JavaScript is disabled in your browser. Please enable JavaScript to view this website.
AB29

Anti-PCNA 抗体 [PC10]

Anti-PCNA antibody [PC10]

5

(72 Reviews)

|

(959 Publications)

Anti-PCNA antibody [PC10] (ab29) is a mouse monoclonal antibody detecting PCNA in Western Blot, Flow Cytometry (Intra), Flow Cytometry, IHC-P, ICC/IF. Suitable for Human, Mouse, Rat.

- Over 730 publications
- Trusted since 1998

查看别名

Proliferating cell nuclear antigen, PCNA, Cyclin

14 Images
Western blot - Anti-PCNA antibody [PC10] (AB29)
  • WB

Lab

Western blot - Anti-PCNA antibody [PC10] (AB29)

Merged signal (red and green). Green - ab29 observed at 32 kDa. Red - loading control, ab52866, observed at 50 kDa.

All samples were subjected to SDS-PAGE. The membrane was blocked with 3% NF Milk. ab29 and ab52866(Rabbit anti alpha Tubulin loading control) were incubated overnight at 4°C at 1 ug/mL and 1/20000 dilution respectively. Blots were developed with Goat anti-Mouse IgG H&L (IRDye® 800CW) preabsorbed ab216772 and Goat anti-Rabbit IgG H&L (IRDye® 680RD) preabsorbed ab216777 secondary antibodies at 1/20000 dilution for 1 hour at room temperature before imaging.

All lanes:

Western blot - Anti-PCNA antibody [PC10] (ab29) at 1 µg/mL

Lane 1:

HeLa at 20 µg

Lane 2:

PC12 at 20 µg

Lane 3:

SV40LT-SMC at 20 µg

Lane 4:

NIH 3T3 at 20 µg

Lane 5:

Rat liver at 20 µg

Lane 6:

Rat heart at 20 µg

Secondary

All lanes:

Western blot - Goat anti-Mouse IgG H&L (IRDye® 800CW) preadsorbed (<a href='/products/secondary-antibodies/goat-mouse-igg-h-l-irdye-800cw-preadsorbed-ab216772'>ab216772</a>) at 1/20000 dilution

Predicted band size: 29 kDa

false

Immunohistochemistry (Formalin/PFA-fixed paraffin-embedded sections) - Anti-PCNA antibody [PC10] (AB29)
  • IHC-P

PubMed

Immunohistochemistry (Formalin/PFA-fixed paraffin-embedded sections) - Anti-PCNA antibody [PC10] (AB29)

Aldehyde dehydrogenase (ALDH1) expression correlates with clinical outcome of breast cancer patients

(A) Immunohistochemical staining shows tumors with poor clinical response (progressive or stable disease, PD/SD) to neo-adjuvant chemotherapy express high ALDH1 (>20% positive cancer cells) in pre-chemotherapy samples, and tumors with partal response (PR) express low ALDH1 (≤20% positive cancer cells). High proliferating cell nuclear antigen (PCNA)(>25% positive cancer cells) and poor apoptosis are observed in tumors with PD/SD after neo-adjuvant chemotherapy. Representative images of ALDH1 (×200), PCNA (×200) and Terminal deoxynucleotidyl transferase (TdT)-mediated dUTP labeling (TUNEL,×400).

PCNA is detected using ab29 at 1/100 dilution.

(From Figure 1A of Gong et al)

Gong, C. et al PLoS One. 2010 Dec 20;5(12):e15630. doi: 10.1371/journal.pone.0015630 Reproduced under the Creative Commons license http://creativecommons.org/licenses/by/4.0/

Flow Cytometry (Intracellular) - Anti-PCNA antibody [PC10] (AB29)
  • Flow Cyt (Intra)

Lab

Flow Cytometry (Intracellular) - Anti-PCNA antibody [PC10] (AB29)

Overlay histogram showing HeLa cells stained with ab29 (red line). The cells were fixed with 80% methanol (5 min) and then permeabilized with 0.1% PBS-Tween 20 for 20 min. The cells were then incubated in 1x PBS / 10% normal goat serum / 0.3M glycine to block non-specific protein-protein interactions followed by the antibody (ab29, 0.1μg/1x106 cells) for 30 min at 22°C. The secondary antibody used was Alexa Fluor® 488 goat anti-mouse IgG (H&L) (ab150113) at 1/2000 dilution for 30 min at 22°C. Isotype control antibody (black line) was mouse IgG2a [ICIGG2A] (ab91361, 0.1μg/1x106 cells) used under the same conditions. Unlabelled sample (blue line) was also used as a control.

Acquisition of >5,000 events were collected using a 20mW Argon ion laser (488nm) and 525/30 bandpass filter.

Immunocytochemistry/ Immunofluorescence - Anti-PCNA antibody [PC10] (AB29)
  • ICC/IF

Lab

Immunocytochemistry/ Immunofluorescence - Anti-PCNA antibody [PC10] (AB29)

ab29 stained in HeLa cells. Cells were fixed with 100% methanol (5 min) at room temperature and incubated with PBS containing 10% goat serum, 0.3 M glycine, 1% BSA and 0.1% triton for 1h at room temperature to permeabilise the cells and block non-specific protein-protein interactions. The cells were then incubated with the antibody ab29 at 5 μg/ml and ab6046 (Rabbit polyclonal to beta tubulin - Loading Control) at 1/1000 dilution overnight at +4°C. The secondary antibodies were ab150117 (pseudo-colored red) and ab150080 (colored green) used at 1 μg/ml for 1 hour at room temperature. DAPI was used to stain the cell nuclei (colored blue) at a concentration of 1.43 μM for 1hour at room temperature.

Immunohistochemistry (Formalin/PFA-fixed paraffin-embedded sections) - Anti-PCNA antibody [PC10] (AB29)
  • IHC-P

AbReview9175****

Immunohistochemistry (Formalin/PFA-fixed paraffin-embedded sections) - Anti-PCNA antibody [PC10] (AB29)

Mouse monoclonal [PC10] to PCNA - Proliferation Marker (ab29) used in immunohistochemistry (Formalin/PFA-fixed paraffin-embedded sections; 1/6000 for 2h at RT) on human tissue sections (Paget's disease of the nipple). Antigen retrieval step : Heat mediated. Blocking step : 1% BSA for 10 mins at RT. Incubation time : Secondary Antibody : Biotin conjugated goat anti mouse Igs (1/200).

This image is courtesy of Carl Hobbs, King's College London, United Kingdom

Immunohistochemistry (Formalin/PFA-fixed paraffin-embedded sections) - Anti-PCNA antibody [PC10] (AB29)
  • IHC-P

PubMed

Immunohistochemistry (Formalin/PFA-fixed paraffin-embedded sections) - Anti-PCNA antibody [PC10] (AB29)

Annexin V and PCNA staining of decellularized lung scaffolds recellularized with (A) MSCs in static versus bioreactor conditions for 14 (panels A, B for annexin V, and a, b for PCNA) and 28 days (panels C, D for annexin V, and c, d for PCNA) (single cells), (B) MSC cell clusters in static conditions at 14 days (panel A for annexin V, and a for PCNA), (C) C10 cells in static (panel A for annexin V, a for PCNA) versus bioreactor (panel B for annexin V, b for PCNA) conditions for 11 days.

An inset in Fig 4Ab with higher magnification is shown to demonstrate that a majority of the cells stained positive for PCNA. Cell nuclei are labeled in blue; marker of interest is labeled in green. Magnifications are 400x. Overlap of cell nucleus and marker of interest can generate green or white color. For each condition, images are representative of the entire lung.

MSCs = Bone marrow-derived mouse mesenchymal stromal (stem) cells.

PCNA is detected using ab29 at 1/1000 dilution.

(From Figure 4 of Crabbe et al)

Crabbe et al PLoS One. 2015 May 11;10(5):e0126846. doi: 10.1371/journal.pone.0126846. eCollection 2015 Reproduced under the Creative Commons license http://creativecommons.org/licenses/by/4.0/

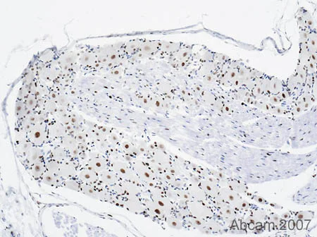
Immunohistochemistry (Formalin/PFA-fixed paraffin-embedded sections) - Anti-PCNA antibody [PC10] (AB29)
  • IHC-P

AbReview73774****

Immunohistochemistry (Formalin/PFA-fixed paraffin-embedded sections) - Anti-PCNA antibody [PC10] (AB29)

Immunohistochemistry analysis (Formalin/PFA-fixed paraffin-embedded sections) of paraformaldehyde-fixed mouse brain tissue. Stained with ab29 at 1/10000 dilution. Secondary antibody used was ab150109 at 1/250 dilution. Blocking was done with 5% serum for 1 hour at 21°C. The sample was incubated with the primary antibody and 5% Normal Donkey Serum for 19 hours at 4°C. Antigen retrieval method was heat mediated, Tris/EDTA.

This image is courtesy of an anonymous Abreview

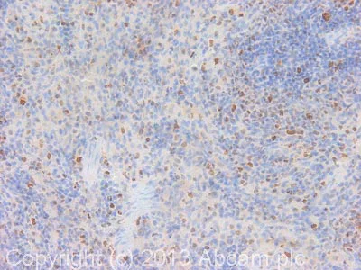
Immunohistochemistry (Formalin/PFA-fixed paraffin-embedded sections) - Anti-PCNA antibody [PC10] (AB29)
  • IHC-P

Unknown

Immunohistochemistry (Formalin/PFA-fixed paraffin-embedded sections) - Anti-PCNA antibody [PC10] (AB29)

IHC image of PCNA staining in rat spleen formalin fixed paraffin embedded tissue section, performed on a Leica Bond system using the standard protocol F. The section was pre-treated using heat mediated antigen retrieval with sodium citrate buffer (pH6, epitope retrieval solution 1) for 20 mins. The section was then incubated with ab29, 1/30,000 dilution for 15 mins at room temperature and detected using an HRP conjugated compact polymer system. DAB was used as the chromogen. The section was then counterstained with haematoxylin and mounted with DPX.

For other IHC staining systems (automated and non-automated) customers should optimize variable parameters such as antigen retrieval conditions, primary antibody concentration and antibody incubation times.

Immunohistochemistry (Formalin/PFA-fixed paraffin-embedded sections) - Anti-PCNA antibody [PC10] (AB29)
  • IHC-P

Unknown

Immunohistochemistry (Formalin/PFA-fixed paraffin-embedded sections) - Anti-PCNA antibody [PC10] (AB29)

IHC image of PCNA staining in rat large intestine formalin fixed paraffin embedded tissue section, performed on a Leica Bond system using the standard protocol F. The section was pre-treated using heat mediated antigen retrieval with sodium citrate buffer (pH6, epitope retrieval solution 1) for 20 mins. The section was then incubated with ab29, 0.025μg/ml, for 15 mins at room temperature and detected using an HRP conjugated compact polymer system. DAB was used as the chromogen. The section was then counterstained with haematoxylin and mounted with DPX.

For other IHC staining systems (automated and non-automated) customers should optimize variable parameters such as antigen retrieval conditions, primary antibody concentration and antibody incubation times.

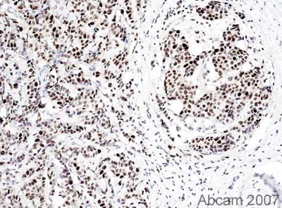
Immunohistochemistry (Formalin/PFA-fixed paraffin-embedded sections) - Anti-PCNA antibody [PC10] (AB29)
  • IHC-P

AbReview9209****

Immunohistochemistry (Formalin/PFA-fixed paraffin-embedded sections) - Anti-PCNA antibody [PC10] (AB29)

Immunohistochemistical staining (Formaldehyde/PFA-fixed paraffin-embedded sections) for PCNA antibody [PC10] - Proliferation Marker (ab29) on Rat Tissue sections (adult spinal cord DRG). Antigen retrieval step : Heat mediated. Blocking step : 1% BSA for 10 mins at RT. Primary Antibody used at 1/6000 for 2 minutes at RT. Secondary Antibody : Biotin labelled goat anti mouse Igs (1/200).

This image is courtesy of Carl Hobbs, King's College London, United Kingdom

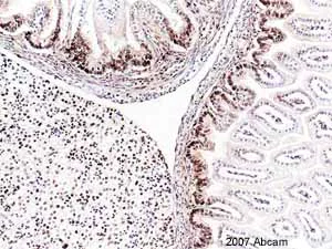
Immunohistochemistry (Formalin/PFA-fixed paraffin-embedded sections) - Anti-PCNA antibody [PC10] (AB29)
  • IHC-P

AbReview7653****

Immunohistochemistry (Formalin/PFA-fixed paraffin-embedded sections) - Anti-PCNA antibody [PC10] (AB29)

ab29 at 1/6000 staining mouse embryo (day 17) liver and gut tissue sections by IHC-P. The tissue was formaldehyde fixed and a heat mediated antigen retrieval step in Tris buffer was performed. The tissue was blocked before incubation with the antibody for 2 hours. A biotinylated goat polyclonal antibody was used as the secondary.

This image is courtesy of an abreview submitted by Carl Hobbs (King's College London, United Kingdom)

Western blot - Anti-PCNA antibody [PC10] (AB29)
  • WB

Project7375****

Western blot - Anti-PCNA antibody [PC10] (AB29)

All lanes:

Western blot - Anti-PCNA antibody [PC10] (ab29) at 5 µg/mL

Lane 1:

HeLa (Human epithelial carcinoma cell line) Whole Cell Lysate at 10 µg

Lane 2:

HEK293 (Human embryonic kidney cell line) Whole Cell Lysate at 10 µg

Lane 3:

A431 (Human epithelial carcinoma cell line) Whole Cell Lysate at 10 µg

Secondary

All lanes:

Goat polyclonal to Mouse IgG - H&L - Pre-Adsorbed (HRP) at 1/3000 dilution

Predicted band size: 29 kDa

Observed band size: 29 kDa

false

Exposure time: 4min

Immunohistochemistry (Formalin/PFA-fixed paraffin-embedded sections) - Anti-PCNA antibody [PC10] (AB29)
  • IHC-P

AbReview9171****

Immunohistochemistry (Formalin/PFA-fixed paraffin-embedded sections) - Anti-PCNA antibody [PC10] (AB29)

Mouse monoclonal [PC10] to PCNA - Proliferation Marker (ab29) used in immunohistochemistry (Formalin/PFA-fixed paraffin-embedded sections;1/6000 for 2h at RT) on intestine of adult zebrafish). Antigen retrieval step : Heat mediated. Blocking step : 1% BSA for 10 mins at RT. Incubation time : Secondary Antibody : Biotin conjugated goat anti mouse Igs (1/200). NB : The crypt nuclei on this image of zebrafish intestine, are positive for the PCNA/PC10 clone conforming to accepted localisation data for PCNA in other species.

This image is courtesy of Carl Hobbs, King's College London, United Kingdom

Immunohistochemistry (Formalin/PFA-fixed paraffin-embedded sections) - Anti-PCNA antibody [PC10] (AB29)
  • IHC-P

AbReview9173****

Immunohistochemistry (Formalin/PFA-fixed paraffin-embedded sections) - Anti-PCNA antibody [PC10] (AB29)

Mouse monoclonal [PC10] to PCNA - Proliferation Marker (ab29) used in immunohistochemistry (Formalin/PFA-fixed paraffin-embedded sections; 1/6000 for 2h at RT) on E6 developing chick brain). Antigen retrieval step : Heat mediated. Blocking step : 1% BSA for 10 mins at RT. Incubation time : Secondary Antibody : Biotin conjugated goat anti mouse Igs (1/200). NB : This image shows developing brain/overlying skin.

This image is courtesy of Carl Hobbs, King's College London, United Kingdom

不同偶联物与剂型 (4)

  • 578 PE

    PE Anti-PCNA antibody [PC10]

  • HRP

    HRP Anti-PCNA antibody [PC10]

  • 665 Alexa Fluor® 647

    Alexa Fluor® 647 Anti-PCNA antibody [PC10]

  • 519 Alexa Fluor® 488

    Alexa Fluor® 488 Anti-PCNA antibody [PC10]

关键信息

宿主种属

Mouse

克隆

Monoclonal

克隆号

PC10

亚型

IgG2a

轻链类型

kappa

不含载体蛋白

No

反应种属

Mouse, Rat, Human

应用

WB, Flow Cyt (Intra), IHC-P, ICC/IF

applications

免疫原

The exact immunogen used to generate this antibody is proprietary information.

反应性数据

{ "title": "Reactivity Data", "filters": { "stats": ["", "Species", "Dilution Info", "Notes"], "tabs": { "all-applications": {"fullname" : "All Applications", "shortname": "All Applications"}, "IHCP" : {"fullname" : "Immunohistochemistry (Formalin/PFA-fixed paraffin-embedded sections)", "shortname":"IHC-P"}, "WB" : {"fullname" : "Western blot", "shortname":"WB"}, "ICCIF" : {"fullname" : "Immunocytochemistry/ Immunofluorescence", "shortname":"ICC/IF"}, "FlowCytIntra" : {"fullname" : "Flow Cytometry (Intracellular)", "shortname":"Flow Cyt (Intra)"} }, "product-promise": { "all": "all", "testedAndGuaranteed": "tested", "guaranteed": "expected", "predicted": "predicted", "notRecommended": "not-recommended" } }, "values": { "Human": { "IHCP-species-checked": "guaranteed", "IHCP-species-dilution-info": "1/10000 - 1/30000", "IHCP-species-notes": "<p></p> Perform heat-mediated antigen retrieval with citrate buffer pH 6 before commencing with IHC staining protocol.", "WB-species-checked": "testedAndGuaranteed", "WB-species-dilution-info": "1 µg/mL", "WB-species-notes": "<p></p>", "ICCIF-species-checked": "testedAndGuaranteed", "ICCIF-species-dilution-info": "1-5 µg/mL", "ICCIF-species-notes": "<p>Methanol fixation recommended</p>", "FlowCytIntra-species-checked": "testedAndGuaranteed", "FlowCytIntra-species-dilution-info": "1 µg for 10^6 Cells", "FlowCytIntra-species-notes": "<p><a href='/products/primary-antibodies/mouse-igg2c-kappa-monoclonal-18c8bc7ad10-isotype-control-ab170191'>ab170191</a> - Mouse monoclonal IgG2a, is suitable for use as an isotype control with this antibody.</p>" }, "Mouse": { "IHCP-species-checked": "guaranteed", "IHCP-species-dilution-info": "1/10000 - 1/30000", "IHCP-species-notes": "<p></p> Perform heat-mediated antigen retrieval with citrate buffer pH 6 before commencing with IHC staining protocol.", "WB-species-checked": "testedAndGuaranteed", "WB-species-dilution-info": "1 µg/mL", "WB-species-notes": "<p></p>", "ICCIF-species-checked": "guaranteed", "ICCIF-species-dilution-info": "", "ICCIF-species-notes": "", "FlowCytIntra-species-checked": "notRecommended", "FlowCytIntra-species-dilution-info": "1 µg for 10^6 Cells", "FlowCytIntra-species-notes": "<p><a href='/products/primary-antibodies/mouse-igg2c-kappa-monoclonal-18c8bc7ad10-isotype-control-ab170191'>ab170191</a> - Mouse monoclonal IgG2a, is suitable for use as an isotype control with this antibody.</p>" }, "Rat": { "IHCP-species-checked": "testedAndGuaranteed", "IHCP-species-dilution-info": "1/10000 - 1/30000", "IHCP-species-notes": "<p></p> Perform heat-mediated antigen retrieval with citrate buffer pH 6 before commencing with IHC staining protocol.", "WB-species-checked": "testedAndGuaranteed", "WB-species-dilution-info": "1 µg/mL", "WB-species-notes": "<p></p>", "ICCIF-species-checked": "notRecommended", "ICCIF-species-dilution-info": "1-5 µg/mL", "ICCIF-species-notes": "<p>Methanol fixation recommended</p>", "FlowCytIntra-species-checked": "notRecommended", "FlowCytIntra-species-dilution-info": "1 µg for 10^6 Cells", "FlowCytIntra-species-notes": "<p><a href='/products/primary-antibodies/mouse-igg2c-kappa-monoclonal-18c8bc7ad10-isotype-control-ab170191'>ab170191</a> - Mouse monoclonal IgG2a, is suitable for use as an isotype control with this antibody.</p>" }, "Catshark": { "IHCP-species-checked": "predicted", "IHCP-species-dilution-info": "", "IHCP-species-notes": "", "WB-species-checked": "predicted", "WB-species-dilution-info": "", "WB-species-notes": "", "ICCIF-species-checked": "notRecommended", "ICCIF-species-dilution-info": "", "ICCIF-species-notes": "", "FlowCytIntra-species-checked": "notRecommended", "FlowCytIntra-species-dilution-info": "", "FlowCytIntra-species-notes": "" }, "Chicken": { "IHCP-species-checked": "predicted", "IHCP-species-dilution-info": "", "IHCP-species-notes": "", "WB-species-checked": "predicted", "WB-species-dilution-info": "", "WB-species-notes": "", "ICCIF-species-checked": "notRecommended", "ICCIF-species-dilution-info": "", "ICCIF-species-notes": "", "FlowCytIntra-species-checked": "notRecommended", "FlowCytIntra-species-dilution-info": "", "FlowCytIntra-species-notes": "" }, "Cow": { "IHCP-species-checked": "predicted", "IHCP-species-dilution-info": "", "IHCP-species-notes": "", "WB-species-checked": "predicted", "WB-species-dilution-info": "", "WB-species-notes": "", "ICCIF-species-checked": "notRecommended", "ICCIF-species-dilution-info": "", "ICCIF-species-notes": "", "FlowCytIntra-species-checked": "notRecommended", "FlowCytIntra-species-dilution-info": "", "FlowCytIntra-species-notes": "" }, "Dogfish": { "IHCP-species-checked": "predicted", "IHCP-species-dilution-info": "", "IHCP-species-notes": "", "WB-species-checked": "predicted", "WB-species-dilution-info": "", "WB-species-notes": "", "ICCIF-species-checked": "notRecommended", "ICCIF-species-dilution-info": "", "ICCIF-species-notes": "", "FlowCytIntra-species-checked": "notRecommended", "FlowCytIntra-species-dilution-info": "", "FlowCytIntra-species-notes": "" }, "Drosophila melanogaster": { "IHCP-species-checked": "predicted", "IHCP-species-dilution-info": "", "IHCP-species-notes": "", "WB-species-checked": "predicted", "WB-species-dilution-info": "", "WB-species-notes": "", "ICCIF-species-checked": "notRecommended", "ICCIF-species-dilution-info": "", "ICCIF-species-notes": "", "FlowCytIntra-species-checked": "notRecommended", "FlowCytIntra-species-dilution-info": "", "FlowCytIntra-species-notes": "" }, "Monkey": { "IHCP-species-checked": "predicted", "IHCP-species-dilution-info": "", "IHCP-species-notes": "", "WB-species-checked": "predicted", "WB-species-dilution-info": "", "WB-species-notes": "", "ICCIF-species-checked": "notRecommended", "ICCIF-species-dilution-info": "", "ICCIF-species-notes": "", "FlowCytIntra-species-checked": "notRecommended", "FlowCytIntra-species-dilution-info": "", "FlowCytIntra-species-notes": "" }, "Pig": { "IHCP-species-checked": "predicted", "IHCP-species-dilution-info": "", "IHCP-species-notes": "", "WB-species-checked": "predicted", "WB-species-dilution-info": "", "WB-species-notes": "", "ICCIF-species-checked": "notRecommended", "ICCIF-species-dilution-info": "", "ICCIF-species-notes": "", "FlowCytIntra-species-checked": "notRecommended", "FlowCytIntra-species-dilution-info": "", "FlowCytIntra-species-notes": "" }, "Pigeon": { "IHCP-species-checked": "predicted", "IHCP-species-dilution-info": "", "IHCP-species-notes": "", "WB-species-checked": "predicted", "WB-species-dilution-info": "", "WB-species-notes": "", "ICCIF-species-checked": "notRecommended", "ICCIF-species-dilution-info": "", "ICCIF-species-notes": "", "FlowCytIntra-species-checked": "notRecommended", "FlowCytIntra-species-dilution-info": "", "FlowCytIntra-species-notes": "" }, "Thornback ray": { "IHCP-species-checked": "predicted", "IHCP-species-dilution-info": "", "IHCP-species-notes": "", "WB-species-checked": "predicted", "WB-species-dilution-info": "", "WB-species-notes": "", "ICCIF-species-checked": "notRecommended", "ICCIF-species-dilution-info": "", "ICCIF-species-notes": "", "FlowCytIntra-species-checked": "notRecommended", "FlowCytIntra-species-dilution-info": "", "FlowCytIntra-species-notes": "" }, "Zebrafish": { "IHCP-species-checked": "predicted", "IHCP-species-dilution-info": "", "IHCP-species-notes": "", "WB-species-checked": "predicted", "WB-species-dilution-info": "", "WB-species-notes": "", "ICCIF-species-checked": "notRecommended", "ICCIF-species-dilution-info": "", "ICCIF-species-notes": "", "FlowCytIntra-species-checked": "notRecommended", "FlowCytIntra-species-dilution-info": "", "FlowCytIntra-species-notes": "" } } }

产品详情

This antibody clone [PC10] is manufactured by Abcam.

If you require this antibody in a particular buffer formulation or a particular conjugate for your experiments, please contact orders@abcam.com or you can find further information here.

Product Specifications
Anti-PCNA antibody [PC10] (ab29) is a mouse monoclonal antibody and is validated for use in Flow Cyt (Intra), ICC/IF, IHC-P, WB in human, mouse, rat samples.
Anti-PCNA antibody [PC10] (ab29) specifically detects PCNA (UniProt ID: P12004; Molecular weight: 29kDa) and is sold in 100 µg selling sizes.

Quality and Validation
Abcam's high quality validation processes ensure Anti-PCNA antibody [PC10] (ab29) has high sensitivity and specificity.
Anti-PCNA antibody [PC10] (ab29) has been cited over 736 times in peer reviewed journals and is trusted by the scientific community.
Anti-PCNA antibody [PC10] (ab29) has 72 independent reviews from customers.

Related Products
Conjugation-ready, carrier free format available for antibody clone PC10 - ab167078.
Antibody clone PC10 is also available pre-conjugated to a variety of labels for your convenience - Alexa Fluor® 488, HRP, Alexa Fluor® 647, PE (ab201672, ab201673, ab201674, ab233658).

性能和储存信息

形式
Liquid
纯化工艺
Affinity purification
存储溶液
pH: 7.2 - 7.4 Preservative: 0.02% Sodium azide Constituents: PBS, 6.97% L-Arginine
运输条件
Blue Ice
推荐的短期储存时间
1-2 weeks
推荐的短期储存条件
+4°C
推荐的长期储存条件
-20°C
分装信息
Upon delivery aliquot
储存信息
Avoid freeze / thaw cycle

补充信息

This supplementary information is collated from multiple sources and compiled automatically.

PCNA or Proliferating Cell Nuclear Antigen functions as a sliding clamp for DNA polymerases during DNA replication. This important role enables it to coordinate the orderly duplication of the genome by increasing the processivity of DNA polymerase δ. PCNA weighs approximately 29 kDa and forms a homotrimeric ring structure. It is expressed in the nucleus of cells often found abundantly in proliferating cells. Aside from its main name some people also refer to it as PC10.
Biological function summary

This protein serves a core function in cell cycle regulation and DNA repair. PCNA acts as a scaffold for the assembly of numerous proteins involved in DNA processing forming part of the replication fork complex. It interacts with cyclins and cyclin-dependent kinases (CDKs) linking DNA synthesis to cell cycle progression. Furthermore PCNA partners with proteins involved in DNA mismatch repair base excision repair and nucleotide excision repair.

Pathways

PCNA is integral in the DNA replication and repair pathways. It closely associates with the p21 protein which regulates the cell cycle by inhibiting cyclin-CDK complexes upon DNA damage. PCNA also plays a part in the ubiquitin-proteasome pathway where its modification by ubiquitin impacts how cells respond to DNA damage. This modification recruits specific proteins for DNA repair highlighting its central role in maintaining genomic stability.

PCNA is linked to cancer and autoimmune diseases. Its overexpression is common in various cancers reflecting its role in cell proliferation and the cell cycle. PCNA antibodies are sometimes found in the serum of patients with systemic lupus erythematosus (SLE) a connection also related to alterations in the p21 protein pathway. The interaction between PCNA and disease-specific proteins emphasizes its importance in both cell proliferation and immune system disorders.

产品实验方案

For this product, it's our understanding that no specific protocols are required. You can visit:

靶点信息

Auxiliary protein of DNA polymerase delta and epsilon, is involved in the control of eukaryotic DNA replication by increasing the polymerase's processibility during elongation of the leading strand (PubMed : 35585232). Induces a robust stimulatory effect on the 3'-5' exonuclease and 3'-phosphodiesterase, but not apurinic-apyrimidinic (AP) endonuclease, APEX2 activities. Has to be loaded onto DNA in order to be able to stimulate APEX2. Plays a key role in DNA damage response (DDR) by being conveniently positioned at the replication fork to coordinate DNA replication with DNA repair and DNA damage tolerance pathways (PubMed : 24939902). Acts as a loading platform to recruit DDR proteins that allow completion of DNA replication after DNA damage and promote postreplication repair : Monoubiquitinated PCNA leads to recruitment of translesion (TLS) polymerases, while 'Lys-63'-linked polyubiquitination of PCNA is involved in error-free pathway and employs recombination mechanisms to synthesize across the lesion (PubMed : 24695737).
See full target information PCNA

文献 (959)

Recent publications for all applications. Explore the full list and refine your search

NAR cancer 7:zcaf035 PubMed41064809

2025

Androgen receptor inhibition extends PARP inhibitor activity in prostate cancer models beyond BRCA mutations and defects in homologous recombination repair.

Applications

Unspecified application

Species

Unspecified reactive species

Giuditta Illuzzi,Alessandro Galbiati,Anna D Staniszewska,Robert Hanson,Chrysiis Michaloglou,Sophie L Cooke,Karolina Uznańska,Maja Białecka,Kamil Solarczyk,Harveer S Dev,Charlie E Massie,Mark R Albertella,Elisabetta Leo,Josep V Forment,Mark J O'Connor

Bio-protocol 15:e5436 PubMed40948890

2025

Efficient Gene Knockdown in Adult Zebrafish Retina by Intravitreal Injection.

Applications

Unspecified application

Species

Unspecified reactive species

Eyad Shihabeddin,Abirami Santhanam,Stephan Tetenborg,Alexandra L Aronowitz,John O'Brien

Pharmaceutics 17: PubMed40871009

2025

Recombinant Human Annexin A5 Ameliorates Localized Scleroderma by Inhibiting the Activation of Fibroblasts and Macrophages.

Applications

Unspecified application

Species

Unspecified reactive species

Bijun Kang,Zhuoxuan Jia,Wei Li,Wenjie Zhang

iMeta 4:e70044 PubMed40860430

2025

Soyasaponin and vertical microbial transmission: Maternal effect on the intestinal development and health of early chicks.

Applications

Unspecified application

Species

Unspecified reactive species

Mingkun Gao,Shu Chen,Hao Fan,Peng Li,Aiqiao Liu,Dongli Li,Xiaomin Li,Yongfei Hu,Guofeng Han,Yuming Guo,Zengpeng Lv

Frontiers in cell and developmental biology 13:1603405 PubMed40809694

2025

Osteogenic shift in the adipose-derived stem cells of is linked to impaired adipose tissue self-renewal.

Applications

Unspecified application

Species

Unspecified reactive species

M Boldyreva,E Zubkova,E Trubkina,M Agareva,S Michurina,N Alekseeva,I Beloglazova,E Ratner,Ye Parfyonova,I Stafeev

Translational psychiatry 15:271 PubMed40774956

2025

Prenatal valproic acid on the basis of gestational diabetes also induces autistic behavior and disrupts myelination and oligodendroglial maturation slightly in offspring.

Applications

Unspecified application

Species

Unspecified reactive species

Maolin Li,Zhifei Qiao,Jizheng Li,Hongli Zhou,Dong Huang,Yan Cai,Xiaolong Li,Zuo Zhang,Jianyun Zhou,Jiyin Zhou

Materials today. Bio 33:101995 PubMed40688680

2025

Inhibition of gastric adenocarcinoma proliferation by WSGC@MS: Role of KEAP1/NRF2 signaling pathway and autophagy regulation.

Applications

Unspecified application

Species

Unspecified reactive species

Dongjian Song,Qiuliang Liu,Zechen Yan,Qi Wang,Meng Su,Hui Zhang,Longyan Shi,Yingzhong Fan,Qian Zhang,Heying Yang,Da Zhang

Nature 644:516-526 PubMed40681898

2025

Pathology-oriented multiplexing enables integrative disease mapping.

Applications

Unspecified application

Species

Unspecified reactive species

Malte Kuehl,Yusuke Okabayashi,Milagros N Wong,Lukas Gernhold,Gabriele Gut,Nico Kaiser,Maria Schwerk,Stefanie K Gräfe,Frank Y Ma,Jovan Tanevski,Philipp S L Schäfer,Sam Mezher,Jacobo Sarabia Del Castillo,Thiago Goldbeck-Strieder,Olga Zolotareva,Michael Hartung,Fernando M Delgado Chaves,Lukas Klinkert,Ann-Christin Gnirck,Marc Spehr,David Fleck,Mehdi Joodaki,Victor Parra,Mina Shaigan,Martin Diebold,Marco Prinz,Jennifer Kranz,Johan M Kux,Fabian Braun,Oliver Kretz,Hui Wu,Florian Grahammer,Sven Heins,Marina Zimmermann,Fabian Haas,Dominik Kylies,Nicola Wanner,Jan Czogalla,Bernhard Dumoulin,Nikolay Zolotarev,Maja Lindenmeyer,Pall Karlson,Jens R Nyengaard,Marcial Sebode,Sören Weidemann,Thorsten Wiech,Hermann-Josef Groene,Nicola M Tomas,Catherine Meyer-Schwesinger,Christoph Kuppe,Rafael Kramann,Alexandre Karras,Patrick Bruneval,Pierre-Louis Tharaux,Diego Pastene,Benito Yard,Jennifer A Schaub,Phillip J McCown,Laura Pyle,Ye Ji Choi,Takashi Yokoo,Jan Baumbach,Pablo J Sáez,Ivan Costa,Jan-Eric Turner,Jeffrey B Hodgin,Julio Saez-Rodriguez,Tobias B Huber,Petter Bjornstad,Matthias Kretzler,Olivia Lenoir,David J Nikolic-Paterson,Lucas Pelkmans,Stefan Bonn,Victor G Puelles

Epigenetics & chromatin 18:46 PubMed40665417

2025

H2A.X N-terminal acetylation is a newly identified NAA40-mediated modification that is responsive to UV irradiation.

Applications

Unspecified application

Species

Unspecified reactive species

Ariel Klavaris,Costas Koufaris,Roberta Noberini,Maria Kouma,Christina Demetriadou,Alessandro Ghiringhelli,Nikolas Dietis,Tiziana Bonaldi,Antonis Kirmizis

Journal of nanobiotechnology 23:506 PubMed40660260

2025

Human adipose-derived mesenchymal stem cell-derived exosomes induce epithelial remodeling and anti-scar healing revealed by single-cell RNA sequencing.

Applications

Unspecified application

Species

Unspecified reactive species

Yu Fu,Jun-Ling Xie,Xing-Liao Zhang,Guang-Ming Xie,Xin-Min Zhang,Yao-Ting Han,Meng-Meng Xu,Jing Zhang,Jun Zhang
View all publications

Abcam Product Promise

我们致力于为您的研究提供高质量的试剂,为您科研的每一步提供支持。若我们的产品未能达到预期性能,我们向您提供 Abcam Product Promise 保障。
详情请参阅我们的条款与条件。

Please note: All products are 'FOR RESEARCH USE ONLY. NOT FOR USE IN DIAGNOSTIC OR THERAPEUTIC PROCEDURES'.

For licensing inquiries, please contact partnerships@abcam.com