JavaScript is disabled in your browser. Please enable JavaScript to view this website.
AB109181

重组Anti-PDCD6/ALG-2抗体[EP3259]

Anti-PDCD6/ALG-2 antibody [EP3259]

Be the first to review this product! Submit a review

|

(4 Publications)

Rabbit Recombinant Monoclonal PDCD6/ALG-2 antibody. Suitable for IHC-P, WB and reacts with Human, Mouse, Rat samples. Cited in 4 publications.

查看别名

ALG2, PDCD6, Programmed cell death protein 6, Apoptosis-linked gene 2 protein homolog, ALG-2

4 Images
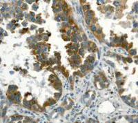
Immunohistochemistry (Formalin/PFA-fixed paraffin-embedded sections) - Anti-PDCD6/ALG-2 antibody [EP3259] (AB109181)
  • IHC-P

Unknown

Immunohistochemistry (Formalin/PFA-fixed paraffin-embedded sections) - Anti-PDCD6/ALG-2 antibody [EP3259] (AB109181)

Immunohistochemical analysis of paraffin-embedded Human hepatoma using ab109181 at 1/100.

Perform heat mediated antigen retrieval with citrate buffer pH 6 before commencing with IHC staining protocol.

Immunohistochemistry (Formalin/PFA-fixed paraffin-embedded sections) - Anti-PDCD6/ALG-2 antibody [EP3259] (AB109181)
  • IHC-P

Unknown

Immunohistochemistry (Formalin/PFA-fixed paraffin-embedded sections) - Anti-PDCD6/ALG-2 antibody [EP3259] (AB109181)

Immunohistochemical analysis of paraffin-embedded Human lung adenocarcinoma using ab109181 at 1/100.

Perform heat mediated antigen retrieval with citrate buffer pH 6 before commencing with IHC staining protocol.

Western blot - Anti-PDCD6/ALG-2 antibody [EP3259] (AB109181)
  • WB

Lab

Western blot - Anti-PDCD6/ALG-2 antibody [EP3259] (AB109181)

Lanes 1-4 : Merged signal (red and green). Green - ab109181 observed at 22 kDa. Red - loading control ab8245 observed at 36 kDa.

ab109181 Anti-PDCD6/ALG-2 antibody [EP3259] was shown to specifically react with PDCD6/ALG-2 in wild-type HEK293T cells. Loss of signal was observed when knockout cell line ab266323 (knockout cell lysate ab258570) was used. Wild-type and PDCD6/ALG-2 knockout samples were subjected to SDS-PAGE. ab109181 and Anti-GAPDH antibody [6C5] - Loading Control (ab8245) were incubated overnight at 4°C at 1 in 1000 dilution and 1 in 20000 dilution respectively. Blots were developed with Goat anti-Rabbit IgG H&L (IRDye® 800CW) preadsorbed (ab216773) and Goat anti-Mouse IgG H&L (IRDye® 680RD) preadsorbed (ab216776) secondary antibodies at 1 in 20000 dilution for 1 hour at room temperature before imaging.

All lanes:

Western blot - Anti-PDCD6/ALG-2 antibody [EP3259] (ab109181) at 1/1000 dilution

Lane 1:

Wild-type HEK293T cell lysate at 20 µg

Lane 2:

PDCD6 knockout HEK293T cell lysate at 20 µg

Lane 2:

Western blot - Human PDCD6 (ALG-2) knockout HEK-293T cell line (<a href='/products/cell-lines/human-pdcd6-alg-2-knockout-hek-293t-cell-line-ab266323'>ab266323</a>)

Lane 3:

HeLa cell lysate at 20 µg

Lane 4:

Daudi cell lysate at 20 µg

Secondary

All lanes:

Western blot - Goat anti-Rabbit IgG H&L (IRDye® 800CW) preadsorbed (<a href='/products/secondary-antibodies/goat-rabbit-igg-h-l-irdye-800cw-preadsorbed-ab216773'>ab216773</a>) at 1/10000 dilution

Predicted band size: 21 kDa

Observed band size: 22 kDa

false

Western blot - Anti-PDCD6/ALG-2 antibody [EP3259] (AB109181)
  • WB

Unknown

Western blot - Anti-PDCD6/ALG-2 antibody [EP3259] (AB109181)

All lanes:

Western blot - Anti-PDCD6/ALG-2 antibody [EP3259] (ab109181) at 1/1000 dilution

Lane 1:

Jurkat cell lysate at 10 µg

Lane 2:

HeLa cell lysate at 10 µg

Lane 3:

293T cell lysate at 10 µg

Predicted band size: 21 kDa

Observed band size: 22 kDa

false

不同偶联物与剂型 (1)

  • Carrier free

    Anti-PDCD6/ALG-2 antibody [EP3259] - BSA and Azide free

关键信息

宿主种属

Rabbit

克隆

Monoclonal

克隆号

EP3259

亚型

IgG

不含载体蛋白

No

反应种属

Human

应用

WB, IHC-P

applications

免疫原

The exact immunogen used to generate this antibody is proprietary information.

反应性数据

{ "title": "Reactivity Data", "filters": { "stats": ["", "Species", "Dilution Info", "Notes"], "tabs": { "all-applications": {"fullname" : "All Applications", "shortname": "All Applications"}, "IHCP" : {"fullname" : "Immunohistochemistry (Formalin/PFA-fixed paraffin-embedded sections)", "shortname":"IHC-P"}, "ICCIF" : {"fullname" : "Immunocytochemistry/ Immunofluorescence", "shortname":"ICC/IF"}, "IP" : {"fullname" : "Immunoprecipitation", "shortname":"IP"}, "FlowCyt" : {"fullname" : "Flow Cytometry", "shortname":"Flow Cyt"}, "WB" : {"fullname" : "Western blot", "shortname":"WB"} }, "product-promise": { "all": "all", "testedAndGuaranteed": "tested", "guaranteed": "expected", "predicted": "predicted", "notRecommended": "not-recommended" } }, "values": { "Human": { "IHCP-species-checked": "testedAndGuaranteed", "IHCP-species-dilution-info": "1/100 - 1/250", "IHCP-species-notes": "<p></p>", "ICCIF-species-checked": "notRecommended", "ICCIF-species-dilution-info": "", "ICCIF-species-notes": "<p></p>", "IP-species-checked": "notRecommended", "IP-species-dilution-info": "", "IP-species-notes": "<p></p>", "FlowCyt-species-checked": "notRecommended", "FlowCyt-species-dilution-info": "", "FlowCyt-species-notes": "<p></p>", "WB-species-checked": "testedAndGuaranteed", "WB-species-dilution-info": "1/1000 - 1/2000", "WB-species-notes": "<p></p>" }, "Mouse": { "IHCP-species-checked": "predicted", "IHCP-species-dilution-info": "", "IHCP-species-notes": "", "ICCIF-species-checked": "notRecommended", "ICCIF-species-dilution-info": "", "ICCIF-species-notes": "", "IP-species-checked": "notRecommended", "IP-species-dilution-info": "", "IP-species-notes": "", "FlowCyt-species-checked": "notRecommended", "FlowCyt-species-dilution-info": "", "FlowCyt-species-notes": "", "WB-species-checked": "guaranteed", "WB-species-dilution-info": "", "WB-species-notes": "<p></p>" }, "Rat": { "IHCP-species-checked": "predicted", "IHCP-species-dilution-info": "", "IHCP-species-notes": "", "ICCIF-species-checked": "notRecommended", "ICCIF-species-dilution-info": "", "ICCIF-species-notes": "", "IP-species-checked": "notRecommended", "IP-species-dilution-info": "", "IP-species-notes": "", "FlowCyt-species-checked": "notRecommended", "FlowCyt-species-dilution-info": "", "FlowCyt-species-notes": "", "WB-species-checked": "guaranteed", "WB-species-dilution-info": "", "WB-species-notes": "<p></p>" } } }

产品详情

Patented technology
Our RabMAb® technology is a patented hybridoma-based technology for making rabbit monoclonal antibodies. For details on our patents, please refer to RabMAb® patents.

What are the advantages of a recombinant monoclonal antibody?
This product is a recombinant monoclonal antibody, which offers several advantages including:

  • - High batch-to-batch consistency and reproducibility
  • - Improved sensitivity and specificity
  • - Long-term security of supply
  • - Animal-free batch production

For more information, read more on recombinant antibodies.

性能和储存信息

形式
Liquid
纯化工艺
Affinity purification Protein A
存储溶液
pH: 7.2 - 7.4 Preservative: 0.01% Sodium azide Constituents: PBS, 50% Tissue culture supernatant, 40% Glycerol (glycerin, glycerine), 0.05% BSA
运输条件
Blue Ice
推荐的短期储存条件
+4°C
推荐的长期储存条件
-20°C
储存信息
Stable for 12 months at -20°C

补充信息

This supplementary information is collated from multiple sources and compiled automatically.

PDCD6 also known as ALG-2 is a protein with a molecular mass of about 22 kDa. It is expressed widely in human tissues with high levels observed in the thymus and spleen. The protein acts as a calcium-binding molecule interacting with other proteins in a calcium-dependent manner. PDCD6 has alternate names including ALG-15 and ALG-30 referencing its expression in certain cell types and conditions. The protein's role as a mediator in apoptotic cell death is well-known making it of significant interest to those studying cell death mechanisms.
Biological function summary

The function of PDCD6 involves its participation in calcium signaling pathways. This protein is part of a larger complex involving T-cell receptor signaling and also influences the Fas ligand-mediated apoptosis pathway. PDCD6 achieves its regulatory roles through interactions with various proteins such as MA3Ps. As a calcium-binding protein ALG-2 modulates calcium homeostasis which is critical for maintaining cellular functions including cell proliferation differentiation and programmed cell death.

Pathways

The involvement of PDCD6 in apoptosis is significant. It works in coordination with pathway proteins such as caspases and fas-associated proteins influencing cell death signaling. In addition PDCD6's ability to bind calcium allows it to fit into the broader intracellular signaling network placing it in connection with MAPK pathways essential for cellular responses to stress and growth signals. ALG protein interactions underline PDCD6's influence across apoptosis and signaling pathways.

PDCD6 links to pathological states like cancer and neurodegenerative disorders. Increased expression or altered function can impact apoptosis leading to uncontrolled cell growth in cancers or heightened cell death in neurodegenerative conditions. Additionally PDCD6 shows associations with proteins like anti-ALG and ALG protein variants influencing pathological processes in lymphomas and Alzheimer's disease. Understanding PDCD6's role gives insights into therapeutic strategies targeting calcium-dependent signaling and apoptotic regulation.

产品实验方案

For this product, it's our understanding that no specific protocols are required. You can visit:

靶点信息

Calcium sensor that plays a key role in processes such as endoplasmic reticulum (ER)-Golgi vesicular transport, endosomal biogenesis or membrane repair. Acts as an adapter that bridges unrelated proteins or stabilizes weak protein-protein complexes in response to calcium : calcium-binding triggers exposure of apolar surface, promoting interaction with different sets of proteins thanks to 3 different hydrophobic pockets, leading to translocation to membranes (PubMed : 20691033, PubMed : 25667979). Involved in ER-Golgi transport by promoting the association between PDCD6IP and TSG101, thereby bridging together the ESCRT-III and ESCRT-I complexes (PubMed : 19520058). Together with PEF1, acts as a calcium-dependent adapter for the BCR(KLHL12) complex, a complex involved in ER-Golgi transport by regulating the size of COPII coats (PubMed : 27716508). In response to cytosolic calcium increase, the heterodimer formed with PEF1 interacts with, and bridges together the BCR(KLHL12) complex and SEC31 (SEC31A or SEC31B), promoting monoubiquitination of SEC31 and subsequent collagen export, which is required for neural crest specification (PubMed : 27716508). Involved in the regulation of the distribution and function of MCOLN1 in the endosomal pathway (PubMed : 19864416). Promotes localization and polymerization of TFG at endoplasmic reticulum exit site (PubMed : 27813252). Required for T-cell receptor-, Fas-, and glucocorticoid-induced apoptosis (By similarity). May mediate Ca(2+)-regulated signals along the death pathway : interaction with DAPK1 can accelerate apoptotic cell death by increasing caspase-3 activity (PubMed : 16132846). Its role in apoptosis may however be indirect, as suggested by knockout experiments (By similarity). May inhibit KDR/VEGFR2-dependent angiogenesis; the function involves inhibition of VEGF-induced phosphorylation of the Akt signaling pathway (PubMed : 21893193). In case of infection by HIV-1 virus, indirectly inhibits HIV-1 production by affecting viral Gag expression and distribution (PubMed : 27784779).. Isoform 2. Has a lower Ca(2+) affinity than isoform 1 (By similarity).
See full target information PDCD6

文献 (4)

Recent publications for all applications. Explore the full list and refine your search

Journal of immunology research 2022:9329494 PubMed36132985

2022

Electroacupuncture-Regulated miR-34a-3p/PDCD6 Axis Promotes Post-Spinal Cord Injury Recovery in Both and Settings.

Applications

Unspecified application

Species

Unspecified reactive species

Lili Ma,Lizhong Ma,Yu Yang,Ting Chen,Limin Wang,Qilong Deng

International journal of molecular medicine 46:1661-1670 PubMed32901835

2020

Expression level of NEAT1 differentiates benign and malignant thyroid nodules by regulating NEAT1/miR‑9/PTEN and NEAT1/miR‑124/PDCD6 signalling.

Applications

Unspecified application

Species

Unspecified reactive species

Li Zhao,Na Zhou,Ping Zhao

Oncology letters 15:984-990 PubMed29387242

2018

MicroRNA-124-3p directly targets PDCD6 to inhibit metastasis in breast cancer.

Applications

Unspecified application

Species

Unspecified reactive species

Ling Zhang,Xiangming Chen,Baoli Liu,Junqing Han

Molecular biology of the cell 28:2106-2122 PubMed28539405

2017

Tumor susceptibility gene 101 regulates predisposition to apoptosis via ESCRT machinery accessory proteins.

Applications

Unspecified application

Species

Unspecified reactive species

Zenia Kaul,Oishee Chakrabarti
View all publications

Abcam Product Promise

我们致力于为您的研究提供高质量的试剂,为您科研的每一步提供支持。若我们的产品未能达到预期性能,我们向您提供 Abcam Product Promise 保障。
详情请参阅我们的条款与条件。

Please note: All products are 'FOR RESEARCH USE ONLY. NOT FOR USE IN DIAGNOSTIC OR THERAPEUTIC PROCEDURES'.

For licensing inquiries, please contact partnerships@abcam.com