JavaScript is disabled in your browser. Please enable JavaScript to view this website.
AB182153

重组Anti-PDLIM7抗体[EPR13171]

Anti-PDLIM7 antibody [EPR13171]

1

(1 Review)

|

(3 Publications)

Rabbit Recombinant Monoclonal PDLIM7 antibody. Suitable for IHC-P, WB, Flow Cyt (Intra) and reacts with Human samples. Cited in 3 publications.

查看别名

ENIGMA, PDLIM7, PDZ and LIM domain protein 7, LIM mineralization protein, Protein enigma, LMP

3 Images
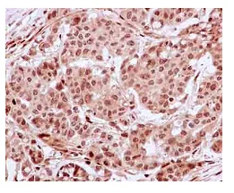
Immunohistochemistry (Formalin/PFA-fixed paraffin-embedded sections) - Anti-PDLIM7 antibody [EPR13171] (AB182153)
  • IHC-P

Unknown

Immunohistochemistry (Formalin/PFA-fixed paraffin-embedded sections) - Anti-PDLIM7 antibody [EPR13171] (AB182153)

Immunohistochemical analysis of paraffin-embedded Human infiltrating ductal breast carcinoma tissue labeling PDLIM7 with ab182153 at 1/100 dilution followed by pre-diluted HRP-conjugated secondary antibody and counter-stained with Hematoxylin.

Perform heat mediated antigen retrieval with citrate buffer pH 6 before commencing with IHC staining protocol.

Flow Cytometry (Intracellular) - Anti-PDLIM7 antibody [EPR13171] (AB182153)
  • Flow Cyt (Intra)

Supplier Data

Flow Cytometry (Intracellular) - Anti-PDLIM7 antibody [EPR13171] (AB182153)

Intracellular flow cytometric analysis of HeLa cells (paraformaldehyde-fixed, 2%) labeling PDLIM7with ab182153 at 1/60 dilution (red) or a rabbit IgG (negative) (green), followed by Goat anti rabbit IgG (FITC) secondary at 1/150 dilution.

Western blot - Anti-PDLIM7 antibody [EPR13171] (AB182153)
  • WB

Lab

Western blot - Anti-PDLIM7 antibody [EPR13171] (AB182153)

Blocking buffer : 5% NFDM/TBST

Dilution buffer : 5% NFDM/TBST

Lane 1 exposure time : 1 minute

Lanes 2 - 4 exposure time : 3 minutes

Lane 1:

Western blot - Anti-PDLIM7 antibody [EPR13171] (ab182153) at 1/10000 dilution

Lanes 2 - 4:

Western blot - Anti-PDLIM7 antibody [EPR13171] (ab182153) at 1/2000 dilution

Lane 1:

HeLa (human cervix adenocarcinoma) whole cell lysate at 10 µg

Lane 2:

Jurkat (human acute T cell leukemia) whole cell lysate at 10 µg

Lane 3:

WI-38 (human lung) whole cell lysate at 10 µg

Lane 4:

SK-OV-3 (human adenocarcinoma) whole cell lysate at 10 µg

Secondary

All lanes:

Goat anti-rabbit IgG (H+L) peroxidase conjugated at 1/1000 dilution

Predicted band size: 50 kDa

false

不同偶联物与剂型 (1)

  • Carrier free

    Anti-PDLIM7 antibody [EPR13171] - BSA and Azide free

关键信息

宿主种属

Rabbit

克隆

Monoclonal

克隆号

EPR13171

亚型

IgG

不含载体蛋白

No

反应种属

Human

应用

IHC-P, Flow Cyt (Intra), WB

applications

免疫原

The exact immunogen used to generate this antibody is proprietary information.

特异性

The immunogen sequence for ab182153 shares 86% homology with the mouse PDLIM7 protein however in our hands this antibody did not work in mouse and rat samples in western blot (no bands detected). In some human cell lines, in addition to the band of interest detected at 50 kDa, this product also bound to a protein at ~37-40 kDa in weight. For best results it may be preferable to use a harsh lysis protocol for preparation of cell or tissue lysates. Please see notes in the western blot image below.

反应性数据

{ "title": "Reactivity Data", "filters": { "stats": ["", "Species", "Dilution Info", "Notes"], "tabs": { "all-applications": {"fullname" : "All Applications", "shortname": "All Applications"}, "IHCP" : {"fullname" : "Immunohistochemistry (Formalin/PFA-fixed paraffin-embedded sections)", "shortname":"IHC-P"}, "WB" : {"fullname" : "Western blot", "shortname":"WB"}, "FlowCytIntra" : {"fullname" : "Flow Cytometry (Intracellular)", "shortname":"Flow Cyt (Intra)"} }, "product-promise": { "all": "all", "testedAndGuaranteed": "tested", "guaranteed": "expected", "predicted": "predicted", "notRecommended": "not-recommended" } }, "values": { "Human": { "IHCP-species-checked": "testedAndGuaranteed", "IHCP-species-dilution-info": "1/100", "IHCP-species-notes": "<p></p>", "WB-species-checked": "testedAndGuaranteed", "WB-species-dilution-info": "1/1000 - 1/10000", "WB-species-notes": "<p></p>", "FlowCytIntra-species-checked": "testedAndGuaranteed", "FlowCytIntra-species-dilution-info": "1/60", "FlowCytIntra-species-notes": "<p><a href='/products/primary-antibodies/rabbit-igg-monoclonal-epr25a-isotype-control-ab172730'>ab172730</a> - Rabbit monoclonal IgG, is suitable for use as an isotype control with this antibody.</p>" } } }

产品详情

Patented technology
Our RabMAb® technology is a patented hybridoma-based technology for making rabbit monoclonal antibodies. For details on our patents, please refer to RabMAb® patents.

What are the advantages of a recombinant monoclonal antibody?
This product is a recombinant monoclonal antibody, which offers several advantages including:

  • - High batch-to-batch consistency and reproducibility
  • - Improved sensitivity and specificity
  • - Long-term security of supply
  • - Animal-free batch production

For more information, read more on recombinant antibodies.

性能和储存信息

形式
Liquid
纯化工艺
Affinity purification Protein A
存储溶液
pH: 7.2 Preservative: 0.01% Sodium azide Constituents: PBS, 40% Glycerol (glycerin, glycerine), 0.05% BSA
运输条件
Blue Ice
推荐的短期储存时间
1-2 weeks
推荐的短期储存条件
+4°C
推荐的长期储存条件
-20°C
分装信息
Upon delivery aliquot
储存信息
Avoid freeze / thaw cycle

补充信息

This supplementary information is collated from multiple sources and compiled automatically.

PDLIM7 also known as Enigma or LMP-1 is a protein involved in several cellular processes. It has a molecular mass of approximately 54 kDa and contains PDZ and LIM domains which facilitate its function. PDLIM7 is broadly expressed in tissues including heart skeletal muscle and osteoblasts. The protein acts mechanically by organizing cytoskeletal components and bridging interactions between actin filaments and other cellular structures.
Biological function summary

PDLIM7 plays a role in assembling protein complexes that influence structural and signaling pathways. This protein participates in bone development and remodeling processes linking it to skeletal system maintenance and repair. Through its LIM domains PDLIM7 facilitates the interaction with various binding partners. It serves as a scaffold helping to maintain proper cellular architecture and function.

Pathways

PDLIM7 integrates into the TGF-beta signaling cascade an important regulatory pathway in cellular differentiation and proliferation. It interacts with proteins such as SMADs which transmit signals from the cell membrane to the nucleus modulating gene expression. PDLIM7 also associates with the MAPK pathway influencing cellular responses to extracellular stimuli and stress.

Aberrant expression or function of PDLIM7 has been linked to bone-related diseases such as osteosarcoma and osteoporosis. Changes in PDLIM7 expression may disrupt normal bone density and growth contributing to these conditions. PDLIM7's interaction with proteins like SMADs in pathological contexts highlights its role in disease progression especially in diseases linked to abnormal bone formation or degradation.

产品实验方案

For this product, it's our understanding that no specific protocols are required. You can visit:

靶点信息

May function as a scaffold on which the coordinated assembly of proteins can occur. May play a role as an adapter that, via its PDZ domain, localizes LIM-binding proteins to actin filaments of both skeletal muscle and nonmuscle tissues. Involved in both of the two fundamental mechanisms of bone formation, direct bone formation (e.g. embryonic flat bones mandible and cranium), and endochondral bone formation (e.g. embryonic long bone development). Plays a role during fracture repair. Involved in BMP6 signaling pathway (By similarity).
See full target information PDLIM7

文献 (3)

Recent publications for all applications. Explore the full list and refine your search

Frontiers in immunology 13:853088 PubMed35651604

2022

Development of a Phagocytosis-Dependent Gene Signature to Predict Prognosis and Response to Checkpoint Inhibition in Clear-Cell Renal Cell Carcinoma.

Applications

Unspecified application

Species

Unspecified reactive species

Kunping Li,Yuqing Li,Yinfeng Lyu,Linyi Tan,Xinyi Zheng,Haowen Jiang,Hui Wen,Chenchen Feng

Experimental and therapeutic medicine 23:61 PubMed34934432

2021

LIM mineralization protein-1 inhibits IL-1β-induced human chondrocytes injury by altering the NF-κB and MAPK/JNK pathways.

Applications

Unspecified application

Species

Unspecified reactive species

Dijun Ou,Sheng Liu,Changjun Tong,Hezhong Tan,Yadong Yang,Chunlei He

Cell death & disease 11:742 PubMed32917854

2020

EB virus-induced ATR activation accelerates nasopharyngeal carcinoma growth via M2-type macrophages polarization.

Applications

Unspecified application

Species

Unspecified reactive species

Bo Zhang,Tianyu Miao,Xin Shen,Lirong Bao,Cheng Zhang,Caixia Yan,Wei Wei,Jiao Chen,Liying Xiao,Chongkui Sun,Jintao Du,Yan Li
View all publications

Abcam Product Promise

我们致力于为您的研究提供高质量的试剂,为您科研的每一步提供支持。若我们的产品未能达到预期性能,我们向您提供 Abcam Product Promise 保障。
详情请参阅我们的条款与条件。

Please note: All products are 'FOR RESEARCH USE ONLY. NOT FOR USE IN DIAGNOSTIC OR THERAPEUTIC PROCEDURES'.

For licensing inquiries, please contact partnerships@abcam.com