JavaScript is disabled in your browser. Please enable JavaScript to view this website.
AB200388

Anti-PER2抗体

Anti-PER2 antibody

Be the first to review this product! Submit a review

|

(5 Publications)

Rabbit Polyclonal PER2 antibody. Suitable for IHC-P and reacts with Human samples. Cited in 5 publications. Immunogen corresponding to Synthetic Peptide within Human PER2.

查看别名

KIAA0347, PER2, Period circadian protein homolog 2, hPER2, Circadian clock protein PERIOD 2

2 Images
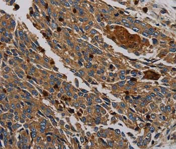
Immunohistochemistry (Formalin/PFA-fixed paraffin-embedded sections) - Anti-PER2 antibody (AB200388)
  • IHC-P

Supplier Data

Immunohistochemistry (Formalin/PFA-fixed paraffin-embedded sections) - Anti-PER2 antibody (AB200388)

Immunohistochemical analysis of paraffin-embedded Human thyroid cancer tissue labeling PER2 with ab200388 at 1/50 dilution.

Immunohistochemistry (Formalin/PFA-fixed paraffin-embedded sections) - Anti-PER2 antibody (AB200388)
  • IHC-P

Supplier Data

Immunohistochemistry (Formalin/PFA-fixed paraffin-embedded sections) - Anti-PER2 antibody (AB200388)

Immunohistochemical analysis of paraffin-embedded Human lung cancer tissue labeling PER2 with ab200388 at 1/50 dilution.

关键信息

宿主种属

Rabbit

克隆

Polyclonal

亚型

IgG

不含载体蛋白

No

反应种属

Human

应用

IHC-P

applications

免疫原

Synthetic Peptide within Human PER2. The exact immunogen used to generate this antibody is proprietary information.

O15055

反应性数据

{ "title": "Reactivity Data", "filters": { "stats": ["", "Species", "Dilution Info", "Notes"], "tabs": { "all-applications": {"fullname" : "All Applications", "shortname": "All Applications"}, "IHCP" : {"fullname" : "Immunohistochemistry (Formalin/PFA-fixed paraffin-embedded sections)", "shortname":"IHC-P"} }, "product-promise": { "all": "all", "testedAndGuaranteed": "tested", "guaranteed": "expected", "predicted": "predicted", "notRecommended": "not-recommended" } }, "values": { "Human": { "IHCP-species-checked": "testedAndGuaranteed", "IHCP-species-dilution-info": "1/100 - 1/300", "IHCP-species-notes": "<p></p> Perform heat-mediated antigen retrieval before commencing with IHC staining protocol." } } }

性能和储存信息

形式
Liquid
纯化工艺
Affinity purification Immunogen
存储溶液
pH: 7.4 Preservative: 0.05% Sodium azide Constituents: PBS, 50% Glycerol (glycerin, glycerine)
运输条件
Blue Ice
推荐的短期储存时间
1-2 weeks
推荐的短期储存条件
+4°C
推荐的长期储存条件
-20°C
分装信息
Upon delivery aliquot
储存信息
Avoid freeze / thaw cycle

补充信息

This supplementary information is collated from multiple sources and compiled automatically.

The PER2 protein short for Period Circadian Regulator 2 is an important component of the molecular circadian clock. Alternate names for this protein include PER 2 and per2. This protein has a mass of about 136 kDa and is expressed in various tissues including the brain and liver. PER2 mechanically functions through its role as a transcriptional regulator influencing the expression of genes involved in maintaining circadian rhythm. It forms complexes with other circadian proteins to help regulate these processes.
Biological function summary

The PER2 protein plays an important role in the regulation of genes that control the body's circadian rhythms. It participates in the negative feedback loop of the circadian clock where it is part of a complex with other proteins including CRY1 and CRY2. This complex inhibits its own transcription by repressing the activity of CLOCK and BMAL1 which are core circadian transcription factors. This process results in the oscillations that define circadian rhythms affecting sleep-wake cycles hormone release and various metabolic processes.

Pathways

PER2 is integral to the circadian rhythm pathway and is involved in the regulation of several physiological processes. PER2 along with other proteins like PER1 interacts with the CLOCK-BMAL1 complex which is important in setting and maintaining the circadian rhythms. The interplay of these proteins governs the transcriptional-translational feedback loops that are the foundation of circadian regulation. This pathway is critical for synchronizing the internal clock with the external environment ensuring that biological processes occur at the appropriate times.

PER2 has been linked to sleep disorders such as Familial Advanced Sleep Phase Syndrome (FASPS) and certain mood disorders. Mutations or dysregulation in the PER2 gene may disrupt normal circadian rhythms leading to these conditions. Additionally PER2 has shown connections with cancer where its expression levels can influence tumor progression particularly through interactions with proteins involved in cell cycle regulation. Understanding the precise role of PER2 in these diseases might provide insights for potential therapeutic targets.

产品实验方案

For this product, it's our understanding that no specific protocols are required. You can visit:

靶点信息

Transcriptional repressor which forms a core component of the circadian clock. The circadian clock, an internal time-keeping system, regulates various physiological processes through the generation of approximately 24 hour circadian rhythms in gene expression, which are translated into rhythms in metabolism and behavior. It is derived from the Latin roots 'circa' (about) and 'diem' (day) and acts as an important regulator of a wide array of physiological functions including metabolism, sleep, body temperature, blood pressure, endocrine, immune, cardiovascular, and renal function. Consists of two major components : the central clock, residing in the suprachiasmatic nucleus (SCN) of the brain, and the peripheral clocks that are present in nearly every tissue and organ system. Both the central and peripheral clocks can be reset by environmental cues, also known as Zeitgebers (German for 'timegivers'). The predominant Zeitgeber for the central clock is light, which is sensed by retina and signals directly to the SCN. The central clock entrains the peripheral clocks through neuronal and hormonal signals, body temperature and feeding-related cues, aligning all clocks with the external light/dark cycle. Circadian rhythms allow an organism to achieve temporal homeostasis with its environment at the molecular level by regulating gene expression to create a peak of protein expression once every 24 hours to control when a particular physiological process is most active with respect to the solar day. Transcription and translation of core clock components (CLOCK, NPAS2, BMAL1, BMAL2, PER1, PER2, PER3, CRY1 and CRY2) plays a critical role in rhythm generation, whereas delays imposed by post-translational modifications (PTMs) are important for determining the period (tau) of the rhythms (tau refers to the period of a rhythm and is the length, in time, of one complete cycle). A diurnal rhythm is synchronized with the day/night cycle, while the ultradian and infradian rhythms have a period shorter and longer than 24 hours, respectively. Disruptions in the circadian rhythms contribute to the pathology of cardiovascular diseases, cancer, metabolic syndrome and aging. A transcription/translation feedback loop (TTFL) forms the core of the molecular circadian clock mechanism. Transcription factors, CLOCK or NPAS2 and BMAL1 or BMAL2, form the positive limb of the feedback loop, act in the form of a heterodimer and activate the transcription of core clock genes and clock-controlled genes (involved in key metabolic processes), harboring E-box elements (5'-CACGTG-3') within their promoters. The core clock genes : PER1/2/3 and CRY1/2 which are transcriptional repressors form the negative limb of the feedback loop and interact with the CLOCK|NPAS2-BMAL1|BMAL2 heterodimer inhibiting its activity and thereby negatively regulating their own expression. This heterodimer also activates nuclear receptors NR1D1/2 and RORA/B/G, which form a second feedback loop and which activate and repress BMAL1 transcription, respectively. PER1 and PER2 proteins transport CRY1 and CRY2 into the nucleus with appropriate circadian timing, but also contribute directly to repression of clock-controlled target genes through interaction with several classes of RNA-binding proteins, helicases and others transcriptional repressors. PER appears to regulate circadian control of transcription by at least three different modes. First, interacts directly with the CLOCK-BMAL1 at the tail end of the nascent transcript peak to recruit complexes containing the SIN3-HDAC that remodel chromatin to repress transcription. Second, brings H3K9 methyltransferases such as SUV39H1 and SUV39H2 to the E-box elements of the circadian target genes, like PER2 itself or PER1. The recruitment of each repressive modifier to the DNA seems to be very precisely temporally orchestrated by the large PER complex, the deacetylases acting before than the methyltransferases. Additionally, large PER complexes are also recruited to the target genes 3' termination site through interactions with RNA-binding proteins and helicases that may play a role in transcription termination to regulate transcription independently of CLOCK-BMAL1 interactions. Recruitment of large PER complexes to the elongating polymerase at PER and CRY termination sites inhibited SETX action, impeding RNA polymerase II release and thereby repressing transcriptional reinitiation. May propagate clock information to metabolic pathways via the interaction with nuclear receptors. Coactivator of PPARA and corepressor of NR1D1, binds rhythmically at the promoter of nuclear receptors target genes like BMAL1 or G6PC1. Directly and specifically represses PPARG proadipogenic activity by blocking PPARG recruitment to target promoters and thereby inhibiting transcriptional activation. Required for fatty acid and lipid metabolism, is involved as well in the regulation of circulating insulin levels. Plays an important role in the maintenance of cardiovascular functions through the regulation of NO and vasodilatatory prostaglandins production in aortas. Controls circadian glutamate uptake in synaptic vesicles through the regulation of VGLUT1 expression. May also be involved in the regulation of inflammatory processes. Represses the CLOCK-BMAL1 induced transcription of BHLHE40/DEC1 and ATF4. Negatively regulates the formation of the TIMELESS-CRY1 complex by competing with TIMELESS for binding to CRY1.
See full target information PER2

文献 (5)

Recent publications for all applications. Explore the full list and refine your search

Histology and histopathology 40:1985-2009 PubMed40959856

2025

Differential expression of ferroptosis markers, circadian regulators, KLOTHO, and classical tumor suppressors in colorectal cancer according to tumor stage: Influence of age, anatomical location, and correlation patterns.

Applications

Unspecified application

Species

Unspecified reactive species

Miguel A Saez,Cielo Garcia-Montero,Oscar Fraile-Martinez,Ana M Minaya-Bravo,Diego Liviu Boaru,Diego De Leon-Oliva,Patricia De Castro-Martinez,Majd N Michael Alhaddadin,Silvestra Barrena-Blázquez,Laura Lopez-Gonzalez,Luis G Guijarro,Natalio Garcia-Honduvilla,Víctor Roberto Baena Romero,Carlos Daniel Padilla Ansala,Mar Royuela,María Del Val Toledo Lobo,Leonel Pekarek,Roberto Fernández-Baillo Gallego de la Sacristana,Mauricio Hernández-Fernández,Montserrat Chao Crecente,Melchor Alvarez-Mon,Raul Diaz-Pedrero,Miguel A Ortega

Journal of personalized medicine 15: PubMed40137423

2025

Dysregulation of Circadian Markers, HAT1 and Associated Epigenetic Proteins, and the Anti-Aging Protein KLOTHO in Placenta of Pregnant Women with Chronic Venous Disease.

Applications

Unspecified application

Species

Unspecified reactive species

Oscar Fraile-Martinez,Cielo García-Montero,Tatiana Pekarek,Julia Bujan,Silvestra Barrena-Blázquez,Eva Manuela Pena-Burgos,Laura López-González,Leonel Pekarek,Raul Díaz-Pedrero,Juan A De León-Luis,Coral Bravo,Melchor Álvarez-Mon,Miguel A Saez,Natalio García-Honduvilla,Miguel A Ortega

International journal of molecular sciences 24: PubMed36674967

2023

Diclofenac Disrupts the Circadian Clock and through Complex Cross-Talks Aggravates Immune-Mediated Liver Injury-A Repeated Dose Study in Minipigs for 28 Days.

Applications

Unspecified application

Species

Unspecified reactive species

Saravanakumar Selvaraj,Jung-Hwa Oh,Seokjoo Yoon,Jürgen Borlak

Bioengineered 13:12350-12364 PubMed35599595

2022

Circadian Period 2 (Per2) downregulate inhibitor of differentiation 3 (Id3) expression via PTEN/AKT/Smad5 axis to inhibits glioma cell proliferation.

Applications

Unspecified application

Species

Unspecified reactive species

Yifan Zhang,Xvlei Hu,Hailiang Li,Jian Yao,Ping Yang,Yuanxiang Lan,Hechun Xia

Bratislavske lekarske listy 122:235-241 PubMed33729814

2021

Complex changes of circadian proteins expression in inflammatory bowel disease.

Applications

Unspecified application

Species

Unspecified reactive species

K Mosna,P Janega,J Sedlak,P Babal
View all publications

Abcam Product Promise

我们致力于为您的研究提供高质量的试剂,为您科研的每一步提供支持。若我们的产品未能达到预期性能,我们向您提供 Abcam Product Promise 保障。
详情请参阅我们的条款与条件。

Please note: All products are 'FOR RESEARCH USE ONLY. NOT FOR USE IN DIAGNOSTIC OR THERAPEUTIC PROCEDURES'.

For licensing inquiries, please contact partnerships@abcam.com