JavaScript is disabled in your browser. Please enable JavaScript to view this website.
AB59212

Anti-PDE4D (phospho S190)抗体

Anti-PDE4D (phospho S190) antibody

0

(1 Review)

|

(2 Publications)

Rabbit Polyclonal PDE4D phospho S190 antibody. Suitable for WB, IHC-P and reacts with Human samples. Cited in 2 publications. Immunogen corresponding to Synthetic Peptide within Human PDE4D phospho S190 aa 150-250.

查看别名

DPDE3, PDE4D, PDE43, cAMP-specific phosphodiesterase 4D

2 Images
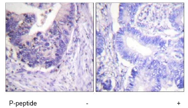
Immunohistochemistry (Formalin/PFA-fixed paraffin-embedded sections) - Anti-PDE4D (phospho S190) antibody (AB59212)
  • IHC-P

Unknown

Immunohistochemistry (Formalin/PFA-fixed paraffin-embedded sections) - Anti-PDE4D (phospho S190) antibody (AB59212)

ab59212, at 1/50 dilution, staining PDE4D in paraffin embedded human colon carcinoma tissue by Immunohistochemistry in the absence or presence of the immunising peptide.

Western blot - Anti-PDE4D (phospho S190) antibody (AB59212)
  • WB

Unknown

Western blot - Anti-PDE4D (phospho S190) antibody (AB59212)

All lanes:

Western blot - Anti-PDE4D (phospho S190) antibody (ab59212) at 1/500 dilution

Lane 1:

K562 cell extract treatedwith H<sub>2</sub>O<sub>2</sub> (100uM, 30mins)

Lane 2:

K562 cell extract treatedwith H<sub>2</sub>O<sub>2</sub> (100uM, 30mins) with immunising peptide

Predicted band size: 91 kDa

Observed band size: 75 kDa

false

关键信息

宿主种属

Rabbit

克隆

Polyclonal

亚型

IgG

不含载体蛋白

No

反应种属

Human

应用

WB, IHC-P

applications

免疫原

Synthetic Peptide within Human PDE4D phospho S190 aa 150-250. The exact immunogen used to generate this antibody is proprietary information.

Q08499

反应性数据

{ "title": "Reactivity Data", "filters": { "stats": ["", "Species", "Dilution Info", "Notes"], "tabs": { "all-applications": {"fullname" : "All Applications", "shortname": "All Applications"}, "WB" : {"fullname" : "Western blot", "shortname":"WB"}, "IHCP" : {"fullname" : "Immunohistochemistry (Formalin/PFA-fixed paraffin-embedded sections)", "shortname":"IHC-P"} }, "product-promise": { "all": "all", "testedAndGuaranteed": "tested", "guaranteed": "expected", "predicted": "predicted", "notRecommended": "not-recommended" } }, "values": { "Human": { "WB-species-checked": "testedAndGuaranteed", "WB-species-dilution-info": "1/500 - 1/1000", "WB-species-notes": "<p></p>", "IHCP-species-checked": "testedAndGuaranteed", "IHCP-species-dilution-info": "1/50 - 1/100", "IHCP-species-notes": "<p></p>" }, "Mouse": { "WB-species-checked": "predicted", "WB-species-dilution-info": "", "WB-species-notes": "", "IHCP-species-checked": "predicted", "IHCP-species-dilution-info": "", "IHCP-species-notes": "" }, "Rat": { "WB-species-checked": "predicted", "WB-species-dilution-info": "", "WB-species-notes": "", "IHCP-species-checked": "predicted", "IHCP-species-dilution-info": "", "IHCP-species-notes": "" } } }

性能和储存信息

形式
Liquid
纯化工艺
Affinity purification Immunogen
纯化说明
ab59212 was affinity purified from rabbit antiserum by affinity chromatography using epitope specific phosphopeptide. The antibody againstnon phosphopeptide was removed by chromatography using non phosphopeptide corresponding to the phosphorylation site.
存储溶液
pH: 7.4 Preservative: 0.02% Sodium azide Constituents: PBS, 50% Glycerol (glycerin, glycerine), 0.87% Sodium chloride
运输条件
Blue Ice
推荐的短期储存条件
+4°C
推荐的长期储存条件
-20°C
储存信息
Stable for 12 months at -20°C

补充信息

This supplementary information is collated from multiple sources and compiled automatically.

Phosphodiesterase 4D (PDE4D) is an enzyme that hydrolyzes cyclic AMP (cAMP) to its inactive form AMP controlling important cellular signaling pathways. It is part of the large PDE family and sometimes referred to as DPDE1. With a molecular weight of approximately 93 kDa PDE4D is widely expressed in the brain heart lungs and immune cells. Its expression in these tissues indicates an important regulatory role in both central and peripheral physiological processes.
Biological function summary

PDE4D plays an important role in the modulation of intracellular cAMP levels impacting processes such as inflammation cognition and cardiac function. It does not operate as part of a larger complex but collaborates with other signaling molecules to influence cellular responses. PDE4D's regulation of cAMP levels directly affects protein kinase A (PKA) leading to alterations in gene expression and cell activity.

Pathways

PDE4D integrates into the cAMP signaling and inflammatory pathways impacting various cellular responses. In the cAMP signaling pathway it partners with other PDEs and signaling proteins such as PKA which phosphorylates target proteins affecting cellular function. In inflammatory pathways PDE4D modulates immune cell activity by altering the cAMP-mediated inhibition of pro-inflammatory cytokine production linking it to inflammation-related responses.

PDE4D has associations with conditions such as asthma and ischemic stroke. In asthma PDE4D regulates cAMP levels in lung cells affecting bronchial constriction and inflammation. In ischemic stroke alterations in PDE4D activity influence vascular function by changing cAMP dynamics in vascular smooth muscle cells. Within these disorders PDE4D interacts with proteins like cytokines and COX-2 which also play parts in inflammatory pathways and vascular responses.

产品实验方案

For this product, it's our understanding that no specific protocols are required. You can visit:

靶点信息

Hydrolyzes the second messenger cAMP, which is a key regulator of many important physiological processes.
See full target information PDE4D phospho S190

文献 (2)

Recent publications for all applications. Explore the full list and refine your search

Frontiers in systems neuroscience 10:5 PubMed26903822

2016

Traumatic Brain Injury Upregulates Phosphodiesterase Expression in the Hippocampus.

Applications

WB

Species

Unspecified reactive species

Nicole M Wilson,David J Titus,Anthony A Oliva,Concepcion Furones,Coleen M Atkins

Journal of neurochemistry 123:1019-29 PubMed23057870

2012

Phosphodiesterase isoform-specific expression induced by traumatic brain injury.

Applications

Unspecified application

Species

Unspecified reactive species

Anthony A Oliva,Yuan Kang,Concepcion Furones,Ofelia F Alonso,Olga Bruno,W Dalton Dietrich,Coleen M Atkins
View all publications

Abcam Product Promise

我们致力于为您的研究提供高质量的试剂,为您科研的每一步提供支持。若我们的产品未能达到预期性能,我们向您提供 Abcam Product Promise 保障。
详情请参阅我们的条款与条件。

Please note: All products are 'FOR RESEARCH USE ONLY. NOT FOR USE IN DIAGNOSTIC OR THERAPEUTIC PROCEDURES'.

For licensing inquiries, please contact partnerships@abcam.com