JavaScript is disabled in your browser. Please enable JavaScript to view this website.
AB119249

Anti-PHF21B抗体[OTI3D1]

Anti-PHF21B antibody [OTI3D1]

3

(1 Review)

|

(1 Publication)

Mouse Monoclonal PHF21B antibody. Suitable for WB, IHC-P, ICC/IF, Flow Cyt (Intra) and reacts with Transfected cell lysate, Human, Transfected cell line samples. Cited in 1 publication. Immunogen corresponding to Recombinant Full Length Protein corresponding to Human PHF21B.

查看别名

KIAA1661, PHF21B, PHD finger protein 21B

11 Images
Immunohistochemistry (Formalin/PFA-fixed paraffin-embedded sections) - Anti-PHF21B antibody [OTI3D1] (AB119249)
  • IHC-P

Unknown

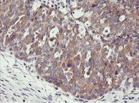
Immunohistochemistry (Formalin/PFA-fixed paraffin-embedded sections) - Anti-PHF21B antibody [OTI3D1] (AB119249)

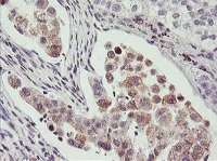
Paraffin-embedded human pancreas carcinoma tissue stained for PHF21B using ab119249 at 1/150 dilution in immunohistochemical analysis.

Immunohistochemistry (Formalin/PFA-fixed paraffin-embedded sections) - Anti-PHF21B antibody [OTI3D1] (AB119249)
  • IHC-P

Unknown

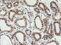
Immunohistochemistry (Formalin/PFA-fixed paraffin-embedded sections) - Anti-PHF21B antibody [OTI3D1] (AB119249)

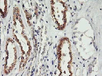
Paraffin-embedded human kidney tissue stained for PHF21B using ab119249 at 1/150 dilution in immunohistochemical analysis.

Immunohistochemistry (Formalin/PFA-fixed paraffin-embedded sections) - Anti-PHF21B antibody [OTI3D1] (AB119249)
  • IHC-P

Unknown

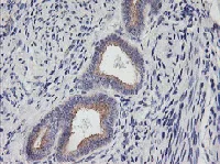
Immunohistochemistry (Formalin/PFA-fixed paraffin-embedded sections) - Anti-PHF21B antibody [OTI3D1] (AB119249)

Paraffin-embedded human breast thyroid carcinoma tissue stained for PHF21B using ab119249 at 1/150 dilution in immunohistochemical analysis.

Immunohistochemistry (Formalin/PFA-fixed paraffin-embedded sections) - Anti-PHF21B antibody [OTI3D1] (AB119249)
  • IHC-P

Unknown

Immunohistochemistry (Formalin/PFA-fixed paraffin-embedded sections) - Anti-PHF21B antibody [OTI3D1] (AB119249)

Paraffin-embedded human endometrium tissue stained for PHF21B using ab119249 at 1/150 dilution in immunohistochemical analysis.

Immunohistochemistry (Formalin/PFA-fixed paraffin-embedded sections) - Anti-PHF21B antibody [OTI3D1] (AB119249)
  • IHC-P

Unknown

Immunohistochemistry (Formalin/PFA-fixed paraffin-embedded sections) - Anti-PHF21B antibody [OTI3D1] (AB119249)

Paraffin-embedded human lung carcinoma tissue stained for PHF21B using ab119249 at 1/150 dilution in immunohistochemical analysis.

Immunohistochemistry (Formalin/PFA-fixed paraffin-embedded sections) - Anti-PHF21B antibody [OTI3D1] (AB119249)
  • IHC-P

Unknown

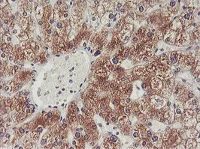
Immunohistochemistry (Formalin/PFA-fixed paraffin-embedded sections) - Anti-PHF21B antibody [OTI3D1] (AB119249)

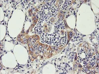
Paraffin-embedded human liver tissue stained for PHF21B using ab119249 at 1/150 dilution in immunohistochemical analysis.

Flow Cytometry (Intracellular) - Anti-PHF21B antibody [OTI3D1] (AB119249)
  • Flow Cyt (Intra)

Unknown

Flow Cytometry (Intracellular) - Anti-PHF21B antibody [OTI3D1] (AB119249)

Flow cytometric analysis of HEK-293T (human epithelial cell line from embryonic kidney transformed with large T antigen) cells transfected with either pCMV6-ENTRY PHF21B overexpress plasmid (Red) or empty vector control plasmid (Blue), stained using ab119249 at 1/100 dilution.

Immunohistochemistry (Formalin/PFA-fixed paraffin-embedded sections) - Anti-PHF21B antibody [OTI3D1] (AB119249)
  • IHC-P

Unknown

Immunohistochemistry (Formalin/PFA-fixed paraffin-embedded sections) - Anti-PHF21B antibody [OTI3D1] (AB119249)

Paraffin-embedded human ovary adenocarcinoma tissue stained for PHF21B using ab119249 at 1/150 dilution in immunohistochemical analysis.

Immunohistochemistry (Formalin/PFA-fixed paraffin-embedded sections) - Anti-PHF21B antibody [OTI3D1] (AB119249)
  • IHC-P

Unknown

Immunohistochemistry (Formalin/PFA-fixed paraffin-embedded sections) - Anti-PHF21B antibody [OTI3D1] (AB119249)

Paraffin-embedded human breast tissue stained for PHF21B using ab119249 at 1/150 dilution in immunohistochemical analysis.

Immunocytochemistry/ Immunofluorescence - Anti-PHF21B antibody [OTI3D1] (AB119249)
  • ICC/IF

Unknown

Immunocytochemistry/ Immunofluorescence - Anti-PHF21B antibody [OTI3D1] (AB119249)

COS-7 (African green monkey kidney fibroblast-like cell line) cells transiently transfected with pCMV6-ENTRY PHF21B, stained for PHF21B (green) using ab119249 at 1/100 dilution in ICC/IF.

Western blot - Anti-PHF21B antibody [OTI3D1] (AB119249)
  • WB

Unknown

Western blot - Anti-PHF21B antibody [OTI3D1] (AB119249)

All lanes:

Western blot - Anti-PHF21B antibody [OTI3D1] (ab119249) at 1/2000 dilution

Lane 1:

HEK-293T (human epithelial cell line from embryonic kidney transformed with large T antigen) cell lysate transfected with pCMV6-ENTRY control cDNA at 5 µg

Lane 2:

HEK-293T cell lysate transfected with pCMV6-ENTRY PHF21B cDNA at 5 µg

Predicted band size: 57 kDa

false

关键信息

宿主种属

Mouse

克隆

Monoclonal

克隆号

OTI3D1

亚型

IgG2b

不含载体蛋白

No

反应种属

Human

应用

IHC-P, WB, ICC/IF, Flow Cyt (Intra)

applications

免疫原

Recombinant Full Length Protein corresponding to Human PHF21B.

Q96EK2

反应性数据

{ "title": "Reactivity Data", "filters": { "stats": ["", "Species", "Dilution Info", "Notes"], "tabs": { "all-applications": {"fullname" : "All Applications", "shortname": "All Applications"}, "WB" : {"fullname" : "Western blot", "shortname":"WB"}, "IHCP" : {"fullname" : "Immunohistochemistry (Formalin/PFA-fixed paraffin-embedded sections)", "shortname":"IHC-P"}, "ICCIF" : {"fullname" : "Immunocytochemistry/ Immunofluorescence", "shortname":"ICC/IF"}, "FlowCytIntra" : {"fullname" : "Flow Cytometry (Intracellular)", "shortname":"Flow Cyt (Intra)"} }, "product-promise": { "all": "all", "testedAndGuaranteed": "tested", "guaranteed": "expected", "predicted": "predicted", "notRecommended": "not-recommended" } }, "values": { "Human": { "WB-species-checked": "guaranteed", "WB-species-dilution-info": "", "WB-species-notes": "", "IHCP-species-checked": "testedAndGuaranteed", "IHCP-species-dilution-info": "1/150", "IHCP-species-notes": "<p></p>", "ICCIF-species-checked": "guaranteed", "ICCIF-species-dilution-info": "", "ICCIF-species-notes": "", "FlowCytIntra-species-checked": "testedAndGuaranteed", "FlowCytIntra-species-dilution-info": "1/100", "FlowCytIntra-species-notes": "<p><a href='/products/primary-antibodies/mouse-igg2b-kappa-monoclonal-7e10g10-isotype-control-ab170192'>ab170192</a> - Mouse monoclonal IgG2b, is suitable for use as an isotype control with this antibody.</p>" }, "Transfected cell line": { "WB-species-checked": "notRecommended", "WB-species-dilution-info": "", "WB-species-notes": "", "IHCP-species-checked": "notRecommended", "IHCP-species-dilution-info": "", "IHCP-species-notes": "", "ICCIF-species-checked": "testedAndGuaranteed", "ICCIF-species-dilution-info": "1/100", "ICCIF-species-notes": "<p></p>", "FlowCytIntra-species-checked": "testedAndGuaranteed", "FlowCytIntra-species-dilution-info": "1/100", "FlowCytIntra-species-notes": "<p><a href='/products/primary-antibodies/mouse-igg2b-kappa-monoclonal-7e10g10-isotype-control-ab170192'>ab170192</a> - Mouse monoclonal IgG2b, is suitable for use as an isotype control with this antibody.</p>" }, "Transfected cell lysate": { "WB-species-checked": "testedAndGuaranteed", "WB-species-dilution-info": "1/2000", "WB-species-notes": "<p></p>", "IHCP-species-checked": "notRecommended", "IHCP-species-dilution-info": "", "IHCP-species-notes": "", "ICCIF-species-checked": "notRecommended", "ICCIF-species-dilution-info": "", "ICCIF-species-notes": "", "FlowCytIntra-species-checked": "notRecommended", "FlowCytIntra-species-dilution-info": "", "FlowCytIntra-species-notes": "" } } }

性能和储存信息

形式
Liquid
纯化工艺
Affinity purification
纯化说明
Purified from cell culture supernatant by affinity chromatography.
存储溶液
pH: 7.3 Preservative: 0.02% Sodium azide Constituents: PBS, 50% Glycerol (glycerin, glycerine), 1% BSA
运输条件
Blue Ice
推荐的短期储存时间
1-2 weeks
推荐的短期储存条件
+4°C
推荐的长期储存条件
-20°C
分装信息
Upon delivery aliquot
储存信息
Avoid freeze / thaw cycle

补充信息

This supplementary information is collated from multiple sources and compiled automatically.

PHF21B also referred to as plant homeodomain finger protein 21B acts mechanically as a transcriptional repressor. It contains a PHD domain which helps it bind to specific histone modifications. The protein has an estimated mass of approximately 73 kDa. Expression of PHF21B occurs in various tissues particularly within the brain and pancreas indicating its potential significance in neurological and metabolic functions.
Biological function summary

PHF21B functions as an integral component of chromatin remodeling complexes that influence gene expression. By modulating chromatin architecture PHF21B participates in regulating accessibility of DNA to transcription factors thereby influencing transcriptional activity. It's a part of larger protein complexes but specific interactions with co-factors or complex components might involve various proteins that bind to modified histones impacting gene silencing efficiently.

Pathways

Several studies suggest that PHF21B is active in epigenetic regulation pathways mainly affecting histone modification pathways. It influences gene expression by altering the epigenetic landscape and interacts with proteins like HDACs and other histone methylation-related proteins. Additionally PHF21B is thought to influence neuron development pathways further supported by its expression in brain tissue where it partners with neurodevelopment-related proteins.

Research implicates PHF21B modifications in neurological disorders including neurodevelopmental delays and certain intellectual disabilities. Variants in PHF21B relate to autism spectrum disorders suggesting its role in synapse formation or maintenance may be important. Additionally misregulation of genes involving PHF21B and its interaction partners such as MECP2 may contribute to understanding complex genetic pathologies linked to neural development issues.

产品实验方案

For this product, it's our understanding that no specific protocols are required. You can visit:

文献 (1)

Recent publications for all applications. Explore the full list and refine your search

Frontiers in immunology 11:1559 PubMed32849529

2020

PDLIM7 Synergizes With PDLIM2 and p62/Sqstm1 to Inhibit Inflammatory Signaling by Promoting Degradation of the p65 Subunit of NF-κB.

Applications

Unspecified application

Species

Unspecified reactive species

Aya Jodo,Azusa Shibazaki,Asuka Onuma,Tsuneyasu Kaisho,Takashi Tanaka
View all publications

Abcam Product Promise

我们致力于为您的研究提供高质量的试剂,为您科研的每一步提供支持。若我们的产品未能达到预期性能,我们向您提供 Abcam Product Promise 保障。
详情请参阅我们的条款与条件。

Please note: All products are 'FOR RESEARCH USE ONLY. NOT FOR USE IN DIAGNOSTIC OR THERAPEUTIC PROCEDURES'.

For licensing inquiries, please contact partnerships@abcam.com