JavaScript is disabled in your browser. Please enable JavaScript to view this website.
AB166631

重组Anti-Parathyroid Hormone抗体[EPR8480]

Anti-Parathyroid Hormone antibody [EPR8480]

Be the first to review this product! Submit a review

|

(3 Publications)

Rabbit Recombinant Monoclonal Parathyroid Hormone antibody. Suitable for IHC-P, WB and reacts with Human samples. Cited in 3 publications.

查看别名

Parathyroid hormone, PTH, Parathormone, Parathyrin

2 Images
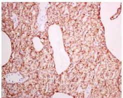
Immunohistochemistry (Formalin/PFA-fixed paraffin-embedded sections) - Anti-Parathyroid Hormone antibody [EPR8480] (AB166631)
  • IHC-P

Unknown

Immunohistochemistry (Formalin/PFA-fixed paraffin-embedded sections) - Anti-Parathyroid Hormone antibody [EPR8480] (AB166631)

Immunohistochemical analysis of paraffin embedded Human parathyroid gland tissue labeling Parathyroid Hormone with ab166631 at a 1/100 dilution.

Perform heat mediated antigen retrieval with citrate buffer pH 6 before commencing with IHC staining protocol.

Western blot - Anti-Parathyroid Hormone antibody [EPR8480] (AB166631)
  • WB

Unknown

Western blot - Anti-Parathyroid Hormone antibody [EPR8480] (AB166631)

All lanes:

Western blot - Anti-Parathyroid Hormone antibody [EPR8480] (ab166631) at 1/1000 dilution

All lanes:

10 ng of tagged Human Parathyroid Hormone recombinant protein

Predicted band size: 13 kDa

false

关键信息

宿主种属

Rabbit

克隆

Monoclonal

克隆号

EPR8480

亚型

IgG

不含载体蛋白

No

反应种属

Human

应用

IHC-P, WB

applications

免疫原

The exact immunogen used to generate this antibody is proprietary information.

反应性数据

{ "title": "Reactivity Data", "filters": { "stats": ["", "Species", "Dilution Info", "Notes"], "tabs": { "all-applications": {"fullname" : "All Applications", "shortname": "All Applications"}, "IHCP" : {"fullname" : "Immunohistochemistry (Formalin/PFA-fixed paraffin-embedded sections)", "shortname":"IHC-P"}, "IP" : {"fullname" : "Immunoprecipitation", "shortname":"IP"}, "WB" : {"fullname" : "Western blot", "shortname":"WB"}, "ICCIF" : {"fullname" : "Immunocytochemistry/ Immunofluorescence", "shortname":"ICC/IF"} }, "product-promise": { "all": "all", "testedAndGuaranteed": "tested", "guaranteed": "expected", "predicted": "predicted", "notRecommended": "not-recommended" } }, "values": { "Human": { "IHCP-species-checked": "testedAndGuaranteed", "IHCP-species-dilution-info": "1/100 - 1/250", "IHCP-species-notes": "<p></p>", "IP-species-checked": "notRecommended", "IP-species-dilution-info": "", "IP-species-notes": "<p></p>", "WB-species-checked": "testedAndGuaranteed", "WB-species-dilution-info": "1/1000 - 1/5000", "WB-species-notes": "<p>We have no preliminary WB testing data in natural sample.</p>", "ICCIF-species-checked": "notRecommended", "ICCIF-species-dilution-info": "", "ICCIF-species-notes": "<p></p>" } } }

产品详情

Species reactivity
Mouse, Rat: We have preliminary internal testing data to indicate this antibody may not react with these species.
Please contact us for more information.

Patented technology
Our RabMAb® technology is a patented hybridoma-based technology for making rabbit monoclonal antibodies. For details on our patents, please refer to RabMAb® patents.

What are the advantages of a recombinant monoclonal antibody?
This product is a recombinant monoclonal antibody, which offers several advantages including:

  • - High batch-to-batch consistency and reproducibility
  • - Improved sensitivity and specificity
  • - Long-term security of supply
  • - Animal-free batch production

For more information, read more on recombinant antibodies.

性能和储存信息

形式
Liquid
纯度
Tissue culture supernatant
存储溶液
pH: 7.2 - 7.4 Preservative: 0.01% Sodium azide Constituents: PBS, 50% Tissue culture supernatant, 40% Glycerol (glycerin, glycerine), 0.05% BSA
运输条件
Blue Ice
推荐的短期储存条件
+4°C
推荐的长期储存条件
-20°C
分装信息
Upon delivery aliquot
储存信息
Avoid freeze / thaw cycle

补充信息

This supplementary information is collated from multiple sources and compiled automatically.

Parathyroid hormone (PTH) also known as the parathyrin is a hormone protein with a molecular mass of about 9.4 kDa. It is synthesized and secreted by the chief cells of the parathyroid glands. PTH plays an important role in regulating calcium levels in the blood. Its molecular action involves binding to PTH receptors which are mainly located in bones and kidneys to increase calcium concentration by promoting its release from bones and reabsorption in the kidneys. This hormone is also present in the bloodstream as a parathyroid hormone peptide.
Biological function summary

PTH regulates calcium and phosphate metabolism in the body. It does not function as part of a larger complex but acts independently to control these important minerals. The hormone affects osteoclast activity in bones enhancing calcium and phosphate release. Additionally in the kidneys it reduces phosphate reabsorption while increasing calcium reabsorption. This balance maintained by PTH is essential for bone health and metabolic functions often associated with parathyroid hormone-related proteins in its activity.

Pathways

PTH is integral to the calcium signaling pathway and the renal phosphate reabsorption pathway. PTH works in concert with vitamin D to enhance intestinal calcium absorption. Calcitriol the active form of vitamin D depends on PTH for its synthesis in the kidneys linking the two in calcium homeostasis. Through these pathways PTH also interacts with the calcitonin hormone to moderate calcium levels creating a balance between mineral deposition and resorption in bones.

PTH is closely associated with hyperparathyroidism and hypoparathyroidism known as pan hypoparathyroidism when complete underactivity of the parathyroid glands occurs. In hyperparathyroidism an overproduction of PTH leads to high blood calcium levels and associated symptoms. Conversely hypoparathyroidism results in low calcium levels due to insufficient PTH secretion. Both conditions affect calcium metabolism and relate to proteins like calcium-sensing receptor and PTH-related peptide highlighting how critical PTH's function is in endocrine and metabolic health.

产品实验方案

For this product, it's our understanding that no specific protocols are required. You can visit:

靶点信息

Parathyroid hormone elevates calcium level by dissolving the salts in bone and preventing their renal excretion (PubMed : 11604398, PubMed : 35932760). Acts by binding to its receptor, PTH1R, activating G protein-coupled receptor signaling (PubMed : 18375760, PubMed : 35932760). Stimulates [1-14C]-2-deoxy-D-glucose (2DG) transport and glycogen synthesis in osteoblastic cells (PubMed : 21076856).
See full target information Parathyroid hormone

文献 (3)

Recent publications for all applications. Explore the full list and refine your search

Frontiers in toxicology 5:1277047 PubMed38259729

2024

Astrocyte DNA damage and response upon acute exposure to ethanol and corticosterone.

Applications

Unspecified application

Species

Unspecified reactive species

Ana Laura Reyes-Ábalos,Magdalena Álvarez-Zabaleta,Silvia Olivera-Bravo,María Vittoria Di Tomaso

Cancer management and research 12:13285-13300 PubMed33380835

2020

Long Non-Coding RNA ZNF667-AS1 Knockdown Curbs Liver Metastasis in Acute Myeloid Leukemia by Regulating the microRNA-206/AKAP13 Axis.

Applications

Unspecified application

Species

Unspecified reactive species

Nan Wang,Yanping Feng,Jinye Xie,Hui Han,Qian Dong,Weijia Wang

The Journal of clinical investigation 124:2059-70 PubMed24691443

2014

Ciliopathy proteins regulate paracrine signaling by modulating proteasomal degradation of mediators.

Applications

WB

Species

Unspecified reactive species

Yangfan P Liu,I-Chun Tsai,Manuela Morleo,Edwin C Oh,Carmen C Leitch,Filomena Massa,Byung-Hoon Lee,David S Parker,Daniel Finley,Norann A Zaghloul,Brunella Franco,Nicholas Katsanis
View all publications

Abcam Product Promise

我们致力于为您的研究提供高质量的试剂,为您科研的每一步提供支持。若我们的产品未能达到预期性能,我们向您提供 Abcam Product Promise 保障。
详情请参阅我们的条款与条件。

Please note: All products are 'FOR RESEARCH USE ONLY. NOT FOR USE IN DIAGNOSTIC OR THERAPEUTIC PROCEDURES'.

For licensing inquiries, please contact partnerships@abcam.com