3 Kinase p110 delta antibody (AB200372)

Immunohistochemical analysis of paraffin-embedded Human brain tissue labeling PI 3 Kinase p110 delta with ab200372 at 1/20 dilution.

Immunohistochemistry (Formalin/PFA-fixed paraffin-embedded sections) - Anti-PI 3 Kinase p110 delta antibody (AB200372)
  • IHC-P

Supplier Data

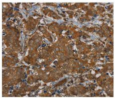
Immunohistochemistry (Formalin/PFA-fixed paraffin-embedded sections) - Anti-PI 3 Kinase p110 delta antibody (AB200372)

Immunohistochemical analysis of paraffin-embedded Human breast cancer tissue labeling PI 3 Kinase p110 delta with ab200372 at 1/20 dilution.

关键信息

宿主种属

Rabbit

克隆

Polyclonal

亚型

IgG

不含载体蛋白

No

反应种属

Human

应用

IHC-P

applications

免疫原

Synthetic Peptide within Human PIK3CD. The exact immunogen used to generate this antibody is proprietary information.

O00329

反应性数据

{ "title": "Reactivity Data", "filters": { "stats": ["", "Species", "Dilution Info", "Notes"], "tabs": { "all-applications": {"fullname" : "All Applications", "shortname": "All Applications"}, "IHCP" : {"fullname" : "Immunohistochemistry (Formalin/PFA-fixed paraffin-embedded sections)", "shortname":"IHC-P"} }, "product-promise": { "all": "all", "testedAndGuaranteed": "tested", "guaranteed": "expected", "predicted": "predicted", "notRecommended": "not-recommended" } }, "values": { "Human": { "IHCP-species-checked": "testedAndGuaranteed", "IHCP-species-dilution-info": "1/20 - 1/200", "IHCP-species-notes": "<p></p> Perform heat-mediated antigen retrieval before commencing with IHC staining protocol." }, "Mouse": { "IHCP-species-checked": "predicted", "IHCP-species-dilution-info": "", "IHCP-species-notes": "" } } }

性能和储存信息

形式
Liquid
纯化工艺
Affinity purification Immunogen
存储溶液
pH: 7.4 Preservative: 0.05% Sodium azide Constituents: PBS, 50% Glycerol (glycerin, glycerine)
运输条件
Blue Ice
推荐的短期储存时间
1-2 weeks
推荐的短期储存条件
+4°C
推荐的长期储存条件
-20°C
分装信息
Upon delivery aliquot
储存信息
Avoid freeze / thaw cycle

补充信息

This supplementary information is collated from multiple sources and compiled automatically.

Phosphoinositide 3-kinase p110 delta also known as PI3Kδ or PIK3CD is a catalytic subunit of the class I PI3K enzyme complex. It plays a significant role in the phosphorylation of the 3'-hydroxyl group of inositol lipids which acts as a signal transducer. The molecular weight of p110 delta is approximately 110 kDa. This protein is highly expressed in leukocytes especially in B and T lymphocytes. Expression can also be seen in other cell types like neutrophils.
Biological function summary

P110 delta is involved in immune cell signaling as it is part of the class I PI3K complex. PI3Kδ functions in conjunction with p85 regulatory subunits to modulate various intracellular processes. The complex plays an important role in regulating cell growth proliferation and survival by mediating signals from growth factors or cytokines. It is also critical in the development and function of the adaptive immune system.

Pathways

PI3Kδ participates in the PI3K/AKT signaling pathway an important regulatory pathway in cell growth and survival. Another significant pathway involving p110 delta is the B-cell receptor (BCR) signaling pathway which is important for B cell development. Within these pathways PI3Kδ interacts with proteins such as AKT mTOR and BCR-related proteins that propagate downstream signaling events.

Aberrant activity of PI3Kδ has been linked to various immune-related diseases such as chronic lymphocytic leukemia (CLL) and rheumatoid arthritis. The overactivation of PI3Kδ in CLL correlates with enhanced survival and proliferation of malignant B cells. Additionally PI3Kδ dysfunction can influence inflammation pathways contributing to autoimmune conditions. The protein often works in concert with other proteins in these disease contexts such as B cells in CLL where it affects signaling via the B-cell receptor pathway.

产品实验方案

For this product, it's our understanding that no specific protocols are required. You can visit:

靶点信息

Phosphoinositide-3-kinase (PI3K) phosphorylates phosphatidylinositol (PI) and its phosphorylated derivatives at position 3 of the inositol ring to produce 3-phosphoinositides (PubMed : 9235916). Uses ATP and PtdIns(4,5)P2 (phosphatidylinositol 4,5-bisphosphate) to generate phosphatidylinositol 3,4,5-trisphosphate (PIP3) (PubMed : 15135396). PIP3 plays a key role by recruiting PH domain-containing proteins to the membrane, including AKT1 and PDPK1, activating signaling cascades involved in cell growth, survival, proliferation, motility and morphology. Mediates immune responses. Plays a role in B-cell development, proliferation, migration, and function. Required for B-cell receptor (BCR) signaling. Mediates B-cell proliferation response to anti-IgM, anti-CD40 and IL4 stimulation. Promotes cytokine production in response to TLR4 and TLR9. Required for antibody class switch mediated by TLR9. Involved in the antigen presentation function of B-cells. Involved in B-cell chemotaxis in response to CXCL13 and sphingosine 1-phosphate (S1P). Required for proliferation, signaling and cytokine production of naive, effector and memory T-cells. Required for T-cell receptor (TCR) signaling. Mediates TCR signaling events at the immune synapse. Activation by TCR leads to antigen-dependent memory T-cell migration and retention to antigenic tissues. Together with PIK3CG participates in T-cell development. Contributes to T-helper cell expansion and differentiation. Required for T-cell migration mediated by homing receptors SELL/CD62L, CCR7 and S1PR1 and antigen dependent recruitment of T-cells. Together with PIK3CG is involved in natural killer (NK) cell development and migration towards the sites of inflammation. Participates in NK cell receptor activation. Plays a role in NK cell maturation and cytokine production. Together with PIK3CG is involved in neutrophil chemotaxis and extravasation. Together with PIK3CG participates in neutrophil respiratory burst. Plays important roles in mast-cell development and mast cell mediated allergic response. Involved in stem cell factor (SCF)-mediated proliferation, adhesion and migration. Required for allergen-IgE-induced degranulation and cytokine release. The lipid kinase activity is required for its biological function. Isoform 2 may be involved in stabilizing total RAS levels, resulting in increased ERK phosphorylation and increased PI3K activity.
See full target information PIK3CD

文献 (5)

Recent publications for all applications. Explore the full list and refine your search

Nephrology (Carlton, Vic.) 29:825-837 PubMed39401868

2024

POU2F2 activates the Akt/mTOR signalling pathway and enhances B lymphocyte function during diabetic kidney disease by promoting PIK3CD transcription.

Applications

Unspecified application

Species

Unspecified reactive species

Xiaoxia Li,Shukun Cao,Xiaolin Zi,Haiqiao Yu,Chunmei Mao

Cell death discovery 8:197 PubMed35418181

2022

MiR-92a/KLF4/p110δ regulates titanium particles-induced macrophages inflammation and osteolysis.

Applications

Unspecified application

Species

Unspecified reactive species

Zhenkang Wen,Sipeng Lin,Changchuan Li,Zhuji Ouyang,Zhong Chen,Shixun Li,Yuxi Huang,Wenqiang Luo,Zhongcan Zheng,Peidong Guo,Manyuan Kuang,Yue Ding

Diabetes 69:736-748 PubMed31915155

2020

PI3Kδ as a Novel Therapeutic Target in Pathological Angiogenesis.

Applications

Unspecified application

Species

Unspecified reactive species

Wenyi Wu,Guohong Zhou,Haote Han,Xionggao Huang,Heng Jiang,Shizuo Mukai,Andrius Kazlauskas,Jing Cui,Joanne Aiko Matsubara,Bart Vanhaesebroeck,Xiaobo Xia,Jiantao Wang,Hetian Lei

Cell death & disease 9:678 PubMed29880805

2018

Pharmacological inactivation of the PI3K p110δ prevents breast tumour progression by targeting cancer cells and macrophages.

Applications

Unspecified application

Species

Unspecified reactive species

Evangelia Goulielmaki,Miriam Bermudez-Brito,Margarita Andreou,Niki Tzenaki,Maria Tzardi,Eelco de Bree,Eleftheria Tsentelierou,Antonis Makrigiannakis,Evangelia A Papakonstanti

Hematological oncology 35:187-197 PubMed26799990

2016

Comprehensive phenotypic characterization of PTLD reveals potential reliance on EBV or NF-κB signalling instead of B-cell receptor signalling.

Applications

Unspecified application

Species

Unspecified reactive species

Thomas Menter,Michael Dickenmann,Darius Juskevicius,Juerg Steiger,Stephan Dirnhofer,Alexandar Tzankov
View all publications

Abcam Product Promise

我们致力于为您的研究提供高质量的试剂,为您科研的每一步提供支持。若我们的产品未能达到预期性能,我们向您提供 Abcam Product Promise 保障。
详情请参阅我们的条款与条件。

Please note: All products are 'FOR RESEARCH USE ONLY. NOT FOR USE IN DIAGNOSTIC OR THERAPEUTIC PROCEDURES'.

For licensing inquiries, please contact partnerships@abcam.com