JavaScript is disabled in your browser. Please enable JavaScript to view this website.
AB110025

Anti-PDK1抗体[4A11]

Anti-PDK1 antibody [4A11]

4

(2 Reviews)

|

(51 Publications)

Mouse Monoclonal PDK1 antibody. Suitable for Flow Cyt, ELISA, WB, IHC-P, ICC/IF and reacts with Human, Mouse, African green monkey, Rat, Monkey samples. Cited in 51 publications. Immunogen corresponding to Recombinant Fragment Protein within Human PDK1 aa 300 to C-terminus.

查看别名

PDHK1, PDK1, Pyruvate dehydrogenase kinase isoform 1, PDH kinase 1

6 Images
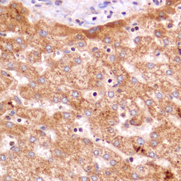
Immunohistochemistry (Formalin/PFA-fixed paraffin-embedded sections) - Anti-PDK1 antibody [4A11] (AB110025)
  • IHC-P

Unknown

Immunohistochemistry (Formalin/PFA-fixed paraffin-embedded sections) - Anti-PDK1 antibody [4A11] (AB110025)

Immunohistochemical analysis of paraffin-embedded Human brain tissues using ab110025 aty a dilution of 1/200 with DAB staining.

Immunocytochemistry/ Immunofluorescence - Anti-PDK1 antibody [4A11] (AB110025)
  • ICC/IF

Unknown

Immunocytochemistry/ Immunofluorescence - Anti-PDK1 antibody [4A11] (AB110025)

Immunofluorescence analysis of HELA cells using ab110025 at a dilution of 1/200 (green). Blue : DRAQ5 fluorescent DNA dye. Red : Actin filaments have been labeled with Alexa Fluor-555 phalloidin.

Flow Cytometry - Anti-PDK1 antibody [4A11] (AB110025)
  • Flow Cyt

Unknown

Flow Cytometry - Anti-PDK1 antibody [4A11] (AB110025)

Flow cytometric analysis of Lovo cells using ab110025 (green) and negative control (purple).

Immunohistochemistry (Formalin/PFA-fixed paraffin-embedded sections) - Anti-PDK1 antibody [4A11] (AB110025)
  • IHC-P

Unknown

Immunohistochemistry (Formalin/PFA-fixed paraffin-embedded sections) - Anti-PDK1 antibody [4A11] (AB110025)

Immunohistochemical analysis of paraffin-embedded Human breast cancer tissues using ab110025 aty a dilution of 1/200 with DAB staining.

Western blot - Anti-PDK1 antibody [4A11] (AB110025)
  • WB

Supplier Data

Western blot - Anti-PDK1 antibody [4A11] (AB110025)

12% SDS gel.

Block the membrane for 1 h at room temperature or overnight at 4°C using blocking buffer, 5% milk.

Incubate in ab110025 overnight at 4°C.

Incubation at room temperature for 1 hour with the secondary antibody.

Lanes 1 - 2:

Western blot - Anti-PDK1 antibody [4A11] (ab110025) at 1/500 dilution

Lane 3:

Beta-actin antibody at 1/10000 dilution

Lane 1:

Jurkat cell lysate at 15 µL

Lane 2:

HeLa cell lysate at 15 µL

Lane 3:

NIH3T3 cell lysate at 15 µL

Secondary

All lanes:

HRP-Goat Anti-Mouse IgG (Fc) at 1/10000 dilution

Predicted band size: 49 kDa

false

Western blot - Anti-PDK1 antibody [4A11] (AB110025)
  • WB

Unknown

Western blot - Anti-PDK1 antibody [4A11] (AB110025)

All lanes:

Western blot - Anti-PDK1 antibody [4A11] (ab110025) at 1/500 dilution

Lane 1:

NIH3T3 cell lysate

Lane 2:

Hela cell lysate

Lane 3:

Jurkat cell lysate

Lane 4:

HepG2 cell lysate

Lane 5:

PC-12 cell lysate

Lane 6:

Cos7 cell lysate

Predicted band size: 49 kDa

false

关键信息

宿主种属

Mouse

克隆

Monoclonal

克隆号

4A11

亚型

IgG1

不含载体蛋白

No

反应种属

Mouse, Rat, Human, African green monkey, Monkey

应用

Flow Cyt, IHC-P, WB, ELISA, ICC/IF

applications

免疫原

Recombinant Fragment Protein within Human PDK1 aa 300 to C-terminus. The exact immunogen used to generate this antibody is proprietary information.

Q15118

反应性数据

{ "title": "Reactivity Data", "filters": { "stats": ["", "Species", "Dilution Info", "Notes"], "tabs": { "all-applications": {"fullname" : "All Applications", "shortname": "All Applications"}, "FlowCyt" : {"fullname" : "Flow Cytometry", "shortname":"Flow Cyt"}, "ELISA" : {"fullname" : "ELISA", "shortname":"ELISA"}, "WB" : {"fullname" : "Western blot", "shortname":"WB"}, "IHCP" : {"fullname" : "Immunohistochemistry (Formalin/PFA-fixed paraffin-embedded sections)", "shortname":"IHC-P"}, "ICCIF" : {"fullname" : "Immunocytochemistry/ Immunofluorescence", "shortname":"ICC/IF"} }, "product-promise": { "all": "all", "testedAndGuaranteed": "tested", "guaranteed": "expected", "predicted": "predicted", "notRecommended": "not-recommended" } }, "values": { "Human": { "FlowCyt-species-checked": "testedAndGuaranteed", "FlowCyt-species-dilution-info": "", "FlowCyt-species-notes": "<p><a href='/products/primary-antibodies/mouse-igg1-kappa-monoclonal-15-6e10a7-isotype-control-ab170190'>ab170190</a> - Mouse monoclonal IgG1, is suitable for use as an isotype control with this antibody.</p>", "ELISA-species-checked": "guaranteed", "ELISA-species-dilution-info": "", "ELISA-species-notes": "<p></p>", "WB-species-checked": "testedAndGuaranteed", "WB-species-dilution-info": "1/500 - 1/2000", "WB-species-notes": "<p></p>", "IHCP-species-checked": "testedAndGuaranteed", "IHCP-species-dilution-info": "1/200 - 1/1000", "IHCP-species-notes": "<p></p>", "ICCIF-species-checked": "testedAndGuaranteed", "ICCIF-species-dilution-info": "1/200 - 1/1000", "ICCIF-species-notes": "<p></p>" }, "Mouse": { "FlowCyt-species-checked": "guaranteed", "FlowCyt-species-dilution-info": "", "FlowCyt-species-notes": "", "ELISA-species-checked": "guaranteed", "ELISA-species-dilution-info": "", "ELISA-species-notes": "<p></p>", "WB-species-checked": "testedAndGuaranteed", "WB-species-dilution-info": "1/500 - 1/2000", "WB-species-notes": "<p></p>", "IHCP-species-checked": "guaranteed", "IHCP-species-dilution-info": "", "IHCP-species-notes": "", "ICCIF-species-checked": "guaranteed", "ICCIF-species-dilution-info": "", "ICCIF-species-notes": "" }, "Rat": { "FlowCyt-species-checked": "predicted", "FlowCyt-species-dilution-info": "", "FlowCyt-species-notes": "", "ELISA-species-checked": "guaranteed", "ELISA-species-dilution-info": "", "ELISA-species-notes": "<p></p>", "WB-species-checked": "predicted", "WB-species-dilution-info": "", "WB-species-notes": "", "IHCP-species-checked": "predicted", "IHCP-species-dilution-info": "", "IHCP-species-notes": "", "ICCIF-species-checked": "predicted", "ICCIF-species-dilution-info": "", "ICCIF-species-notes": "" }, "African green monkey": { "FlowCyt-species-checked": "guaranteed", "FlowCyt-species-dilution-info": "", "FlowCyt-species-notes": "<p><a href='/products/primary-antibodies/mouse-igg1-kappa-monoclonal-15-6e10a7-isotype-control-ab170190'>ab170190</a> - Mouse monoclonal IgG1, is suitable for use as an isotype control with this antibody.</p>", "ELISA-species-checked": "guaranteed", "ELISA-species-dilution-info": "", "ELISA-species-notes": "<p></p>", "WB-species-checked": "testedAndGuaranteed", "WB-species-dilution-info": "1/500 - 1/2000", "WB-species-notes": "<p></p>", "IHCP-species-checked": "guaranteed", "IHCP-species-dilution-info": "", "IHCP-species-notes": "<p></p>", "ICCIF-species-checked": "guaranteed", "ICCIF-species-dilution-info": "", "ICCIF-species-notes": "" }, "Monkey": { "FlowCyt-species-checked": "predicted", "FlowCyt-species-dilution-info": "", "FlowCyt-species-notes": "", "ELISA-species-checked": "guaranteed", "ELISA-species-dilution-info": "", "ELISA-species-notes": "<p></p>", "WB-species-checked": "predicted", "WB-species-dilution-info": "", "WB-species-notes": "", "IHCP-species-checked": "predicted", "IHCP-species-dilution-info": "", "IHCP-species-notes": "", "ICCIF-species-checked": "predicted", "ICCIF-species-dilution-info": "", "ICCIF-species-notes": "" } } }

性能和储存信息

形式
Liquid
纯化工艺
Affinity purification Protein G
纯化说明
Purified from tissue culture supernatant.
存储溶液
Preservative: 0.05% Sodium azide Constituents: PBS
运输条件
Blue Ice
推荐的短期储存条件
+4°C
推荐的长期储存条件
-20°C
分装信息
Upon delivery aliquot
储存信息
Avoid freeze / thaw cycle

产品实验方案

For this product, it's our understanding that no specific protocols are required. You can visit:

靶点信息

Kinase that plays a key role in regulation of glucose and fatty acid metabolism and homeostasis via phosphorylation of the pyruvate dehydrogenase subunits PDHA1 and PDHA2. This inhibits pyruvate dehydrogenase activity, and thereby regulates metabolite flux through the tricarboxylic acid cycle, down-regulates aerobic respiration and inhibits the formation of acetyl-coenzyme A from pyruvate. Plays an important role in cellular responses to hypoxia and is important for cell proliferation under hypoxia. Protects cells against apoptosis in response to hypoxia and oxidative stress.
See full target information PDK1

文献 (51)

Recent publications for all applications. Explore the full list and refine your search

BMC biology 22:302 PubMed39736678

2024

N6-methyladenosine regulates metabolic remodeling in kidney aging through transcriptional regulator GLIS1.

Applications

Unspecified application

Species

Unspecified reactive species

Li Xu,Shuo Chen,Qiuling Fan,Yonghong Zhu,Hang Mei,Jiao Wang,Hongyuan Yu,Ying Chen,Fan Liu

Acta biochimica et biophysica Sinica 57:712-726 PubMed39578715

2024

PDK1 promotes epithelial ovarian cancer progression by upregulating BGN.

Applications

Unspecified application

Species

Unspecified reactive species

Lei Zhang,Lina Yan,Xin Fu,Ziqi Tao,Shuna Liu,Rong Li,Ting Wang,Yepeng Mao,Wenwen Shang,Mi Gong,Xuemei Jia,Fang Wang

Cells 13: PubMed39404433

2024

Optogenetic Control of the Mitochondrial Protein Import in Mammalian Cells.

Applications

Unspecified application

Species

Unspecified reactive species

Lukas F J Althoff,Markus M Kramer,Benjamin Bührer,Denise Gaspar,Gerald Radziwill

Cell death & disease 15:657 PubMed39242557

2024

Identification of STAM-binding protein as a target for the treatment of gemcitabine resistance pancreatic cancer in a nutrient-poor microenvironment.

Applications

Unspecified application

Species

Unspecified reactive species

Wenming Zhang,Zheng Xu,Yunyan Du,Tiande Liu,Zhijuan Xiong,Junwen Hu,Leifeng Chen,Xiaogang Peng,Fan Zhou

Molecular medicine reports 30: PubMed39219283

2024

Oroxylin A, a broad‑spectrum anticancer agent, relieves monocrotaline‑induced pulmonary arterial hypertension by inhibiting the Warburg effect in rats.

Applications

Unspecified application

Species

Unspecified reactive species

Yan Wang,Yamin Fan,Yanzi Zhou,Tianwang Chen,Shangfu Xu,Juan Liu,Lisheng Li

Redox biology 76:103326 PubMed39180984

2024

The activity of therapeutic molecular cluster Ag5 is dependent on oxygen level and HIF-1 mediated signalling.

Applications

Unspecified application

Species

Unspecified reactive species

Sophie A Twigger,Blanca Dominguez,Vanesa Porto,Lina Hacker,Anthony J Chalmers,Ross Breckenridge,Martin Treder,Adam C Sedgwick,Fernando Dominguez,Ester M Hammond

International journal of molecular sciences 25: PubMed38542301

2024

The DUX4-HIF1α Axis in Murine and Human Muscle Cells: A Link More Complex Than Expected.

Applications

Unspecified application

Species

Unspecified reactive species

Thuy-Hang Nguyen,Maelle Limpens,Sihame Bouhmidi,Lise Paprzycki,Alexandre Legrand,Anne-Emilie Declèves,Philipp Heher,Alexandra Belayew,Christopher R S Banerji,Peter S Zammit,Alexandra Tassin

Molecular oncology 18:2212-2233 PubMed38425123

2024

Vitamin-C-dependent downregulation of the citrate metabolism pathway potentiates pancreatic ductal adenocarcinoma growth arrest.

Applications

Unspecified application

Species

Unspecified reactive species

Aiora Cenigaonandia-Campillo,Ana Garcia-Bautista,Anxo Rio-Vilariño,Arancha Cebrian,Laura Del Puerto,José Antonio Pellicer,José Antonio Gabaldón,Horacio Pérez-Sánchez,Miguel Carmena-Bargueño,Carolina Meroño,Javier Traba,María Jesús Fernandez-Aceñero,Natalia Baños-Herraiz,Lorena Mozas-Vivar,Estrella Núñez-Delicado,Jesús Garcia-Foncillas,Óscar Aguilera

FASEB journal : official publication of the Federation of American Societies for Experimental Biology 37:e23216 PubMed37779422

2023

Aberrant glucose metabolism underlies impaired macrophage differentiation in glycogen storage disease type Ib.

Applications

Unspecified application

Species

Unspecified reactive species

Yuyeon Jang,Tae Sub Park,Byung-Chul Park,Young Mok Lee,Tae-Hwe Heo,Hyun Sik Jun

Kidney360 4:1080-1094 PubMed37222594

2023

Energy Metabolism Dysregulation in Chronic Kidney Disease.

Applications

Unspecified application

Species

Unspecified reactive species

Ying Li,Wanjun Gu,Mark Hepokoski,Hai Pham,Rick Tham,Young Chul Kim,Tatum S Simonson,Prabhleen Singh
View all publications

Abcam Product Promise

我们致力于为您的研究提供高质量的试剂,为您科研的每一步提供支持。若我们的产品未能达到预期性能,我们向您提供 Abcam Product Promise 保障。
详情请参阅我们的条款与条件。

Please note: All products are 'FOR RESEARCH USE ONLY. NOT FOR USE IN DIAGNOSTIC OR THERAPEUTIC PROCEDURES'.

For licensing inquiries, please contact partnerships@abcam.com