JavaScript is disabled in your browser. Please enable JavaScript to view this website.
AB7753

Anti-pan Cytokeratin 抗体 [C-11]

Anti-pan Cytokeratin antibody [C-11]

  • BOND RX™ Validated
  • Recombinant
  • Lab Essentials
  • Advanced Validation
  • 了解详情

4

(23 Reviews)

|

(224 Publications)

Anti-pan Cytokeratin antibody [C-11] (ab7753) is a mouse monoclonal antibody detecting pan Cytokeratin in Flow Cytometry (Intra), Flow Cytometry, IHC-P, IHC-Fr, ICC/IF, mIHC. Suitable for Human, Mouse, Rat.

- Multiplex IHC validated on the Leica BOND® MAX using Opal reagents
- Over 140 publications
- Trusted since 2001

查看别名

KRTA, KRT1, 67 kDa cytokeratin, Cytokeratin-1, Hair alpha protein, Keratin-1, Type-II keratin Kb1, CK-1, K1

18 Images
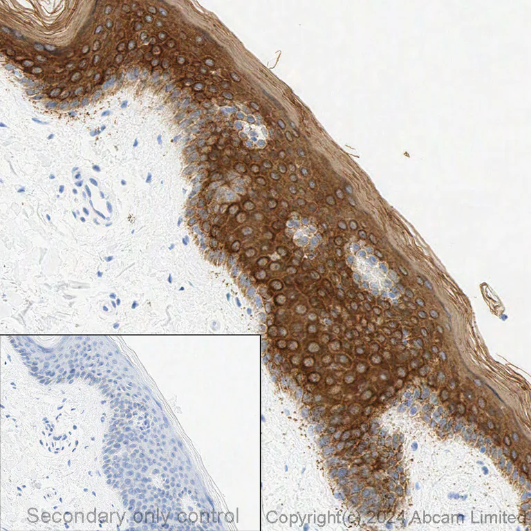
Immunohistochemistry (Frozen sections) - Anti-pan Cytokeratin antibody [C-11] (AB7753)
  • IHC-Fr

Lab

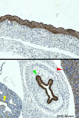
Immunohistochemistry (Frozen sections) - Anti-pan Cytokeratin antibody [C-11] (AB7753)

IHC image of pan cytokeratin staining in a section of frozen normal mouse large intestine performed on a Leica BONDTM system using the standard protocol. The section was fixed in 10% paraformaldehyde (10 min) prior to staining. The section was incubated with ab7753, 1μg/ml, for 15 mins at room temperature. A goat anti-mouse IgG1 bridging antibody, ab125913, was added for 8 mins at room temperature and detected using an HRP conjμgated compact polymer system. DAB was used as the chromogen. The section was then counterstained with haematoxylin and mounted with DPX. The inset secondary-only control image is taken from an identical assay without primary antibody.

Immunohistochemistry (Formalin/PFA-fixed paraffin-embedded sections) - Anti-pan Cytokeratin antibody [C-11] (AB7753)
  • IHC-P

AbReview28264****

Immunohistochemistry (Formalin/PFA-fixed paraffin-embedded sections) - Anti-pan Cytokeratin antibody [C-11] (AB7753)

This image was generated from the hybridoma version of the product.

ab7753 staining human skin sections by IHC-P. The tissue was fixed with formaldehyde and a heat mediated antigen retrival step was performed with citric acid pH 6. Blocking of the sample was done with 1% BSA for 10 minutes at 21°C, followed by staining with ab7753 at 1/250 in TBS/BSA/azide for 2h at 21°C. A biotinylated goat anti-rabbit polyclonal antibody at 1/200 was used as the secondary antibody.

This image is courtesy of an Abreview submitted by Carl Hobbs

Multiplex immunohistochemistry - Anti-pan Cytokeratin antibody [C-11] (AB7753)
  • mIHC

Collaborator

Multiplex immunohistochemistry - Anti-pan Cytokeratin antibody [C-11] (AB7753)

Fluorescence multiplex immunohistochemical analysis of Human breast cancer tissue (formalin-fixed paraffin-embedded section).

Merged staining of Anti-PD-L1 (ab251611; cyan; Opal™ 520), Anti-Granzyme B (ab219803; yellow; Opal™ 540), Anti-PD1 (ab251613; magenta; Opal™ 570), Anti-pan Cytokeratin (ab264485; red; Opal™ 620), Anti-EpCAM (ab225894; red; Opal™ 620), Anti-CD8 alpha (ab251596; green; Opal™ 650) and Anti-FOXP3 (ab96048; orange; Opal™ 690). EpCAM and pan-cytokeratin share the same dye and color. Dyes are pseudo-colored for better contrast of the markers.

The immunostaining was performed on a Leica Biosystems BOND® MAX instrument with an Opal™ 6-Plex Detection Kit (NEL821001KT, Akoya Biosciences®).

The section was incubated in six rounds of staining; sequentially for ab251611 (1/750 dilution), ab219803 (1/250 dilution), ab251613 (1/750 dilution), ab264485 (0.5 μg/ml), ab225894 (1/1250 dilution), ab251596 (1/1500 dilution) and ab96048 (10 μg/ml); each using a separate fluorescent tyramide signal amplification system. EDTA based antigen retrieval (Leica Biosystems BOND® Epitope Retrieval Solution 2, pH 9.0, 20 minutes) was used in between rounds of tyramide signal amplification to remove the antibody from the previous round, to avoid any cross-reactivity. DAPI (dark blue) was used as a nuclear counter stain.
Microscopy and pseudocoloring of individual Opal™ dyes was performed using a Vectra 3 Imaging System (Akoya Biosciences®).

This data is courtesy of ImmunoAtlas and it can be found here.

This image is courtesy of ImmunoAtlas.

Multiplex immunohistochemistry - Anti-pan Cytokeratin antibody [C-11] (AB7753)
  • mIHC

Collaborator

Multiplex immunohistochemistry - Anti-pan Cytokeratin antibody [C-11] (AB7753)

Fluorescence multiplex immunohistochemical analysis of Human breast cancer tissue (formalin-fixed paraffin-embedded section).

Merged staining of Anti-PD-L1 (ab251611; cyan; Opal™ 520), Anti-Granzyme B (ab219803; yellow; Opal™ 540), Anti-PD1 (ab251613; magenta; Opal™ 570), Anti-pan Cytokeratin (ab264485; red; Opal™ 620), Anti-EpCAM (ab225894; red; Opal™ 620), Anti-CD8 alpha (ab251596; green; Opal™ 650) and Anti-FOXP3 (ab96048; orange; Opal™ 690). EpCAM and pan-cytokeratin share the same dye and color. Dyes are pseudo-colored for better contrast of the markers.

The immunostaining was performed on a Leica Biosystems BOND® MAX instrument with an Opal™ 6-Plex Detection Kit (NEL821001KT, Akoya Biosciences®).

The section was incubated in six rounds of staining; sequentially for ab251611 (1/750 dilution), ab219803 (1/250 dilution), ab251613 (1/750 dilution), ab264485 (0.5 μg/ml), ab225894 (1/1250 dilution), ab251596 (1/1500 dilution) and ab96048 (10 μg/ml); each using a separate fluorescent tyramide signal amplification system. EDTA based antigen retrieval (Leica Biosystems BOND® Epitope Retrieval Solution 2, pH 9.0, 20 minutes) was used in between rounds of tyramide signal amplification to remove the antibody from the previous round, to avoid any cross-reactivity. DAPI (dark blue) was used as a nuclear counter stain.
Microscopy and pseudocoloring of individual Opal™ dyes was performed using a Vectra 3 Imaging System (Akoya Biosciences®).

This data is courtesy of ImmunoAtlas and it can be found here.

This image is courtesy of ImmunoAtlas.

Multiplex immunohistochemistry - Anti-pan Cytokeratin antibody [C-11] (AB7753)
  • mIHC

Supplier Data

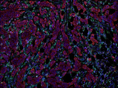
Multiplex immunohistochemistry - Anti-pan Cytokeratin antibody [C-11] (AB7753)

Fluorescence multiplex immunohistochemical analysis of normal human tonsil tissue (formalin-fixed paraffin-embedded section).

Merged staining of anti-PD1 (ab237728; orange; Opal™520) anti-PDL1 (ab237726; green; Opal™540) anti-CD68 (ab192847; yellow; Opal™570) anti-CD3 epsilon (ab16669; red; Opal™620) anti-Ki67 (ab16667; light blue; Opal™650) and anti-PanCK (ab7753; grey; Opal™690).

The immunostaining was performed on a Leica Biosystems BOND® RX instrument with an Opal™ 7-color automation IHC kit (NEL821001KT Akoya Biosciences®).

The section was incubated in six rounds of staining; in the order of ab237728 (1/500 dilution), ab237726 (1/500 dilution), ab192847 (1/300 dilution), ab16669 (1/300 dilution), ab16667 (1/200 dilution) and ab7753 (1/200 dilution); each using a separate fluorescent tyramide signal amplification system.

Sodium citrate antigen retrieval (Leica ER1 pH6.0 30 minutes) was used in between rounds of tyramide signal amplification to remove the antibody from the previous round to avoid any cross-reactivity.

DAPI (dark blue) was used as a nuclear counter stain.

Microscopy and pseudocoloring of individual Opal™ dyes was performed using a Vectra Polaris.

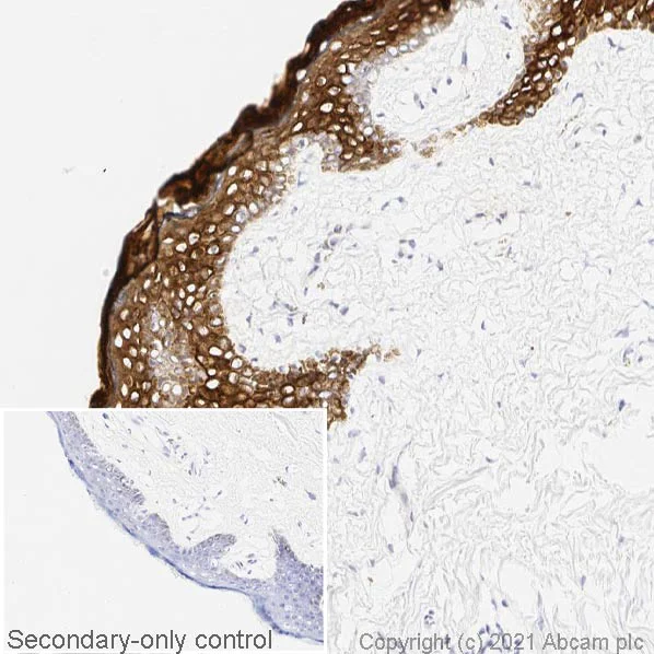
Immunohistochemistry (Formalin/PFA-fixed paraffin-embedded sections) - Anti-pan Cytokeratin antibody [C-11] (AB7753)
  • IHC-P

Lab

Immunohistochemistry (Formalin/PFA-fixed paraffin-embedded sections) - Anti-pan Cytokeratin antibody [C-11] (AB7753)

Immunohistochemical analysis of formalin fixed paraffin embedded human skin labelling pan Cytokeratin with ab7753 at a concentration of 0.1µg/ml. The immunostaining was performed on a Ventana DISCOVERY ULTRA (Roche Tissue Diagnostics) instrument with a OptiView DAB IHC Detection Kit. Heat mediated antigen retrieval was performed with DISCOVERY cell conditioning solution (CC1) 100°C, pH8.5 for 32mins.

ab7753 Anti-pan Cytokeratin antibody [C-11] was incubated for 16mins at 37°C. Sections were counterstained with Hematoxylin II. Image inset shows absence of staining in secondary antibody only control.

Customers are encouraged to optimise antigen retrieval conditions, antibody concentration, incubation times and temperature for best results in their own IHC assay workflow (automated and manual).

Immunohistochemistry (Formalin/PFA-fixed paraffin-embedded sections) - Anti-pan Cytokeratin antibody [C-11] (AB7753)
  • IHC-P

Lab

Immunohistochemistry (Formalin/PFA-fixed paraffin-embedded sections) - Anti-pan Cytokeratin antibody [C-11] (AB7753)

IHC image of pan cytokeratin staining in a section of formalin-fixed paraffin-embedded normal human skin* performed on a Leica BONDTM system using the standard protocol F. The section was pre-treated using heat mediated antigen retrieval with sodium citrate buffer (pH6,epitope retrieval solution 1) for 20mins. The section was then incubated with ab7753, 1μg/ml, for 15 mins at room temperature and detected using an HRP conjμgated compact polymer system. DAB was used as the chromogen. The section was then counterstained with haematoxylin and mounted with DPX. The inset secondary-only control image is taken from an identical assay without primary antibody.
For other IHC staining systems (automated and non-automated) customers should optimize variable parameters such as antigen retrieval conditions,primary antibody concentration and antibody incubation times.
*Tissue obtained from the Human Research Tissue Bank,supported by the NIHR Cambridge Biomedical Research Centre

Immunocytochemistry/ Immunofluorescence - Anti-pan Cytokeratin antibody [C-11] (AB7753)
  • ICC/IF

Lab

Immunocytochemistry/ Immunofluorescence - Anti-pan Cytokeratin antibody [C-11] (AB7753)

ab7753 staining pan Cytokeratin in A431 cells. The cells were fixed with 4% paraformaldehyde (10 min),permeabilized with 0.1% PBS-Triton X-100 for 5 minutes and then blocked with 1% BSA/10% normal goat serum/0.3M glycine in 0.1%PBS-Tween for 1h. The cells were then incubated overnight at 4°C with ab7753 at 1μg/ml and ab6046,Rabbit polyclonal to beta Tubulin - Loading Control. Cells were then incubated with ab150117,Goat polyclonal Secondary Antibody to Mouse IgG H&L (Alexa Fluor® 488) preadsorbed at 1/1000 dilution (shown in green) and ab150080,Goat polyclonal Secondary Antibody to Rabbit IgG - H&L (Alexa Fluor® 594) at 1/1000 dilution (shown in pseudocolour red). Nuclear DNA was labelled with DAPI (shown in blue). Also suitable in cells fixed with 100% methanol (5 min).

Image was acquired with a high-content analyser (Operetta CLS,Perkin Elmer) and a maximum intensity projection of confocal sections is shown.

Image was acquired with a high-content analyser (Operetta CLS,Perkin Elmer) and a maximum intensity projection of confocal sections is shown.

Immunohistochemistry (Frozen sections) - Anti-pan Cytokeratin antibody [C-11] (AB7753)
  • IHC-Fr

Lab

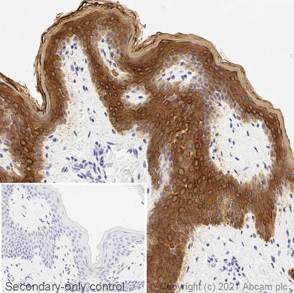
Immunohistochemistry (Frozen sections) - Anti-pan Cytokeratin antibody [C-11] (AB7753)

IHC image of pan cytokeratin staining in a section of frozen normal human skin performed on a Leica BONDTM system using the standard protocol. The section was fixed in 10% paraformaldehyde (10 min) prior to staining. The section was incubated with ab7753, 1μg/ml, for 15 mins at room temperature and detected using an HRP conjμgated compact polymer system. DAB was used as the chromogen. The section was then counterstained with haematoxylin and mounted with DPX. The inset secondary-only control image is taken from an identical assay without primary antibody.

Immunocytochemistry/ Immunofluorescence - Anti-pan Cytokeratin antibody [C-11] (AB7753)
  • ICC/IF

Lab

Immunocytochemistry/ Immunofluorescence - Anti-pan Cytokeratin antibody [C-11] (AB7753)

ab7753 staining pan Cytokeratin in HeLa cells. The cells were fixed with 4% paraformaldehyde (10 min)permeabilized with 0.1% PBS-Triton X-100 for 5 minutes and then blocked with 1% BSA/10% normal goat serum/0.3M glycine in 0.1%PBS-Tween for 1h. The cells were then incubated overnight at 4°C with ab7753 at 1μg/ml and ab6046Rabbit polyclonal to beta Tubulin - Loading Control. Cells were then incubated with ab150117Goat polyclonal Secondary Antibody to Mouse IgG H&L (Alexa Fluor® 488) preadsorbed at 1/1000 dilution (shown in green) and ab150080Goat polyclonal Secondary Antibody to Rabbit IgG - H&L (Alexa Fluor® 594) at 1/1000 dilution (shown in pseudocolour red). Nuclear DNA was labelled with DAPI (shown in blue). Also suitable in cells fixed with 100% methanol (5 min).

Image was acquired with a high-content analyser (Operetta CLSPerkin Elmer) and a maximum intensity projection of confocal sections is shown.

Image was acquired with a high-content analyser (Operetta CLSPerkin Elmer) and a maximum intensity projection of confocal sections is shown.

Multiplex immunohistochemistry - Anti-pan Cytokeratin antibody [C-11] (AB7753)
  • mIHC

Collaborator

Multiplex immunohistochemistry - Anti-pan Cytokeratin antibody [C-11] (AB7753)

Fluorescence multiplex immunohistochemical analysis of Human breast cancer tissue (formalin-fixed paraffin-embedded section).

Merged staining of Anti-PD-L1 (ab251611; cyan; Opal™ 520), Anti-Granzyme B (ab219803; yellow; Opal™ 540), Anti-PD1 (ab251613; magenta; Opal™ 570), Anti-pan Cytokeratin (ab264485; red; Opal™ 620), Anti-EpCAM (ab225894; red; Opal™ 620), Anti-CD8 alpha (ab251596; green; Opal™ 650) and Anti-FOXP3 (ab96048; orange; Opal™ 690). EpCAM and pan-cytokeratin share the same dye and color. Dyes are pseudo-colored for better contrast of the markers.

The immunostaining was performed on a Leica Biosystems BOND® MAX instrument with an Opal™ 6-Plex Detection Kit (NEL821001KT, Akoya Biosciences®).

The section was incubated in six rounds of staining; sequentially for ab251611 (1/750 dilution), ab219803 (1/250 dilution), ab251613 (1/750 dilution), ab264485 (0.5 μg/ml), ab225894 (1/1250 dilution), ab251596 (1/1500 dilution) and ab96048 (10 μg/ml); each using a separate fluorescent tyramide signal amplification system. EDTA based antigen retrieval (Leica Biosystems BOND® Epitope Retrieval Solution 2, pH 9.0, 20 minutes) was used in between rounds of tyramide signal amplification to remove the antibody from the previous round, to avoid any cross-reactivity. DAPI (dark blue) was used as a nuclear counter stain.
Microscopy and pseudocoloring of individual Opal™ dyes was performed using a Vectra 3 Imaging System (Akoya Biosciences®).

This data is courtesy of ImmunoAtlas and it can be found here.

This image is courtesy of ImmunoAtlas.

Flow Cytometry (Intracellular) - Anti-pan Cytokeratin antibody [C-11] (AB7753)
  • Flow Cyt (Intra)

Lab

Flow Cytometry (Intracellular) - Anti-pan Cytokeratin antibody [C-11] (AB7753)

Flow cytometry overlay histogram showing left HeLa positive cells and right negative Jurkat stained with ab7753 (red line). The cells were fixed with 80% methanol (5 min) and then permeabilised with 0.1% PBS-Triton X-100 for 15 min. The cells were then incubated in 1x PBS containing 10% normal goat serum to block non-specific protein-protein interaction followed by the antibody (ab7753) (1x 106 in 100μl at 0.2μg/ml (1/13150)) for 30min at 22°C.

The secondary antibody Goat Anti-Mouse IgG H&L (Alexa Fluor® 488) preadsorbed was incubated at 1/4000 for 30min at 22°C

Isotype control antibody (black line) was Mouse IgG1, kappa monoclonal [15-6E10A7] - Isotype Control used at the same concentration and conditions as the primary antibody. Unlabelled sample (blue line) was also used as a control.

Acquisition of >5000 events were collected using a 50 mW Blue laser (488nm) and 525/40 bandpass filter.

This antibody gave a positive signal in HeLa Fixed with 4% formaldehyde (10 min) / permeabilised with 0.1% PBS-Triton X-100 for 15 min under the same conditions.

Multiplex immunohistochemistry - Anti-pan Cytokeratin antibody [C-11] (AB7753)
  • mIHC

Collaborator

Multiplex immunohistochemistry - Anti-pan Cytokeratin antibody [C-11] (AB7753)

Fluorescence multiplex immunohistochemical analysis of Human breast cancer tissue (formalin-fixed paraffin-embedded section).

Merged staining of Anti-PD-L1 (ab251611; cyan; Opal™ 520), Anti-Granzyme B (ab219803; yellow; Opal™ 540), Anti-PD1 (ab251613; magenta; Opal™ 570), Anti-pan Cytokeratin (ab264485; red; Opal™ 620), Anti-EpCAM (ab225894; red; Opal™ 620), Anti-CD8 alpha (ab251596; green; Opal™ 650) and Anti-FOXP3 (ab96048; orange; Opal™ 690). EpCAM and pan-cytokeratin share the same dye and color. Dyes are pseudo-colored for better contrast of the markers.

The immunostaining was performed on a Leica Biosystems BOND® MAX instrument with an Opal™ 6-Plex Detection Kit (NEL821001KT, Akoya Biosciences®).

The section was incubated in six rounds of staining; sequentially for ab251611 (1/750 dilution), ab219803 (1/250 dilution), ab251613 (1/750 dilution), ab264485 (0.5 μg/ml), ab225894 (1/1250 dilution), ab251596 (1/1500 dilution) and ab96048 (10 μg/ml); each using a separate fluorescent tyramide signal amplification system. EDTA based antigen retrieval (Leica Biosystems BOND® Epitope Retrieval Solution 2, pH 9.0, 20 minutes) was used in between rounds of tyramide signal amplification to remove the antibody from the previous round, to avoid any cross-reactivity. DAPI (dark blue) was used as a nuclear counter stain.
Microscopy and pseudocoloring of individual Opal™ dyes was performed using a Vectra 3 Imaging System (Akoya Biosciences®).

This data is courtesy of ImmunoAtlas and it can be found here.

This image is courtesy of ImmunoAtlas.

Multiplex immunohistochemistry - Anti-pan Cytokeratin antibody [C-11] (AB7753)
  • mIHC

Collaborator

Multiplex immunohistochemistry - Anti-pan Cytokeratin antibody [C-11] (AB7753)

Fluorescence multiplex immunohistochemical analysis of Human breast cancer tissue (formalin-fixed paraffin-embedded section).

Merged staining of Anti-PD-L1 (ab251611; cyan; Opal™ 520), Anti-Granzyme B (ab219803; yellow; Opal™ 540), Anti-PD1 (ab251613; magenta; Opal™ 570), Anti-pan Cytokeratin (ab264485; red; Opal™ 620), Anti-EpCAM (ab225894; red; Opal™ 620), Anti-CD8 alpha (ab251596; green; Opal™ 650) and Anti-FOXP3 (ab96048; orange; Opal™ 690). EpCAM and pan-cytokeratin share the same dye and color. Dyes are pseudo-colored for better contrast of the markers.

The immunostaining was performed on a Leica Biosystems BOND® MAX instrument with an Opal™ 6-Plex Detection Kit (NEL821001KT, Akoya Biosciences®).

The section was incubated in six rounds of staining; sequentially for ab251611 (1/750 dilution), ab219803 (1/250 dilution), ab251613 (1/750 dilution), ab264485 (0.5 μg/ml), ab225894 (1/1250 dilution), ab251596 (1/1500 dilution) and ab96048 (10 μg/ml); each using a separate fluorescent tyramide signal amplification system. EDTA based antigen retrieval (Leica Biosystems BOND® Epitope Retrieval Solution 2, pH 9.0, 20 minutes) was used in between rounds of tyramide signal amplification to remove the antibody from the previous round, to avoid any cross-reactivity. DAPI (dark blue) was used as a nuclear counter stain.
Microscopy and pseudocoloring of individual Opal™ dyes was performed using a Vectra 3 Imaging System (Akoya Biosciences®).

This data is courtesy of ImmunoAtlas and it can be found here.

This image is courtesy of ImmunoAtlas.

Immunohistochemistry (Formalin/PFA-fixed paraffin-embedded sections) - Anti-pan Cytokeratin antibody [C-11] (AB7753)
  • IHC-P

Lab

Immunohistochemistry (Formalin/PFA-fixed paraffin-embedded sections) - Anti-pan Cytokeratin antibody [C-11] (AB7753)

IHC image of pan cytokeratin staining in a section of formalin-fixed paraffin-embedded normal mouse skin performed on a Leica BONDTM system using the standard protocol F. The section was pre-treated using heat mediated antigen retrieval with sodium citrate buffer (pH6,epitope retrieval solution 1) for 20mins. The section was then incubated with ab7753, 1μg/ml, for 15 mins at room temperature. A goat anti-mouse IgG1 bridging antibody, ab125913, was added for 8 mins at room temperature and detected using an HRP conjμgated compact polymer system. DAB was used as the chromogen. The section was then counterstained with haematoxylin and mounted with DPX. The inset secondary-only control image is taken from an identical assay without primary antibody.
For other IHC staining systems (automated and non-automated) customers should optimize variable parameters such as antigen retrieval conditions,primary antibody concentration and antibody incubation times.

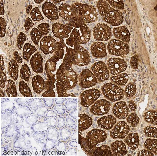
Immunohistochemistry (Frozen sections) - Anti-pan Cytokeratin antibody [C-11] (AB7753)
  • IHC-Fr

Lab

Immunohistochemistry (Frozen sections) - Anti-pan Cytokeratin antibody [C-11] (AB7753)

IHC image of pan cytokeratin staining in a section of frozen normal rat kidney performed on a Leica BONDTM system using the standard protocol. The section was fixed in 10% paraformaldehyde (10 min) prior to staining. The section was incubated with ab7753,1μg/ml, for 15 mins at room temperature and detected using an HRP conjμgated compact polymer system. DAB was used as the chromogen. The section was then counterstained with haematoxylin and mounted with DPX. The inset secondary-only control image is taken from an identical assay without primary antibody.

Immunohistochemistry (Formalin/PFA-fixed paraffin-embedded sections) - Anti-pan Cytokeratin antibody [C-11] (AB7753)
  • IHC-P

Lab

Immunohistochemistry (Formalin/PFA-fixed paraffin-embedded sections) - Anti-pan Cytokeratin antibody [C-11] (AB7753)

IHC image of pan cytokeratin staining in a section of formalin-fixed paraffin-embedded normal rat skin performed on a Leica BONDTM system using the standard protocol F. The section was pre-treated using heat mediated antigen retrieval with sodium citrate buffer (pH6,epitope retrieval solution 1) for 20mins. The section was then incubated with ab7753, 1μg/ml, for 15 mins at room temperature and detected using an HRP conjμgated compact polymer system. DAB was used as the chromogen. The section was then counterstained with haematoxylin and mounted with DPX. The inset secondary-only control image is taken from an identical assay without primary antibody.
For other IHC staining systems (automated and non-automated) customers should optimize variable parameters such as antigen retrieval conditions,primary antibody concentration and antibody incubation times.

Immunohistochemistry (Formalin/PFA-fixed paraffin-embedded sections) - Anti-pan Cytokeratin antibody [C-11] (AB7753)
  • IHC-P

AbReview28501****

Immunohistochemistry (Formalin/PFA-fixed paraffin-embedded sections) - Anti-pan Cytokeratin antibody [C-11] (AB7753)

This image was generated from the hybridoma version of the product.

ab7753 staining rat embryonic skin/organ sections by IHC-P. The tissue was fixed with formaldehyde and a heat mediated antigen retrival step was performed with citric acid pH 6. Blocking of the sample was done with 1% BSA for 10 minutes at 21°C, followed by staining with ab77539 at 1/250 in TBS/BSA/azide for 2h at 21°C. A biotinylated goat anti-mouse polyclonal antibody at 1/200 was used as the secondary antibody.

This image is courtesy of an Abreview submitted by Carl Hobbs

不同偶联物与剂型 (7)

  • 660 APC

    APC Anti-pan Cytokeratin antibody [C-11]

  • 578 PE

    PE Anti-pan Cytokeratin antibody [C-11]

  • 519 Alexa Fluor® 488

    Alexa Fluor® 488 Anti-pan Cytokeratin antibody [C-11]

  • Carrier free

    Anti-pan Cytokeratin antibody [C-11] - BSA and Azide free

  • 617 Alexa Fluor® 594

    Alexa Fluor® 594 Anti-pan Cytokeratin antibody [C-11]

  • 565 Alexa Fluor® 555

    Alexa Fluor® 555 Anti-pan Cytokeratin antibody [C-11]

  • 665 Alexa Fluor® 647

    Alexa Fluor® 647 Anti-pan Cytokeratin antibody [C-11]

关键信息

宿主种属

Mouse

克隆

Monoclonal

克隆号

C-11

亚型

IgG1

不含载体蛋白

No

反应种属

Mouse, Rat, Human

应用

IHC-Fr, ICC/IF, mIHC, Flow Cyt (Intra), IHC-P

applications

免疫原

The exact immunogen used to generate this antibody is proprietary information.

特异性

Cytokeratin peptides 4,5,6,8,10,13,18.

反应性数据

{ "title": "Reactivity Data", "filters": { "stats": ["", "Species", "Dilution Info", "Notes"], "tabs": { "all-applications": {"fullname" : "All Applications", "shortname": "All Applications"}, "FlowCytIntra" : {"fullname" : "Flow Cytometry (Intracellular)", "shortname":"Flow Cyt (Intra)"}, "IHCP" : {"fullname" : "Immunohistochemistry (Formalin/PFA-fixed paraffin-embedded sections)", "shortname":"IHC-P"}, "ICCIF" : {"fullname" : "Immunocytochemistry/ Immunofluorescence", "shortname":"ICC/IF"}, "mIHC" : {"fullname" : "Multiplex immunohistochemistry", "shortname":"mIHC"}, "IHCFr" : {"fullname" : "Immunohistochemistry (Frozen sections)", "shortname":"IHC-Fr"} }, "product-promise": { "all": "all", "testedAndGuaranteed": "tested", "guaranteed": "expected", "predicted": "predicted", "notRecommended": "not-recommended" } }, "values": { "Human": { "FlowCytIntra-species-checked": "testedAndGuaranteed", "FlowCytIntra-species-dilution-info": "", "FlowCytIntra-species-notes": "<p></p>", "IHCP-species-checked": "testedAndGuaranteed", "IHCP-species-dilution-info": "1 µg/mL", "IHCP-species-notes": "<p></p> Perform heat-mediated antigen retrieval with citrate buffer pH 6 before commencing with IHC staining protocol.", "ICCIF-species-checked": "testedAndGuaranteed", "ICCIF-species-dilution-info": "1 µg/mL", "ICCIF-species-notes": "<p></p>", "mIHC-species-checked": "testedAndGuaranteed", "mIHC-species-dilution-info": "", "mIHC-species-notes": "<p></p>", "IHCFr-species-checked": "testedAndGuaranteed", "IHCFr-species-dilution-info": "1 µg/mL", "IHCFr-species-notes": "<p></p>" }, "Mouse": { "FlowCytIntra-species-checked": "guaranteed", "FlowCytIntra-species-dilution-info": "", "FlowCytIntra-species-notes": "", "IHCP-species-checked": "testedAndGuaranteed", "IHCP-species-dilution-info": "1 µg/mL", "IHCP-species-notes": "<p></p> Perform heat-mediated antigen retrieval with citrate buffer pH 6 before commencing with IHC staining protocol.", "ICCIF-species-checked": "guaranteed", "ICCIF-species-dilution-info": "", "ICCIF-species-notes": "", "mIHC-species-checked": "guaranteed", "mIHC-species-dilution-info": "", "mIHC-species-notes": "", "IHCFr-species-checked": "testedAndGuaranteed", "IHCFr-species-dilution-info": "1 µg/mL", "IHCFr-species-notes": "<p></p>" }, "Rat": { "FlowCytIntra-species-checked": "guaranteed", "FlowCytIntra-species-dilution-info": "", "FlowCytIntra-species-notes": "", "IHCP-species-checked": "testedAndGuaranteed", "IHCP-species-dilution-info": "1 µg/mL", "IHCP-species-notes": "<p></p> Perform heat-mediated antigen retrieval with citrate buffer pH 6 before commencing with IHC staining protocol.", "ICCIF-species-checked": "guaranteed", "ICCIF-species-dilution-info": "", "ICCIF-species-notes": "", "mIHC-species-checked": "guaranteed", "mIHC-species-dilution-info": "", "mIHC-species-notes": "", "IHCFr-species-checked": "testedAndGuaranteed", "IHCFr-species-dilution-info": "1 µg/mL", "IHCFr-species-notes": "<p></p>" } } }

产品详情

This product has switched from a hybridoma to recombinant production method on 08th March 2021

Product Specifications
Anti-pan Cytokeratin antibody [C-11] (ab7753) is a mouse recombinant monoclonal antibody and is validated for use in Flow Cyt (Intra), ICC/IF, IHC-Fr, IHC-P, mIHC in human, mouse, rat samples.
Anti-pan Cytokeratin antibody [C-11] (ab7753) specifically detects pan Cytokeratin (UniProt ID: Q7Z794; Molecular weight: 62kDa) and is sold in a convenient trial size to enable initial testing (20 µg) and larger sizes for subsequent scaling up experiments (100 µg and 1 mg).

Quality and Validation
Abcam's high quality manufacturing and validation processes ensure Anti-pan Cytokeratin antibody [C-11] (ab7753) has high sensitivity and specificity alongside high lot-to-lot consistency and reproducibility.
Anti-pan Cytokeratin antibody [C-11] (ab7753) has been cited over 146 times in peer reviewed journals and is trusted by the scientific community.
Anti-pan Cytokeratin antibody [C-11] (ab7753) has 23 independent reviews from customers.

Related Products
Antibody clone C-11 is also available pre-conjugated to a variety of labels for your convenience - PE, APC, Alexa Fluor® 594, Alexa Fluor® 488, Alexa Fluor® 555, Alexa Fluor® 647 (ab52460, ab106166, ab277234, ab277270, ab279324, ab309978).

What are the advantages of a recombinant monoclonal antibody?
This product is a recombinant monoclonal antibody, which offers several advantages including:

  • - High batch-to-batch consistency and reproducibility
  • - Improved sensitivity and specificity
  • - Long-term security of supply
  • - Animal-free batch production

For more information, read more on recombinant antibodies.

性能和储存信息

形式
Liquid
纯化工艺
Affinity purification Protein A
纯化说明
Purified from TCS. Purity >95% by SDS-PAGE.
存储溶液
pH: 7.4 Preservative: 0.01% Sodium azide Constituents: PBS, 40% Glycerol (glycerin, glycerine), 0.05% BSA
运输条件
Blue Ice
推荐的短期储存时间
1-2 weeks
推荐的短期储存条件
+4°C
推荐的长期储存条件
-20°C
分装信息
Upon delivery aliquot
储存信息
Avoid freeze / thaw cycle

补充信息

This supplementary information is collated from multiple sources and compiled automatically.

Pan cytokeratin also known as cytokeratin AE1/AE3 is a cytoskeletal protein complex that consists of different keratin polypeptides. It mechanically supports epithelial cells contributing to their structural integrity. The protein mass is variable due to its composite nature ranging between 40 to 67 kDa. Pan cytokeratin is expressed in epithelial tissues throughout the body serving as a reliable marker for identifying epithelial origin cells in histological studies.
Biological function summary

Keratins in pan cytokeratin contribute to maintaining structural stability within epithelial cells. They act as components of the cytoskeletal network interacting with other cellular structures to provide protection from stress and mechanical damage. Pan cytokeratin exists as part of the intermediate filament protein complex which plays a significant role in cellular mechanics and cohesion essential for tissue integrity.

Pathways

Intermediate filaments containing pan cytokeratin participate in pathways related to cell differentiation and stress response. Its interactions with other proteins like desmoplakin and plectin link the cytoskeletal filaments to cell membranes and the extracellular matrix. This involvement is important in pathways related to cellular structural integrity and epithelial-mesenchymal transition (EMT).

Pan cytokeratin serves as a critical marker in the diagnosis of epithelial-derived cancers such as carcinoma and conditions like psoriasis. Abnormal expression patterns of pan cytokeratin indicate tumor presence and origin. Its connection to proteins such as E-cadherin and vimentin assists in understanding the progression and metastasis of cancer by facilitating EMT and tissue invasion diagnostics.

产品实验方案

For this product, it's our understanding that no specific protocols are required. You can visit:

靶点信息

May regulate the activity of kinases such as PKC and SRC via binding to integrin beta-1 (ITB1) and the receptor of activated protein C kinase 1 (RACK1). In complex with C1QBP is a high affinity receptor for kininogen-1/HMWK.
See full target information KRT1

文献 (224)

Recent publications for all applications. Explore the full list and refine your search

Nature communications 16:9015 PubMed41073405

2025

Extracellular vesicles derived EBV tegument protein BRRF2 suppresses cGAS phase separation to promote anti-viral innate immune evasion.

Applications

Unspecified application

Species

Unspecified reactive species

Zhu-Long Hu,Zi-Qian Li,Yu Wang,Yi-Ling Luo,Wan-Ping Guo,Ning Meng,Guo-Long Bu,Le-Le Zhang,Shu-Xin Li,Xiang-Wei Kong,Xin-Yan Fang,Qiao-Li Wang,Run-Kun Han,Zheng Zhao,Ge-Xin Zhao,Zi-Ying Jiang,Run-Xian Jin,Mu-Sheng Zeng,Qian Zhong

Journal of experimental & clinical cancer research : CR 44:280 PubMed41053860

2025

Peripheral nerve injury-induced remodeling of the tumor-associated macrophages promotes immune evasion in breast cancer.

Applications

Unspecified application

Species

Unspecified reactive species

Yongxue Jiang,Wenfeng Zeng,Yaxin Feng,Xiaoting Deng,Jiayi Wang,Haiyu Liu,Boying Gao,Dexi Bi,Zifei Liu,Chaoqun Yang,Minxia Chen,Tang Li,Houying Chen,Yuxi Zhang,Luyuan Liang,Jiannan Xu,Wen Deng,Zeyu Yao,Wei Wu,Liyan Lao,Jianing Chen,Penghan Huang

Journal of Cancer 16:3684-3695 PubMed40959110

2025

Spermidine potentiates anti-tumor immune responses and immunotherapy sensitivity in breast cancer.

Applications

Unspecified application

Species

Unspecified reactive species

Xinyu Yang,Yaxin Feng,Ruxin Wang,Xin Zeng,Boying Gao,Penghan Huang,Huiping Chen,Wenfeng Zeng

Journal of gastrointestinal oncology 16:1366-1379 PubMed40950351

2025

Effects of anlotinib combined with camrelizumab and chemotherapy as first-line treatment for advanced esophageal squamous cell carcinoma on tumor immune microenvironment.

Applications

Unspecified application

Species

Unspecified reactive species

Mingfang Xu,Yingda Liu,Xunjie Kuang,Xiuyong Liao,Xiaodong Zhao

Frontiers in immunology 16:1641254 PubMed40895529

2025

PSD3 as a context-dependent modulator of immune landscape and tumor aggressiveness in esophageal squamous cell carcinoma.

Applications

Unspecified application

Species

Unspecified reactive species

Shujuan Luo,Huifang Li,Bangwu Cai,Aididar Nurbahati,Hong Cui,Tianyuan Peng,Wei Wang,Qing Liu,Xiaomei Lu,Shutao Zheng

iScience 28:113211 PubMed40831747

2025

Lymphocyte subset-based non-invasive biomarker predicts immunochemotherapy efficacy in EGFR-TKI-pretreated EGFR-mutated NSCLC.

Applications

Unspecified application

Species

Unspecified reactive species

Lianxi Song,Liang Zeng,Qinqin Xu,Yizhi Li,Wenhuan Guo,Shaoding Lin,Wenjuan Jiang,Zhan Wang,Li Deng,Zhe Huang,Haoyue Qin,Huan Yan,Xing Zhang,Fan Tong,Ruiguang Zhang,Zhaoyi Liu,Lin Zhang,Juan Yu,Xue Yang,Yang Xia,Xiaorong Dong,Gao Zhang,Nong Yang,Yongchang Zhang

Nature communications 16:7464 PubMed40796777

2025

A hollow-tube-like hydrospongel for multimodal therapy of advanced colorectal cancer.

Applications

Unspecified application

Species

Unspecified reactive species

Tao Wu,Tenghui Li,Chengzhi Zhang,Yu Tian,Hao Li,Yuxin He,Xu Yan,Tianxing Gong,Junhua Zhao,Zhenning Wang

The Journal of clinical investigation 135: PubMed40759573

2025

A CD4+ T lymphocyte-specific TCR/GSDMD/IL-2 axis facilitates antitumor immunity.

Applications

Unspecified application

Species

Unspecified reactive species

Yihan Yao,Lingling Wang,Weiqin Jiang,Ning Wang,Mengjie Li,Wenlong Lin,Ting Zhang,Wanqiang Sheng,Xiaojian Wang

Brazilian journal of otorhinolaryngology 91:101689 PubMed40738059

2025

Cancer stem cell biomarkers in locally advanced head and neck squamous cell carcinoma.

Applications

Unspecified application

Species

Unspecified reactive species

Miguel Caballero-Borrego,Juan J Grau,Neus Basté,Paola C Castillo,Cristina Teixido,Izaskun Valduvieco,Isabel Vilaseca

Cancers 17: PubMed40723259

2025

The Prognostic Role of Tertiary Lymphoid Structures and Immune Microenvironment Signatures in Early-Stage -Mutant Lung Adenocarcinoma.

Applications

Unspecified application

Species

Unspecified reactive species

Wei-Hsun Hsu,Chia-Chi Hsu,Min-Shu Hsieh,James Chih-Hsin Yang
View all publications

Abcam Product Promise

我们致力于为您的研究提供高质量的试剂,为您科研的每一步提供支持。若我们的产品未能达到预期性能,我们向您提供 Abcam Product Promise 保障。
详情请参阅我们的条款与条件。

Please note: All products are 'FOR RESEARCH USE ONLY. NOT FOR USE IN DIAGNOSTIC OR THERAPEUTIC PROCEDURES'.

For licensing inquiries, please contact partnerships@abcam.com