JavaScript is disabled in your browser. Please enable JavaScript to view this website.
AB313778

重组Anti-PDGFR beta抗体[EPR26830-84] - BSA and Azide free

Anti-PDGFR beta antibody [EPR26830-84] - BSA and Azide free

  • BOND RX™ Validated
  • RabMAb
  • Recombinant
  • KO Validated
  • 了解详情

Be the first to review this product! Submit a review

|

(0 Publication)

Knockout Tested Rabbit Recombinant Monoclonal PDGFR beta antibody. Carrier free. Suitable for IHC-P, WB and reacts with Human, Recombinant fragment - Human samples.

查看别名

CD140b, PDGFR, PDGFR1, PDGFRB, Platelet-derived growth factor receptor beta, PDGF-R-beta, PDGFR-beta, Beta platelet-derived growth factor receptor, Beta-type platelet-derived growth factor receptor, CD140 antigen-like family member B, Platelet-derived growth factor receptor 1, PDGFR-1

7 Images
Immunohistochemistry (Formalin/PFA-fixed paraffin-embedded sections) - Anti-PDGFR beta antibody [EPR26830-84] - BSA and Azide free (AB313778)
  • IHC-P

Supplier Data

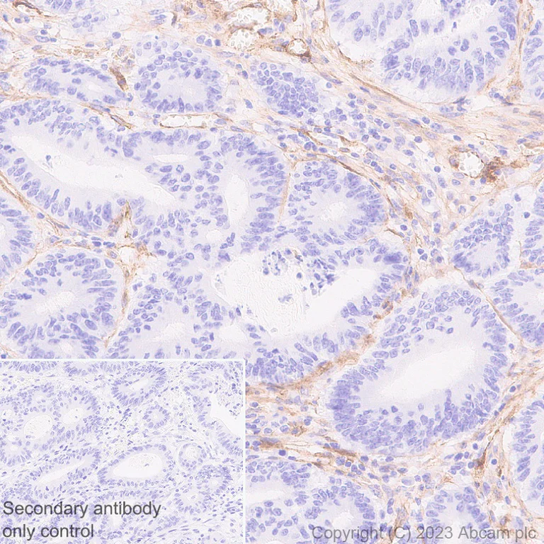
Immunohistochemistry (Formalin/PFA-fixed paraffin-embedded sections) - Anti-PDGFR beta antibody [EPR26830-84] - BSA and Azide free (AB313778)

This data was developed using ab313777, the same antibody clone in a different buffer formulation. Immunohistochemical analysis of paraffin-embedded Human colorectal car tissue labeling PDGFR beta with ab313777 at 1/100 (4.98 ug/ml) followed by a ready to use LeicaDS9800 (Bond™ Polymer Refine Detection). Positive staining on stromal cells of human colorectal carcinoma (PMID : 23441134).The section was incubated with ab313777 for 30 mins at room temperature.The immunostaining was performed on a Leica Biosystems BOND® RX instrumentIncubate slides with 3% Hydrogen Peroxide for 10 mins at room temperature after secondary antibody incubation to reduce the background Counterstained with Hematoxylin. Secondary antibody only control : Secondary antibody is a ready to use LeicaDS9800 (Bond™ Polymer Refine Detection). Heat mediated antigen retrieval was performed with Tris-EDTA buffer (pH 9.0, Epitope Retrieval Solution2) for 20 mins

Immunohistochemistry (Formalin/PFA-fixed paraffin-embedded sections) - Anti-PDGFR beta antibody [EPR26830-84] - BSA and Azide free (AB313778)
  • IHC-P

Supplier Data

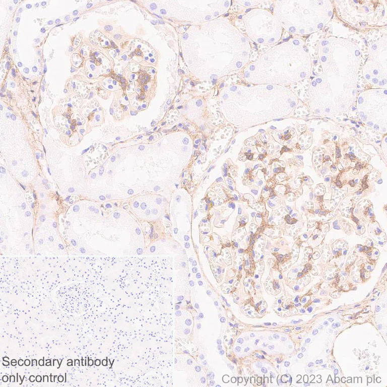
Immunohistochemistry (Formalin/PFA-fixed paraffin-embedded sections) - Anti-PDGFR beta antibody [EPR26830-84] - BSA and Azide free (AB313778)

This data was developed using ab313777, the same antibody clone in a different buffer formulation. Immunohistochemical analysis of paraffin-embedded Human kidney tissue labeling PDGFR beta with ab313777 at 1/100 (4.98 ug/ml) followed by a ready to use LeicaDS9800 (Bond™ Polymer Refine Detection). Positive staining on human kidney (PMID : 15067514).The section was incubated with ab313777 for 30 mins at room temperature.The immunostaining was performed on a Leica Biosystems BOND® RX instrumentIncubate slides with 3% Hydrogen Peroxide for 10 mins at room temperature after secondary antibody incubation to reduce the background Counterstained with Hematoxylin. Secondary antibody only control : Secondary antibody is a ready to use LeicaDS9800 (Bond™ Polymer Refine Detection). Heat mediated antigen retrieval was performed with Tris-EDTA buffer (pH 9.0, Epitope Retrieval Solution2) for 20 mins

Immunohistochemistry (Formalin/PFA-fixed paraffin-embedded sections) - Anti-PDGFR beta antibody [EPR26830-84] - BSA and Azide free (AB313778)
  • IHC-P

Supplier Data

Immunohistochemistry (Formalin/PFA-fixed paraffin-embedded sections) - Anti-PDGFR beta antibody [EPR26830-84] - BSA and Azide free (AB313778)

This data was developed using ab313777, the same antibody clone in a different buffer formulation. Immunohistochemical analysis of paraffin-embedded Human cerebrum tissue labeling PDGFR beta with ab313777 at 1/100 (4.98 ug/ml) followed by a ready to use LeicaDS9800 (Bond™ Polymer Refine Detection). Positive staining on human cerebrum endothelium (PMID : 9211853).The section was incubated with ab313777 for 30 mins at room temperature.The immunostaining was performed on a Leica Biosystems BOND® RX instrumentIncubate slides with 3% Hydrogen Peroxide for 10 mins at room temperature after secondary antibody incubation to reduce the background Counterstained with Hematoxylin. Secondary antibody only control : Secondary antibody is a ready to use LeicaDS9800 (Bond™ Polymer Refine Detection). Heat mediated antigen retrieval was performed with Tris-EDTA buffer (pH 9.0, Epitope Retrieval Solution2) for 20 mins

Immunohistochemistry (Formalin/PFA-fixed paraffin-embedded sections) - Anti-PDGFR beta antibody [EPR26830-84] - BSA and Azide free (AB313778)
  • IHC-P

Supplier Data

Immunohistochemistry (Formalin/PFA-fixed paraffin-embedded sections) - Anti-PDGFR beta antibody [EPR26830-84] - BSA and Azide free (AB313778)

This data was developed using ab313777, the same antibody clone in a different buffer formulation. Immunohistochemical analysis of paraffin-embedded (A) Wild-type SH-SY5 tissue labeling PDGFR beta with ab313777 at 1/100 (4.98 ug/ml) followed by a ready to use LeicaDS9800 (Bond™ Polymer Refine Detection). Positive staining on (A) Wild-type SH-SY5Y cell pellet, no staining on (B) PDGFRB knockout SH-SY5Y cell pellet. The section was incubated with ab313777 for 30 mins at room temperature.The immunostaining was performed on a Leica Biosystems BOND® RX instrumentIncubate slides with 3% Hydrogen Peroxide for 10 mins at room temperature after secondary antibody incubation to reduce the background Counterstained with Hematoxylin. Secondary antibody only control : Secondary antibody is a ready to use LeicaDS9800 (Bond™ Polymer Refine Detection). Heat mediated antigen retrieval was performed with Tris-EDTA buffer (pH 9.0, Epitope Retrieval Solution2) for 20 mins

Western blot - Anti-PDGFR beta antibody [EPR26830-84] - BSA and Azide free (AB313778)
  • WB

Supplier Data

Western blot - Anti-PDGFR beta antibody [EPR26830-84] - BSA and Azide free (AB313778)

This data was developed using ab313777, the same antibody clone in a different buffer formulation.

Blocking and diluting buffer and concentration : 5% NFDM/TBST.

All lanes:

Western blot - Anti-PDGFR beta antibody [EPR26830-84] (<a href='/products/primary-antibodies/pdgfr-beta-antibody-epr26830-84-ab313777'>ab313777</a>) at 1/1000 dilution

All lanes:

Human kidney tissue lysate at 20 µg

Secondary

All lanes:

Goat Anti-Rabbit IgG (HRP) with minimal cross-reactivity with human IgG at 1/2000 dilution

Observed band size: 200 kDa,150 kDa

false

Exposure time: 114s

Western blot - Anti-PDGFR beta antibody [EPR26830-84] - BSA and Azide free (AB313778)
  • WB

Supplier Data

Western blot - Anti-PDGFR beta antibody [EPR26830-84] - BSA and Azide free (AB313778)

This data was developed using ab313777, the same antibody clone in a different buffer formulation.

Blocking and diluting buffer and concentration : 5% NFDM/TBST.

The expression profile/ molecular weight observed is consistent with what has been described in the literature (PMID : 28334876, 19246520, 11346654).

In Western blot, ab313777 was shown to bind specifically to PDGFR beta. Two bands were observed at 200 kDa and 150 kDa in wild-type SH-SY5Y cell lysates ( (lane 1) whereas no signal was observed at this size in PDGFRB knockout cell line (lane 2, knockout cell line ab273749/ knockout cell lysate ab275523).

This blot was developed using a high sensitivity ECL substrate. The high-sensitivity ECL substrate used allows for the detection of proteins in the mid-femtogram range.

In Western blot, anti-GAPDH antibody (ab181602) loading control staining at 1/200000 dilution.

All lanes:

Western blot - Anti-PDGFR beta antibody [EPR26830-84] (<a href='/products/primary-antibodies/pdgfr-beta-antibody-epr26830-84-ab313777'>ab313777</a>) at 1/1000 dilution

Lane 1:

Wild-type SH-SY5Y (human neuroblastoma epithelial cell) whole cell lysate at 20 µg

Lane 2:

Western blot - Human PDGFRB knockout SH-SY5Y cell lysate (<a href='/products/cell-lysates/human-pdgfrb-knockout-sh-sy5y-cell-lysate-ab275523'>ab275523</a>) at 20 µg

Lane 3:

MG-63 (human osteosarcoma fibroblast) whole cell lysate at 20 µg

Lane 4:

U-87 MG (human glioblastoma-astrocytoma epithelial cell) whole cell lysate at 20 µg

Secondary

All lanes:

Western blot - Goat Anti-Rabbit IgG H&L (HRP) (<a href='/products/secondary-antibodies/goat-rabbit-igg-h-l-hrp-ab97051'>ab97051</a>) at 1/100000 dilution

Observed band size: 200 kDa,150 kDa

true

Exposure time: 180s

Western blot - Anti-PDGFR beta antibody [EPR26830-84] - BSA and Azide free (AB313778)
  • WB

Supplier Data

Western blot - Anti-PDGFR beta antibody [EPR26830-84] - BSA and Azide free (AB313778)

This data was developed using ab313777, the same antibody clone in a different buffer formulation. Blocking and diluting buffer and concentration : 5% NFDM/TBST This antibody does not cross-react with human PDGFR alpha. In Western blot, anti-His antibody (ab213204) staining at 1/5000 dilution. Exposure time : 10 seconds

All lanes:

Western blot - Anti-PDGFR beta antibody [EPR26830-84] (<a href='/products/primary-antibodies/pdgfr-beta-antibody-epr26830-84-ab313777'>ab313777</a>) at 1/1000 dilution

Lane 1:

His-tagged human PDGFR beta recombinant fragment at 20 ng

Lane 2:

His-tagged human PDGFR alpha recombinant fragment at 20 ng

Secondary

All lanes:

Western blot - Goat Anti-Rabbit IgG H&L (HRP) (<a href='/products/secondary-antibodies/goat-rabbit-igg-h-l-hrp-ab97051'>ab97051</a>) at 1/100000 dilution

Observed band size: 60 kDa

false

Exposure time: 10s

不同偶联物与剂型 (1)

关键信息

宿主种属

Rabbit

克隆

Monoclonal

克隆号

EPR26830-84

亚型

IgG

不含载体蛋白

Yes

反应种属

Human

应用

IHC-P, WB

applications

免疫原

The exact immunogen used to generate this antibody is proprietary information.

反应性数据

{ "title": "Reactivity Data", "filters": { "stats": ["", "Species", "Dilution Info", "Notes"], "tabs": { "all-applications": {"fullname" : "All Applications", "shortname": "All Applications"}, "IHCP" : {"fullname" : "Immunohistochemistry (Formalin/PFA-fixed paraffin-embedded sections)", "shortname":"IHC-P"}, "WB" : {"fullname" : "Western blot", "shortname":"WB"}, "IP" : {"fullname" : "Immunoprecipitation", "shortname":"IP"}, "FlowCyt" : {"fullname" : "Flow Cytometry", "shortname":"Flow Cyt"}, "ICCIF" : {"fullname" : "Immunocytochemistry/ Immunofluorescence", "shortname":"ICC/IF"} }, "product-promise": { "all": "all", "testedAndGuaranteed": "tested", "guaranteed": "expected", "predicted": "predicted", "notRecommended": "not-recommended" } }, "values": { "Human": { "IHCP-species-checked": "testedAndGuaranteed", "IHCP-species-dilution-info": "", "IHCP-species-notes": "<p></p> Perform heat-mediated antigen retrieval with Tris/EDTA buffer pH 9.0 before commencing with IHC staining protocol.", "WB-species-checked": "testedAndGuaranteed", "WB-species-dilution-info": "", "WB-species-notes": "<p></p>", "IP-species-checked": "notRecommended", "IP-species-dilution-info": "", "IP-species-notes": "<p></p>", "FlowCyt-species-checked": "notRecommended", "FlowCyt-species-dilution-info": "", "FlowCyt-species-notes": "<p></p>", "ICCIF-species-checked": "notRecommended", "ICCIF-species-dilution-info": "", "ICCIF-species-notes": "<p></p>" }, "Mouse": { "IHCP-species-checked": "notRecommended", "IHCP-species-dilution-info": "", "IHCP-species-notes": "<p></p>", "WB-species-checked": "notRecommended", "WB-species-dilution-info": "", "WB-species-notes": "<p></p>", "IP-species-checked": "notRecommended", "IP-species-dilution-info": "", "IP-species-notes": "<p></p>", "FlowCyt-species-checked": "notRecommended", "FlowCyt-species-dilution-info": "", "FlowCyt-species-notes": "<p></p>", "ICCIF-species-checked": "notRecommended", "ICCIF-species-dilution-info": "", "ICCIF-species-notes": "<p></p>" }, "Rat": { "IHCP-species-checked": "notRecommended", "IHCP-species-dilution-info": "", "IHCP-species-notes": "<p></p>", "WB-species-checked": "notRecommended", "WB-species-dilution-info": "", "WB-species-notes": "<p></p>", "IP-species-checked": "notRecommended", "IP-species-dilution-info": "", "IP-species-notes": "<p></p>", "FlowCyt-species-checked": "notRecommended", "FlowCyt-species-dilution-info": "", "FlowCyt-species-notes": "<p></p>", "ICCIF-species-checked": "notRecommended", "ICCIF-species-dilution-info": "", "ICCIF-species-notes": "<p></p>" }, "Recombinant fragment - Human": { "IHCP-species-checked": "notRecommended", "IHCP-species-dilution-info": "", "IHCP-species-notes": "", "WB-species-checked": "testedAndGuaranteed", "WB-species-dilution-info": "", "WB-species-notes": "<p></p>", "IP-species-checked": "notRecommended", "IP-species-dilution-info": "", "IP-species-notes": "", "FlowCyt-species-checked": "notRecommended", "FlowCyt-species-dilution-info": "", "FlowCyt-species-notes": "", "ICCIF-species-checked": "notRecommended", "ICCIF-species-dilution-info": "", "ICCIF-species-notes": "" } } }

产品详情

Patented technology
Our RabMAb® technology is a patented hybridoma-based technology for making rabbit monoclonal antibodies. For details on our patents, please refer to RabMAb® patents.

What are the advantages of a recombinant monoclonal antibody?
This product is a recombinant monoclonal antibody, which offers several advantages including:

  • - High batch-to-batch consistency and reproducibility
  • - Improved sensitivity and specificity
  • - Long-term security of supply
  • - Animal-free batch production

For more information, read more on recombinant antibodies.

Conjugation ready
Our carrier-free antibodies are typically supplied in a PBS-only formulation, purified and free of BSA, sodium azide and glycerol. This conjugation-ready format is designed for use with fluorochromes, metal isotopes, oligonucleotides, and enzymes, which makes them ideal for antibody labelling, functional and cell-based assays, flow-based assays (e.g. mass cytometry) and Multiplex Imaging applications.

Use our conjugation kits for antibody conjugates that are ready-to-use in as little as 20 minutes with 1 minute hands-on-time and 100% antibody recovery: available for fluorescent dyes, HRP, biotin and gold.

Compatibility
This product is compatible with the Maxpar® Antibody Labeling Kit from Fluidigm, without the need for antibody preparation. Maxpar® is a trademark of Fluidigm Canada Inc.

性能和储存信息

形式
Liquid
纯化工艺
Affinity purification Protein A
存储溶液
pH: 7.2 - 7.4 Constituents: PBS
运输条件
Blue Ice
推荐的短期储存条件
+4°C
推荐的长期储存条件
+4°C

补充信息

This supplementary information is collated from multiple sources and compiled automatically.

PDGFR beta also known as PDGFR-b or PDGFRB is a cell surface tyrosine kinase receptor with a molecular mass of about 180 kDa. It binds the PDGF (platelet-derived growth factor) family of ligands. PDGFR beta is commonly found in various tissues including blood vessels and connective tissues and is highly expressed in cells like pericytes and fibroblasts. The receptor plays a critical role in cell signaling mechanisms involving proliferation chemotaxis and survival.
Biological function summary

The receptor plays an essential role in the regulation of cell growth and development. PDGFR beta undergoes dimerization and autophosphorylation upon ligand binding initiating a series of downstream signaling cascades. This receptor is often part of a complex with other receptor proteins promoting interactions necessary for signal propagation. Its main biological functions include mediating cellular responses to environmental signals that contribute to tissue repair and angiogenesis.

Pathways

PDGFR beta is an important player within the PI3K-Akt and MAPK signaling pathways. It works alongside proteins such as PI3K and Ras to regulate cellular responses related to growth and survival. These pathways facilitate cross-talk with other cellular processes influencing various cellular outcomes. This receptor's activity regulates critical physiological functions by providing signals that maintain cellular homeostasis under various physiological conditions.

PDGFR beta has significant implications in the progression of cancer and fibrotic diseases. Its overexpression or mutation can lead to anomalous signaling that contributes to tumorigenesis particularly in connective tissue tumors known as sarcomas. Additionally PDGFR beta's role in promoting fibroblast activity makes it relevant in fibrotic diseases such as pulmonary fibrosis. Abnormal activation of PDGFR beta can interact with related proteins like VEGF receptors enhancing pathogenic responses and contributing to disease severity.

产品实验方案

For this product, it's our understanding that no specific protocols are required. You can visit:

靶点信息

The protein expressed by the PDGFRB gene is a tyrosine-protein kinase that functions as a cell-surface receptor for various PDGF homodimers and heterodimers, playing an essential role in embryonic development, cell proliferation, survival, differentiation, chemotaxis, and migration. It is crucial for blood vessel development by promoting the proliferation and migration of, as well as recruitment of, pericytes and smooth muscle cells to endothelial cells. It has a role in vascular smooth muscle cell migration and neointima formation at injury sites, and is necessary for normal cardiovascular development and pericyte recruitment in kidney glomeruli. The protein facilitates actin cytoskeleton rearrangement and membrane ruffle formation. Ligand binding activates signaling cascades depending on the ligand bound and interactions with PDGFRA, leading to phosphorylation of several substrates, activation of signaling pathways such as AKT1, MAPK, and SRC family kinases, and production of molecules like diacylglycerol and inositol trisphosphate. Receptor signaling is downregulated by protein phosphatases and receptor internalization. This supplementary information is collated from multiple sources and compiled automatically.
See full target information PDGFRB

Abcam Product Promise

我们致力于为您的研究提供高质量的试剂,为您科研的每一步提供支持。若我们的产品未能达到预期性能,我们向您提供 Abcam Product Promise 保障。
详情请参阅我们的条款与条件。

Please note: All products are 'FOR RESEARCH USE ONLY. NOT FOR USE IN DIAGNOSTIC OR THERAPEUTIC PROCEDURES'.

For licensing inquiries, please contact partnerships@abcam.com