JavaScript is disabled in your browser. Please enable JavaScript to view this website.
AB259945

重组Anti-PDE5A/PDE5抗体[EPR24129-95]

Anti-PDE5A/PDE5 antibody [EPR24129-95]

  • BOND RX™ Validated
  • 20ul selling size
  • RabMAb
  • Recombinant
  • 了解详情

Be the first to review this product! Submit a review

|

(5 Publications)

Rabbit Recombinant Monoclonal PDE5A/PDE5 antibody. Suitable for IP, WB, IHC-Fr, IHC-P and reacts with Human, Mouse, Rat samples. Cited in 5 publications.

查看别名

PDE5, PDE5A, cGMP-binding cGMP-specific phosphodiesterase, CGB-PDE

11 Images
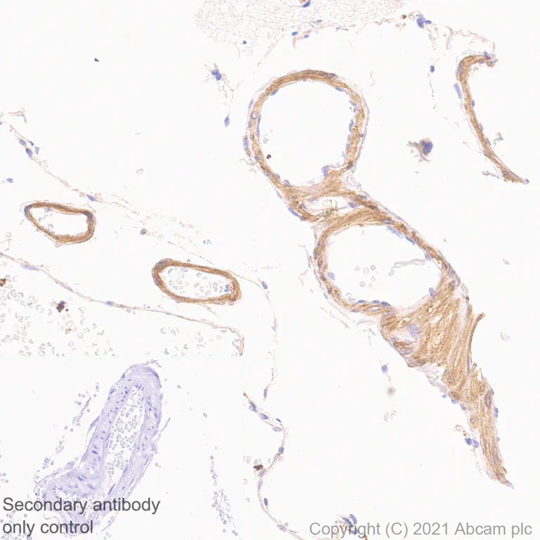
Immunohistochemistry (Formalin/PFA-fixed paraffin-embedded sections) - Anti-PDE5A/PDE5 antibody [EPR24129-95] (AB259945)
  • IHC-P

Supplier Data

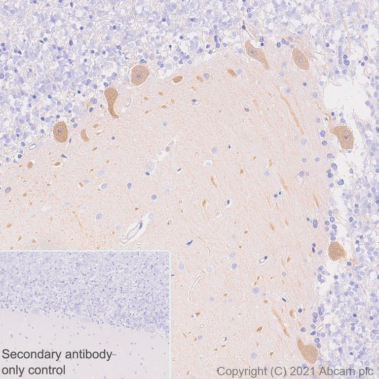
Immunohistochemistry (Formalin/PFA-fixed paraffin-embedded sections) - Anti-PDE5A/PDE5 antibody [EPR24129-95] (AB259945)

Immunohistochemical analysis of paraffin-embedded Human brain tissue labelling PDE5A/PDE5 with ab259945 at 1/500 (0.928 ug/ml) dilution followed by a ready to use LeicaDS9800 (Bond™ Polymer Refine Detection) was used. Cytoplasmic staining on artery smooth muscle of human brain.The section was incubated with ab259945 for 30 mins at room temperature.The immunostaining was performed on a Leica Biosystems BOND® RX instrument Counterstained with Hematoxylin.

Secondary antibody only control : Secondary antibody is a ready to use LeicaDS9800 (Bond™ Polymer Refine Detection) was used.

Heat mediated antigen retrieval with Tris-EDTA buffer (pH 9.0, epitope retrieval solution2) for 20 mins

Immunohistochemistry (Formalin/PFA-fixed paraffin-embedded sections) - Anti-PDE5A/PDE5 antibody [EPR24129-95] (AB259945)
  • IHC-P

Supplier Data

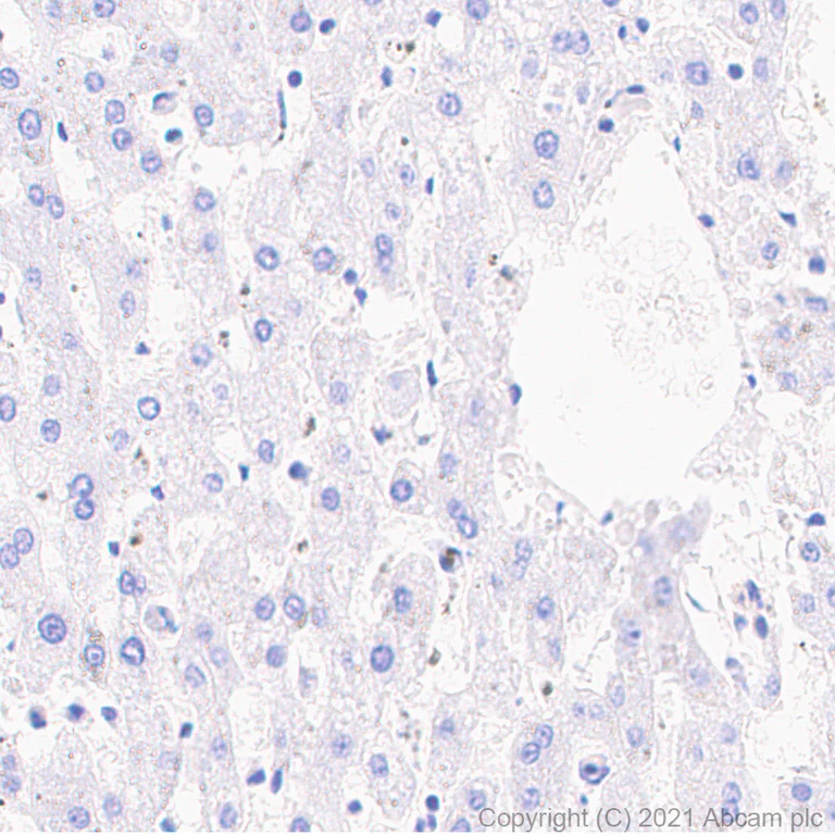
Immunohistochemistry (Formalin/PFA-fixed paraffin-embedded sections) - Anti-PDE5A/PDE5 antibody [EPR24129-95] (AB259945)

Immunohistochemical analysis of paraffin-embedded Human liver tissue labelling PDE5A/PDE5 with ab259945 at 1/500 (0.928 ug/ml) dilution followed by a ready to use LeicaDS9800 (Bond™ Polymer Refine Detection) was used. Negative control : no staining on human liver.The section was incubated with ab259945 for 30 mins at room temperature.The immunostaining was performed on a Leica Biosystems BOND® RX instrument Counterstained with Hematoxylin.

Secondary antibody only control : Secondary antibody is a ready to use LeicaDS9800 (Bond™ Polymer Refine Detection) was used.

Heat mediated antigen retrieval with Tris-EDTA buffer (pH 9.0, epitope retrieval solution2) for 20 mins

Immunohistochemistry (Formalin/PFA-fixed paraffin-embedded sections) - Anti-PDE5A/PDE5 antibody [EPR24129-95] (AB259945)
  • IHC-P

Supplier Data

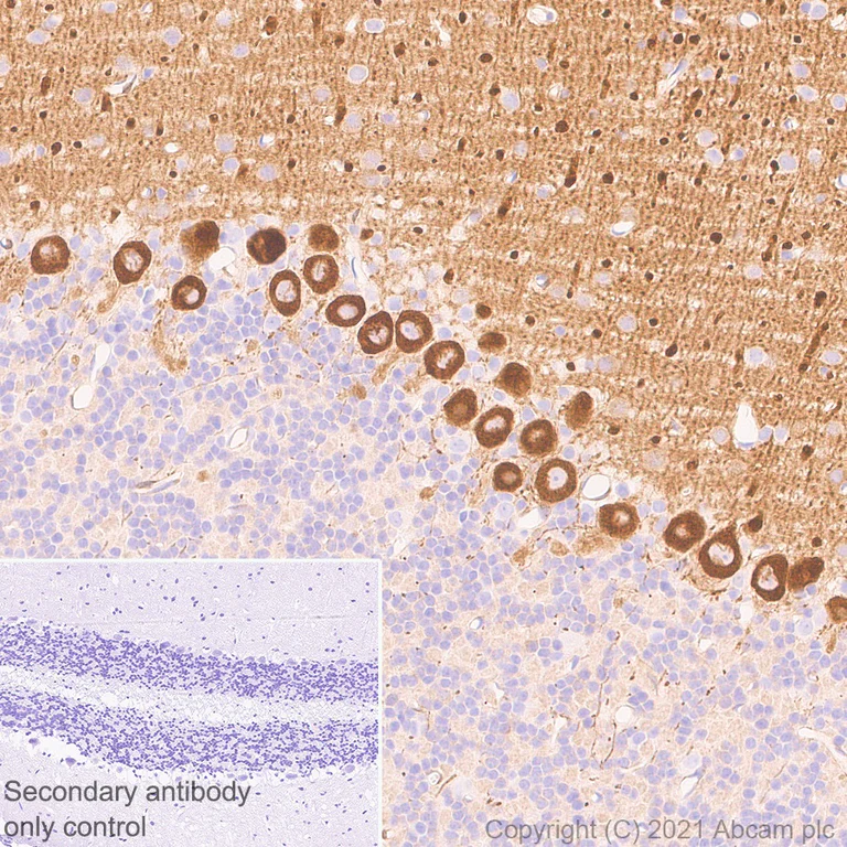
Immunohistochemistry (Formalin/PFA-fixed paraffin-embedded sections) - Anti-PDE5A/PDE5 antibody [EPR24129-95] (AB259945)

Immunohistochemical analysis of paraffin-embedded Human cerebellum tissue labelling PDE5A/PDE5 with ab259945 at 1/500 (0.928 ug/ml) dilution followed by a ready to use LeicaDS9800 (Bond™ Polymer Refine Detection) was used. Cytoplasmic staining on purkinje cells of human cerebellum.The section was incubated with ab259945 for 30 mins at room temperature.The immunostaining was performed on a Leica Biosystems BOND® RX instrument Counterstained with Hematoxylin.

Secondary antibody only control : Secondary antibody is a ready to use LeicaDS9800 (Bond™ Polymer Refine Detection) was used.

Heat mediated antigen retrieval with Tris-EDTA buffer (pH 9.0, epitope retrieval solution2) for 20 mins

Immunoprecipitation - Anti-PDE5A/PDE5 antibody [EPR24129-95] (AB259945)
  • IP

Supplier Data

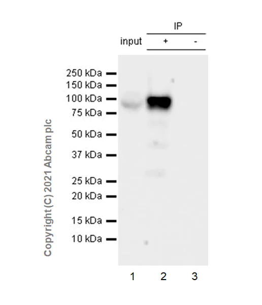
Immunoprecipitation - Anti-PDE5A/PDE5 antibody [EPR24129-95] (AB259945)

PDE5A/PDE5 was immunoprecipitated from 0.35 mg MCF7 (human breast adenocarcinoma epithelial cell) whole cell lysate 10 ug with ab259945 at 1/30 dilution (2ug in 0.35mg lysates). Western blot was performed on the immunoprecipitate using ab259945 at 1/1000 dilution. VeriBlot for IP Detection Reagent (HRP)(ab131366) was used at 1/5000 dilution.

Lane 1 : MCF7 (human breast adenocarcinoma epithelial cell) whole cell lysate 10 ug

Lane 2 : ab259945 IP in MCF7 whole cell lysate

Lane 3 : Rabbit monoclonal IgG (ab172730) instead of ab259945 in MCF7 whole cell lysate

Blocking and dilution buffer and concentration : 5% NFDM/TBST.

Exposure time : 15 seconds

All lanes:

Immunoprecipitation - Anti-PDE5A/PDE5 antibody [EPR24129-95] (ab259945)

Predicted band size: 100 kDa

false

Immunohistochemistry (Formalin/PFA-fixed paraffin-embedded sections) - Anti-PDE5A/PDE5 antibody [EPR24129-95] (AB259945)
  • IHC-P

Supplier Data

Immunohistochemistry (Formalin/PFA-fixed paraffin-embedded sections) - Anti-PDE5A/PDE5 antibody [EPR24129-95] (AB259945)

Immunohistochemical analysis of paraffin-embedded Rat cerebellum tissue labelling PDE5A/PDE5 with ab259945 at 1/500 (0.928 ug/ml) dilution followed by a ready to use LeicaDS9800 (Bond™ Polymer Refine Detection) was used. Cytoplasmic staining on rat cerebellum.The section was incubated with ab259945 for 30 mins at room temperature.The immunostaining was performed on a Leica Biosystems BOND® RX instrument Counterstained with Hematoxylin.

Secondary antibody only control : Secondary antibody is a ready to use LeicaDS9800 (Bond™ Polymer Refine Detection) was used.

Heat mediated antigen retrieval with Tris-EDTA buffer (pH 9.0, epitope retrieval solution2) for 20 mins

Immunohistochemistry (Formalin/PFA-fixed paraffin-embedded sections) - Anti-PDE5A/PDE5 antibody [EPR24129-95] (AB259945)
  • IHC-P

Supplier Data

Immunohistochemistry (Formalin/PFA-fixed paraffin-embedded sections) - Anti-PDE5A/PDE5 antibody [EPR24129-95] (AB259945)

Immunohistochemical analysis of paraffin-embedded Mouse cerebellum tissue labelling PDE5A/PDE5 with ab259945 at 1/500 (0.928 ug/ml) dilution followed by a ready to use LeicaDS9800 (Bond™ Polymer Refine Detection) was used. Cytoplasmic staining on mouse cerebellum.The section was incubated with ab259945 for 30 mins at room temperature.The immunostaining was performed on a Leica Biosystems BOND® RX instrument Counterstained with Hematoxylin.

Secondary antibody only control : Secondary antibody is a ready to use LeicaDS9800 (Bond™ Polymer Refine Detection) was used.

Heat mediated antigen retrieval with Tris-EDTA buffer (pH 9.0, epitope retrieval solution2) for 20 mins

Immunohistochemistry (Frozen sections) - Anti-PDE5A/PDE5 antibody [EPR24129-95] (AB259945)
  • IHC-Fr

Supplier Data

Immunohistochemistry (Frozen sections) - Anti-PDE5A/PDE5 antibody [EPR24129-95] (AB259945)

Immunohistochemical analysis of 4% PFA-fixed, 0.2% Triton X-100 permeabilized frozen Mouse cerebellum tissue labeling PDE5A/PDE5 with ab259945 at 1/100 (4.64 ug/ml) dilution followed by ab150077 Goat Anti-Rabbit IgG H&L (Alexa Fluor® 488) at 1/1000 2 ug/ml dilution (Green). Positive staining on mouse cerebellum is observed. The nuclear counterstain was DAPI (Blue).

Secondary antibody control : Secondary antibody is ab150077 Goat Anti-Rabbit IgG H&L (Alexa Fluor® 488)at 1/1000 dilution.

Heat mediated antigen retrieval using sodium citrate buffer (10mM citrate pH 6.0 + 0.05% Tween-20).

Immunohistochemistry (Frozen sections) - Anti-PDE5A/PDE5 antibody [EPR24129-95] (AB259945)
  • IHC-Fr

Supplier Data

Immunohistochemistry (Frozen sections) - Anti-PDE5A/PDE5 antibody [EPR24129-95] (AB259945)

Immunohistochemical analysis of 4% PFA-fixed, 0.2% Triton X-100 permeabilized frozen Rat cerebellum tissue labeling PDE5A/PDE5 with ab259945 at 1/100 (4.64 ug/ml) dilution followed by ab150077 Goat Anti-Rabbit IgG H&L (Alexa Fluor® 488) at 1/1000 2 ug/ml dilution (Green). Positive staining on rat cerebellum is observed. The nuclear counterstain was DAPI (Blue).

Secondary antibody control : Secondary antibody is ab150077 Goat Anti-Rabbit IgG H&L (Alexa Fluor® 488)at 1/1000 dilution.

Heat mediated antigen retrieval using sodium citrate buffer (10mM citrate pH 6.0 + 0.05% Tween-20).

Western blot - Anti-PDE5A/PDE5 antibody [EPR24129-95] (AB259945)
  • WB

Lab

Western blot - Anti-PDE5A/PDE5 antibody [EPR24129-95] (AB259945)

Western blot : Anti-PDE5A antibody [EPR24129-95] (ab259945) staining at 1/1000 dilution, shown in green; Mouse anti-Alpha Tubulin [DM1A] (ab7291) loading control staining at 1/20000 dilution, shown in magenta. In Western blot, ab259945 was shown to bind specifically to PDE5A. A band was observed at 95 kDa in wild-type A549 cell lysates with no signal observed at this size in PDE5A knockout cell line. To generate this image, wild-type and PDE5A knockout A549 cell lysates were analysed. First, samples were run on an SDS-PAGE gel then transferred onto a nitrocellulose membrane. Membranes were blocked in 3 % milk in TBS-0.1 % Tween® 20 (TBS-T) before incubation with primary antibodies overnight at 4 °C. Blots were washed four times in TBS-T, incubated with secondary antibodies for 1 h at room temperature, washed again four times then imaged. Secondary antibodies used were Goat anti-Rabbit IgG H&L 800CW and Goat anti-Mouse IgG H&L 680RD at 1/20000 dilution.

All lanes:

Western blot - Anti-PDE5A/PDE5 antibody [EPR24129-95] (ab259945) at 1/1000 dilution

Lane 1:

Wild-type A549 cell lysate at 20 µg

Lane 2:

Western blot - Human PDE5A knockout A549 cell line (<a href='/products/cell-lines/human-pde5a-knockout-a549-cell-line-ab301140'>ab301140</a>)

Lane 2:

PDE5A knockout A549 cell lysate at 20 µg

Lane 3:

K562 cell lysate at 20 µg

Secondary

Lanes 1 - 3:

Goat anti-Rabbit IgG H&L 800CW at 1/20000 dilution

Lanes 1 - 3:

Goat anti-Mouse IgG H&L 680RD at 1/20000 dilution

Predicted band size: 100 kDa

Observed band size: 95 kDa

false

Western blot - Anti-PDE5A/PDE5 antibody [EPR24129-95] (AB259945)
  • WB

Lab

Western blot - Anti-PDE5A/PDE5 antibody [EPR24129-95] (AB259945)

Blocking and diluting buffer and concentration : 5% NFDM/TBST

Negative control : liver (PMID : 11389965).

Exposure time : 37 seconds

All lanes:

Western blot - Anti-PDE5A/PDE5 antibody [EPR24129-95] (ab259945) at 1/1000 dilution

Lane 1:

Human cerebellum tissue lysate at 40 µg

Lane 2:

Human liver tissue lysate at 40 µg

Lane 3:

MCF7 (human breast adenocarcinoma epithelial cell) whole cell lysate at 40 µg

Secondary

All lanes:

Western blot - VeriBlot for IP Detection Reagent (HRP) (<a href='/products/reagents/veriblot-for-ip-detection-reagent-hrp-ab131366'>ab131366</a>) at 1/1000 dilution

Predicted band size: 100 kDa

false

Western blot - Anti-PDE5A/PDE5 antibody [EPR24129-95] (AB259945)
  • WB

Lab

Western blot - Anti-PDE5A/PDE5 antibody [EPR24129-95] (AB259945)

Blocking and diluting buffer and concentration : 5% NFDM/TBST

Negative control : liver (PMID : 11389965).

Exposure time : 37 seconds

All lanes:

Western blot - Anti-PDE5A/PDE5 antibody [EPR24129-95] (ab259945) at 1/1000 dilution

Lane 1:

Mouse esophagus tissue lysate at 40 µg

Lane 2:

Mouse cerebellum tissue lysate at 40 µg

Lane 3:

Mouse liver tissue lysate at 40 µg

Lane 4:

Rat cerebellum tissue lysate at 40 µg

Lane 5:

Rat liver tissue lysate at 40 µg

Secondary

Lanes 1 - 5:

Western blot - Goat Anti-Rabbit IgG H&L (HRP) (<a href='/products/secondary-antibodies/goat-rabbit-igg-h-l-hrp-ab97051'>ab97051</a>) at 1/100000 dilution

Lanes 1 - 5:

Western blot - VeriBlot for IP Detection Reagent (HRP) (<a href='/products/reagents/veriblot-for-ip-detection-reagent-hrp-ab131366'>ab131366</a>) at 1/100000 dilution

Predicted band size: 100 kDa

false

不同偶联物与剂型 (1)

  • Carrier free

    Anti-PDE5A/PDE5 antibody [EPR24129-95] - BSA and Azide free

关键信息

宿主种属

Rabbit

克隆

Monoclonal

克隆号

EPR24129-95

亚型

IgG

不含载体蛋白

No

反应种属

Mouse, Rat, Human

应用

WB, IP, IHC-P, IHC-Fr

applications

免疫原

The exact immunogen used to generate this antibody is proprietary information.

反应性数据

{ "title": "Reactivity Data", "filters": { "stats": ["", "Species", "Dilution Info", "Notes"], "tabs": { "all-applications": {"fullname" : "All Applications", "shortname": "All Applications"}, "ICCIF" : {"fullname" : "Immunocytochemistry/ Immunofluorescence", "shortname":"ICC/IF"}, "IP" : {"fullname" : "Immunoprecipitation", "shortname":"IP"}, "WB" : {"fullname" : "Western blot", "shortname":"WB"}, "IHCFr" : {"fullname" : "Immunohistochemistry (Frozen sections)", "shortname":"IHC-Fr"}, "FlowCytIntra" : {"fullname" : "Flow Cytometry (Intracellular)", "shortname":"Flow Cyt (Intra)"}, "IHCP" : {"fullname" : "Immunohistochemistry (Formalin/PFA-fixed paraffin-embedded sections)", "shortname":"IHC-P"} }, "product-promise": { "all": "all", "testedAndGuaranteed": "tested", "guaranteed": "expected", "predicted": "predicted", "notRecommended": "not-recommended" } }, "values": { "Human": { "ICCIF-species-checked": "notRecommended", "ICCIF-species-dilution-info": "", "ICCIF-species-notes": "<p></p>", "IP-species-checked": "testedAndGuaranteed", "IP-species-dilution-info": "1/30", "IP-species-notes": "<p></p>", "WB-species-checked": "testedAndGuaranteed", "WB-species-dilution-info": "1/1000", "WB-species-notes": "<p></p>", "IHCFr-species-checked": "guaranteed", "IHCFr-species-dilution-info": "", "IHCFr-species-notes": "", "FlowCytIntra-species-checked": "notRecommended", "FlowCytIntra-species-dilution-info": "", "FlowCytIntra-species-notes": "<p></p>", "IHCP-species-checked": "testedAndGuaranteed", "IHCP-species-dilution-info": "1/500", "IHCP-species-notes": "<p></p>" }, "Mouse": { "ICCIF-species-checked": "notRecommended", "ICCIF-species-dilution-info": "", "ICCIF-species-notes": "<p></p>", "IP-species-checked": "guaranteed", "IP-species-dilution-info": "", "IP-species-notes": "", "WB-species-checked": "testedAndGuaranteed", "WB-species-dilution-info": "1/1000", "WB-species-notes": "<p></p>", "IHCFr-species-checked": "testedAndGuaranteed", "IHCFr-species-dilution-info": "1/100", "IHCFr-species-notes": "<p></p>", "FlowCytIntra-species-checked": "notRecommended", "FlowCytIntra-species-dilution-info": "", "FlowCytIntra-species-notes": "<p></p>", "IHCP-species-checked": "testedAndGuaranteed", "IHCP-species-dilution-info": "1/500", "IHCP-species-notes": "<p></p>" }, "Rat": { "ICCIF-species-checked": "notRecommended", "ICCIF-species-dilution-info": "", "ICCIF-species-notes": "<p></p>", "IP-species-checked": "guaranteed", "IP-species-dilution-info": "", "IP-species-notes": "", "WB-species-checked": "testedAndGuaranteed", "WB-species-dilution-info": "1/1000", "WB-species-notes": "<p></p>", "IHCFr-species-checked": "testedAndGuaranteed", "IHCFr-species-dilution-info": "1/100", "IHCFr-species-notes": "<p></p>", "FlowCytIntra-species-checked": "notRecommended", "FlowCytIntra-species-dilution-info": "", "FlowCytIntra-species-notes": "<p></p>", "IHCP-species-checked": "testedAndGuaranteed", "IHCP-species-dilution-info": "1/500", "IHCP-species-notes": "<p></p>" } } }

产品详情

Patented technology
Our RabMAb® technology is a patented hybridoma-based technology for making rabbit monoclonal antibodies. For details on our patents, please refer to RabMAb® patents.

What are the advantages of a recombinant monoclonal antibody?
This product is a recombinant monoclonal antibody, which offers several advantages including:

  • - High batch-to-batch consistency and reproducibility
  • - Improved sensitivity and specificity
  • - Long-term security of supply
  • - Animal-free batch production

For more information, read more on recombinant antibodies.

性能和储存信息

形式
Liquid
纯化工艺
Affinity purification Protein A
存储溶液
Preservative: 0.01% Sodium azide Constituents: PBS, 40% Glycerol (glycerin, glycerine), 0.05% BSA
运输条件
Blue Ice
推荐的短期储存时间
1-2 weeks
推荐的短期储存条件
+4°C
推荐的长期储存条件
-20°C
分装信息
Upon delivery aliquot
储存信息
Avoid freeze / thaw cycle

补充信息

This supplementary information is collated from multiple sources and compiled automatically.

PDE5A also known as PDE5 or phosphodiesterase type 5 plays a critical role in hydrolyzing cyclic guanosine monophosphate (cGMP) to its inactive form. This enzyme is part of the phosphodiesterase family and has a molecular mass of approximately 100 kDa. PDE5A is expressed mainly in the smooth muscle cells of blood vessels and in the corpus cavernosum of the penis. Other expression sites include the lung heart and skeletal muscle.
Biological function summary

PDE5A regulates intracellular levels of cGMP an important secondary messenger in various signaling pathways. It is not part of a large protein complex but directly influences the contractility of smooth muscle tissues. By controlling cGMP levels PDE5A modulates vascular tone and influences processes such as vasodilation. This regulation is essential for maintaining a balance in the contractile state of muscles impacting blood flow and other vital functions.

Pathways

PDE5A contributes significantly to the nitric oxide (NO)-cGMP signaling pathway which is important for vascular relaxation. In this pathway nitric oxide stimulates guanylate cyclase to produce cGMP which then activates specific kinases and ion channels. Related proteins such as guanylate cyclase and cGMP-dependent protein kinases work alongside PDE5A to mediate smooth muscle relaxation and vasodilation particularly in penile erectile tissue.

PDE5A shows strong connections to erectile dysfunction and pulmonary hypertension. In the case of erectile dysfunction impaired regulation of cGMP by PDE5A affects the relaxation of smooth muscle leading to inadequate blood flow. Pulmonary hypertension involves elevated blood pressure in the lung arteries which PDE5A influences through its role in controlling vascular tone. The enzyme guanylate cyclase associates closely with PDE5A in these contexts as both influence cGMP pathways involved in these conditions.

产品实验方案

For this product, it's our understanding that no specific protocols are required. You can visit:

靶点信息

Plays a role in signal transduction by regulating the intracellular concentration of cyclic nucleotides. This phosphodiesterase catalyzes the specific hydrolysis of cGMP to 5'-GMP (PubMed : 15489334, PubMed : 9714779). Specifically regulates nitric-oxide-generated cGMP (PubMed : 15489334).
See full target information PDE5A

文献 (5)

Recent publications for all applications. Explore the full list and refine your search

The Journal of biological chemistry 301:108265 PubMed39909376

2025

Phosphodiesterase 5 expression in photoreceptors rescues retinal degeneration induced by deregulation of membrane guanylyl cyclase.

Applications

Unspecified application

Species

Unspecified reactive species

Alexander M Dizhoor,Shinya Sato,Zhuokai Luo,Lyuqi Tan,Fay E Levin,Elena V Olshevskaya,Igor V Peshenko,Vladimir J Kefalov

Signal transduction and targeted therapy 9:80 PubMed38565536

2024

Mex-3 RNA binding family member A (MEX3A)/circMPP6 complex promotes colorectal cancer progression by inhibiting autophagy.

Applications

Unspecified application

Species

Unspecified reactive species

Ri-Xin Chen,Shui-Dan Xu,Min-Hua Deng,Shi-Hui Hao,Jie-Wei Chen,Xiao-Dan Ma,Wei-Tao Zhuang,Jing-Hua Cao,Yong-Rui Lv,Jin-Long Lin,Si-Yu Li,Gui-Bin Qiao,Dan Xie,Feng-Wei Wang

Heliyon 9:e22487 PubMed38094047

2023

Icariin has the potential to induce the differentiation of bone marrow mesenchymal stem cells into brown fat cells via PDE5A inhibition.

Applications

Unspecified application

Species

Unspecified reactive species

Yao Lu,Xiangfeng Xu,Sitong Liu,Zhaozheng Wang,Kai Jiang,Juan Gu,Li Fang,Rong Shen

Frontiers in pharmacology 14:1233468 PubMed37521477

2023

The pharmacological effects and safety of the raw and prepared folium of Maxim. on improving kidney-yang deficiency syndrome and sexual dysfunction.

Applications

Unspecified application

Species

Unspecified reactive species

Kai Wang,Juntao Li,Xinyu Zheng,Jian Xu,Zhe Wang,Senjie Li,Qiang Yang,Yue Wu,Dong-Hua Yang,Shen Yao,Xiangwei Zheng

Pharmaceutical biology 61:683-695 PubMed37096968

2023

Hawthorn leaves flavonoids attenuate cardiac remodeling induced by simulated microgravity.

Applications

Unspecified application

Species

Unspecified reactive species

Tian Liu,Yuqi Ma,Hui Zhao,Pengli Wang,Yan Niu,Yuehuan Hu,Xi Shen,Mingxia Zhang,Bing Yan,Jun Yu
View all publications

Abcam Product Promise

我们致力于为您的研究提供高质量的试剂,为您科研的每一步提供支持。若我们的产品未能达到预期性能,我们向您提供 Abcam Product Promise 保障。
详情请参阅我们的条款与条件。

Please note: All products are 'FOR RESEARCH USE ONLY. NOT FOR USE IN DIAGNOSTIC OR THERAPEUTIC PROCEDURES'.

For licensing inquiries, please contact partnerships@abcam.com