JavaScript is disabled in your browser. Please enable JavaScript to view this website.
AB15164

Anti-PAX5 抗体

Anti-PAX5 antibody

5

(2 Reviews)

|

(7 Publications)

Rabbit Polyclonal PAX5 antibody. Suitable for IP, IHC-P and reacts with Human samples. Cited in 7 publications.

查看别名

Paired box protein Pax-5, B-cell-specific transcription factor, BSAP, PAX5

2 Images
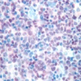
Immunohistochemistry (Formalin/PFA-fixed paraffin-embedded sections) - Anti-PAX5 antibody (AB15164)
  • IHC-P

Unknown

Immunohistochemistry (Formalin/PFA-fixed paraffin-embedded sections) - Anti-PAX5 antibody (AB15164)

ab15164 staining PAX5 in human tonsil by Immunohistochemistry (FFPE-sections).

Immunoprecipitation - Anti-PAX5 antibody (AB15164)
  • IP

Lab

Immunoprecipitation - Anti-PAX5 antibody (AB15164)

PAX5 was immunoprecipitated using 0.5mg Ramos whole cell extract, 5μg of Rabbit polyclonal to PAX5 and 50μl of protein G magnetic beads (+). No antibody was added to the control (-).

The antibody was incubated under agitation with Protein G beads for 10min, Ramos whole cell extract lysate diluted in RIPA buffer was added to each sample and incubated for a further 10min under agitation.

Proteins were eluted by addition of 40μl SDS loading buffer and incubated for 10min at 70°C; 10μl of each sample was separated on a SDS PAGE gel, transferred to a nitrocellulose membrane, blocked with 5% BSA and probed with ab15164.

Secondary : Mouse monoclonal [SB62a] Secondary Antibody to Rabbit IgG light chain (HRP) (ab99697).

Band : 42kDa; PAX5

All lanes:

Immunoprecipitation - Anti-PAX5 antibody (ab15164)

Predicted band size: 42 kDa

true

Exposure time: 20min

关键信息

宿主种属

Rabbit

克隆

Polyclonal

亚型

IgG

不含载体蛋白

No

反应种属

Human

应用

IP, IHC-P

applications

免疫原

The exact immunogen used to generate this antibody is proprietary information.

反应性数据

{ "title": "Reactivity Data", "filters": { "stats": ["", "Species", "Dilution Info", "Notes"], "tabs": { "all-applications": {"fullname" : "All Applications", "shortname": "All Applications"}, "IP" : {"fullname" : "Immunoprecipitation", "shortname":"IP"}, "IHCP" : {"fullname" : "Immunohistochemistry (Formalin/PFA-fixed paraffin-embedded sections)", "shortname":"IHC-P"} }, "product-promise": { "all": "all", "testedAndGuaranteed": "tested", "guaranteed": "expected", "predicted": "predicted", "notRecommended": "not-recommended" } }, "values": { "Human": { "IP-species-checked": "testedAndGuaranteed", "IP-species-dilution-info": "", "IP-species-notes": "<p></p>", "IHCP-species-checked": "testedAndGuaranteed", "IHCP-species-dilution-info": "1/50", "IHCP-species-notes": "<p></p>" }, "Mouse": { "IP-species-checked": "predicted", "IP-species-dilution-info": "", "IP-species-notes": "", "IHCP-species-checked": "predicted", "IHCP-species-dilution-info": "", "IHCP-species-notes": "" }, "Rat": { "IP-species-checked": "predicted", "IP-species-dilution-info": "", "IP-species-notes": "", "IHCP-species-checked": "predicted", "IHCP-species-dilution-info": "", "IHCP-species-notes": "" } } }

您是否考虑以下替代产品?

AB109443

Anti-PAX5 antibody [EPR3730(2)]

5
4 Reviews
查看产品
为什么推荐这个?

为向您提供最高品质的产品,我们在不断升级产品范围。我们选择了这个替代产品供您参考,因为它提供了更好的性能,更容易和更方便的使用,或交期更快。

性能和储存信息

形式
Liquid
纯化工艺
Affinity purification Immunogen
存储溶液
pH: 7.6 Preservative: 0.1% Sodium azide Constituents: PBS, 1% BSA
运输条件
Blue Ice
推荐的短期储存条件
+4°C
推荐的长期储存条件
-20°C
分装信息
Upon delivery aliquot
储存信息
Avoid freeze / thaw cycle

补充信息

This supplementary information is collated from multiple sources and compiled automatically.

PAX5 also called B-cell-specific activator protein (BSAP) plays an important role in regulating gene expression during B-cell development. PAX5 is a transcription factor with an approximate mass of 50-55 kDa. It expresses mainly in B cells and in certain regions of the brain and testis. This protein binds DNA and controls the transcription of genes necessary for B-cell commitment and identity. Through processes like alternative splicing PAX5 generates multiple isoforms that contribute to various functional roles in its expressed locations.
Biological function summary

PAX5 regulates the differentiation and maintenance of B-lymphocytes. It controls various genes critical for B-cell lineage commitment while repressing those involved in other lineages like T-cells and myeloid cells. PAX5 is part of a larger transcriptional complex interacting with other transcription factors to perform its function. During B-cell maturation PAX5 activates a specific gene set that helps shape the B-cell receptor repertoire a process important for effective immune responses.

Pathways

PAX5 integrates into key pathways such as the B-cell receptor signaling and JAK-STAT pathways. These pathways regulate processes like cell proliferation differentiation and apoptosis. In the B-cell receptor signaling PAX5 works alongside proteins like CD19 and BTK facilitating the transmission of activation signals necessary for B-cell survival. Connections in the JAK-STAT pathway involve interactions that promote gene expression changes necessary for B-cell functional activity further modulating the immune system's readiness.

PAX5 is significantly associated with B-cell acute lymphoblastic leukemia (B-ALL) and non-Hodgkin lymphoma. In B-ALL mutations or deletions in PAX5 often lead to impaired B-cell development and uncontrolled cell proliferation. PAX5 mutations influence proteins like EBF1 and IL7R which are pivotal in B-cell progenitor activity and leukemogenesis. abnormalities in PAX5 expression or function can disrupt normal immune function leading to B-cell associated cancers and impairing immune surveillance highlighting its importance in maintaining immune system health.

产品实验方案

For this product, it's our understanding that no specific protocols are required. You can visit:

靶点信息

Transcription factor that plays an essential role in commitment of lymphoid progenitors to the B-lymphocyte lineage (PubMed : 10811620, PubMed : 27181361). Fulfills a dual role by repressing B-lineage inappropriate genes and simultaneously activating B-lineage-specific genes (PubMed : 10811620, PubMed : 27181361). In turn, regulates cell adhesion and migration, induces V(H)-to-D(H)J(H) recombination, facilitates pre-B-cell receptor signaling and promotes development to the mature B-cell stage (PubMed : 32612238). Repression of the cohesin-release factor WAPL causes global changes of the chromosomal architecture in pro-B cells to facilitate the generation of a diverse antibody repertoire (PubMed : 32612238).. (Microbial infection) Plays an essential role in the maintenance of Epstein-Barr virus genome copy number within the host cell by promoting EBNA1/oriP-dependent binding and transcription (PubMed : 31941781). Participates also in the inhibition of lytic EBV reactivation by modulating viral BZLF1 activity (PubMed : 23678172).
See full target information PAX5

文献 (7)

Recent publications for all applications. Explore the full list and refine your search

Science advances 8:eadd6403 PubMed36516256

2022

PAX5 epigenetically orchestrates CD58 transcription and modulates blinatumomab response in acute lymphoblastic leukemia.

Applications

Unspecified application

Species

Unspecified reactive species

Yizhen Li,Takaya Moriyama,Satoshi Yoshimura,Xujie Zhao,Zhenhua Li,Xu Yang,Elisabeth Paietta,Mark R Litzow,Marina Konopleva,Jiyang Yu,Hiroto Inaba,Raul C Ribeiro,Ching-Hon Pui,Jun J Yang

PloS one 16:e0257977 PubMed34570823

2021

Transcription factors Krüppel-like factor 4 and paired box 5 regulate the expression of the Grainyhead-like genes.

Applications

Unspecified application

Species

Unspecified reactive species

Grzegorz Kotarba,Agnieszka Taracha-Wisniewska,Michal Miller,Michal Dabrowski,Tomasz Wilanowski

Journal of toxicologic pathology 34:161-180 PubMed33976473

2021

Databases for technical aspects of immunohistochemistry: 2021 update.

Applications

Unspecified application

Species

Unspecified reactive species

Takayasu Moroki,Saori Matsuo,Hirofumi Hatakeyama,Seigo Hayashi,Izumi Matsumoto,Satoshi Suzuki,Takashi Kotera,Kazuyoshi Kumagai,Kiyokazu Ozaki

Nature cancer 1:329-344 PubMed32885175

2020

Integrative genomic analyses reveal mechanisms of glucocorticoid resistance in acute lymphoblastic leukemia.

Applications

Unspecified application

Species

Unspecified reactive species

Robert J Autry,Steven W Paugh,Robert Carter,Lei Shi,Jingjing Liu,Daniel C Ferguson,Calvin E Lau,Erik J Bonten,Wenjian Yang,J Robert McCorkle,Jordan A Beard,John C Panetta,Jonathan D Diedrich,Kristine R Crews,Deqing Pei,Christopher J Coke,Sivaraman Natarajan,Alireza Khatamian,Seth E Karol,Elixabet Lopez-Lopez,Barthelemy Diouf,Colton Smith,Yoshihiro Gocho,Kohei Hagiwara,Kathryn G Roberts,Stanley Pounds,Steven M Kornblau,Wendy Stock,Elisabeth M Paietta,Mark R Litzow,Hiroto Inaba,Charles G Mullighan,Sima Jeha,Ching-Hon Pui,Cheng Cheng,Daniel Savic,Jiyang Yu,Charles Gawad,Mary V Relling,Jun J Yang,William E Evans

Journal of toxicologic pathology 30:79-107 PubMed28190929

2017

Databases for technical aspects of immunohistochemistry.

Applications

IHC

Species

Dog

Satoshi Furukawa,Mika Nagaike,Kiyokazu Ozaki

Nucleic acids research 45:5086-5099 PubMed28158851

2017

p27Kip1, PCAF and PAX5 cooperate in the transcriptional regulation of specific target genes.

Applications

Unspecified application

Species

Unspecified reactive species

Anna Perearnau,Serena Orlando,Abul B M M K Islam,Edurne Gallastegui,Jonatan Martínez,Albert Jordan,Anna Bigas,Rosa Aligué,Maria Jesús Pujol,Oriol Bachs

The Journal of biological chemistry 287:27396-406 PubMed22736761

2012

Contribution of microRNA-1275 to Claudin11 protein suppression via a polycomb-mediated silencing mechanism in human glioma stem-like cells.

Applications

WB

Species

Human

Keisuke Katsushima,Keiko Shinjo,Atsushi Natsume,Fumiharu Ohka,Makiko Fujii,Hirotaka Osada,Yoshitaka Sekido,Yutaka Kondo
View all publications

Abcam Product Promise

我们致力于为您的研究提供高质量的试剂,为您科研的每一步提供支持。若我们的产品未能达到预期性能,我们向您提供 Abcam Product Promise 保障。
详情请参阅我们的条款与条件。

关联产品

Select an associated product type
Alternative Product
Primary Antibodies

AB202956

Biotin Anti-PAX5 antibody [EPR3730(2)]

primary-antibodies

biotin-pax5-antibody-epr37302-ab202956

0

(0 reviews)

Alternative Product
Primary Antibodies

AB193556

Anti-PAX5 antibody [EPR3730(2)] - BSA and Azide free

primary-antibodies

pax5-antibody-epr37302-bsa-and-azide-free-ab193556

0

(0 reviews)

Alternative Product
Primary Antibodies

AB237773

Anti-PAX5 antibody [SP34] - BSA and Azide free

primary-antibodies

pax5-antibody-sp34-bsa-and-azide-free-ab237773

0

(0 reviews)

Alternative Product
Primary Antibodies

AB227635

Anti-PAX5 antibody [SP34] - ChIP Grade

primary-antibodies

pax5-antibody-sp34-chip-grade-ab227635

0

(0 reviews)

Alternative Product
Primary Antibodies

AB202837

HRP Anti-PAX5 antibody [EPR3730(2)]

primary-antibodies

hrp-pax5-antibody-epr37302-ab202837

0

(0 reviews)

Alternative Product
Primary Antibodies

AB246754

PE Anti-PAX5 antibody [EPR3730(2)]

primary-antibodies

pe-pax5-antibody-epr37302-ab246754

0

(0 reviews)

Alternative Product
Primary Antibodies

AB52588

Anti-PAX5 antibody [mAbcam52588]

primary-antibodies

pax5-antibody-mabcam52588-ab52588

0

(0 reviews)

Please note: All products are 'FOR RESEARCH USE ONLY. NOT FOR USE IN DIAGNOSTIC OR THERAPEUTIC PROCEDURES'.

For licensing inquiries, please contact partnerships@abcam.com