JavaScript is disabled in your browser. Please enable JavaScript to view this website.
AB108986

重组Anti-PGP9.5抗体[EPR4118] - Neuronal Marker

Anti-PGP9.5 antibody [EPR4118] - Neuronal Marker

  • BOND RX™ Validated
  • KO Validated
  • RabMAb
  • Recombinant
  • Lab Essentials
  • 20ul selling size
  • 了解详情

5

(12 Reviews)

|

(153 Publications)

Anti-PGP9.5 antibody [EPR4118] - Neuronal Marker (ab108986) is a rabbit monoclonal antibody detecting PGP9.5 in Western Blot, Flow Cytometry (Intra), Flow Cytometry, IP, IHC-P, IHC-Fr, ICC/IF. Suitable for Human, Mouse, Rat.

- KO validated for confirmed specificity
- Biophysical QC for unrivalled batch-batch consistency
- Over 90 publications

查看别名

Ubiquitin carboxyl-terminal hydrolase isozyme L1, UCH-L1, Neuron cytoplasmic protein 9.5, PGP 9.5, Ubiquitin thioesterase L1, PGP9.5, UCHL1

19 Images
Western blot - Anti-PGP9.5 antibody [EPR4118] - Neuronal Marker (AB108986)
  • WB

Unknown

Western blot - Anti-PGP9.5 antibody [EPR4118] - Neuronal Marker (AB108986)

Lanes 1 - 5 : Merged signal (red and green). Green - ab108986 observed at 25 kDa. Red - loading control, ab8245 observed at 37 kDa.

ab108986 was shown to react with PGP9.5 in wild-type HEK-293T cells. Loss of signal was observed when knockout cell line ab255443 (knockout cell lysate ab263773) was used. Wild-type and PGP9.5 knockout samples were subjected to SDS-PAGE. ab108986 and Anti-GAPDH antibody [6C5] - Loading Control (ab8245) were incubated overnight at 4°C at 1 in 1000 dilution and 1 in 20000 dilution respectively. Blots were developed with Goat anti-Rabbit IgG H&L (IRDye® 800CW) preadsorbed (ab216773) and Goat anti-Mouse IgG H&L (IRDye® 680RD) preadsorbed (ab216776) secondary antibodies at 1 in 20000 dilution for 1 hour at room temperature before imaging.

All lanes:

Western blot - Anti-PGP9.5 antibody [EPR4118] - Neuronal Marker (ab108986) at 1/1000 dilution

Lane 1:

Wild-type HAP1 cell lysate at 20 µg

Lane 2:

UCHL1 knockout HAP1 cell lysate at 20 µg

Lane 2:

Western blot - Human UCHL1 (PGP9.5) knockout HEK-293T cell line (<a href='/products/cell-lines/human-uchl1-pgp95-knockout-hek-293t-cell-line-ab255443'>ab255443</a>)

Lane 3:

SH-SY5Y cell lysate at 20 µg

Lane 4:

Wild-type HEK-293T cell lysate at 20 µg

Lane 5:

UCHL1 knockout HEK-293T cell lysate at 20 µg

Secondary

All lanes:

Western blot - Goat anti-Rabbit IgG H&L (IRDye® 800CW) preadsorbed (<a href='/products/secondary-antibodies/goat-rabbit-igg-h-l-irdye-800cw-preadsorbed-ab216773'>ab216773</a>) at 1/20000 dilution

Predicted band size: 24 kDa

Observed band size: 25 kDa,37 kDa

false

Immunohistochemistry (Formalin/PFA-fixed paraffin-embedded sections) - Anti-PGP9.5 antibody [EPR4118] - Neuronal Marker (AB108986)
  • IHC-P

Unknown

Immunohistochemistry (Formalin/PFA-fixed paraffin-embedded sections) - Anti-PGP9.5 antibody [EPR4118] - Neuronal Marker (AB108986)

Immunohistochemical staining of PGP9.5 in paraffin embedded Human glioma tissue, using ab108986 at a 1/250 dilution.

Flow Cytometry (Intracellular) - Anti-PGP9.5 antibody [EPR4118] - Neuronal Marker (AB108986)
  • Flow Cyt (Intra)

Supplier Data

Flow Cytometry (Intracellular) - Anti-PGP9.5 antibody [EPR4118] - Neuronal Marker (AB108986)

Intracellular flow cytometric analysis of 4% paraformaldehyde fixed 90% methanol permeabilized Y79 (Human retinoblastoma retinoblastoma)cells labelling PGP9.5 with ab108986 at 1/20 dilution (Red) compared with a Rabbit monoclonal IgG (ab172730) isotype control (black)and an unlabelled control (cells without incubation with primary antibody and secondary antibody) (Blue). A Goat anti rabbit IgG (Alexa Fluorr® 488, ab150077) at 1/2000 dilution was used as the secondary antibody.

Immunohistochemistry (Formalin/PFA-fixed paraffin-embedded sections) - Anti-PGP9.5 antibody [EPR4118] - Neuronal Marker (AB108986)
  • IHC-P

AbReview57708****

Immunohistochemistry (Formalin/PFA-fixed paraffin-embedded sections) - Anti-PGP9.5 antibody [EPR4118] - Neuronal Marker (AB108986)

ab108986 staining PGP9.5 in human colon tissue sections by Immunohistochemistry (IHC-P - paraformaldehyde-fixed, paraffin-embedded sections). Tissue was fixed with formaldehyde and blocked with 2% BSA for 10 minutes at 21°C; antigen retrieval was by heat mediation in citric acid. Samples were incubated with the primary antibody (1/500 in TBS/BSA/azide) for 16 hours at 21°C. A Biotin-conjugated goat anti-rabbit IgG polyclonal (1/300) was used as the secondary antibody.

This image is courtesy of an Abreview submitted by Carl Hobbs.

Immunohistochemistry (Formalin/PFA-fixed paraffin-embedded sections) - Anti-PGP9.5 antibody [EPR4118] - Neuronal Marker (AB108986)
  • IHC-P

AbReview68812****

Immunohistochemistry (Formalin/PFA-fixed paraffin-embedded sections) - Anti-PGP9.5 antibody [EPR4118] - Neuronal Marker (AB108986)

Fomalin-fixed, paraffin-embedded Dog skin tissue stained for PGP9.5 using ab108986 at 1/500 dilution in immunohistochemical analysis. ImmPRESS™ Anti-Rabbit IgG Polymer Detection Kit was used as the secondary antibody.

Antigen Retrieval : Heat mediated - Buffer/Enzyme Used : 10 mM citrate, pH6.0

This image was courtesy of an annonymous Abreview

Flow Cytometry (Intracellular) - Anti-PGP9.5 antibody [EPR4118] - Neuronal Marker (AB108986)
  • Flow Cyt (Intra)

Unknown

Flow Cytometry (Intracellular) - Anti-PGP9.5 antibody [EPR4118] - Neuronal Marker (AB108986)

Overlay histogram showing SH-SY5Y cells stained with ab108986 (red line). The cells were fixed with 4% paraformaldehyde (10 min) and then permeabilized with 0.1% PBS-Tween for 20 min. The cells were then incubated in 1x PBS / 10% normal goat serum / 0.3M glycine to block non-specific protein-protein interactions followed by the antibody (ab108986 1/10000 dilution) for 30 min at 22°C. The secondary antibody used was Alexa Fluorr® 488 goat anti-rabbit IgG (H&L) (ab150077) at 1/2000 dilution for 30 min at 22°C. Isotype control antibody (black line) was rabbit IgG (monoclonal) (0.1μg/1x106 cells) used under the same conditions. Unlabelled sample (blue line) was also used as a control. Acquisition of >5000 events were collected using a 20mW Argon ion laser (488nm) and 525/30 bandpass filter. This antibody gave a positive signal in SH-SY5Y cells fixed with 80% methanol (5 min)/permeabilized with 0.1% PBS-Tween for 20 min used under the same conditions.

Immunohistochemistry (Formalin/PFA-fixed paraffin-embedded sections) - Anti-PGP9.5 antibody [EPR4118] - Neuronal Marker (AB108986)
  • IHC-P

Supplier Data

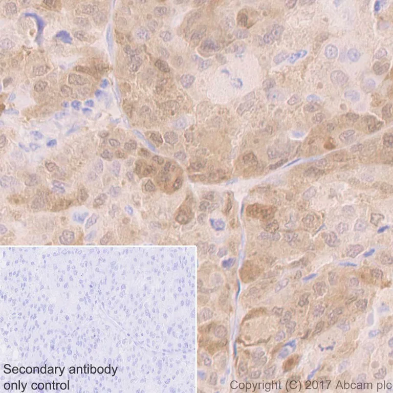
Immunohistochemistry (Formalin/PFA-fixed paraffin-embedded sections) - Anti-PGP9.5 antibody [EPR4118] - Neuronal Marker (AB108986)

Immunohistochemical analysis of paraffin-embedded human hepatocellular carcinoma tissue labeling PGP9.5 with ab108986, followed by a ready to use Goat Anti-Rabbit IgG H&L (HRP). Positive staining on human hepatocellular carcinoma. The section was incubated with ab108986 for 30 mins at room temperature. Counterstained with Hematoxylin. Heat mediated antigen retrieval using ab93684 (Tris/EDTA buffer, pH 9.0).

Secondary antibody only control : Used PBS instead of primary antibody, secondary antibody is a ready to use Goat Anti-Rabbit IgG H&L (HRP).

Immunoprecipitation - Anti-PGP9.5 antibody [EPR4118] - Neuronal Marker (AB108986)
  • IP

Supplier Data

Immunoprecipitation - Anti-PGP9.5 antibody [EPR4118] - Neuronal Marker (AB108986)

PGP9.5 was immunoprecipitated from 0.35 mg Human fetal brain lysate with ab108986 at 1/20 dilution (0.5μg in 0.35mg lysates). Western blot was performed on the immunoprecipitate using ab108986 1/500 dilution (0.17 μg/ml). VeriBlot for IP Detection Reagent (HRP) (ab131366) was used as the secondary antibody at 1/1000 dilution.

Lane 1 : Human fetal brain lysate 10μg
Lane 2 : ab108986 IP in Human fetal brain lysate
Lane 3 : Rabbit monoclonal IgG (ab172730) instead of ab108986 in Human fetal brain lysate.

Blocking and dilution buffer and concentration : 5% NFDM/TBST.

Exposure time : 1 second.

All lanes:

Immunoprecipitation - Anti-PGP9.5 antibody [EPR4118] - Neuronal Marker (ab108986)

Predicted band size: 24 kDa

false

Flow Cytometry (Intracellular) - Anti-PGP9.5 antibody [EPR4118] - Neuronal Marker (AB108986)
  • Flow Cyt (Intra)

Lab

Flow Cytometry (Intracellular) - Anti-PGP9.5 antibody [EPR4118] - Neuronal Marker (AB108986)

Flow cytometry overlay histogram showing left Neuro2a positive cells and right negative NIH3T3 stained with ab108986 (red line). The cells were fixed with 4% formaldehyde (10 min) and then permeabilised with 0.1% PBS-Triton X-100 for 15 min. The cells were then incubated in 1x PBS containing 10% normal goat serum to block non-specific protein-protein interaction followed by the antibody (ab108986) (1x 106 in 100μl at 0.2μg/ml (1/10500)) for 30min at 22°C.

The secondary antibody Goat Anti-Rabbit IgG H&L (Alexa Fluor® 488) preadsorbed was incubated at 1/4000 for 30min at 22°C

Isotype control antibody (black line) was Recombinant Rabbit IgG, monoclonal [EPR25A] - Isotype Control used at the same concentration and conditions as the primary antibody. Unlabelled sample (blue line) was also used as a control.

Acquisition of >5000 events were collected using a 50 mW Blue laser (488nm) and 525/40 bandpass filter.

This antibody gave a positive signal in Neuro2a Fixed with 80% methanol (5 min) / permeabilised with 0.1% PBS-Triton X-100 for 15 min under the same conditions.

Immunohistochemistry (Formalin/PFA-fixed paraffin-embedded sections) - Anti-PGP9.5 antibody [EPR4118] - Neuronal Marker (AB108986)
  • IHC-P

Supplier Data

Immunohistochemistry (Formalin/PFA-fixed paraffin-embedded sections) - Anti-PGP9.5 antibody [EPR4118] - Neuronal Marker (AB108986)

Immunohistochemical analysis of paraffin-embedded mouse cerebral cortex tissue labeling PGP9.5 with ab108986, followed by a ready to use Goat Anti-Rabbit IgG H&L (HRP). Positive staining on mouse cerebral cortex. The section was incubated with ab108986 for 30 mins at room temperature. Counterstained with Hematoxylin. Heat mediated antigen retrieval using ab93684 (Tris/EDTA buffer, pH 9.0).

Secondary antibody only control : Used PBS instead of primary antibody, secondary antibody is a ready to use Goat Anti-Rabbit IgG H&L (HRP).

Immunocytochemistry/ Immunofluorescence - Anti-PGP9.5 antibody [EPR4118] - Neuronal Marker (AB108986)
  • ICC/IF

Supplier Data

Immunocytochemistry/ Immunofluorescence - Anti-PGP9.5 antibody [EPR4118] - Neuronal Marker (AB108986)

Immunofluorescent analysis of 4% paraformaldehyde-fixed, 0.1% Triton X-100 permeabilized Neuro-2a (Mouse neuroblastoma cell line) cells labeling PGP9.5 with ab108986 at 1/500 dilution, followed by Goat Anti-Rabbit IgG (Alexa Fluor® 488) (ab150077) secondary antibody at 1/1000 dilution (green). Confocal image showing cytoplasmic staining on Neuro-2a cell line. The nuclear counter stain is DAPI (blue).

The negative control is PBS only.

Immunohistochemistry (Frozen sections) - Anti-PGP9.5 antibody [EPR4118] - Neuronal Marker (AB108986)
  • IHC-Fr

Unknown

Immunohistochemistry (Frozen sections) - Anti-PGP9.5 antibody [EPR4118] - Neuronal Marker (AB108986)

Immunohistochemistry (Frozen sections) analysis of mouse cerebrum tissue sections labeling PGP9.5 with Purified ab108986 at 1/250 (0.5 μg/ml).Heat mediated antigen retrieval using sodium citrate buffer (10mM citrate pH 6.0 + 0.05% Tween-20). Goat anti rabbit IgG (Alexa Fluor® 488, ab150077) was used as the secondary antibody. Negative control : PBS instead of the primary antibody. DAPI was used as a counterstain.

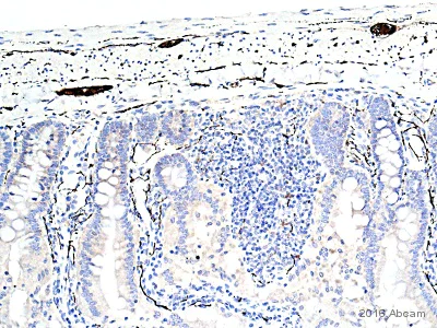
Immunohistochemistry (Formalin/PFA-fixed paraffin-embedded sections) - Anti-PGP9.5 antibody [EPR4118] - Neuronal Marker (AB108986)
  • IHC-P

AbReview57711****

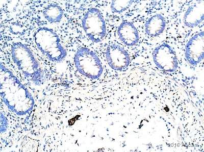
Immunohistochemistry (Formalin/PFA-fixed paraffin-embedded sections) - Anti-PGP9.5 antibody [EPR4118] - Neuronal Marker (AB108986)

Immunohistochemical analysis of rat Jejunum tissue sections labeling PGP9.5 with ab108986 at a dulution of 1/1000. Sections were fixed with Formaldehyde. A Biotin conjugated Goat Anti-Rabbit IgG at 1/300 was used as the secondary antibody. Antigen retrieval was heat mediated using citric acid.

All nerve components of enteric plexuses appear to be very well demonstrated, particularly the fine fibres of the lamina propria and the muscularis mucosa.

This image is courtesy of an Abreview submitted by Carl Hobbs

Immunohistochemistry (Formalin/PFA-fixed paraffin-embedded sections) - Anti-PGP9.5 antibody [EPR4118] - Neuronal Marker (AB108986)
  • IHC-P

AbReview57710****

Immunohistochemistry (Formalin/PFA-fixed paraffin-embedded sections) - Anti-PGP9.5 antibody [EPR4118] - Neuronal Marker (AB108986)

Immunohistochemical analysis of mouse colon tissue sections labeling PGP9.5 with ab108986 at a dulution of 1/1500. Sections were fixed with Formaldehyde. A Biotin conjugated Goat Anti-Rabbit IgG at 1/300 was used as the secondary antibody. Antigen retrieval was heat mediated using citric acid.

All nerve cell/fibre components of enteric plexuses are demonstrated very well.

This image is courtesy of an Abreview submitted by Carl Hobbs

Immunohistochemistry (Formalin/PFA-fixed paraffin-embedded sections) - Anti-PGP9.5 antibody [EPR4118] - Neuronal Marker (AB108986)
  • IHC-P

Supplier Data

Immunohistochemistry (Formalin/PFA-fixed paraffin-embedded sections) - Anti-PGP9.5 antibody [EPR4118] - Neuronal Marker (AB108986)

Immunohistochemical analysis of paraffin-embedded rat cerebral cortex tissue labeling PGP9.5 with ab108986, followed by a ready to use Goat Anti-Rabbit IgG H&L (HRP). Positive staining on rat cerebral cortex.The section was incubated with ab108986 for 30 mins at room temperature. Counterstained with Hematoxylin. Heat mediated antigen retrieval using ab93684 (Tris/EDTA buffer, pH 9.0).

Secondary antibody only control : Used PBS instead of primary antibody, secondary antibody is a ready to use Goat Anti-Rabbit IgG H&L (HRP).

Western blot - Anti-PGP9.5 antibody [EPR4118] - Neuronal Marker (AB108986)
  • WB

Unknown

Western blot - Anti-PGP9.5 antibody [EPR4118] - Neuronal Marker (AB108986)

All lanes:

Western blot - Anti-PGP9.5 antibody [EPR4118] - Neuronal Marker (ab108986) at 1/1000 dilution

Lane 1:

Fetal brain cell lysate at 10 µg

Lane 2:

Y79 cell lysate at 10 µg

Lane 3:

U87-MG cell lysate at 10 µg

Lane 4:

SH-SY5Y cell lysate at 10 µg

Lane 5:

293T cell lysate at 10 µg

Secondary

All lanes:

HRP labelled goat anti-rabbit IgG at 1/2000 dilution

Predicted band size: 24 kDa

Observed band size: 25 kDa

false

Western blot - Anti-PGP9.5 antibody [EPR4118] - Neuronal Marker (AB108986)
  • WB

Lab

Western blot - Anti-PGP9.5 antibody [EPR4118] - Neuronal Marker (AB108986)

Lanes 1 - 4 : Merged signal (red and green). Green - ab108986 observed at 24 kDa. Red - loading control, ab8245, observed at 37 kDa.

ab108986 was shown to specifically react with UCHL1 in wild-type cells as signal was lost in UCHL1 knockout HAP1 cells. Wild-type and UCHL1 knockout samples were subjected to SDS-PAGE. ab108986 and ab8245 (Mouse anti GAPDH loading control) were incubated overnight at 4°C at 1/1000 dilution and 1/10000 dilution respectively. Blots were developed with Goat anti-Rabbit IgG H&L (IRDye® 800CW) preabsorbed ab216773 and Goat anti-Mouse IgG H&L (IRDye® 680RD) preabsorbed ab216776 secondary antibodies at 1/10000 dilution for 1 hour at room temperature before imaging.

All lanes:

Western blot - Anti-PGP9.5 antibody [EPR4118] - Neuronal Marker (ab108986) at 1/1000 dilution

Lane 1:

Wild-type HAP1 whole cell lysate at 20 µg

Lane 2:

UCHL1 knockout HAP1 whole cell lysate at 20 µg

Lane 3:

SH-SY5Y whole cell lysate at 20 µg

Lane 4:

HEK293 whole cell lysate at 20 µg

Predicted band size: 24 kDa

false

Western blot - Anti-PGP9.5 antibody [EPR4118] - Neuronal Marker (AB108986)
  • WB

Supplier Data

Western blot - Anti-PGP9.5 antibody [EPR4118] - Neuronal Marker (AB108986)

Blocking/Diluting buffer and concentration : 5% NFDM/TBST

All lanes:

Western blot - Anti-PGP9.5 antibody [EPR4118] - Neuronal Marker (ab108986) at 1/5000 dilution

Lane 1:

HEK-293 (Human embryonic kidney epithelial cell) whole cell lysates at 20 µg

Lane 2:

SH-SY5Y (Human neuroblastoma epithelial cell) whole cell lysates at 20 µg

Lane 3:

C6 (Rat glial tumor glial cell) whole cell lysates at 20 µg

Lanes 4 and 6:

PC-12 (Rat adrenal gland pheochromocytoma) whole cell lysates at 20 µg

Lane 5:

Neuro-2a (Mouse neuroblastoma neuroblast) whole cell lysates at 20 µg

Lane 7:

Mouse brain lysates at 20 µg

Secondary

All lanes:

Western blot - Goat Anti-Rabbit IgG H&L (HRP) (<a href='/products/secondary-antibodies/goat-rabbit-igg-h-l-hrp-ab97051'>ab97051</a>) at 1/20000 dilution

Predicted band size: 24 kDa

Observed band size: 25 kDa

false

Exposure time: 10s

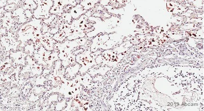
Immunohistochemistry (Formalin/PFA-fixed paraffin-embedded sections) - Anti-PGP9.5 antibody [EPR4118] - Neuronal Marker (AB108986)
  • IHC-P

AbReview68477****

Immunohistochemistry (Formalin/PFA-fixed paraffin-embedded sections) - Anti-PGP9.5 antibody [EPR4118] - Neuronal Marker (AB108986)

Formalin-fixed, paraffin-embedded Cat lung tissue stained for PGP9.5 using ab108986 at 1/250 dilution in immunohistochemical analysis. The secondary antibody was ImmPRESS™ HRP Universal Antibody (Anti-Mouse IgG/A). Antigen retrieval : Heat mediated - Buffer/Enzyme Used : 10 mM citrate, pH6.0.

This image is courtesy of an annonymous Abreview

不同偶联物与剂型 (7)

  • 665 Alexa Fluor® 647

    Alexa Fluor® 647 Anti-PGP9.5 antibody [EPR4118] - Neuronal Marker

  • 565 Alexa Fluor® 555

    Alexa Fluor® 555 Anti-PGP9.5 antibody [EPR4118] - Neuronal Marker

  • 617 Alexa Fluor® 594

    Alexa Fluor® 594 Anti-PGP9.5 antibody [EPR4118] - Neuronal Marker

  • 519 Alexa Fluor® 488

    Alexa Fluor® 488 Anti-PGP9.5 antibody [EPR4118] - Neuronal Marker

  • 603 Alexa Fluor® 568

    Alexa Fluor® 568 Anti-PGP9.5 antibody [EPR4118] - Neuronal Marker

  • Carrier free

    Anti-PGP9.5 antibody [EPR4118] - BSA and Azide free

  • 660 APC

    APC Anti-PGP9.5 antibody [EPR4118] - Neuronal Marker

关键信息

宿主种属

Rabbit

克隆

Monoclonal

克隆号

EPR4118

亚型

IgG

不含载体蛋白

No

反应种属

Mouse, Rat, Human

应用

Flow Cyt (Intra), IHC-P, ICC/IF, IHC-Fr, IP, WB

applications

免疫原

The exact immunogen used to generate this antibody is proprietary information.

反应性数据

{ "title": "Reactivity Data", "filters": { "stats": ["", "Species", "Dilution Info", "Notes"], "tabs": { "all-applications": {"fullname" : "All Applications", "shortname": "All Applications"}, "IP" : {"fullname" : "Immunoprecipitation", "shortname":"IP"}, "WB" : {"fullname" : "Western blot", "shortname":"WB"}, "ICCIF" : {"fullname" : "Immunocytochemistry/ Immunofluorescence", "shortname":"ICC/IF"}, "IHCFr" : {"fullname" : "Immunohistochemistry (Frozen sections)", "shortname":"IHC-Fr"}, "FlowCytIntra" : {"fullname" : "Flow Cytometry (Intracellular)", "shortname":"Flow Cyt (Intra)"}, "IHCP" : {"fullname" : "Immunohistochemistry (Formalin/PFA-fixed paraffin-embedded sections)", "shortname":"IHC-P"} }, "product-promise": { "all": "all", "testedAndGuaranteed": "tested", "guaranteed": "expected", "predicted": "predicted", "notRecommended": "not-recommended" } }, "values": { "Human": { "IP-species-checked": "testedAndGuaranteed", "IP-species-dilution-info": "1/10 - 1/100", "IP-species-notes": "<p></p>", "WB-species-checked": "testedAndGuaranteed", "WB-species-dilution-info": "1/1000 - 1/10000", "WB-species-notes": "<p></p>", "ICCIF-species-checked": "guaranteed", "ICCIF-species-dilution-info": "", "ICCIF-species-notes": "", "IHCFr-species-checked": "guaranteed", "IHCFr-species-dilution-info": "", "IHCFr-species-notes": "", "FlowCytIntra-species-checked": "testedAndGuaranteed", "FlowCytIntra-species-dilution-info": "1/100 - 1/10000", "FlowCytIntra-species-notes": "<p><a href='/products/primary-antibodies/rabbit-igg-monoclonal-epr25a-isotype-control-ab172730'>ab172730</a> - Rabbit monoclonal IgG, is suitable for use as an isotype control with this antibody.</p>", "IHCP-species-checked": "testedAndGuaranteed", "IHCP-species-dilution-info": "1/250 - 1/1000", "IHCP-species-notes": "<p></p> Perform heat-mediated antigen retrieval with Tris/EDTA buffer pH 9.0 before commencing with IHC staining protocol." }, "Mouse": { "IP-species-checked": "guaranteed", "IP-species-dilution-info": "", "IP-species-notes": "", "WB-species-checked": "testedAndGuaranteed", "WB-species-dilution-info": "1/1000 - 1/10000", "WB-species-notes": "<p></p>", "ICCIF-species-checked": "testedAndGuaranteed", "ICCIF-species-dilution-info": "1/500", "ICCIF-species-notes": "<p></p>", "IHCFr-species-checked": "testedAndGuaranteed", "IHCFr-species-dilution-info": "1/250", "IHCFr-species-notes": "<p>Heat mediated antigen retrieval using sodium citrate buffer (10mM citrate pH 6.0 + 0.05% Tween-20)</p>", "FlowCytIntra-species-checked": "testedAndGuaranteed", "FlowCytIntra-species-dilution-info": "1/100 - 1/10000", "FlowCytIntra-species-notes": "<p><a href='/products/primary-antibodies/rabbit-igg-monoclonal-epr25a-isotype-control-ab172730'>ab172730</a> - Rabbit monoclonal IgG, is suitable for use as an isotype control with this antibody.</p>", "IHCP-species-checked": "testedAndGuaranteed", "IHCP-species-dilution-info": "1/250 - 1/1000", "IHCP-species-notes": "<p></p> Perform heat-mediated antigen retrieval with Tris/EDTA buffer pH 9.0 before commencing with IHC staining protocol." }, "Rat": { "IP-species-checked": "guaranteed", "IP-species-dilution-info": "", "IP-species-notes": "", "WB-species-checked": "testedAndGuaranteed", "WB-species-dilution-info": "1/1000 - 1/10000", "WB-species-notes": "<p></p>", "ICCIF-species-checked": "guaranteed", "ICCIF-species-dilution-info": "", "ICCIF-species-notes": "", "IHCFr-species-checked": "guaranteed", "IHCFr-species-dilution-info": "", "IHCFr-species-notes": "", "FlowCytIntra-species-checked": "guaranteed", "FlowCytIntra-species-dilution-info": "", "FlowCytIntra-species-notes": "", "IHCP-species-checked": "testedAndGuaranteed", "IHCP-species-dilution-info": "1/250 - 1/1000", "IHCP-species-notes": "<p></p> Perform heat-mediated antigen retrieval with Tris/EDTA buffer pH 9.0 before commencing with IHC staining protocol." } } }

产品详情

Anti-PGP9.5 antibody [EPR4118] - Neuronal Marker (ab108986) was developed by Abcam using patented rabbit monoclonal antibody technology and is validated for use in Flow Cyt (Intra), ICC/IF, IHC-Fr, IHC-P, IP and WB.

Abcam's high quality manufacturing and validation processes ensure Anti-PGP9.5 antibody [EPR4118] - Neuronal Marker (ab108986) has high sensitivity and specificity alongside high lot-to-lot consistency and reproducibility.

The specificity of Anti-PGP9.5 antibody [EPR4118] - Neuronal Marker (ab108986) has been confirmed by Western Blot testing in PGP9.5 knockout ab263773 cells (ab263773).

Anti-PGP9.5 antibody [EPR4118] - Neuronal Marker (ab108986) has 11 independent reviews from customers.

Anti-PGP9.5 antibody [EPR4118] - Neuronal Marker (ab108986) specifically detects PGP9.5 (UniProt ID: P09936; Molecular weight: 25kDa) and is sold in 100 µL and 1 mL selling sizes.

Conjugation-ready, carrier free format available for antibody clone EPR4118 - ab220823.

Antibody clone EPR4118 is also available pre-conjugated to a variety of labels for your convenience - Alexa Fluor® 647, Alexa Fluor® 555, Alexa Fluor® 488, Alexa Fluor® 594, Alexa Fluor® 568, APC (ab196173, ab300549, ab302578, ab302664, ab305109, ab317591).

PGP9.5, also known as UCH-L1/UCHL1, is a crucial protein in neuro research, particularly for its role as a neuronal and neuroendocrine marker. It is widely used to stain neuronal cell bodies and axons in both the central and peripheral nervous systems. Researchers use PGP9.5 to assess nerve fiber density and integrity, making it essential for studying neurodegenerative diseases, small fiber neuropathy and various cancers. Its reliable expression in neurons helps in evaluating neuronal health and pathology in different neurological conditions.

Patented technology
Our RabMAb® technology is a patented hybridoma-based technology for making rabbit monoclonal antibodies. For details on our patents, please refer to RabMAb® patents.

What are the advantages of a recombinant monoclonal antibody?
This product is a recombinant monoclonal antibody, which offers several advantages including:

  • - High batch-to-batch consistency and reproducibility
  • - Improved sensitivity and specificity
  • - Long-term security of supply
  • - Animal-free batch production

For more information, read more on recombinant antibodies.

性能和储存信息

形式
Liquid
纯化工艺
Affinity purification Protein A
存储溶液
pH: 7.2 - 7.4 Preservative: 0.01% Sodium azide Constituents: PBS, 40% Glycerol (glycerin, glycerine), 0.05% BSA
运输条件
Blue Ice
推荐的短期储存时间
1-2 weeks
推荐的短期储存条件
+4°C
推荐的长期储存条件
-20°C
分装信息
Upon delivery aliquot
储存信息
Stable for 12 months at -20°C

补充信息

This supplementary information is collated from multiple sources and compiled automatically.

Protein Gene Product 9.5 (PGP9.5) also known as ubiquitin carboxyl-terminal hydrolase L1 (UCH-L1) is an enzyme of approximately 27 kDa mass. PGP9.5 is highly expressed in neurons and neuroendocrine cells and is involved in the processing of ubiquitinated proteins. Ubiquitination and deubiquitination are critical for maintaining cellular protein homeostasis. PGP9.5 is present in the central and peripheral nervous systems. Researchers often utilize PGP9.5 as a neuronal marker due to its strong expression in nerve tissues. Antibody clone 13C4 is commonly used in PGP9.5 immunohistochemistry to visualize this protein in histopathology sections.
Biological function summary

PGP9.5 plays a significant role in the ubiquitin-proteasome pathway where it regulates protein degradation. It functions by cleaving ubiquitin from ubiquitin-protein conjugates which can recycle ubiquitin for reuse impacting protein turnover. This process is important for removing misfolded or damaged proteins maintaining cellular integrity. PGP9.5 has not been documented as a part of any large multimeric complex; its action is rather individual yet vital in cellular processes.

Pathways

PGP9.5 is an important participant in the ubiquitin-dependent proteolysis pathway. This pathway controls the degradation of proteins that regulate cell cycle differentiation and neuromodulation. PGP9.5 works in tandem with other proteins such as the proteasome complex to remove proteins tagged for destruction. Another important pathway linked with PGP9.5 is the neuronal development pathway in which its activity supports neuron growth and repair.

Defective PGP9.5 function associates mainly with neurodegenerative diseases such as Parkinson's disease and Alzheimer's disease. Mutations or dysregulation in PGP9.5 expression are implicated in the pathogenesis of these conditions affecting protein degradation and neuronal health. Other proteins like α-synuclein in Parkinson's disease interact with PGP9.5 pathways indicating their involvement in disease mechanisms. Researchers consider PGP9.5 a potential biomarker for neuronal pathology through methods like PGP9.5 IHC allowing for evaluation of nerve damage and neuroendocrine tumor diagnosis.

产品实验方案

For this product, it's our understanding that no specific protocols are required. You can visit:

靶点信息

Deubiquitinase that plays a role in the regulation of several processes such as maintenance of synaptic function, cardiac function, inflammatory response or osteoclastogenesis (PubMed : 22212137, PubMed : 23359680). Abrogates the ubiquitination of multiple proteins including WWTR1/TAZ, EGFR, HIF1A and beta-site amyloid precursor protein cleaving enzyme 1/BACE1 (PubMed : 22212137, PubMed : 25615526). In addition, recognizes and hydrolyzes a peptide bond at the C-terminal glycine of ubiquitin to maintain a stable pool of monoubiquitin that is a key requirement for the ubiquitin-proteasome and the autophagy-lysosome pathways (PubMed : 12408865, PubMed : 8639624, PubMed : 9774100). Regulates amyloid precursor protein/APP processing by promoting BACE1 degradation resulting in decreased amyloid beta production (PubMed : 22212137). Plays a role in the immune response by regulating the ability of MHC I molecules to reach cross-presentation compartments competent for generating Ag-MHC I complexes (By similarity). Mediates the 'Lys-48'-linked deubiquitination of the transcriptional coactivator WWTR1/TAZ leading to its stabilization and inhibition of osteoclastogenesis (By similarity). Deubiquitinates and stabilizes epidermal growth factor receptor EGFR to prevent its degradation and to activate its downstream mediators (By similarity). Modulates oxidative activity in skeletal muscle by regulating key mitochondrial oxidative proteins (By similarity). Enhances the activity of hypoxia-inducible factor 1-alpha/HIF1A by abrogateing its VHL E3 ligase-mediated ubiquitination and consequently inhibiting its degradation (PubMed : 25615526).
See full target information UCHL1

文献 (153)

Recent publications for all applications. Explore the full list and refine your search

Nature communications 16:8223 PubMed41022817

2025

Pulsed electromagnetic fields mediate sensory nerve regulation for bone formation in aging models.

Applications

Unspecified application

Species

Unspecified reactive species

Tiantian Wang,Zejun Liang,Changyi Wang,Jiehao Chen,Yaru Ma,Sihan Chen,Dong Zhou,Zhen Hong

Acta biochimica et biophysica Sinica : PubMed40944410

2025

Exosomal miR-146a-3p modulates neural stem cell fate through UCHL1 downregulation in spinal cord injury: implications for neuroregeneration.

Applications

Unspecified application

Species

Unspecified reactive species

Ying Gao,Ziwen Shi,Suhe Zhang,Zhiqiang Wu,Tao Zhou,Pinghui Zhou,Weiwei Chu,Xuyi Wang

Nature 646:1243-1253 PubMed40931078

2025

Functional synapses between neurons and small cell lung cancer.

Applications

Unspecified application

Species

Unspecified reactive species

Vignesh Sakthivelu,Anna Schmitt,Franka Odenthal,Kristiano Ndoci,Marian Touet,Ali H Shaib,Abdulla Chihab,Gulzar A Wani,Pascal Nieper,Griffin G Hartmann,Isabel Pintelon,Ilmars Kisis,Maike Boecker,Naja M Eckert,Manoela Iannicelli Caiaffa,Olta Ibruli,Julia Weber,Roman Maresch,Christina M Bebber,Ali Chitsaz,Anna Lütz,Mira Kim Alves Carpinteiro,Kaylee M Morris,Camilla A Franchino,Jonas Benz,Laura Pérez-Revuelta,Jorge A Soriano-Campos,Maxim A Huetzen,Jonas Goergens,Milica Jevtic,Hannah M Jahn-Kelleter,Hans Zempel,Aleksandra Placzek,Alexandru A Hennrich,Karl-Klaus Conzelmann,Hannah L Tumbrink,Pascal Hunold,Joerg Isensee,Lisa Werr,Felix Gaedke,Astrid Schauss,Marielle Minère,Marie Müller,Henning Fenselau,Yin Liu,Alena Heimsoeth,Gülce S Gülcüler Balta,Henning Walczak,Christian Frezza,Ron D Jachimowicz,Julie George,Marcel Schmiel,Johannes Brägelmann,Tim Hucho,Silvia von Karstedt,Martin Peifer,Alessandro Annibaldi,Robert Hänsel-Hertsch,Thorsten Persigehl,Holger Grüll,Martin L Sos,Guido Reifenberger,Matthias Fischer,Dirk Adriaensen,Reinhard Büttner,Julien Sage,Inge Brouns,Roland Rad,Roman K Thomas,Max Anstötz,Silvio O Rizzoli,Matteo Bergami,Elisa Motori,Hans Christian Reinhardt,Filippo Beleggia

Acta neuropathologica 150:11 PubMed40748411

2025

Myocardial sympathetic distal axon loss in subjects with Lewy pathology in three autopsy cohorts.

Applications

Unspecified application

Species

Unspecified reactive species

Ville Kivistö,Benjamin Englert,Jarno Tuimala,Eloise Kok,Henri Puttonen,Anna Raunio,Pekka J Karhunen,Maria K Lehtinen,Per Borghammer,Ella Ahvenainen,Kia Colangelo,Sara Savola,Maarit Tanskanen,Karri Kaivola,Pentti J Tienari,Darshan Kumar,Anders Paetau,Olli Tynninen,Mikko I Mäyränpää,Tuomo Polvikoski,Liisa Myllykangas

Acta neuropathologica communications 13:158 PubMed40684195

2025

Unraveling the development of cutaneous neurofibromas in neurofibromatosis type 1.

Applications

Unspecified application

Species

Unspecified reactive species

Pernelle Pulh,Fanny Coulpier,Audrey Onfroy,Layna Oubrou,Wanzhen Zhang,Léa Toledano,Elie Abou Zougheib,Laura Fertitta,Pierre Wolkenstein,Piotr Topilko

Cells 14: PubMed40498008

2025

Hypoxia Promotes the In Vitro Proliferation of Buffalo Spermatogonial Cells by Increasing Lactate and H3K18la Lactylation Levels.

Applications

Unspecified application

Species

Unspecified reactive species

Mengqi Li,Yanyu Ma,Shenzhi Wang,Haiying Zheng,Chunyan Yang,Anqin Duan,Benliang Zhou,Jianghua Shang,Xingwei Liang,Xiaogan Yang

MedComm 6:e70173 PubMed40276644

2025

Hypoxia-Driven Neurovascular Impairment Underlies Structural-Functional Dissociation in Diabetic Sudomotor Dysfunction.

Applications

Unspecified application

Species

Unspecified reactive species

Xu Guo,Chao Zhang,Yuzhen Wang,Zhao Li,Yaxin Tan,Dongzhen Zhu,Wei Song,Yi Kong,Jinpeng Du,Yuyan Huang,Liting Liang,Jianjun Li,Mengde Zhang,Linhao Hou,Qinhua Liu,Feng Tian,Bingyang Yu,Yue Kong,Zhenyu Zhou,Xiaobing Fu,Sha Huang

Communications biology 8:639 PubMed40259086

2025

SST neurons in the periaqueductal gray regulate urination and bladder function.

Applications

Unspecified application

Species

Unspecified reactive species

Junan Yan,Ziyan Gao,Xianping Li,Jun Li,Chunhui Yuan,Shanshan Liang,Jun Li,Guoxian Deng,Lingxuan Yin,Shutong Pang,Wei Shao,Xiaowen Xia,He Zhu,Jiwei Yao

Journal of toxicologic pathology 38:167-175 PubMed40190624

2025

Novel three-dimensional analysis method for accurate evaluation of cutaneous small sensory nerve fibers in mice.

Applications

Unspecified application

Species

Unspecified reactive species

Minori Inanaga- Kojima,Tetsuro Matsuura,Kiyokazu Ozaki

Journal of neurology 272:247 PubMed40042672

2025

Overlapping presence of β-amyloid, tau, p-tau, and α-synuclein in skin nerve fibers in Alzheimer's disease.

Applications

Unspecified application

Species

Unspecified reactive species

Emilie Buchholz,Marie-Luise Machule,Maria Buthut,Leon Stefanovski,Rosa Rössling,Harald Prüss
View all publications

Abcam Product Promise

我们致力于为您的研究提供高质量的试剂,为您科研的每一步提供支持。若我们的产品未能达到预期性能,我们向您提供 Abcam Product Promise 保障。
详情请参阅我们的条款与条件。

Please note: All products are 'FOR RESEARCH USE ONLY. NOT FOR USE IN DIAGNOSTIC OR THERAPEUTIC PROCEDURES'.

For licensing inquiries, please contact partnerships@abcam.com