JavaScript is disabled in your browser. Please enable JavaScript to view this website.
AB196022

重组Anti-PBRM1/BAF180抗体[EPR15860]

Anti-PBRM1/BAF180 antibody [EPR15860]

Be the first to review this product! Submit a review

|

(6 Publications)

Rabbit Recombinant Monoclonal PBRM1/BAF180 antibody. Suitable for WB, ICC/IF, Flow Cyt (Intra), IHC-P and reacts with Human, Mouse samples. Cited in 6 publications.

查看别名

BAF180, PB1, PBRM1, Protein polybromo-1, hPB1, BRG1-associated factor 180, Polybromo-1D

6 Images
Flow Cytometry (Intracellular) - Anti-PBRM1/BAF180 antibody [EPR15860] (AB196022)
  • Flow Cyt (Intra)

Lab

Flow Cytometry (Intracellular) - Anti-PBRM1/BAF180 antibody [EPR15860] (AB196022)

ab196022 staining PBRM1/BAF180 in the human cell line HeLa (human cervix adenocarcinoma) by intracellular flow cytometry. Cells were fixed with 4% paraformaldehyde and permeabilised with 90% methanol. The sample was incubated with the primary antibody at a dilution of 1/250. A goat anti rabbit IgG (Alexa Fluor® 488) at a dilution of 1/2000 was used as the secondary antibody.

Isoytype control : Rabbit monoclonal IgG (Black)

Unlabelled control : Cell without incubation with primary antibody and secondary antibody (Blue)

Immunocytochemistry/ Immunofluorescence - Anti-PBRM1/BAF180 antibody [EPR15860] (AB196022)
  • ICC/IF

Supplier Data

Immunocytochemistry/ Immunofluorescence - Anti-PBRM1/BAF180 antibody [EPR15860] (AB196022)

Immunofluorescent analysis of 4% paraformaldehyde-fixed, 0.1% Triton X-100 permeabilized HeLa (Human epithelial cells from cervix adenocarcinoma) cells labeling PBRM1/BAF180 with ab196022 at 1/100 dilution, followed by Goat anti-rabbit IgG (Alexa Fluor® 488) (ab150077) secondary antibody at 1/500 dilution (green). The nuclear counter stain is DAPI (blue).

Nuclear staining on HeLa cell line is observed.

-ve control - Goat anti-rabbit IgG (Alexa Fluor® 488) (ab150077) secondary antibody at 1/500 dilution. The nuclear counter stain is DAPI (blue).

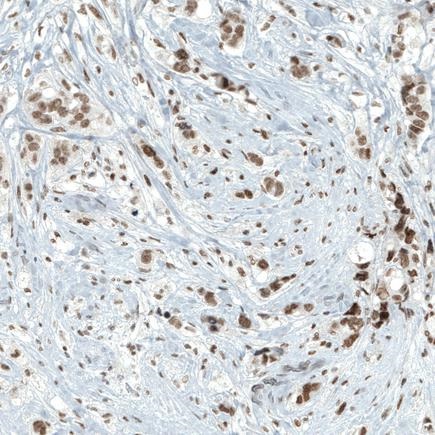
Immunohistochemistry (Formalin/PFA-fixed paraffin-embedded sections) - Anti-PBRM1/BAF180 antibody [EPR15860] (AB196022)
  • IHC-P

Lab

Immunohistochemistry (Formalin/PFA-fixed paraffin-embedded sections) - Anti-PBRM1/BAF180 antibody [EPR15860] (AB196022)

Immunohistochemical analysis of paraffin-embedded Human kidney tissue labeling PBRM1/BAF180 with ab196022 at 1/200 dilution.

Nuclear staining on human kidney

The primary antibody was incubated for 30 mins at room temperature.

The immunostaining was performed on a Leica Biosystems BOND® RX instrument

Counterstained with Hematoxylin.

Heat mediated antigen retrieval was performed with Tris-EDTA buffer (pH 9.0, Epitope Retrieval Solution2) for 20 mins.

Western blot - Anti-PBRM1/BAF180 antibody [EPR15860] (AB196022)
  • WB

Supplier Data

Western blot - Anti-PBRM1/BAF180 antibody [EPR15860] (AB196022)

5% NFDM/TBST : Blocking and diluting buffer.

All lanes:

Western blot - Anti-PBRM1/BAF180 antibody [EPR15860] (ab196022) at 1/10000 dilution

All lanes:

HeLa (Human epithelial cells from cervix adenocarcinoma) nuclear lysate at 10 µg

Secondary

All lanes:

Goat Anti-Rabbit IgG, (H+L), Peroxidase conjugated at 1/1000 dilution

Predicted band size: 193 kDa

Observed band size: 193 kDa

false

Exposure time: 15s

Western blot - Anti-PBRM1/BAF180 antibody [EPR15860] (AB196022)
  • WB

Supplier Data

Western blot - Anti-PBRM1/BAF180 antibody [EPR15860] (AB196022)

5% NFDM/TBST : Blocking and diluting buffer.

All lanes:

Western blot - Anti-PBRM1/BAF180 antibody [EPR15860] (ab196022) at 1/10000 dilution

All lanes:

Human fetal kidney lysate at 10 µg

Secondary

All lanes:

Goat Anti-Rabbit IgG, (H+L), Peroxidase conjugated at 1/1000 dilution

Predicted band size: 193 kDa

Observed band size: 193 kDa,35 kDa

false

Exposure time: 3min

Western blot - Anti-PBRM1/BAF180 antibody [EPR15860] (AB196022)
  • WB

Lab

Western blot - Anti-PBRM1/BAF180 antibody [EPR15860] (AB196022)

Lane 1 : Wild-type HAP1 cell lysate (20 μg)
Lane 2 : PBRM1/BAF180 knockout HAP1 cell lysate (20 μg)
Lane 3 : Human kidney tissue lysate (20 μg)
Lane 4 : HeLa cell lysate (20 μg)

Lanes 1 - 4 : Merged signal (red and green). Green - ab196022 observed at 193 kDa. Red - loading control, ab18058, observed at 124 kDa.

ab196022 was shown to recognize PBRM1/BAF180 when PBRM1/BAF180 knockout samples were used, along with additional cross-reactive bands. Wild-type and PBRM1/BAF180 knockout samples were subjected to SDS-PAGE. ab196022 and ab18058 (loading control to Vinculin) were diluted 1/5000 and 1/10000 respectively and incubated overnight at 4°C. Blots were developed with Goat anti-Rabbit IgG H&L (IRDye® 800CW) preadsorbed (ab216773) and Goat anti-Mouse IgG H&L (IRDye® 680RD) preadsorbed (ab216776) secondary antibodies at 1/10000 dilution for 1 hour at room temperature before imaging.

All lanes:

Western blot - Anti-PBRM1/BAF180 antibody [EPR15860] (ab196022)

Predicted band size: 193 kDa

false

不同偶联物与剂型 (1)

  • Carrier free

    Anti-PBRM1/BAF180 antibody [EPR15860] - BSA and Azide free

关键信息

宿主种属

Rabbit

克隆

Monoclonal

克隆号

EPR15860

亚型

IgG

不含载体蛋白

No

反应种属

Mouse, Human

应用

Flow Cyt (Intra), ICC/IF, IHC-P, WB

applications

免疫原

The exact immunogen used to generate this antibody is proprietary information.

反应性数据

{ "title": "Reactivity Data", "filters": { "stats": ["", "Species", "Dilution Info", "Notes"], "tabs": { "all-applications": {"fullname" : "All Applications", "shortname": "All Applications"}, "WB" : {"fullname" : "Western blot", "shortname":"WB"}, "ICCIF" : {"fullname" : "Immunocytochemistry/ Immunofluorescence", "shortname":"ICC/IF"}, "FlowCytIntra" : {"fullname" : "Flow Cytometry (Intracellular)", "shortname":"Flow Cyt (Intra)"}, "IHCP" : {"fullname" : "Immunohistochemistry (Formalin/PFA-fixed paraffin-embedded sections)", "shortname":"IHC-P"}, "IP" : {"fullname" : "Immunoprecipitation", "shortname":"IP"} }, "product-promise": { "all": "all", "testedAndGuaranteed": "tested", "guaranteed": "expected", "predicted": "predicted", "notRecommended": "not-recommended" } }, "values": { "Human": { "WB-species-checked": "testedAndGuaranteed", "WB-species-dilution-info": "1/10000", "WB-species-notes": "<p></p>", "ICCIF-species-checked": "testedAndGuaranteed", "ICCIF-species-dilution-info": "1/100", "ICCIF-species-notes": "<p></p>", "FlowCytIntra-species-checked": "testedAndGuaranteed", "FlowCytIntra-species-dilution-info": "", "FlowCytIntra-species-notes": "<p></p>", "IHCP-species-checked": "testedAndGuaranteed", "IHCP-species-dilution-info": "1/200", "IHCP-species-notes": "<p></p> Perform heat-mediated antigen retrieval with Tris/EDTA buffer pH 9.0 before commencing with IHC staining protocol.", "IP-species-checked": "notRecommended", "IP-species-dilution-info": "", "IP-species-notes": "<p></p>" }, "Mouse": { "WB-species-checked": "guaranteed", "WB-species-dilution-info": "1/10000", "WB-species-notes": "<p></p>", "ICCIF-species-checked": "guaranteed", "ICCIF-species-dilution-info": "1/100", "ICCIF-species-notes": "<p></p>", "FlowCytIntra-species-checked": "guaranteed", "FlowCytIntra-species-dilution-info": "", "FlowCytIntra-species-notes": "<p></p>", "IHCP-species-checked": "guaranteed", "IHCP-species-dilution-info": "1/2000", "IHCP-species-notes": "<p></p> Perform heat-mediated antigen retrieval with Tris/EDTA buffer pH 9.0 before commencing with IHC staining protocol.", "IP-species-checked": "notRecommended", "IP-species-dilution-info": "", "IP-species-notes": "<p></p>" }, "Rat": { "WB-species-checked": "predicted", "WB-species-dilution-info": "", "WB-species-notes": "", "ICCIF-species-checked": "predicted", "ICCIF-species-dilution-info": "", "ICCIF-species-notes": "", "FlowCytIntra-species-checked": "predicted", "FlowCytIntra-species-dilution-info": "", "FlowCytIntra-species-notes": "", "IHCP-species-checked": "predicted", "IHCP-species-dilution-info": "", "IHCP-species-notes": "", "IP-species-checked": "notRecommended", "IP-species-dilution-info": "", "IP-species-notes": "" } } }

产品详情

Patented technology
Our RabMAb® technology is a patented hybridoma-based technology for making rabbit monoclonal antibodies. For details on our patents, please refer to RabMAb® patents.

What are the advantages of a recombinant monoclonal antibody?
This product is a recombinant monoclonal antibody, which offers several advantages including:

  • - High batch-to-batch consistency and reproducibility
  • - Improved sensitivity and specificity
  • - Long-term security of supply
  • - Animal-free batch production

For more information, read more on recombinant antibodies.

性能和储存信息

形式
Liquid
纯化工艺
Affinity purification Protein A
存储溶液
pH: 7.2 - 7.4 Preservative: 0.01% Sodium azide Constituents: PBS, 40% Glycerol (glycerin, glycerine), 0.05% BSA
运输条件
Blue Ice
推荐的短期储存时间
1-2 weeks
推荐的短期储存条件
+4°C
推荐的长期储存条件
-20°C
分装信息
Upon delivery aliquot
储存信息
Avoid freeze / thaw cycle

补充信息

This supplementary information is collated from multiple sources and compiled automatically.

PBRM1 also known as BAF180 is an important component of the SWI/SNF chromatin remodeling complex. It has a molecular weight of approximately 187 kDa. Within the cell PBRM1 is expressed in various tissues but shows higher expression in kidney and breast tissues. Its role involves binding to acetylated histones which influences chromatin structure and gene expression regulation.
Biological function summary

The PBRM1/BAF180 protein functions as part of the SWI/SNF complex which includes the catalytic subunit BRG1 or BRM. This complex is important for altering chromatin architecture which regulates access of transcriptional machinery to DNA. It plays a significant role in the control of cell growth and differentiation processes. The structural integrity of PBRM1 is necessary for the functionality of the SWI/SNF complex.

Pathways

PBRM1/BAF180 is an important player in pathways involving chromatin remodeling and transcriptional regulation. It is implicated in the WNT signaling pathway interacting with proteins such as β-catenin to influence gene transcription. It also partakes in the p53 pathway where it contributes to the regulation of cell cycle and apoptosis by modulating p53 activity.

Mutations in PBRM1 are frequently observed in renal cell carcinoma. Its disruption affects chromatin remodeling which disrupts normal gene expression contributing to cancer progression. PBRM1 also relates to breast cancer where alterations can promote tumor formation. In these contexts the interaction of PBRM1 with other proteins like VHL in renal carcinoma helps elucidate its role in tumor suppression and development.

产品实验方案

For this product, it's our understanding that no specific protocols are required. You can visit:

靶点信息

Involved in transcriptional activation and repression of select genes by chromatin remodeling (alteration of DNA-nucleosome topology). Required for the stability of the SWI/SNF chromatin remodeling complex SWI/SNF-B (PBAF). Acts as a negative regulator of cell proliferation.
See full target information PBRM1

文献 (6)

Recent publications for all applications. Explore the full list and refine your search

Cancer research 83:3920-3939 PubMed37729394

2023

Fatty Acid Oxidation Mediated by Malonyl-CoA Decarboxylase Represses Renal Cell Carcinoma Progression.

Applications

Unspecified application

Species

Unspecified reactive species

Lijie Zhou,Yongbo Luo,Yuenan Liu,Youmiao Zeng,Junwei Tong,Mengting Li,Yaxin Hou,Kaixuan Du,Yabin Qi,Wenbang Pan,Yuanhao Liu,Rongli Wang,Fengyan Tian,Chaohui Gu,Ke Chen

International journal of molecular sciences 24: PubMed37569676

2023

Investigating the Role of in Renal Cell Carcinoma Metastasis with or Mutation.

Applications

Unspecified application

Species

Unspecified reactive species

Shan Xu,Xinfeng Hu,Yue Chong,Guodong Zhu

Epigenetics 18:2183339 PubMed36866611

2023

Coordinated alternation of DNA methylation and alternative splicing of PBRM1 affect bovine sperm structure and motility.

Applications

Unspecified application

Species

Unspecified reactive species

Chunhong Yang,Yao Xiao,Xiuge Wang,Xiaochao Wei,Jinpeng Wang,Yaping Gao,Qiang Jiang,Zhihua Ju,Yaran Zhang,Wenhao Liu,Ning Huang,Yanqin Li,Yundong Gao,Lingling Wang,Jinming Huang

Aging 12:21809-21836 PubMed33177244

2020

CCL5-dependent mast cell infiltration into the tumor microenvironment in clear cell renal cell carcinoma patients.

Applications

Unspecified application

Species

Unspecified reactive species

Tianjie Liu,Qing Xia,Haibao Zhang,Zixi Wang,Wenjie Yang,Xiaoyun Gu,Tao Hou,Yule Chen,Xinqi Pei,Guodong Zhu,Dalin He,Lei Li,Shan Xu

International journal of clinical oncology 25:338-346 PubMed31720994

2019

Expression of PBRM1 as a prognostic predictor in metastatic renal cell carcinoma patients treated with tyrosine kinase inhibitor.

Applications

Unspecified application

Species

Unspecified reactive species

Wen Cai,Zaoyu Wang,Biao Cai,Yichu Yuan,Wen Kong,Jin Zhang,Yonghui Chen,Qiang Liu,Yiran Huang,Jiwei Huang,Wei Xue

Molecular reproduction and development 84:1238-1249 PubMed29024220

2017

Differential expression of key subunits of SWI/SNF chromatin remodeling complexes in porcine embryos derived in vitro or in vivo.

Applications

ICC/IF

Species

Unspecified reactive species

Birgit Cabot,Yu-Chun Tseng,Jennifer S Crodian,Ryan Cabot
View all publications

Abcam Product Promise

我们致力于为您的研究提供高质量的试剂,为您科研的每一步提供支持。若我们的产品未能达到预期性能,我们向您提供 Abcam Product Promise 保障。
详情请参阅我们的条款与条件。

Please note: All products are 'FOR RESEARCH USE ONLY. NOT FOR USE IN DIAGNOSTIC OR THERAPEUTIC PROCEDURES'.

For licensing inquiries, please contact partnerships@abcam.com