JavaScript is disabled in your browser. Please enable JavaScript to view this website.
AB205921

Anti-PD-L1 抗体 [28-8]

Anti-PD-L1 antibody [28-8]

  • BOND RX™ Validated
  • 20ul selling size
  • Recombinant
  • KO Validated
  • Advanced Validation
  • RabMAb
  • 了解详情

4

(15 Reviews)

|

(630 Publications)

Anti-PD-L1 antibody [28-8] (ab205921) is a rabbit monoclonal antibody detecting PD-L1 in Western Blot, Flow Cytometry, IHC-P, IHC-Fr, ICC/IF, mIHC. Suitable for Human.

- KO validated for confirmed specificity
- Multiplex IHC validated on the Leica BOND® MAX using Opal reagents
- Biophysical QC for unrivalled batch-batch consistency
- Over 470 publications

查看别名

CD274, B7H1, PDCD1L1, PDCD1LG1, PDL1, Programmed cell death 1 ligand 1, PD-L1, PDCD1 ligand 1, Programmed death ligand 1, hPD-L1, B7 homolog 1, B7-H1

25 Images
Immunohistochemistry (Formalin/PFA-fixed paraffin-embedded sections) - Anti-PD-L1 antibody [28-8] (AB205921)
  • IHC-P

Supplier Data

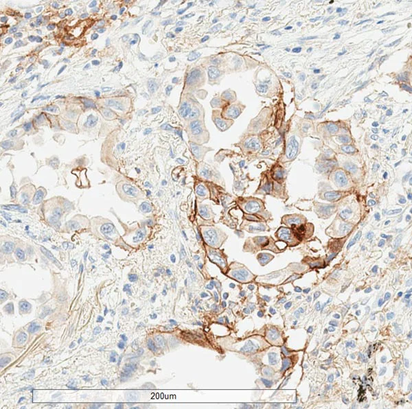
Immunohistochemistry (Formalin/PFA-fixed paraffin-embedded sections) - Anti-PD-L1 antibody [28-8] (AB205921)

Immunohistochemistry (Formalin/PFA-fixed paraffin-embedded sections) analysis of human non-small cell lung cancer tissue labelling PD-L1 with ab205921. Tumor cells and immuno cells localized within the stroma show PD-LA plasma membrane staining.

For antigen retrival buffer, Universal HIER antigen retrieval reagent (ab208572) was used.
For IHC detection kit, Rabbit specific IHC polymer detection kit HRP/DAB (ab209101) is recommended.

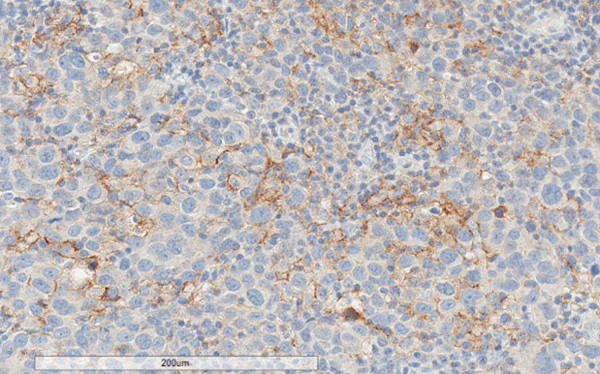
Multiplex immunohistochemistry - Anti-PD-L1 antibody [28-8] (AB205921)
  • mIHC

Lab

Multiplex immunohistochemistry - Anti-PD-L1 antibody [28-8] (AB205921)

Multiplex immunohistochemistry analysis of formalin/PFA-fixed paraffin-embedded Human tonsil tissue staining PD-L1 with ab205921 at a 1 : 500 (2.19 ug/ml) dilution; PD1 with ab237728 at 1 : 2000 (0.525 ug/ml) dilution and CD68 with ab213363 at 1 : 500 (1.26 ug/ml) dilution followed by a ready to use secondary antibody Opal Polymer HRP Ms + Rb.

Panel A : merged staining of anti-CD68 (magenta; Opal690), anti-PD-L1 (green; Opal520) and anti-PD1 (red; Opal570) on human tonsil.
Panel B : anti-PD-L1 stained on cells involved in T cell inhibition.
Panel C : anti-PD1 stained on antigen-stimulated T cells.
Panel D : anti-CD68 stained on macrophages.

The section was incubated in three rounds of staining : in the order of ab213363 and ab205921 for 30 mins, then ab237728 for 10 mins at room temperature. Each round was followed by a separate fluorescent tyramide signal amplification system.

The immunostaining was performed on a Leica Biosystems BOND® RX instrument with an Opal 4-color kit. Image acquisition was performed with Leica SP8 confocal microscope.

Heat mediated antigen retrieval with Tris-EDTA buffer (pH 9.0, epitope retrieval solution2) for 20 mins

Immunohistochemistry (Formalin/PFA-fixed paraffin-embedded sections) - Anti-PD-L1 antibody [28-8] (AB205921)
  • IHC-P

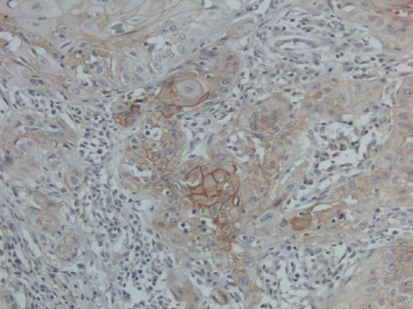
Supplier Data

Immunohistochemistry (Formalin/PFA-fixed paraffin-embedded sections) - Anti-PD-L1 antibody [28-8] (AB205921)

Immunohistochemical analysis of formalin-fixed, paraffin-embedded Human head and neck squamous cell carcinoma tissue labeling PD-L1 with ab205921 at 2 μg/ml. Counterstained with Hematoxylin.

For antigen retrival buffer, Universal HIER antigen retrieval reagent (ab208572) was used.
For IHC detection kit, Rabbit specific IHC polymer detection kit HRP/DAB (ab209101) is recommended.

Flow Cytometry - Anti-PD-L1 antibody [28-8] (AB205921)
  • Flow Cyt

Collaborator

Flow Cytometry - Anti-PD-L1 antibody [28-8] (AB205921)

ab205921 specificity testing by Flow Cytometry (KO testing) : Loss of detection on KO cells.Strong detection with anti-PD-L1 (ab205921 clone 28-8) TALEN constructs targeting exon4 of human PD-L1 transcript variant 1 (NM_014143.3) and complete knock out (K.O) confirmed by deep sequencing in clone L2-14. Cell surface staining is almost completely eliminated in the L2987 L2-14 KO cell line. For recommended Flow Cytometry (Flow Cyt) protocol please refer to the protocol book in the protocol section. Alexa Fluor® 488 (ab209959) and Alexa Fluor® 647 (ab209960) conjugated versions are available for this clone.

Immunohistochemistry (Formalin/PFA-fixed paraffin-embedded sections) - Anti-PD-L1 antibody [28-8] (AB205921)
  • IHC-P

Supplier Data

Immunohistochemistry (Formalin/PFA-fixed paraffin-embedded sections) - Anti-PD-L1 antibody [28-8] (AB205921)

Immunohistochemistry (Formalin/PFA-fixed paraffin-embedded sections) analysis of human melanoma tissue labelling PD-L1 with ab205921. Tumor cells show weak and partial postive PD-L1 expresseion in the plasma membrane. PD-L1 positive tumor associated immunoe cells are also stained.

For antigen retrival buffer Universal HIER antigen retrieval reagent (ab208572) was used.
For IHC detection kit Rabbit specific IHC polymer detection kit HRP/DAB (ab209101) is recommended.

Immunohistochemistry (Formalin/PFA-fixed paraffin-embedded sections) - Anti-PD-L1 antibody [28-8] (AB205921)
  • IHC-P

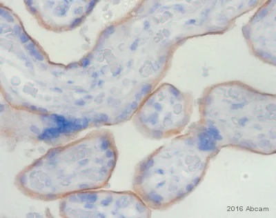
Supplier Data

Immunohistochemistry (Formalin/PFA-fixed paraffin-embedded sections) - Anti-PD-L1 antibody [28-8] (AB205921)

Paraformaldehyde-fixed paraffin-embedded human placenta tissue stained for PD-L1 using ab205921 at 1/100 dilution in immunohistochemical analysis.

Immunohistochemistry (Frozen sections) - Anti-PD-L1 antibody [28-8] (AB205921)
  • IHC-Fr

Lab

Immunohistochemistry (Frozen sections) - Anti-PD-L1 antibody [28-8] (AB205921)

IHC image of PD-L1 staining in a section of frozen normal human tonsil* performed on a Leica BOND™ system using the standard protocol. The section was fixed in 10% paraformaldehyde (10 min) prior to staining. The section was incubated with ab205921 1ugml for 15 mins at room temperature and detected using an HRP conjugated compact polymer system. DAB was used as the chromogen. The section was then counterstained with haematoxylin and mounted with DPX. The inset secondary-only control image is taken from an identical assay without primary antibody.

For other IHC staining systems (automated and non-automated) customers should optimize variable parameters such as antigen retrieval conditions primary antibody concentration and antibody incubation times.

*Tissue obtained from the Human Research Tissue Bank supported by the NIHR Cambridge Biomedical Research Centre

Immunohistochemistry (Formalin/PFA-fixed paraffin-embedded sections) - Anti-PD-L1 antibody [28-8] (AB205921)
  • IHC-P

Collaborator

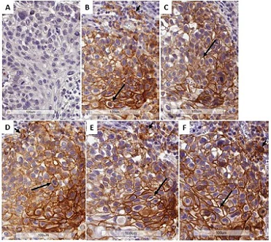
Immunohistochemistry (Formalin/PFA-fixed paraffin-embedded sections) - Anti-PD-L1 antibody [28-8] (AB205921)

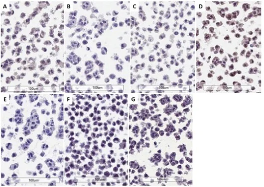
Immunohistochemical analysis of Human Lung NSCLC with ab205921 at 2 μg/ml.
High power view
A) Rabbit IgG 5 μg/mL. No staining
B) Anti PD-L1 2 μg/mL (ab205921 batches 1)
C) Anti PD-L1 2 μg/mL (ab205921 batches 3)
D) Anti PD-L1 2 μg/mL (ab205921 batches 4)
E) Anti PD-L1 2 μg/mL (ab205921 batches 5)
F) Anti PD-L1 2 μg/mL (ab205921 batches 6)

All batches/lots (13456) showed consistent results.

Note linear and complete or partial (arrows) PD-L1 staining of tumor cells. Tumor associated immune cells localized over the tumor margin exhibit positive plasma membrane staining (small arrows).

For recommended Immunohistochemistry (IHC) protocol please refer to the protocol book in the Product Protocol section.

Perform heat mediated antigen retrieval before commencing with IHC staining protocol.

Immunohistochemistry (Formalin/PFA-fixed paraffin-embedded sections) - Anti-PD-L1 antibody [28-8] (AB205921)
  • IHC-P

Unknown

Immunohistochemistry (Formalin/PFA-fixed paraffin-embedded sections) - Anti-PD-L1 antibody [28-8] (AB205921)

Anti-PD-L1 antibody [28-8] (ab205921)
Immunohistochemistry (Formalin/PFA-fixed paraffin-embedded sections) analysis of human tonsil tissue labelling PD-L1 with ab205921 at a dilution of 1 : 400. Heat mediated antigen retrieval was performed using AR9 antigen retrieval solution, and microwave treatment for 15 min at 20% power. Anti-Rabbit/Mouse HRP polymer (PerkinElmer Opal Polymer HRP Ms Plus Rb) was used as secondary antibody. Opal tyramide amplification was performed using Opal 520 fluorophore. Counterstained with DAPI stain. Image scanned with Vectra 3.0 and analyzed via Phenochart software.
This image was courteously provided by Dr. Houssein Abdul Sater, Georgia Cancer Center.

Immunohistochemistry (Formalin/PFA-fixed paraffin-embedded sections) - Anti-PD-L1 antibody [28-8] (AB205921)
  • IHC-P

Lab

Immunohistochemistry (Formalin/PFA-fixed paraffin-embedded sections) - Anti-PD-L1 antibody [28-8] (AB205921)

IHC image of ab205921 staining PD-L1 in human tonsil formalin fixed paraffin embedded tissue sections* performed on a Leica BOND RX (Polymer Refine kit). The section was pre-treated using heat mediated antigen retrieval with EDTA buffer (pH9 epitope retrieval solution 2) for 30 mins at 98°C. The section was then incubated with ab205921 5μg/ml working concentration for 60 mins at room temperature and detected using an HRP conjugated compact polymer system for 8 minutes at room temperature. DAB was used as the chromogen for 10 minutes at room temperature. The section was then counterstained with hematoxylin blued dehydrated cleared and mounted with DPX.

For other IHC staining systems (automated and non-automated) customers should optimize variable parameters such as antigen retrieval conditions primary antibody concentration and antibody incubation times.

*Tissue obtained from the Human Research Tissue Bank supported by the NIHR Cambridge Biomedical Research Centre

Immunocytochemistry/ Immunofluorescence - Anti-PD-L1 antibody [28-8] (AB205921)
  • ICC/IF

AbReview61595****

Immunocytochemistry/ Immunofluorescence - Anti-PD-L1 antibody [28-8] (AB205921)

Paraformaldehyde-fixed Triton X-100 permeabilized U-87 MG (human glioblastoma-astrocytoma epithelial cell line) cells stained for PD-L1 (red) using ab205921 at 1/200 dilution in ICC/IF followed by CF568 Donkey anti-rabbit IgG(H+L) secondary antibody at 1/500 dilution.

Alexa Fluor® 488 (ab209959) and Alexa Fluor® 647 (ab209960) conjugated versions are available for this clone.

This image is courtesy of an Abreview submitted by Dr. Dimitra Kalamida.

Immunohistochemistry (Formalin/PFA-fixed paraffin-embedded sections) - Anti-PD-L1 antibody [28-8] (AB205921)
  • IHC-P

Lab

Immunohistochemistry (Formalin/PFA-fixed paraffin-embedded sections) - Anti-PD-L1 antibody [28-8] (AB205921)

Tissue Microarrays stained for Anti-PD-L1 antibody [28-8] using ab205921 in immunohistochemical analysis. This table provides a detailed overview of positive (tick mark) and negative (cross mark) staining per sample type tested. The sections were pre-treated using Heat mediated antigen retrieval using ab208572 (Universal HIER antigen retrieval reagent). The sections were incubated with ab205921 at +4°C overnight. For IHC detection kit, Rabbit specific IHC polymer detection kit HRP/DAB (ab209101) is recommended.

Immunohistochemistry (Formalin/PFA-fixed paraffin-embedded sections) - Anti-PD-L1 antibody [28-8] (AB205921)
  • IHC-P

Collaborator

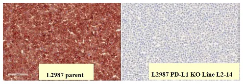
Immunohistochemistry (Formalin/PFA-fixed paraffin-embedded sections) - Anti-PD-L1 antibody [28-8] (AB205921)

ab205921 specificity testing by Immunohistochemistry (KO testing) : Loss of detection on KO Cells.

Strong IHC detection with anti-PD-L1 (ab205921, clone 28-8) is seen in human lung adenocarcinoma tumor cell line L2987. PDL1 gene was edited in L2987 cells using TALEN constructs targeting exon4 of human PD-L1, transcript variant 1 (NM_014143.3) and complete knock out (K.O) confirmed by deep sequencing in clone L2-14. IHC detection is completely eliminated in the L2987 L2-14 K.O. cell line.

For recommended Immunohistochemistry (IHC) protocol, please refer to the protocol book in the product protocol section.

Perform heat mediated antigen retrieval before commencing with IHC staining protocol.

Immunohistochemistry (Formalin/PFA-fixed paraffin-embedded sections) - Anti-PD-L1 antibody [28-8] (AB205921)
  • IHC-P

Lab

Immunohistochemistry (Formalin/PFA-fixed paraffin-embedded sections) - Anti-PD-L1 antibody [28-8] (AB205921)

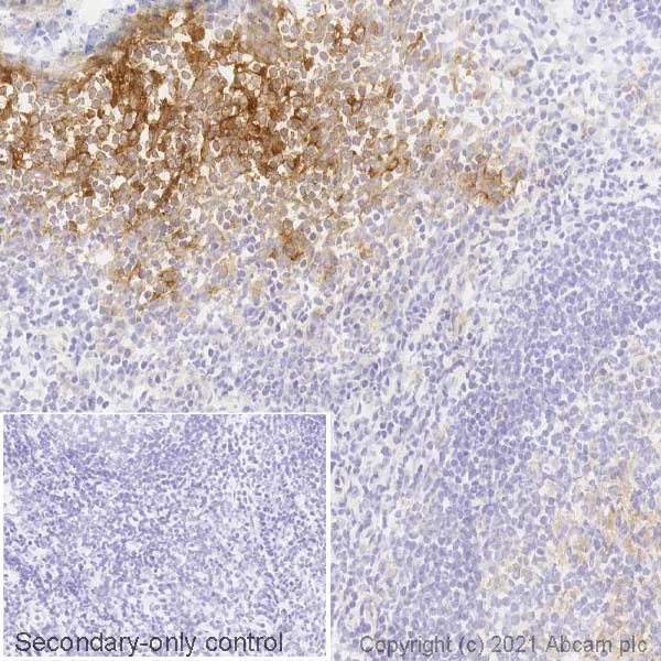
Immunohistochemical analysis of formalin-fixed paraffin-embedded human tonsil labelling PD-L1 with ab205921 at a dilution of 2µg/ml. The immunostaining was performed on a Ventana DISCOVERY ULTRA (Roche Tissue Diagnostics) instrument with an OptiView DAB IHC Detection Kit. Heat mediated antigen retrieval was conducted for 32min with ULTRA cell conditioning solution (CC1 pH8.5). ab205921 anti PD-L1 antibody was incubated at 37°C for 16min. Sections were counterstained is with Hematoxylin II. Image inset shows absence of staining in secondary antibody only control.

Immunohistochemistry (Formalin/PFA-fixed paraffin-embedded sections) - Anti-PD-L1 antibody [28-8] (AB205921)
  • IHC-P

Lab

Immunohistochemistry (Formalin/PFA-fixed paraffin-embedded sections) - Anti-PD-L1 antibody [28-8] (AB205921)

Immunohistochemical analysis of formalin-fixed paraffin-embedded human placenta labelling PD-L1 with ab205921 at a dilution of 2µg/ml. The immunostaining was performed on a Ventana DISCOVERY ULTRA (Roche Tissue Diagnostics) instrument with an OptiView DAB IHC Detection Kit. Heat mediated antigen retrieval was conducted for 32min with ULTRA cell conditioning solution (CC1 pH8.5). ab205921 anti PD-L1 antibody was incubated at 37°C for 16min. Sections were counterstained is with Hematoxylin II. Image inset shows absence of staining in secondary antibody only control.

Immunohistochemistry (Formalin/PFA-fixed paraffin-embedded sections) - Anti-PD-L1 antibody [28-8] (AB205921)
  • IHC-P

PubMed

Immunohistochemistry (Formalin/PFA-fixed paraffin-embedded sections) - Anti-PD-L1 antibody [28-8] (AB205921)

Formalin-fixed paraffin-embedded human lung cancer tissue stained for PD-L1 using ab205921.

Representative images of PD-L1 expression.
(A) <1.0% (B) 1.0–4.9% (C) 5.0–9.9% (D) 10.0–49.9% and (E) ≥50.0% PD-L1-positive cells (magnification 200×).

From image 3 of Nakamura et al.

Nakamura et al PLoS One. 2017; 12(10) : e0186192. Published online 2017 Oct 19. doi : 10.1371/journal.pone.0186192' PMID : 29049375

|Reproduced under Creative Commons Attribution License which permits unrestricted use distribution and reproduction in any medium provided the original author and source are credited.

Nakamura et al PLoS One. 2017; 12(10): e0186192. Published online 2017 Oct 19. doi: 10.1371/journal.pone.0186192

Immunohistochemistry (Formalin/PFA-fixed paraffin-embedded sections) - Anti-PD-L1 antibody [28-8] (AB205921)
  • IHC-P

Supplier Data

Immunohistochemistry (Formalin/PFA-fixed paraffin-embedded sections) - Anti-PD-L1 antibody [28-8] (AB205921)

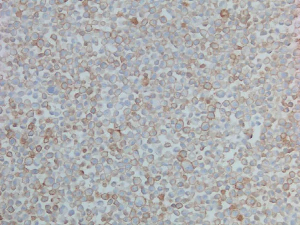
Immunohistochemical analysis of formalin-fixed paraffin-embedded L2987 (Human lung adenocarcinoma cell line with endogenous PD-L1 expression) cells labeling PD-L1 with ab205921 at 2 μg/ml. Counterstained with Hematoxylin.

For antigen retrival buffer Universal HIER antigen retrieval reagent (ab208572) was used.
For IHC detection kit Rabbit specific IHC polymer detection kit HRP/DAB (ab209101) is recommended.

Western blot - Anti-PD-L1 antibody [28-8] (AB205921)
  • WB

Lab

Western blot - Anti-PD-L1 antibody [28-8] (AB205921)

ab228415 works better than ab205921 in western blot testing. Blocking/Diluting buffer and concentration : 5% NFDM/TBST

All lanes:

Western blot - Anti-PD-L1 antibody [28-8] (ab205921) at 1/1000 dilution

Lane 1:

MDA-MB-231(human breast adenocarcinoma epithelial cell) whole cell lysate at 20 µg

Lane 2:

U-87 MG (human glioblastoma astrocytoma epithelial cell) whole cell lysate at 20 µg

Lane 3:

PC-3 (human prostate adenocarcinoma epithelial cell) whole cell lysate at 20 µg

Lane 4:

A375 (human malignant melanoma epithelial cell) whole cell lysate at 20 µg

Lane 5:

HeLa (human cervix adenocarcinoma epithelial cell) whole cell lysate at 20 µg

Lane 6:

A549 (human lung carcinoma epithelial cell) whole cell lysate at 20 µg

Secondary

All lanes:

Western blot - Goat Anti-Rabbit IgG H&L (HRP) (<a href='/products/secondary-antibodies/goat-rabbit-igg-h-l-hrp-ab97051'>ab97051</a>) at 1/20000 dilution

Observed band size: 40-60 kDa

false

Exposure time: 100s

Immunohistochemistry (Formalin/PFA-fixed paraffin-embedded sections) - Anti-PD-L1 antibody [28-8] (AB205921)
  • IHC-P

Collaborator

Immunohistochemistry (Formalin/PFA-fixed paraffin-embedded sections) - Anti-PD-L1 antibody [28-8] (AB205921)

Immunohistochemical analysis of CHO PD-L1 cells with ab205921 at 2 μg/ml.
High power view
A) Rabbit IgG, 5 μg/mL. No staining
B) Anti PD-L1, 2 μg/mL (ab205921 batches 1)
C) Anti PD-L1, 2 μg/mL (ab205921 batches 3)
D) Anti PD-L1, 2 μg/mL (ab205921 batches 4)
E) Anti PD-L1, 2 μg/mL (ab205921 batches 5)
F) Anti PD-L1, 2 μg/mL (ab205921 batches 6)
G) Anti PD-L1, 2 μg/mL (ab205921 batches 7)

All batches/lots (1,3,4,5,6,7) showed consistent results.

Note strong, moderate, and weak (red, yellow, and white arrows respectively) plasma membrane staining of CHO PD-L1 transfected cells

For recommended Immunohistochemistry (IHC) protocol, please refer to the protocol book in the Product Protocol section.

Perform heat mediated antigen retrieval before commencing with IHC staining protocol.

Immunohistochemistry (Formalin/PFA-fixed paraffin-embedded sections) - Anti-PD-L1 antibody [28-8] (AB205921)
  • IHC-P

Collaborator

Immunohistochemistry (Formalin/PFA-fixed paraffin-embedded sections) - Anti-PD-L1 antibody [28-8] (AB205921)

Immunohistochemical analysis of CHO Parental cells with ab205921 at 2 μg/ml.
High power view
A) Rabbit IgG 5 μg/mL. No staining
B) Anti PD-L1 2 μg/mL (ab205921 batches 1)
C) Anti PD-L1 2 μg/mL (ab205921 batches 3)
D) Anti PD-L1 2 μg/mL (ab205921 batches 4)
E) Anti PD-L1 2 μg/mL (ab205921 batches 5)
F) Anti PD-L1 2 μg/mL (ab205921 batches 6)
G) Anti PD-L1 2 μg/mL (ab205921 batches 7)

All batches/lots (134567) showed consistent results.

Note absence of PD-L1 expression in CHO parental cells.

For recommended Immunohistochemistry (IHC) protocol please refer to the protocol book in the Product Protocol section.

Perform heat mediated antigen retrieval before commencing with IHC staining protocol.

Immunohistochemistry (Formalin/PFA-fixed paraffin-embedded sections) - Anti-PD-L1 antibody [28-8] (AB205921)
  • IHC-P

Lab

Immunohistochemistry (Formalin/PFA-fixed paraffin-embedded sections) - Anti-PD-L1 antibody [28-8] (AB205921)

IHC image of ab205921 staining PD-L1 in PD-L1 Dynamic Range Analyte Control formalin fixed paraffin embedded cell lines (HistoCyte Laboratories), performed on a Leica BOND RX (Polymer Refine kit). The section was pre-treated using heat mediated antigen retrieval with EDTA buffer (pH9, epitope retrieval solution 2) for 30 mins at 98°C. The section was then incubated with ab205921, 5μg/ml working concentration, for 60 mins at room temperature and detected using an HRP conjugated compact polymer system for 8 minutes at room temperature. DAB was used as the chromogen for 10 minutes at room temperature. The section was then counterstained with hematoxylin, blued, dehydrated, cleared and mounted with DPX.

For other IHC staining systems (automated and non-automated) customers should optimize variable parameters such as antigen retrieval conditions, primary antibody concentration and antibody incubation times.

Immunocytochemistry/ Immunofluorescence - Anti-PD-L1 antibody [28-8] (AB205921)
  • ICC/IF

Unknown

Immunocytochemistry/ Immunofluorescence - Anti-PD-L1 antibody [28-8] (AB205921)

Immunocytochemistry analysis of CHO-PDL1 (PD-L1 stably expessed Chinese hamster ovary epithelial cell) labeling PD-L1 with purified ab205921 at 1/400 dilution. Cells were fixed with 4% Paraformaldehyde and permeabilised with 0.1% tritonX-100. Goat anti rabbit IgG (Alexa Fluor® 488 ab150077) at 1/1000 (2 μg/ml) was used as the secondary antibody. ab195889 Anti-alpha Tubulin antibody [DM1A] - Microtubule Marker (Alexa Fluor® 594) 1/200 (2.32 μg/ml) was used as counterstain. Nuclei were stained blue with DAPI.
Negative controls : Cells not transfected with PD-L1 and both the transfected and mock tranfected cells without the primary antibody.

Immunohistochemistry (Formalin/PFA-fixed paraffin-embedded sections) - Anti-PD-L1 antibody [28-8] (AB205921)
  • IHC-P

AbReview54457****

Immunohistochemistry (Formalin/PFA-fixed paraffin-embedded sections) - Anti-PD-L1 antibody [28-8] (AB205921)

Immunohistochemical staining of PD-L1 in formalin fixed, paraffin embedded human non-squamous non-small cell lung cancer (NSQ-NSCLC) using ab205921 at a dilution of 1/400, incubated for an hour at room temperature. Heat mediated antigen retrieval was carried out in low pH buffer and the sample was blocked with peroxidase blocking buffer for 3 minutes.

This image was courteously provided by Dr. Kai Schmitt from the Institute of Pathology, Saarbrücken-Rastpfuhl.

Western blot - Anti-PD-L1 antibody [28-8] (AB205921)
  • WB

Lab

Western blot - Anti-PD-L1 antibody [28-8] (AB205921)

Blocking/Diluting buffer and concentration : 5% NFDM/TBST. Expression of PD-L1 varied widely among the tumor cell lines.

All lanes:

Western blot - Anti-PD-L1 antibody [28-8] (ab205921) at 1/100 dilution

Lane 1:

H1975 (Human non-small cell lung cancer epithelial cell) whole cell lysate at 20 µg

Lane 2:

NCI-H1299 (Human lung carcinoma epithelial cell) whole cell lysate at 20 µg

Lane 3:

A549 (Human lung carcinoma epithelial cell) whole cell lysate at 20 µg

Lane 4:

MDA-MB-231 (Human breast adenocarcinoma epithelial cell) whole cell lysate at 20 µg

Lane 5:

MCF7 (Human breast adenocarcinoma epithelial cell) whole cell lysate at 20 µg

Lane 6:

SK-BR-3 (Human breast adenocarcinoma epithelial cell) whole cell lysate at 20 µg

Lane 7:

SW480 (Human colorectal adenocarcinoma epithelial cell) whole cell lysate at 20 µg

Lane 8:

HCT 116 (Human colorectal carcinoma epithelial cell) whole cell lysate at 20 µg

Lane 9:

PC-3 (Human prostate adenocarcinoma epithelial cell) whole cell lysate at 20 µg

Lane 10:

DU 145 (Human prostate carcinoma epithelial cell) whole cell lysate at 20 µg

Lane 11:

A375 (Human malignant melanoma epithelial cell) whole cell lysate at 20 µg

Lane 12:

MeWo (Human malignant melanoma fibroblast) whole cell lysate at 20 µg

Lane 13:

U-87 MG (Human glioblastoma-astrocytoma epithelial cell) whole cell lysate at 20 µg

Lane 14:

Huh7 (Human hepatocellular carcinoma epithelial cell) whole cell lysate at 20 µg

Lane 15:

HepG2 (Human hepatocellular carcinoma epithelial cell) whole cell lysate at 20 µg

Lane 16:

BXPC-3 (Human pancreas adenocarcinoma epithelial cell) whole cell lysate at 20 µg

Lane 17:

PANC-1 (Human pancreatic epithelioid carcinoma epithelial cell) whole cell lysate at 20 µg

Lane 18:

NIH:OVCAR-3 (Human ovary adenocarcinoma epithelial cell) whole cell lysate at 20 µg

Lane 19:

SK-OV-3 (Human ovarian cancer epithelial cell) whole cell lysate at 20 µg

Lane 20:

HeLa (Human cervix adenocarcinoma epithelial cell) whole cell lysate at 20 µg

Secondary

All lanes:

Western blot - Goat Anti-Rabbit IgG H&L (HRP) (<a href='/products/secondary-antibodies/goat-rabbit-igg-h-l-hrp-ab97051'>ab97051</a>) at 1/20000 dilution

Predicted band size: 33 kDa

Observed band size: 40-60 kDa

false

Exposure time: 3min

Western blot - Anti-PD-L1 antibody [28-8] (AB205921)
  • WB

Collaborator1883****

Western blot - Anti-PD-L1 antibody [28-8] (AB205921)

(A and B) Western blots of recombinant PD-L1 protein (Lane 1), cell lysates of CHO-PD-L1 (Lane 3), CHO (Lane 4), ES-2 (Lane 5) and Colo205 (Lane 6) cell lines. In B, anti-PD-L1 (ab205921, clone 28-8) was pre-incubated with purified recombinant PDL1 protein overnight at 4°C.

Blank/no sample (Lane2). Lane 2 is blank on purpose.

For recommended Western Blot (WB) protocol, please refer to the protocol book in the Support&downlods section

All lanes:

Western blot - Anti-PD-L1 antibody [28-8] (ab205921)

Predicted band size: 33 kDa

false

关键信息

宿主种属

Rabbit

克隆

Monoclonal

克隆号

28-8

亚型

IgG

不含载体蛋白

No

反应种属

Human

应用

IHC-Fr, WB, IHC-P, ICC/IF, Flow Cyt, mIHC

applications

免疫原

The exact immunogen used to generate this antibody is proprietary information.

反应性数据

{ "title": "Reactivity Data", "filters": { "stats": ["", "Species", "Dilution Info", "Notes"], "tabs": { "all-applications": {"fullname" : "All Applications", "shortname": "All Applications"}, "mIHC" : {"fullname" : "Multiplex immunohistochemistry", "shortname":"mIHC"}, "IHCP" : {"fullname" : "Immunohistochemistry (Formalin/PFA-fixed paraffin-embedded sections)", "shortname":"IHC-P"}, "ICCIF" : {"fullname" : "Immunocytochemistry/ Immunofluorescence", "shortname":"ICC/IF"}, "FlowCyt" : {"fullname" : "Flow Cytometry", "shortname":"Flow Cyt"}, "WB" : {"fullname" : "Western blot", "shortname":"WB"}, "IHCFr" : {"fullname" : "Immunohistochemistry (Frozen sections)", "shortname":"IHC-Fr"} }, "product-promise": { "all": "all", "testedAndGuaranteed": "tested", "guaranteed": "expected", "predicted": "predicted", "notRecommended": "not-recommended" } }, "values": { "Human": { "mIHC-species-checked": "testedAndGuaranteed", "mIHC-species-dilution-info": "", "mIHC-species-notes": "<p></p>", "IHCP-species-checked": "testedAndGuaranteed", "IHCP-species-dilution-info": "2 µg/mL", "IHCP-species-notes": "<p>Please refer to protocol booklet.</p><p>For antigen buffer for FFPE tissue, it is recommended to use Universal HIER antigen retrieval reagent (<a href='/products/ihc-kits/universal-hier-antigen-retrieval-reagent-10x-ab208572'>ab208572</a>).</p> Perform heat-mediated antigen retrieval before commencing with IHC staining protocol.", "ICCIF-species-checked": "testedAndGuaranteed", "ICCIF-species-dilution-info": "2 µg/mL", "ICCIF-species-notes": "<p></p>", "FlowCyt-species-checked": "testedAndGuaranteed", "FlowCyt-species-dilution-info": "", "FlowCyt-species-notes": "<p>Please refer to protocol in Support&amp;downloads section</p><p><a href='/products/primary-antibodies/rabbit-igg-monoclonal-epr25a-isotype-control-ab172730'>ab172730</a> - Rabbit monoclonal IgG, is suitable for use as an isotype control with this antibody.</p>", "WB-species-checked": "testedAndGuaranteed", "WB-species-dilution-info": "", "WB-species-notes": "<p>Please refer to protocol in Support&amp;downloads section</p><p><a href='/products/primary-antibodies/pd-l1-antibody-73-10-ab228415'>ab228415</a> works better than ab205921 in western blot testing.</p>", "IHCFr-species-checked": "testedAndGuaranteed", "IHCFr-species-dilution-info": "2 µg/mL", "IHCFr-species-notes": "<p></p>" }, "Mouse": { "mIHC-species-checked": "notRecommended", "mIHC-species-dilution-info": "", "mIHC-species-notes": "", "IHCP-species-checked": "notRecommended", "IHCP-species-dilution-info": "2 µg/mL", "IHCP-species-notes": "<p>Please refer to protocol booklet.</p><p>For antigen buffer for FFPE tissue, it is recommended to use Universal HIER antigen retrieval reagent (<a href='/products/ihc-kits/universal-hier-antigen-retrieval-reagent-10x-ab208572'>ab208572</a>).</p> Perform heat-mediated antigen retrieval before commencing with IHC staining protocol.", "ICCIF-species-checked": "notRecommended", "ICCIF-species-dilution-info": "", "ICCIF-species-notes": "", "FlowCyt-species-checked": "notRecommended", "FlowCyt-species-dilution-info": "", "FlowCyt-species-notes": "", "WB-species-checked": "notRecommended", "WB-species-dilution-info": "", "WB-species-notes": "", "IHCFr-species-checked": "notRecommended", "IHCFr-species-dilution-info": "", "IHCFr-species-notes": "" }, "Transfected cell line": { "mIHC-species-checked": "notRecommended", "mIHC-species-dilution-info": "", "mIHC-species-notes": "", "IHCP-species-checked": "testedAndGuaranteed", "IHCP-species-dilution-info": "2 µg/mL", "IHCP-species-notes": "<p>Please refer to protocol booklet.</p><p>For antigen buffer for FFPE tissue, it is recommended to use Universal HIER antigen retrieval reagent (<a href='/products/ihc-kits/universal-hier-antigen-retrieval-reagent-10x-ab208572'>ab208572</a>).</p> Perform heat-mediated antigen retrieval before commencing with IHC staining protocol.", "ICCIF-species-checked": "testedAndGuaranteed", "ICCIF-species-dilution-info": "2 µg/mL", "ICCIF-species-notes": "<p></p>", "FlowCyt-species-checked": "notRecommended", "FlowCyt-species-dilution-info": "", "FlowCyt-species-notes": "", "WB-species-checked": "notRecommended", "WB-species-dilution-info": "", "WB-species-notes": "", "IHCFr-species-checked": "notRecommended", "IHCFr-species-dilution-info": "", "IHCFr-species-notes": "" } } }

产品详情

Anti-PD-L1 antibody [28-8] (ab205921) was developed by Abcam using patented rabbit monoclonal antibody technology and is validated for use in Flow Cyt, ICC/IF, IHC-Fr, IHC-P, WB, mIHC in human samples.

Anti-PD-L1 antibody [28-8] (ab205921) has been cited over 476 times in peer reviewed journals and is trusted by the scientific community.

Abcam's high quality manufacturing and validation processes ensure Anti-PD-L1 antibody [28-8] (ab205921) has high sensitivity and specificity alongside high lot-to-lot consistency and reproducibility.

The specificity of Anti-PD-L1 antibody [28-8] (ab205921) has been confirmed by testing in knockout samples.

Anti-PD-L1 antibody [28-8] (ab205921) has 13 independent reviews from customers.

Anti-PD-L1 antibody [28-8] (ab205921) specifically detects PD-L1 (UniProt ID: Q9NZQ7; Molecular weight: 31kDa) and is sold in a convenient trial size to enable initial testing (20 µL) and larger sizes for subsequent scaling up experiments (50 µL).

Conjugation-ready, carrier free format available for antibody clone 28-8 - ab228413.

Antibody clone 28-8 is also available pre-conjugated to a variety of labels for your convenience - HRP, PE, Alexa Fluor® 555, Alexa Fluor® 568, Alexa Fluor® 594, FITC (ab209961, ab209962, ab213358, ab213359, ab213360, ab224027).

PD-L1 (Programmed Death-Ligand 1) is a protein that plays a significant role in oncology, particularly in the immune response to cancer. It is expressed on the surface of cancer cells and interacts with the PD-1 receptor on T-cells, effectively inhibiting the immune system's ability to attack the tumor. This interaction is a key target for immunotherapy drugs, such as checkpoint inhibitors, which block the PD-1/PD-L1 pathway, allowing the immune system to recognize and destroy cancer cells.

FURTHER INFORMATION ON POSITIVE CONTROLS (Chinese version)

Tissue:
- Tonsil - with hyperreactive changes. Screening of hyper-reactive tonsils is recommended to find tonsil with the highest expression of PD-L1 in crypt epithelium, macrophages homing the germinal centers and interfollicular mononuclear leukocytes.
- Tumor tissues - prescreened for positive tumor and inflammatory infiltrates. PD-L1 expression varies by tumor type so screening is recommended to find positive and negative tumor controls.
- The following publication is useful for finding suitable tumor types for PD-L1 expression:
http://www.immunotherapyofcancer.org/content/1/S1/P53
- Note: Look for specimens with high numbers of inflammatory macrophages and mononuclear leukocytes.

Cell Lines:
- Positive controls: B-CPAP (high), ES-2 (medium), HCC70 (low).

Primary antibody negative control: Recombinant Rabbit IgG isotype control antibody, ab172730.

Recombinant protein positive control: Recombinant human PD-L1 protein, ab167713.

Immunohistochemistry usage:
For IHC usage on FFPE tissues, we recommend using PD-L1 IHC panel ab236676, which contains PD-L1 antibody clone 28-8 (ab205921), HIER antigen retrieval reagent (ab208572) and IHC detection kit HRP/DAB (ab209101).

Western blot usage:
For clone 28-8, it is recommended to use Odyssey system. This system has the advantages of a wider dynamic range and less background than chemiluminescence.

This PD-L1 antibody [28-8] has been used as detector antibody in Human PD-L1 SimpleStep ELISA® kit: ab214565 and ab277712.

To support you in your biomarker discovery and validation studies, we offer a comprehensive suite of solutions including high quality, validated recombinant antibodies and assay kits.

Patented technology
Our RabMAb® technology is a patented hybridoma-based technology for making rabbit monoclonal antibodies. For details on our patents, please refer to RabMAb® patents.

What are the advantages of a recombinant monoclonal antibody?
This product is a recombinant monoclonal antibody, which offers several advantages including:

  • - High batch-to-batch consistency and reproducibility
  • - Improved sensitivity and specificity
  • - Long-term security of supply
  • - Animal-free batch production

For more information, read more on recombinant antibodies.

性能和储存信息

形式
Liquid
纯化工艺
Affinity purification Protein A
存储溶液
pH: 7.2 - 7.4 Preservative: 0.01% Sodium azide Constituents: PBS, 40% Glycerol (glycerin, glycerine), 0.05% BSA
运输条件
Blue Ice
推荐的短期储存时间
1-2 weeks
推荐的短期储存条件
+4°C
推荐的长期储存条件
-20°C
分装信息
Upon delivery aliquot
储存信息
Avoid freeze / thaw cycle

补充信息

This supplementary information is collated from multiple sources and compiled automatically.

PD-L1 also known as programmed death-ligand 1 or CD274 plays an important role in the immune system. It is a protein expressed on antigen-presenting cells and some tumor cells helping them interact with T-cells. The molecular weight of PD-L1 is approximately 33 kDa. PD-L1 expression can occur in various tissues and is often upregulated in tumor microenvironments. This increased expression helps tumors evade the immune response.
Biological function summary

PD-L1 modulates the immune response by interacting with its receptor PD-1 on T-cells and other immune cells leading to immune suppression. It is part of the PD-1/PD-L1 complex an important regulator of T-cell activity and immune tolerance. The binding of PD-L1 to PD-1 inhibits T-cell proliferation and cytokine production reducing the ability of the immune system to attack cancer cells.

Pathways

PD-L1 is involved in the immune checkpoint pathway and the cancer immunity cycle. Its interaction with PD-1 influences important signaling cascades within these pathways affecting the immune system's capacity to target tumor cells effectively. Another protein important in this context is CTLA-4 another immune checkpoint regulator which along with PD-1 modulates immune system activity against cancer.

PD-L1 has strong connections to cancer and autoimmune diseases. Many cancers including melanoma and non-small cell lung cancer exploit PD-L1 to protect themselves from the immune system. Increased PD-L1 expression can also impact autoimmune disorders where the immune system reacts against healthy body tissues. This interaction further involves PD-1 and CTLA-4 illustrating their shared roles in these disease contexts.

产品实验方案

For this product, it's our understanding that no specific protocols are required. You can visit:

靶点信息

Plays a critical role in induction and maintenance of immune tolerance to self (PubMed : 11015443, PubMed : 28813410, PubMed : 28813417, PubMed : 31399419). As a ligand for the inhibitory receptor PDCD1/PD-1, modulates the activation threshold of T-cells and limits T-cell effector response (PubMed : 11015443, PubMed : 28813410, PubMed : 28813417, PubMed : 36727298). Through a yet unknown activating receptor, may costimulate T-cell subsets that predominantly produce interleukin-10 (IL10) (PubMed : 10581077). Can also act as a transcription coactivator : in response to hypoxia, translocates into the nucleus via its interaction with phosphorylated STAT3 and promotes transcription of GSDMC, leading to pyroptosis (PubMed : 32929201).. The PDCD1-mediated inhibitory pathway is exploited by tumors to attenuate anti-tumor immunity and escape destruction by the immune system, thereby facilitating tumor survival (PubMed : 28813410, PubMed : 28813417). The interaction with PDCD1/PD-1 inhibits cytotoxic T lymphocytes (CTLs) effector function (By similarity). The blockage of the PDCD1-mediated pathway results in the reversal of the exhausted T-cell phenotype and the normalization of the anti-tumor response, providing a rationale for cancer immunotherapy (By similarity).
See full target information CD274

文献 (630)

Recent publications for all applications. Explore the full list and refine your search

International journal of molecular medicine 56: PubMed41070618

2025

Suppression of tumor growth by GMI, an edible fungal immunomodulatory protein, is associated with targeting GSK3β‑mediated proteasomal degradation of PD‑L1.

Applications

Unspecified application

Species

Unspecified reactive species

Wei-Jyun Hua,Li-Chen Huang,Zhi-Hu Lin,Yi-Ru Ciou,Kai-Fan Lin,Li-Lan Liao,Wei-Hung Hsu,Tung-Yi Lin

Molecular medicine (Cambridge, Mass.) 31:295 PubMed41013181

2025

Secreted AZGP1 induced by 5-FU binds to PD-L1 and promotes apoptosis in cholangiocarcinoma.

Applications

Unspecified application

Species

Unspecified reactive species

Ji-Eun You,Do Yeon Kim,Hyeseon Yun,Dong-In Koh,Yea Seong Ryu,Dong-Hoon Jin

JCI insight 10: PubMed40985894

2025

FXR shapes an immunosuppressive microenvironment in PD-L1lo/- non-small cell lung cancer by upregulating HVEM.

Applications

Unspecified application

Species

Unspecified reactive species

Xiaolong Xu,Bin Shang,Hancheng Wu,Xiuye Jin,Junren Wang,Jing Li,Daowei Li,Bin Liang,Xingguang Wang,Lili Su,Wenjie You,Shujuan Jiang

CEN case reports 14:857-862 PubMed40921965

2025

Good response with nivolumab and cabozantinib combination therapy in patients with metastatic collecting duct carcinoma with high expression of PD-L1, c-MET, and AXL.

Applications

Unspecified application

Species

Unspecified reactive species

Tatsuya Umemoto,Masanori Hasegawa,Jun Naruse,Tatsuo Kano,Nobuyuki Nakajima,Masahiro Nitta,Yoshiaki Kawamura,Hiroshi Kajiwara,Sunao Shoji

PLoS pathogens 21:e1013457 PubMed40920828

2025

Activation of PD-1/PD-L1 immune checkpoint by Zika virus.

Applications

Unspecified application

Species

Unspecified reactive species

Chenxi Wang,Yubin Xie,Weixin Li,Chon Phin Ong,Hao Ding,Shuofeng Yuan,Gong Cheng,Dong-Yan Jin,Zi-Wei Ye

Frontiers in pharmacology 16:1581122 PubMed40843374

2025

A migrasome-related lncRNA signature predicts prognosis and immune response in hepatocellular carcinoma: Implications for biomarker discovery and therapeutic targeting.

Applications

Unspecified application

Species

Unspecified reactive species

Haotian Qin,Tiantian Qi,Min Liu,Weibei Sheng,Junyu Qian,Jian Weng,Qi Yang,Jun Yang

Molecular medicine (Cambridge, Mass.) 31:278 PubMed40819077

2025

Targeting LINC02544/miR-497-5p/CAPRIN1 axis via exosome-based siRNA to overcome immunotherapy resistance in triple-negative breast cancer.

Applications

Unspecified application

Species

Unspecified reactive species

Bin Lian,Jiayi Li,Shihui Tang,Ting Li,Jinping Li

Discover oncology 16:1528 PubMed40788434

2025

Pseudogene pair-based prognostic model reveals LAT as a biomarker of immune response in head and neck squamous cell carcinoma.

Applications

Unspecified application

Species

Unspecified reactive species

Qin Ding,Wenquan Hong,Guanghao Chen,Ting Lin,Xiaochuan Chen,Hanxuan Yang,Wenqian Xu,Xinyi Hong,Jinghua Lai,Sufang Qiu,Jun Lu

International journal of biological sciences 21:4293-4311 PubMed40765834

2025

Inhibition of Mettl3 alleviates low-dose cisplatin-induced renal fibrosis and enhances the chemotherapeutic efficacy in mouse models of cancer.

Applications

Unspecified application

Species

Unspecified reactive species

Yuxin Xie,Huiling Li,Jian Pan,Yijian Li,Dongshan Zhang

Cell death & disease 16:584 PubMed40750787

2025

CHK1 inhibition increases the therapeutic response to radiotherapy via antitumor immunity in ARID1A-deficient colorectal cancer.

Applications

Unspecified application

Species

Unspecified reactive species

Jhen-Yu Chen,Tao-Wei Ke,Shu-Fen Chiang,Wei-Ze Hong,Hsin-Yu Chang,Ji-An Liang,Yuan-Yao Tsai,Chi-Hsien Huang,William Tzu-Liang Chen,K S Clifford Chao,Kevin Chih-Yang Huang
View all publications
websiteProtocolBooklet
zh
websiteProtocolBooklet
en

Abcam Product Promise

我们致力于为您的研究提供高质量的试剂,为您科研的每一步提供支持。若我们的产品未能达到预期性能,我们向您提供 Abcam Product Promise 保障。
详情请参阅我们的条款与条件。

Please note: All products are 'FOR RESEARCH USE ONLY. NOT FOR USE IN DIAGNOSTIC OR THERAPEUTIC PROCEDURES'.

For licensing inquiries, please contact partnerships@abcam.com