JavaScript is disabled in your browser. Please enable JavaScript to view this website.
AB215199

重组Anti-Periostin抗体[EPR20806]

Anti-Periostin antibody [EPR20806]

Be the first to review this product! Submit a review

|

(25 Publications)

Anti-Periostin antibody [EPR20806] (ab215199) is a rabbit monoclonal antibody detecting Periostin in IHC-P, IHC-Fr. Suitable for Human, Mouse, Rat.

- Biophysical QC for unrivalled batch-batch consistency
- Over 10 publications

查看别名

OSF2, POSTN, Periostin, PN, Osteoblast-specific factor 2, OSF-2

6 Images
Immunohistochemistry (Formalin/PFA-fixed paraffin-embedded sections) - Anti-Periostin antibody [EPR20806] (AB215199)
  • IHC-P

Supplier Data

Immunohistochemistry (Formalin/PFA-fixed paraffin-embedded sections) - Anti-Periostin antibody [EPR20806] (AB215199)

Immunohistochemical analysis of paraffin-embedded human stomach tissue labeling Periostin with ab215199 at 1/1000 dilution, followed by Goat Anti-Rabbit IgG H&L (HRP) ready to use. Positive extracellular matrix staining on the stroma of human stomach (PMID : 15731169). Counter stained with Hematoxylin.

Secondary antibody only control : Used PBS instead of primary antibody, secondary antibody is Goat Anti-Rabbit IgG H&L (HRP) ready to use.

Perform heat mediated antigen retrieval with Tris/EDTA buffer pH 9.0 before commencing with IHC staining protocol.

Immunohistochemistry (Formalin/PFA-fixed paraffin-embedded sections) - Anti-Periostin antibody [EPR20806] (AB215199)
  • IHC-P

Supplier Data

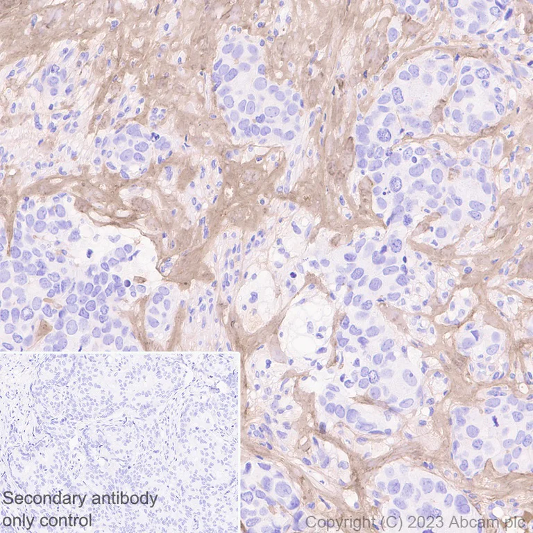
Immunohistochemistry (Formalin/PFA-fixed paraffin-embedded sections) - Anti-Periostin antibody [EPR20806] (AB215199)

Immunohistochemical analysis of paraffin-embedded Human breast carcinoma tissue labelling Periostin with ab215199 at 1/1000 dilution (0.516 μg/ml) followed by a Goat Anti-Rabbit IgG H&L (HRP polymer) (ab214880) at a Ready to use dilution. Positive staining on extracellular matrix of human breast carcinoma. The section was incubated with ab215199 at 4°C overnight. Counterstained with Hematoxylin. Secondary antibody only control : Secondary antibody is Goat Anti-Rabbit IgG H&L (HRP polymer) (ab214880) at Ready to use dilution. Heat mediated antigen retrieval was performed using ab93684 (Tris/EDTA buffer, pH 9.0).

Immunohistochemistry (Frozen sections) - Anti-Periostin antibody [EPR20806] (AB215199)
  • IHC-Fr

Supplier Data

Immunohistochemistry (Frozen sections) - Anti-Periostin antibody [EPR20806] (AB215199)

Immunohistochemical analysis of 4% paraformaldehyde-fixed, 0.2% Triton X-100 permeabilized mouse stomach tissue labeling Periostin with ab215199 at 1/500 dilution ,followed by Goat Anti-Rabbit IgG H&L (Alexa Fluor® 488) (ab150077) secondary antibody at 1/1000 dilution (green). Positive cytoplasmic staining in the gastric lamina propia mucosae, negative staining in the epithelial cells (PMID : 24418260).

The nuclear counter stain is DAPI (blue).

Secondary antibody only control : Used PBS instead of primary antibody, secondary antibody is Goat Anti-Rabbit IgG H&L (Alexa Fluor® 488) (ab150077) secondary antibody at 1/1000 dilution.

Immunohistochemistry (Frozen sections) - Anti-Periostin antibody [EPR20806] (AB215199)
  • IHC-Fr

Supplier Data

Immunohistochemistry (Frozen sections) - Anti-Periostin antibody [EPR20806] (AB215199)

Immunohistochemical analysis of 4% paraformaldehyde-fixed, 0.2% Triton X-100 permeabilized rat stomach tissue labeling Periostin with ab215199 at 1/500 dilution, followed by Goat Anti-Rabbit IgG H&L (Alexa Fluor® 488) (ab150077) secondary antibody at 1/1000 dilution (green). Positive cytoplasmic staining in the gastric lamina propia mucosae, negative staining in the epithelial cells (PMID : 24418260).

The nuclear counter stain is DAPI (blue).

Secondary antibody only control : Used PBS instead of primary antibody, secondary antibody is Goat Anti-Rabbit IgG H&L (Alexa Fluor® 488) (ab150077) secondary antibody at 1/1000 dilution.

Immunohistochemistry (Formalin/PFA-fixed paraffin-embedded sections) - Anti-Periostin antibody [EPR20806] (AB215199)
  • IHC-P

Supplier Data

Immunohistochemistry (Formalin/PFA-fixed paraffin-embedded sections) - Anti-Periostin antibody [EPR20806] (AB215199)

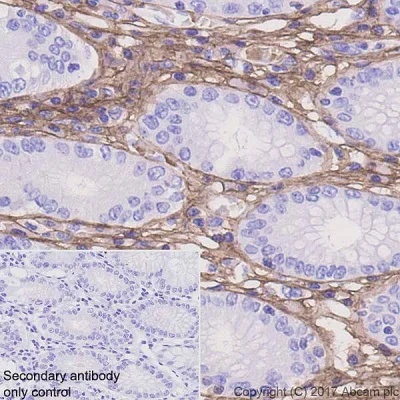
Immunohistochemical analysis of paraffin-embedded mouse colon tissue labeling Periostin with ab215199 at 1/1000 dilution, followed by Goat Anti-Rabbit IgG H&L (HRP) ready to use. Positive extracellular matrix staining on the stroma of mouse colon (PMID : 15731169, PMID : 18443362). Counter stained with Hematoxylin.

Secondary antibody only control : Used PBS instead of primary antibody, secondary antibody is Goat Anti-Rabbit IgG H&L (HRP) ready to use.

Perform heat mediated antigen retrieval with Tris/EDTA buffer pH 9.0 before commencing with IHC staining protocol.

Immunohistochemistry (Formalin/PFA-fixed paraffin-embedded sections) - Anti-Periostin antibody [EPR20806] (AB215199)
  • IHC-P

Supplier Data

Immunohistochemistry (Formalin/PFA-fixed paraffin-embedded sections) - Anti-Periostin antibody [EPR20806] (AB215199)

Immunohistochemical analysis of paraffin-embedded rat stomach tissue labeling Periostin with ab215199 at 1/1000 dilution, followed by Goat Anti-Rabbit IgG H&L (HRP) ready to use. Positive extracellular matrix staining on the stroma of rat stomach (PMID : 15731169). Counter stained with Hematoxylin.

Secondary antibody only control : Used PBS instead of primary antibody, secondary antibody is Goat Anti-Rabbit IgG H&L (HRP) ready to use.

Perform heat mediated antigen retrieval with Tris/EDTA buffer pH 9.0 before commencing with IHC staining protocol.

关键信息

宿主种属

Rabbit

克隆

Monoclonal

克隆号

EPR20806

亚型

IgG

不含载体蛋白

No

反应种属

Mouse, Rat, Human

应用

IHC-P, IHC-Fr

applications

免疫原

The exact immunogen used to generate this antibody is proprietary information.

反应性数据

{ "title": "Reactivity Data", "filters": { "stats": ["", "Species", "Dilution Info", "Notes"], "tabs": { "all-applications": {"fullname" : "All Applications", "shortname": "All Applications"}, "IHCFr" : {"fullname" : "Immunohistochemistry (Frozen sections)", "shortname":"IHC-Fr"}, "IHCP" : {"fullname" : "Immunohistochemistry (Formalin/PFA-fixed paraffin-embedded sections)", "shortname":"IHC-P"} }, "product-promise": { "all": "all", "testedAndGuaranteed": "tested", "guaranteed": "expected", "predicted": "predicted", "notRecommended": "not-recommended" } }, "values": { "Human": { "IHCFr-species-checked": "guaranteed", "IHCFr-species-dilution-info": "", "IHCFr-species-notes": "", "IHCP-species-checked": "testedAndGuaranteed", "IHCP-species-dilution-info": "1/1000", "IHCP-species-notes": "<p></p> Perform heat-mediated antigen retrieval with Tris/EDTA buffer pH 9.0 before commencing with IHC staining protocol." }, "Mouse": { "IHCFr-species-checked": "testedAndGuaranteed", "IHCFr-species-dilution-info": "1/500", "IHCFr-species-notes": "<p>Perform heat mediated antigen retrieval with Tris/EDTA buffer pH 9.0 before commencing with IHC staining protocol.</p>", "IHCP-species-checked": "testedAndGuaranteed", "IHCP-species-dilution-info": "1/1000", "IHCP-species-notes": "<p></p> Perform heat-mediated antigen retrieval with Tris/EDTA buffer pH 9.0 before commencing with IHC staining protocol." }, "Rat": { "IHCFr-species-checked": "testedAndGuaranteed", "IHCFr-species-dilution-info": "1/500", "IHCFr-species-notes": "<p>Perform heat mediated antigen retrieval with Tris/EDTA buffer pH 9.0 before commencing with IHC staining protocol.</p>", "IHCP-species-checked": "testedAndGuaranteed", "IHCP-species-dilution-info": "1/1000", "IHCP-species-notes": "<p></p> Perform heat-mediated antigen retrieval with Tris/EDTA buffer pH 9.0 before commencing with IHC staining protocol." } } }

产品详情

What is this antibody validated in?
Anti-Periostin antibody [EPR20806] (ab215199) is a rabbit recombinant monoclonal antibody and is validated for use in Immunohistochemistry (IHC-P), Immunohistochemistry (IHC-Fr) in Human, Mouse, Rat samples.

Trusted by the scientific community
Anti-Periostin [EPR20806] (ab215199) was first used in a scientific publication in 2017 and has been cited over 10 times in peer-reviewed journals.

Trial sizes available!
Test your antibody or perform pre-screening before committing to a larger quantity. Sold in 10µl. Discover our selection of trial-size antibodies.

Other related products
We have a range of other formats of antibody clone [EPR20806] also available for your convenience: ab215199, Carrier free - ab227049, Alexa Fluor® 555 - ab307126

Patented technology
Our RabMAb® technology is a patented hybridoma-based technology for making rabbit monoclonal antibodies. For details on our patents, please refer to RabMAb® patents.

What are the advantages of a recombinant monoclonal antibody?
This product is a recombinant monoclonal antibody, which offers several advantages including:

  • - High batch-to-batch consistency and reproducibility
  • - Improved sensitivity and specificity
  • - Long-term security of supply
  • - Animal-free batch production

For more information, read more on recombinant antibodies.

性能和储存信息

形式
Liquid
纯化工艺
Affinity purification Protein A
存储溶液
pH: 7.2 - 7.4 Preservative: 0.01% Sodium azide Constituents: PBS, 40% Glycerol (glycerin, glycerine), 0.05% BSA
运输条件
Blue Ice
推荐的短期储存时间
1-2 weeks
推荐的短期储存条件
+4°C
推荐的长期储存条件
-20°C
分装信息
Upon delivery aliquot
储存信息
Avoid freeze / thaw cycle

补充信息

This supplementary information is collated from multiple sources and compiled automatically.

Periostin also known as POSTN or OSF-2 is an extracellular matrix protein with a molecular weight of approximately 90 kDa. It plays a mechanical role in tissue remodeling by binding to integrins which supports tissue repair and regeneration. Periostin is mainly expressed in collagen-rich tissues such as bone periodontal ligament and cardiac tissues. It is synthesized by osteoblasts fibroblasts and other stromal cells functioning as a structural protein that supports cell adhesion and migration.
Biological function summary

The periostin protein contributes to the maintenance of tissue integrity and mechanical properties. It does not solely act; it forms part of a multiprotein complex with collagen and other extracellular matrix components. This involvement is necessary for maintaining cellular interactions and promoting tissue healing processes. Additionally periostin influences cell proliferation and migration impacting developmental and wound healing biology.

Pathways

Periostin is involved in the integrin signaling pathway and the Wnt/Β-catenin pathway both important for cell communication and movement. Through these pathways periostin interacts with integrins αvΒ3 and αvΒ5 facilitating cell adhesion and migration. The Wnt/Β-catenin pathway interaction involves several proteins including Frizzled receptors ensuring regulation of cellular proliferation and differentiation. These pathways make periostin a coordinator of complex cellular processes.

The periostin protein is associated with conditions such as fibrotic diseases and cardiovascular disorders. In fibrosis periostin promotes collagen cross-linking exacerbating tissue stiffness. This involves increased interaction with proteins like collagen types I and V contributing to pathological fibrotic progression. In cardiovascular disorders elevated periostin levels after myocardial injury are linked with fibrotic scarring where it collaborates with matrix metalloproteinases to remodel the cardiac tissue architecture. Understanding these connections can lead to novel therapeutic strategies.

产品实验方案

For this product, it's our understanding that no specific protocols are required. You can visit:

靶点信息

Induces cell attachment and spreading and plays a role in cell adhesion (PubMed : 12235007). Enhances incorporation of BMP1 in the fibronectin matrix of connective tissues, and subsequent proteolytic activation of lysyl oxidase LOX (By similarity).
See full target information POSTN

文献 (25)

Recent publications for all applications. Explore the full list and refine your search

TH open : companion journal to thrombosis and haemostasis 9:a27014242 PubMed41059381

2025

Effects of DOACs on Mouse Melanoma Metastasis and the Inhibitory Mechanism of Edoxaban, a Factor Xa-Specific DOAC.

Applications

Unspecified application

Species

Unspecified reactive species

Keiichi Hiramoto,Taisei Watanabe,Masashi Imai,Koji Suzuki

Cell communication and signaling : CCS 23:411 PubMed41039578

2025

A novel role of liquid plasma (LP) induced RONS triggers the endoplasmic reticulum stress response and is associated with GSDME-mediated pyroptosis in anaplastic thyroid cancer.

Applications

Unspecified application

Species

Unspecified reactive species

Eun Jong Ji,Se Hyun Yeou,Sung Un Kang,Chul-Ho Kim

Cell communication and signaling : CCS 23:371 PubMed40796869

2025

Single-cell profiling reveals periosteal signatures of impaired periosteal cells proliferation in a drill-hole model of type 2 diabetes.

Applications

Unspecified application

Species

Unspecified reactive species

Xing Ji,Jiahao Luo,Yangxun He,Xinhua Hu,Taotao Xu,Yuanlong Wang,Sijun Pan,Jiali Yao,Weiwei Hu,Ximei Wu

Nature communications 16:3430 PubMed40210617

2025

Targeting vascular adhesion protein-1 and myeloperoxidase with a dual inhibitor SNT-8370 in preclinical models of inflammatory disease.

Applications

Unspecified application

Species

Unspecified reactive species

Elias Glaros,Jonathan Foot,Ben Rayner,Heidi Schilter,Yunjia Zhang,Martina Paumann-Page,Mauro M Teixeira,Wolfgang Jarolimek,Shane R Thomas

Science advances 11:eadr7208 PubMed40203118

2025

Silicate-based therapy for inflammatory dilated cardiomyopathy by inhibiting the vicious cycle of immune inflammation via FOXO signaling.

Applications

Unspecified application

Species

Unspecified reactive species

Ping Sun,Zhaowenbin Zhang,Fei Gao,Chen Yang,Ge Mang,Shuai Fu,Jiawei Tian,Jiang Chang

Cancer communications (London, England) 45:172-177 PubMed39654335

2024

The interplay between natural killer cells and pancreatic stellate cells in pancreatic ductal adenocarcinoma.

Applications

Unspecified application

Species

Unspecified reactive species

Rachel Elizabeth Ann Fincham,Parthiban Periasamy,Craig Ryan Joseph,Jia Meng,Jeffrey Chun Tatt Lim,Felicia Wee,Konstantinos Stasinos,Michelle Rodrigues Goulart,Jiangfeng Ye,Li Yen Chong,Bijin Veonice Au,Denise Goh,Joe Poh Sheng Yeong,Hemant Mahendrakumar Kocher

Journal for immunotherapy of cancer 12: PubMed39067872

2024

POSTN cancer-associated fibroblasts determine the efficacy of immunotherapy in hepatocellular carcinoma.

Applications

Unspecified application

Species

Unspecified reactive species

Hao Wang,Yuan Liang,Zheng Liu,Rui Zhang,Jiashuo Chao,Mingming Wang,Mu Liu,Lei Qiao,Zhengfeng Xuan,Haitao Zhao,Ling Lu

Molecular cancer 23:120 PubMed38831402

2024

Diversifying the anthracycline class of anti-cancer drugs identifies aclarubicin for superior survival of acute myeloid leukemia patients.

Applications

Unspecified application

Species

Unspecified reactive species

Xiaohang Qiao,Sabina Y van der Zanden,Xiaoyang Li,Minkang Tan,Yunxiang Zhang,Ji-Ying Song,Merle A van Gelder,Feija L Hamoen,Lennert Janssen,Charlotte L Zuur,Baoxu Pang,Olaf van Tellingen,Junmin Li,Jacques Neefjes

Translational pediatrics 13:596-609 PubMed38715675

2024

Characterization of the malignant cells and microenvironment of infantile fibrosarcoma via single-cell RNA sequencing.

Applications

Unspecified application

Species

Unspecified reactive species

Yi Li,Qingchi Zhang,Ran Yang,Yong Zhan,Zifeng Li,Shuyang Dai,Deqian Chen,Lian Chen,Antonio Ruggiero,Chunjing Ye,Yifei Lu,Enqing Zhou,Rui Dong,Kuiran Dong

Nature communications 15:363 PubMed38191471

2024

Distinct mesenchymal cell states mediate prostate cancer progression.

Applications

Unspecified application

Species

Unspecified reactive species

Hubert Pakula,Mohamed Omar,Ryan Carelli,Filippo Pederzoli,Giuseppe Nicolò Fanelli,Tania Pannellini,Fabio Socciarelli,Lucie Van Emmenis,Silvia Rodrigues,Caroline Fidalgo-Ribeiro,Pier Vitale Nuzzo,Nicholas J Brady,Wikum Dinalankara,Madhavi Jere,Itzel Valencia,Christopher Saladino,Jason Stone,Caitlin Unkenholz,Richard Garner,Mohammad K Alexanderani,Francesca Khani,Francisca Nunes de Almeida,Cory Abate-Shen,Matthew B Greenblatt,David S Rickman,Christopher E Barbieri,Brian D Robinson,Luigi Marchionni,Massimo Loda
View all publications

Abcam Product Promise

我们致力于为您的研究提供高质量的试剂,为您科研的每一步提供支持。若我们的产品未能达到预期性能,我们向您提供 Abcam Product Promise 保障。
详情请参阅我们的条款与条件。

Please note: All products are 'FOR RESEARCH USE ONLY. NOT FOR USE IN DIAGNOSTIC OR THERAPEUTIC PROCEDURES'.

For licensing inquiries, please contact partnerships@abcam.com