JavaScript is disabled in your browser. Please enable JavaScript to view this website.
AB227049

重组Anti-Periostin抗体[EPR20806] - BSA and Azide free

Anti-Periostin antibody [EPR20806] - BSA and Azide free

5

(1 Review)

|

(6 Publications)

Rabbit Recombinant Monoclonal Periostin antibody. Carrier free. Suitable for IHC-Fr, IHC-P and reacts with Mouse, Rat, Human samples. Cited in 6 publications.

查看别名

OSF2, POSTN, Periostin, PN, Osteoblast-specific factor 2, OSF-2

6 Images
Immunohistochemistry (Formalin/PFA-fixed paraffin-embedded sections) - Anti-Periostin antibody [EPR20806] - BSA and Azide free (AB227049)
  • IHC-P

Supplier Data

Immunohistochemistry (Formalin/PFA-fixed paraffin-embedded sections) - Anti-Periostin antibody [EPR20806] - BSA and Azide free (AB227049)

Immunohistochemical analysis of paraffin-embedded human stomach tissue labeling Periostin with ab215199 at 1/1000 dilution, followed by Goat Anti-Rabbit IgG H&L (HRP) ready to use. Positive extracellular matrix staining on the stroma of human stomach (PMID : 15731169). Counter stained with Hematoxylin.

Secondary antibody only control : Used PBS instead of primary antibody, secondary antibody is Goat Anti-Rabbit IgG H&L (HRP) ready to use.

This data was developed using the same antibody clone in a different buffer formulation containing PBS, BSA, glycerol, and sodium azide (ab215199).

Perform heat mediated antigen retrieval with Tris/EDTA buffer pH 9.0 before commencing with IHC staining protocol.

Immunohistochemistry (Formalin/PFA-fixed paraffin-embedded sections) - Anti-Periostin antibody [EPR20806] - BSA and Azide free (AB227049)
  • IHC-P

Supplier Data

Immunohistochemistry (Formalin/PFA-fixed paraffin-embedded sections) - Anti-Periostin antibody [EPR20806] - BSA and Azide free (AB227049)

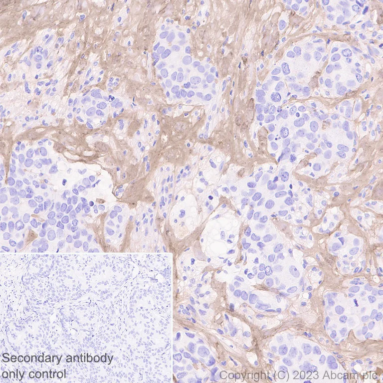
Immunohistochemical analysis of paraffin-embedded Human breast carcinoma tissue labelling Periostin with ab215199 at 1/1000 dilution (0.516 μg/ml) followed by a Goat Anti-Rabbit IgG H&L (HRP polymer) (ab214880) at a Ready to use dilution. Positive staining on extracellular matrix of human breast carcinoma. The section was incubated with ab215199 at 4°C overnight. Counterstained with Hematoxylin. Secondary antibody only control : Secondary antibody is Goat Anti-Rabbit IgG H&L (HRP polymer) (ab214880) at Ready to use dilution. Heat mediated antigen retrieval was performed using ab93684 (Tris/EDTA buffer, pH 9.0). This data was developed using the same antibody clone in a different buffer formulation containing PBS, BSA, glycerol, and sodium azide (ab215199).

Immunohistochemistry (Frozen sections) - Anti-Periostin antibody [EPR20806] - BSA and Azide free (AB227049)
  • IHC-Fr

Supplier Data

Immunohistochemistry (Frozen sections) - Anti-Periostin antibody [EPR20806] - BSA and Azide free (AB227049)

Immunohistochemical analysis of 4% paraformaldehyde-fixed, 0.2% Triton X-100 permeabilized mouse stomach tissue labeling Periostin with ab215199 at 1/500 dilution ,followed by Goat Anti-Rabbit IgG H&L (Alexa Fluor® 488) (ab150077) secondary antibody at 1/1000 dilution (green). Positive cytoplasmic staining in the gastric lamina propia mucosae, negative staining in the epithelial cells (PMID : 24418260).

The nuclear counter stain is DAPI (blue).

Secondary antibody only control : Used PBS instead of primary antibody, secondary antibody is Goat Anti-Rabbit IgG H&L (Alexa Fluor® 488) (ab150077) secondary antibody at 1/1000 dilution.

This data was developed using the same antibody clone in a different buffer formulation containing PBS, BSA, glycerol, and sodium azide (ab215199).

Immunohistochemistry (Frozen sections) - Anti-Periostin antibody [EPR20806] - BSA and Azide free (AB227049)
  • IHC-Fr

Supplier Data

Immunohistochemistry (Frozen sections) - Anti-Periostin antibody [EPR20806] - BSA and Azide free (AB227049)

Immunohistochemical analysis of 4% paraformaldehyde-fixed, 0.2% Triton X-100 permeabilized rat stomach tissue labeling Periostin with ab215199 at 1/500 dilution, followed by Goat Anti-Rabbit IgG H&L (Alexa Fluor® 488) (ab150077) secondary antibody at 1/1000 dilution (green). Positive cytoplasmic staining in the gastric lamina propia mucosae, negative staining in the epithelial cells (PMID : 24418260).

The nuclear counter stain is DAPI (blue).

Secondary antibody only control : Used PBS instead of primary antibody, secondary antibody is Goat Anti-Rabbit IgG H&L (Alexa Fluor® 488) (ab150077) secondary antibody at 1/1000 dilution.

This data was developed using the same antibody clone in a different buffer formulation containing PBS, BSA, glycerol, and sodium azide (ab215199).

Immunohistochemistry (Formalin/PFA-fixed paraffin-embedded sections) - Anti-Periostin antibody [EPR20806] - BSA and Azide free (AB227049)
  • IHC-P

Supplier Data

Immunohistochemistry (Formalin/PFA-fixed paraffin-embedded sections) - Anti-Periostin antibody [EPR20806] - BSA and Azide free (AB227049)

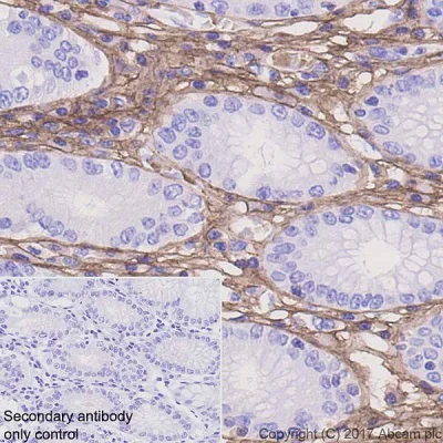
Immunohistochemical analysis of paraffin-embedded mouse colon tissue labeling Periostin with ab215199 at 1/1000 dilution, followed by Goat Anti-Rabbit IgG H&L (HRP) ready to use. Positive extracellular matrix staining on the stroma of mouse colon (PMID : 15731169, PMID : 18443362). Counter stained with Hematoxylin.

Secondary antibody only control : Used PBS instead of primary antibody, secondary antibody is Goat Anti-Rabbit IgG H&L (HRP) ready to use.

This data was developed using the same antibody clone in a different buffer formulation containing PBS, BSA, glycerol, and sodium azide (ab215199).

Perform heat mediated antigen retrieval with Tris/EDTA buffer pH 9.0 before commencing with IHC staining protocol.

Immunohistochemistry (Formalin/PFA-fixed paraffin-embedded sections) - Anti-Periostin antibody [EPR20806] - BSA and Azide free (AB227049)
  • IHC-P

Supplier Data

Immunohistochemistry (Formalin/PFA-fixed paraffin-embedded sections) - Anti-Periostin antibody [EPR20806] - BSA and Azide free (AB227049)

Immunohistochemical analysis of paraffin-embedded rat stomach tissue labeling Periostin with ab215199 at 1/1000 dilution, followed by Goat Anti-Rabbit IgG H&L (HRP) ready to use. Positive extracellular matrix staining on the stroma of rat stomach (PMID : 15731169). Counter stained with Hematoxylin.

Secondary antibody only control : Used PBS instead of primary antibody, secondary antibody is Goat Anti-Rabbit IgG H&L (HRP) ready to use.

This data was developed using the same antibody clone in a different buffer formulation containing PBS, BSA, glycerol, and sodium azide (ab215199).

Perform heat mediated antigen retrieval with Tris/EDTA buffer pH 9.0 before commencing with IHC staining protocol.

不同偶联物与剂型 (3)

关键信息

宿主种属

Rabbit

克隆

Monoclonal

克隆号

EPR20806

亚型

IgG

不含载体蛋白

Yes

反应种属

Mouse, Rat, Human

应用

IHC-P, IHC-Fr

applications

免疫原

The exact immunogen used to generate this antibody is proprietary information.

反应性数据

{ "title": "Reactivity Data", "filters": { "stats": ["", "Species", "Dilution Info", "Notes"], "tabs": { "all-applications": {"fullname" : "All Applications", "shortname": "All Applications"}, "IHCFr" : {"fullname" : "Immunohistochemistry (Frozen sections)", "shortname":"IHC-Fr"}, "IHCP" : {"fullname" : "Immunohistochemistry (Formalin/PFA-fixed paraffin-embedded sections)", "shortname":"IHC-P"} }, "product-promise": { "all": "all", "testedAndGuaranteed": "tested", "guaranteed": "expected", "predicted": "predicted", "notRecommended": "not-recommended" } }, "values": { "Human": { "IHCFr-species-checked": "guaranteed", "IHCFr-species-dilution-info": "", "IHCFr-species-notes": "", "IHCP-species-checked": "testedAndGuaranteed", "IHCP-species-dilution-info": "", "IHCP-species-notes": "<p></p>" }, "Mouse": { "IHCFr-species-checked": "testedAndGuaranteed", "IHCFr-species-dilution-info": "", "IHCFr-species-notes": "<p>Perform heat mediated antigen retrieval with Tris/EDTA buffer pH 9.0 before commencing with IHC staining protocol.</p>", "IHCP-species-checked": "testedAndGuaranteed", "IHCP-species-dilution-info": "", "IHCP-species-notes": "<p></p>" }, "Rat": { "IHCFr-species-checked": "testedAndGuaranteed", "IHCFr-species-dilution-info": "", "IHCFr-species-notes": "<p>Perform heat mediated antigen retrieval with Tris/EDTA buffer pH 9.0 before commencing with IHC staining protocol.</p>", "IHCP-species-checked": "testedAndGuaranteed", "IHCP-species-dilution-info": "", "IHCP-species-notes": "<p></p>" } } }

产品详情

ab227049 is the carrier-free version of ab215199.

Patented technology
Our RabMAb® technology is a patented hybridoma-based technology for making rabbit monoclonal antibodies. For details on our patents, please refer to RabMAb® patents.

What are the advantages of a recombinant monoclonal antibody?
This product is a recombinant monoclonal antibody, which offers several advantages including:

  • - High batch-to-batch consistency and reproducibility
  • - Improved sensitivity and specificity
  • - Long-term security of supply
  • - Animal-free batch production

For more information, read more on recombinant antibodies.

Conjugation ready
Our carrier-free antibodies are typically supplied in a PBS-only formulation, purified and free of BSA, sodium azide and glycerol. This conjugation-ready format is designed for use with fluorochromes, metal isotopes, oligonucleotides, and enzymes, which makes them ideal for antibody labelling, functional and cell-based assays, flow-based assays (e.g. mass cytometry) and Multiplex Imaging applications.

Use our conjugation kits for antibody conjugates that are ready-to-use in as little as 20 minutes with 1 minute hands-on-time and 100% antibody recovery: available for fluorescent dyes, HRP, biotin and gold.

Compatibility
This product is compatible with the Maxpar® Antibody Labeling Kit from Fluidigm, without the need for antibody preparation. Maxpar® is a trademark of Fluidigm Canada Inc.

性能和储存信息

形式
Liquid
纯化工艺
Affinity purification Protein A
存储溶液
pH: 7.2 - 7.4 Constituents: PBS
运输条件
Blue Ice
推荐的短期储存条件
+4°C
推荐的长期储存条件
+4°C
储存信息
Do Not Freeze

补充信息

This supplementary information is collated from multiple sources and compiled automatically.

Periostin also known as POSTN or OSF-2 is an extracellular matrix protein with a molecular weight of approximately 90 kDa. It plays a mechanical role in tissue remodeling by binding to integrins which supports tissue repair and regeneration. Periostin is mainly expressed in collagen-rich tissues such as bone periodontal ligament and cardiac tissues. It is synthesized by osteoblasts fibroblasts and other stromal cells functioning as a structural protein that supports cell adhesion and migration.
Biological function summary

The periostin protein contributes to the maintenance of tissue integrity and mechanical properties. It does not solely act; it forms part of a multiprotein complex with collagen and other extracellular matrix components. This involvement is necessary for maintaining cellular interactions and promoting tissue healing processes. Additionally periostin influences cell proliferation and migration impacting developmental and wound healing biology.

Pathways

Periostin is involved in the integrin signaling pathway and the Wnt/β-catenin pathway both important for cell communication and movement. Through these pathways periostin interacts with integrins αvβ3 and αvβ5 facilitating cell adhesion and migration. The Wnt/β-catenin pathway interaction involves several proteins including Frizzled receptors ensuring regulation of cellular proliferation and differentiation. These pathways make periostin a coordinator of complex cellular processes.

The periostin protein is associated with conditions such as fibrotic diseases and cardiovascular disorders. In fibrosis periostin promotes collagen cross-linking exacerbating tissue stiffness. This involves increased interaction with proteins like collagen types I and V contributing to pathological fibrotic progression. In cardiovascular disorders elevated periostin levels after myocardial injury are linked with fibrotic scarring where it collaborates with matrix metalloproteinases to remodel the cardiac tissue architecture. Understanding these connections can lead to novel therapeutic strategies.

产品实验方案

For this product, it's our understanding that no specific protocols are required. You can visit:

靶点信息

Induces cell attachment and spreading and plays a role in cell adhesion (PubMed : 12235007). Enhances incorporation of BMP1 in the fibronectin matrix of connective tissues, and subsequent proteolytic activation of lysyl oxidase LOX (By similarity).
See full target information POSTN

文献 (6)

Recent publications for all applications. Explore the full list and refine your search

Nature 632:411-418 PubMed39048831

2024

In vivo interaction screening reveals liver-derived constraints to metastasis.

Applications

Unspecified application

Species

Unspecified reactive species

Costanza Borrelli,Morgan Roberts,Davide Eletto,Marie-Didiée Hussherr,Hassan Fazilaty,Tomas Valenta,Atefeh Lafzi,Jonas A Kretz,Elena Guido Vinzoni,Andromachi Karakatsani,Srivathsan Adivarahan,Ardian Mannhart,Shoichiro Kimura,Ab Meijs,Farah Baccouche Mhamedi,Ilhan E Acar,Kristina Handler,Xenia Ficht,Randall J Platt,Salvatore Piscuoglio,Andreas E Moor

The Journal of clinical investigation 133: PubMed37824211

2023

Improving radiotherapy in immunosuppressive microenvironments by targeting complement receptor C5aR1.

Applications

Unspecified application

Species

Unspecified reactive species

Callum Beach,David MacLean,Dominika Majorova,Stavros Melemenidis,Dhanya K Nambiar,Ryan K Kim,Gabriel N Valbuena,Silvia Guglietta,Carsten Krieg,Mahnaz Darvish-Damavandi,Tatsuya Suwa,Alistair Easton,Lily Vs Hillson,Ashley K McCulloch,Ross K McMahon,Kathryn Pennel,Joanne Edwards,Sean M O'Cathail,Campbell S Roxburgh,Enric Domingo,Eui Jung Moon,Dadi Jiang,Yanyan Jiang,Qingyang Zhang,Albert C Koong,Trent M Woodruff,Edward E Graves,Tim Maughan,Simon Ja Buczacki,Manuel Stucki,Quynh-Thu Le,Simon J Leedham,Amato J Giaccia,Monica M Olcina

Nature 611:603-613 PubMed36352230

2022

Metastatic recurrence in colorectal cancer arises from residual EMP1 cells.

Applications

Unspecified application

Species

Unspecified reactive species

Adrià Cañellas-Socias,Carme Cortina,Xavier Hernando-Momblona,Sergio Palomo-Ponce,Eoghan J Mulholland,Gemma Turon,Lidia Mateo,Sefora Conti,Olga Roman,Marta Sevillano,Felipe Slebe,Diana Stork,Adrià Caballé-Mestres,Antonio Berenguer-Llergo,Adrián Álvarez-Varela,Nicola Fenderico,Laura Novellasdemunt,Laura Jiménez-Gracia,Tamara Sipka,Lidia Bardia,Patricia Lorden,Julien Colombelli,Holger Heyn,Xavier Trepat,Sabine Tejpar,Elena Sancho,Daniele V F Tauriello,Simon Leedham,Camille Stephan-Otto Attolini,Eduard Batlle

Nature communications 13:5512 PubMed36127374

2022

Small soluble α-synuclein aggregates are the toxic species in Parkinson's disease.

Applications

Unspecified application

Species

Unspecified reactive species

Derya Emin,Yu P Zhang,Evgeniia Lobanova,Alyssa Miller,Xuecong Li,Zengjie Xia,Helen Dakin,Dimitrios I Sideris,Jeff Y L Lam,Rohan T Ranasinghe,Antonina Kouli,Yanyan Zhao,Suman De,Tuomas P J Knowles,Michele Vendruscolo,Francesco S Ruggeri,Franklin I Aigbirhio,Caroline H Williams-Gray,David Klenerman

Cell stem cell 29:1213-1228.e8 PubMed35931031

2022

Dynamic and adaptive cancer stem cell population admixture in colorectal neoplasia.

Applications

Unspecified application

Species

Unspecified reactive species

Ester Gil Vasquez,Nadia Nasreddin,Gabriel N Valbuena,Eoghan J Mulholland,Hayley L Belnoue-Davis,Holly R Eggington,Ryan O Schenck,Valérie M Wouters,Pratyaksha Wirapati,Kathryn Gilroy,Tamsin R M Lannagan,Dustin J Flanagan,Arafath K Najumudeen,Sulochana Omwenga,Amy M B McCorry,Alistair Easton,Viktor H Koelzer,James E East,Dion Morton,Livio Trusolino,Timothy Maughan,Andrew D Campbell,Maurice B Loughrey,Philip D Dunne,Petros Tsantoulis,David J Huels,Sabine Tejpar,Owen J Sansom,Simon J Leedham

Scientific reports 10:13939 PubMed32883960

2020

Multi-omic single cell analysis resolves novel stromal cell populations in healthy and diseased human tendon.

Applications

Unspecified application

Species

Unspecified reactive species

Adrian R Kendal,Thomas Layton,Hussein Al-Mossawi,Louise Appleton,Stephanie Dakin,Rick Brown,Constantinos Loizou,Mark Rogers,Robert Sharp,Andrew Carr
View all publications

Abcam Product Promise

我们致力于为您的研究提供高质量的试剂,为您科研的每一步提供支持。若我们的产品未能达到预期性能,我们向您提供 Abcam Product Promise 保障。
详情请参阅我们的条款与条件。

Please note: All products are 'FOR RESEARCH USE ONLY. NOT FOR USE IN DIAGNOSTIC OR THERAPEUTIC PROCEDURES'.

For licensing inquiries, please contact partnerships@abcam.com