JavaScript is disabled in your browser. Please enable JavaScript to view this website.
AB216352

重组Anti-PD1抗体[NAT105] -兔IgG (Chimeric)

Anti-PD1 antibody [NAT105] - Rabbit IgG (Chimeric)

Be the first to review this product! Submit a review

|

(4 Publications)

Rabbit Recombinant Monoclonal PD1 antibody. Suitable for IHC-P, IP, WB, Flow Cyt (Intra) and reacts with Human samples. Cited in 4 publications.

查看别名

CD279, PD1, PDCD1, Programmed cell death protein 1, Protein PD-1, hPD-1

6 Images
Immunohistochemistry (Formalin/PFA-fixed paraffin-embedded sections) - Anti-PD1 antibody [NAT105] - Rabbit IgG (Chimeric) (AB216352)
  • IHC-P

Supplier Data

Immunohistochemistry (Formalin/PFA-fixed paraffin-embedded sections) - Anti-PD1 antibody [NAT105] - Rabbit IgG (Chimeric) (AB216352)

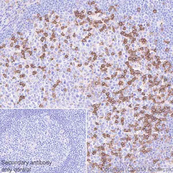
Immunohistochemical analysis of paraffin-embedded human tonsil tissue labeling PD1 with ab216352 at 1/50 dilution, followed by Rabbit specific IHC polymer detection kit HRP/DAB (ab209101) ready to use. Positive staining on T cells of human tonsil germinal center (PMID : 20087161; PMID : 17640856) is observed. Counter stained with hematoxylin.

Secondary antibody only control : Used PBS instead of primary antibody, secondary antibody is Rabbit specific IHC polymer detection kit HRP/DAB (ab209101) ready to use.

Perform antigen retrieval using Universal HIER antigen retrieval reagents (10X) (ab208572).

Immunohistochemistry (Formalin/PFA-fixed paraffin-embedded sections) - Anti-PD1 antibody [NAT105] - Rabbit IgG (Chimeric) (AB216352)
  • IHC-P

Supplier Data

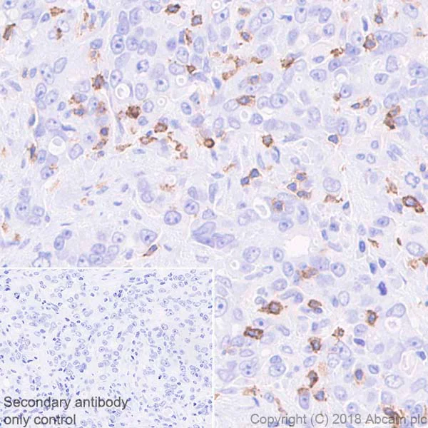
Immunohistochemistry (Formalin/PFA-fixed paraffin-embedded sections) - Anti-PD1 antibody [NAT105] - Rabbit IgG (Chimeric) (AB216352)

Immunohistochemical analysis of paraffin-embedded human bladder carcinoma tissue labeling PD1 with ab216352 at 1/50 dilution, followed by Rabbit specific IHC polymer detection kit HRP/DAB (ab209101) ready to use. Positive staining on lymphocytes in human bladder carcinoma (PMID : 20087161, PMID : 17640856) is observed. Counter stained with hematoxylin.

Secondary antibody only control : Used PBS instead of primary antibody, secondary antibody is Rabbit specific IHC polymer detection kit HRP/DAB (ab209101) Ready to use.

Perform antigen retrieval using Universal HIER antigen retrieval reagents (10X) (ab208572).

Flow Cytometry (Intracellular) - Anti-PD1 antibody [NAT105] - Rabbit IgG (Chimeric) (AB216352)
  • Flow Cyt (Intra)

Supplier Data

Flow Cytometry (Intracellular) - Anti-PD1 antibody [NAT105] - Rabbit IgG (Chimeric) (AB216352)

Intracellular flow cytometric analysis of MOLT-4 (humanlymphoblastic leukemia cell line) cell line treated with 500 ng/ml Ionomycin and 10 ng/ml Phorbol-12-myristate-13-acetate (PMA) for 24 hours (Red) or Untreated control (Green) labeling PD1 with ab216352 at 1/600 dilution compared with a Rabbit IgG, monoclonal [EPR25A] - Isotype Control (ab172730) (black) and an unlabeled control (cells without incubation with primary antibody and secondary antibody) (blue). Goat Anti-Rabbit IgG H&L (Alexa Fluor® 488) (ab150077) at 1/2000 dilution was used as the secondary antibody.

Gated on viable cells.

Immunoprecipitation - Anti-PD1 antibody [NAT105] - Rabbit IgG (Chimeric) (AB216352)
  • IP

Supplier Data

Immunoprecipitation - Anti-PD1 antibody [NAT105] - Rabbit IgG (Chimeric) (AB216352)

PD1 was immunoprecipitated from 0.35 mg of MOLT-4 (human lymphoblastic leukemia cell line) treated with 500 ng/ml Ionomycin and 10 ng/ml Phorbol-12-myristate-13-acetate (PMA) for 24 hours whole cell lysate with ab216352 at 1/30 dilution. Western blot was performed from the immunoprecipitate using ab216352 at 1/500 dilution. VeriBlot for IP Detection Reagent (HRP) (ab131366), was used for detection at 1/1,000 dilution

Lane 1 : MOLT-4 treated with 500 ng/ml Ionomycin and 10 ng/ml Phorbol-12-myristate-13-acetate (PMA) for 24 hours whole cell lysate 10 μg (Input).

Lane 2 : ab216352 IP in MOLT-4 treated with 500 ng/ml Ionomycin and 10 ng/ml Phorbol-12-myristate-13-acetate (PMA) for 24 hours whole cell lysate.

Lane 3 : Rabbit monoclonal IgG (ab172730) instead of ab216352 in MOLT-4 treated with 500 ng/ml Ionomycin and 10 ng/ml Phorbol-12-myristate-13-acetate (PMA) for 24 hours whole cell lysate.

Blocking and dilution buffer and concentration : 5% NFDM/TBST.

Exposure time : 40 seconds.

The expression profile observed is consistent with what has been described in the literature (PMID : 26318293).

All lanes:

Immunoprecipitation - Anti-PD1 antibody [NAT105] - Rabbit IgG (Chimeric) (ab216352)

Predicted band size: 32 kDa

false

Western blot - Anti-PD1 antibody [NAT105] - Rabbit IgG (Chimeric) (AB216352)
  • WB

Supplier Data

Western blot - Anti-PD1 antibody [NAT105] - Rabbit IgG (Chimeric) (AB216352)

Blocking/Dilution buffer : 5% NFDM/TBST.

The expression profile observed is consistent with what has been described in the literature (PMID : 26318293).

All lanes:

Western blot - Anti-PD1 antibody [NAT105] - Rabbit IgG (Chimeric) (ab216352) at 1/1000 dilution

Lane 1:

Untreated MOLT-4 (human lymphoblastic leukemia cell line) whole cell lysate at 10 µg

Lane 2:

MOLT-4 treated with 500 ng/ml Ionomycin and 10 ng/ml Phorbol-12-myristate-13-acetate (PMA) for 24 hours, whole cell lysate at 10 µg

Secondary

All lanes:

Western blot - Goat Anti-Rabbit IgG H&L (HRP) (<a href='/products/secondary-antibodies/goat-rabbit-igg-h-l-hrp-ab97051'>ab97051</a>) at 1/20000 dilution

Predicted band size: 32 kDa

Observed band size: 50-55 kDa

true

Exposure time: 81s

Western blot - Anti-PD1 antibody [NAT105] - Rabbit IgG (Chimeric) (AB216352)
  • WB

Supplier Data

Western blot - Anti-PD1 antibody [NAT105] - Rabbit IgG (Chimeric) (AB216352)

Blocking/Dilution buffer : 5% NFDM/TBST.

The expression profile observed is consistent with what has been described in the literature (PMID : 26318293).

All lanes:

Western blot - Anti-PD1 antibody [NAT105] - Rabbit IgG (Chimeric) (ab216352) at 1/1000 dilution

All lanes:

Human tonsil lysate at 10 µg

Secondary

All lanes:

Western blot - Goat Anti-Rabbit IgG H&L (HRP) (<a href='/products/secondary-antibodies/goat-rabbit-igg-h-l-hrp-ab97051'>ab97051</a>) at 1/20000 dilution

Predicted band size: 32 kDa

Observed band size: 50-55 kDa

true

Exposure time: 3min

不同偶联物与剂型 (1)

  • Carrier free

    Anti-PD1 antibody [NAT105] - Rabbit IgG (Chimeric) - BSA and Azide free

关键信息

宿主种属

Rabbit

克隆

Monoclonal

克隆号

NAT105

亚型

IgG

不含载体蛋白

No

反应种属

Human

应用

Flow Cyt (Intra), IP, IHC-P, WB

applications

免疫原

The exact immunogen used to generate this antibody is proprietary information.

反应性数据

{ "title": "Reactivity Data", "filters": { "stats": ["", "Species", "Dilution Info", "Notes"], "tabs": { "all-applications": {"fullname" : "All Applications", "shortname": "All Applications"}, "IHCP" : {"fullname" : "Immunohistochemistry (Formalin/PFA-fixed paraffin-embedded sections)", "shortname":"IHC-P"}, "IP" : {"fullname" : "Immunoprecipitation", "shortname":"IP"}, "WB" : {"fullname" : "Western blot", "shortname":"WB"}, "FlowCytIntra" : {"fullname" : "Flow Cytometry (Intracellular)", "shortname":"Flow Cyt (Intra)"} }, "product-promise": { "all": "all", "testedAndGuaranteed": "tested", "guaranteed": "expected", "predicted": "predicted", "notRecommended": "not-recommended" } }, "values": { "Human": { "IHCP-species-checked": "testedAndGuaranteed", "IHCP-species-dilution-info": "1/50", "IHCP-species-notes": "<p></p>", "IP-species-checked": "testedAndGuaranteed", "IP-species-dilution-info": "1/30", "IP-species-notes": "<p></p>", "WB-species-checked": "testedAndGuaranteed", "WB-species-dilution-info": "1/1000", "WB-species-notes": "<p></p>", "FlowCytIntra-species-checked": "testedAndGuaranteed", "FlowCytIntra-species-dilution-info": "1/600", "FlowCytIntra-species-notes": "<p></p>" } } }

产品详情

This rabbit monoclonal chimeric antibody has been engineered from the mouse monoclonal parent antibody Anti-PD1 antibody [NAT105] (ab52587). By necessity, some mouse sequence is retained as part of the variable domain.

We recommend using an Fc-directed, preadsorbed secondary antibody if multiplexing with mouse monoclonals. For example, ab150097 (AF488), ab150100 (AF594), ab150099 (AF647) or ab98467 (HRP).

性能和储存信息

形式
Liquid
纯化工艺
Affinity purification Protein A
存储溶液
pH: 7.2 - 7.4 Preservative: 0.01% Sodium azide Constituents: PBS, 40% Glycerol (glycerin, glycerine), 0.05% BSA
运输条件
Blue Ice
推荐的短期储存时间
1-2 weeks
推荐的短期储存条件
+4°C
推荐的长期储存条件
-20°C
分装信息
Upon delivery aliquot
储存信息
Avoid freeze / thaw cycle

补充信息

This supplementary information is collated from multiple sources and compiled automatically.

PD1 also known as Programmed Cell Death Protein 1 or PDCD1 is a transmembrane protein that plays a critical role in regulating immune responses. It has a mass of approximately 55 kDa. PD1 is expressed on the surface of T cells B cells and some myeloid cells. PD1’s expression increases upon activation of these immune cells assisting in maintaining peripheral tolerance. Researchers often use PD1 mouse models and chimeric antibodies to explore the function of PD1 for experimental purposes. Antibodies such as anti-PD1 such as EH12.2H7 help in blocking PD1 interaction to study its role further.
Biological function summary

PD1 serves as an inhibitory receptor acting as a checkpoint in the immune system. It becomes part of an immune-suppressive complex when it binds with its ligands PD-L1 or PD-L2 which are expressed on various cell types including some tumor cells. This interaction suppresses the proliferation of T cells and cytokine production contributing to immune homeostasis. By controlling T cell activity PD1 limits autoimmunity but can also reduce the immune system's capability to attack cancer cells.

Pathways

PD1 functions in the immune checkpoint pathway a critical regulatory circuit in immune regulation. The engagement of PD1 with its ligands initiates a cascade that inhibits the function and proliferation of T cells through downstream SHP-2 phosphatase activity. This pathway frequently involves other regulatory proteins like CTLA-4 and is an important mechanism by which the body modulates immune responses. Related pathways often intersect with those involving T cell receptor signaling and contribute to the overall modulation of immune activity.

PD1 has a significant role in cancer and autoimmune disorders. PD1 expression can allow tumors to evade immune surveillance making PD1 a target for cancer therapies such as anti-PD1 antibodies which aim to block PD1 and restore T cell activity. The interaction of PD1 with cancer-related proteins like PD-L1 facilitates tumor immune evasion. In autoimmune disorders PD1’s regulation of immune balance can become dysregulated leading to persistent immune activation and tissue damage. Understanding PD1 and its interaction with proteins such as PD-L1 helps in developing therapeutic strategies for both cancer and autoimmune conditions.

产品实验方案

For this product, it's our understanding that no specific protocols are required. You can visit:

靶点信息

The protein expressed by the gene PDCD1 functions as an inhibitory receptor on antigen-activated T-cells, playing a critical role in the induction and maintenance of immune tolerance to self. It delivers inhibitory signals by binding to the ligands CD274/PDCD1L1 and CD273/PDCD1LG2. Tumors exploit the PDCD1-mediated inhibitory pathway to attenuate anti-tumor immunity, enabling tumor survival by evading immune system destruction. The interaction with CD274/PDCD1L1 inhibits the effector function of cytotoxic T lymphocytes (CTLs). Blocking the PDCD1-mediated pathway can reverse the exhausted T-cell phenotype and normalize the anti-tumor response, providing a rationale for cancer immunotherapy. This supplementary information is collated from multiple sources and compiled automatically.
See full target information PDCD1

文献 (4)

Recent publications for all applications. Explore the full list and refine your search

Cancer gene therapy : PubMed40975711

2025

HMGB1 downregulates DDX3 to activate the MAPK pathway, promoting the progression of colorectal cancer.

Applications

Unspecified application

Species

Unspecified reactive species

Lin Ma,Meng Xu,Shaoxian Xu,Xueyan Guo,Wei Zong,Xi Zhao,Zi Yang,Guisheng Liu,Lin Shen

Cell death & disease 15:931 PubMed39719443

2024

Mechanistic insights into SIRT7 and EZH2 regulation of cisplatin resistance in bladder cancer cells.

Applications

Unspecified application

Species

Unspecified reactive species

Yudong Cao,Shuo Wang,Jinchao Ma,Mengping Long,Xiuli Ma,Xiao Yang,Yongpeng Ji,Xingxing Tang,Jia Liu,Chen Lin,Yong Yang,Peng Du

The EMBO journal 43:4248-4273 PubMed39152265

2024

EPDR1 promotes PD-L1 expression and tumor immune evasion by inhibiting TRIM21-dependent ubiquitylation of IkappaB kinase-β.

Applications

Unspecified application

Species

Unspecified reactive species

Xiaoyu Qian,Jin Cai,Yi Zhang,Shengqi Shen,Mingjie Wang,Shengzhi Liu,Xiang Meng,Junjiao Zhang,Zijian Ye,Shiqiao Qiu,Xiuying Zhong,Ping Gao

Nature communications 15:2595 PubMed38519500

2024

Single cell deciphering of progression trajectories of the tumor ecosystem in head and neck cancer.

Applications

Unspecified application

Species

Unspecified reactive species

Z L Liu,X Y Meng,R J Bao,M Y Shen,J J Sun,W D Chen,F Liu,Y He
View all publications

Abcam Product Promise

我们致力于为您的研究提供高质量的试剂,为您科研的每一步提供支持。若我们的产品未能达到预期性能,我们向您提供 Abcam Product Promise 保障。
详情请参阅我们的条款与条件。

Please note: All products are 'FOR RESEARCH USE ONLY. NOT FOR USE IN DIAGNOSTIC OR THERAPEUTIC PROCEDURES'.

For licensing inquiries, please contact partnerships@abcam.com