JavaScript is disabled in your browser. Please enable JavaScript to view this website.
AB84779

Anti-PHF8抗体

Anti-PHF8 antibody

Be the first to review this product! Submit a review

|

(2 Publications)

Rabbit Polyclonal PHF8 antibody. Suitable for IHC-P and reacts with Mouse, Human samples. Cited in 2 publications. Immunogen corresponding to Synthetic Peptide within Human PHF8 aa 650-700.

查看别名

KIAA1111, ZNF422, PHF8, Histone lysine demethylase PHF8, PHD finger protein 8, [histone H3]-dimethyl-L-lysine(36) demethylase PHF8, [histone H3]-dimethyl-L-lysine(9) demethylase PHF8

2 Images
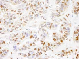
Immunohistochemistry (Formalin/PFA-fixed paraffin-embedded sections) - Anti-PHF8 antibody (AB84779)
  • IHC-P

Unknown

Immunohistochemistry (Formalin/PFA-fixed paraffin-embedded sections) - Anti-PHF8 antibody (AB84779)

ab84779, at a 1/100 dilution, staining PHF8 in formalin fixed, paraffin embedded human breast carcinoma by Immunohistochemistry using DAB staining.

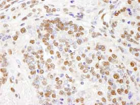
Immunohistochemistry (Formalin/PFA-fixed paraffin-embedded sections) - Anti-PHF8 antibody (AB84779)
  • IHC-P

Unknown

Immunohistochemistry (Formalin/PFA-fixed paraffin-embedded sections) - Anti-PHF8 antibody (AB84779)

ab84779, at a 1/100 dilution, staining PHF8 in formalin fixed, paraffin embedded mouse teratoma by Immunohistochemistry using DAB staining.

关键信息

宿主种属

Rabbit

克隆

Polyclonal

亚型

IgG

不含载体蛋白

No

反应种属

Mouse, Human

应用

IHC-P

applications

免疫原

Synthetic Peptide within Human PHF8 aa 650-700. The exact immunogen used to generate this antibody is proprietary information.

Q9UPP1

反应性数据

{ "title": "Reactivity Data", "filters": { "stats": ["", "Species", "Dilution Info", "Notes"], "tabs": { "all-applications": {"fullname" : "All Applications", "shortname": "All Applications"}, "IHCP" : {"fullname" : "Immunohistochemistry (Formalin/PFA-fixed paraffin-embedded sections)", "shortname":"IHC-P"} }, "product-promise": { "all": "all", "testedAndGuaranteed": "tested", "guaranteed": "expected", "predicted": "predicted", "notRecommended": "not-recommended" } }, "values": { "Human": { "IHCP-species-checked": "testedAndGuaranteed", "IHCP-species-dilution-info": "1/100 - 1/500", "IHCP-species-notes": "<p></p>" }, "Mouse": { "IHCP-species-checked": "testedAndGuaranteed", "IHCP-species-dilution-info": "1/100 - 1/500", "IHCP-species-notes": "<p></p>" }, "Chimpanzee": { "IHCP-species-checked": "predicted", "IHCP-species-dilution-info": "", "IHCP-species-notes": "" }, "Cow": { "IHCP-species-checked": "predicted", "IHCP-species-dilution-info": "", "IHCP-species-notes": "" }, "Dog": { "IHCP-species-checked": "predicted", "IHCP-species-dilution-info": "", "IHCP-species-notes": "" }, "Elephant": { "IHCP-species-checked": "predicted", "IHCP-species-dilution-info": "", "IHCP-species-notes": "" }, "Ferret": { "IHCP-species-checked": "predicted", "IHCP-species-dilution-info": "", "IHCP-species-notes": "" }, "Gorilla": { "IHCP-species-checked": "predicted", "IHCP-species-dilution-info": "", "IHCP-species-notes": "" }, "Horse": { "IHCP-species-checked": "predicted", "IHCP-species-dilution-info": "", "IHCP-species-notes": "" }, "Orangutan": { "IHCP-species-checked": "predicted", "IHCP-species-dilution-info": "", "IHCP-species-notes": "" }, "Pig": { "IHCP-species-checked": "predicted", "IHCP-species-dilution-info": "", "IHCP-species-notes": "" }, "Rabbit": { "IHCP-species-checked": "predicted", "IHCP-species-dilution-info": "", "IHCP-species-notes": "" }, "Rhesus monkey": { "IHCP-species-checked": "predicted", "IHCP-species-dilution-info": "", "IHCP-species-notes": "" } } }

性能和储存信息

形式
Liquid
纯化工艺
Affinity purification Immunogen
纯化说明
ab84779 was affinity purified using an epitope specific to PHF8 immobilized on solid support.
存储溶液
pH: 6.8 - 7.4 Preservative: 0.09% Sodium azide Constituents: Tris buffered saline, 0.1% BSA
运输条件
Blue Ice
推荐的短期储存条件
+4°C
推荐的长期储存条件
+4°C
分装信息
Upon delivery aliquot
储存信息
Avoid freeze / thaw cycle

补充信息

This supplementary information is collated from multiple sources and compiled automatically.

PHF8 also known as Plant Homeodomains Finger Protein 8 is a histone demethylase enzyme. It specifically removes methyl groups from histone H3 at lysine 9 (H3K9me2/me1) and at lysine 27 (H3K27me2/me1). PHF8 is a protein with a molecular mass of around 109 kDa. This protein is expressed widely in various tissues appearing notably in brain tissues and the testis which suggests a broad physiological role.
Biological function summary

PHF8 plays an important role in the regulation of gene expression through chromatin remodeling. It forms part of transcriptional complexes and directly interacts with transcription factors and chromatin proteins. Its activity modulates gene silencing and activation processes impacting multiple cellular functions such as cell cycle progression and neurodevelopment. The activities controlled by PHF8 make it critical for maintaining normal cellular function.

Pathways

PHF8 takes part in integral signaling and epigenetic regulation pathways. It is involved in the MAPK/ERK signaling pathway which affects cell proliferation and differentiation. PHF8 also connects with other proteins such as p53 influencing pathways that govern cell growth and apoptosis. Through these interactions PHF8 helps maintain proper balance in cell cycle and development processes.

Mutations or dysregulation of PHF8 have links to developmental disorders and certain cancers. Specifically PHF8 mutations have associations with X-linked mental retardation and cleft lip/palate conditions. Dysregulated PHF8 activity interacts with proteins like p53 to influence cancer progression particularly in prostate cancer. Understanding PHF8's role aids in the exploration of therapeutic targets for these conditions.

产品实验方案

For this product, it's our understanding that no specific protocols are required. You can visit:

靶点信息

Histone lysine demethylase with selectivity for the di- and monomethyl states that plays a key role cell cycle progression, rDNA transcription and brain development. Demethylates mono- and dimethylated histone H3 'Lys-9' residue (H3K9Me1 and H3K9Me2), dimethylated H3 'Lys-27' (H3K27Me2) and monomethylated histone H4 'Lys-20' residue (H4K20Me1). Acts as a transcription activator as H3K9Me1, H3K9Me2, H3K27Me2 and H4K20Me1 are epigenetic repressive marks. Involved in cell cycle progression by being required to control G1-S transition. Acts as a coactivator of rDNA transcription, by activating polymerase I (pol I) mediated transcription of rRNA genes. Required for brain development, probably by regulating expression of neuron-specific genes. Only has activity toward H4K20Me1 when nucleosome is used as a substrate and when not histone octamer is used as substrate. May also have weak activity toward dimethylated H3 'Lys-36' (H3K36Me2), however, the relevance of this result remains unsure in vivo. Specifically binds trimethylated 'Lys-4' of histone H3 (H3K4me3), affecting histone demethylase specificity : has weak activity toward H3K9Me2 in absence of H3K4me3, while it has high activity toward H3K9me2 when binding H3K4me3. Positively modulates transcription of histone demethylase KDM5C, acting synergistically with transcription factor ARX; synergy may be related to enrichment of histone H3K4me3 in regulatory elements.
See full target information PHF8

文献 (2)

Recent publications for all applications. Explore the full list and refine your search

Biomolecules 15: PubMed40427554

2025

Interaction Between PHF8 and a Segment of KDM2A, Which Is Controlled by the Phosphorylation Status at a Specific Serine in an Intrinsically Disordered Region of KDM2A, Regulates rRNA Transcription and Cell Proliferation in a Breast Cancer Cell Line.

Applications

Unspecified application

Species

Unspecified reactive species

Kengo Okamoto,Yutaro Mihara,Sachiko Ogasawara,Takashi Murakami,Sinya Ohmori,Tetsuya Mori,Toshiyuki Umata,Yuki Kawasaki,Kazuya Hirano,Hirohisa Yano,Makoto Tsuneoka

Nucleic acids research 44:6102-12 PubMed27016734

2016

Chromatin condensation and recruitment of PHD finger proteins to histone H3K4me3 are mutually exclusive.

Applications

ICC/IF

Species

Human

Jovylyn Gatchalian,Carmen Mora Gallardo,Stephen A Shinsky,Ruben Rosas Ospina,Andrea Mansilla Liendo,Krzysztof Krajewski,Brianna J Klein,Forest H Andrews,Brian D Strahl,Karel H M van Wely,Tatiana G Kutateladze
View all publications

Abcam Product Promise

我们致力于为您的研究提供高质量的试剂,为您科研的每一步提供支持。若我们的产品未能达到预期性能,我们向您提供 Abcam Product Promise 保障。
详情请参阅我们的条款与条件。

Please note: All products are 'FOR RESEARCH USE ONLY. NOT FOR USE IN DIAGNOSTIC OR THERAPEUTIC PROCEDURES'.

For licensing inquiries, please contact partnerships@abcam.com