JavaScript is disabled in your browser. Please enable JavaScript to view this website.
AB51034

Anti-pan Cadherin 抗体 [EPR1792Y] - Intercellular Junction Marker

Anti-pan Cadherin antibody [EPR1792Y] - Intercellular Junction Marker

  • BOND RX™ Validated
  • RabMAb
  • Recombinant
  • Lab Essentials
  • 20ul selling size
  • 了解详情

5

(6 Reviews)

|

(24 Publications)

Anti-pan Cadherin antibody [EPR1792Y] - Intercellular Junction Marker (ab51034) is a rabbit monoclonal antibody detecting pan Cadherin in Western Blot, Flow Cytometry (Intra), Flow Cytometry, IP, IHC-P, ICC/IF. Suitable for Human, Mouse, Rat.

- Biophysical QC for unrivalled batch-batch consistency
- Over 20 publications
- Trusted since 2007

查看别名

CD325, CDHN, NCAD, CDH2, Cadherin-2, CDw325, Neural cadherin, N-cadherin

12 Images
Immunocytochemistry/ Immunofluorescence - Anti-pan Cadherin antibody [EPR1792Y] - Intercellular Junction Marker (AB51034)
  • ICC/IF

Lab

Immunocytochemistry/ Immunofluorescence - Anti-pan Cadherin antibody [EPR1792Y] - Intercellular Junction Marker (AB51034)

Immunocytochemistry/Immunofluorescence analysis of MCF7 (human breast adenocarcinoma epithelial cells labeling pan Cadherin with purified ab51034 at 1/250. Cells were fixed with 4% Paraformaldehyde and permeabilised with 0.1% TritonX-100. ab150077, an Alexa Fluor® 488-conjugated goat anti-rabbit IgG (1/1000) was used as the secondary antibody. DAPI (blue) was used as the nuclear counterstain.

ab195889, Anti-alpha Tubulin antibody [DM1A] - Microtubule Marker (Alexa Fluor® 594) 1/200 was used as counterstain antibody.

Confocal image showing membranous staining in MCF7 cells.

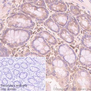
Immunohistochemistry (Formalin/PFA-fixed paraffin-embedded sections) - Anti-pan Cadherin antibody [EPR1792Y] - Intercellular Junction Marker (AB51034)
  • IHC-P

Lab

Immunohistochemistry (Formalin/PFA-fixed paraffin-embedded sections) - Anti-pan Cadherin antibody [EPR1792Y] - Intercellular Junction Marker (AB51034)

Immunohistochemical analysis of Paraffin-embedded human colon tissue sections labeling pan Cadherin with unpurified ab51034 at 1/100. Goat Anti-Rabbit IgG H&L (HRP) was used as the secondary antibody. Sections were counterstained with Hematoxylin. Antigen retrieval was heat mediated using ab93684 (Tris/EDTA buffer, pH 9.0).

Positive staining on human colon.

Flow Cytometry (Intracellular) - Anti-pan Cadherin antibody [EPR1792Y] - Intercellular Junction Marker (AB51034)
  • Flow Cyt (Intra)

Unknown

Flow Cytometry (Intracellular) - Anti-pan Cadherin antibody [EPR1792Y] - Intercellular Junction Marker (AB51034)

Intracellular Flow Cytometry analysis of HeLa (Human cervix adenocarcinoma epithelial cell) cells labeling pan Cadherin with purified ab51034 at 1/20 dilution (10μg/mL) (Red). Cells were fixed with 4% Paraformaldehyde and permeabilised with 90% Methanol. A Goat anti rabbit IgG (Alexa Fluorr® 488, ab150077) secondary antibody was used at 1/2000. Isotype control - Rabbit monoclonal IgG (Black). Unlabeled control - Cell without incubation with primary antibody and secondary antibody (Blue).

Immunohistochemistry (Formalin/PFA-fixed paraffin-embedded sections) - Anti-pan Cadherin antibody [EPR1792Y] - Intercellular Junction Marker (AB51034)
  • IHC-P

Lab

Immunohistochemistry (Formalin/PFA-fixed paraffin-embedded sections) - Anti-pan Cadherin antibody [EPR1792Y] - Intercellular Junction Marker (AB51034)

Immunohistochemical analysis of Paraffin-embedded mouse testis tissue sections labeling pan Cadherin with unpurified ab51034 at 1/100. Goat Anti-Rabbit IgG H&L (HRP) was used as the secondary antibody. Sections were counterstained with Hematoxylin. Antigen retrieval was heat mediated using ab93684 (Tris/EDTA buffer, pH 9.0).

Positive staining on mouse testis.

Immunohistochemistry (Formalin/PFA-fixed paraffin-embedded sections) - Anti-pan Cadherin antibody [EPR1792Y] - Intercellular Junction Marker (AB51034)
  • IHC-P

Lab

Immunohistochemistry (Formalin/PFA-fixed paraffin-embedded sections) - Anti-pan Cadherin antibody [EPR1792Y] - Intercellular Junction Marker (AB51034)

Immunohistochemical analysis of Paraffin-embedded rat colon tissue sections labeling pan Cadherin with unpurified ab51034 at 1/100. Goat Anti-Rabbit IgG H&L (HRP) was used as the secondary antibody. Sections were counterstained with Hematoxylin. Antigen retrieval was heat mediated using ab93684 (Tris/EDTA buffer, pH 9.0).

Positive staining on rat colon.

Western blot - Anti-pan Cadherin antibody [EPR1792Y] - Intercellular Junction Marker (AB51034)
  • WB

Unknown

Western blot - Anti-pan Cadherin antibody [EPR1792Y] - Intercellular Junction Marker (AB51034)

All lanes:

Western blot - Anti-pan Cadherin antibody [EPR1792Y] - Intercellular Junction Marker (ab51034) at 1/50000 dilution

Lane 1:

C6 (Rat glial tumor glial cell) whole cell lysate at 20 µg

Lane 2:

Human brain lysate at 20 µg

Lane 3:

Mouse brain lysate at 20 µg

Lane 4:

Rat brain lysate at 20 µg

Secondary

All lanes:

Goat Anti-Rabbit IgG (HRP) with minimal cross-reactivity with human IgG at 1/2000 dilution

Predicted band size: 100 kDa

Observed band size: 140 kDa

false

Western blot - Anti-pan Cadherin antibody [EPR1792Y] - Intercellular Junction Marker (AB51034)
  • WB

Unknown

Western blot - Anti-pan Cadherin antibody [EPR1792Y] - Intercellular Junction Marker (AB51034)

All lanes:

Western blot - Anti-pan Cadherin antibody [EPR1792Y] - Intercellular Junction Marker (ab51034) at 1/50000 dilution

All lanes:

Mouse heart lysate at 15 µg

Secondary

All lanes:

Western blot - Goat Anti-Rabbit IgG H&L (HRP) (<a href='/products/secondary-antibodies/goat-rabbit-igg-h-l-hrp-ab97051'>ab97051</a>) at 1/20000 dilution

Predicted band size: 100 kDa

Observed band size: 140 kDa

false

Immunohistochemistry (Formalin/PFA-fixed paraffin-embedded sections) - Anti-pan Cadherin antibody [EPR1792Y] - Intercellular Junction Marker (AB51034)
  • IHC-P

Unknown

Immunohistochemistry (Formalin/PFA-fixed paraffin-embedded sections) - Anti-pan Cadherin antibody [EPR1792Y] - Intercellular Junction Marker (AB51034)

Immunohistochemistry (Formalin/PFA-fixed paraffin-embedded sections) analysis of rat cardiac muscle tissue sections labeling pan Cadherin with purified ab51034 at 1/500 dilution (0.26 μg/mL). Heat mediated antigen retrieval using Bond™ Epitope Retrieval Solution 2 (pH 9.0). Rabbit specific IHC polymer detection kit HRP/DAB (ab209101) was used as the secondary antibody. Negative control : PBS instead of the primary antibody. Hematoxylin was used as a counterstain.

Immunohistochemistry (Formalin/PFA-fixed paraffin-embedded sections) - Anti-pan Cadherin antibody [EPR1792Y] - Intercellular Junction Marker (AB51034)
  • IHC-P

Unknown

Immunohistochemistry (Formalin/PFA-fixed paraffin-embedded sections) - Anti-pan Cadherin antibody [EPR1792Y] - Intercellular Junction Marker (AB51034)

Immunohistochemistry (Formalin/PFA-fixed paraffin-embedded sections) analysis of mouse cardiac muscle tissue sections labeling pan Cadherin with purified ab51034 at 1/500 dilution (0.26 μg/mL). Heat mediated antigen retrieval using Bond™ Epitope Retrieval Solution 2 (pH 9.0). Rabbit specific IHC polymer detection kit HRP/DAB (ab209101) was used as the secondary antibody. Negative control : PBS instead of the primary antibody. Hematoxylin was used as a counterstain.

Immunohistochemistry (Formalin/PFA-fixed paraffin-embedded sections) - Anti-pan Cadherin antibody [EPR1792Y] - Intercellular Junction Marker (AB51034)
  • IHC-P

Unknown

Immunohistochemistry (Formalin/PFA-fixed paraffin-embedded sections) - Anti-pan Cadherin antibody [EPR1792Y] - Intercellular Junction Marker (AB51034)

Immunohistochemistry (Formalin/PFA-fixed paraffin-embedded sections) analysis of human cardiac muscle tissue sections labeling pan Cadherin with purified ab51034 at 1/500 dilution (0.26 μg/mL). Heat mediated antigen retrieval using Bond™ Epitope Retrieval Solution 2 (pH 9.0). Rabbit specific IHC polymer detection kit HRP/DAB (ab209101) was used as the secondary antibody. Negative control : PBS instead of the primary antibody. Hematoxylin was used as a counterstain.

Immunoprecipitation - Anti-pan Cadherin antibody [EPR1792Y] - Intercellular Junction Marker (AB51034)
  • IP

Unknown

Immunoprecipitation - Anti-pan Cadherin antibody [EPR1792Y] - Intercellular Junction Marker (AB51034)

Purified ab51034 at 1/20 dilution (0.6 μg) immunoprecipitating pan Cadherin in Rat heart lysate.
Lane 1 (input) : Rat heart lysate 10 μg
Lane 2 (+) : ab51034 + Rat heart lysate.
Lane 3 (-) : Rabbit monoclonal IgG (ab172730) instead of ab51034 in Rat heart lysate.
VeriBlot for IP Detection Reagent (HRP) (ab131366) (1/1000 dilution) was used for Western blotting.
Blocking Buffer and concentration : 5% NFDM/TBST.
Diluting buffer and concentration : 5% NFDM/TBST.
Observed band size : 140 kDa

All lanes:

Immunoprecipitation - Anti-pan Cadherin antibody [EPR1792Y] - Intercellular Junction Marker (ab51034)

false

OI-RD Scanning - Anti-pan Cadherin antibody [EPR1792Y] - Intercellular Junction Marker (AB51034)
  • OI-RD Scanning

Unknown

OI-RD Scanning - Anti-pan Cadherin antibody [EPR1792Y] - Intercellular Junction Marker (AB51034)

We have systematically measured KD (the equilibrium dissociation constant between the antibody and its antigen), of more than 840 recombinant antibodies to assess not only their individual KD values but also to see the average affinity of antibody. Based on the comparison with published literature values for mouse monoclonal antibodies, Recombinant antibodies appear to be on average 1-2 order of magnitude higher affinity.

不同偶联物与剂型 (11)

  • 665 Alexa Fluor® 647

    Alexa Fluor® 647 Anti-pan Cadherin antibody [EPR1792Y] - Intercellular Junction Marker

  • 519 Alexa Fluor® 488

    Alexa Fluor® 488 Anti-pan Cadherin antibody [EPR1792Y] - Intercellular Junction Marker

  • Carrier free

    Anti-pan Cadherin antibody [EPR1792Y] - BSA and Azide free

  • 578 PE

    PE Anti-pan Cadherin - Intercellular Junction Marker antibody [EPR1792Y]

  • 660 APC

    APC Anti-pan Cadherin - Intercellular Junction Marker antibody [EPR1792Y]

  • HRP

    HRP Anti-pan Cadherin - Intercellular Junction Marker antibody [EPR1792Y]

  • 603 Alexa Fluor® 568

    Alexa Fluor® 568 Anti-pan Cadherin antibody [EPR1792Y] - Intercellular Junction Marker

  • 565 Alexa Fluor® 555

    Alexa Fluor® 555 Anti-pan Cadherin antibody [EPR1792Y] - Intercellular Junction Marker

  • Alkaline Phosphatase

    Alkaline Phosphatase Anti-pan Cadherin antibody [EPR1792Y]

  • 617 Alexa Fluor® 594

    Alexa Fluor® 594 Anti-pan Cadherin antibody [EPR1792Y] - Intercellular Junction Marker

  • 775 Alexa Fluor® 750

    Alexa Fluor® 750 Anti-pan Cadherin antibody [EPR1792Y] - Intercellular Junction Marker

关键信息

宿主种属

Rabbit

克隆

Monoclonal

克隆号

EPR1792Y

亚型

IgG

不含载体蛋白

No

反应种属

Mouse, Rat, Human

应用

ICC/IF, Flow Cyt (Intra), WB, IP, IHC-P

applications

免疫原

The exact immunogen used to generate this antibody is proprietary information.

特异性

The immunogen used for this product shares 100% homology with N-cadherin, 100% homology with R-cadherin, 93% homology to K-cadherin, 93% homology to P-cadherin, 93% homology to E-cadherin, and 73% homology to VE-cadherin. Cross-reactivities with these proteins have not been confirmed experimentally.

反应性数据

{ "title": "Reactivity Data", "filters": { "stats": ["", "Species", "Dilution Info", "Notes"], "tabs": { "all-applications": {"fullname" : "All Applications", "shortname": "All Applications"}, "IHCP" : {"fullname" : "Immunohistochemistry (Formalin/PFA-fixed paraffin-embedded sections)", "shortname":"IHC-P"}, "IP" : {"fullname" : "Immunoprecipitation", "shortname":"IP"}, "WB" : {"fullname" : "Western blot", "shortname":"WB"}, "ICCIF" : {"fullname" : "Immunocytochemistry/ Immunofluorescence", "shortname":"ICC/IF"}, "FlowCytIntra" : {"fullname" : "Flow Cytometry (Intracellular)", "shortname":"Flow Cyt (Intra)"} }, "product-promise": { "all": "all", "testedAndGuaranteed": "tested", "guaranteed": "expected", "predicted": "predicted", "notRecommended": "not-recommended" } }, "values": { "Human": { "IHCP-species-checked": "testedAndGuaranteed", "IHCP-species-dilution-info": "1/500", "IHCP-species-notes": "<p><strong>For unpurified use at 1/100.</strong></p> Perform heat-mediated antigen retrieval before commencing with IHC staining protocol.", "IP-species-checked": "guaranteed", "IP-species-dilution-info": "", "IP-species-notes": "", "WB-species-checked": "guaranteed", "WB-species-dilution-info": "", "WB-species-notes": "", "ICCIF-species-checked": "testedAndGuaranteed", "ICCIF-species-dilution-info": "1/100 - 1/250", "ICCIF-species-notes": "<p></p>", "FlowCytIntra-species-checked": "testedAndGuaranteed", "FlowCytIntra-species-dilution-info": "1/20", "FlowCytIntra-species-notes": "<p>For unpurified use at 1/30. <a href='/products/primary-antibodies/rabbit-igg-monoclonal-epr25a-isotype-control-ab172730'>ab172730</a> - Rabbit monoclonal IgG, is suitable for use as an isotype control with this antibody.</p>" }, "Mouse": { "IHCP-species-checked": "testedAndGuaranteed", "IHCP-species-dilution-info": "1/500", "IHCP-species-notes": "<p><strong>For unpurified use at 1/100.</strong></p> Perform heat-mediated antigen retrieval before commencing with IHC staining protocol.", "IP-species-checked": "guaranteed", "IP-species-dilution-info": "", "IP-species-notes": "", "WB-species-checked": "testedAndGuaranteed", "WB-species-dilution-info": "1/50000", "WB-species-notes": "<p></p>", "ICCIF-species-checked": "guaranteed", "ICCIF-species-dilution-info": "", "ICCIF-species-notes": "", "FlowCytIntra-species-checked": "guaranteed", "FlowCytIntra-species-dilution-info": "", "FlowCytIntra-species-notes": "" }, "Rat": { "IHCP-species-checked": "testedAndGuaranteed", "IHCP-species-dilution-info": "1/500", "IHCP-species-notes": "<p><strong>For unpurified use at 1/100.</strong></p> Perform heat-mediated antigen retrieval before commencing with IHC staining protocol.", "IP-species-checked": "testedAndGuaranteed", "IP-species-dilution-info": "1/20", "IP-species-notes": "<p><strong>For unpurified use at 1/40.</strong></p>", "WB-species-checked": "testedAndGuaranteed", "WB-species-dilution-info": "1/50000", "WB-species-notes": "<p></p>", "ICCIF-species-checked": "guaranteed", "ICCIF-species-dilution-info": "", "ICCIF-species-notes": "", "FlowCytIntra-species-checked": "guaranteed", "FlowCytIntra-species-dilution-info": "", "FlowCytIntra-species-notes": "" } } }

产品详情

What is this antibody validated in?
Anti-pan Cadherin antibody [EPR1792Y] - Intercellular Junction Marker (ab51034) is a rabbit recombinant monoclonal antibody and is validated for use in Western Blot (WB), Flow Cytometry (Intra), Flow Cytometry (Flow Cyt), Immunoprecipitation (IP), Immunohistochemistry (IHC-P), Immunocytochemistry/immunofluorescence (ICC/IF) in Human, Mouse, Rat samples.

What is the molecular weight of pan Cadherin?
Anti-pan Cadherin [EPR1792Y] - Intercellular Junction Marker (ab51034) specifically detects a band for pan Cadherin (UniProt: P19022) at a molecular weight of 100kDa.

Trusted by the scientific community
Anti-pan Cadherin [EPR1792Y] - Intercellular Junction Marker (ab51034) was first used in a scientific publication in 2007 and has been cited over 20 times in peer-reviewed journals.

Reviewed by scientists
Anti-pan Cadherin [EPR1792Y] - Intercellular Junction Marker (ab51034) has over 5 independent reviews from customers.

Trial sizes available!
Test your antibody or perform pre-screening before committing to a larger quantity. Sold in 10µl. Discover our selection of trial-size antibodies.

Other related products
We have a range of other formats of antibody clone [EPR1792Y] also available for your convenience: ab51034, Alexa Fluor® 488 - ab195202, Alexa Fluor® 647 - ab195203, Carrier free - ab239839, PE - ab303080, APC - ab303081, HRP - ab303082, Alkaline Phosphatase - ab308963, Alexa Fluor® 594 - ab310734, Alexa Fluor® 555 - ab312264, Alexa Fluor® 568 - ab312753, Alexa Fluor® 750 - ab321637

Patented technology
Our RabMAb® technology is a patented hybridoma-based technology for making rabbit monoclonal antibodies. For details on our patents, please refer to RabMAb® patents.

What are the advantages of a recombinant monoclonal antibody?
This product is a recombinant monoclonal antibody, which offers several advantages including:

  • - High batch-to-batch consistency and reproducibility
  • - Improved sensitivity and specificity
  • - Long-term security of supply
  • - Animal-free batch production

For more information, read more on recombinant antibodies.

性能和储存信息

形式
Liquid
纯化工艺
Affinity purification Protein A
存储溶液
pH: 7.2 - 7.4 Preservative: 0.01% Sodium azide Constituents: 59% PBS, 40% Glycerol (glycerin, glycerine), 0.05% BSA
运输条件
Blue Ice
推荐的短期储存时间
1-2 weeks
推荐的短期储存条件
+4°C
推荐的长期储存条件
-20°C
分装信息
Upon delivery aliquot
储存信息
Avoid freeze / thaw cycle

补充信息

This supplementary information is collated from multiple sources and compiled automatically.

Pan Cadherin also known as cadherin pan antibodies or anti pan cadherin is a protein family that mediates cell-cell adhesion in tissues. This protein group includes several members like E-cadherin and N-cadherin which are integral in maintaining the structural integrity of tissues. Pan Cadherin proteins weigh around 120 kDa and are widely expressed in various cell types including epithelial and neural tissues. They possess repetitive amino acid sequences and are calcium-dependent playing an important role in the mechanical linking of cells.
Biological function summary

Pan Cadherin proteins mediate adhesion through forming homophilic interactions. These proteins are components of adherens junctions which are important structures in cellular adhesion. Within these complexes cadherins interact with catenins to link the cytoskeleton to cell membrane proteins maintaining cell polarity and tissue architecture. The function of cadherins extends to signaling roles that influence cell behavior and differentiation emphasizing their role in cellular communication.

Pathways

Pan Cadherin proteins participate in significant signaling mechanisms such as the Wnt signaling and epithelial-mesenchymal transition (EMT) pathways. In the Wnt signaling pathway cadherins influence cell fate decisions while in EMT they drive the remodeling of cellular structures important for tissue development. N-Cadherin is closely associated with Pan Cadherin in these pathways collaborating to mediate cellular transformations and migrations essential for embryogenesis and wound healing processes.

Pan Cadherin dysfunction correlates with cancer progression and metastasis. Aberrant cadherin expression contributes to the loss of cell adhesion promoting tumor invasion and metastasis. In particular disruptions in E-Cadherin frequently found in epithelial cancers highlight the critical role of Pan Cadherin in maintaining tissue homeostasis. Additionally N-Cadherin upregulation in various cancers illustrates its involvement in tumor aggressiveness further linking Pan Cadherin to pathogenesis.

产品实验方案

For this product, it's our understanding that no specific protocols are required. You can visit:

靶点信息

Calcium-dependent cell adhesion protein; preferentially mediates homotypic cell-cell adhesion by dimerization with a CDH2 chain from another cell. Cadherins may thus contribute to the sorting of heterogeneous cell types. Acts as a regulator of neural stem cells quiescence by mediating anchorage of neural stem cells to ependymocytes in the adult subependymal zone : upon cleavage by MMP24, CDH2-mediated anchorage is affected, leading to modulate neural stem cell quiescence. Plays a role in cell-to-cell junction formation between pancreatic beta cells and neural crest stem (NCS) cells, promoting the formation of processes by NCS cells (By similarity). Required for proper neurite branching. Required for pre- and postsynaptic organization (By similarity). CDH2 may be involved in neuronal recognition mechanism. In hippocampal neurons, may regulate dendritic spine density.
See full target information CDH2

文献 (24)

Recent publications for all applications. Explore the full list and refine your search

Clinical and translational medicine 15:e70221 PubMed39902679

2025

Sodium pump subunit NKAα1 protects against diabetic endothelial dysfunction by inhibiting ferroptosis through the autophagy-lysosome degradation of ACSL4.

Applications

Unspecified application

Species

Unspecified reactive species

Xue-Xue Zhu,Jia-Bao Su,Fang-Ming Wang,Xiao-Ying Chai,Guo Chen,An-Jing Xu,Xin-Yu Meng,Hong-Bo Qiu,Qing-Yi Sun,Yao Wang,Zhuo-Lin Lv,Yuan Zhang,Yao Liu,Zhi-Jun Han,Na Li,Hai-Jian Sun,Qing-Bo Lu

Science advances 10:eadh3409 PubMed38277448

2024

Ku70 senses cytosolic DNA and assembles a tumor-suppressive signalosome.

Applications

Unspecified application

Species

Unspecified reactive species

Abhimanu Pandey,Cheng Shen,Shouya Feng,Daniel Enosi Tuipulotu,Chinh Ngo,Cheng Liu,Melan Kurera,Anukriti Mathur,Shweta Venkataraman,Jing Zhang,Dipti Talaulikar,Renhua Song,Justin J-L Wong,Narci Teoh,Nadeem O Kaakoush,Si Ming Man

Nature biotechnology 42:1548-1558 PubMed38191663

2024

A palmitoyl transferase chemical-genetic system to map ZDHHC-specific S-acylation.

Applications

Unspecified application

Species

Unspecified reactive species

Cory A Ocasio,Marc P Baggelaar,James Sipthorp,Ana Losada de la Lastra,Manuel Tavares,Jana Volarić,Christelle Soudy,Elisabeth M Storck,Jack W Houghton,Susana A Palma-Duran,James I MacRae,Goran Tomić,Lotte Carr,Julian Downward,Ulrike S Eggert,Edward W Tate

Advanced science (Weinheim, Baden-Wurttemberg, Germany) 10:e2301107 PubMed37097746

2023

Ultrasound Responsive Nanovaccine Armed with Engineered Cancer Cell Membrane and RNA to Prevent Foreseeable Metastasis.

Applications

Unspecified application

Species

Unspecified reactive species

Wenqi Sun,Panpan Ji,Tian Zhou,Zhelong Li,Changyang Xing,Liang Zhang,Mengying Wei,Guodong Yang,Lijun Yuan

Frontiers in immunology 13:828263 PubMed35251013

2022

Development of a Dendritic Cell/Tumor Cell Fusion Cell Membrane Nano-Vaccine for the Treatment of Ovarian Cancer.

Applications

Unspecified application

Species

Unspecified reactive species

Lei Zhang,Wei Zhao,Jinke Huang,Fangxuan Li,Jindong Sheng,Hualin Song,Ying Chen

Journal of inflammation research 14:5801-5816 PubMed34764672

2021

Syndecan-1 Shedding by Matrix Metalloproteinase-9 Signaling Regulates Alveolar Epithelial Tight Junction in Lipopolysaccharide-Induced Early Acute Lung Injury.

Applications

Unspecified application

Species

Unspecified reactive species

Dong Zhang,Jin-Tao Zhang,Yun Pan,Xiao-Fei Liu,Jia-Wei Xu,Wen-Jing Cui,Xin-Rui Qiao,Liang Dong

The Journal of nutrition 151:3102-3112 PubMed34486661

2021

Adverse Maternal Environment and Postweaning Western Diet Alter Hepatic CD36 Expression and Methylation Concurrently with Nonalcoholic Fatty Liver Disease in Mouse Offspring.

Applications

Unspecified application

Species

Unspecified reactive species

Qi Fu,Paula E North,Xingrao Ke,Yi-Wen Huang,Katie A Fritz,Amber V Majnik,Robert H Lane

The Journal of biological chemistry 296:100798 PubMed34022221

2021

Functional impact of intramolecular cleavage and dissociation of adhesion G protein-coupled receptor GPR133 (ADGRD1) on canonical signaling.

Applications

Unspecified application

Species

Unspecified reactive species

Joshua D Frenster,Gabriele Stephan,Niklas Ravn-Boess,Devin Bready,Jordan Wilcox,Bjoern Kieslich,Caroline Wilde,Norbert Sträter,Giselle R Wiggin,Ines Liebscher,Torsten Schöneberg,Dimitris G Placantonakis

Cell death & disease 11:1008 PubMed33230102

2020

Exosomal circ_DLGAP4 promotes diabetic kidney disease progression by sponging miR-143 and targeting ERBB3/NF-κB/MMP-2 axis.

Applications

Unspecified application

Species

Unspecified reactive species

Shoujun Bai,Xiaoyan Xiong,Bo Tang,Tingting Ji,Xiaoying Li,Xiaolei Qu,Weiliang Li

Cancer cell international 19:342 PubMed31889894

2019

Sulforaphene induces apoptosis and inhibits the invasion of esophageal cancer cells through MSK2/CREB/Bcl-2 and cadherin pathway in vivo and in vitro.

Applications

Unspecified application

Species

Unspecified reactive species

Chengjuan Zhang,Junxia Zhang,Qiong Wu,Benling Xu,Guoguo Jin,Yan Qiao,Simin Zhao,Yang Yang,Jinwen Shang,Xiaofang Li,Kangdong Liu
View all publications

Abcam Product Promise

我们致力于为您的研究提供高质量的试剂,为您科研的每一步提供支持。若我们的产品未能达到预期性能,我们向您提供 Abcam Product Promise 保障。
详情请参阅我们的条款与条件。

Please note: All products are 'FOR RESEARCH USE ONLY. NOT FOR USE IN DIAGNOSTIC OR THERAPEUTIC PROCEDURES'.

For licensing inquiries, please contact partnerships@abcam.com